文章信息
- 史海粟, 陈海琴, 顾震南, 张灏, 陈永泉, 陈卫
- SHI Hai-su, CHEN Hai-qin, GU Zhen-nan, ZHANG Hao, CHEN Yong-quan, CHEN Wei
- 高山被孢霉Δ6II-脱饱和酶的克隆、表达和功能鉴定
- Studies of the Cloning, Expression and Function Analysis for Δ6-II Desaturase from Mortierella alpina
- 中国生物工程杂志, 2015, 35(12): 37-44
- China Biotechnology, 2015, 35(12): 37-44
- http://dx.doi.org/10.13523/j.cb.20151206
-
文章历史
- 收稿日期: 2015-07-29
- 修回日期: 2015-08-23
多不饱和脂肪酸(polyunsaturated fatty acids,PUFAs)对人体有着重要的生理功能,对人类膳食和健康具有重要意义[1, 2]。目前PUFAs的动植物来源非常有限,因此利用产脂微生物合成PUFAs成为当今热点。自然界中,有些产脂微生物能够大量积累ω-6 PUFAs[3, 4, 5],而另一些产脂微生物则可以合成ω-3 PUFAs[6, 7, 8]。高山被孢霉(Mortierella alpina,M. alpina)是目前工业化生产花生四烯酸(arachidonic acid,20∶4Δ5,8,11,14,ARA)的主要菌株,也是合成少量二十碳五烯酸(eicosapntemacnioc acid,20∶5Δ5,8,11,14,17,EPA)的唯一具有正式安全性评估的菌种,同时也是脂质生物化学基础研究的重要模式菌[9, 10, 11, 12, 13]。
在高山被孢霉PUFAs合成通路中(图 1),Δ6脱饱和酶(FADS6)是调控该菌ω-3/ω-6脂肪酸代谢流的“分子开关”,它可以将α-亚麻酸(α-linolenic acid,18∶3Δ9,12,15,ALA)转化为十八碳四烯酸(stearidonic acid,18∶4Δ6,9,12,15,SDA)或将亚油酸(linoleic acid,18∶2Δ9,12,LA)转化为γ-亚麻酸(γ-linolenic acid,18∶3Δ6,9,12,GLA)[14, 15, 16]。Δ6脱饱和酶对 LA和ALA两种底物的选择性决定了高山被孢霉种ω3/ω6脂肪酸流向。在本课题组已完成测序的高山被孢霉ATCC 32222基因组中[17]发现该酶存在两个编码基因(命名为Δ6I和Δ6II脱饱和酶),在大多数物种中Δ6-I脱饱和酶的研究已经很广泛[14, 18, 19, 20, 21, 22, 23],但目前Δ6-II脱饱和酶的功能及其对底物偏好方面的研究国际上鲜有报道。本文选择高山被孢霉ATCC 32222中的Δ6II脱饱和酶进行克隆表达,进而研究其底物偏好作用,这将为研究产脂微生物中ω-3/ω-6脂肪酸流向提供理论基础。
|
| 图 1 高山被孢霉中多不饱和脂肪酸生物合成的代谢途径 Fig. 1 PUFAs biosynthetic pathways of M. alpina |
大肠杆菌(E. coli)TOP 10为实验室菌种库提供;高山被孢霉(Mortierella alpina ATCC 32222)购于美国标准生物品收藏中心,由本实验室菌种库保藏,并已完成基因组测序[17];酿酒酵母(Saccharomyces cerevisiae)营养缺陷型菌株INVSc1及对应表达载体 pYES2/NT C购自 Invitrogen公司,由本实验室保藏。YPD培养基:1% 酵母提取物,2% 蛋白胨,2%葡萄糖。LA培养基:胰蛋白胨10g,酵母提取物5g,NaCl 10g。
1.2 工具酶和试剂游离脂肪酸LA和ALA及脂肪酸标品购于NU-CHEK,PREP公司。T4 DNA连接酶、T-vector试剂盒、DNA marker DL10000和限制性内切酶购自TaKaRa公司;凝胶回收试剂盒和蛋白预染和非预染Marker购自Fermentas公司;SanPrep柱式质粒DNA小量抽提试剂盒、SanPrep柱式PCR产物纯化试剂盒、柱式胶回收试剂盒均购自生工生物工程(上海)股份有限公司;DNA序列测试也由生工生物工程(上海)股份有限公司完成;KOD酶购于TOYOBO公司;RNA提取试剂盒和Taq DNA聚合酶购于TIANGEN公司;引物由上海桑尼有限公司合成。一抗(6×His标签鼠抗,Mouse THETM His Tag Antibody)和二抗(辣根过氧化物酶标记的羊抗鼠IgG,HRP-conjugated Goat Anti Mouse IgG)购于Genscript公司。SC-U及诱导培养基见pYES2/NT C操作手册。胰蛋白胨和酵母提取物均购自Oxoid公司;其它常规试剂为进口分装或国产分析纯。
1.3 方 法 1.3.1 表达载体的构建参照本实验室已发表的M. alpina的全基因组序列信息[17],设计Δ6II脱饱和酶的引物:
Δ6II F1:TACCGGAATTCATGCCACCAGAGTCAACATACG
Δ6II R1:AGCTAGTCTAGACTAGAGGGTATTCTTGTCCGC
在上游引物Δ6II F1k 中引入EcoR I位点,下游引物Δ6II R1引入Xba I位点,对Δ6II脱饱和酶基因进行扩增。PCR条件为:94℃ 3min;94℃ 40s,55℃ 40s,68℃ 1.5min,30个循环;68℃ 5min;10 ℃保存10 min。
PCR扩增产物经1%琼脂糖凝胶电泳分离后切下相应大小的带,采用SanPrep柱式PCR产物纯化试剂盒回收纯化PCR产物,经EcoR I和Xba I于37℃双酶切2h后,与经同样双酶切的pYES2/NT C载体于4℃连接,连接产物(pYES2/NT C-FADS6-II)转化至TOP 10感受态细胞(重组质粒构建见图 2)。对转化子进行酶切和PCR鉴定后,送至生工生物工程(上海)股份有限公司测序。所用PCR验证引物及测序引物均为T7和pYES2.R:
T7:TAATACGACTCACTATAGGG
pYES2.R:TCGGTTAGAGCGGATGTG
|
| 图 2 重组质粒pYES2/NT C-FADS6-II构建图示 Fig. 2 Schematic map of the recombinant plasmid pYES2/NT C-FADS6-II |
将测序得到的相应的氨基酸序列与GenBank数据库中的序列使用Clustal X 2.1软件进行分析比较,将测序正确的转化子命名为E. coli/pYES2/NT C-FADS6-II,并提取质粒待用。
1.3.2 重组质粒pYES2/NT C-FADS6-II的转化接种酿酒酵母菌株INVSc1的单菌落于YPD液体培养基,28℃恒温摇床过夜培养,按1%接种量接种过夜培养液至YPAD液体培养基,28℃摇床过夜培养后离心收集菌体。细胞用无菌水和锂盐溶液(10×TE缓冲液∶10×LiAc贮液∶无菌水=1∶1∶8)各重悬一次,1ml/份分装,于-80℃保存。
取200 μg载体DNA(鲑鱼精DNA)和≤5 μg待转化DNA一起加入2 ml EP管,混匀,加入锂盐溶液重悬,再加入1ml新鲜PEG溶液(50% PEG溶液∶10×TE缓冲液∶10×LiAc贮液=8∶1∶1),30℃摇荡温育30 min后于42℃热休克15 min,取200 μl 1×TE缓冲液重悬,最后取其中少量涂布于SC-U平板,28 ℃培养36~48 h。转化子经PCR验证后,于-80℃甘油管保存。具体方法详见精编分子生物学实验指南[24]。
1.3.3 重组质粒pYES2/NT C-FADS6-II的表达和表达产物的Western blot分析挑取3个验证后的酵母转化子单菌落至SC-U液体培养基,28℃摇床培养48 h,测定OD600值,取适量菌液接入含15 ml SC-U液体培养基的三角瓶,28℃摇床培养48 h,收集菌体,ddH2O重悬3次,SC-U诱导培养基重悬一次,离心去上清,加入15 ml SC-U诱导培养基,28℃摇床诱导12 h后收菌。
取2 ml诱导后的培养液,离心去上清,加入160 μl酵母破壁缓冲液(50 mmol/L 磷酸钠,5% 甘油,1 mmol/L PMSF)和等体积的玻璃珠,使用FastPrep快速核酸提取仪破壁后,加入40 μl 5×Loading Buffer,沸水浴5~10 min,取10 μl上样。样品经SDS-PAGE分离后,电转移至PVDF膜,TBST溶液漂洗3次,5 min/次,以含5%脱脂奶粉的TBST溶液于4℃缓慢摇荡45 min,TBST溶液漂洗3次,5 min/次,按1∶5 000加入6× His标签的鼠抗,孵育1 h,回收一抗,TBST溶液漂洗3次,5 min/次,按1∶2 000 加入HRP标记的羊抗兔IgG,缓慢摇荡45 min,TBST溶液漂洗3次,5 min/次。取等体积A、B液(A液:0.01mol/L鲁米诺溶液;B液:0.1mol/L双氧水溶液)混合,将PVDF膜反贴于A、B混合液于FluorChem FC3成像仪观察。
1.3.4 Δ6II脱饱和酶的活性测定按1.3.3 节中的所述方式诱导后,向培养基中加入1% NP-40和0.5 mmol/L cis-LA或0.5 mmol/L cis-ALA或两者同时加入 (0.25mmol/L cis-LA和0.25mmol/L cis-ALA),28℃摇床继续培养12 h后收菌。菌体水洗3次,冻干。
取100 mg冻干菌体,加2 ml 6mol/L的HCl,80℃水浴3 h,恢复至室温,加1 ml甲醇,振荡,加2 ml三氯甲烷,振荡1 min,收集氯仿层,氮气吹干;加入2 ml 10%的盐酸甲醇,60℃水浴3 h,加入1 ml饱和氯化钠和2 ml正己烷混匀,取上层正己烷层进行GC检测以对脂肪酸组成进行定性分析,具体检测方法参照文献[25]。
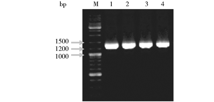
2 结果与讨论 2.1 Δ6II脱饱和酶基因的克隆依据Δ6II脱饱和酶基因序列设计的Δ6II F1/Δ6II R1为引物,首先提取M. alpina的mRNA,将其反转录生成cDNA,以M. alpina的cDNA为模板进行PCR扩增,得到的DNA条带大小为1 464 bp(图 3)。将其连接至pYES2/NT C载体,命名为pYES2/NT C-FADS6-II(图 2)。挑取18个转化子进行PCR鉴定,其中大小为1 500 bp左右的DNA条带对应的转化子为阳性转化子,而大小为300 bp左右的DNA条带对应的转化子为阴性转化子(图 4)。将阳性转化子送交生工生物工程(上海)股份有限公司测序,其测序结果与本中心对M.alpina ATCC32222基因组中Δ6II脱饱和酶基因的测序结果相符。
|
| 图 3 M.alpina Δ6-II脱饱和酶基因(FADS6-II)的PCR扩增产物 Fig. 3 PCR cloning products of Δ6-II desaturase from M.alpina M: Marker; 1~4: Cloning Δ6-II desaturase gene |
|
| 图 4 重组质粒pYES2/NT C-FADS6-II的PCR鉴定 Fig. 4 Identification of recombinant plasmid pYES2/NT C-FADS6-II by PCR M: Marker; 05,06,10,11,14,16,17,18: Positive transformants; 19: Negative control(pYES2/NT C); 20: Positive control(pYES2/NT C-FADS6-I); others are negative transformants |
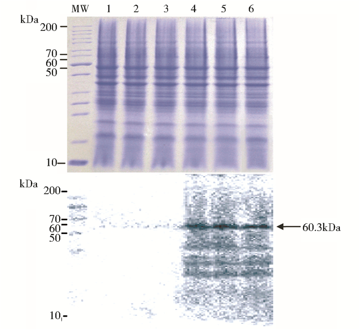
重组表达的Δ6-II脱饱和酶经SDS-PAGE分析,在相对分子质量约60kDa处不能看见特异蛋白表达条带(含6个组氨酸标签)。这是由于膜蛋白在酿酒酵母中的表达量在考马斯蓝染色的蛋白胶中是很少的。但Western blot分析显示,Δ6-II脱饱和酶与6× His鼠抗特异性结合,在相对分子质量约60kDa处可见特异的蛋白反应条带,与理论分子量一致(图 5)。
|
| 图 5 表达产物的SDS-PAGE和Western bolt分析 Fig. 5 Analysis of expressing products by SDS-PAGE and Western bolt MW: Marker; 1~3: pYES2/NT C; 4~6: FADS6-II |
为了验证Δ6II脱饱和酶基因的活性,选取已诱导的酵母转化子INvSC1(pYES2/NT C-FADS6-II),以空载体pYES2/NT C 2.0为对照,分别加入不同底物,通过气相色谱确定样品中LA、GLA、ALA和SDA的含量,以计算其对不同底物的转化率。结果如图 6和图 7所示,当分别添加LA和ALA时,阴性对照菌(空载体转化子)对两种底物均无催化作用,INvSC1(pYES2/NT C-FADS6-II)转化子对LA的底物转化率为42.94±4.58%,产物为GLA,对ALA没有催化作用。当同时添加LA和ALA时,阴性菌株对两种底物仍无催化作用,INvSC1(pYES2/NT C-Δ6-II)转化子对LA的底物转化率为37.12±3.69%,对ALA没有催化作用。因此当两种底物以同样浓度同时加入时,Δ6II脱饱和酶则只催化底物LA。图 7中LA转化率(%)=反应生成的GLA的量/(反应生成的GLA的量+反应剩余的LA的量),ALA转化率(%)=反应生成的SDA的量/(反应生成的SDA的量+反应剩余的ALA的量)。而文献报道的M.alpina 1S-4的Δ6-II脱饱和酶在曲霉中表达后对其宿主菌内LA的转化率可达60%左右,对宿主菌内ALA的转化率可达50%(曲霉中ALA含量仅占总脂肪酸的3.7%)[12]。因此,我们对两者的氨基酸序列进行分析,进而找到其结构与功能的关系。
|
| 图 6 分别和同时添加LA和ALA后空白菌株(pYES2/NT C)重组菌株 (pYES2/NT C-FADS6-II)的脂肪酸组成GC结果:GC图谱 Fig. 6 GC of fatty acids in cells of control and recombinants by adding single or both substrate (a) Cells of control (adding LA) (b) Recombinant cells (adding LA) (c) Cells of control (adding ALA) (d) Recombinant cells (adding ALA) (e) Cells of control (adding LA and ALA) (f) Recombinant cells (adding LA and ALA) |
|
| 图 7 分别(a)和同时(b)加入底物LA和ALA时Δ6II脱饱和酶对各底物的转化率 Fig. 7 Conversion rate of FADS6-II for LA and ALA by adding single (a) or both (b) substrate |
为了分析M.alpina Δ6-II脱饱和酶基因的功能与其序列的关系,将其与M.alpina 1S-4的两个Δ6脱饱和酶基因[12]和M.alpina ATCC32222的Δ6-I脱饱和酶基因的氨基酸序列进行比对(如图 8所示),比较其同源性。通过Clustal W软件的对比,4种Δ6脱饱和酶的氨基酸序列的同源性为72.07%。通过序列分析可以看到,该基因与其他Δ6脱饱和酶一样,也含有细胞色素b5区HPGG及3个组氨酸保守区即Ⅰ区HX3H、Ⅱ区HX2HH、Ⅲ区QX2HHLFP,结果如图 8用黑体下划线所示。但该基因与其他3个Δ6脱饱和酶基因相比,从第96个氨基酸残基至115个氨基酸残基是它独有的一小段序列;且2种Δ6Ⅱ脱饱和酶在C端比Δ6Ⅰ脱饱和酶增加20个左右的氨基酸残基。综上所述,M.alpina Δ6-II脱饱和酶的氨基酸序列与其他3种Δ6脱饱和酶相比,存在较大差异。
|
| 图 8 Δ6脱饱和酶基因的序列比对 Fig. 8 The multiple sequence alignment of Δ6 desaturase from M.alpina FADS6-I and FADS6-II indicated Δ6I and Δ6II desaturase from M.alpina ATCC32222, FADS6-I-1和FADS6-II-1 indicated Δ6I and Δ6II desaturase from M.alpina 1S-4 |
用TMHMM软件对Δ6-II脱饱和酶的氨基酸序列的二级结构进行疏水性分析,拓扑模型结构如图 9所示:该基因具有Δ6脱饱和酶基因的典型结构特征,具有两个长的跨膜疏水区,3个组氨酸保守区全部位于Δ6II脱饱和酶亲水区一侧;2个疏水的跨膜区穿过膜4次,与3个组氨酸保守区组成Δ6脱饱和酶的催化中心。
|
| 图 9 Δ6脱饱和酶的拓扑模型结构 Fig. 9 The predicted topology model of FADS6 |
综上所述,高山被孢霉ATCC 32222的Δ6II脱饱和酶只能催化LA生成GLA,不能催化ALA生成SDA。因此,在Δ6II脱饱和酶中不同时存在与ALA结合和催化的关键部位。通过本实验的结论进而对ω3和ω6脂肪酸合成通路提供理论基础。
| [1] | Arterburn L M, Hall E, Boken H. Distribution, interconversion, and dose response of n-3 fatty acids in humans. American Journal of Clinical Nutrition, 2006, 83(6):1467S-1476S. |
| [2] | 李会珍,张志军.植物合成长链多不饱和脂肪酸研究进展.中国生物工程杂志, 2008, 28(12):112-115. Li H Z, Zhang Z J. Progresses on biosynthesis of long chain polyunsaturated fatty acids in plant. China Biotechnology, 2008. 28(12):112-115. |
| [3] | Hong H, Datla N, Reed D W, et al. High-level production of γ-linolenic acid in Brassica juncea using a Δ6 desaturase from Pythium irregulare. Plant Physiology, 2002, 129(1):354-362. |
| [4] | Liu J, Li D, Yin Y, et al. Δ6-Desaturase from Mortierella alpina:cDNA cloning, expression, and phylogenetic analysis. Biotechnology Letters, 2011, 33(10):1985-1991. |
| [5] | 黎志勇,纪晓俊,丛蕾蕾,等.发酵法生产亚麻酸的研究进展.中国生物工程杂志, 2010, 30:110-117. Li Z Y, Ji X J, Cong L L, et al. Progresses in fermentative production of γ-linolenic acid. China Biotechnology, 2010, 30:110-117. |
| [6] | Xue Z, Sharpe P L, Hong S P, et al. Production of omega-3 eicosapentaenoic acid by metabolic engineering of Yarrowia lipolytica. Nature Biotechnology, 2013,31(8):734-740. |
| [7] | Grima E M, Medina A R, Giménez A G, et al. Gram-scale purification of eicosapentaenoic acid (EPA, 20:5n-3) from wet Phaeodactylum tricornutum UTEX 640 biomass. Journal of Applied Phycology, 1996, 8(4-5):359-367. |
| [8] | Liu Y, Tang J, Li J J, et al. Efficient production of triacylglycerols rich in docosahexaenoic acid (DHA) by osmo-heterotrophic marine protists. Applied Microbiology and Biotechnology, 2014, 98(23):9643-9652. |
| [9] | Hao G, Chen H, Du K, et al. Increased fatty acid unsaturation and production of arachidonic acid by homologous over-expression of the mitochondrial malic enzyme in Mortierella alpina. Biotechnology Letters, 2014, 36(9):1827-1834. |
| [10] | Sakuradani E, Ando A, Shimizu S, et al. Metabolic engineering for the production of polyunsaturated fatty acids by oleaginous fungus Mortierella alpina 1S-4. Journal of Bioscience and Bioengineering, 2013, 116(4):417-422. |
| [11] | Sakuradani E, Kobayashi Mshimizu S. Δ6-fatty acid desaturase from an arachidonic acid-producing Mortierella fungus:Gene cloning and its heterologous expression in a fungus, Aspergillus. Gene, 1999, 238(2):445-453. |
| [12] | Sakuradani E, Shimizu S. Gene cloning and functional analysis of a second delta 6-fatty acid desaturase from an arachidonic acid-producing Mortierella fungus. Bioscience, Biotechnology, and Biochemistry, 2003, 67(4):704-711. |
| [13] | 代鹏,陈海琴,顾震南,等.高山被孢霉生产多不饱和脂肪酸发酵条件的研究进展.食品工业科技, 2014, 35(5):354-359. Dai P, Chen H Q, Gu Z N. Research progress in fermentation condition for polyunsaturated fatty acids by Mortierella Alpina. Science and Technology of Food Industry, 2014, 35(5):354-359. |
| [14] | Zhang Q, Li M, Ma H, et al. Identification and characterization of a novel Δ6-fatty acid desaturase gene from Rhizopus arrhizus. FEBS Letters, 2004, 556(1):81-85. |
| [15] | Zhou X R, Robert S, Singh S, et al. Heterologous production of GLA and SDA by expression of an Echium plantagineum delta 6-desaturase gene. Plant Science, 2007, 172(2):421-422. |
| [16] | 丁兆坤,麻艳群,许友卿.合成高度不饱和脂肪酸去饱和酶的分子生物学研究Ⅱ.克隆,表达与功能分析.中国生物工程杂志, 2008, 28:196-200. Ding Z K, Ma Y Q, Xu Y Q. Studies on molecular biology of the desaturases of highly unsaturated fatty acid biosynthesis-Ⅱ. Cloning, expression and function analysis. China Biotechnology, 2008, 28:196-200. |
| [17] | Wang L, Chen W, Feng Y, et al. Genome characterization of the oleaginous fungus Mortierella alpina. PloS one, 2011, 6(12):e28319. |
| [18] | Hsiao T Y, Holmes B, Blanch H W. Identification and functional analysis of a delta-6 desaturase from the marine microalga Glossomastix chrysoplasta. Marine Biotechnology, 2007, 9(2):154-165. |
| [19] | Iskandarov U, Khozin-Goldberg I, Cohen Z. Identification and characterization of Δ12, Δ6, and Δ5 desaturases from the green microalga Parietochloris incisa. Lipids, 2010, 45(6):519-530. |
| [20] | Kajikawa M, Yamato K T, Kohzu Y, et al. Isolation and characterization of Δ6-desaturase, an ELO-like enzyme and Δ5-desaturase from the liverwort Marchantia polymorpha and production of arachidonic and eicosapentaenoic acids in the methylotrophic yeast Pichia pastoris. Plant Molecular Biology, 2004, 54(3):335-352. |
| [21] | Kim S H, Kim J B, Kim S Y, et al. Functional characterization of a delta 6-desaturase gene from the black seabream (Acanthopagrus schlegeli). Biotechnology Letters, 2011, 33(6):1185-1193. |
| [22] | Ma X, Yu J, Zhu B, et al. Cloning and characterization of a delta-6 desaturase encoding gene from Nannochloropsis oculata. Chinese Journal of Oceanology and Limnology, 2011, 29:290-296. |
| [23] | Zahringer U, Domergue F, Abbadi A, et al. In vivo characterization of the first acyl-CoA delta6-desaturase from a member of the plant kingdom, the microalga Ostreococcus tauri. Biochem J, 2005, 389:483-490. |
| [24] | 奥斯伯.精编分子生物学实验指南.第5版.北京:科学出版社, 2008.545-581. Ausubel F. Short Protocols in Molecular Biology. Fifth ed. Beijing:Science Press, 2008.545-581. |
| [25] | Zhang B, Rong C, Chen H, et al. De novo synthesis of trans-10, cis-12 conjugated linoleic acid in oleaginous yeast Yarrowia lipolytica. Microb Cell Fact, 2012, 11(1):51. |
2015, Vol. 35


