文章信息
- 赵露, 邵梦圆, 印唐臣, 孙蒙, 刘绮颖, 喻林, 王坚
- Zhao Lu, Shao Mengyuan, Yin Tangchen, Sun Meng, I Weng Lao, Yu Lin, Wang Jian
- BRAF突变型胃肠间质瘤15例临床病理和分子遗传学分析
- BRAF-mutated gastrointestinal stromal tumors: a clinicopathological and molecular study of 15 cases
- 实用肿瘤杂志, 2025, 40(5): 439-446
- Journal of Practical Oncology, 2025, 40(5): 439-446
基金项目
- 空军军医大学临床科研项目(校科2022-7号);空军特色医学中心优秀人才计划项目(22BJQN004)
-
通信作者
- 喻林,Email:7911993fu@163.com
-
文章历史
- 收稿日期:2025-06-30
2. 复旦大学上海医学院肿瘤学系,上海 200032
2. Department of Oncology, Shanghai Medical College, Fudan University, Shanghai 200032, China
胃肠间质瘤(gastrointestinal stromal tumor, GIST)是起源于Cajal间质细胞(interstitial cells of Cajal, ICC)最常见的胃肠道间叶源性肿瘤,好发于中老年人,可见于消化道任何部位,但多发于胃[1]。分子遗传学上,约85%~90%的GIST存在KIT原癌基因受体酪氨酸激酶(KIT proto-oncogene receptor tyrosine kinase, KIT)或血小板衍生生长因子受体α(platelet derived growth factor receptor alpha, PDGFRA)基因获得性突变;10%~15%的病例未检测到KIT和PDGFRA基因突变,称为野生型GIST[2-3]。野生型GIST根据是否存在琥珀酸脱氢酶(succinate dehydrogenase, SDH)功能缺陷可分为SDH缺陷型和非SDH缺陷型,并在此基础上进行亚分类[4]。根据基因突变类型和临床表现,前者可进一步分为散发性、Carney三联征相关性和Carney-Stratakis综合征相关性[5];而后者可进一步分类为神经纤维瘤1型(neurofibromatosis 1, NF1)相关突变型、B-Raf原癌基因丝氨酸/苏氨酸蛋白激酶(B-Raf proto oncogene serine/threonine protein kinase, BRAF)突变型、肉瘤病毒癌基因(rat sarcoma viral oncogene homolog, RAS)突变型和四重野生型[6-9]。野生型GIST中,最常见的类型为SDH缺陷型GIST,其次为NF1相关突变型GIST。BRAF突变型GIST非常罕见,由于其发病率极低,相关报道病例有限。其临床特征、组织学形态、免疫表型和分子遗传学特征尚未见大宗系列病例分析。本文回顾性分析单中心15例具有完整临床病理和随访资料并经二代测序(next-generation sequencing, NGS)证实的BRAF突变型GIST,详细剖析其临床病理特征、分子遗传学特征和预后,探讨BRAF突变型GIST的临床病理特征和预后相关因素,以提高对BRAF突变型GIST的认识和诊治水平,为改善患者预后提供更多的参考依据。
1 资料与方法 1.1 资料收集复旦大学附属肿瘤医院病理科于2017年1月至2025年4月期间经一代测序未检测到KIT基因第9、11、13、14、17与18外显子和PDGFRA基因第12、14与18外显子突变的野生型GIST共117例。通过琥珀酸脱氢酶B(succinate dehydrogenase B, SDHB)免疫组织化学检测将其分为SDH缺陷型GIST(48例,41.0%)和非SDH缺陷型野生型GIST(69例,59.0%);再对非SDH缺陷型野生型GIST进行NGS检测,筛选出15例BRAF基因突变型GIST,占野生型GIST的12.8%。本研究通过复旦大学附属肿瘤医院伦理委员会审核批准(审批号:050432-4-2307e)。
1.2 免疫组织化学染色免疫组织化学检测采用全自动免疫组织化学仪(Bench Mark XT,Roche公司,瑞士)EnVision二步法,采用二氨基联苯胺(diaminobenzidine, DAB)显色,苏木精对比染色,在白光显微镜下进行观察并判读结果。免疫组织化学采用的一抗包括CD117(克隆号9.7,工作液,Roche公司,瑞士)、discovered on GIST-1(DOG1;克隆号SP31,工作液,福州迈新公司)、CD34(克隆号QBend/10,工作液,福州迈新公司)、S-100(多克隆,稀释比1∶700,Dako公司,丹麦)、平滑肌肌动蛋白(smooth muscle actin, SMA;克隆号1A4,稀释比1∶200; Dako公司,丹麦)、desmin(克隆号D33,稀释比1∶250,Dako公司,丹麦)、Ki-67(克隆号MIB1,稀释比1∶1 000,Dako公司, 丹麦)、SDHB(克隆号21A11AE7,稀释比1∶200,Abcam公司,英国)和BRAF(克隆号VE1,工作液,Roche公司,瑞士)。免疫组织化学染色结果判定:高倍镜(×400)下随机选取10个代表性视野,计算细胞阳性率=阳性肿瘤细胞数/总肿瘤细胞数×100%。细胞阳性率0%~5%为阴性,6%~100%为阳性。
1.3 NGS和生物信息学分析制备石蜡包埋组织切片10张,按DNA提取试剂盒说明书(Qubit® dsDNA HS Assay Kit试剂盒,Thermo Fisher公司,美国)对受检者标本进行基因组DNA提取。采用Qubit® dsDNA HS Assay Kit试剂盒(Thermo Fisher公司,美国)在Qubit 3.0荧光定量仪(Thermo Fisher公司,美国)中检测DNA浓度。制备文库前评估核酸质量,包括纯度、浓度和完整性分析。使用复旦大学附属肿瘤医院病理科分子实验室自建的MGG-57 panel(包含57个黑色素瘤、胃肠道间质瘤和胶质瘤的诊断和治疗相关基因)[10]在Illumina NextSeq 500系统平台(Illumina公司,美国)进行靶向测序。测序质控参数和评价标准包括平均测序深度≥1 000×、文库均一性≥90%和上靶覆盖度≥90%,所有样本测序质控评估均合格。测序原始数据经过滤后,进行生物信息学分析。测序结果使用STAR Fusion软件将序列结果与人参考序列GRCh37进行比对分析,最后通过IGV软件对融合转录本进行审校。测序结果使用STAR Fusion软件,以GRCh37/hg19为参考序列,检测分析覆盖的区域为全部热点外显子区域和部分基因内含子。检测变异丰度≥1%的基因被纳入分析,最后通过IGV软件对融合转录本进行审校。根据2017年美国分子病理学协会(Association for Molecular Pathology, AMP)/美国临床肿瘤学会(American Society of Clinical Oncology, ASCO)/美国病理学家协会(College of American Pathologists, CAP)联合制定的体细胞变异解读指南[11],将基因变异按照其临床意义的重要性分为4个等级:Ⅰ类变异,具有明确的临床意义;Ⅱ类变异,具有潜在的临床意义;Ⅲ类变异,临床意义不明;Ⅳ类变异,良性或可能良性变异。本研究仅保留和分析Ⅰ和Ⅱ类变异。
1.4 肿瘤危险度分级评估参考2008年美国国立卫生研究院(National Institutes of Health, NIH)的分级标准[12],将GIST分为极低、低、中和高危险度,评估指标包括肿瘤大小、每5 mm2下的核分裂计数和肿瘤部位等。
1.5 随访通过门诊或电话随访,收集患者的术后生存情况、术后靶向治疗情况和肿瘤复发或转移部位等信息。随访间隔时间为6个月,末次随访日期为2025年4月30日。
1.6 统计学分析采用GraphPad Prism 10.1.2软件进行统计学分析。组间比较采用χ2检验或Fisher精确检验。以P < 0.05为差异具有统计学意义。
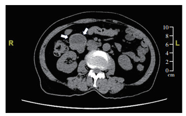
2 结果 2.1 临床特征15例BRAF突变型GIST患者中,男性8例,女性7例,男女比例1∶0.9,无明显性别差异。所有病例均发生于成年患者,发病年龄34~76岁,平均56岁,中位53岁(表 1)。临床上,大部分病例无明显临床症状,多为体检偶然发现(10例);少数表现为上腹部不适或疼痛(2例);另3例(20.0%)因胃癌根治术,被误以为肿大淋巴结而偶然发现。7例(46.7%)术前接受消化道内镜检查,内镜下绝大多数表现为隆起型肿块,黏膜表面常完整,少数伴有糜烂,无溃疡形成;而在超声内镜下表现为边界规则的实性肿块,内部回声欠均匀,彩色多普勒血流显像(color Doppler flow imaging, CDFI)可见血流信号较丰富,弹性成像质地较硬。8例(53.3%)术前接受腹盆部CT或MRI检查,多表现为消化道均质实性圆形或椭圆形肿块,少数伴有出血和囊性变(图 1)。15例均为原发肿瘤,肿瘤发生部位包括胃10例(66.7%)、十二指肠3例(20.0%)和空肠2例(13.3%)。发生于胃和小肠(包括十二指肠和空肠)的病例在性别、发病年龄和肿瘤最大径方面比较,差异均无统计学意义(均P > 0.05)。肿瘤以单发性为主(14/15,93.3%),仅1例(1/15,6.7%)为多发性,肿瘤数目为2个。肿瘤最大径0.5~25 cm,平均3.7 cm,中位1.5 cm,6例为肿瘤最大径≤1 cm的微小GIST。多发性肿瘤仅计入体积最大者。
| 序号 | 性别 | 年龄(岁) | 肿瘤部位 | 肿瘤数目 | 肿瘤最大径(cm) | 组织形态 | 核分裂象计数(个/5 mm2) | NIH分级 | 其他恶性肿瘤 | BRAF基因 | 其他分子改变 | 手术治疗 | 靶向治疗 | 生存情况(月) |
| 1 | 男 | 61 | 空肠 | 单发 | 5 | 梭形 | > 10 | 高危 | 无 | p.V600E | 1p | 手术 | 有 | 无瘤生存:12 |
| 2 | 女 | 53 | 空肠 | 单发 | 25 | 梭形 | ≤5 | 高危 | 无 | p.V600E | 1p | 手术 | 有 | 无瘤生存:12 |
| 3 | 男 | 59 | 胃 | 单发 | 2.3 | 梭形 | ≤5 | 低危 | 无 | p.V600E | 无 | 内镜 | 无 | 无瘤生存:40 |
| 4 | 女 | 59 | 胃 | 单发 | 0.8 | 梭形 | ≤5 | 极低危 | 无 | p.V600E | 无 | 内镜 | 无 | 无瘤生存:26 |
| 5 | 男 | 40 | 胃 | 单发 | 0.7 | 上皮样 | ≤5 | 极低危 | 无 | p.V600E | 无 | 内镜 | 无 | 无瘤生存:12 |
| 6 | 女 | 47 | 胃 | 单发 | 0.7 | 梭形 | ≤5 | 极低危 | 无 | p.V600E | 无 | 内镜 | 无 | 无瘤生存:23 |
| 7 | 女 | 52 | 十二指肠 | 单发 | 2.5 | 梭形 | ≤5 | 低危 | 无 | p.V600E | NF1 | 手术 | 无 | 无瘤生存:12 |
| 8 | 男 | 48 | 十二指肠 | 单发 | 7.5 | 梭形 | > 10 | 高危 | 无 | p.V600E | 无 | 手术 | 有,耐药进展 | 带瘤生存:48 |
| 9 | 女 | 48 | 胃 | 单发 | 0.7 | 梭形 | ≤5 | 极低危 | 乳腺癌 | p.V600E | 无 | 内镜 | 无 | 无瘤生存:50 |
| 10 | 男 | 73 | 胃 | 单发 | 0.5 | 梭形 | ≤5 | 极低危 | 胃腺癌 | p.V600E | 无 | 手术 | 无 | 无瘤生存:2 |
| 11 | 男 | 48 | 胃 | 单发 | 1 | 梭形 | ≤5 | 极低危 | 甲状腺乳头状癌 | p.V600E | 无 | 内镜 | 无 | 无瘤生存:25 |
| 12 | 男 | 68 | 胃 | 多发(n=2) | 1.1 | 梭形 | ≤5 | 极低危 | 胃腺癌 | p.V600E | BAP1 | 手术 | 无 | 无瘤生存:48 |
| 13 | 女 | 34 | 胃 | 单发 | 2.5 | 梭形 | ≤5 | 低危 | 乳腺癌 | p.V600E | 无 | 手术 | 无 | 无瘤生存:10 |
| 14 | 女 | 76 | 十二指肠 | 单发 | 4.0 | 梭形 | ≤5 | 低危 | 乳腺癌 | p.V600E | 无 | 手术 | 无 | 无瘤生存:22 |
| 15 | 男 | 73 | 胃 | 单发 | 1.5 | 梭形 | ≤5 | 极低危 | 胃腺癌 | p.V600E | 无 | 手术 | 无 | 无瘤生存:1 |
| 注 NIH:美国国立卫生研究院(National Institutes of Health);BRAF:B-Raf原癌基因丝氨酸/苏氨酸蛋白激酶(B-Raf proto oncogene serine/threonine protein kinase);NF1:神经纤维瘤1型(neurofibromatosis 1);BAP1:BRCA1关联蛋白1(BRCA1 associated deubiquitinase 1) | ||||||||||||||
|
| 注 腹部CT扫描示十二指肠降段囊实性结节状肿块(箭头示) 图 1 BRAF突变型胃肠间质瘤的影像学表现 Fig.1 Imaging manifestations of BRAF-mutated gastrointestinal stromal tumors |
7例(46.7%)患者同时或异时性发生其他恶性肿瘤,包括乳腺癌(3例)、胃腺癌(3例)和甲状腺乳头状癌(1例)。伴发和未伴发其他恶性肿瘤的病例在性别、发病年龄、肿瘤部位和肿瘤最大径上比较,差异均无统计学意义(均P > 0.05)。
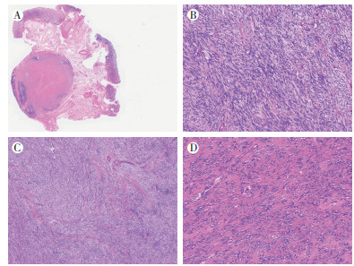
2.2 组织学形态7例(46.7%)肿瘤位于黏膜下,4例(26.7%)位于浆膜下,3例(20.0%)占据黏膜下至浆膜层,1例(6.7%)位于肌壁内(图 2A)。肿瘤多呈膨胀性生长,无明显异型性和坏死。组织学分型主要为梭形细胞型(14/15,93.3%;表 1,图 2B),1例为上皮样型(1/15,6.7%)。梭形细胞型肿瘤细胞多稀疏分布,形态温和,呈交织的条束状或鱼骨样排列(图 2C),间质中可见较明显的胶原纤维(图 2D),个别病例间质伴钙化和黏液样变性;上皮样型由弥漫片状或巢状排列的上皮样细胞组成。另有1例类似于胃肠型神经鞘瘤,肿瘤周围可见丰富的淋巴细胞浸润和三级淋巴结构,形成所谓的淋巴细胞套(图 2A)。多数病例核分裂象罕见,13例(86.7%)核分裂象计数≤5个/5 mm2,2例(13.3%)核分裂象计数 > 10个/5 mm2。
|
| 注 A:肿瘤位于肌层,瘤周可见丰富的淋巴细胞浸润,形成淋巴套样结构(HE×10);B:肿瘤细胞呈梭形,细胞形态温和,无明显异型性,核分裂象少见(HE×200);C:梭形肿瘤细胞呈条束状或交叉束状排列(HE×100);D:肿瘤间质中可见丰富的胶原间质(HE×200) 图 2 BRAF突变型胃肠间质瘤的组织学改变 Fig.2 Morphological features of BRAF-mutated gastrointestinal stromal tumors |
15例均表达CD117(15/15,100%;图 3A)和DOG1(15/15,100%;图 3B),除1例CD117局灶弱阳性,其余均呈弥漫强阳性。14例表达CD34(图 3C),阳性率为93.3%。15例弥漫阳性表达BRAF(图 3D)。SDHB均未见缺失,S-100、SMA和desmin均阴性。Ki-67增殖指数:13例(86.7%)为≤5%,2例(13.3%)为20%。
|
| 注 A:CD117弥漫阳性;B:DOG1弥漫阳性;C:CD34弥漫阳性;D:BRAF VE1弥漫阳性 图 3 BRAF突变型胃肠间质瘤的免疫表型改变(EnVision×200) Fig.3 Immunohistochemical characteristics of BRAF-mutated gastrointestinal stromal tumors (EnVision×200) |
分子遗传学上,所有BRAF基因突变类型均为错义突变,且突变位点均位于第15号外显子1 799位碱基(c.1799T > A),即第600位蛋白质处缬氨酸被天门冬氨酸所取代(p.Val600Glu,即p.V600E;图 4)。同时伴有BRCA1关联蛋白1(BRCA1 associated deubiquitinase 1, BAP1)基因错义突变(c.102C > A,p.Asp34Glu)和NF1基因错义突变(c.2951G > A,p.Gly984Glu)各1例(6.7%)。另有2例(13.3%)检测到染色体1p缺失。
|
| 注 二代测序显示BRAF基因第15号外显子错义突变c.1799T > A(p.Val600Glu) 图 4 BRAF突变型胃肠间质瘤的分子遗传学改变 Fig.4 Molecular alterations of BRAF-mutated gastrointestinal stromal tumors |
根据2008改良版NIH分级系统:8例(53.3%)为极低危,4例(26.7%)为低危,3例(20.0%)为高危,无中危病例。
2.6 治疗与随访所有病例均获得治疗信息和随访结果,随访时间为1~50个月,中位随访时间22个月(表 1)。15例首次治疗均完整切除肿瘤,外科和内镜手术切除分别为9例(60.0%)和6例(40.0%),术前均未接受靶向治疗。术后3例高危患者接受伊马替尼靶向治疗,其中1例(病例8)术后33个月在服用伊马替尼期间发生局部复发和肝转移,随后增加伊马替尼药物剂量和更换舒尼替尼靶向治疗后均未控制病情,目前带瘤生存;其余14例截止随访时间均无瘤生存。
3 讨论BRAF基因负责编码丝氨酸/苏氨酸蛋白激酶,并通过RAS-Raf激酶(Raf kinase, RAF)-细胞外信号调节激酶(extracellular-signal regulated kinase, ERK)信号通路,通过激活丝裂原活化蛋白激酶(mitogen-activated protein kinase, MAPK)途径调控细胞周期和细胞对生长信号的反应[13]。BRAF基因突变主要见于甲状腺乳头状癌、结直肠癌和恶性黑色素瘤等[13]。因病例不同,GIST中检测到的BRAF基因突变发生率并不一致。在444例GIST(包括272例KIT/PDGFRA突变型和172例野生型)中,检测到7例肿瘤发生BRAF突变,占所有GIST的1.6%,占野生型GIST的3.9%[14]。在61例野生型GIST中3例(4.9%)检测到BRAF突变[15]。另有研究报道在野生型GIST病例中BRAF基因突变率为7.1% [7]。对野生型GIST的研究发现,12.9%为BRAF V600E突变型GIST,是第三常见的野生型GIST亚型[8, 16]。有研究分析321例GIST的BRAF基因突变的状态发现,70例野生型GIST中检测到9例BRAF基因突变,BRAF突变占所有GIST的2.8%,占野生型GIST的12.9% [16]。国内研究报道的283例原发性GIST中BRAF突变10例,突变率为3.5%[17]。综上所述,BRAF基因突变频率在GIST中总体偏低,野生型GIST中BRAF基因突变发生率约为3%~13%。本研究中野生型GIST中BRAF基因突变发生率为12.8%,与上述报道基本一致。
野生型GIST中,SDH缺陷型GIST多见于儿童和年轻人,几乎均发生于胃,组织形态学多为上皮样细胞型,临床常早期出现肝脏和淋巴结转移[5];而NF1相关突变型GIST在临床上多有NF1综合征背景,好发于小肠,常表现为多发性肿瘤,生物学行为一般惰性[6]。有学者总结37例国外研究报道的BRAF突变GIST的临床病理特征发现,男女性别无明显差异,多见于老年人,平均年龄58.9岁;主要发生于小肠,其次为胃,偶可发生于食管和直肠;以单发为主,偶可多发;肿瘤直径0.4~20.0 cm,平均5.5 cm,中位4.5 cm[14]。本研究中,BRAF突变型GIST主要为中老年人,但发病部位主要为胃,与国外研究报道稍有不同[14]。值得注意的是,国内相关报道的BRAF突变型GIST中,相较于小肠,胃是更为多见的发病部位[17],与本研究的结果基本一致。
组织学上,多数BRAF突变型GIST病例呈梭形细胞形态,肿瘤细胞形态较温和,细胞异型性不明显,部分病例间质可见明显胶原纤维沉积;少数病例呈现上皮样细胞和混合细胞形态。核分裂象计数总体偏低,多数病例≤5个/5 mm2。除BRAF VE1免疫组织化学染色阳性外,BRAF突变型GIST并未发现其他特殊的免疫表型,肿瘤细胞CD117和DOG1呈弥漫强阳性,均不表达SMA、S-100蛋白和desmin。有研究报道,免疫组织化学标志BRAF抗体VE1在筛选BRAF突变型GIST方面有较高的敏感度(81.8%)和特异度(97.5%),提示BRAF VE1可作为一项野生型GIST行分子检测前初步筛选BRAF突变型GIST的有效手段[14]。当常规基因检测显示KIT和PDGFRA野生型,且已排除SDH缺陷型GIST时,可加做便捷的BRAF VE1免疫组织化学染色,若免疫组织化学结果显示弥漫强阳性,提示BRAF突变型GIST可能性大,可进一步行分子检测确认,以帮助制定准确的治疗方案,尤其是进展期或高危GIST患者。
分子遗传学上,GIST中BRAF基因突变位点几乎均为15号外显子错义突变(p.V600E),但也有个别报道BRAF基因突变位点位于第12号外显子[18]。BRAF基因突变在多数情况下几乎与KIT和PDGFRA 基因突变是互相排斥的,但少数情况下也可与KIT或PDGFRA基因突变共同存在[19]。目前,临床预后与BRAF基因突变的相关性尚不明确。本研究中所有病例均为BRAF基因15号外显子错义突变(p.V600E),与既往研究结果一致[14, 17]。
NF1基因是位于17q11.2染色体的肿瘤抑制基因,编码由2 839个氨基酸组成的RAS GTP酶激活蛋白(GTPase-activating protein, GAP),可通过抑制RAS-MAPK信号通路调控细胞生长[20]。NF1基因突变导致该蛋白失活、RAS通路过度激活和RAS-MAPK途径的失调,其中GTP结合的RAS激活RAF-丝裂原活化的细胞外信号调节激酶(mitogen-activated extracellular signal-regulated kinase, MEK)-ERK信号级联来控制增殖。激活的RAS-GTP还刺激磷脂酰肌醇3-激酶(phosphatidylinositol 3-kinase, PI3K)/AKT信号,保护细胞免受细胞凋亡,引发肿瘤。本组病例中1例BRAF基因突变型GIST同时检测到NF1基因的错义突变。BRAF和NF1均参与调控RAS-MAPK信号通路。BRAF基因突变可导致激酶活性异常,而NF1基因失活突变通过减少RAS-GTP水解,持续激活下游信号。两者共突变可能通过双重作用放大MAPK通路活性,促进肿瘤生长和发展。
BAP1蛋白是由BAP1基因编码的一种去泛素化酶,调节与肿瘤相关的多种细胞通路,包括调节组蛋白2A(histone 2A, H2A)和宿主细胞因子C1(host cell factor C1, HCFC1)去泛素化,并调节转录、调控细胞生长和修复DNA损伤等[21]。BAP1已被确立为肿瘤抑制因子,利用其去泛素化活性来调节多种生物过程,包括DNA损伤修复、细胞周期控制、染色质修饰、程序性细胞死亡和免疫反应。早期研究结果表明,BAP1基因作为肿瘤抑制基因,其突变可能影响BAP1蛋白的去泛素化酶活性,或导致其核定位序列缺失,破坏其抑癌功能。BAP1基因的突变主要见于葡萄膜黑色素瘤、恶性间皮瘤、肾细胞癌和皮肤黑色素瘤(非典型Spitz肿瘤)。本组病例中1例同时检测到BAP1基因的错义突变。BAP1基因突变在BRAF突变型GIST中的作用仍需进一步研究验证。
除致病性基因突变之外,GIST中还普遍存在染色体畸变,且一些染色体畸变与GIST的临床特征相关。染色体14q和22q缺失为GIST肿瘤发生中的早期事件[22]。染色体8q、3q和17q获得与肿瘤侵袭性行为具有相关性[23]。此外,14q缺失与原发于胃、核型稳定和预后良好的临床行为相关,而1p缺失与原发于小肠、核型复杂和不良预后的临床行为相关[23-25]。本组2例BRAF突变型GIST通过NGS检测存在1p缺失,与既往研究结果一致[23-25],2例肿瘤均发生于小肠且均为高危GIST。
GIST可能与其他恶性肿瘤合并存在。研究报道,GIST合并其他第二恶性肿瘤的总体发生率为4.5%~33%,平均为13%[26]。本研究中,近50%(7/15)的BRAF基因突变型GIST病例同时或异时性合并发生其他恶性肿瘤,相对偏高。虽然关于多发性原发肿瘤的发病机制目前尚未明确,但因合并的GIST生物学危险度极低,临床常不需对此做进一步的处理,也不影响相应肿瘤的治疗和预后判断。本组病例中合并其他恶性肿瘤患者的临床预后和生存期还有待进一步的追踪随访。
目前,GIST在完整切除术后最常采用2008改良版NIH危险度分级系统进行的复发危险度分级评估。其主要根据肿瘤大小、肿瘤部位、核分裂象计数和肿瘤是否破裂等指标,分为极低危、低危、中危和高危[12]。国内外的研究数据均显示,BRAF基因突变GIST以极低危和低危为主,罕见高危,疾病罕见进展,整体预后较好[14, 17, 27]。本研究也显示,80.0%(12/15)的病例为极低危和低危,20.0%(3/15)的病例为高危,且3例高危病例中1例在术后进行伊马替尼靶向治疗期间发生局部复发和肝转移,高危病例的复发或转移率为33.3%(1/3)。这与国内相关研究报道的结果(约40.0%的高危病例发生复发)基本一致[27]。
尽管BRAF基因突变频率在GIST中总体偏低,但其在临床治疗上却具有重要意义。体外研究结果显示,在GIST中BRAF V600E突变对伊马替尼耐药;其耐药机制为BRAF位于KIT下游,且V600E位于BRAF激酶区域,突变导致不依赖于KIT的细胞增长,因此BRAF基因突变肿瘤失去对KIT抑制剂治疗的敏感性[8]。本组病例中1例在术后进行伊马替尼靶向治疗期间发生局部复发和肝转移,后增加伊马替尼剂量和改用舒尼替尼治疗,但治疗效果仍不佳。这例真实世界病例提示,BRAF突变型GIST对KIT抑制剂治疗不敏感,也从临床实践层面印证了上述BRAF突变型GIST的体外研究结果[8]。
达拉非尼(dabrafenib)是一种ATP竞争性BRAF激酶抑制剂。有报道,1例BRAF V600E突变型GIST患者在接受BRAF抑制剂达拉非尼治疗时肿瘤出现退缩,治疗24周时肿瘤体积缩小20%,但治疗第8个月时出现肿瘤进展,经全基因组分析发现PIK3CA(H1047R)功能增强性突变,可能与达拉菲尼耐药相关[28]。目前,美国食品药品管理局(Food and Drug Administration, FDA)已批准达拉非尼联合或不联合曲美替尼(MEK抑制剂)作为泛癌种疗法应用于BRAF V600E突变实体瘤的治疗。国内《BRAF抑制剂治疗恶性实体肿瘤专家共识(2024版)》建议达拉非尼联合联合曲美替尼可作为BRAF V600E突变GIST的二线治疗[29]。BRAF抑制剂可为具有BRAF基因突变的GIST患者带来潜在获益,为该类人群提供了可能的个体化治疗选择。但由于晚期BRAF突变型GIST罕见,采用BRAF抑制剂治疗的病例有限,其持续疗效尚需积累更多病例和更长的随访进行验证。
综上所述,BRAF突变型GIST罕见,以中老年患者多见,好发于胃和小肠;肿瘤以单发多见,偶为多发。组织学形态以梭形细胞型为主,上皮样型偶见;几乎所有病例均表达CD117、DOG1和CD34;BRAF V600E免疫组织化学检测可用于BRAF突变型GIST的初筛,但确诊需依赖基因突变检测。BRAF突变型GIST多为极低危和低危GIST,预后良好。高危或晚期患者可能从BRAF抑制剂治疗中获益。
利益冲突 所有作者声明无利益冲突
| [1] |
Blay JY, Kang YK, Nishida T, et al. Gastrointestinal stromal tumours[J]. Nat Rev Dis Primers, 2021, 7(1): 22. DOI:10.1038/s41572-021-00254-5 |
| [2] |
Casali PG, Blay JY, Abecassis N, et al. Gastrointestinal stromal tumours: ESMO-EURACAN-GENTURIS Clinical Practice Guidelines for diagnosis, treatment and follow-up[J]. Ann Oncol, 2022, 33(1): 20-33. DOI:10.1016/j.annonc.2021.09.005 |
| [3] |
Nishida T, Naito Y, Takahashi T, et al. Molecular and clinicopathological features of KIT/PDGFRA wild-type gastrointestinal stromal tumors[J]. Cancer Sci, 2024, 115(3): 894-904. DOI:10.1111/cas.16058 |
| [4] |
Florou V, Jacobs MF, Casey R, et al. A review of genomic testing and SDH- deficiency in gastrointestinal stromal tumors: getting to the GIST[J]. Cancer Med, 2025, 14(3): e70669. DOI:10.1002/cam4.70669 |
| [5] |
Dedousis D, Gadra E, Van Galen J, et al. Recent advances in succinate dehydrogenase deficient gastrointestinal stromal tumor systemic therapies[J]. Curr Treat Options Oncol, 2025, 26(4): 227-240. DOI:10.1007/s11864-025-01304-w |
| [6] |
陈振光, 罗瑶, 吴松阳, 等. Ⅰ型神经纤维瘤病相关胃肠间质瘤的临床病理特征及靶向治疗研究[J]. 浙江临床医学, 2025, 27(2): 259-261, 265. |
| [7] |
Agaimy A, Terracciano LM, Dirnhofer S, et al. V600E BRAF mutations are alternative early molecular events in a subset of KIT/PDGFRA wild-type gastrointestinal stromal tumours[J]. J Clin Pathol, 2009, 62(7): 613-616. DOI:10.1136/jcp.2009.064550 |
| [8] |
Miranda C, Nucifora M, Molinari F, et al. KRAS and BRAF mutations predict primary resistance to imatinib in gastrointestinal stromal tumors[J]. Clin Cancer Res, 2012, 18(6): 1769-1776. DOI:10.1158/1078-0432.CCR-11-2230 |
| [9] |
Pantaleo MA, Nannini M, Corless CL, et al. Quadruple wild-type (WT) GIST: defining the subset of GIST that lacks abnormalities of KIT, PDGFRA, SDH, or RAS signaling pathways[J]. Cancer Med, 2015, 4(1): 101-103. DOI:10.1002/cam4.325 |
| [10] |
Qi P, Yao QL, Weng Lao I, et al. A custom next-generation sequencing panel for 1p/19q codeletion and mutational analysis in gliomas[J]. J Neuropathol Exp Neurol, 2024, 83(4): 258-267. DOI:10.1093/jnen/nlae011 |
| [11] |
Li MM, Datto M, Duncavage EJ, et al. Standards and guidelines for the interpretation and reporting of sequence variants in cancer: a joint consensus recommendation of the Association for Molecular Pathology, American Society of Clinical Oncology, and College of American Pathologists[J]. J Mol Diagn, 2017, 19(1): 4-23. DOI:10.1016/j.jmoldx.2016.10.002 |
| [12] |
《胃肠间质瘤病理诊断临床实践指南(2022版)》编写专家委员会. 胃肠间质瘤病理诊断临床实践指南(2022版)[J]. 中华病理学杂志, 2022, 51(10): 959-969. |
| [13] |
Wang WX, Lian B, Xu CW, et al. Expert consensus on the diagnosis and treatment of solid tumors with BRAF mutations[J]. Innov, 2024, 5(6): 100661. |
| [14] |
Huss S, Pasternack H, Ihle MA, et al. Clinicopathological and molecular features of a large cohort of gastrointestinal stromal tumors (GISTs) and review of the literature: BRAF mutations in KIT/PDGFRA wild-type GISTs are rare events[J]. Hum Pathol, 2017, 62: 206-214. DOI:10.1016/j.humpath.2017.01.005 |
| [15] |
Agaram NP, Wong GC, Guo TH, et al. Novel V600E BRAF mutations in imatinib-naive and imatinib-resistant gastrointestinal stromal tumors[J]. Genes Chromosomes Cancer, 2008, 47(10): 853-859. DOI:10.1002/gcc.20589 |
| [16] |
Hostein I, Faur N, Primois C, et al. BRAF mutation status in gastrointestinal stromal tumors[J]. Am J Clin Pathol, 2010, 133(1): 141-148. DOI:10.1309/AJCPPCKGA2QGBJ1R |
| [17] |
时姗姗, 王璇, 夏秋媛, 等. BRAFV600E突变型胃肠间质瘤10例临床病理特征[J]. 诊断病理学杂志, 2017, 24(10): 737-741. |
| [18] |
Haefliger S, Marston K, Juskevicius D, et al. Molecular profile of gastrointestinal stromal tumors in sixty-eight patients from a single Swiss institution[J]. Pathobiology, 2020, 87(3): 171-178. DOI:10.1159/000505407 |
| [19] |
Ja?ek K, Váňová B, Grendár M, et al. BRAF mutations in KIT/PDGFRA positive gastrointestinal stromal tumours (GISTs): Is their frequency underestimated?[J]. Pathol Res Pract, 2020, 216(11): 153171. DOI:10.1016/j.prp.2020.153171 |
| [20] |
Huang JM, Yang K, Wang YP, et al. Unraveling novel variants in the NF1 gene and investigating potential therapeutic strategies[J]. Sci Rep, 2025, 15(1): 24008. DOI:10.1038/s41598-025-07318-6 |
| [21] |
Elsayed AM, Kittaneh M, Cebulla CM, et al. An overview of BAP1 biological functions and current therapeutics[J]. Biochim Biophys Acta Rev Cancer, 2025, 1880(2): 189267. DOI:10.1016/j.bbcan.2025.189267 |
| [22] |
Breiner JA, Meis-Kindblom J, Kindblom LG, et al. Loss of 14q and 22q in gastrointestinal stromal tumors (pacemaker cell tumors)[J]. Cancer Genet Cytogenet, 2000, 120(2): 111-116. DOI:10.1016/S0165-4608(00)00212-0 |
| [23] |
Debiec-Rychter M, Lasota J, Sarlomo-Rikala M, et al. Chromosomal aberrations in malignant gastrointestinal stromal tumors: correlation with c-KIT gene mutation[J]. Cancer Genet Cytogenet, 2001, 128(1): 24-30. DOI:10.1016/S0165-4608(01)00395-8 |
| [24] |
Silva M, Veiga I, Ribeiro FR, et al. Chromosome copy number changes carry prognostic information independent of KIT/PDGFRA point mutations in gastrointestinal stromal tumors[J]. BMC Med, 2010, 8: 26. DOI:10.1186/1741-7015-8-26 |
| [25] |
Gunawan B, von Heydebreck A, Sander B, et al. An oncogenetic tree model in gastrointestinal stromal tumours (GISTs) identifies different pathways of cytogenetic evolution with prognostic implications[J]. J Pathol, 2007, 211(4): 463-470. DOI:10.1002/path.2128 |
| [26] |
Agaimy A, Wünsch PH, Sobin LH, et al. Occurrence of other malignancies in patients with gastrointestinal stromal tumors[J]. Semin Diagn Pathol, 2006, 23(2): 120-129. DOI:10.1053/j.semdp.2006.09.004 |
| [27] |
任磊, 袁伟, 黄雯, 等. BRAF V600E突变型胃肠间质瘤13例临床病理及预后分析[J]. 临床与实验病理学杂志, 2023, 39(4): 404-409. |
| [28] |
Falchook GS, Trent JC, Heinrich MC, et al. BRAF mutant gastrointestinal stromal tumor: first report of regression with BRAF inhibitor dabrafenib (GSK2118436) and whole exomic sequencing for analysis of acquired resistance[J]. Oncotarget, 2013, 4(2): 310-315. DOI:10.18632/oncotarget.864 |
| [29] |
中华医学会肿瘤学分会, 中国临床肿瘤学会罕见肿瘤委员会. BRAF抑制剂治疗恶性实体肿瘤专家共识(2024版)[J]. 中华肿瘤杂志, 2024, 46(10): 919-929. |
2025, Vol. 40


