扩展功能
文章信息
- 颜琳, 高洁, 张毅鹏, 王红梅, 陈勤, 沈咏梅, 岳碧松, 张修月
- YAN Lin, GAO Jie, ZHANG Yipeng, WANG Hongmei, CHEN Qin, SHEN Yongmei, YUE Bisong, ZHANG Xiuyue
- 美洲大蠊胸腺素对小鼠毛发生长的影响研究
- Effects of Periplaneta americana Thymosin on Hair Growth of Mouse Model
- 四川动物, 2021, 40(5): 489-496
- Sichuan Journal of Zoology, 2021, 40(5): 489-496
- 10.11984/j.issn.1000-7083.20210023
-
文章历史
- 收稿日期: 2021-01-20
- 接受日期: 2021-05-21
2. 药用美洲大蠊四川省重点实验室, 好医生药业集团有限公司, 成都 610031;
3. 中齐建设工程有限公司, 成都 610094
2. Sichuan Key Laboratory of Medicinal Periplaneta americana, Chengdu 610031, China;
3. Zhongqi Construction Engineering Co. Ltd., Chengdu 610094, China
毛发生长是一个复杂的过程,受营养、环境、遗传和生理水平等多种因素的影响(王婷等,2013)。脱发是一种由多种因素引起的头部毛发脱落的常见疾病,脂溢性脱发、斑秃等问题一直是临床治疗的难题。目前,临床上针对脱发的药物很少,限制了对脱发等疾病的有效治疗。
胸腺素最初是从小牛胸腺提取的一种淋巴细胞生长因子,分为α、β、γ三类。有关β族胸腺素的研究最多,其中Tβ4是β族胸腺素中的主要成员,脊椎动物Tβ4有多种功能,如促血管生成和伤口愈合(Badamchian et al., 2003;Kim et al., 2011;于虎等,2011)、肿瘤转移(Cha et al., 2003;马艺欣,2017)、促细胞迁移(Freeman et al., 2011)等,且Tβ4的应用研究已进入临床阶段。此外,多个研究还发现,脊椎动物Tβ4与毛囊发育和毛发生长周期的调节有密切联系,对毛发生长有促进作用(Cha et al., 2010;李晔等,2014;高笑宇,2015)。目前关于无脊椎动物胸腺素的研究较少,但研究发现,它们与脊椎动物Tβ4有类似的功能,如激素调节(Tanaka,2012)、促伤口愈合(Hinkel et al., 2015;何文耀等,2018)、参与免疫应答(周鑫鑫,2018)等。美洲大蠊Periplaneta americana是一种传统药用昆虫,其醇提物具有促伤口愈合与组织修复(何正春等,2007)、增强机体免疫(周琼等,2008)、抗肿瘤(王飞等,2011)等功能,但其药效成分和药理尚不清楚。本研究首次探讨了美洲大蠊胸腺素对小鼠毛发生长的影响,并对促毛发生长的作用机理进行了初步探讨,为美洲大蠊潜在药用价值开发和应用提供基础数据。
1 实验材料和方法 1.1 实验动物90只实验用C57BL/6小鼠购自四川大学实验动物中心,实验动物生产许可证号:SCXK(川)2018-026,实验动物使用许可证号:SYXK(川)2018-185,雄性,周龄为7~8周,体质量为15~20 g,按照屏障系统设施要求进行饲养环境管理。小鼠饲料和垫料均为SPF级,购自成都达硕生物公司。
1.2 实验试剂及耗材美洲大蠊胸腺素THY1、THY2、THY3由本实验室原核表达纯化获得(Jing et al., 2019)。人源胸腺素Tβ4购自肽佳生物(批号:800034)。PBS、qPCR八连管、脱脂棉、手术剪、镊子、直尺和冻存管均购自成都奥克公司。脱毛膏(批号:83155367,日本Veet)。动物总RNA提取试剂盒、反转录试剂盒和2×Taq SYBR Green qPCR Mix购自北京聚合美生物科技有限公司。4%多聚甲醛购自成都奥创公司。
1.3 主要设备仪器荧光定量PCR仪:Bio-Rad(型号:CFX96 Touch);普通光学显微镜:日本Olympus(型号:CX23);正置荧光显微镜:Leica(型号:DM4 B)。
1.4 动物模型制备及给药将C57BL/6小鼠放于室温18~22 ℃、相对湿度30%~50%的动物房中适应性饲养1周后,随机分成5组:Tβ4组(阳性对照组)、THY1组、THY2组、THY3组和PBS组(空白对照组),每组18只。将小鼠背部毛发用电动剃毛器剔除后,均匀涂抹脱毛膏,面积约为2 cm×2 cm。放置2 min后,轻轻用脱脂棉擦去皮肤表面的脱毛膏,并用温水清洗干净。
脱毛24 h后,将不同的药物直接涂抹于小鼠脱毛区光滑无伤痕的背部皮肤上,给药体积为50 μL,THY1组、THY2组、THY3组和Tβ4组的药物浓度均为500 μg·mL-1,每24 h给药一次,每隔48 h拍照一次。观察不同组毛发生长情况。
1.5 小鼠背部皮肤组织学观察在实验第6天、第12天和第18天,每组随机取5只小鼠背部皮肤,部分固定在4%多聚甲醛中,部分放在冻存管中并迅速放入液氮罐。将固定后的皮肤组织送成都奥创公司制作皮肤组织的HE切片(纵切,切片厚度为2 μm),在100倍显微镜下观察毛囊的发育情况并统计毛囊数量。
1.6 实时荧光定量PCR将液氮速冻后的皮肤组织放在-80 ℃中保存备用。按照动物总RNA提取试剂盒说明书和反转录试剂盒说明书提取小鼠背部皮肤总RNA,并制备相应的cDNA,-20 ℃保存备用。β-连环蛋白(β-catenin)引物(Kim et al., 2019; F:5’-CCCACTAATGTCCAGCGTTT-3’,R:5’-AACCAAGCATTTTC-ACCAGG-3’)、基质金属蛋白酶-2(MMP-2)引物(Chun et al., 2015;F:5’-ATCGCAGACTCCTG GAATG-3’,R:5’-CCAGCCAGTCTGATTTGATG-3’)和胰岛素样生长因子-1(IGF-1)引物(Jin et al., 2014;F:5’-AGAGACCCTTTGCGGGGTGA-3’,R:5’-CTTCTGAGTCTTGGGCATGT-3’)由成都擎科梓熙生物技术有限公司合成。以β-actin作为内参基因,使用2-ΔΔCt法计算。
1.7 小鼠背部毛发生长情况评估在实验第13~17天,每日从小鼠背部相同位置用镊子取部分毛发进行测量。每组取5只小鼠,每只随机挑选5根毛发并用直尺测量长度,记录毛长情况。
1.8 统计学数据分析使用Graphpad prism 8.4.0进行数据分析,采用单因素方差分析,显著性水平设置为α=0.05。
2 结果 2.1 小鼠背部脱毛区毛发生长情况在造模完成后立即对小鼠背部进行拍照,此后每48 h进行拍照。各组脱毛后,皮肤均呈粉红色,毛发进入休止期。给药6 d后,给药组开始变黑;给药8 d后,给药组明显变黑而PBS组还呈粉红色;给药12 d后,给药组均长出1层细密的毛发,而对照组仅部分区域长出毛发(图 1)。
|
| 图 1 小鼠背部脱毛区皮肤照片 Fig. 1 Hair growth of mice after different treatments |
| |
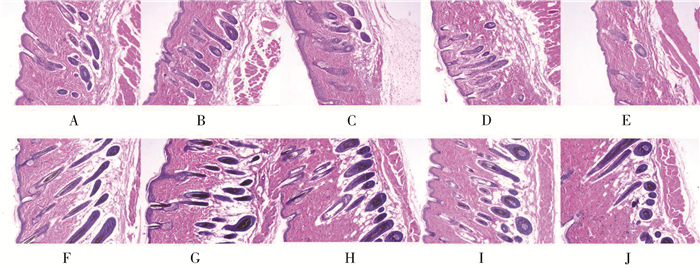
8周龄小鼠毛囊大部分处于休止期(曾明辉,谭正怀,2008),此时的毛囊下段退化,毛乳头上移至立毛肌附着处(江乐文等,2020)。给药6 d后,给药组小鼠毛囊向下生长至皮下深层,进入生长期,而PBS组仍停滞在真皮层;给药12 d后,黑色素囤积,小鼠皮肤毛囊数增多,给药组毛囊数量明显多于PBS组(图 2)。在给药第6天,Tβ4组、PBS组、THY1组、THY2组、THY3组100倍视野毛囊数分别为(21.25±6.29)个、(8.75±2.99)个、(22.75±5.74)个、(20.00±3.65)个、(21.25±6.29)个,给药组多于PBS组,且THY1组与PBS组之间具有显著性差异(P<0.05);在给药第18天,Tβ4组、PBS组、THY1组、THY2组、THY3组100倍视野毛囊数分别为(62.25± 9.74)个、(45.75±4.43)个、(63.75±10.15)个、(63.75±10.91)个、(64.75±4.50)个,给药组明显多于PBS组,差异有统计学意义(P<0.05,P<0.01) (图 3)。
|
| 图 2 小鼠背部皮肤HE染色毛囊(100×,纵切) Fig. 2 Microscopic examination of mice dorsal skin on days 6 and 12 after haematoxylin and eosin (HE)-stain (100×, longitudinal section) A~E. 给药第6天,THY1、THY2、THY3、Tβ4和PBS组;F~J. 给药第12天,THY1、THY2、THY3、Tβ4和PBS组 A-E. THY1, THY2, THY3, Tβ4 and PBS-treated groups on day 6; F-J. THY1, THY2, THY3, Tβ4 and PBS-treated groups on day 12 |
| |
|
| 图 3 切片视野内的毛囊数(100×) Fig. 3 Number of hair follicles in section field (100×) 与PBS组相比,* P<0.05,** P<0.01,*** P<0.001,**** P<0.000 1;下同 Compared with the PBS group, * P < 0.05, ** P < 0.01, *** P < 0.001, **** P < 0.000 1; the same below |
| |
在给药第13天和第14天,THY1组、THY2组、THY3组毛长显著或极显著高于PBS组,而Tβ4组与PBS组间的差异无统计学意义;在给药第15天、第16天和第17天,给药组毛长均显著或极显著长于PBS组(P<0.05,P<0.01,P<0.001,P<0.000 1) (图 4)。
|
| 图 4 小鼠毛长变化 Fig. 4 Hair length change of mice |
| |
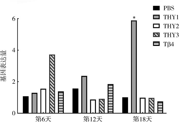
在给药第6天,THY1组、THY2组和THY3组小鼠皮肤内β-catenin表达量均高于PBS组,且THY1组和THY3组与PBS组之间的差异均有统计学意义(P<0.05);在给药第12天,Tβ4组β-catenin表达量高于PBS组,但差异无统计学意义(P>0.05);在给药第12天和第18天,给药组β-catenin表达量均低于PBS组(图 5)。
|
| 图 5 美洲大蠊胸腺素对小鼠皮肤内β-catenin表达的影响 Fig. 5 Effect of Periplaneta americana thymosin on the expression of β-catenin in mouse skin |
| |
在给药第6天,THY2组、THY3组和Tβ4组小鼠皮肤内的MMP-2表达量高于PBS组;在给药第12天和第18天,给药组MMP-2表达量均高于PBS组,且在给药第18天,THY2组与PBS组的差异有统计学意义(P<0.01) (图 6)。
|
| 图 6 美洲大蠊胸腺素对小鼠皮肤内MMP-2表达的影响 Fig. 6 Effect of Periplaneta americana thymosin on the expression of MMP-2 in mouse skin |
| |
在给药第6天,给药组IGF-1表达量均高于PBS组;在给药第12天,THY1组和Tβ4组IGF-1表达量高于PBS组;在给药第18天,THY1组IGF-1表达量显著高于PBS组(P<0.05) (图 7)。
|
| 图 7 美洲大蠊胸腺素对小鼠皮肤内IGF-1表达的影响 Fig. 7 Effect of Periplaneta americana thymosin on the expression of IGF-1 in mouse skin |
| |
毛囊的生长周期分为生长期、退行期和休止期(周乃慧,2008)。C57BL/6小鼠是常用来进行毛发生长观察的动物模型,躯干背部的黑色素细胞只存在于毛囊中(于萍等,2014)。小鼠毛囊在退行期时,黑色素生成减少,皮肤变为灰色(曾明辉,谭正怀,2008)。7周龄C57BL/6小鼠毛发生长开始进入休止期,黑色素的生成完全停止,背部皮肤为粉红色(邢喆等,2004;曾明辉,谭正怀,2008)。而当小鼠背部毛囊进入新的生长周期时,皮肤逐渐变黑,因此可以通过小鼠背部颜色的变化来推断小鼠毛发是否进入生长期。本实验发现,给药组小鼠皮肤变黑明显早于PBS组,毛发生长长度及毛囊数量显著高于PBS组,说明美洲大蠊胸腺素可以增加毛囊数量、促进毛发生长。
Wnt/β-catenin是生物体内一条保守的信号通路,在毛囊发生的起始阶段起到关键的作用(Chodankar et al., 2003)。β-catenin是Wnt/β-catenin信号通路中的关键调控因子,与Let-1相互作用,参与毛发基板的发育(Huelsken et al., 2001)、促进毛发生长与协调毛囊周期(Cadigan & Nusse,1997)。毛囊发育首先形成基板,进而进行形态发生(Huelsken et al., 2001)。Posthaus等(2002)发现,基板发生往往伴随β-catenin表达的上调,敲除β-catenin和Lef1基因的转基因小鼠出生后体表无毛、无胡须。Huelsken等(2001)同样发现敲除小鼠β-catenin基因,毛发生长受到抑制。本研究初步发现,在脱毛的C57BL/6小鼠背部涂抹美洲大蠊胸腺素,β-catenin表达水平在给药第6天明显高于PBS组,且高于Tβ4组,这说明β-catenin在脱毛小鼠背部毛囊发育前期发挥重要作用,美洲大蠊胸腺素可能通过促进β-catenin的表达进而促进小鼠的毛囊发育。
MMP-2是基质金属蛋白酶家族中的主要成员,仅在毛囊、巨噬细胞和汗腺中表达(高笑宇,2015)。Kumar等(2011)发现MMP-2会促进黑素细胞前体(成黑素细胞)从毛囊外根鞘的迁移,从而在毛球部积累并生成黑色素。高笑宇(2015)发现Tβ4可以促进MMP-2的表达从而改变相关信号通路的活性,促进毛囊发育和毛发生长。本研究首次探究并初步发现,除了在给药第6天THY1组小鼠皮肤内MMP-2表达量低于PBS组,其余给药组的均高于PBS组,表明美洲大蠊胸腺素可能通过提高小鼠体内的MMP-2表达来促进上皮细胞的迁移,促进毛囊的生长发育。
IGF-1是一种多功能细胞调控因子,是皮肤毛囊发育过程中的重要因子(Ben-Amitai et al., 2006)。Stenn等(1996)发现外源性的IGF-1能促进体外毛囊的生长,影响次级毛囊的形成和发育。王婷等(2013)发现IGF-1可通过刺激羊驼皮肤成纤维细胞的增殖而促进毛囊的生长发育。本研究发现,THY1蛋白处理的小鼠皮肤IGF-1表达量随时间变化增高;THY2和THY3处理后的小鼠皮肤IGF-1表达量在给药第6天最高,随时间变化降低。这说明不同胸腺素蛋白可能在小鼠毛发生长不同阶段影响小鼠皮肤IGF-1的表达,进而调节小鼠毛发生长。
综上所述,美洲大蠊胸腺素可以促进C57BL/6小鼠的毛发生长。推测美洲大蠊胸腺素可能通过提高β-catenin、
高笑宇. 2015. 胸腺素β4对小鼠毛发生长的影响及其作用机制[D]. 呼和浩特: 内蒙古大学.
|
何文耀, 范嗣刚, 刘宝锁, 等. 2018. 合浦珠母贝胸腺素β4(thymosin beta4)插核损伤和发育时期的表达研究[J]. 南方水产科学, 14(2): 66-74. DOI:10.3969/j.issn.2095-0780.2018.02.009 |
何正春, 彭芳, 宋丽艳, 等. 2007. 美洲大蠊化学成分及药理作用研究进展[J]. 中国中药杂志, 32(21): 2326-2331. DOI:10.3321/j.issn:1001-5302.2007.21.031 |
江乐文, 丁伟佳, 江敏君. 2020. 低能量强脉冲光影响C57BL/6小鼠毛发生长的实验研究[J]. 中外医学研究, 18(18): 10-12. |
李晔, 包旭, 陈曦, 等. 2014. 小鼠毛囊再生与胸腺素β4的促进效应[J]. 中国组织工程研究, 18(11): 1687-1693. DOI:10.3969/j.issn.2095-4344.2014.11.008 |
马艺欣. 2017. Thymosin-β4在非小细胞肺癌中的表达及临床相关性研究[D]. 山东: 大连医科大学.
|
王飞, 徐刚, 周林平. 2011. 康复新联合奥曲肽治疗消化道肿瘤介入治疗后的黏膜损伤18例[J]. 中国中西医结合消化杂志, 19(2): 125-126. |
王婷, 邢海权, 曹靖, 等. 2013. IGF-1对羊驼皮肤成纤维细胞作用的研究[J]. 畜牧兽医学报, 44(6): 880-887. |
邢喆, 屠军波, 杨壮群. 2004. 毛囊体外研究现状[J]. 中国美容医学, 13(5): 626-628. DOI:10.3969/j.issn.1008-6455.2004.05.063 |
于虎, 张国新, 李艳, 等. 2011. 重组Tβ4调节bFGF和TNF-α表达促进糖尿病大鼠皮肤损伤愈合[C]//江苏苏洲: 中华医学会第十次全国内分泌学学术会议论文汇编.
|
于萍, 刘庆华, 杨巧丽, 等. 2014. 奥斯曼生眉液对C57BL/6小鼠毛发生长影响的研究[J]. 中国美容医学杂志, 23(6): 461-464. |
曾明辉, 谭正怀. 2008. 生发乳防治脱发的实验研究[J]. 时珍国医国药, 19(9): 2266-2267. DOI:10.3969/j.issn.1008-0805.2008.09.112 |
周乃慧. 2008. 血管生成素在人毛囊中的表达及其促毛发生长的作用研究[D]. 南京: 南京医科大学.
|
周琼, 吴珍泉, 李忠荣, 等. 2008. 美洲大蠊对低免疫力小鼠免疫功能影响的研究[J]. 福建农林大学学报, 37(5): 519-522. |
周鑫鑫. 2018. 家蚕胸腺素对蚕体抗核型多角体病毒感染能力的影响[J]. 蚕业科学, 44(1): 64-69. |
Badamchian M, Fagarasan MO, Danner RL, et al. 2003. Thymosin β(4) reduces lethality and down-regulates inflammatory mediators in endotoxin-induced septic shock[J]. International Immunopharmacology, 3(8): 1225-1233. DOI:10.1016/S1567-5769(03)00024-9 |
Ben-Amitai D, Lurie R, Laron Z. 2006. I-GF-1 signalling controls the hair growth cycle and the differentiation of hair shafts[J]. Journal of Investigative Dermatology, 125(5): 873-882. |
Cadigan KM, Nusse R. 1997. Wnt signaling: a common theme in animal development[J]. Genes & Development, 11(24): 3286-3305. |
Cha HJ, Jeong MJ, Kleinman HK. 2003. Role of thymosin beta 4 in tumor metastasis and angiogenesis[J]. Journal of the National Cancer Institute, 95(22): 1674-1680. DOI:10.1093/jnci/djg100 |
Cha HJ, Philp D, Lee SH, et al. 2010. Over-expression of thymosin beta 4 promotes abnormal tooth development and stimulation of hair growth[J]. International Journal of Developmental Biology, 54(1): 135-140. DOI:10.1387/ijdb.082735hc |
Chodankar R, Chang CH, Yue Z, et al. 2003. Shift of localized growth zones contributes to skin appendage morphogenesis: role of the Wnt/β-catenin pathway[J]. Journal of Investigative Dermatology, 120(1): 20-26. DOI:10.1046/j.1523-1747.2003.12008.x |
Chun H, Miao Y, Wang J, et al. 2015. Collagenase Ⅳ plays an important role in regulating hair cycle by inducing VEGF, IGF-1, and TGF-β expression[J]. Drug Design Development & Therapy, 9: 5373-5383. |
Freeman KW, Bowman BR, Zetter BR. 2011. Regenerative protein thymosin beta-4 is a novel regulator of purinergic signaling[J]. FASEB Journal, 25(3): 907-915. DOI:10.1096/fj.10-169417 |
Hinkel R, Ball HL, DiMaio JM, et al. 2015. C-terminal variable AGES domain of thymosin beta4:the molecule's primary contribution in support of postischemic cardiac function and repair[J]. Journal of Molecular & Cellular Cardiology, 87: 113-125. |
Huelsken J, Vogel R, Erdmann B, et al. 2001. Beta-catenin controls hair follicle morphogenesis and stem cell differentiation in the skin[J]. Cell, 105(4): 533-545. DOI:10.1016/S0092-8674(01)00336-1 |
Jin KE, Yeon CJ, Cheol PB, et al. 2014. Platycarya strobilacea S. et Z. extract has a high antioxidant capacity and exhibits hair growth-promoting effects in male C57BL/6 mice[J]. Preventive Nutrition & Food Science, 19(3): 136-144. |
Jing J, Sun X, Zhou C, et al. 2019. Cloning, expression and effects of P. americana thymosin on wound healing[J/OL]. International Journal of Molecular Sciences, 20(19): 4932[2020-10-06]. https://doi.org/10.3390/ijms20194932.
|
Kim NS, Kang YJ, Jo JO, et al. 2011. Elevated expression of thymosin β4, vascular endothelial growth factor (VEGF), and hypoxia inducible factor (HIF)-1α in early-stage cervical cancers[J]. Pathology Oncology Research, 17(3): 493-502. DOI:10.1007/s12253-010-9327-x |
Kim YE, Choi HC, Nam G, et al. 2019. Costunolide promotes the proliferation of human hair follicle dermal papilla cells and induces hair growth in C57BL/6 mice[J]. Journal of Cosmetic Dermatology, 18: 414-421. DOI:10.1111/jocd.12674 |
Kumar R, Parsad D, Kanwar AJ, et al. 2011. Altered levels of Ets-1 transcription factor and matrix metalloproteinases in melanocytes from patients with vitiligo[J]. British Journal of Dermatology, 165(2): 285-291. DOI:10.1111/j.1365-2133.2011.10324.x |
Posthaus H, Williamson L, Baumann D, et al. 2002. Beta-catenin is not required for proliferation and differentiation of epidermal mouse keratinocytes[J]. Journal of Cell Science, 115(23): 4587-4595. DOI:10.1242/jcs.00141 |
Stenn KS, Combates NJ, Eilertsen KJ, et al. 1996. Hair follicle growth controls[J]. Dermatologic Clinics, 14(4): 543-558. DOI:10.1016/S0733-8635(05)70383-1 |
Tanaka Y. 2012. Recent topics on the regulatory mechanism of ecdysteroidogenesis by the prothoracic glands in insects[J/OL]. Frontiers in Endocrinology, 2: 107[2020-10-06]. https://doi.org/10.3389/fendo.2011.00107.
|
2021, Vol. 40



