文章信息
- 李国强, 朱丽萍, 朱丽臻, 陈蕾蕾, 颜世敢
- LI Guoqiang, ZHU Liping, ZHU Lizhen, CHEN Leilei, YAN Shigan
- UPEC双组分信号系统KguS/KguR调控基因缺失株的构建及其生长特性研究
- Construction and growth characteristics analysis of the deletion mutant of the target gene regulated by two-component signaling system KguS/KguR of UPEC
- 南京农业大学学报, 2018, 41(6): 1113-1117
- Journal of Nanjing Agricultural University, 2018, 41(6): 1113-1117.
- http://dx.doi.org/10.7685/jnau.201801046
-
文章历史
- 收稿日期: 2018-01-25
2. 山东省临沂市相公中心医院, 山东 临沂 276025;
3. 山东省农业科学院农产品研究所, 山东 济南 250100
2. Xianggong Central Hospital of Linyi City, Shandong Province, Linyi 276025, China;
3. Institute of Agricultural Food, Shandong Academy of Agricultural Sciences, Jinan 250100, China
尿道致病性大肠杆菌(uropathogenic Escherichia coli,UPEC)是引起尿道感染的常见病原菌。60%~80%的尿道感染由UPEC引起[1]。UPEC的代表菌株是CFT073株,血清型为O6 :K2 :H1,是从急性肾盂肾炎患者血液中分离得到的[2]。UPEC通过特定的黏附素(如P、1型菌毛和其他型菌毛)吸附到尿道上皮细胞上,在获取毒素、荚膜多糖等毒力因子后迁移到膀胱、肾脏定殖并引起尿道感染[3]。尿道和肾脏是一个厌氧、乏营养、高α-酮戊二酸的环境,UPEC为适应肾脏的特定环境必须进行代谢途径调整才能利用α-酮戊二酸进而生存下来。关于UPEC在肾脏中的代谢适应机制尚未见报道,研究该机制对阐明尿道感染的发病机制及防治具有重大意义。
KguS/KguR是在UPEC中发现的一种新型双组分信号系统,其中KguS是一种组氨酸蛋白激酶,是α-酮戊二酸利用的传感器,KguR是一种反应调节蛋白,是α-酮戊二酸利用的调节器。敲除kguS和kguR基因时,UPEC在厌氧条件下利用α-酮戊二酸的能力大大减弱[4]。研究发现KguS/KguR调控的靶基因c5032、c5034、c5035、c5036、c5037、c5038与c5039被编码在一个基因岛上,该基因岛插入在大肠杆菌K12的tyrB和aphA基因之间,而且c5032—c5037基因编码蛋白在氨基酸序列上与sucABCD编码的α-酮戊二酸脱氢酶和琥珀酰辅酶A合成酶亚基高度相似[4]。α-酮戊二酸脱氢酶和琥珀酸辅酶A合成酶在细菌的三羧酸循环中发挥重要作用,由此推测c5032—c5037基因在UPEC利用α-酮戊二酸的代谢中可能具有重要作用。
本试验利用Red同源重组技术,敲除KguS/KguR调控的c5032—c5037基因,构建基因缺失菌株CFT073Δc5032—c5037,并对缺失株的生长特性进行研究,为进一步探究KguS/KguR在UPEC中的代谢适应机制和致病机制奠定基础。
1 材料与方法 1.1 菌株和质粒UPEC野生型菌株CFT073,质粒pKD46、pKD3和pCP20,均由美国爱荷华州立大学李干武教授惠赠。
1.2 试剂和设备LB培养基、SOB培养基按照文献[5]配制;SOC培养基:由每100 mL SOB培养基中加入2 mL已除菌的1 mol·L-1葡萄糖溶液配制而成。DNA Taq聚合酶购自南京诺唯赞生物科技有限公司;质粒提取试剂盒和DNA纯化回收试剂盒购自天根生化科技(北京)有限公司;L-阿拉伯糖、氯霉素和氨苄青霉素均购自上海生工生物工程有限公司,用时分别配制为30 mmol·L-1、25 mg·L-1和50 mg·L-1;α-酮戊二酸购自Sigma公司,工作浓度为40 mmol·L-1;其他化学试剂均购自国药集团化学试剂有限公司。
AnaeroPouch-Anaero型厌氧产气袋购自日本三菱瓦斯化学株式会社;Eporator型电转化仪、5424R型冷冻离心机均购自德国Eppendorf公司。
1.3 基因缺失株的构建利用Datsenko等[6]建立的λ Red同源重组技术构建c5032—c5037基因缺失株。
1.3.1 敲除引物和验证引物的设计根据c5032—c5037基因序列及其上、下游的核苷酸序列,设计带60 bp同源臂的氯霉素抗性基因的敲除引物对Del-(c5032—c5037)-F/R,设计PCR验证引物对c5032—c5037-F/R、内部PCR验证引物对c5032 -inner-F/R以及氯霉素抗性基因PCR验证引物对C1/C2。引物序列见表 1。
| 引物Primers | 引物对序列(5′→3′) Prime pairs sequences |
| Del-(c5032—c5037)-F/R | TCCCCTACTATTCTGTCCCTTTTTTCGCCCACTTTTACATCATCTCTTTTCTATAAGTTTGTGTAGGCTGGAGCTGCTTC/TTCTCTTACCACACAGATAAAAAAAGGGAGCGATATGCTCCCTTGATATTCATTTATGGACATATGAATATCCTCCTTAG |
| c5032—c5037-F/R | TTTTGGTGCGAAGGTGGT/CCAGTGGCAGAAGGGTAAT |
| c5032-inner-F/R | CGAAGGTAGCACGGTCAC/CCCATAACTGCCACATCAA |
| C1/C2 | TTATACGCAAGGCGACAAGG/GATCTTCCGTCACAGGTAGG |
| 注:下划线表示目的基因同源臂。The underlined sequences represent homogeneous arms of target genes. | |
以质粒pKD3为模板、Del-(c5032—c5037)-F/R为引物PCR扩增打靶DNA片段。PCR反应体系:Taq Plus Master Mix 12.5 μL,上、下游引物各1.25 μL,DNA模板2 μL,加无菌水至25 μL。PCR反应参数:94 ℃预变性5 min;94 ℃变性30 s,55 ℃退火30 s,72 ℃延伸90 s,30个循环;72 ℃延伸5 min。PCR产物进行琼脂糖凝胶电泳,利用DNA凝胶回收试剂盒回收打靶DNA片段。
1.3.3 CFT073/pKD46重组子的构建过夜培养大肠杆菌CFT073,按1 : 100接种至新鲜的LB培养基中,振荡培养。当菌液D600≈0.6时,制备CFT073感受态细胞。向CFT073感受态细胞中加入10 μL质粒pKD46,设置电转化仪参数为1.8 kV进行电转化。电转化后的菌液28 ℃摇床培养1 h,然后涂布至含氨苄青霉素的LB平板,28 ℃倒置培养,次日挑取重组子CFT073/pKD46。
1.3.4 氯霉素抗性重组子的构建过夜培养CFT073/pKD46,按1 : 1 000接种至SOB培养基,同时加入L-阿拉伯糖,使其终浓度为30 mmol·L-1,28 ℃振荡培养。菌液D600值≈0.6时制备CFT073/pKD46的感受态细胞。将制备好的CFT073/pKD46感受态细胞转入预冷的电击杯中,加入打靶DNA片段,进行电击。电击结束后,将菌液转移至SOC培养基中,37 ℃振荡培养1 h,然后室温静置过夜。将菌液涂布于含氯霉素的LB平板,37 ℃倒置培养。挑取单菌落于含氯霉素的LB培养基振荡培养,并用PCR验证引物进行PCR验证,得到氯霉素抗性基因取代c5032—c5037基因的重组子CFT073Δc5032—Cmr—c5037。
1.3.5 氯霉素抗性基因消除的验证利用电转化法将质粒pCP20转化到氯霉素抗性重组子中,在抗性平板上挑取单菌落,接种LB培养基,37 ℃振荡培养24 h后进行划线培养。挑取单菌落,分别接种至含氯霉素的LB平板和不含氯霉素的LB平板,选择在无抗性平板上生长但在含氯霉素平板上不能生长的菌落,利用验证引物对c5032—c5037 -F/R和内部验证引物对C1/C2进行PCR验证,筛选出基因缺失菌株CFT073Δc5032—c5037。为进一步验证目的基因是否敲除,将验证引物扩增的PCR产物送上海生工生物工程有限公司测序并对测序结果进行比对。
1.4 基因缺失株生长特性的测定 1.4.1 基因缺失株在LB培养基中的生长特性测定将野生型CFT073和基因缺失株CFT073Δc5032—c5037分别在LB固体平板上划线培养,挑取单菌落,分别接种至LB液体培养基活化,活化的菌液按1 : 100分别接种于50 mL LB液体培养基,37 ℃振荡培养,每隔一定时间测定菌液D600值。以培养时间为横坐标,菌液D600为纵坐标,绘制野生型和基因缺失型菌株的生长曲线。
1.4.2 基因缺失株在M9培养基中的生长特性测定分别挑取活化的CFT073和CFT073Δc5032—c5037单菌落接种至3 mL LB培养基中37 ℃振荡培养。菌液D600≈1.0时,离心,弃上清液,用灭菌PBS缓冲液洗涤,高速离心,用3 mL灭菌PBS缓冲液重溶沉淀,按1 : 100比例接种至以α-酮戊二酸为唯一碳源的M9培养基中,37 ℃振荡培养,每隔一定时间测定菌液D600值。厌氧培养时,将接种菌的M9培养基放入培养袋(15 cm×30 cm)中,再放入厌氧产气袋,然后密封培养袋的袋口,厌氧产气袋在30~60 min内完全吸收培养袋中的氧气,产生约21%的二氧化碳,形成厌氧环境。
2 结果与分析 2.1 氯霉素抗性重组子的构建在氯霉素抗性平板上挑取筛选的单菌落,以c5032—c5037 -F/R为引物对进行PCR扩增,野生型CFT073的PCR产物大小应为8 264 bp,而氯霉素抗性基因取代c5032—c5037后,PCR产物大小为1 765 bp。琼脂糖凝胶电泳结果如图 1所示,PCR扩增产物的大小与目的片段一致。
|
图 1 氯霉素抗性重组子的PCR鉴定 Figure 1 PCR identifications of chloramphenicol resistant mutants M. DNA marker:1, 2. CFT073Δc5032—Cmr—c5037;3. CFT073. |
氯霉素内部基因检测引物C2和c5032—c5037-R组合进行PCR验证,扩增产物为407 bp(图 2-A);C1和c5032—c5037 -F组合进行PCR验证,扩增产物为649 bp(图 2-B)。
|
图 2 CFT073Δc5032—Cmr—c5037的PCR鉴定 Figure 2 PCR identification of CFT073Δc5032-Cmr-c5037 M. DNA marker;1,2. CFT073Δc5032—Cmr—c5037;3. CFT073;4,5. CFT073Δc5032—Cmr—c5037;6. CFT073. |
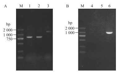
通过PCR和基因测序鉴定氯霉素抗性基因是否消除。用引物对c5032—c5037 -F/R进行PCR验证,CFT073Δc5032—c5037 PCR产物大小为835 bp,CFT073Δc5032—Cmr—c5037 PCR产物大小为1 765 bp(图 3-A);用内部引物对c5032 -inner-F/R进行PCR验证,CFT073Δc5032—c5037无法进行PCR扩增,CFT073 PCR产物大小为1 016 bp(图 3-B)。
|
图 3 CFT073Δc5032—c5037的PCR鉴定 Figure 3 PCR identification of CFT073Δc5032-c5037 mutants M. DNA marker;1,2. CFT073Δc5032—c5037;3. CFT073Δc5032—Cmr—c5037;4,5. CFT073Δc5032—c5037;6. CFT073. |
将DNA测序结果与原基因序列进行比对,结果显示,c5032—c5037基因已不在测序结果中,进一步印证了c5032—c5037基因敲除成功。
2.3 基因缺失株的生长特性 2.3.1 有氧条件下基因缺失株的生长特性测定基因缺失株和野生型菌株分别在LB培养基和以α-酮戊二酸为唯一碳源的M9培养基中培养,以培养时间为横坐标,以菌液吸光度D600值为纵坐标,绘制生长曲线。结果如图 4所示:基因缺失株和野生型菌株在有氧条件下生长曲线保持一致,没有显著性差异。生长试验结果表明,在有氧条件下, c5032—c5037基因的敲除未对UPEC在LB培养基中的生长和对α-酮戊二酸的利用造成不利影响。
|
图 4 CFT073Δc5032—c5037和CFT073在LB培养基(A)和M9培养基(B)中的生长曲线 Figure 4 The growth curves of CFT073Δc5032-c5037 and CFT073 in LB medium(A) and M9 medium(B) |
厌氧条件下基因缺失株CFT073Δc5032—c5037和野生型菌株CFT073在以α-酮戊二酸为唯一碳源的M9培养基中的生长试验结果(图 5)显示:在厌氧条件下在以α-酮戊二酸为唯一碳源的M9培养基中,CFT073Δc5032—c5037生长比野生型菌株CFT073慢,且差异极显著(P < 0.01),说明c5032—c5037基因的缺失导致CFT073在厌氧条件下对α-酮戊二酸的利用能力明显降低。
|
图 5 CFT073Δc5032—c5037和CFT073厌氧培养结果 Figure 5 Growth of CFT073Δc5032-c5037 and CFT073 under anaerobic conditions **P < 0.01. |
基因敲除是研究基因功能的重要手段。对序列已知但功能未知的基因,通过采用同源重组等分子手段敲除该基因,通过对敲除基因生物体与其亲本对照试验,发现基因敲除后对生物体造成的功能缺失,以此来推测该基因的生物学功能。本研究利用Red重组系统,通过带c5032—c5037同源臂的氯霉素抗性基因与c5032—c5037基因发生同源重组,从而取代了c5032—c5037基因,而氯霉素抗性基因在pCP20表达的反转重组酶作用下被消除。对构建的基因缺失株进行的一系列PCR验证及测序分析结果均表明已成功敲除了c5032—c5037基因,为深入研究c5032—c5037基因的功能奠定基础。
c5032—c5037基因由KguS/KguR调控,其编码的蛋白与sucABCD基因编码的α-酮戊二酸脱氢酶和琥珀酰辅酶A合成酶具有较高的相似性,其中c5032、c5034和c5035编码的蛋白分别与α-酮戊二酸脱氢酶的E1、E2和E3亚基的相似性达到64%、69%和55%,而c5036和c5037编码的蛋白与琥珀酰辅酶A合成酶α和β亚基的相似性达到83%和70%[4]。α-酮戊二酸脱氢酶是三羧酸循环中的关键酶,可催化α-酮戊二酸、辅酶A和NAD+生成乙酰辅酶A、NADH和CO2,而琥珀酰CoA合成酶是三羧酸循环中的另一种重要酶,能够催化琥珀酰CoA高能硫酯键水解,为细胞生命活动提供能量[7-8]。由此推测c5032—c5037基因对CFT073的生长代谢具有重要作用。研究还发现大肠杆菌在单独敲除sucAB或sucCD时可以生存,这是因为sucAB或sucCD编码的酶产生的琥珀酰辅酶A能够满足细菌生存需要,但是同时敲除sucAB和sucCD,基因缺失菌株无法存活[9]。本试验中我们不仅同时敲除了c5032—c5035基因和c5036—c5037基因,成功构建了缺失株CFT073Δc5032—c5037,而且在有氧条件下通过对野生型CFT073和CFT073Δc5032—c5037在LB培养基和M9培养基生长测定,发现CFT073Δc5032—c5037和CFT073的生长趋势保持一致,说明在有氧条件下c5032—c5037基因对CFT073的生长不起作用。在厌氧条件下,在以α-酮戊二酸为唯一碳源的M9培养基中,CFT073Δc5032—c5037的生长速度明显慢于野生型CFT073,表明厌氧条件下c5032—c5037的缺失会导致CFT073利用α-酮戊二酸的能力减弱,从而证实厌氧条件下KguS/KguR能够调控c5032—c5037基因利用α-酮戊二酸以提高UPEC的生存能力。对肾盂肾炎的组织活检发现UPEC感染常发生在肾元的近曲小管[2],而近曲小管的α-酮戊二酸含量丰富,浓度达到100~400 μmol·L-1,是其他细胞中α-酮戊二酸浓度的10~40倍[10-11],推测UPEC在厌氧条件下通过KguS/KguR调控c5032—c5037基因利用α-酮戊二酸以提高在肾脏中的生存能力。本文通过构建缺失株CFT073Δc5032—c5037并测定其生长特性,证实了c5032—c5037基因与厌氧条件下利用α-酮戊二酸密切相关,为进一步研究KguS/KguR如何调节c5032—c5037基因利用α-酮戊二酸以提高在肾脏的代谢适应机制奠定了基础。
| [1] |
Soylu A, Karaman M, Alaygut D, et al. Does the presence of vesicoureteral reflux affect in vitro uropathogenic E. coli growth rate in urine?[J]. International Urology and Nephrology, 2016, 48(2): 151-154. DOI:10.1007/s11255-015-1168-9 |
| [2] |
Mobley H L, Green D M, Trifillis A L, et al. Pyelonephritogenic Escherichia coli and killing of cultured human renal proximal tubular epithelial cells:role of hemolysin in some strains[J]. Infection and Immunity, 1990, 58(5): 1281-1289. |
| [3] |
Johnson J R, Stell A L. Extended virulence genotypes of Escherichia coli strains from patients with urosepsis in relation to phylogeny and host compromise[J]. Journal of Infectious Diseases, 2000, 181(1): 261-272. DOI:10.1086/jid.2000.181.issue-1 |
| [4] |
Cai W, Wannemuehler Y, Dell'Anna G, et al. A novel two-component signaling system facilitates uropathogenic Escherichia coli's ability to exploit abundant host metabolites[J]. PLoS Pathogens, 2013, 9(6): e1003428. DOI:10.1371/journal.ppat.1003428 |
| [5] |
Rédei G P. Encyclopedia of Genetics, Genomics, Proteomics and Informatics[M]. 3rd ed. Dordrecht: Springer, 2008.
|
| [6] |
Datsenko K A, Wanner B L. One-step inactivation of chromosomal genes in Escherichia coli K-12 using PCR products[J]. Proc Natl Acad Sci USA, 2000, 97(12): 6640-6645. DOI:10.1073/pnas.120163297 |
| [7] |
Tretter L, Adamvizi V. Alpha-ketoglutarate dehydrogenase:a target and generator of oxidative stress[J]. Philosophical Transactions of the Royal Society B Biological Sciences, 2005, 360(1464): 2335-2345. DOI:10.1098/rstb.2005.1764 |
| [8] |
Buck D, Spencer M E, Guest J R. Primary structure of the succinyl-CoA synthetase of Escherichia coli[J]. Biochemistry, 1985, 24(22): 6245-6252. DOI:10.1021/bi00343a031 |
| [9] |
Yu B J, Sung B H, Ju Y L, et al. sucAB and sucCD are mutually essential genes in Escherichia coli[J]. FEMS Microbiology Letters, 2006, 254(2): 245-250. DOI:10.1111/fml.2006.254.issue-2 |
| [10] |
Martin M, Ferrier B, Baverel G. Transport and utilization of alpha-ketoglutarate by the rat kidney in vivo[J]. Pflügers Archiv European Journal of Physiology, 1989, 413(3): 217-224. DOI:10.1007/BF00583533 |
| [11] |
Pritchard J B. Intracellular alpha-ketoglutarate controls the efficacy of renal organic anion transport[J]. The Journal of Pharmacology and Experimental Therapeutics, 1995, 274(3): 1278-1284. |



