智能化超声医学质量控制平台结合PDCA循环管理法在经胸超声心动图标准切面质量控制中的应用价值

宋家琳 周群群 卢畅 贾兰婷 黄禾菁

引用本文: 宋家琳,周群群,卢畅,等. 智能化超声医学质量控制平台结合PDCA循环管理法在经胸超声心动图标准切面质量控制中的应用价值[J]. 海军军医大学学报,2026,47(2):203-209. DOI: 10.16781/j.CN31-2187/R.20250511.
Citation: SONG J, ZHOU Q, LU C, et al. Value of an intelligent ultrasonic medical quality control platform combined with PDCA cycle management for quality control of standard sections in transthoracic echocardiography[J]. Acad J Naval Med Univ, 2026, 47(2): 203-209. DOI: 10.16781/j.CN31-2187/R.20250511.

智能化超声医学质量控制平台结合PDCA循环管理法在经胸超声心动图标准切面质量控制中的应用价值

doi: 10.16781/j.CN31-2187/R.20250511
详细信息

Value of an intelligent ultrasonic medical quality control platform combined with PDCA cycle management for quality control of standard sections in transthoracic echocardiography

  • 摘要:  目的 探讨智能化超声医学质量控制平台联合PDCA循环管理法在经胸超声心动图(TTE)标准切面质量控制中的应用价值。 方法 参照PDCA循环管理法,随机抽取2024年8月至11月于我院超声科心脏超声诊室检查的30例患者的TTE图像,分别由5年以下TTE检查经验组和10年以上TTE检查经验组各存储15例患者的图像。使用智能化超声医学质量控制平台对6个标准切面共180张图像进行质量评分,对评分<80分图像的共性和个性问题进行分析并制定改进措施。落实改进措施后,再随机抽取2024年12月至2025年4月检查的30例患者的TTE图像,对其6个标准切面共180张图像进行质量评分,分析PDCA循环管理法实施前后的图像质量评分情况。 结果 PDCA循环管理法实施后,各TTE标准切面的图像质量评分均较实施前提高,不同经验组间的图像质量评分差异也较实施前缩小;各TTE标准切面图像的优良比例整体增加,尤其是优秀占比显著增加。 结论 智能化超声医学质量控制平台联合PDCA循环管理法能有效提高TTE标准切面图像的质控效果,在保障医疗安全、提升医疗服务水平方面有重要价值。

     

    Abstract:  Objective To explore the application value of an intelligent ultrasonic medical quality control platform combined with the PDCA cycle management for the quality control of standard sections in transthoracic echocardiography (TTE). Methods According to the PDCA cycle management, TTE images of 30 patients who underwent examination in the Department of Ultrasound of our hospital from Aug. to Nov. 2024 were randomly selected. The images of 15 cases were stored for each of the groups with <5 years and >10 years of TTE experience. An intelligent ultrasound medical quality-control platform was used to score a total of 180 images from 6 standard sections in TTE. The common and individual problems of ultrasound images with scores <80 were analyzed, and improvement measures were formulated. After implementing the improvement measures, 180 images from 6 standard sections of TTE images of 30 randomly selected patients from Dec. 2024 to Apr. 2025 were taken for quality scoring. The image quality scores were analyzed before and after implementing the PDCA cycle management. Results After the implementation of the PDCA cycle management, the image quality scores of all standard sections in TTE were improved compared with those before implementation. The difference in scores between the 2 groups was also reduced compared with that before implementation. The overall proportion of excellent and good cases in each section increased, and especially the proportion of excellent cases increased significantly. Conclusion The intelligent ultrasonic medical quality control platform combined with the PDCA cycle management can effectively improve the quality control effect and play an important role in ensuring medical safety and improving medical services.

     

  • 作为心脏科医生的“眼睛”,经胸超声心动图(transthoracic echocardiography,TTE)是临床心脏疾病诊断和评估的有力工具,在心脏疾病的术前评估、术中监测、术后随访中有不可替代的作用。TTE标准切面的规范获取是心脏解剖定位与定量诊断的基础,也是病理征象识别的基础,其重要性贯穿于临床诊疗的全过程。但在临床工作中,超声科医生的操作规范程度不同,日检量大,缺乏审核流程,其执业能力作为“软因子”直接影响存图结果;传统的人工质控方式存在人员缺乏、质控量大、耗时长、效能低等问题[1-2]

    智能化超声医学质量控制平台(上海溯道智能科技有限公司)是国内首款专门针对超声医学质控问题研发的全方位智能化软件,率先实现了对腹部、颈部血管等部位的图像及报告智能化质控,已在部分三甲医院建立了超声实时质控会诊平台。在心脏超声方面,智能化超声医学质量控制平台经过对几十万例图像的学习、训练、建立模型,实现了对心脏6个标准切面的自动抓取以及对图像质量的智能评分(图 1)。PDCA循环管理法将质量管理分为计划(Plan)、执行(Do)、检查(Check)和处理(Act)4个阶段,形成周而复始的螺旋式上升改进的闭环管理过程,具有简单、逻辑性强、规模小和快速的特点,被广泛应用于医疗领域。我院超声科TTE质控小组利用智能化超声医学质量控制平台,结合PDCA循环管理法,对TTE中6个标准切面的图像质量进行质控管理,探讨两者在TTE标准切面质量控制中的应用价值,以期提高TTE标准切面获取的规范性和准确性。

    图  1  智能化超声医学质量控制平台对经胸超声心动图标准切面的自动识别和智能评分
    Fig.  1  Automatic identification and intelligent scoring of standard sections in transthoracic echocardiography by an intelligent ultrasound medical quality control platform
    下载: 全尺寸图片

    随机抽取2024年8月至11月于我院超声科心脏超声诊室检查的30例患者[男17例、女13例,年龄为(47.93±16.58)岁]的TTE图像,由具有5年以下心脏超声检查经验组和10年以上心脏超声检查经验组各存储15例患者的图像,使用智能化超声医学质量控制平台对TTE图像中的6个标准切面共180张图像分别进行质量评分。根据评分结果分析问题和原因,于2024年12月至2025年4月采用PDCA循环管理法对TTE检查图像进行质量改进,并再次随机抽取30例患者[男16例、女14例,年龄为(52.00±16.64)岁]的TTE图像中的6个标准切面共180张图像进行质量评分,同样由5年以下心脏超声检查经验组和10年以上心脏超声检查经验组各存储15例患者的图像。所有患者的图像存储均在同一台超声设备上完成,且排除了因体位受限、肺部疾病等导致无法正常显示标准切面的患者图像。

    1.2.1   计划阶段

    于2024年8月至11月成立心脏超声检查质控小组,组长由具有16年心脏超声检查经验的副主任医师担任。计划使用智能化超声医学质量控制平台对PDCA循环管理法实施前后获得的心脏超声6个标准切面(胸骨旁左心室长轴切面、胸骨旁肺动脉长轴切面、胸骨旁二尖瓣水平短轴切面、胸骨旁乳头肌水平短轴切面、胸骨旁心尖水平短轴切面、心尖四腔心切面)各180张图像进行质量评分。比较PDCA循环管理法实施前后不同标准切面的质量评分、优良率及组间图像的质量评分,评估2种方法结合在提高心脏超声检查质控效果中的应用价值。

    1.2.2   执行阶段

    首先使用智能化超声医学质量控制平台对PDCA循环管理法实施前获得的心脏超声6个标准切面的180张图像进行质量评分。根据切面图像的标准性、清晰度和调节能力综合评估,评分标准为:90~100分(优秀),切面图像标准且清晰或欠标准但尚清晰,不影响正常结构的识别和测量值准确性,调节能力较强;80~89分(良好),切面图像欠标准且不清晰,部分结构识别困难,但尚不影响测量值准确性,调节能力欠佳;60~79分(合格),切面图像不标准且不清晰,正常结构识别困难且影响测量值的准确性,调节能力不佳;<60分(不合格),仅能识别出切面图像大体轮廓,调节能力不佳。质控小组针对评分<80分的超声图像的共性和个性问题进行分析,对相应问题的可能影响因素进行鱼骨图展示(图 2),并制定相应的改进措施。

    图  2  PDCA循环管理法实施前TTE标准切面图像质量评分较低的原因分析
    Fig.  2  Analysis of reasons for lower image quality scores of TTE standard sections before implementation of PDCA cycle management
    PDCA: Plan, do, check, act; TTE: Transthoracic echocardiography.
    下载: 全尺寸图片

    首先,心脏超声检查质控小组所有成员共同学习《超声医学质量控制管理规范》[3]、《超声医学专业质量管理控制指标专家共识(2018年版)》[4]和《中国成年人超声心动图检查测量指南》[5],讨论形成质控培训议题并收集相关资料,由质控组长以专题讲座的形式对质控小组成员进行培训和答疑,科室主任负责审校和指导。其次,在临床工作中使用智能化超声医学质量控制平台对所获取的6个切面的原始图像进行打分,并依据平台给出的修正意见对操作手法和仪器参数进行调整,努力获取更标准的切面、更清晰的图像和更高的质量分数。同时适当增加心脏超声检查诊室和检查医生,缩短患者候诊时间,延长检查时间。

    对5年以下心脏超声检查经验的医生,邀请设备工程师对仪器参数的调节进行床旁培训,即时解决具体问题,提高仪器调节能力;必要时请上级医师或科内其他经验丰富的医生予以操作手法的指导。

    1.2.3   检查阶段

    随机抽取2024年12月至2025年4月30例患者心脏超声图像中的6个标准切面共180张图像,再次使用智能化超声医学质量控制平台进行质量评分。然后根据PDCA循环管理法使用前后2次评分的差异,分析图像质量改进的结果,评估计划实施的效果,衡量智能化超声医学质量控制平台结合PDCA循环管理法在改进超声图像质量方面的有效性。

    1.2.4   处理阶段

    (1)制定本诊室TTE标准切面存图标准、操作流程,提高图像质量,规范存储,增强疾病诊断信心,提升心脏超声医疗质量和安全性。(2)优化TTE技能操作考核标准,指导科室内心脏超声科医生均达到质控要求,并提高住院医师规范化培训医师的技能操作水平。(3)持续进行TTE标准切面及标准测量的培训,不定期强化巩固。(4)开展心脏超声教学阅片和病例讨论,从疾病的准确诊断中折射出标准切面、规范存图的重要性,提高思想认识。(5)下阶段计划将本次循环中未解决的问题纳入下次循环,同时将标准切面数量进一步扩大,包括胸骨旁主动脉瓣短轴切面、心尖五腔心切面、心尖两腔心切面、剑突下切面及胸骨上窝切面等等,进一步完善科室质量控制管理制度,确保规范、安全,提高医疗质量。

    采用SPSS 23.0软件分析数据,符合正态分布的计量资料以x±s表示,采用独立样本t检验或配对样本t检验进行比较;计数资料以例数和百分数表示,采用χ2检验进行比较;有序多分类变量的组间比较采用基于秩转换的非参数秩和检验。检验水准(α)为0.05。

    2个时期及2个分组患者的性别构成、年龄、BMI等一般资料差异无统计学意义(均P>0.05),两组资料具有可比性。见表 1

    表  1  PDCA循环管理法实施前后不同心脏超声检查经验组纳入患者的一般资料对比
    Table  1  Comparison of general patient data between operator groups with different levels of echocardiographic experience before and after implementation of PDCA cycle management N=15
    Index Before After
    Group with <5-year experience Group with >10-year experience Statistic P value Group with <5-year experience Group with >10-year experience Statistic P value
    Gender, n (%) χ2=0.136 0.713 χ2=0.536 0.464
       Male 9 (60.0) 8 (53.3) 7 (46.7) 9 (60.0)
       Female 6 (40.0) 7 (46.7) 8 (53.3) 6 (40.0)
    Age/year, x±s 46.20±17.60 49.60±16.03 t=-0.553 0.585 52.53±18.51 51.47±15.18 t=0.173 0.864
    BMI/(kg·m-2), x±s 20.94±2.33 21.40±2.09 t=-0.570 0.573 21.23±2.45 21.07±2.34 t=0.175 0.862
    PDCA: Plan, do, check, act; BMI: Body mass index.

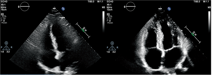
    PDCA循环管理法实施后,6个TTE标准切面的质量评分均较实施前提高,其中胸骨旁左心室长轴切面、胸骨旁肺动脉长轴切面、胸骨旁乳头肌水平短轴切面和心尖四腔心切面(图 3)在PDCA循环管理法实施前后的图像质量评分差异有统计学意义(均P<0.05)。见表 2

    图  3  PDCA循环管理法实施前后TTE心尖四腔心切面图像质量比较
    Fig.  3  Comparison of image quality of apical 4-chamber section in TTE before and after implementation of PDCA cycle management
    A: Prior to implementing the PDCA cycle management, the apical 4-chamber section image was blurry with low gain. The lateral wall of the left ventricle, the free wall of the right ventricle, and the left atrial wall were poorly visualized, and the mitral and tricuspid valves were inadequately displayed. B: Following the implementation of the PDCA cycle management, the apical 4-chamber section image was clear with appropriate gain. All cardiac chamber walls, as well as the mitral and tricuspid valves, were distinctly visualized. PDCA: Plan, do, check, act; TTE: Transthoracic echocardiography.
    下载: 全尺寸图片
    表  2  PDCA循环管理法实施前后各TTE标准切面的图像质量评分比较
    Table  2  Comparison of image quality scores for each standard TTE section before and after implementation of PDCA cycle management n=30, x±s
    Standard section Before After t value P value
    Parasternal left ventricular long-axis section 82.35±9.62 87.66±7.11 -3.614 0.001
    Parasternal pulmonary artery long-axis section 74.52±9.74 81.60±6.92 -3.225 0.004
    Parasternal mitral valve short-axis section 74.55±10.16 79.90±10.72 -2.685 0.072
    Parasternal papillary muscle short-axis section 74.39±10.18 81.59±9.84 -3.821 0.001
    Parasternal apical short-axis section 71.68±8.59 75.99±9.49 -2.185 0.098
    Apical 4-chamber section 80.09±10.54 85.67±8.85 -3.311 0.003
    PDCA: Plan, do, check, act; TTE: Transthoracic echocardiography.

    PDCA循环管理法实施后,各切面图像的优良比例整体增加,尤其是优秀比例显著增加,其中胸骨旁左心室长轴切面、胸骨旁乳头肌水平短轴切面和心尖四腔心切面差异有统计学意义(均P<0.05)。见表 3

    表  3  PDCA循环管理法实施前后各TTE标准切面不同质量等级图像占比比较
    Table  3  Comparison of proportions of images with different quality grades of each standard TTE section before and after implementation of PDCA cycle management N=30, n
    Standard section Before After H value P value
    Excellent Good Qualified Unqualified Excellent Good Qualified Unqualified
    Parasternal left ventricular long-axis section 7 14 9 0 13 15 2 0 5.605 0.021
    Parasternal pulmonary artery long-axis section 1 7 15 7 6 6 14 4 2.966 0.124
    Parasternal mitral valve short-axis section 2 8 12 8 5 10 9 6 1.801 0.189
    Parasternal papillary muscle short-axis section 3 6 15 6 7 14 6 3 6.700 0.007
    Parasternal apical short-axis section 0 7 14 9 3 7 15 5 2.496 0.161
    Apical 4-chamber section 5 7 14 4 10 13 6 1 6.927 0.008
    PDCA: Plan, do, check, act; TTE: Transthoracic echocardiography.

    在PDCA循环管理法实施前,10年以上心脏超声检查经验组对6个TTE标准切面图像的质量评分均高于5年以下心脏超声检查经验组的评分,在胸骨旁肺动脉长轴切面、胸骨旁二尖瓣水平短轴切面和胸骨旁乳头肌水平短轴切面中两组差异有统计学意义(均P<0.05)。在PDCA循环管理法实施后,两组对6个TTE标准切面图像的质量评分均较PDCA循环管理法实施前提高,但两组间的差异无统计学意义(均P>0.05)。见表 4

    表  4  PDCA循环管理法实施前后不同心脏超声检查经验组对各TTE标准切面图像的质量评分比较
    Table  4  Comparison of image quality scores for each standard TTE section among groups with different levels of echocardiographic experience before and after implementation of PDCA cycle management n=30, x±s
    Standard section Before After
    Group with <5-year experience Group with >10-year experience t value P value Group with <5-year experience Group with >10-year experience t value P value
    Parasternal left ventricular long-axis section 80.56±10.24 84.14±8.94 -1.019 0.317 87.06±6.35 88.25±7.99 -0.453 0.654
    Parasternal pulmonary artery long-axis section 69.22±8.35 78.67±9.35 -2.503 0.021 79.97±6.56 83.24±7.13 -1.219 0.235
    Parasternal mitral valve short-axis section 70.64±8.51 79.65±9.88 -2.235 0.030 77.27±12.18 82.13±9.21 -1.085 0.292
    Parasternal papillary muscle short-axis section 69.73±7.63 78.33±10.64 -2.298 0.032 78.91±9.30 84.07±10.00 -1.389 0.177
    Parasternal apical short-axis section 69.18±8.65 73.96±8.26 -1.292 0.212 74.10±9.37 77.74±9.64 -0.957 0.348
    Apical 4-chamber section 77.48±9.35 82.71±11.36 -1.280 0.213 84.01±10.08 87.22±7.54 -0.968 0.343
    PDCA: Plan, do, check, act; TTE: Transthoracic echocardiography.

    与CT和MRI标准化图像的采集流程不同,TTE的图像采集方式具有较强的主观和技术依赖性。非标准切面可能导致测量错误或病变漏诊,进而导致诊断结果改变,因此超声图像的获取方法和质量控制在实际临床医疗安全中至关重要[1-3]。对于初学者或低年资医生而言,受限于经验,获取标准切面仍然具有较大难度;即便是高年资医生,也可能因工作量大、注意力不集中或过于疲劳,导致图像质量控制不佳。传统的人工质控方式由于图像数量大、耗时长、反馈慢等原因,无法快速有效地解决上述问题。

    随着人工智能在影像医学领域的迅猛发展,其在图像质量控制方面的应用价值逐渐受到关注[6-7]。当前,心脏超声图像质控相关研究主要聚焦于2个方面:一是对TTE实时标准切面的识别,二是实现实时图像质量的评价[4]。本研究所使用的智能化超声医学质量控制平台,是基于人工智能技术研发的国内首款专门针对超声医学质控问题的全方位智能化软件。该平台通过对几十万例超声图像进行学习、训练并建立模型,率先实现了图像采集切面的智能识别、分类及评价。当医生对患者心脏进行扫查时,该平台能够准确识别、采集不同的标准切面并实时评分,同时指出存在的问题,督促医生集中注意力,时刻把控图像质量,这更有助于提升初学者对标准切面的认知,促进其操作能力的提高。

    PDCA循环管理法是一种应用于质量管理与提升的循环体系,在医疗领域应用十分广泛[8-9]。本研究借助PDCA循环管理法与智能化超声医学质量控制平台相结合的方式,对TTE的6个标准切面进行质量控制。从制度、医生、患者、环境等多个方面查找问题,分析得出PDCA循环管理法实施前质量评分较低的原因主要包括:科室未规范制定标准切面的存储图像标准及操作流程;对医生的相关培训次数不足或间隔时间过长,致使低年资医生对标准切面的认知不准确、不完整;低年资医生对设备的调节能力有待提升;工作量较大时,检查速度过快,易忽视质量控制。针对上述问题采取相应整改措施后发现,PDCA循环管理法实施后,所有TTE标准切面的图像质量评分较实施前整体提高,两组间测定结果相对恒定(P>0.05);所有标准切面的优良比例整体上升,尤其是优秀占比显著增加,合格与不合格比例较之前整体下降,达成了TTE的质控目标。

    但需注意的是,胸骨旁二尖瓣水平短轴切面和心尖水平短轴切面图像的质量评分虽在PDCA循环管理法实施后整体提高,优良比例也有所上升,但实施前后差异并无统计学意义。分析原因,这2个切面并非测量切面,主要用于二尖瓣病变及左心室壁心肌活动的观察评估。日常工作中,若二尖瓣无病变、左心室壁舒缩活动无异常,常被一带而过,医生对标准切面认识不足,操作手法不熟练,致使切面呈椭圆形、前后叶显示不清或心内膜显示不清等,从而使质控改善效果不及其他切面。此外,胸骨旁肺动脉长轴切面图像的优良比例在PDCA循环管理法实施前后的差异亦无统计学意义,原因可能是获取该切面时患者体位不当,未采取左侧卧位或患者肺气干扰明显,而医生未能掌握更多规避干扰的技巧,导致肺动脉主干侧壁显示模糊,进而影响图像质量评分。因此,这3个切面的扫查训练中未解决的问题以及新出现的问题,将与其他待训练切面一同进入下一个PDCA循环,以进一步巩固、拓展和完善TTE标准切面的图像质量评价体系。

    综上所述,智能化超声医学质量控制平台不仅可实时快速地对图像质量进行评分,还能从图像整体与细节层面提出指导建议,实现了从采集标准切面到采集高质量标准切面的跨越;PDCA循环管理法能够贯彻到精细化质控的各个环节,达成持续改进的目标[10-11]。两者相结合,能有效提升TTE标准切图图像的质控效果,在保障医疗安全、提高医疗服务水平方面有重要作用。然而,本研究存在样本量较小的局限,在下一个PDCA循环中可扩大样本量,进一步验证该结论的准确性。

  • 图  1   智能化超声医学质量控制平台对经胸超声心动图标准切面的自动识别和智能评分

    Fig.  1   Automatic identification and intelligent scoring of standard sections in transthoracic echocardiography by an intelligent ultrasound medical quality control platform

    下载: 全尺寸图片

    图  2   PDCA循环管理法实施前TTE标准切面图像质量评分较低的原因分析

    Fig.  2   Analysis of reasons for lower image quality scores of TTE standard sections before implementation of PDCA cycle management

    PDCA: Plan, do, check, act; TTE: Transthoracic echocardiography.

    下载: 全尺寸图片

    图  3   PDCA循环管理法实施前后TTE心尖四腔心切面图像质量比较

    Fig.  3   Comparison of image quality of apical 4-chamber section in TTE before and after implementation of PDCA cycle management

    A: Prior to implementing the PDCA cycle management, the apical 4-chamber section image was blurry with low gain. The lateral wall of the left ventricle, the free wall of the right ventricle, and the left atrial wall were poorly visualized, and the mitral and tricuspid valves were inadequately displayed. B: Following the implementation of the PDCA cycle management, the apical 4-chamber section image was clear with appropriate gain. All cardiac chamber walls, as well as the mitral and tricuspid valves, were distinctly visualized. PDCA: Plan, do, check, act; TTE: Transthoracic echocardiography.

    下载: 全尺寸图片

    表  1   PDCA循环管理法实施前后不同心脏超声检查经验组纳入患者的一般资料对比

    Table  1   Comparison of general patient data between operator groups with different levels of echocardiographic experience before and after implementation of PDCA cycle management N=15

    Index Before After
    Group with <5-year experience Group with >10-year experience Statistic P value Group with <5-year experience Group with >10-year experience Statistic P value
    Gender, n (%) χ2=0.136 0.713 χ2=0.536 0.464
       Male 9 (60.0) 8 (53.3) 7 (46.7) 9 (60.0)
       Female 6 (40.0) 7 (46.7) 8 (53.3) 6 (40.0)
    Age/year, x±s 46.20±17.60 49.60±16.03 t=-0.553 0.585 52.53±18.51 51.47±15.18 t=0.173 0.864
    BMI/(kg·m-2), x±s 20.94±2.33 21.40±2.09 t=-0.570 0.573 21.23±2.45 21.07±2.34 t=0.175 0.862
    PDCA: Plan, do, check, act; BMI: Body mass index.

    表  2   PDCA循环管理法实施前后各TTE标准切面的图像质量评分比较

    Table  2   Comparison of image quality scores for each standard TTE section before and after implementation of PDCA cycle management n=30, x±s

    Standard section Before After t value P value
    Parasternal left ventricular long-axis section 82.35±9.62 87.66±7.11 -3.614 0.001
    Parasternal pulmonary artery long-axis section 74.52±9.74 81.60±6.92 -3.225 0.004
    Parasternal mitral valve short-axis section 74.55±10.16 79.90±10.72 -2.685 0.072
    Parasternal papillary muscle short-axis section 74.39±10.18 81.59±9.84 -3.821 0.001
    Parasternal apical short-axis section 71.68±8.59 75.99±9.49 -2.185 0.098
    Apical 4-chamber section 80.09±10.54 85.67±8.85 -3.311 0.003
    PDCA: Plan, do, check, act; TTE: Transthoracic echocardiography.

    表  3   PDCA循环管理法实施前后各TTE标准切面不同质量等级图像占比比较

    Table  3   Comparison of proportions of images with different quality grades of each standard TTE section before and after implementation of PDCA cycle management N=30, n

    Standard section Before After H value P value
    Excellent Good Qualified Unqualified Excellent Good Qualified Unqualified
    Parasternal left ventricular long-axis section 7 14 9 0 13 15 2 0 5.605 0.021
    Parasternal pulmonary artery long-axis section 1 7 15 7 6 6 14 4 2.966 0.124
    Parasternal mitral valve short-axis section 2 8 12 8 5 10 9 6 1.801 0.189
    Parasternal papillary muscle short-axis section 3 6 15 6 7 14 6 3 6.700 0.007
    Parasternal apical short-axis section 0 7 14 9 3 7 15 5 2.496 0.161
    Apical 4-chamber section 5 7 14 4 10 13 6 1 6.927 0.008
    PDCA: Plan, do, check, act; TTE: Transthoracic echocardiography.

    表  4   PDCA循环管理法实施前后不同心脏超声检查经验组对各TTE标准切面图像的质量评分比较

    Table  4   Comparison of image quality scores for each standard TTE section among groups with different levels of echocardiographic experience before and after implementation of PDCA cycle management n=30, x±s

    Standard section Before After
    Group with <5-year experience Group with >10-year experience t value P value Group with <5-year experience Group with >10-year experience t value P value
    Parasternal left ventricular long-axis section 80.56±10.24 84.14±8.94 -1.019 0.317 87.06±6.35 88.25±7.99 -0.453 0.654
    Parasternal pulmonary artery long-axis section 69.22±8.35 78.67±9.35 -2.503 0.021 79.97±6.56 83.24±7.13 -1.219 0.235
    Parasternal mitral valve short-axis section 70.64±8.51 79.65±9.88 -2.235 0.030 77.27±12.18 82.13±9.21 -1.085 0.292
    Parasternal papillary muscle short-axis section 69.73±7.63 78.33±10.64 -2.298 0.032 78.91±9.30 84.07±10.00 -1.389 0.177
    Parasternal apical short-axis section 69.18±8.65 73.96±8.26 -1.292 0.212 74.10±9.37 77.74±9.64 -0.957 0.348
    Apical 4-chamber section 77.48±9.35 82.71±11.36 -1.280 0.213 84.01±10.08 87.22±7.54 -0.968 0.343
    PDCA: Plan, do, check, act; TTE: Transthoracic echocardiography.
  • [1] 姜玉新,李建初,王红燕,等. 科学管理勇于创新严控质量:超声质控常用方法及研究[J]. 中华医学超声杂志(电子版),2020,17(7):597-601. DOI: 10.3877/cma.j.issn.1672-6448.2020.07.001.
    [2] 王红燕, 马莉, 谷杨, 等. 加强超声医学质量控制促进学科创新发展[J]. 中华医学超声杂志(电子版), 2019, 16(5): 321-326. DOI: 10.3877/cma.j.issn.1672-6448.2019.05.001.
    [3] 姜玉新, 李建初, 王红燕. 超声医学质量控制管理规范[M]. 北京: 人民卫生出版社, 2022.
    [4] 国家超声医学质量控制中心, 中华医学会超声医学分会. 超声医学专业质量管理控制指标专家共识(2018年版)[J]. 中华超声影像学杂志, 2018, 27(11): 921-923. DOI: 10.3760/cma.j.issn.1004-4477.2018.11.001.
    [5] 中华医学会超声医学分会超声心动图学组. 中国成年人超声心动图检查测量指南[J]. 中华超声影像学杂志, 2016, 25(8): 645-666. DOI: 10.3760/cma.j.issn.1004-4477.2016.08.001.
    [6] 李明奇, 周青. 人工智能在超声心动图图像质量控制中的应用现状和发展前景[J]. 中华医学超声杂志(电子版), 2023, 20(1): 118-121. DOI: 10.3877/cma.j.issn.1672-6448.2023.01.020.
    [7] 蒋南, 张元恒, 金壮, 等. Noise2Noise自监督人工智能在乳腺超声存图质控的应用研究[J]. 中国超声医学杂志, 2023, 39(12): 1345-1348. DOI: 10.3969/j.issn.1002-0101.2023.12.007.
    [8] 陈霞, 何年安. 基于PDCA循环管理模式的超声医学质量控制管理体系构建[J]. 中华医学超声杂志(电子版), 2021, 18(11): 1106-1108. DOI: 10.3877/cma.j.issn.1672-6448.2021.11.017.
    [9] 张晓燕, 王红燕, 王亚红, 等. 标准化医疗质量管理PDCA流程在超声科中的应用[J]. 中华医学超声杂志(电子版), 2021, 18(11): 1096-1100. DOI: 10.3877/cma.j.issn.1672-6448.2021.11.015.
    [10] 罗艳合, 杨水华, 黎新艳, 等. PDCA循环管理法在小儿超声心动图标准切面质量控制中的应用价值[J]. 影像研究与医学应用, 2024, 8(1): 191-193, 196. DOI: 10.3969/j.issn.2096-3807.2024.01.062.
    [11] 王义, 谌兰, 王翔, 等. PDCA在超声图像质量评价管理持续改进中的应用[J]. 中国卫生产业, 2019, 16(33): 39-41, 46. DOI: 10.16659/j.cnki.1672-5654.2019.33.039.
WeChat 点击查看大图
图(3)  /  表(4)
出版历程
  • 收稿日期:  2025-07-25
  • 接受日期:  2025-11-11

目录

    /

    返回文章
    返回