重组新城疫病毒rL-RVG通过BECN1-SLC7A11-GPX4通路诱导小鼠肺腺癌细胞铁死亡

熊韦琪 郭允天 于绍华 严玉兰

引用本文: 熊韦琪,郭允天,于绍华,等. 重组新城疫病毒rL-RVG通过BECN1-SLC7A11-GPX4通路诱导小鼠肺腺癌细胞铁死亡[J]. 海军军医大学学报,2026,47(1):77-83. DOI: 10.16781/j.CN31-2187/R.20240560.
Citation: XIONG W, GUO Y, YU S, et al. Recombinant Newcastle disease virus rL-RVG induces ferroptosis in mouse lung adenocarcinoma cells via BECN1-SLC7A11-GPX4 pathway[J]. Acad J Naval Med Univ, 2026, 47(1): 77-83. DOI: 10.16781/j.CN31-2187/R.20240560.

重组新城疫病毒rL-RVG通过BECN1-SLC7A11-GPX4通路诱导小鼠肺腺癌细胞铁死亡

doi: 10.16781/j.CN31-2187/R.20240560
基金项目: 

广东省基础与应用基础研究基金自然科学基金 2024A1515012336.

详细信息
    作者简介:

    熊韦琪, 硕士生. E-mail: fairy77022@163.com.

    通讯作者:

    严玉兰, E-mail: ylyan2005@163.com.

Recombinant Newcastle disease virus rL-RVG induces ferroptosis in mouse lung adenocarcinoma cells via BECN1-SLC7A11-GPX4 pathway

Funds: 

Natural Science Foundation of Guangdong Basic and Applied Basic Research Foundation 2024A1515012336.

  • 摘要:  目的 探讨重组新城疫病毒rL-RVG是否能够通过Beclin 1(BECN1)-溶质载体家族7成员11(SLC7A11)-谷胱甘肽过氧化物酶4(GPX4)信号通路在小鼠肺腺癌细胞中引发铁死亡。 方法 体外培养小鼠肺腺癌Lewis细胞系,分别进行rL-RVG感染(rL-RVG组)、新城疫病毒(NDV)感染(NDV组)、BECN1敲减(siRNA组)、NDV感染联合BECN1敲减(NDV+siRNA组)、rL-RVG感染联合BECN1敲减(rL-RVG+siRNA组)等处理,并设置相应的对照组。采用CCK-8法检测细胞增殖能力,Transwell迁移及侵袭实验检测细胞迁移和侵袭能力,集落形成实验检测细胞集落形成能力,试剂盒检测脂质过氧化物丙二醛(MDA)水平,蛋白质印迹法和qPCR检测铁死亡通路相关蛋白BECN1、SLC7A11、GPX4表达量。 结果 与对照组相比,rL-RVG组、NDV组细胞增殖能力、迁移距离、侵袭能力、细胞集落形成能力、SLC7A11表达、GPX4表达下降(均P<0.05),MDA水平、BECN1表达升高(均P<0.05),且rL-RVG组相比NDV组效果更加显著(均P<0.05)。siRNA组较对照组MDA水平、BECN1表达下降(均P<0.05),SLC7A11、GPX4表达升高(均P<0.01);rL-RVG+siRNA组相比于rL-RVG组、NDV+siRNA组相比于NDV组,MDA水平和BECN1表达下降(均P<0.05),SLC7A11、GPX4表达上升(均P<0.01)。 结论 rL-RVG可以阻止小鼠肺腺癌细胞的增殖、迁移和扩散,并且可能通过上调BECN1-SLC7A11-GPX4轴增加脂质过氧化物MDA含量,诱导小鼠肺腺癌细胞铁死亡。

     

    Abstract:  Objective To explore whether recombinant Newcastle disease virus (NDV) rL-RVG can induce ferroptosis in mouse lung adenocarcinoma cells through the Beclin 1 (BECN1)-solute carrier family 7 member 11 (SLC7A11)-glutathione peroxidase 4 (GPX4) pathway. Methods The mouse lung adenocarcinoma Lewis cell line was cultured in vitro and then subjected to infection with rL-RVG (rL-RVG group), infection with NDV (NDV group), BECN1 knockdown (siRNA group), NDV infection plus BECN1 knockdown (NDV+siRNA group), or rL-RVG infection plus BECN1 knockdown (rL-RVG+siRNA group), with untreated cells serving as control group. Cell counting kit 8, Transwell migration and invasion and plate colony-formation assays were used to detect cell proliferation, migration, invasion, and colony formation. The content of lipid peroxide malondialdehyde (MDA) was assessed by a kit. Western blotting and quantitative polymerase chain reaction were used to detect the expression of ferroptosis-related proteins BECN1, SLC7A11 and GPX4. Results Compared with the control group, the cell proliferation, migration, invasion, colony formation, and the expression of SLC7A11 and GPX4 were significantly decreased in the rL-RVG and NDV groups (all P<0.05), whereas the levels of MDA and BECN1 were significantly increased (all P<0.05); the rL-RVG group showed a greater effect than the NDV group (all P<0.05). The levels of MDA and BECN1 were significantly decreased in the siRNA group compared with the control group (both P<0.05), whereas the levels of SLC7A11 and GPX4 were significantly elevated (both P<0.01). The levels of MDA and BECN1 were also significantly decreased in the rL-RVG+siRNA and NDV+siRNA groups compared with the rL-RVG and NDV groups (all P<0.05), and the levels of SLC7A11 and GPX4 were significantly decreased (all P<0.01).  Conciusion rL-RVG can effectively prevent the proliferation, migration, and invasion of mouse lung adenocarcinoma cells and elevate lipid peroxidation by up-regulating the BECN1-SLC7A11-GPX4 axis, thereby inducing tumor-cell ferroptosis.

     

  • 肺癌是我国成年人人群中发病率和死亡率最高的恶性肿瘤,严重危害我国成人生命健康[1]。其中,非小细胞肺癌(non-small cell lung cancer,NSCLC)约占肺癌发病率的85%,其5年生存率为4%~17%[2]。化疗是目前肺癌治疗的主要方式之一,然而部分患者因身体耐受能力差等原因不适合化疗,发展新的药物治疗靶点和治疗机制对肺癌的治疗具有重要临床意义[3]

    铁死亡是近期受到广泛关注的一种新型细胞死亡模式,其在细胞形态、生化特征以及遗传学调控上与凋亡、坏死及自噬均有所不同[4-5]。一般认为,铁死亡的调控机制主要依赖于谷胱甘肽过氧化物酶4(glutathione peroxidase 4,GPX4)对于脂质过氧化物的有效中和[6]。细胞通过溶质载体家族7成员11(solute carrier family 7 member 11,SLC7A11)-谷胱甘肽-GPX4途径促进GPX4的循环利用[7],由核受体共激活剂4(nuclear receptor coactivator 4,NCOA4)介导溶酶体对细胞内铁蛋白进行自噬性降解,即铁自噬[8]。而Beclin 1(BECN1)作为自噬的关键调节剂,是Ⅲ类磷脂酰肌醇3-激酶复合物的核心成分,可在腺苷酸活化蛋白激酶介导下形成BECN1-SLC7A11复合物,抑制Xc-系统(胱氨酸/谷氨酸反向转运体)活性,促进铁死亡[9-10]。已有研究证实,新城疫病毒(Newcastle disease virus,NDV)能够抑制Xc-系统,促进人脑星形胶质母细胞瘤发生铁死亡[11]。稳定表达狂犬病毒糖蛋白的重组NDV(recombinant avirulent NDV La Sota strain expressing the rabies virus glycoprotein,rL-RVG)利用NDV为载体表达狂犬病毒外膜糖蛋白基因,具有溶瘤特性和对狂犬病毒糖蛋白N受体的阻断作用,从而使其在抗肿瘤方面的效果明显高于NDV。本课题组前期实验已证实rL-RVG比NDV对胃癌细胞增殖抑制更明显[12],rL-RVG通过p53-Yes相关蛋白1-长链脂酰辅酶A合成酶4通路抑制人肺腺癌细胞铁死亡[13]。本研究旨在探索重组新城疫病毒rL-RVG能否通过BECN1-SLC7A11-GPX4通路诱导小鼠肺癌细胞发生铁死亡。

    Lewis肺腺癌细胞(武汉普诺赛生命科技有限公司);rL-RVG和NDV(哈尔滨兽医研究所);CCK-8试剂盒(上海碧云天生物技术有限公司);Transwell小室(广州洁特生物过滤股份有限公司),基质胶(美国BD公司);丙二醛(malondialdehyde,MDA)检测试剂盒(S0131S,上海碧云天生物技术有限公司);BECN1 siRNA(南京科瑞斯科技有限公司);RNA快速提取试剂盒、ChamQ Universal SYBR qPCRMaster Mix(南京诺唯赞生物科技股份有限公司);兔抗BECN1、SLC7A11、GPX4抗体(武汉三鹰生物技术有限公司),兔抗GAPDH抗体、羊抗兔二抗(武汉博士德生物工程有限公司)。

    将Lewis细胞置于完全DMEM高糖培养基(含10% FBS)中,在37 ℃、5% CO2培养箱中培养。分别进行rL-RVG感染(rL-RVG组)、NDV感染(NDV组)、BECN1敲减(siRNA组)、NDV感染联合BECN1敲减(NDV+siRNA组)、rL-RVG感染联合BECN1敲减(rL-RVG+siRNA组)等处理,并设置相应的对照组。病毒感染:将Lewis细胞接种于6孔板中,当细胞贴壁面积达70%~80%时选择感染复数为5[12]的NDV及rL-RVG处理细胞,培养24 h进行后续实验。siRNA转染:将Lewis细胞接种于6孔板,放入37 ℃、5% CO2细胞培养箱中培养,待细胞密度达到30%~50%后,状态良好时进行转染。把干粉状态siRNA EP管瞬时离心后加入125 μL DEPC水(无菌)使其浓度为20 μmol/L。取2个无菌1.5 mL EP管,按照说明书配制含有250 μL无血清DMEM培养基及5 μL Lipofectamine 6000的a液体、含有250 μL无血清DMEM培养基及8 μL siRNA的b液体,将a液体及b液体混匀后室温放置20 min,每个实验组加入250 μL继续培养,4~6 h后换液。

    将约5 000个细胞接种于96孔板中,设置3个复孔,加入100 μL培养基混匀,放入细胞培养箱培养24 h,加入病毒液继续培养。在处理0、12、24和36 h后向3个复孔中加入10 μLCCK-8溶液,继续培养2 h,用酶标仪在450 nm波长处检测光密度(D)值。

    Transwell小室的微孔膜表面预先涂覆基质胶(迁移实验未铺基质胶),之后将0.25 mL细胞悬液接种至Transwell小室的上室中,在下室中加入含有10% FBS的完全培养基0.75 mL,培养24 h后用棉签去除微孔膜上层的细胞;用4%多聚甲醛固定10 min,并用1%结晶紫染色30 min;置于显微镜下拍照、记录、分析。

    在6孔板中每孔加入约500个细胞,在37 ℃、5% CO2的条件下常规培养,每2 d换1次培养基,7 d后弃去培养基,用PBS洗涤2次;用4%多聚甲醛固定30 min,PBS洗涤2次;0.2%结晶紫染色15 min,PBS洗涤2次。计数细胞集落数并计算各组的相对集落形成数量。

    按照MDA试剂盒说明书配制0.37%的TBA贮存液和MDA检测工作液。将0.1 mL标准品或待测样品(已稀释至不同浓度)加入1.5 mL离心管中,之后加入0.2 mL MDA检测工作液,充分混匀后,置于99 ℃金属浴中加热15 min。待混匀液冷却到室温以后,置于离心机中,1 000×g室温离心10 min。在96孔板中加入200 μL上清液,用酶标仪在532 nm波长处测定D值,根据标准曲线计算MDA水平。

    采用蛋白质印迹法检测相关蛋白的表达。在6孔板中接种细胞,加入适量的裂解液提取总蛋白,按照说明书制胶后,取10 μL样品进行10% SDS-PAGE,设置电压为80 V、时间为30 min,待条带分层后设置电压为120 V继续电泳。然后使用400 mA恒流转30 min,将蛋白转移到PVDF膜上。在无蛋白酶快速封闭液中封闭20 min,封闭后的条带放入配制好的一抗稀释液中(BECN1、SLC7A11、GPX4抗体的稀释比为1∶1 000,GAPDH抗体的稀释比为1∶5 000),之后在4 ℃冰箱中孵育过夜。将PVDF膜在室温下用TBST洗3次,每次10 min。充分洗膜后加入适量的二抗(稀释比为1∶10 000),室温下孵育1 h后用TBST充分洗膜3次,每次10 min。随后使用ECL发光液进行显影。

    采用qPCR检测相关基因的表达。按照RNA快速提取试剂盒说明书提取细胞总RNA,之后测量总RNA浓度。去除基因组DNA后配制反转录反应体系,在37 ℃反应15 min,85 ℃、5 s后完成反转录过程,终止反应并将其存储于-80 ℃冰箱。按照说明书配制扩增反应体系,用PCR仪进行qPCR,以β-actin作为内参基因,目的基因mRNA的相对表达量用2-ΔΔCt法计算。

    用SPSS 22.0软件进行统计学分析,用GraphPad Prism 9.0软件绘图。所有实验均重复3次,数据以x±s表示,两组间比较采用独立样本t检验,多组间比较采用单因素方差分析。检验水准(α)为0.05。

    CCK-8结果显示,与对照组比较,rL-RVG组、NDV组细胞增殖能力受到抑制(均P<0.05),并且rL-RVG组细胞增殖能力的抑制程度较NDV组更为显著(P<0.05)。见图 1

    图  1  rL-RVG抑制Lewis细胞增殖
    Fig.  1  rL-RVG inhibits proliferation of Lewis cells
    *P<0.05. n = 3, x±s. rL-RVG: Recombinant Newcastle disease virus rL-RVG; NDV: Newcastle disease virus.
    下载: 全尺寸图片

    实验结果显示,与对照组相比,rL-RVG组、NDV组细胞迁移距离(图 2A2B)、侵袭能力(图 2C2D)及集落形成能力(图 2E2F)均降低(均P<0.01);rL-RVG组细胞迁移距离、侵袭能力及集落形成能力比NDV组更低(均P<0.05)。

    图  2  rL-RVG抑制Lewis细胞迁移、侵袭和集落形成能力
    Fig.  2  rL-RVG inhibits migration, invasion, and colony formation of Lewis cells
    A, B: Migration of cells was detected by Transwell experiment (A: 100×; B: Statistics of cell counts); C, D: Invasion of cells was detected by Transwell experiment (A: 100×; B: Statistics of cell counts); E, F: The proliferation of cell was detected by colony-formation assay. *P<0.05, **P<0.01. n = 3, x±s. rL-RVG: Recombinant Newcastle disease virus rL-RVG; NDV: Newcastle disease virus.
    下载: 全尺寸图片

    根据标准曲线计算各组Lewis细胞的MDA释放水平,对照组为(15.87±0.61)μmol/mg,rL-RVG组为(21.93±0.64)μmol/mg,NDV组为(19.26±0.30)μmol/mg。统计学分析结果显示,与对照组相比,rL-RVG组、NDV组细胞MDA水平升高(均P<0.01),并且rL-RVG组细胞MDA水平高于NDV组(P<0.01)。

    蛋白质印迹法检测结果显示,与对照组相比,rL-RVG、NDV组细胞中BECN1蛋白的表达升高(均P<0.01),并且rL-RVG组与NDV组相比BECN1蛋白表达更高(P<0.01);而GPX4、SLC7A11蛋白与对照组相比表达下降(均P<0.01),且rL-RVG组与NDV组相比GPX4、SLC7A11蛋白表达更低(均P<0.01)。见图 3

    图  3  rL-RVG对Lewis细胞铁死亡相关蛋白表达的影响
    Fig.  3  Effect of rL-RVG on expression of ferroptosis-related proteins in Lewis cells
    The protein expression was detected by Western blotting. **P<0.01. n = 3, x±s. rL-RVG: Recombinant Newcastle disease virus rL-RVG; BECN1: Beclin 1; GPX4: Glutathione peroxidase 4; SLC7A11: Solute carrier family 7 member 11; GAPDH: Glyceraldehyde-3-phosphate dehydrogenase; NDV: Newcastle disease virus.
    下载: 全尺寸图片
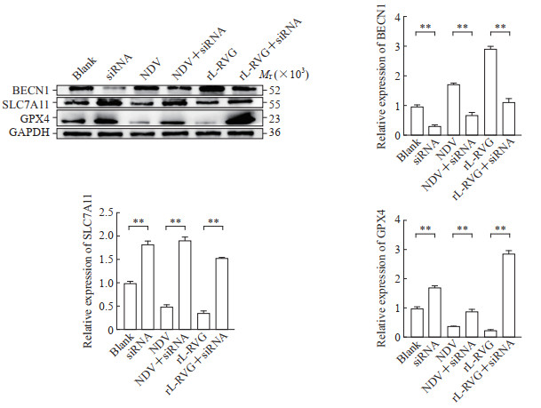
    2.5.1   BECN1 siRNA质粒转染下调细胞中BECN1的表达

    qPCR结果显示,对照组BECN1 mRNA相对表达量为0.98±0.09,siRNA组BECN1 mRNA相对表达量为0.50±0.06;蛋白质印迹法检测结果(图 4)显示,对照组BECN1蛋白相对表达量为1.04±0.08,siRNA组BECN1蛋白相对表达量为0.32±0.07。统计学分析结果显示,与对照组相比,siRNA组BECN1的mRNA和蛋白表达均降低(均P<0.01),证实BECN1敲减成功。

    图  4  BECN1 siRNA质粒转染对Lewis细胞中BECN1蛋白表达的影响
    Fig.  4  Impact of BECN1 siRNA plasmid transfection on BECN1 protein expression in Lewis cells
    The protein was detected by Western blotting. BECN1: Beclin 1; siRNA: Small interfering RNA; GAPDH: Glyceraldehyde-3-phosphate dehydrogenase; siControl: Negative control siRNA.
    下载: 全尺寸图片
    2.5.2   BECN1敲减对rL-RVG感染细胞MDA释放水平的影响

    根据标准曲线计算各组MDA水平,对照组为(14.33±0.98)μmol/mg,siRNA组为(10.78±1.07)μmol/mg,NDV组为(20.65±1.17)μmol/mg,NDV+siRNA组为(14.67±1.32)μmol/mg,rL-RVG组为(24.55±0.96)μmol/mg,rL-RVG+siRNA组为(16.22±0.79)μmol/mg。统计学分析结果显示,与对照组相比,siRNA组细胞MDA水平下降(P<0.05),提示BECN1被敲减后可以减少MDA释放;rL-RVG+siRNA组相比于rL-RVG组、NDV+siRNA组相比于NDV组,细胞MDA水平下降(均P<0.01),说明BECN1敲减在一定程度上可以拮抗rL-RVG、NDV造成的MDA增多。

    2.5.3   BECN1敲减对rL-RVG感染细胞铁死亡相关蛋白表达的影响

    当敲减下调BECN1后,SLC7A11、GPX4蛋白表达较对照组升高(均P<0.01);rL-RVG+siRNA组相比于rL-RVG组、NDV+siRNA组相比于NDV组,细胞BECN1蛋白表达下降,SLC7A11、GPX4蛋白表达升高(均P<0.01),说明BECN1敲减可以在一定程度上挽救铁死亡相关蛋白SLC7A11、GPX4的表达。见图 5

    图  5  BECN1 siRNA质粒转染对Lewis细胞中铁死亡相关蛋白表达的影响
    Fig.  5  Impact of BECN1 siRNA plasmid transfection on expression of ferroptosis-related proteins in Lewis cells
    The protein expression was detected by Western blotting. **P<0.01. n = 3, x±s. BECN1: Beclin 1; siRNA: Small interfering RNA; SLC7A11: Solute carrier family 7 member 11; GPX4: Glutathione peroxidase 4; GAPDH: Glyceraldehyde-3-phosphate dehydrogenase; NDV: Newcastle disease virus; rL-RVG: Recombinant Newcastle disease virus rL-RVG.
    下载: 全尺寸图片

    在我国,肺癌发病率和死亡率在所有恶性肿瘤中居首位[14],寻找肺癌的有效治疗靶点对于提升疗效、改善患者预后具有重要意义。铁死亡是一种新型细胞程序性死亡方式,与肿瘤有密切的关系[15]。既往研究发现,上调BECN1表达可通过SLC7A11-GPX4轴诱导肝星状细胞发生铁死亡[16]。自噬可能会通过增加脂质过氧化来积极调节细胞铁死亡的发生[17],而BECN1是自噬的关键调节剂,故我们推测BECN1-SLC7A11-GPX4轴在铁死亡过程中发挥作用。

    溶瘤病毒具有独特的能力,能够在肿瘤细胞中选择性感染并大量复制,从而对肿瘤细胞进行选择性破坏。溶瘤病毒可以直接作用于局部肿瘤,具有抗肿瘤活性,并且能够引起有效的、全身性的、持久的免疫反应[18]。在治疗肿瘤方面,溶瘤病毒具有安全、高效的特点[19]。NDV隶属禽副黏病毒属,是一种主要感染禽类的鸡瘟病毒[20],有研究表明NDV在各种实体肿瘤治疗中能选择性地感染肿瘤细胞并大量复制,从而选择性杀伤肿瘤细胞,还可诱导有效、全身、持久的抗肿瘤免疫[21]。rL-RVG是一种重组NDV,具有高度的安全性、强烈的免疫活性以及稳定性,拥有比NDV更强的扩散能力[22]。有研究表明rL-RVG在抗肿瘤作用方面优于NDV[23]

    本实验用rL-RVG、NDV感染细胞,检测铁死亡生物标志物MDA水平、细胞增殖能力及相关蛋白的表达水平等,结果显示用rL-RVG、NDV分别处理Lewis细胞,可降低细胞SLC7A11、GPX4蛋白表达,升高细胞BECN1蛋白表达及MDA水平,表明rL-RVG可诱导Lewis细胞铁死亡,且BECN1-SLC7A11-GPX4信号通路可能介导了该过程。以siRNA转染的方法敲减BECN1处理Lewis细胞可下调MDA水平并上调SLC7A11、GPX4蛋白表达,而敲减BECN1联合病毒处理后rL-RVG+siRNA组、NDV+siRNA组相比于rL-RVG组、NDV组细胞的MDA水平和BECN1蛋白表达下降,而SLC7A11、GPX4蛋白表达水平升高,表明BECN1敲减在一定程度上可以拮抗rL-RVG、NDV造成的MDA增多,挽救铁死亡相关通路蛋白SLC-7A11、GPX4表达水平的下降,提示rL-RVG促进Lewis细胞铁死亡可能是通过BECN1-SLC7A11-GPX4信号通路激活实现的。

    总之,本研究证实rL-RVG可上调BECN1-SLC7A11-GPX4通路蛋白表达,减弱抗氧化因子活性,诱导脂质过氧化和铁死亡,抑制Lewis细胞增殖,从而起到抗癌作用,而上调BECN1-SLC7A11-GPX4信号通路可能是其作用机制之一,为肺癌的治疗提供了rL-RVG这一新思路。BECN1-SLC7A11-GPX4通路下游的具体分子机制有待进一步深入研究。

  • 图  1   rL-RVG抑制Lewis细胞增殖

    Fig.  1   rL-RVG inhibits proliferation of Lewis cells

    *P<0.05. n = 3, x±s. rL-RVG: Recombinant Newcastle disease virus rL-RVG; NDV: Newcastle disease virus.

    下载: 全尺寸图片

    图  2   rL-RVG抑制Lewis细胞迁移、侵袭和集落形成能力

    Fig.  2   rL-RVG inhibits migration, invasion, and colony formation of Lewis cells

    A, B: Migration of cells was detected by Transwell experiment (A: 100×; B: Statistics of cell counts); C, D: Invasion of cells was detected by Transwell experiment (A: 100×; B: Statistics of cell counts); E, F: The proliferation of cell was detected by colony-formation assay. *P<0.05, **P<0.01. n = 3, x±s. rL-RVG: Recombinant Newcastle disease virus rL-RVG; NDV: Newcastle disease virus.

    下载: 全尺寸图片

    图  3   rL-RVG对Lewis细胞铁死亡相关蛋白表达的影响

    Fig.  3   Effect of rL-RVG on expression of ferroptosis-related proteins in Lewis cells

    The protein expression was detected by Western blotting. **P<0.01. n = 3, x±s. rL-RVG: Recombinant Newcastle disease virus rL-RVG; BECN1: Beclin 1; GPX4: Glutathione peroxidase 4; SLC7A11: Solute carrier family 7 member 11; GAPDH: Glyceraldehyde-3-phosphate dehydrogenase; NDV: Newcastle disease virus.

    下载: 全尺寸图片

    图  4   BECN1 siRNA质粒转染对Lewis细胞中BECN1蛋白表达的影响

    Fig.  4   Impact of BECN1 siRNA plasmid transfection on BECN1 protein expression in Lewis cells

    The protein was detected by Western blotting. BECN1: Beclin 1; siRNA: Small interfering RNA; GAPDH: Glyceraldehyde-3-phosphate dehydrogenase; siControl: Negative control siRNA.

    下载: 全尺寸图片

    图  5   BECN1 siRNA质粒转染对Lewis细胞中铁死亡相关蛋白表达的影响

    Fig.  5   Impact of BECN1 siRNA plasmid transfection on expression of ferroptosis-related proteins in Lewis cells

    The protein expression was detected by Western blotting. **P<0.01. n = 3, x±s. BECN1: Beclin 1; siRNA: Small interfering RNA; SLC7A11: Solute carrier family 7 member 11; GPX4: Glutathione peroxidase 4; GAPDH: Glyceraldehyde-3-phosphate dehydrogenase; NDV: Newcastle disease virus; rL-RVG: Recombinant Newcastle disease virus rL-RVG.

    下载: 全尺寸图片
  • [1] 聂小蒙,张蓉,黄海东.2022年全球及中国肺癌流行状况分析[J].海军军医大学学报,2024,45(11):1402-1407. DOI: 10.16781/j.CN31-2187/R.20240627.
    [2] HIRSCH F R, SCAGLIOTTI G V, MULSHINE J L, et al. Lung cancer: current therapies and new targeted treatments[J]. Lancet, 2017, 389(10066): 299-311. DOI: 10.1016/S0140-6736(16)30958-8.
    [3] 王忠照, 唐昊. 《中华医学会肺癌临床诊疗指南(2024版)》更新要点解读[J]. 海军军医大学学报, 2025, 46(1): 17-23. DOI: 10.16781/j.CN31-2187/R.20240697.
    [4] MOU Y, WANG J, WU J, et al. Ferroptosis, a new form of cell death: opportunities and challenges in cancer[J]. J Hematol Oncol, 2019, 12(1): 34. DOI: 10.1186/s13045-019-0720-y.
    [5] ZHOU Q, MENG Y, LI D, et al. Ferroptosis in cancer: from molecular mechanisms to therapeutic strategies[J]. Signal Transduct Target Ther, 2024, 9(1): 55. DOI: 10.1038/s41392-024-01769-5.
    [6] LIU Y, WAN Y, JIANG Y, et al. GPX4: the hub of lipid oxidation, ferroptosis, disease and treatment[J]. Biochim Biophys Acta Rev Cancer, 2023, 1878(3): 188890. DOI: 10.1016/j.bbcan.2023.188890.
    [7] WENZEL S E, TYURINA Y Y, ZHAO J, et al. PEBP1 wardens ferroptosis by enabling lipoxygenase generation of lipid death signals[J]. Cell, 2017, 171(3): 628-641. e26. DOI: 10.1016/j.cell.2017.09.044.
    [8] MANCIAS J D, WANG X, GYGI S P, et al. Quantitative proteomics identifies NCOA4 as the cargo receptor mediating ferritinophagy[J]. Nature, 2014, 509(7498): 105-109. DOI: 10.1038/nature13148.
    [9] KANG R, ZHU S, ZEH H J, et al. BECN1 is a new driver of ferroptosis[J]. Autophagy, 2018, 14(12): 2173-2175. DOI: 10.1080/15548627.2018.1513758.
    [10] SONG X, ZHU S, CHEN P, et al. AMPK-mediated BECN1 phosphorylation promotes ferroptosis by directly blocking system Xc-activity[J]. Curr Biol, 2018, 28(15): 2388-2399. e5. DOI: 10.1016/j.cub.2018.05.094.
    [11] KAN X, YIN Y, SONG C, et al. Newcastle-disease-virus-induced ferroptosis through nutrient deprivation and ferritinophagy in tumor cells[J]. iScience, 2021, 24(8): 102837. DOI: 10.1016/j.isci.2021.102837.
    [12] BU X, YIN C, ZHANG X, et al. LaSota strain expressing the rabies virus glycoprotein (rL-RVG) suppresses gastric cancer by inhibiting the α 7 nicotinic acetylcholine receptor (α7 nAChR)/phosphoinositide 3-kinase (PI3K)/AKT pathway[J]. Med Sci Monit, 2019, 25: 5482-5492. DOI: 10.12659/MSM.915251.
    [13] 何瑛珏, 李洋, 田仪督, 等. 重组新城疫病毒rL-RVG通过p53-YAP1-ACSL4通路诱导肺腺癌细胞铁死亡[J]. 医学研究与战创伤救治, 2024, 37(1): 14-22. DOI: 10.16571/j.cnki.2097-2768.2024.01.003.
    [14] 夏冰, 江洪, 王利民, 等. 肺癌30年临床研究进展[J]. 实用肿瘤杂志, 2016, 31(4): 296-300. DOI: 10.13267/j.cnki.syzlzz.2016.04.002.
    [15] DIXON S J, LEMBERG K M, LAMPRECHT M R, et al. Ferroptosis: an iron-dependent form of nonapoptotic cell death[J]. Cell, 2012, 149(5): 1060-1072. DOI: 10.1016/j.cell.2012.03.042.
    [16] TAN Y, HUANG Y, MEI R, et al. HucMSC-derived exosomes delivered BECN1 induces ferroptosis of hepatic stellate cells via regulating the xCT/GPX4 axis[J]. Cell Death Dis, 2022, 13(4): 319. DOI: 10.1038/s41419-022-04764-2.
    [17] PARK E, CHUNG S W. ROS-mediated autophagy increases intracellular iron levels and ferroptosis by ferritin and transferrin receptor regulation[J]. Cell Death Dis, 2019, 10(11): 822. DOI: 10.1038/s41419-019-2064-5.
    [18] MURPHY S A, MAPES N J Jr, DUA D, et al. Histone modifiers at the crossroads of oncolytic and oncogenic viruses[J]. Mol Ther, 2022, 30(6): 2153-2162. DOI: 10.1016/j.ymthe.2022.02.006.
    [19] MALHOTRA J, KIM E S. Oncolytic viruses and cancer immunotherapy[J]. Curr Oncol Rep, 2023, 25(1): 19-28. DOI: 10.1007/s11912-022-01341-w.
    [20] 徐婷婷, 韩继武. 新城疫病毒抗恶性肿瘤研究进展[J]. 医学综述, 2019, 25(6): 1123-1127. DOI: 10.3969/j.issn.1006-2084.2019.06.015.
    [21] ZHAO M, GAO Y, WANG L, et al. Overexpression of integrin-linked kinase promotes lung cancer cell migration and invasion via NF-κB-mediated upregulation of matrix metalloproteinase-9[J]. Int J Med Sci, 2013, 10(8): 995-1002. DOI: 10.7150/ijms.5963.
    [22] YAN Y, JIA L, ZHANG J, et al. Effect of recombinant Newcastle disease virus transfection on lung adenocarcinoma A549 cells in vivo[J]. Oncol Lett, 2014, 8(6): 2569-2576. DOI: 10.3892/ol.2014.2562.
    [23] WEN J, CHEN H, REN Z, et al. Ultrasmall iron oxide nanoparticles induced ferroptosis via Beclin1/ATG5-dependent autophagy pathway[J]. Nano Converg, 2021, 8(1): 10. DOI: 10.1186/s40580-021-00260-z.
WeChat 点击查看大图
图(5)
出版历程
  • 收稿日期:  2024-08-12
  • 接受日期:  2024-12-17

目录

    /

    返回文章
    返回