常规超声联合剪切波弹性成像对比人工智能鉴别乳腺结节良恶性的应用价值

柳燕 杜宇 刁雪红 杨雪婷 徐倩 吴婷婷 匡祎

引用本文: 柳燕,杜宇,刁雪红,等. 常规超声联合剪切波弹性成像对比人工智能鉴别乳腺结节良恶性的应用价值[J]. 海军军医大学学报,2026,47(1):61-66. DOI: 10.16781/j.CN31-2187/R.20250574.
Citation: LIU Y, DU Y, DIAO X, et al. Application value of conventional ultrasound combined with shear wave elastography versus artificial intelligence in differentiating benign and malignant breast nodules[J]. Acad J Naval Med Univ, 2026, 47(1): 61-66. DOI: 10.16781/j.CN31-2187/R.20250574.

常规超声联合剪切波弹性成像对比人工智能鉴别乳腺结节良恶性的应用价值

doi: 10.16781/j.CN31-2187/R.20250574
详细信息
    作者简介:

    柳燕, 初级技师. E-mail: 18365243269@163.com.

    通讯作者:

    刁雪红, E-mail: xuehong_d@126.com.

Application value of conventional ultrasound combined with shear wave elastography versus artificial intelligence in differentiating benign and malignant breast nodules

  • 摘要:  目的 探讨常规超声、剪切波弹性成像(SWE)与人工智能(AI)在乳腺结节良恶性鉴别中的价值,并比较其诊断效能。 方法 回顾性纳入2023年6-12月于我院就诊的306例乳腺结节患者(共306个病灶),所有患者均为女性,年龄范围28~86岁,平均年龄(54±14)岁。患者均依次接受常规超声、SWE检查及超声AI辅助诊断。记录每个结节的常规超声特征、最大弹性值(Emax),以病理结果为金标准,采用二元logistic回归方法构建诊断模型。绘制各诊断方法的ROC曲线,比较其AUC以评估诊断性能差异。 结果 在SWE中,Emax鉴别良恶性结节的AUC为0.71,最佳截断值为53.08 kPa。常规超声、超声AI辅助诊断系统、常规超声联合SWE(Emax)的AUC分别为0.79、0.82、0.81,超声AI辅助诊断系统的AUC高于SWE(Emax)(P<0.05),与常规超声联合SWE(Emax)模型相当(P=0.67)。 结论 超声AI辅助诊断系统在乳腺结节良恶性鉴别中表现出较高的准确性,其诊断效能与常规超声联合SWE(Emax)模型相当,显示出良好的智能诊断应用前景。

     

    Abstract:  Objective To explore the diagnostic value of conventional ultrasound, shear wave elastography (SWE), and artificial intelligence (AI) for differentiating benign and malignant breast nodules and to compare their diagnostic performance. Methods A total of 306 patients with breast nodules (comprising 306 lesions) treated at our hospital from Jun. to Dec. 2023 were retrospectively enrolled. All were females, aged 28-86 years, with a mean age of (54±14) years. All patients underwent conventional ultrasound, SWE, and AI-assisted ultrasound diagnosis. The conventional ultrasound features and maximum elasticity value (Emax) were recorded for each nodule. With pathological results as the gold standard, binary logistic regression was performed to construct diagnostic models. Receiver operating characteristic curves were plotted for each diagnostic method, and the area under curve (AUC) values were compared to evaluate differences in diagnostic performance. Results For SWE, the AUC of Emax for differentiating benign and malignant nodules was 0.71, with an optimal cut-off value of 53.08 kPa. The AUC values for the conventional ultrasound, the AI-assisted ultrasound diagnostic system, and the combination of conventional ultrasound and SWE (Emax) were 0.79, 0.82, and 0.81, respectively. The AUC of the AI-assisted ultrasound diagnostic system was higher than that of the SWE (Emax) alone (P<0.05), and was comparable to that of the combined model of conventional ultrasound and SWE (Emax). Conclusion The AI-assisted ultrasound diagnostic system enables automated assessment of benign and malignant nodules and demonstrates high diagnostic accuracy in differentiating breast nodules. Its diagnostic performance is comparable to that of a combined model of conventional ultrasound and SWE (Emax), indicating promising prospects for intelligent diagnostic applications.

     

  • 乳腺癌是全球范围内严重危害女性健康和生命的疾病[1]。乳腺超声因实时、无辐射的特点,已成为乳腺肿块筛查与鉴别诊断的首选手段,但其诊断准确性常受仪器和操作者的影响。近年来,随着超声技术的不断发展,剪切波弹性成像(shear wave elastography,SWE)与超声人工智能(artificial intelligence,AI)辅助诊断系统已逐步应用于临床。其中,AI辅助诊断系统能够自动识别肿块的影像信息,分析其形态和边界特征,并自动进行良恶性评估,有助于提高操作者的工作效率和诊断水平,在乳腺恶性肿瘤的早筛早诊中展现出潜力[2]。SWE技术具有无创、快捷、客观定量获取靶组织硬度信息等优点,可为乳腺结节的诊断提供客观参考[3]。然而,常规超声和SWE检查单独应用时均存在一定局限性与主观依赖性。本研究旨在探讨常规超声联合SWE对比超声AI辅助诊断系统应用于乳腺结节诊断与鉴别诊断中的价值。

    基于既往类似研究的诊断效能参数(α = 0.05,β = 0.2,允许误差δ = 0.1),计算得出所需最小样本量为268例。回顾性纳入2023年6-12月我院收治的306例女性乳腺结节患者(共306个病灶),样本量满足研究需求。患者年龄28~86岁,平均年龄(54±14)岁。纳入标准:(1)常规超声检查发现乳腺可疑结节,乳腺影像报告和数据系统(Breast Imaging Reporting and Data System,BI-RADS)分类为4a类及以上;(2)接受超声AI辅助诊断和SWE检查;(3)经穿刺活检或手术获得明确病理诊断结果。排除标准:(1)乳腺假体植入术后患者;(2)妊娠期或哺乳期患者;(3)检查区域肿块超出探查范围的患者;(4)检查区域皮肤红肿或溃烂患者;(5)既往或正在接受放化疗的患者。本研究通过我院伦理委员会审批(2024-118)。

    使用的仪器包括日本佳能医疗系统Aplio i900、Aplio i500及美国GE HealthCare公司LOGIQ E9等超声诊断仪,配备高频线阵探头。患者平卧于检查床,双手上举,充分暴露乳房及腋窝。常规扫查乳腺并明确目标结节、确定病灶后,记录病灶超声图像特征,包括病灶位置、大小、边界、形态、回声、血流动力学、钙化等。由2名具有5年以上工作经验并经过专业培训的高年资超声医师重新读片并进行BI-RADS分类。

    采用日本佳能医疗系统Aplio i900超声诊断仪,探头轻放于病灶处皮肤,避免施加压力影响结果,取样框尽量超出病灶区域,嘱患者屏气,连续留取5张最大切面SWE图像。SWE定量分析采用后处理生成弹性杨氏模量最大值,取5次测量的平均值作为该病例的最大弹性值(maximum elasticity value,Emax)。SWE操作及测量均由2名具有5年以上工作经验并经过专业培训的高年资超声医师完成。

    采用脉得智能科技(无锡)有限公司研发的乳腺结节超声辅助诊断系统,该系统基于卷积神经网络深度学习框架构建,训练数据集来源于多中心临床协作机构,包括10余家医院的乳腺超声检查数据,均获得病理确诊,数据标注由多名高年资医师完成并确认。检查时,留取乳腺病灶最具特征性(恶性或良性特征最明显)的最大切面图像,导入AI超声辅助诊断系统后,系统自动识别病灶区域,提取形态、边界、回声等特征参数,输出良恶性概率(概率范围0~100%)。诊断规则:绿色提示偏良性(概率≤70%,判定为良性结节),红色提示偏恶性(概率>70%,判定为恶性结节);若多次多切面测量结果差异≤5%,取平均值作为最终结果;若差异>5%,重新选取切面测量直至结果一致。AI系统操作均由2名具有5年以上工作经验并经过专业培训的高年资超声医师完成。

    采用SPSS 26.0软件进行统计学分析。计量资料用x±s表示,组间比较采用独立样本t检验;计数资料以例数和百分数表示,组间比较采用χ2检验。以常规超声成像特征和SWE(Emax)为自变量,病理结果为因变量,进行二元logistic回归分析,构建诊断模型。以病理结果为金标准,绘制常规超声、超声AI辅助诊断系统、SWE及联合诊断模型的ROC曲线,计算AUC并采用DeLong检验进行比较。绘制四格表计算常规超声、SWE(Emax)、常规超声联合SWE(Emax)以及超声AI辅助诊断系统诊断乳腺结节良恶性的灵敏度、特异度、准确度。检验水准(α)为0.05。

    本研究纳入的306个病灶中,经病理学检查确诊恶性病灶159个(52.0%),良性病灶147个(48.0%)。恶性结节组患者年龄为(57±14)岁,良性结节组患者年龄为(51±15)岁,两组比较差异无统计学意义(P>0.05)。

    常规超声评估中,恶性结节和良性结节的二维最小径、边界、形态、血流和钙化等特征差异均具有统计学意义(均P<0.05);SWE中,恶性结节的Emax为(70.0±32.9)kPa,良性结节Emax为(46.0±28.2)kPa,恶性结节Emax高于良性结节(P<0.05)。见表 1。超声AI辅助诊断系统与SWE的典型声像图见图 1图 2

    表  1  乳腺良性与恶性肿瘤之间常规超声检查成像特征和SWE(Emax)比较
    Table  1  Comparison of imaging characteristics of conventional ultrasound and SWE (Emax) between malignant and benign breast tumors
    Index Malignant N = 159 Benign N = 147
    Boundary (indistinct), n (%) 121 (76.1) 84 (57.1)*
    Morphology (irregular), n (%) 148 (93.1) 46 (31.3)*
    Blood flow, n (%) 109 (68.6) 51 (34.7)*
    Calcification, n (%) 56 (35.2) 122 (83.0)*
    2D-minimum diameter/mm, x±s 11.7±8.6 7.4±4.2*
    2D-maximum diameter/mm, x±s 20.0±18.0 13.2±7.5
    SWE (Emax)/kPa, x±s 70.0±32.9 46.0±28.2*
    *P<0.05 vs malignant tumor. SWE: Shear wave elastography; Emax: Maximum elasticity value.
    图  1  浸润性乳腺癌伴微乳头状癌的超声AI辅助诊断与剪切波弹性成像分析
    Fig.  1  AI-assisted ultrasound diagnosis and shear wave elastography analyses of invasive breast cancer with micropapillary carcinoma
    A 65-year-old female patient was pathologically diagnosed with invasive breast cancer complicated with micropapillary carcinoma. A: Conventional ultrasound revealed a solid nodule at the 9 o'clock position of the left breast, presenting with a clear boundary, irregular morphology, and punctate internal hyperechoes; B: Shear wave elastography of the breast nodule showed a maximum elasticity value of 62.3 kPa; C: AI-assisted ultrasound diagnosis system identified the breast nodule, with a 96% malignant probability; D: AI-assisted ultrasound diagnosis system identified the breast nodule and performed nodule filling. AI: Artificial intelligence.
    下载: 全尺寸图片
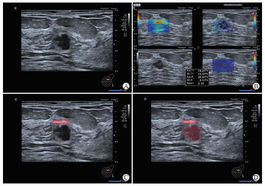
    图  2  浸润性乳腺癌的超声AI辅助诊断与剪切波弹性成像分析
    Fig.  2  AI-assisted ultrasound diagnosis and shear wave elastography analyses of invasive breast cancer
    A 61-year-old female patient was pathologically confirmed with invasive breast cancer. A: Conventional ultrasound demonstrated a solid nodule at the 2 o'clock position of the left breast, with a clear boundary and an irregular shape; B: Shear wave elastography of the breast nodule showed a maximum elasticity value of 74.6 kPa; C: Ultrasound AI-assisted diagnosis system identified the breast nodule, with an 86% probability of malignancy; D: AI-assisted ultrasound diagnosis system identified the breast nodule and performed nodule filling. AI: Artificial intelligence.
    下载: 全尺寸图片

    ROC曲线分析(图 3)表明,SWE(Emax)鉴别乳腺良恶性结节的AUC为0.71(95%CI 0.65~0.77),最佳截断值为53.08 kPa;常规超声、常规超声联合SWE(Emax)模型及超声AI辅助诊断系统鉴别乳腺良恶性结节的AUC分别为0.79(95%CI 0.74~0.84)、0.81(95%CI 0.76~0.86)、0.82(95%CI 0.78~0.87)。超声AI辅助诊断系统的AUC高于SWE(Emax)(P<0.05),与常规超声联合SWE(Emax)模型相当(P = 0.67)。

    图  3  4种方法鉴别乳腺良恶性结节的ROC曲线
    Fig.  3  ROC curves of 4 methods for differentiating benign and malignant breast nodules
    ROC: Receiver operating characteristic; AUC: Area under curve; SWE: Shear wave elastography; Emax: Maximum elasticity value; AI: Artificial intelligence.
    下载: 全尺寸图片

    绘制四格表(表 2)计算各诊断方法鉴别乳腺良恶性结节的灵敏度、特异度、准确度,结果显示常规超声分别为72.3%(115/159)、76.2%(112/147)、74.2%(227/306),SWE(Emax)模型分别为67.3%(107/159)、68.0%(100/147)、67.6%(207/306),常规超声联合SWE(Emax)模型分别为73.0%(116/159)、74.8%(110/147)、73.8%(226/306),超声AI辅助诊断系统分别为83.0%(132/159)、81.6%(120/147)、82.4%(252/306)。

    表  2  4种诊断方法鉴别乳腺良恶性结节与病理诊断的对照分析
    Table  2  Comparative analysis of 4 diagnostic methods and pathological diagnosis for differentiating benign and malignant breast nodules  n
    Pathology Conventional ultrasound SWE (Emax) Conventional ultrasound+SWE (Emax) AI diagnosis
    Malignant Benign Malignant Benign Malignant Benign Malignant Benign
    Malignant N = 159 115 44 107 52 116 43 132 27
    Benign N = 147 35 112 47 100 37 110 27 120
    SWE: Shear wave elastography; Emax: Maximum elasticity value; AI: Artificial intelligence.

    在306个病灶中,除去7个BI-RADS 5类结节(7个病理均为恶性),对各诊断方法在其他分类乳腺结节中的诊断效能进行比较。在206个4a类结节中,超声AI辅助诊断系统鉴别良恶性的AUC为0.81,灵敏度为80.2%,特异度为83.3%;常规超声联合SWE(Emax)模型的AUC为0.71,灵敏度为60.5%,特异度为80.8%。在81个4b类结节中,超声AI辅助诊断系统鉴别良恶性的AUC为0.77,灵敏度为82.1%,特异度为72.0%;常规超声联合SWE(Emax)模型的AUC为0.66,灵敏度为87.5%,特异度为44.4%。在12个4c类结节中,2种方法的AUC均为1.00,灵敏度及特异度均为100.0%。见表 3

    表  3  不同BI-RADS分级乳腺结节中各诊断方法的诊断效能
    Table  3  Diagnostic performance of each diagnostic method for breast nodules with different BI-RADS categories
    BI-RADS category AI diagnosis Conventional ultrasound+SWE (Emax)
    AUC Sensitivity/% (n/N) Specificity/% (n/N) AUC Sensitivity/% (n/N) Specificity/% (n/N)
    4a 0.81 80.2 (69/86) 83.3 (100/120) 0.71 60.5 (52/86) 80.8 (97/120)
    4b 0.77 82.1 (46/56) 72.0 (18/25) 0.66 87.5 (49/56) 44.0 (11/25)
    4c 1.00 100.0 (10/10) 100.0 (2/2) 1.00 100.0 (10/10) 100.0 (2/2)
    BI-RADS: Breast Imaging Reporting and Data System; AUC: Area under curve; SWE: Shear wave elastography; Emax: Maximum elasticity value; AI: Artificial intelligence.

    近年来,AI技术在乳腺疾病影像诊断领域取得了显著进展。本研究结果显示,在鉴别乳腺结节良恶性方面,超声AI辅助诊断系统的诊断效能(AUC = 0.82)与常规超声联合SWE(Emax)模型(AUC = 0.81)相当。常规超声检查因其无创、便捷、无辐射等优势,已成为乳腺疾病筛查和诊断的重要工具。其诊断主要依据结节的边界、形态、内部钙化及血流特征等影像学指标。一般而言,良性结节多为膨胀性生长,边界清晰;恶性结节则以浸润性生长为主,形态不规则、边界不清晰,且常缺乏完整包膜。恶性结节在早期阶段即与良性结节存在形态学差异,常规超声可据此进行初步鉴别[4]。但常规超声诊断结果受操作医师工作经验和技术水平影响,在结节分类方面存在较大的主观性。BI-RADS 4类结节的恶性风险评估范围较宽,易出现高估或低估,从而影响后续临床治疗决策的制定[5]。本研究中,根据常规超声边界、形态、钙化及血流等特征进行BI-RADS分类,4a类占比偏高。其原因可能在于,对于部分导管内病变、复杂囊肿、致密型乳腺背景下的病灶,以及边界尚清晰、形态尚规则的结节,操作医师倾向于给出保守的BI-RADS分类,导致恶性结节检出率下降。本研究共纳入306个病灶,常规超声诊断乳腺结节良恶性的AUC为0.79,诊断准确度为74.2%,提示其整体诊断性能需提升。

    SWE是一种依靠剪切波传播速度来定量评估组织硬度的新型超声成像技术,目前已广泛应用于临床诊断[6],与传统应变弹性成像相比,SWE具有操作者依赖性低、客观定量等优势。本研究中,Emax临界值为53.08 kPa时诊断效能最佳,AUC为0.71,该结果与既往研究[7-9]一致。本研究159个恶性病灶中,SWE(Emax)诊断正确有107个,误诊52个,诊断灵敏度为67.3%,低于常规超声(72.3%)。分析认为,SWE仍存在一定的假阳性与假阴性风险:部分富含胶原纤维或伴有钙化的良性结节因硬度增高可能导致假阳性,而部分体积较小、发生液化或富含黏液的恶性病灶则可能因硬度较低而造成假阴性。

    AI通过模拟人类认知过程,实现图像识别、分类与决策支持,近年来在医学影像诊断领域发展迅速。基于机器学习和深度学习算法,AI技术正逐渐改变传统影像诊断的工作模式,在提升诊断效率与准确性方面展现出显著潜力[10]。本研究所采用的超声AI辅助诊断系统能够自动识别乳腺结节图像并输出良恶性概率,实现了从图像输入到智能判读的自动化流程。结果显示,该AI系统的AUC为0.82,高于SWE(Emax)(AUC = 0.71),与常规超声联合SWE(Emax)模型(AUC = 0.81)相当,其灵敏度和特异度分别达到83.0%和81.6%,表明该模型具有良好的综合判别能力。在临床实践中,S-Detect等AI系统已被广泛应用,能够自动提取结节特征并给出良恶性判断[11]。本研究中AI的诊断性能与S-Detect[12]相当。进一步分析显示,在159个恶性病灶中,AI误诊27例,误诊原因可能为病灶体积较小或未能采集到典型恶性特征切面。AI在乳腺结节诊断中的优势主要在于高效的数据处理能力及较高的灵敏度和特异度。然而,AI算法的可靠性和泛化能力需要大规模的数据集支撑。充足且具有代表性的数据集对训练和验证的准确性和稳健性至关重要[13]。本研究样本来自单一中心,未纳入不同机构的数据,也未对不同病理亚型进行深入分析,这些因素均可能限制模型的泛化能力。此外,AI系统的“黑箱”属性导致其决策过程难以解释,目前仍是其在临床应用中面临的主要挑战之一。

    BI-RADS 4类乳腺结节涵盖4a、4b、4c亚类,良恶性风险随之递增。精准区分亚类对临床干预决策至关重要。SWE通过量化结节硬度数值,能缩小4类亚类的分级误差。本研究中,对于4a、4b、4c类乳腺结节,常规超声联合SWE(Emax)的AUC分别为0.71、0.66、1.00,超声AI辅助诊断的AUC分别为0.81、0.77、1.00,提示AI系统在4a、4b类乳腺结节中的诊断性能较常规超声联合SWE(Emax)模型有所提升。

    本研究仍存在一定局限:样本量较小,未进一步分析不同病理亚型及结节大小对诊断结果的影响;所有图像采集均来自单一中心,缺乏多中心、多设备图像的验证,可能限制模型的泛化能力[14]。此外,图像标注及存储仍依赖人工操作,存在潜在的主观偏差。未来研究应致力于扩大样本规模,纳入多中心、多设备图像数据,并加强模型的可解释性及标准化建设,以推动AI在乳腺疾病诊断中的规范化应用与临床转化。

    本研究结果表明,AI辅助诊断系统在鉴别乳腺结节良恶性中,其效能高于常规超声联合SWE(Emax),在提升诊断效率与一致性方面具有应用前景。

  • 图  1   浸润性乳腺癌伴微乳头状癌的超声AI辅助诊断与剪切波弹性成像分析

    Fig.  1   AI-assisted ultrasound diagnosis and shear wave elastography analyses of invasive breast cancer with micropapillary carcinoma

    A 65-year-old female patient was pathologically diagnosed with invasive breast cancer complicated with micropapillary carcinoma. A: Conventional ultrasound revealed a solid nodule at the 9 o'clock position of the left breast, presenting with a clear boundary, irregular morphology, and punctate internal hyperechoes; B: Shear wave elastography of the breast nodule showed a maximum elasticity value of 62.3 kPa; C: AI-assisted ultrasound diagnosis system identified the breast nodule, with a 96% malignant probability; D: AI-assisted ultrasound diagnosis system identified the breast nodule and performed nodule filling. AI: Artificial intelligence.

    下载: 全尺寸图片

    图  2   浸润性乳腺癌的超声AI辅助诊断与剪切波弹性成像分析

    Fig.  2   AI-assisted ultrasound diagnosis and shear wave elastography analyses of invasive breast cancer

    A 61-year-old female patient was pathologically confirmed with invasive breast cancer. A: Conventional ultrasound demonstrated a solid nodule at the 2 o'clock position of the left breast, with a clear boundary and an irregular shape; B: Shear wave elastography of the breast nodule showed a maximum elasticity value of 74.6 kPa; C: Ultrasound AI-assisted diagnosis system identified the breast nodule, with an 86% probability of malignancy; D: AI-assisted ultrasound diagnosis system identified the breast nodule and performed nodule filling. AI: Artificial intelligence.

    下载: 全尺寸图片

    图  3   4种方法鉴别乳腺良恶性结节的ROC曲线

    Fig.  3   ROC curves of 4 methods for differentiating benign and malignant breast nodules

    ROC: Receiver operating characteristic; AUC: Area under curve; SWE: Shear wave elastography; Emax: Maximum elasticity value; AI: Artificial intelligence.

    下载: 全尺寸图片

    表  1   乳腺良性与恶性肿瘤之间常规超声检查成像特征和SWE(Emax)比较

    Table  1   Comparison of imaging characteristics of conventional ultrasound and SWE (Emax) between malignant and benign breast tumors

    Index Malignant N = 159 Benign N = 147
    Boundary (indistinct), n (%) 121 (76.1) 84 (57.1)*
    Morphology (irregular), n (%) 148 (93.1) 46 (31.3)*
    Blood flow, n (%) 109 (68.6) 51 (34.7)*
    Calcification, n (%) 56 (35.2) 122 (83.0)*
    2D-minimum diameter/mm, x±s 11.7±8.6 7.4±4.2*
    2D-maximum diameter/mm, x±s 20.0±18.0 13.2±7.5
    SWE (Emax)/kPa, x±s 70.0±32.9 46.0±28.2*
    *P<0.05 vs malignant tumor. SWE: Shear wave elastography; Emax: Maximum elasticity value.

    表  2   4种诊断方法鉴别乳腺良恶性结节与病理诊断的对照分析

    Table  2   Comparative analysis of 4 diagnostic methods and pathological diagnosis for differentiating benign and malignant breast nodules  n

    Pathology Conventional ultrasound SWE (Emax) Conventional ultrasound+SWE (Emax) AI diagnosis
    Malignant Benign Malignant Benign Malignant Benign Malignant Benign
    Malignant N = 159 115 44 107 52 116 43 132 27
    Benign N = 147 35 112 47 100 37 110 27 120
    SWE: Shear wave elastography; Emax: Maximum elasticity value; AI: Artificial intelligence.

    表  3   不同BI-RADS分级乳腺结节中各诊断方法的诊断效能

    Table  3   Diagnostic performance of each diagnostic method for breast nodules with different BI-RADS categories

    BI-RADS category AI diagnosis Conventional ultrasound+SWE (Emax)
    AUC Sensitivity/% (n/N) Specificity/% (n/N) AUC Sensitivity/% (n/N) Specificity/% (n/N)
    4a 0.81 80.2 (69/86) 83.3 (100/120) 0.71 60.5 (52/86) 80.8 (97/120)
    4b 0.77 82.1 (46/56) 72.0 (18/25) 0.66 87.5 (49/56) 44.0 (11/25)
    4c 1.00 100.0 (10/10) 100.0 (2/2) 1.00 100.0 (10/10) 100.0 (2/2)
    BI-RADS: Breast Imaging Reporting and Data System; AUC: Area under curve; SWE: Shear wave elastography; Emax: Maximum elasticity value; AI: Artificial intelligence.
  • [1] DESANTIS C E, MA J, GAUDET M M, et al. Breast cancer statistics, 2019[J]. CA A Cancer J Clin, 2019, 69(6):438-451. DOI: 10.3322/caac.21583.
    [2] 江停, 马华, 吕嘉睿, 等. 基于数字乳腺断层合成的AI在乳腺癌早期筛查与诊疗预测中的研究进展[J]. 临床医学工程, 2025, 32(12): 1439-1442. DOI: 10.3969/j.issn.1674-4659.2025.12.1439.
    [3] 罗季平, 唐博, 周桃, 等. 人工智能辅助评分联合剪切波弹性成像在乳腺结节鉴别诊断中的应用[J]. 现代肿瘤医学, 2022, 30(23): 4325-4329. DOI: 10.3969/j.issn.1672-4992.2022.23.021.
    [4] 尹莉, 马艳敏, 冯运芝, 等. 声触诊组织成像定量技术和常规超声诊断鉴别乳腺结节性质的价值分析[J]. 中国实用医刊, 2022, 49(18): 75-78. DOI: 10.3760/cma.j.cn115689-20220628-02833.
    [5] 中国抗癌协会乳腺癌专业委员会. 中国抗癌协会乳腺癌诊治指南与规范(2021年版)[J]. 中国癌症杂志, 2021, 31(10): 954-1040. DOI: 10.19401/j.cnki.1007-3639.2021.10.013.
    [6] 张之杰, 崔艳飞, 张娇, 等. 超声剪切波弹性成像联合血清CA125、CA153、CEA对乳腺BI-RADS 4类结节的鉴别诊断效能分析[J]. 生物医学工程与临床, 2025, 29(4): 480-486. DOI: 10.13339/j.cnki.sglc.20250623.002.
    [7] PARK J, WOO O H, SHIN H S, et al. Diagnostic performance and color overlay pattern in shear wave elastography (SWE) for palpable breast mass[J]. Eur J Radiol, 2015, 84(10): 1943-1948. DOI: 10.1016/j.ejrad.2015.06.020.
    [8] CHOI H Y, SOHN Y M, SEO M. Comparison of 3D and 2D shear-wave elastography for differentiating benign and malignant breast masses: focus on the diagnostic performance[J]. Clin Radiol, 2017, 72(10): 878-886. DOI: 10.1016/j.crad.2017.04.009.
    [9] KIM S J, KO K H, JUNG H K, et al. Shear wave elastography: is it a valuable additive method to conventional ultrasound for the diagnosis of small (≤2 cm) breast cancer?[J]. Medicine, 2015, 94(42): e1540. DOI: 10.1097/MD.0000000000001540.
    [10] 孙绍梅, 王若兰, 毕承柳, 等. 人工智能MRI在乳腺癌诊断与疗效预测中的研究进展[J]. 磁共振成像, 2025, 16(2): 193-197, 228. DOI: 10.12015/issn.1674-8034.2025.02.031.
    [11] 潘加珍, 刘心培, 查海玲, 等. S-Detect在乳腺肿块诊断中出现假阴性和假阳性的影响因素[J]. 肿瘤影像学, 2023, 32(1): 64-72. DOI: 10.19732/j.cnki.2096-6210.2023.01.010.
    [12] 钟树兴, 郭红梅, 刘美玲, 等. 多模态超声联合人工智能S-Detect技术对BI-RADS 4类乳腺结节的诊断分析[J]. 影像技术, 2024, 36(5): 4-9, 25. DOI: 10.3969/j.issn.1001-0270.2024.05.001.
    [13] 孙雨, 杨琛. 基于自动乳腺超声诊断系统的乳腺肿瘤人工智能诊断研究进展[J]. 中国医学影像学杂志, 2024, 32(11): 1176-1181. DOI: 10.3969/j.issn.1005-5185.2024.11.015.
    [14] 冀鸿涛, 朱强, 甘从贵, 等. 人工智能辅助诊断模型在乳腺结节超声诊断中的应用价值[J]. 肿瘤研究与临床, 2019, 31(10): 649-652. DOI: 10.3760/cma.j.issn.1006-9801.2019.10.001.
WeChat 点击查看大图
图(3)  /  表(3)
出版历程
  • 收稿日期:  2025-09-04
  • 接受日期:  2025-11-11

目录

    /

    返回文章
    返回