腹部单中心型Castleman病与副神经节瘤的CT特征对比分析

常金科 李鹏程 鲍子涵 郝强 张倩雯

引用本文: 常金科,李鹏程,鲍子涵,等. 腹部单中心型Castleman病与副神经节瘤的CT特征对比分析[J]. 海军军医大学学报,2025,46(12):1649-1654.DOI: 10.16781/j.CN31-2187/R.20240613.
Citation: CHANG J, LI P, BAO Z, et al. Comparison of abdominal unicentric Castleman’s disease and paraganglioma on computed tomography[J]. Acad J Naval Med Univ, 2025, 46(12): 1649-1654. DOI: 10.16781/j.CN31-2187/R.20240613.

腹部单中心型Castleman病与副神经节瘤的CT特征对比分析

doi: 10.16781/j.CN31-2187/R.20240613
基金项目: 

海军军医大学青年启动基金 2023QN049;

海军军医大学“三航”人才培养计划(启航) .

详细信息

Comparison of abdominal unicentric Castleman's disease and paraganglioma on computed tomography

Funds: 

Youth Startup Fund of Naval Medical University 2023QN049;

"San Hang" Talent Training Project (Sailing Project) of Naval Medical University .

  • 摘要:  目的 探讨腹部单中心型Castleman病(UCD)与副神经节瘤(PGL)的CT特征差异。 方法 回顾性收集经手术病理证实的28例腹部UCD和48例腹部PGL患者资料,对比分析2类肿瘤患者的临床和CT特征。 结果 PGL组患者年龄大于UCD组[52.0(45.5,63.5)岁vs 38.5(32.0,44.0)岁],合并高血压的比例高于UCD组[60.4%(29/48) vs 17.9%(5/28)],差异均有统计学意义(均P < 0.001)。两组患者病灶大小、是否有钙化、是否有出血、瘤内及瘤周血管影、强化程度、强化模式和各期CT值差异无统计学意义(均P > 0.05),但病灶位置、形状、边界、瘤周脂肪间隙、是否伴有囊变坏死、瘤内是否含有裂隙状低密度影、瘤周是否伴有肿大淋巴结差异有统计学意义(均P < 0.05)。其中PGL病灶均位于腹膜后,呈不规则形、边界不清、有囊变坏死的比例高于UCD;UCD病灶均为类圆形,部分病灶位于肠系膜,表现为瘤周脂肪间隙模糊、分支状钙化、瘤内裂隙状低密度影、瘤周伴有肿大淋巴结的比例高于PGL。 结论 腹部UCD和PGL在CT影像上各有一定特征,识别这些特征有助于两者的鉴别。

     

    Abstract:  Objective To explore the differences in computed tomography(CT) features between abdominal unicentric Castleman's disease(UCD) and paraganglioma(PGL). Methods The clinical data and CT features of 28 abdominal UCD patients and 48 abdominal PGL patients confirmed by surgical pathology were retrospectively analyzed and compared. Results Patients in the PGL group were significantly older(52.0 [45.5, 63.5] years vs 38.5 [32.0, 44.0] years, P < 0.001) and had a significantly higher prevalence of hypertension(60.4% [29/48] vs 17.9% [5/28], P < 0.001) than those in the UCD group. There were no significant differences between UCD and PGL lesions in size, calcification, hemorrhage intratumoral or peritumoral vessels, degree of enhancement, enhancement pattern, or CT values of each period(all P > 0.05); in contrast, significant differences were observed in lesion location, morphology, boundary, peritumoral fat space, cystic necrosis, fissured non-enhanced areas, and enlarged lymph nodes around the tumor(all P < 0.05). The PGL lesions were all located in the posterior peritoneum, and the proportions of lesions with irregular shape, unclear boundary, and cystic necrosis were higher than the UCD lesions; while the UCD lesions were all round like, some were located in the mesentery, and the proportions of lesions with fuzzy peritumoral fat spaces, branching calcification, fissured non-enhanced areas, and enlarged lymph nodes around the tumor were higher than the PGL lesions. Conclusion Abdominal UCD and PGL exhibit distinct CT characteristics that can facilitate their differentiation.

     

  • Castleman病又称巨大淋巴结增生症,是一种病因不明的慢性淋巴组织增生性疾病,根据淋巴结受累区域的不同分为单中心型Castleman病(unicentric Castleman’s disease,UCD)和多中心型Castleman病(multicentric Castleman’s disease,MCD)。UCD是仅有同一淋巴结区域内1个或多个淋巴结受累的Castleman病,一般呈良性病程,预后良好[1-2]。副神经节瘤(paraganglioma,PGL)又称异位嗜铬细胞瘤,是起源于肾上腺外交感神经链的神经内分泌肿瘤。仅少数PGL患者表现为典型的阵发性高血压,多数PGL患者临床表现不典型。如果手术过程中PGL突然分泌大量儿茶酚胺,患者会出现高血压危象,严重时可能导致死亡[3]。UCD和PGL均可发生于腹部,临床少见[4-5],两者均为富血供肿瘤,在影像学表现上有一些重叠,容易误诊。术前区分腹部UCD和PGL对术前准备和手术方案的制定具有重要意义。既往关于两者影像学特征对比研究的报道较少[6-7]。本研究收集经病理证实的28例腹部UCD和48例腹部PGL患者资料,对两者的CT表现进行对比分析,旨在提高对两者的诊断正确率。

    回顾性收集海军军医大学第一附属医院2014年1月至2022年12月收治的28例腹部UCD和48例腹部PGL患者的一般临床资料(年龄、性别、是否合并高血压等)和影像学资料。纳入标准:(1)经手术病理证实为UCD或PGL;(2)具有完整的CT平扫+增强检查资料。本研究经海军军医大学第一附属医院伦理委员会审查批准(CHEC2024-098)。

    CT扫描采用日本Toshiba Acquilion One CT扫描仪和荷兰Philips Brilliance iCT仪。扫描参数:管电压120 kV,采用自动管电流技术,机架转速0.5 s/圈,螺距0.87或0.921,重建视野350 mm×350 mm,层厚5 mm,层间距5 mm。采用高压注射器经肘静脉注射非离子型碘造影剂碘海醇(上海博莱科信宜药业有限公司),碘浓度350 mg/mL,注射总量为80~100 mL,注射速率2.5~4 mL/s。分别于注射造影剂25~30 s、60~70 s、120~140 s行动脉期、静脉期及延迟期成像。

    所有CT图像由2位具有5~10年工作经验的腹部影像专业方向的放射科医师在未知病理结果的情况下,依照定性和定量评估标准进行评估。阅片结果不一致时,向另1名具有20年以上腹部影像阅片经验的副主任医师进行咨询并协商达成一致意见。

    1.3.1   定性评估

    (1)病灶位置,分为腹膜后和腹腔内;(2)病灶形状,分为类圆形和不规则形;(3)钙化;(4)囊变坏死,是指瘤内存在平扫为液性密度而增强后未见明显强化的区域;(5)出血;(6)瘤内裂隙状低密度影,是指平扫为软组织密度而增强动脉期瘤内出现细线形或裂隙样低强化灶;(7)瘤内及瘤周血管影,是指增强后病灶周边或内部有增粗迂曲的血管影;(8)病灶边界是否清晰;(9)瘤周脂肪间隙,分为清晰和模糊;(10)CT强化程度及强化模式,CT强化程度分为无强化(<10 HU)、轻度强化(10~30 HU)、中度强化(>30~60 HU)和明显强化(>60 HU),强化模式分为速升缓降(肿瘤动脉期明显强化、延迟期轻度廓清)和渐进性延迟强化(延迟期相较于动脉期和静脉期进一步强化)。

    1.3.2   定量评估

    (1)病灶大小,指在增强CT静脉期横断面图像测量的病灶最大径;(2)平扫及增强动脉期和静脉期CT值、最高绝对强化CT值,避开囊变坏死、血管或钙化区域选择感兴趣区域(region of interest,ROI),测量病灶内3个ROI的CT值,取平均值,不同时相的测量部位和范围保持一致。

    采用SPSS 19.0软件进行统计学分析。计数资料以例数和百分数表示,组间比较采用χ2检验或Fisher确切概率法。运用Kolmogorov-Smirnov法检验计量资料是否服从正态分布,符合正态分布者以x±s表示,不符合正态分布者以MQ1Q3)表示。如符合正态分布和方差齐,组间比较采用独立样本t检验;如不符合正态分布或方差不齐,组间比较采用Mann-Whitney U检验。检验水准(α)为0.05。

    腹部UCD和PGL患者的临床特征见表 1,PGL组患者年龄大于UCD组,合并高血压的比例高于UCD组,差异均有统计学意义(均P<0.001)。28例UCD患者中,26例病理类型为透明血管型,1例为浆细胞型,1例为混合型;20例体检发现占位,8例表现为腹部隐痛或腰背部疼痛。48例PGL患者中,7例PGL伴有复发或转移(其中1例术后3年复发),6例发现时即有转移(其中3例伴有腹膜后淋巴结转移,2例伴有骨转移,1例伴有右侧腰大肌转移),3例见下腔静脉内癌栓;25例体检发现占位,17例表现为腹部隐痛或腰背部疼痛,6例表现为持续性高血压阵发性发作合并头痛、心悸和多汗。

    表  1  腹部UCD和PGL患者的临床特征比较
    临床特征 UCD N=28 PGL N=48 统计值 P
    男, n (%) 13 (46.4) 21 (43.8) χ2=0.051 0.821
    年龄/岁, M (Q1, Q3) 38.5 (32.0, 44.0) 52.0 (45.5, 63.5) Z=-4.942 <0.001
    合并高血压, n (%) 5 (17.9) 29 (60.4) χ2=12.956 <0.001
    UCD:单中心型Castleman病;PGL:副神经节瘤.

    28例UCD均为单发病灶。48例PGL中,46例为单发病灶,2例为多发病灶(病灶相邻),因多发病灶的CT表现类似,图像分析时选择较大病灶。典型病例影像学表现见图 1~4

    图  1  1例40岁女性腹部单中心型Castleman病患者的影像学表现(体检发现腹膜后占位)
    A:CT平扫示腹主动脉左侧见椭圆形实性肿块,密度均匀(CT值为39.6 HU);B:CT增强动脉期示肿块明显强化(CT值为120.0 HU),中央可见裂隙状低密度影(箭头所示),瘤周见血管影;C:CT增强延迟期示肿块强化均匀(CT值为92.8 HU),呈速升缓降强化模式. CT:计算机断层扫描.
    下载: 全尺寸图片
    图  2  1例61岁男性腹部副神经节瘤患者的影像学表现(体检发现腹膜后占位,不伴高血压)
    A:CT平扫示腹主动脉左侧见一囊实性肿块,内部有低密度囊变区(箭头所示);B:CT增强动脉期示肿块实性部分明显强化,瘤内及边缘可见血管影(箭头所示);C:冠状面CT增强静脉期示肿块内囊变区无强化(箭头所示),瘤周脂肪间隙清楚,未见肿大淋巴结. CT:计算机断层扫描.
    下载: 全尺寸图片
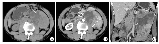
    图  3  1例27岁腹部单中心型Castleman病患者的影像学表现(体检发现腹膜后占位)
    A:CT平扫示腹主动脉左侧见椭圆形肿块,内可见囊变坏死,边界清楚,内部见粗大分支状钙化(箭头所示);B:CT增强动脉期示肿块实性部分明显强化,CT值达140 HU,肿块周围脂肪间隙模糊(箭头所示);C:冠状面CT增强静脉期示肿块下缘见多发肿大淋巴结环绕(箭头所示),邻近系膜增厚. CT:计算机断层扫描.
    下载: 全尺寸图片
    图  4  1例67岁男性腹部副神经节瘤患者的影像学表现(腹部阵发性疼痛4个月余,不伴高血压)
    A:CT平扫示腹主动脉右侧见一类圆形实性肿块(箭头所示),CT值为47.2 HU;B:CT增强动脉期示肿块明显均匀强化,CT值为160.2 HU,瘤内及边缘可见血管影(箭头所示);C:冠状面CT增强静脉期示腹主动脉右旁肿块强化程度稍减低,CT值为117.5 HU,呈速升缓降强化模式,瘤周脂肪间隙清晰,未见肿大淋巴结. CT:计算机断层扫描.
    下载: 全尺寸图片

    腹部UCD和PGL患者的肿瘤CT特征见表 2。两组患者病灶大小、是否伴有钙化及出血、瘤内及瘤周血管影、强化程度和强化模式差异均无统计学意义(均P>0.05),但病灶位置、形状、边界、瘤周脂肪间隙、分支状钙化、是否伴有囊变坏死、瘤内是否有裂隙状低密度影、瘤周是否伴有肿大淋巴结差异有统计学意义(均P<0.05)。

    表  2  腹部UCD和PGL患者的肿瘤CT特征比较
    CT特征 UCD N=28 PGL N=48 统计值 P
    病灶大小/mm, x±s 47.5±18.8 57.2±25.6 t=1.739 0.086
    病灶位置, n (%)     χ2=10.397 0.001
      腹膜后 21 (75.0) 48 (100.0)    
      肠系膜 7 (25.0) 0    
    形状, n (%)     χ2=6.539 0.011
      类圆形 28 (100.0) 36 (75.0)    
      不规则形 0 12 (25.0)    
    边界, n (%)     χ2=4.315 0.038
      清晰 27 (96.4) 36 (75.0)    
      不清 1 (3.6) 12 (25.0)    
    瘤周脂肪间隙, n (%)     χ2=22.351 <0.001
      清晰 14 (50.0) 46 (95.8)    
      模糊 14 (50.0) 2 (4.2)    
    钙化, n (%) 9 (32.1) 14 (29.2) χ2=0.074 0.785
    分支状钙化, n (%) 6 (21.4) 0 χ2=11.167 <0.001
    囊变坏死, n (%) 6 (21.4) 38 (79.2) χ2=22.184 <0.001
    出血, n (%) 0 1 (2.1) Fisher确切概率法 1.000
    瘤内及瘤周血管影, n (%) 20 (71.4) 29 (60.4) χ2=0.936 0.333
    瘤内裂隙状低密度影, n (%) 8 (28.6) 2 (4.2) χ2=7.206 0.007
    瘤周伴有肿大淋巴结, n (%) 17 (60.7) 3 (6.2) χ2=27.053 <0.001
    强化程度, n (%)     χ2=1.786 0.181
      明显强化 27 (96.4) 40 (83.3)    
      轻中度强化 1 (3.6) 8 (16.7)    
    强化模式, n (%)     χ2=0.785 0.375
      速升缓降 27 (96.4) 42 (87.5)    
      渐进性延迟强化 1 (3.6) 6 (12.5)    
    UCD:单中心型Castleman病;PGL:副神经节瘤;CT:计算机断层扫描.

    腹部UCD和PGL患者各期CT值对比见表 3,两组之间差异均无统计学意义(均P>0.05)。

    表  3  腹部UCD和PGL患者各期CT值对比 HU, x±s
    CT值 UCD n=28 PGL n=48 统计值 P
    CT平扫 43.1±4.8 40.7±6.7 t=-1.653 0.103
    CT动脉期 117.9±33.0 112.7±45.1 t=-0.538 0.592
    CT静脉期 136.6±26.1 130.3±44.2 Z=-1.228 0.220
    CT延迟期 109.1±20.2 103.9±24.3 t=-0.960 0.340
    最高绝对强化值 98.5±27.4 95.5±50.6 Z=-0.738 0.461
    UCD:单中心型Castleman病;PGL:副神经节瘤;CT:计算机断层扫描.

    PGL高峰发病年龄为30~50岁[3-4]。UCD好发于年轻人,平均年龄为30~35岁[8]。本研究结果显示PGL中位发病年龄较UCD大10岁左右,与文献报道相仿。持续性高血压阵发性发作合并头痛、心悸和多汗是PGL的典型临床症状,但具有典型临床症状的患者较少,本研究中PGL患者合并高血压的概率高于UCD患者,但具有典型临床症状者仅占全部PGL病例的12.5%(6/48),表明以该症状判断PGL的灵敏性较低。

    本研究通过对比腹部UCD和PGL两组肿瘤的CT特征,结果显示两组病例在病灶位置、形状、边界、瘤周脂肪间隙、囊变坏死、瘤周肿大淋巴结、瘤内裂隙状低密度影、分支状钙化等方面差异有统计学意义(均P<0.05)。(1)病灶部位:两者的发病部位有一定重叠,而PGL较UCD更多发生于腹膜后。腹部PGL起源于肾上腺外脊椎旁交感神经链的副神经节组织,好发于腹主动脉旁[3, 9]。腹部UCD可发生于腹膜后、肠系膜等任何淋巴结存在的部位[2]。(2)病灶形状:PGL可表现为类圆形或不规则形,PGL表现为不规则形的比例较UCD高,不规则形PGL考虑与恶性PGL有关,呈浸润性生长[10]。UCD多表现为类圆形,呈膨胀性生长,本组病例中有3例UCD表现为肾形,中央见脐凹征,类似淋巴门结构。文献报道“肾形”为其特征性表现[11],有助于UCD的诊断,但该征象的出现概率较低。(3)病灶边界:UCD一般边界清晰,PGL边界可清晰或不清晰,浸润性生长者可侵犯邻近组织[12]。(4)瘤周脂肪间隙:PGL的瘤周脂肪间隙大多清晰,本组中仅2例恶性PGL瘤周脂肪间隙模糊,考虑可能是由下腔静脉癌栓引起的淤血改变。UCD的瘤周脂肪间隙可清晰或模糊,本组中有50.0%的UCD瘤周脂肪间隙模糊伴筋膜增厚,呈条索状、环状低密度影,病理表现为反应性炎症性增生,与UCD的淋巴滤泡、血管增生及浆细胞增殖有关,此征象为UCD的特异性表现,提示UCD可能伴随机体高炎症状态,与文献[2, 11]报道相符。(5)囊变坏死:PGL较UCD更易囊变坏死。PGL病灶较小时,信号多较为均匀,随着体积的增大瘤体血供不足或出现血管变性,导致瘤内出现坏死、囊变等[13-14]。本组PGL病例中有79.2%可见囊变坏死,与文献[14]报道相符。UCD一般密度均匀,较少伴有囊变坏死,与其血供丰富和淋巴组织特性有关。(6)瘤周肿大淋巴结:UCD周围可见肿大淋巴结,均匀强化,文献称为卫星灶或子灶[5, 11, 15],此为UCD的特征性表现,病理表现为反应性炎症性增生,本组UCD病例中60.7%可见此征象。而PGL中,仅3例(6.2%)恶性PGL瘤周见环形强化的转移淋巴结。瘤周肿大淋巴结有助于两者的鉴别。(7)瘤内裂隙状低密度影:文献报道动脉期裂隙状低密度影为UCD的特征性表现之一,延迟期呈现均匀强化或低密度区域逐渐缩小,病理表现为透明样变和纤维化而非坏死[11, 15]。本组病例中8例(28.6%)UCD可见此征象;PGL病例中仅有2例(4.2%)可见此征象,考虑与PGL含有丰富的血窦、动脉期造影剂弥散不均匀有关。(8)分支状钙化:PGL的钙化形态无特异性,UCD的典型钙化形态表现为分支状钙化,本组UCD病例中6例(21.4%)可见分支状钙化,典型的钙化形态有助于两者的鉴别[16]

    本研究结果显示,腹部UCD和PGL两组患者在病灶大小、是否含有钙化及出血、瘤内及瘤周血管影、强化程度和强化模式方面差异无统计学意义(均P>0.05)。UCD和PGL多位于腹膜后,腹膜后间隙较大,肿瘤可能在生长至较大体积时才出现临床症状。PGL易出血,但本组病例仅1例显示出血,考虑与CT对亚急性出血显示能力较差有关。PGL与UCD两组患者肿瘤钙化发生率相仿,约1/3发生钙化。PGL与UCD均为富血供肿瘤,瘤内及瘤周可见迂曲血管影,大多表现为明显强化,强化模式表现为速升缓降[3, 16]。本组PGL与UCD病灶大多表现为动脉期即明显强化,强化程度低于主动脉,静脉期进一步强化,延迟期强化程度轻度下降。

    本研究存在以下局限性:(1)本研究为回顾性研究,可能存在一定偏倚;(2)因UCD发病率不高,本研究纳入的病例有限,且未针对囊变等影像特点和不同病理特点进行亚组分析;(3)两组病例仅部分患者行儿茶酚胺类检查,相关资料不全,未予统计分析。

    综上所述,腹部UCD和PGL的CT表现各有一定的特征性,有助于两者的鉴别诊断。两者的相似之处在于CT上大多表现为明显持续强化,瘤内及瘤周可见迂曲血管影。两者的不同之处在于PGL多位于腹主动脉旁,易发生囊变坏死,恶性PGL可侵犯邻近血管或其他组织;UCD好发于淋巴结区域,密度相对均匀,囊变坏死较少,部分伴典型分支状钙化或瘤内裂隙状低密度影,瘤周筋膜增厚伴有卫星灶。典型的腹部UCD和PGL容易区分;当UCD伴有较多囊变坏死或PGL完全实性时,两者容易混淆,要结合其他征象综合分析。

  • 图  1   1例40岁女性腹部单中心型Castleman病患者的影像学表现(体检发现腹膜后占位)

    A:CT平扫示腹主动脉左侧见椭圆形实性肿块,密度均匀(CT值为39.6 HU);B:CT增强动脉期示肿块明显强化(CT值为120.0 HU),中央可见裂隙状低密度影(箭头所示),瘤周见血管影;C:CT增强延迟期示肿块强化均匀(CT值为92.8 HU),呈速升缓降强化模式. CT:计算机断层扫描.

    下载: 全尺寸图片

    图  2   1例61岁男性腹部副神经节瘤患者的影像学表现(体检发现腹膜后占位,不伴高血压)

    A:CT平扫示腹主动脉左侧见一囊实性肿块,内部有低密度囊变区(箭头所示);B:CT增强动脉期示肿块实性部分明显强化,瘤内及边缘可见血管影(箭头所示);C:冠状面CT增强静脉期示肿块内囊变区无强化(箭头所示),瘤周脂肪间隙清楚,未见肿大淋巴结. CT:计算机断层扫描.

    下载: 全尺寸图片

    图  3   1例27岁腹部单中心型Castleman病患者的影像学表现(体检发现腹膜后占位)

    A:CT平扫示腹主动脉左侧见椭圆形肿块,内可见囊变坏死,边界清楚,内部见粗大分支状钙化(箭头所示);B:CT增强动脉期示肿块实性部分明显强化,CT值达140 HU,肿块周围脂肪间隙模糊(箭头所示);C:冠状面CT增强静脉期示肿块下缘见多发肿大淋巴结环绕(箭头所示),邻近系膜增厚. CT:计算机断层扫描.

    下载: 全尺寸图片

    图  4   1例67岁男性腹部副神经节瘤患者的影像学表现(腹部阵发性疼痛4个月余,不伴高血压)

    A:CT平扫示腹主动脉右侧见一类圆形实性肿块(箭头所示),CT值为47.2 HU;B:CT增强动脉期示肿块明显均匀强化,CT值为160.2 HU,瘤内及边缘可见血管影(箭头所示);C:冠状面CT增强静脉期示腹主动脉右旁肿块强化程度稍减低,CT值为117.5 HU,呈速升缓降强化模式,瘤周脂肪间隙清晰,未见肿大淋巴结. CT:计算机断层扫描.

    下载: 全尺寸图片

    表  1   腹部UCD和PGL患者的临床特征比较

    临床特征 UCD N=28 PGL N=48 统计值 P
    男, n (%) 13 (46.4) 21 (43.8) χ2=0.051 0.821
    年龄/岁, M (Q1, Q3) 38.5 (32.0, 44.0) 52.0 (45.5, 63.5) Z=-4.942 <0.001
    合并高血压, n (%) 5 (17.9) 29 (60.4) χ2=12.956 <0.001
    UCD:单中心型Castleman病;PGL:副神经节瘤.

    表  2   腹部UCD和PGL患者的肿瘤CT特征比较

    CT特征 UCD N=28 PGL N=48 统计值 P
    病灶大小/mm, x±s 47.5±18.8 57.2±25.6 t=1.739 0.086
    病灶位置, n (%)     χ2=10.397 0.001
      腹膜后 21 (75.0) 48 (100.0)    
      肠系膜 7 (25.0) 0    
    形状, n (%)     χ2=6.539 0.011
      类圆形 28 (100.0) 36 (75.0)    
      不规则形 0 12 (25.0)    
    边界, n (%)     χ2=4.315 0.038
      清晰 27 (96.4) 36 (75.0)    
      不清 1 (3.6) 12 (25.0)    
    瘤周脂肪间隙, n (%)     χ2=22.351 <0.001
      清晰 14 (50.0) 46 (95.8)    
      模糊 14 (50.0) 2 (4.2)    
    钙化, n (%) 9 (32.1) 14 (29.2) χ2=0.074 0.785
    分支状钙化, n (%) 6 (21.4) 0 χ2=11.167 <0.001
    囊变坏死, n (%) 6 (21.4) 38 (79.2) χ2=22.184 <0.001
    出血, n (%) 0 1 (2.1) Fisher确切概率法 1.000
    瘤内及瘤周血管影, n (%) 20 (71.4) 29 (60.4) χ2=0.936 0.333
    瘤内裂隙状低密度影, n (%) 8 (28.6) 2 (4.2) χ2=7.206 0.007
    瘤周伴有肿大淋巴结, n (%) 17 (60.7) 3 (6.2) χ2=27.053 <0.001
    强化程度, n (%)     χ2=1.786 0.181
      明显强化 27 (96.4) 40 (83.3)    
      轻中度强化 1 (3.6) 8 (16.7)    
    强化模式, n (%)     χ2=0.785 0.375
      速升缓降 27 (96.4) 42 (87.5)    
      渐进性延迟强化 1 (3.6) 6 (12.5)    
    UCD:单中心型Castleman病;PGL:副神经节瘤;CT:计算机断层扫描.

    表  3   腹部UCD和PGL患者各期CT值对比 HU, x±s

    CT值 UCD n=28 PGL n=48 统计值 P
    CT平扫 43.1±4.8 40.7±6.7 t=-1.653 0.103
    CT动脉期 117.9±33.0 112.7±45.1 t=-0.538 0.592
    CT静脉期 136.6±26.1 130.3±44.2 Z=-1.228 0.220
    CT延迟期 109.1±20.2 103.9±24.3 t=-0.960 0.340
    最高绝对强化值 98.5±27.4 95.5±50.6 Z=-0.738 0.461
    UCD:单中心型Castleman病;PGL:副神经节瘤;CT:计算机断层扫描.
  • [1] 中华医学会血液学分会淋巴细胞疾病学组, 中国抗癌协会血液肿瘤专业委员会, 中国Castleman病协作组. 中国Castleman病诊断与治疗专家共识(2021年版) [J]. 中华血液学杂志, 2021, 42(7): 529-534. DOI: 10.3760/cma.j.issn.0253-2727.2021.07.001.
    [2] PITOT M A, TAHBOUB AMAWI A D, ALEXANDER L F, et al. Imaging of Castleman disease[J]. Radiographics, 2023, 43(8): e220210. DOI: 10.1148/rg.220210.
    [3] CZEYDA-POMMERSHEIM F, MENIAS C, BOUSTANI A, et al. Diagnostic approach to primary retroperitoneal pathologies: what the radiologist needs to know[J]. Abdom Radiol (NY), 2021, 46(3): 1062-1081. DOI: 10.1007/s00261-020-02752-8.
    [4] 王庭俊, 谢良地. 《嗜铬细胞瘤和副神经节瘤诊断治疗专家共识(2020版)》解读[J]. 中华高血压杂志, 2021, 29 (8): 708-714. DOI: 10.16439/j.issn.1673-7245.2021.08.003.
    [5] HAAP M, WIEFELS J, HORGER M, et al. Clinical, laboratory and imaging findings in Castleman's disease—the subtype decides[J]. Blood Rev, 2018, 32(3): 225-234. DOI: 10.1016/j.blre.2017.11.005.
    [6] JIANG Y, HOU G, ZHU Z, et al. The value of multiparameter 18F-FDG PET/CT imaging in differentiating retroperitoneal paragangliomas from unicentric Castleman disease[J]. Sci Rep, 2020, 10(1): 12887. DOI: 10.1038/s41598-020-69854-7.
    [7] 聂秀利, 韩金花, 刘芳兵, 等. CT鉴别异位寂静型嗜铬细胞瘤与局限性巨大淋巴结增生症的价值[J]. 中国中西医结合影像学杂志, 2021, 19(5): 465-469. DOI: 10.3969/j.issn.1672-0512.2021.05.016.
    [8] OKSENHENDLER E, BOUTBOUL D, FAJGENBAUM D, et al. The full spectrum of castleman disease: 273 patients studied over 20 years[J]. Br J Haematol, 2018, 180(2): 206-216. DOI: 10.1111/bjh.15019.
    [9] WANG B, QIU J. Progress in the diagnosis and treatment of paraganglioma[J]. Transl Cancer Res, 2019, 8(7): 2624-2635. DOI: 10.21037/tcr.2019.10.11.
    [10] 孙兆君, 张涛, 李绍东. CT对良恶性嗜铬细胞瘤的鉴别诊断价值[J]. 中国中西医结合影像学杂志, 2017, 15(6): 726-728. DOI: 10.3969/j.issn.1672-0512.2017.06.028.
    [11] 孙侠, 张蔚, 赵石磊, 等. 腹膜后单中心型Castleman病的CT表现及其强化特征分析[J]. 国际医学放射学杂志, 2021, 44(3): 341-345. DOI: 10.19300/j.2021.L18618.
    [12] 卢瞳, 居胜红. 腹膜后副神经节瘤的影像学诊断与鉴别诊断[J]. 中华放射学杂志, 2020, 54(10): 1033-1037. DOI: 10.3760/cma.j.cn112149-20200608-00789.
    [13] 史平安, 杜松良, 李锐, 等. 腹膜后肾上腺外副神经节瘤与神经鞘瘤的临床及MRI特征比较[J]. 解放军医学院学报, 2021, 42(9): 934-939. DOI: 10.3969/j.issn.2095-5227.2021.09.008.
    [14] 吴丽兰, 陈晓姗, 钟莲婷, 等. 腹膜后典型及不典型副神经节瘤MSCT表现及鉴别诊断[J]. 放射学实践, 2021, 36 (7): 899-904. DOI: 10.13609/j.cnki.1000-0313.2021.07.015.
    [15] DIN F, MELLOR F, MILLARD T, et al. Radiology of Castleman disease: the pivotal role of imaging in diagnosis, staging, and response assessment of this rare entity[J]. Clin Radiol, 2022, 77(6): 399-408. DOI: 10.1016/j.crad.2022.01.045.
    [16] ZHAO S, WAN Y, HUANG Z, et al. Imaging and clinical features of Castleman disease[J]. Cancer Imaging, 2019, 19(1): 53. DOI: 10.1186/s40644-019-0238-0.
WeChat 点击查看大图
图(4)  /  表(3)
出版历程
  • 收稿日期:  2024-09-02
  • 接受日期:  2024-10-30

目录

    /

    返回文章
    返回