单纯疱疹病毒性脑炎1例报告

王蒙蒙 姚阳 石晓静 苗雯蓉 楼标雷 魏巍 周颖琦 韩易 黄陶

引用本文: 王蒙蒙,姚阳,石晓静,等. 单纯疱疹病毒性脑炎1例报告[J]. 海军军医大学学报,2025,46(11):1514-1518. DOI: 10.16781/j.CN31-2187/R.20220823.
Citation: WANG M, YAO Y, SHI X, et al. Herpes simplex virus encephalitis: a case report [J]. Acad J Naval Med Univ, 2025, 46(11): 1514-1518. DOI: 10.16781/j.CN31-2187/R.20220823.

单纯疱疹病毒性脑炎1例报告

doi: 10.16781/j.CN31-2187/R.20220823
基金项目: 

上海市卫生健康委员会卫生行业临床研究专项 22J2701;

海军军医大学海军特色医学中心“卓优人才一期工程”优秀青年人才培养项目 21TPQN2701;

海军军医大学海军特色医学中心强基计划 23M2701.

详细信息
    作者简介:

    王蒙蒙,博士生,住院医师.E-mail: 13916234426@163.com.

    通讯作者:

    黄陶, E-mail: 9828775@qq.com.

Herpes simplex virus encephalitis: a case report

Funds: 

Clinical Research Project of Health Industry of Shanghai Municipal Health Commission 22J2701;

Outstanding Young Talents Training Project of "Excellent Talents Phase Ⅰ Project" of Naval Medical Center of Naval Medical University 21TPQN2701;

Strengthening Basic Disciplines Program of Naval Medical Center of Naval Medical University 23M2701.

  • 患者男,78岁,因“发热、头痛6 d,意识模糊、肢体抽搐1 d”于2022年9月23日收入海军军医大学海军特色医学中心高压氧神经内科。患者入院前6 d无明显诱因下出现发热,体温最高达38.9 ℃,伴持续性全头胀痛,无恶心呕吐,无咳嗽咳痰,无腹痛腹泻等不适,1 d前逐渐出现意识模糊,精神萎靡,伴面部及左上肢间断性抽搐,小便失禁。病程中逐渐出现言语错乱,精神行为异常,情绪波动大。2022年9月22日,患者就诊于当地医院,查头颅MRI提示右侧颞枕叶异常信号,考虑脑炎可能,血液检验提示低钾低钠,予退热、补钾、补钠及补液等对症治疗,病情未见明显好转,遂于我院进一步诊治。入院后查体:格拉斯哥昏迷评分13分,神志模糊,言语少,精神及定向力障碍,不能对答。双瞳孔等大同圆,直径2.5 mm,对光反射灵敏,无凝视,双侧额纹及鼻唇沟对称。四肢肌张力偏高,粗测双上肢肌力5级,双下肢肌力4级,可见左侧面部及左上肢发作性抽搐样动作。四肢腱反射正常,右侧巴宾斯基征阳性,左侧巴宾斯基征阴性,颈项强直,不能配合完成其余神经科查体项目。患者既往糖尿病40余年,长期口服降糖药物治疗,自述血糖控制可。否认其他慢性病病史,否认传染病病史,否认手术外伤史,家族史无特殊。

    2022年9月23日血液检查提示白细胞计数10.28×109/L↑,淋巴细胞比例0.086↓、血红蛋白128 g/L↓、CRP 0.38 mg/L、钠123.5 mmol/L↓、钾2.62 mmol/L↓、葡萄糖12.66 mmol/L↑、白蛋白39.9 g/L↓。脑脊液检查提示:压力130 mmH2O(1 mmH2O=0.009 8 kPa),葡萄糖6.58 mmol/L↑、氯化物107.9 mmol/L↓、蛋白771.02 mg/L↑、白细胞计数70×106/L↑(单核细胞为主)、潘氏球蛋白定性阳性。部分脑脊液和血清外送进行微生物测序和自身免疫相关抗体检验。血清单纯疱疹病毒(herpes simplex virus,HSV)-Ⅰ型抗体IgG(+)。头颅MRI检查提示双侧颞叶、岛叶、右侧枕叶异常信号;脑电图检查可见双侧散在δ波及θ波,未见典型痫样放电。红细胞沉降率、血气分析、肝肾功能、心脏功能、甲状腺功能、自身免疫抗体、乙肝、梅毒及艾滋病的病原学检测均未见明显异常。分析诊断:患者有意识障碍,认知功能障碍,伴癫痫发作,定位在广泛皮质及皮质下损害;脑膜刺激征阳性,考虑有脑膜受累;右侧巴宾斯基征阳性,提示左侧锥体束受损。定性诊断:患者为老年男性,急性起病,发热、头痛及意识改变为主诉。腰穿脑脊液蛋白明显增高,白细胞计数轻度升高;血清HSV-Ⅰ型抗体IgG(+);头颅MRI检查提示双侧颞叶、岛叶、右侧枕叶异常信号;脑电图检查可见双侧弥漫性慢波,考虑单纯疱疹病毒性脑炎(herpes simplex virus encephalitis,HSE)可能性最大,但不排除自身免疫性脑炎和其他病原微生物感染可能。

    患者入院当天予以更昔洛韦(0.25 g静脉输注, 每12 h 1次)抗病毒、头孢曲松钠和奥硝唑经验性抗感染治疗,辅以控制癫痫、抗氧化、降压降糖、补钾补钠、营养支持等治疗。患者症状进一步加重。2022年9月24日,治疗前头颅MRI检查提示T2加权成像(T2-weighted imaging,T2WI)、液体衰减反转恢复(fluid-attenuated inversion recovery,FLAIR)、弥散加权成像(diffusion-weighted imaging,DWI)序列可见双侧额、颞叶及海马区异常信号(右侧为著)(图 1A~1H),FLAIR序列可见“刀切征”(图 2),磁敏感加权成像(susceptibility-weighted imaging,SWI)可见额叶、颞叶、枕叶及基底节区少量微出血灶(图 3);脑脊液外送检测结果回报:脑脊液HSV-Ⅰ型DNA检测阳性,血清HSV-Ⅰ型抗体IgG(+),巨细胞病毒、EB病毒、细菌及真菌二代测序检测均为阴性,综合分析后该患者HSE诊断明确。

    图  1  患者治疗前后头颅MRI对比
    2022年9月24日,治疗前头颅MRI检查:A、B、C、D分别为基底节层面的T1WI、T2WI、FLAIR、DWI序列,可见右侧岛叶异常信号,呈“刀切征”;E、F、G、H分别为脑桥层面的T1WI、T2WI、FLAIR、DWI序列,可见双侧颞叶及海马区异常信号,右侧为著. 2022年10月12日,治疗后头颅MRI检查:a、b、c、d分别为基底节层面的T1WI、T2WI、FLAIR、DWI序列,可见右侧岛叶病灶明显缩小;e、f、g、h分别为脑桥层面的T1WI、T2WI、FLAIR、DWI序列,可见双侧颞叶及海马区病灶显著缩小.MRI:磁共振成像;T1WI:T1加权成像;T2WI:T2加权成像;FLAIR:液体衰减反转恢复;DWI:弥散加权成像.
    下载: 全尺寸图片
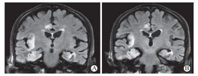
    图  2  患者治疗前头颅MRI检查
    2022年9月24日,治疗前头颅MRI检查:A、B为冠状位FLAIR序列,可见典型“刀切征”病灶.MRI:磁共振成像;FLAIR:液体衰减反转恢复.
    下载: 全尺寸图片
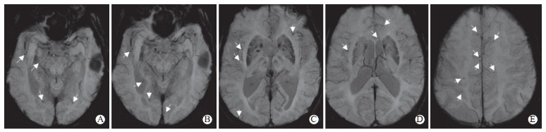
    图  3  患者治疗前头颅SWI检查
    2022年9月24日,治疗前头颅SWI检查:A、B、C、D、E为SWI序列,白色箭头所指可见额叶、颞叶、枕叶及基底节区少量微出血灶.SWI:磁敏感加权成像.
    下载: 全尺寸图片

    2022年9月25日加用甲泼尼龙500 mg/d连续5 d冲击治疗,序贯减停药物。2022年10月12日复查头颅MRI(图 1a~1h)提示:右侧颞叶、海马旁及边缘叶异常信号影较前缓解,右耳中耳道内可见T2WI高信号(图 4),请耳鼻喉科医师会诊,考虑右耳分泌性中耳炎,不排除原发病灶或前驱感染病灶可能。患者住院期间合并肺部感染,根据药敏试验结果给予足量、足疗程抗生素治疗后,肺部感染得到有效缓解。2022年10月14日,患者精神状态恢复,无言语错乱,对答切题,无肢体抽搐;近时记忆力下降,伴短时记忆障碍,患者为小学文化程度,简易智力状态检查量表得分22分,定向力及语言能力尚可,准予出院。出院后继续抗癫痫治疗,随访至今病情未复发。

    图  4  患者治疗后头颅MRI检查
    2022年10月12日,治疗后头颅MRI检查:A、B、C为T2WI序列,白色箭头所指可见右耳中耳道内异常高信号影.MRI:磁共振成像.
    下载: 全尺寸图片

    HSE年发生率达1/50万~1/25万,以<20岁和>50岁人群最为常见,与性别和季节无显著关联[1]。HSV分为Ⅰ型和Ⅱ型,在成人免疫抑制人群中,超过90%的HSE是感染HSV-Ⅰ型所致[2]

    HSE患者常以发热、头痛为首发症状,随后可出现精神行为异常、局灶性神经功能缺损等表现。病情严重者可进一步发展为意识障碍、癫痫发作,甚至脑水肿[1-3]。上呼吸道感染前驱症状和额颞叶功能障碍可作为HSE的相对特异性症状[4]。本例患者病程中伴有胡言乱语、癫痫发作及认知功能障碍等额颞叶受累表现,头颅MRI检查提示双侧额颞叶不对称病灶。另外,本例患者在治疗后复查头颅MRI见右耳中耳道内T2WI高信号,耳鼻喉科检查可见右耳中耳腔少量积液及气泡,考虑右耳分泌性中耳炎,不排除原发病灶或前驱感染病灶可能。

    HSE的辅助检查中,头颅MRI诊断HSE的灵敏度高达90%以上,其典型影像学特征包括颞叶中部、眶额叶和岛叶的DWI、T2WI、FLAIR高信号,可累及海马旁回等部位[5-6]。MRI检查时HSE典型征象为“刀切征”[7],即在基底节层面可见病灶累及颞叶、岛叶及外囊区域,不累及豆状核,病灶内部呈刀切样切面,凸面向外。本例患者在发病第7天(2024年9月24日)头颅MRI检查显示病变累及双侧颞叶,双侧呈不对称性,右侧明显,并向额叶、枕叶发展,在基底节层面可见“刀切征”。95%以上的HSE患者脑脊液存在异常,细胞数轻度增多,多为单核细胞和红细胞,80%以上患者脑脊液蛋白轻度升高[8-10]。本例患者脑脊液未见红细胞,白细胞计数为70×106/L,单核细胞为主,提示可能合并其他微生物感染,同时脑脊液内蛋白为771.02 mg/L,明显升高,提示该患者血脑屏障损伤严重,可能合并免疫反应异常。宏基因组二代测序技术可对中枢神经系统感染的病原体做到精准检测,采用该技术检测出脑脊液中HSV-DNA阳性是诊断HSE的重要指标,灵敏度和特异度分别高达98%和94%[11-12]。本例患者检测到脑脊液HSV-DNA阳性,更加支持了HSE的诊断。

    作为一种急性中枢神经系统感染疾病,HSE往往对正常脑组织结构产生严重破坏,足量、足疗程的抗病毒治疗是改善预后的关键[13-15]。本例患者入院当天即予以静脉输注更昔洛韦,治疗及时且满疗程,疗效显著。其次,对于皮质醇辅助治疗HSE的疗效存有争议,部分专家指出激素冲击治疗更适用于脑炎合并严重脑水肿患者[16]。本例患者在出现意识模糊且未见明显脑水肿情况下,予以甲泼尼龙冲击治疗的疗效显著,提示激素冲击治疗有利于患者病情转归。结合HSE致病机制,HSV可诱发脑组织强烈的免疫反应,继而引起神经细胞的脱髓鞘及坏死病变[17-19]。大剂量激素冲击治疗可发挥非特异性免疫抑制作用,促进疾病转归[4, 20]。HSV可诱导脑组织内代谢产物积累、脑水肿等病理改变,破坏神经细胞膜电位的稳定性,导致HSE继发癫痫发作[21]。在对脑炎后抗癫痫药物的疗效比较中发现,左乙拉西坦治疗效果最佳[22]。在本例患者治疗期间,予以丙戊酸钠治疗效果不佳后,调整为左乙拉西坦口服治疗,抽搐症状控制佳,随访期间未复发。

    HSE常合并其他病原体感染,若诊疗不当,病情会加重[20, 23]。本例患者合并有肺部感染,通过动态复查血液学感染指标、胸部CT,开展病原学检测和药敏试验,对抗感染药物从经验性使用调整为精准性使用,患者肺部感染预后良好。可见,在HSE诊疗期间,需动态监测感染指标变化,尽早完善病原体及药敏检测,及时准确干预。HSE可大大增加出血或血栓等疾病并发风险[24-26]。本例患者发病第10天出现促凝血相关指标升高,考虑HSE存在继发性血栓形成可能,予以达肝素钠抗凝治疗。另外,鉴于该患者凝血酶原比值及凝血酶原时间均有所增高,加用维生素K1预防凝血障碍导致的可能性出血。维持该治疗方案1周后复查,凝血指标接近正常水平。MRI-SWI序列可精确反映病毒性脑炎患者颅内病灶的出血量,对重度病毒性脑炎具有较高的预测价值[27-28]。本例患者头颅MRI-SWI序列可见额叶、颞叶、枕叶及基底节区少量微出血灶,提示病情较重。

    本例患者78岁高龄,刚入院时病情危重,高热、意识不清伴癫痫发作,且体型瘦小、营养状态差,病情进展迅速,随时可能有生命危险。患者从外地转入我院后,医疗团队第一时间组织病情讨论,迅速完善相关检查并立即给予经验性治疗。在常规抗病毒治疗基础上,积极采用激素冲击治疗,及时纠正凝血功能异常,同时根据患者情况及时调整抗癫痫药物。确诊为HSE后,及时调整药物治疗方案。整个治疗过程中,未采用昂贵的静脉丙种球蛋白、血浆置换等治疗措施。治疗3周后,患者病情好转,基本恢复正常,能够生活自理。因此,建议有类似病情的老年患者应积极就医,及时有效的救治可以获得较好的预后。

  • 图  1   患者治疗前后头颅MRI对比

    2022年9月24日,治疗前头颅MRI检查:A、B、C、D分别为基底节层面的T1WI、T2WI、FLAIR、DWI序列,可见右侧岛叶异常信号,呈“刀切征”;E、F、G、H分别为脑桥层面的T1WI、T2WI、FLAIR、DWI序列,可见双侧颞叶及海马区异常信号,右侧为著. 2022年10月12日,治疗后头颅MRI检查:a、b、c、d分别为基底节层面的T1WI、T2WI、FLAIR、DWI序列,可见右侧岛叶病灶明显缩小;e、f、g、h分别为脑桥层面的T1WI、T2WI、FLAIR、DWI序列,可见双侧颞叶及海马区病灶显著缩小.MRI:磁共振成像;T1WI:T1加权成像;T2WI:T2加权成像;FLAIR:液体衰减反转恢复;DWI:弥散加权成像.

    下载: 全尺寸图片

    图  2   患者治疗前头颅MRI检查

    2022年9月24日,治疗前头颅MRI检查:A、B为冠状位FLAIR序列,可见典型“刀切征”病灶.MRI:磁共振成像;FLAIR:液体衰减反转恢复.

    下载: 全尺寸图片

    图  3   患者治疗前头颅SWI检查

    2022年9月24日,治疗前头颅SWI检查:A、B、C、D、E为SWI序列,白色箭头所指可见额叶、颞叶、枕叶及基底节区少量微出血灶.SWI:磁敏感加权成像.

    下载: 全尺寸图片

    图  4   患者治疗后头颅MRI检查

    2022年10月12日,治疗后头颅MRI检查:A、B、C为T2WI序列,白色箭头所指可见右耳中耳道内异常高信号影.MRI:磁共振成像.

    下载: 全尺寸图片
  • [1] ZHU S, VIEJO-BORBOLLA A. Pathogenesis and virulence of herpes simplex virus[J]. Virulence, 2021, 12(1):2670-2702. DOI: 10.1080/21505594.2021.1982373.
    [2] ROZENBERG F. Herpes simplex virus and central nervous system infections: encephalitis, meningitis, myelitis[J]. Virologie (Montrouge), 2020, 24(5): 283-294. DOI: 10.1684/vir.2020.0862.
    [3] AKKAYA O. Prevalence of herpes simplex virus infections in the central nervous system[J]. Clin Lab, 2021, 67(7). DOI: 10.7754/Clin.Lab.2020.201111.
    [4] 张慧琼, 张宇昕, 胡燕, 等. 单纯疱疹病毒脑炎继发抗N-甲基-D-天冬氨酸受体脑炎患儿3例临床分析[J]. 第二军医大学学报, 2021, 42(9): 1067-1071. DOI: 10.16781/j.0258-879x.2021.09.1067.

    ZHANG H Q, ZHANG Y X, HU Y, et al. Herpes simplex virus encephalitis-induced anti-N-methyl-D-aspartate receptor encephalitis in children: a clinical analysis of 3 cases[J]. Acad J Sec Mil Med Univ, 2021, 42(9): 1067-1071. DOI: 10.16781/j.0258-879x.2021.09.1067.
    [5] HARA M, NAKAJIMA H. Autoimmune encephalitis triggered by herpes simplex encephalitis: main syndrome, diagnosis, and treatment[J]. Brain Nerve, 2022, 74(10): 1163-1170. DOI: 10.11477/mf.1416202204.
    [6] PIZZI M A, BUSL K M. Catch me if you can-how herpes simplex virus tries to evade diagnosis in viral encephalitis[J]. Crit Care Med, 2022, 50(7): 1170-1173. DOI: 10.1097/CCM.0000000000005501.
    [7] 王成伟, 吴尚锋, 陈松平, 等. 急性Ⅰ型单纯疱疹病毒感染性脑炎影像学表现[J]. 中华医院感染学杂志, 2015, 25(23): 5424-5426. DOI: 10.11816/cn.ni.2015-142979.
    [8] HARA M, ISHIHARA M, NAKAJIMA H. Use of the FilmArray® Meningitis/Encephalitis panel to detect pathogenic microorganisms in cerebrospinal fluid specimens: a single-center retrospective study[J]. J Int Med Res, 2022, 50(10): 3000605221129561. DOI: 10.1177/03000605221129561.
    [9] TANDALE B V, TOMAR S J, BONDRE V P, et al. Infectious causes of acute encephalitis syndrome hospitalizations in Central India, 2018-20[J]. J Clin Virol, 2022, 153: 105194. DOI: 10.1016/j.jcv.2022.105194.
    [10] TSUBOGUCHI S, WAKASUGI T, UMEDA Y, et al. Herpes simplex encephalitis presenting as stroke-like symptoms with atypical MRI findings and lacking cerebrospinal fluid pleocytosis[J]. Rinsho Shinkeigaku, 2017, 57(7): 387-390. DOI: 10.5692/clinicalneurol.cn-001033.
    [11] VAUGON E, MIRCESCU A, CAYA C, et al. Diagnostic accuracy of rapid one-step PCR assays for detection of herpes simplex virus-1 and -2 in cerebrospinal fluid: a systematic review and meta-analysis[J]. Clin Microbiol Infect, 2022, 28(12): 1547-1557. DOI: 10.1016/j.cmi.2022.06.004.
    [12] SHIRANI K, KHORVASH F, NAEINI A E, et al. Prevalence of herpes simplex virus-1 in hospitalized adult patients with clinical diagnosis of meningoencephalitis using real-time polymerase chain reaction: a single-center, cross-sectional study[J]. J Res Med Sci, 2019, 24: 7. DOI: 10.4103/jrms.JRMS_370_17.
    [13] BANERJEE A, KULKARNI S, MUKHERJEE A. Herpes simplex virus: the hostile guest that takes over your home[J]. Front Microbiol, 2020, 11: 733. DOI: 10.3389/fmicb.2020.00733.
    [14] MARCOCCI M E, NAPOLETANI G, PROTTO V, et al. Herpes simplex virus-1 in the brain: the dark side of a sneaky infection[J]. Trends Microbiol, 2020, 28(10): 808-820. DOI: 10.1016/j.tim.2020.03.003.
    [15] WHITLEY R, BAINES J. Clinical management of herpes simplex virus infections: past, present, and future[J]. F1000Res, 2018, 7: F1000FacultyRev-F1000Faculty1726. DOI: 10.12688/f1000research.16157.1.
    [16] HORN J, MULLHOLAND J B, ASHRAF S, et al. Herpes simplex virus meningoencephalitis following pulse-dose methylprednisolone: a case report and literature review[J]. Am J Case Rep, 2021, 22: e933847. DOI: 10.12659/AJCR.933847.
    [17] LI L, KOVACS S B, JØRGENSEN I, et al. Role of caspases and gasdermin A during HSV-1 infection in mice[J]. Viruses, 2022, 14(9): 2034. DOI: 10.3390/v14092034.
    [18] KIM B, KWON E B, YANG H J, et al. Vaccinium bracteatum thunb extract inhibits HSV-1 infection by regulating ER stress and apoptosis[J]. Antioxidants (Basel), 2022, 11(9): 1773. DOI: 10.3390/antiox11091773.
    [19] GUO H, KOEHLER H S, MOCARSKI E S, et al. RIPK3 and caspase 8 collaborate to limit herpes simplex encephalitis[J]. PLoS Pathog, 2022, 18(9): e1010857. DOI: 10.1371/journal.ppat.1010857.
    [20] PIRET J, BOIVIN G. Immunomodulatory strategies in herpes simplex virus encephalitis[J]. Clin Microbiol Rev, 2020, 33(2): e00105-19. DOI: 10.1128/CMR.00105-19.
    [21] FOTEDAR N, DOLBOW J, LAYFIELD M, et al. Epileptic negative myoclonus in herpes simplex virus encephalitis[J]. Epileptic Disord, 2022, 24(2): 417-421. DOI: 10.1684/epd.2021.1401.
    [22] 梁璐, 刘阳, 薛海蓉. 病毒性脑炎伴症状性癫痫患者的临床特征及预后转归分析[J]. 四川解剖学杂志, 2019, 27(4): 183-184.
    [23] UYAR O, LAFLAMME N, PIRET J, et al. An early microglial response is needed to efficiently control herpes simplex virus encephalitis[J]. J Virol, 2020, 94(23): e01428-20. DOI: 10.1128/JVI.01428-20.
    [24] ALVAREZ-PEREZ F J, PAIVA F, LINO C A. Intraventricular hemorrhage as clinical presentation of herpes simplex virus encephalitis. A case report and review of the literature[J]. Int J Neurosci, 2021, 131(12): 1254-1259. DOI: 10.1080/00207454.2020.1787409.
    [25] FAN T H, KHOURY J, CHO S M, et al. Cerebrovascular complications and vasculopathy in patients with herpes simplex virus central nervous system infection[J]. J Neurol Sci, 2020, 419: 117200. DOI: 10.1016/j.jns.2020.117200.
    [26] LEITE J, RIBEIRO A, GONÇALVES D, et al. Cerebral venous thrombosis as rare presentation of herpes simplex virus encephalitis[J]. Case Rep Infect Dis, 2019, 2019: 7835420. DOI: 10.1155/2019/7835420.
    [27] LIU X J, LI C T, WANG B, et al. Microhemorrhage identified on 3.0 T MR susceptibility-weighted imaging for prognosis of viral encephalitis[J]. J Xray Sci Technol, 2018, 26(4): 635-642. DOI: 10.3233/XST-17362.
    [28] WHITLEY R J, GNANN J W. Viral encephalitis: familiar infections and emerging pathogens[J]. Lancet, 2002, 359(9305): 507-513. DOI: 10.1016/S0140-6736(02)07681-X.
WeChat 点击查看大图
图(4)
出版历程
  • 收稿日期:  2022-10-24
  • 接受日期:  2023-04-25

目录

    /

    返回文章
    返回