饱和甲烷生理盐水对大鼠痤疮的治疗作用及机制

张文博 刘镇 孙爱军 赵东宝 张喜

引用本文: 张文博,刘镇,孙爱军,等. 饱和甲烷生理盐水对大鼠痤疮的治疗作用及机制[J]. 海军军医大学学报,2025,46(11):1433-1438. DOI: 10.16781/j.CN31-2187/R.20240768.
Citation: ZHANG W, LIU Z, SUN A, et al. Effect of methane-rich saline on rat acne and its mechanism[J]. Acad J Naval Med Univ, 2025, 46(11): 1433-1438. DOI: 10.16781/j.CN31-2187/R.20240768.

饱和甲烷生理盐水对大鼠痤疮的治疗作用及机制

doi: 10.16781/j.CN31-2187/R.20240768
详细信息

Effect of methane-rich saline on rat acne and its mechanism

  • 摘要:  目的 探讨饱和甲烷生理盐水对痤疮的治疗作用及机制。 方法 将60只SD大鼠随机分为4组(正常组、痤疮模型组、视黄酸治疗组及饱和甲烷生理盐水治疗组,n=15),按照油酸涂抹(每日1次)和注射痤疮丙酸杆菌(隔日1次)的方法制备大鼠耳郭痤疮模型;正常组和痤疮模型组均不进行任何治疗,视黄酸治疗组用视黄酸乳膏涂于患处,饱和甲烷生理盐水治疗组灌服饱和甲烷生理盐水。采用湿干重比和组织学染色检测鼠耳组织水肿及形态学变化,TUNEL法检测鼠耳组织细胞凋亡情况,ELISA法检测鼠耳组织炎症相关因子IL-6、IL-8、TNF-α和IL-37的表达,蛋白质印迹法检测鼠耳组织超氧化物歧化酶(SOD)、NF-κB及caspase 3等蛋白的表达。 结果 经饱和甲烷生理盐水治疗后,鼠耳组织水肿和痤疮隆起消退,在腺体增生、炎症细胞浸润、血管扩张、毛囊口扩大及角化方面有较明显改善,治疗效果与视黄酸相当;饱和甲烷生理盐水治疗可使鼠耳组织中炎症因子IL-6、IL-8和TNF-α表达减少,抗炎因子IL-37表达增加,细胞凋亡率增加(均P<0.01);饱和甲烷生理盐水可上调鼠耳组织中SOD、caspase 3及cleaved caspase 3蛋白的表达,降低NF-κB蛋白的表达(均P<0.01)。 结论 灌服饱和甲烷生理盐水对大鼠痤疮有较好的治疗作用,这一作用可能与饱和甲烷生理盐水的抗炎症反应、抗氧化应激及促进凋亡效应有关。

     

    Abstract:  Objective To investigate the effect of methane-rich saline on rat acne and its mechanism. Methods Totally 60 SD rats were randomly assigned to 4 groups (n=15): normal group, acne model group, tretinoin treatment group, or methane-rich saline treatment group. Acne models were established by applying oleic acid once a day and injecting Propionibacterium acnes every other day. No treatment was applied to the normal and acne model groups. The tretinoin treatment group received topical application of tretinoin cream on the affected areas, while the methane-rich saline treatment group was administered with methane-rich saline via oral gavage. Wet/dry weight ratio and histological staining were used to detect the rat ear edema and morphological changes. Terminal deoxynucleotidyl transferase-mediated dUTP-biotin nick end labeling (TUNEL) was used to detect apoptosis, enzyme-linked immunosorbent assay (ELISA) was used to detect the expression of inflammatory factors (interleukin[IL]-6, IL-8, tumor necrosis factor α [TNF-α], and IL-37), and Western blotting was used to detect the protein expression of superoxide dismutase (SOD), nuclear factor κB (NF-κB), and cysteine aspartic acid specific protease 3 (caspase 3). Results After the treatment with methane-rich saline, the edema and acne were alleviated in rat ears. There were significant improvements in glandular hyperplasia, inflammatory cell infiltration, vascular dilation, hair follicle enlargement, and keratinization for the rats in the methane-rich treatment group. The effect of methane-rich saline was similar to that of tretinoin. The treatment of methane-rich saline could significantly reduce the expression of inflammatory factors such as IL-6, IL-8, and TNF-α, while could significantly increase the expression of anti-inflammatory factor IL-37 and the rate of apoptosis (all P < 0.01). In addition, methane-rich saline treatment could upregulate the expression of SOD, caspase 3, and cleaved caspase 3, while could reduce the expression of NF-κB (all P < 0.01). Conclusion The administration of methane-rich saline has a good therapeutic effect on rat acne, and it may be related to its anti-inflammatory, antioxidant, and pro-apoptotic activities.

     

  • 痤疮是一种发生于毛囊皮脂腺的慢性炎症性皮肤病,好发于青少年的面部皮肤。其发病原因较为复杂,与体内雄激素水平偏高、皮脂分泌旺盛、毛囊口上皮角化过度、痤疮丙酸杆菌聚集等因素有关[1]。目前临床以视黄酸类药物和糖皮质激素类药物为主要治疗手段,但视黄酸类药物易引起皮肤干燥、脱屑及红肿,糖皮质激素则常导致耐药性及毛细血管扩张等。

    饱和甲烷生理盐水是一种富含甲烷气体的水溶液,对人体具有多种治疗和保健作用,近年来颇受关注[2-3]。饱和甲烷生理盐水通过抗氧化、抗炎和调控凋亡途径对神经、呼吸系统疾病有较好的治疗作用[3-4]。痤疮是炎症因子、氧化应激和细胞凋亡共同作用的结果,炎症因子驱动毛囊损伤和免疫细胞浸润,氧化应激破坏皮肤屏障并放大炎症,凋亡失衡导致毛囊堵塞和皮脂分泌异常[5]。基于此,推测饱和甲烷生理盐水给药可能对痤疮的发生、发展起到干预作用。本研究拟探讨灌服饱和甲烷生理盐水对大鼠痤疮的治疗作用与机制,为寻找不良反应小且疗效确切的痤疮治疗方法提供依据。

    60只雄性SD大鼠,体重220~250 g,购自海军军医大学实验动物中心[实验动物生产许可证号:SCXK(沪)2022-0002]。实验前所有动物饲养于20~22 ℃的SPF级动物房1~2周以适应环境,并自由摄入食物和水。全部动物随机分为4组(n=15):正常组、痤疮模型组(模型组)、视黄酸治疗组、饱和甲烷生理盐水治疗组(甲烷治疗组)。所有实验过程均经海军军医大学实验动物管理伦理委员会批准(批准号AWS14C001)。

    将生理盐水置于密闭玻璃瓶,以低流速(10~20 mL/min)通入甲烷气体,同时磁力搅拌促进溶解;持续通入甲烷30~60 min,直至观察到气泡不再快速逸出时即可判断溶液达到饱和。停止通气后立即密封,避免甲烷逸散。

    在SD大鼠右耳内侧面耳导管开口处涂抹100%油酸[生工生物工程(上海)股份有限公司],每次0.5~1 mL,每日1次;隔日大鼠耳郭皮内注射痤疮丙酸杆菌菌液0.1 mL,直至出现肉眼可见的囊肿即可停止接种。模型制备成功后,开始为期3周的给药干预。甲烷治疗组灌服饱和甲烷生理盐水(10 mL/kg),每12 h 1次;视黄酸治疗组则在患处涂抹视黄酸乳膏(重庆华邦制药股份有限公司,生产批号H50021816),每次1.5 g,每日1次;正常组和模型组均不进行任何治疗。3周后所有大鼠经过量麻醉处死,取耳部组织待测。

    取SD大鼠右耳边缘三分之一处,迅速用滤纸将组织表面的水分和血液吸干,电子天平称重记录为湿重,置于80 ℃烘箱内烘烤24~48 h至恒重,电子天平再次称重记录为干重,计算W/D值。

    用3%戊巴比妥钠腹腔注射(0.2 mL/100 g)麻醉SD大鼠,用生理盐水经心脏灌流冲洗后,用4%多聚甲醛溶液进行内固定。切取鼠耳患处组织,4%多聚甲醛溶液外固定12 h。常规方法脱水至组织呈透明状,采用石蜡包埋,于切片机上切成约5 μm厚度切片。将鼠耳组织切片脱蜡至水,行H-E染色及TUNEL染色后分别在光学显微镜和倒置荧光显微镜下观察。

    将鼠耳组织剪碎、匀浆,离心(2 795×g,15 min)取上清液,采用双抗夹心法ELISA试剂盒(Proteintech公司)检测IL-6、IL-8、TNF-α及IL-37水平。用纯化的大鼠IL-6、IL-8、TNF-α及IL-37单抗包被微孔板,制成固相抗体;往包被单抗的微孔中依次加入标准品和样品,形成固定的免疫复合物;加入HRP标记的链霉亲和素,使其与复合物中的生物素结合;加入底物工作液,在酶催化下产生蓝色反应。最后加入硫酸终止反应,并在450 nm波长下测光密度(D)值。通过绘制标准曲线计算标本中各炎症因子水平。

    收集各组的鼠耳组织,用裂解液提取蛋白。离心(2 795×g,15 min)取上清,BCA法测定蛋白浓度。调整蛋白浓度,加入蛋白上样缓冲液,煮沸变性、电泳、转膜,放入5%牛血清白蛋白室温封闭2 h。分别加入超氧化物歧化酶(superoxide dismutase,SOD)抗体(1∶1 000,英国Abcam公司)、NF-κB抗体(1∶1 000,英国Abcam公司)、caspase 3抗体(1∶1 000,美国Cell Signaling Technology公司)、cleaved caspase 3抗体(1∶1 000,美国Cell Signaling Technology公司)及GAPDH抗体(1∶5 000,英国Abcam公司)孵育过夜,洗膜3次;加入二抗(1∶6 000)室温孵育1 h,洗膜3次,采用化学发光系统ECL试剂盒显影成像。采用Quantity One v4.6.2软件分析结果,以目的蛋白条带与GAPDH条带灰度比值作为其相对表达水平。

    应用SPSS 22.0软件进行统计学分析。服从正态分布的计量资料以x±s表示,组间比较采用单因素方差分析。检验水准(α)为0.05。

    SD大鼠耳郭涂抹油酸和注射痤疮丙酸杆菌菌液1~2周时,鼠耳皮肤变得粗糙,出现肿胀和脱屑,并有散在的微痤疮;3周后,微痤疮逐渐融合成片,出现丘疹状隆起,耳郭变硬、厚度增加、颜色加深。所有大鼠均造模成功。使用视黄酸和饱和甲烷生理盐水3周后,大鼠耳郭颜色变淡变薄并恢复柔软,肿胀明显消退,无脱屑,丘疹状隆起消失,外观上接近正常组耳郭。见图 1

    图  1  各组大鼠耳部给药后的形态大体观察
    Fig.  1  Gross morphological observation of rat ears after drug administration in each group
    A: Normal group; B: Model group; C: Tretinoin group; D: Methane group.
    下载: 全尺寸图片

    模型组大鼠耳组织的W/D值(5.56±0.37)高于正常组(3.13±0.16,P<0.01),甲烷治疗组(3.02±0.20)和视黄酸治疗组的W/D值(3.18±0.11)低于模型组(均P<0.01)。视黄酸治疗组和甲烷治疗组的W/D值与正常组比较差异均无统计学意义(P>0.05)。

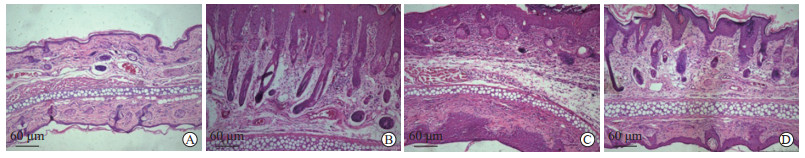
    与正常组的鼠耳厚度[(0.24±0.02)mm]相比,模型组的鼠耳厚度增厚[(0.69±0.02)mm,P<0.01],皮下间质内大量腺体增生,可见数量较多的炎症细胞浸润,毛囊口扩大、角化明显,血管扩张。甲烷治疗组和视黄酸治疗组的鼠耳厚度[分别为(0.35±0.02)、(0.34±0.02)mm]较正常组略微增厚,但较模型组变薄(均P<0.01),两组之间鼠耳厚度差异无统计学意义(P>0.05);在腺体增生、炎症细胞浸润方面,两组鼠耳较正常组略多,但较模型组明显减少;在毛囊口扩大、角化及血管扩张方面,两组鼠耳较正常组略微明显,但对比模型组有较大改善。见图 2

    图  2  各组大鼠耳组织H-E染色结果
    Fig.  2  H-E staining on rat ear tissues in each group
    A: Normal group; B: Model group; C: Tretinoin group; D: Methane group. H-E: Hematoxylin-eosin.
    下载: 全尺寸图片

    模型组大鼠耳组织中IL-6和TNF-α水平高于正常组(均P<0.01);甲烷治疗组和视黄酸治疗组鼠耳组织中的IL-6和TNF-α水平与正常组比较差异无统计学意义(均P>0.05),但低于模型组(均P<0.01)。见表 1

    表  1  各组大鼠耳组织炎症因子水平
    Table  1  Levels of inflammatory factors in ear tissues of rats in each group (ng·L-1), n=3, x±s
    Factor Normal group Model group Tretinoin group Methane group
    IL-6 35.71±2.44 876.46±25.92** 37.12±3.52△△ 34.63±1.99△△
    IL-8 8.33±0.76 110.23±8.24** 66.07±7.79**△△ 58.14±6.27**△△
    TNF-α 15.72±2.16 44.29±6.12** 15.71±3.24△△ 19.27±2.29△△
    IL-37 26.47±1.06 10.05±3.35** 38.24±1.06**△△ 40.59±2.67**△△
    **P<0.01 vs normal group; △△P<0.01 vs model group. IL: Interleukin; TNF-α: Tumor necrosis factor α.

    模型组大鼠耳组织中IL-8水平高于正常组(均P<0.01),甲烷治疗组和视黄酸治疗组的IL-8水平亦高于正常组,但低于模型组(均P<0.01)。模型组大鼠耳组织中IL-37水平低于正常组,而甲烷治疗组和视黄酸治疗组的IL-37水平高于模型组和正常组(均P<0.01)。在甲烷治疗组和视黄酸治疗组之间,各项指标的差异均无统计学意义(均P>0.05)。见表 1

    TUNEL染色后,细胞核染为红色的代表凋亡细胞。倒置荧光镜下可见,正常组和模型组的鼠耳组织细胞凋亡较少,细胞凋亡率较低[正常组(11.22±1.43)%,模型组(13.58±1.39)%],两组间比较差异无统计学意义(P>0.05);甲烷治疗组和视黄酸治疗组细胞凋亡率[分别为(29.03±1.01)%和(28.60±2.59)%]较模型组和正常组增加(均P<0.01),甲烷治疗组和视黄酸治疗组细胞凋亡率差异无统计学意义(P>0.05)。见图 3

    图  3  各组大鼠耳组织TUNEL染色结果
    Fig.  3  TUNEL staining of rat ear tissues in each group
    A: Normal group; B: Model group; C: Tretinoin group; D: Methane group. TUNEL: Terminal deoxynucleotidyl transferase-mediated dUTP-biotin nick end labeling.
    下载: 全尺寸图片

    模型组大鼠耳组织中SOD蛋白的表达低于正常组,而甲烷治疗组的SOD蛋白表达高于正常组、模型组及视黄酸治疗组(均P<0.01)。模型组鼠耳组织中NF-κB蛋白的表达高于正常组、视黄酸治疗组和甲烷治疗组,而甲烷治疗组的NF-κB蛋白表达低于正常组和视黄酸治疗组(均P<0.01)。甲烷治疗组鼠耳组织中caspase 3蛋白的表达高于正常组和视黄酸治疗组(均P<0.01),其cleaved caspase 3蛋白的表达高于正常组、模型组及视黄酸治疗组(均P<0.01)。见图 4

    图  4  蛋白质印迹法检测各组大鼠耳组织中SOD、NF-κB、caspase 3及cleaved caspase 3蛋白的表达
    Fig.  4  Expression of SOD, NF-κB, caspase 3, and cleaved caspase 3 proteins detected by Western blotting in ear tissues of rats in each group
    A: Western blotting image; B: Results of quantitative assessment. **P < 0.01 vs normal group; △△P < 0.01 vs model group; ▲▲P < 0.01 vs tretinoin group. n=3, x±s. SOD: Superoxide dismutase; NF-κB: Nuclear factor κB; caspase 3: Cysteine aspartic acid specific protease 3; GAPDH: Gyceraldehyde-3-phosphate dehydrogenase.
    下载: 全尺寸图片

    甲烷是大气中的常见气体,其在人体内可以自我产生并参与人体的生理病理过程。近年发现,外源性甲烷灌服或吸入能够发挥抗炎和抗氧化效应,对器官的缺血再灌注损伤具有保护作用,对人体某些系统疾病具有保健和治疗效果[6]。基于甲烷摄入不良反应小及其生理效应,本研究探讨了灌服饱和甲烷生理盐水对痤疮的治疗作用和机制。

    饱和甲烷生理盐水可能通过抗氧化、抗炎的全身性机制调节代谢与免疫系统,从而改善痤疮,因此本研究采用口服给药。外用视黄酸是痤疮治疗的“金标准”之一,作为阳性对照组可提供疗效参照基准,其每日1次给药频率符合临床常规,可确保实验的可比性。大体观察结果显示,经灌服饱和甲烷生理盐水治疗后大鼠耳部痤疮症状消退,外观上接近正常组。W/D值检测和组织学染色结果与大体观察的结果一致,显示饱和甲烷生理盐水治疗能够减轻肿胀、腺体增生、炎症细胞浸润、血管扩张、毛囊口扩大及角化等痤疮指征,与阳性对照药视黄酸的疗效相当,对鼠耳痤疮有较为确切和显著的治疗作用。

    研究显示,在痤疮病理条件下,M1型巨噬细胞极化参与启动和维持炎症,导致组织促炎因子的分泌,在痤疮的发生、发展中起着重要作用[7-8]。本研究亦发现痤疮模型组鼠耳组织中IL-6、IL-8及TNF-α等炎症因子水平高于正常组,而抗炎因子IL-37水平则低于正常组,表明炎症因子的升高和抗炎因子的下调与痤疮的发生、发展密切相关。IL-37是调节炎症反应的一个重要因子,可通过抑制NF-κB通路抑制M1巨噬细胞极化,发挥抗炎作用[9-10]。本研究中,经灌服饱和甲烷生理盐水后,鼠耳组织抗炎因子IL-37的水平增加,而IL-6、IL-8及TNF-α等炎症因子水平下降,同时NF-κB的表达水平亦下降。结果提示,灌服饱和甲烷生理盐水后可能诱导了IL-37分泌增多,IL-37又进一步抑制了NF-κB信号通路,从而实现对痤疮炎症因子和炎症反应的调控。

    视黄酸对痤疮的疗效机制之一为诱导皮肤中腺体细胞的凋亡,从而实现抑制皮脂腺分泌的效应[11]。本研究中视黄酸治疗组大鼠耳组织细胞凋亡率增高,高于正常组和痤疮模型组,与其诱导凋亡的作用吻合。甲烷治疗组鼠耳组织的细胞凋亡率也高于正常组和痤疮模型组,与视黄酸治疗组相当,提示饱和甲烷生理盐水对痤疮的治疗作用亦可能与其促凋亡效应有关。经检测,甲烷治疗组鼠耳组织中caspase 3和cleaved caspase 3的表达水平高于正常组、痤疮模型组及视黄酸治疗组,这进一步证实了饱和甲烷生理盐水对痤疮细胞的凋亡诱导效应。此外,本研究显示饱和甲烷生理盐水能上调SOD的表达,提示其在痤疮治疗中发挥了抗氧化应激的作用。

    饱和甲烷生理盐水为痤疮治疗提供了新的研究方向,其抗炎、抗氧化及调控凋亡的多靶点作用可能弥补现有疗法的不足,尤其在减少激素依赖、避免药物不良反应和改善皮肤修复方面具有潜力。然而,从实验室研究到临床应用仍需解决机制阐明、剂型优化和安全性评估等关键问题,未来应聚焦于临床前及临床研究,并探索其分子机制,以推动这一策略向临床转化。

  • 图  1   各组大鼠耳部给药后的形态大体观察

    Fig.  1   Gross morphological observation of rat ears after drug administration in each group

    A: Normal group; B: Model group; C: Tretinoin group; D: Methane group.

    下载: 全尺寸图片

    图  2   各组大鼠耳组织H-E染色结果

    Fig.  2   H-E staining on rat ear tissues in each group

    A: Normal group; B: Model group; C: Tretinoin group; D: Methane group. H-E: Hematoxylin-eosin.

    下载: 全尺寸图片

    图  3   各组大鼠耳组织TUNEL染色结果

    Fig.  3   TUNEL staining of rat ear tissues in each group

    A: Normal group; B: Model group; C: Tretinoin group; D: Methane group. TUNEL: Terminal deoxynucleotidyl transferase-mediated dUTP-biotin nick end labeling.

    下载: 全尺寸图片

    图  4   蛋白质印迹法检测各组大鼠耳组织中SOD、NF-κB、caspase 3及cleaved caspase 3蛋白的表达

    Fig.  4   Expression of SOD, NF-κB, caspase 3, and cleaved caspase 3 proteins detected by Western blotting in ear tissues of rats in each group

    A: Western blotting image; B: Results of quantitative assessment. **P < 0.01 vs normal group; △△P < 0.01 vs model group; ▲▲P < 0.01 vs tretinoin group. n=3, x±s. SOD: Superoxide dismutase; NF-κB: Nuclear factor κB; caspase 3: Cysteine aspartic acid specific protease 3; GAPDH: Gyceraldehyde-3-phosphate dehydrogenase.

    下载: 全尺寸图片

    表  1   各组大鼠耳组织炎症因子水平

    Table  1   Levels of inflammatory factors in ear tissues of rats in each group (ng·L-1), n=3, x±s

    Factor Normal group Model group Tretinoin group Methane group
    IL-6 35.71±2.44 876.46±25.92** 37.12±3.52△△ 34.63±1.99△△
    IL-8 8.33±0.76 110.23±8.24** 66.07±7.79**△△ 58.14±6.27**△△
    TNF-α 15.72±2.16 44.29±6.12** 15.71±3.24△△ 19.27±2.29△△
    IL-37 26.47±1.06 10.05±3.35** 38.24±1.06**△△ 40.59±2.67**△△
    **P<0.01 vs normal group; △△P<0.01 vs model group. IL: Interleukin; TNF-α: Tumor necrosis factor α.
  • [1] 孙怿阳, 蒲新露. 痤疮治疗的研究进展[J]. 黑龙江医学, 2024, 48(14): 1786-1788. DOI: 10.3969/j.issn.1004-5775.2024.14.036
    [2] NASAB M G, REZVANI M E, HOSSEINI S M S, et al. Methane-rich saline ameliorates depressive-like behaviors during chronic unpredictable mild stress (CUMS)[J]. Naunyn Schmiedebergs Arch Pharmacol, 2024, 397(12): 10203-10213. DOI: 10.1007/s00210-024-03284-4.
    [3] YE Z H, FAN D F, ZHANG T Y. A narrative review of methane in treating neurological diseases[J]. Med Gas Res, 2023, 13(4): 161-164. DOI: 10.4103/2045-9912.372663.
    [4] ZHANG N, LU H T, ZHANG R J, et al. Protective effects of methane-rich saline on mice with allergic asthma by inhibiting inflammatory response, oxidative stress and apoptosis[J]. J Zhejiang Univ Sci B, 2019, 20(10): 828-837. DOI: 10.1631/jzus.B1900195.
    [5] ROSSO J D, FARRIS P K, HARPER J, et al. New insights into systemic drivers of inflammation and their contributions to the pathophysiology of acne[J]. J Drugs Dermatol, 2024, 23(2): 90-96. DOI: 10.36849/JDD.8137.
    [6] LI Z, WANG B, TIAN L, et al. Methane-rich saline suppresses ER-mitochondria contact and activation of the NLRP3 inflammasome by regulating the PERK signaling pathway to ameliorate intestinal ischemia-reperfusion injury[J]. Inflammation, 2024, 47(1): 376-389. DOI: 10.1007/s10753-023-01916-0.
    [7] TAN J K L, STEIN GOLD L F, ALEXIS A F, et al. Current concepts in acne pathogenesis: pathways to inflammation[J]. Semin Cutan Med Surg, 2018, 37(3S): S60-S62. DOI: 10.12788/j.sder.2018.024.
    [8] CHEN L W, CHUNG H L, WANG C C, et al. Anti-acne effects of cembrene diterpenoids from the cultured soft coral Sinularia flexibilis[J]. Mar Drugs, 2020, 18(10): 487. DOI: 10.3390/md18100487.
    [9] ZHOU P, LI Q, SU S, et al. Interleukin 37 suppresses M1 macrophage polarization through inhibition of the Notch1 and nuclear factor kappa B pathways[J]. Front Cell Dev Biol, 2020, 8: 56. DOI: 10.3389/fcell.2020.00056.
    [10] LI L, LI J, LI S, et al. IL-37 alleviates alveolar bone resorption and inflammatory response through the NF-κB/NLRP3 signaling pathway in male mice with periodontitis[J]. Arch Oral Biol, 2023, 147: 105629. DOI: 10.1016/j.archoralbio.2023.105629.
    [11] MELNIK B C. Acne transcriptomics: fundamentals of acne pathogenesis and isotretinoin treatment[J]. Cells, 2023, 12(22): 2600. DOI: 10.3390/cells12222600.
WeChat 点击查看大图
图(4)  /  表(1)
出版历程
  • 收稿日期:  2024-11-12
  • 接受日期:  2025-04-11

目录

    /

    返回文章
    返回