文章信息
- STAT3-RARa阳性急性早幼粒细胞白血病1例报道并文献复习
- STAT3-RARa-positive Acute Promyelocytic Leukemia: A Case Report and Literature Review
- 肿瘤防治研究, 2023, 50(10): 1035-1038
- Cancer Research on Prevention and Treatment, 2023, 50(10): 1035-1038
- http://www.zlfzyj.com/CN/10.3971/j.issn.1000-8578.2023.23.0168
- 收稿日期: 2023-02-23
- 修回日期: 2023-04-12
急性早幼粒细胞白血病(AML-M3, APL)是白血病中具有特征性的染色体及融合基因的一种特殊亚型,95%的APL因t(15; 17)形成PML-RARa融合基因,对全反式维甲酸(ATRA)、三氧化二砷(ATO)靶向药物反应性好,是最有希望治愈的一种恶性疾病。APL伴STAT3-RARa融合基因病例临床非常罕见,仅在3例[1-2]患者中有过报道,且3例患者对全反式维甲酸(ATRA)及亚砷酸(ATO)的治疗反应均不敏感。最近,我们诊断了一例这样的患者,现报道如下,并对相关文献进行复习。
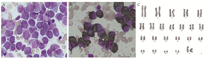
1 病例资料患者女,41岁,工人;既往有骨结核病史,已治愈,余无特殊;因“反复口腔溃疡2月,发现血细胞减少1周”入院。患者自2021年7月始无明显诱因反复出现口腔溃疡,伴咽痛、干咳,无发热,无心慌气喘,无鼻腔、牙龈出血等。2021年9月5日查血常规示:WBC:1.08×109/L,RBC:2.32×1012/L,Hb:79g/L,PLT:60×109/L,中性粒细胞:0.54×109/L。体检:体温37.5℃,中度贫血貌,痛苦面容,全身散在瘀斑,浅表淋巴结无肿大,咽充血,扁桃体无肿大,口腔可见多个溃疡,最大者直径约1 cm,胸骨无压痛,肝脾无肿大。实验室检查:凝血酶原时间11.7 s(参考范围10~14 s),活化部分凝血活酶时间27.3 s(参考范围18~44 s),纤维蛋白原1.79 g/L(参考范围2~4 g/L),D-二聚体8.96 mg/L(参考范围0~1.0 mg/L),纤维蛋白降解产物38.10 mg/L(参考范围0~5 mg/L);粪隐血试验+++;胸部、上腹部CT提示右肺下叶少许纤维化灶。骨髓细胞学:骨髓增生极度活跃,粒系比值增高,占84.5%,其中异常早幼粒细胞比值占79.5%,胞体中等偏大,形态不规则,核为圆形或类圆形,常居一侧,核染色质细致,核仁1~3枚,显影不一,细胞质丰富,染淡蓝,充满细小紫红色颗粒,可见柴捆状Auer小体。红细胞系统造血受抑。过氧化物酶(POX)强阳性,见图 1A~B。考虑急性髓系白血病:APL。流式细胞术免疫分型结果:表达cMPO、CD13和CD33,不表达cCD79a、CD34和HLA-DR,符合急性髓系白血病,AML-M3可能。骨髓穿刺活检:考虑急性早幼粒细胞白血病(APL)。荧光定量PCR结果显示白血病相关43种融合基因筛查均阴性,PML-RARα融合基因筛查及FISH检测阴性。染色体核型分析46,XY[20],见图 1C。建议患者行白血病相关基因突变检测,患者家属拒绝。依据患者白细胞计数,预后分层为低危组,故予维甲酸片(20 mg, 2次/日,口服)联合三氧化二砷(10 mg, 1次/日,静脉滴注)双诱导治疗,期间持续高热予抗感染(哌拉西林他唑巴坦、亚胺培南、利奈唑胺、氟康唑)、促进黏膜修复、输注红细胞、血小板等对症支持治疗,2021年10月4日因患者临床症状无缓解,复查血常规:WBC:0.01×109/L,Hb:58 g/L,PLT:7×109/L。复查骨髓穿刺示:骨髓增生极度活跃,此次髓象原粒+早幼粒细胞比值占88.5%,外周血涂片原始细胞占89%。提示常规APL双诱导治疗无效。
|
| A: Cellular morphology (HE ×100); B: POX staining (×100); C: Chromosoma. 图 1 患者细胞形态和遗传学检测结果 Figure 1 Cell morphology and chromosoma testing results |
转至上级医院进一步治疗,予以阿扎胞苷(135 mg 1次/日×4天)+高三尖杉酯碱(4 mg 1次/日×4天)+维奈克拉(第一天100 mg,第二天200 mg,第三天300 mg,第四天及以后400 mg,每天一次,治疗1周),期间患者持续高热,同时予以替加环素、美罗培南抗感染治疗,疗效不佳,因经济原因放弃治疗出院。
一周后大量鲜血便伴高热再次入我院治疗,血常规:WBC: 0.04×109/L,Hb: 42 g/L,PLT: 6×109/L。予以粒细胞刺激因子升白细胞治疗,同时加用抗感染(细菌、真菌)治疗;头颅+胸部+上腹+下腹CT检查报告:双肺多发渗出,双侧少量胸腔积液;脾脏密度不均,其内可疑稍低密度灶。一周后复查血常规示:WBC: 4.5×109/L,RBC: 2.0×1012/L,Hb: 68g/L,PLT: 53×109/L,中性粒细胞:1.8×109/L。复查骨髓:髓象原粒+早幼粒细胞占2.0%。白血病微小残留阴性。
为明确诊断,经家属同意,再次行白血病相关基因检测,进一步完善初诊骨髓标本的血液肿瘤全转录组测序(RNA-seq),示STAT3-RARa融合基因、GATA2基因错义突变c.1085G > A(p.Arg362Gln)(杂合,突变频率99%)。故目前诊断:急性早幼粒细胞白血病STAT3-RARa融合基因阳性化疗后骨髓抑制、重症感染、消化道出血明确。
患者粒细胞恢复,但仍持续高热伴肺炎,行支气管镜检测,送检痰培养:嗜麦芽寡养单胞菌,肺泡灌洗液NGS检出:(1)鲍曼不动杆菌(多重耐药,对多粘菌素敏感);(2)屎肠球菌;(3)嗜麦芽窄食单胞菌;(4)黄曲霉。(5)人类疱疹病毒Ⅰ型;(6)人类疱疹病毒4型。因一直间断鲜血便行肠镜检查示:结肠巨大溃疡、结肠炎。结合患者肺部多重感染及多重耐药,故行多粘菌素治疗。治疗过程中,患者出现四肢麻木不适,拒绝继续使用,要求出院,于2021年11月20日因重症感染合并消化道大出血死亡。
2 讨论及文献复习染色体t(15; 17)(q22; q12)形成PML-RARa融合基因是急性早幼粒细胞白血病(APL)的细胞遗传学和分子生物学的特异性标志。同时也是治疗的靶点,对全反式维甲酸(ATRA)、三氧化二砷(ATO)靶向药物反应性好,是最可能治愈的一种急性白血病。约95%的APL患者具有PML-RARa融合基因,少数缺乏此融合基因的称为不典型APL患者。本例患者骨髓细胞学及细胞化学染色、骨髓病理、流式细胞术均证实为急性早幼粒细胞白血病,采用多重巢式RT-PCR方法检测白血病相关43种融合基因,其中包括PML/RARa、PLZF-RARa、NPM-RARa、STAT5B-RARa、NuMA1-RARa、PRKARIA-RARa、FIPIL1-RARa等与RARa发生重排的伙伴基因,均为阴性,PML-RARa FISH探针阴性,染色体正常,见图 1。我们通过RNA-seq发现该例患者存在STAT3-RARa融合基因阳性,并通过一代测序验证(图请扫描本文OSID码)。
该样本检测到的STAT3基因是一种非常重要的转录调控因子,该基因编码的蛋白质是STAT蛋白家族的一员,该蛋白通过招募各种细胞因子和生长因子(包括IFNs、EGF、IL5、IL6、HGF、LIF和BMP2)的磷酸化而被激活,然后形成同源或异源二聚体,作为转录激活因子转运到细胞核,在细胞核发挥转录因子作用[3]。同时STAT3蛋白是JAK-STAT信号通路的组分之一,该通路一旦激活,磷酸化的STAT3入核,结合到靶基因的启动子区域,启动基因表达,促进早幼粒细胞不断增殖[4]。同时能促进癌基因Bcl-2的表达[1]。STAT3在人类多种血液系统恶性肿瘤如多发性骨髓瘤、非霍奇金淋巴瘤等中高表达,其过度表达与肿瘤细胞的增殖、细胞凋亡抑制、侵袭和转移、新生血管形成以及肿瘤干细胞自我更新和分化等密切相关[5]。RARa基因位于人染色体17q21上,在细胞增殖、凋亡、代谢、分化等多种信号通路和发育中发挥着重要的生物学功能[6]。此外,RARa在调节造血细胞成熟尤其是髓系分化中起重要作用。该基因可通过染色体易位形成融合基因(如PML-RARa、PLZF-RARa、NPM-RARa等)从而导致APL的发生。STAT3-RARa融合基因由STAT3基因21号外显子和RARa基因2号外显子重组形成。该对基因均位于17号染色体上,基因断裂点的物理距离为1.95Mb(图请扫描本文OSID码)。
APL伴STAT3-RARa融合基因阳性临床非常罕见,通过检索文献,仅有3例[1, 7]报道,见表 1(第4例为本例),且均为国内病例,所有患者均经细胞学、流式免疫分型证实为急性早幼粒细胞白血病,常规检测融合基因阴性,均对维甲酸及砷剂治疗无反应,对化疗有反应,总体预后不佳。
|
变异型融合基因对ATRA或ATO的耐药使该类白血病的治疗面临着很大挑战。其对ATO的耐药可能是因为缺乏作用靶点,但是对ATRA的耐药机制尚不清楚。通过文献检索,推测可能存在如下机制:(1)ATRA可靶向降解PML-RARa融合蛋白,恢复野生型RARa和PML基因功能,解除基因的转录抑制,重新诱导髓系分化,使得APL细胞分化成熟[2, 8]。Yao等[1]研究推测STAT3-RARa型APL对ATRA耐药可能是因为该融合基因能通过自身形成同源二聚体或与RXRa形成异源二聚体,竞争野生型RARa与RXRa的结合,从而抑制基因的转录,导致早幼粒细胞白血病的发生。而药物浓度剂量下的维甲酸并不能逆转上述机制,基因的转录抑制仍然保留。(2)该样本同时检测到GATA2基因错义突变:c.1085G > A(p.Arg362Gln)(杂合,突变频率99%)。GATA2基因编码GATA结合蛋白2,属于GATA转录因子家族一员,包含一个保守的DNA结合结构域,由两个多功能的锌指结构域组成(ZFDs)。GATA2基因在控制造血细胞的增殖和分化中起到了关键作用,GATA2的异常表达也可以阻止正常造血细胞的增殖和分化[9],该基因突变可能引起造血系统疾病,如白血病。故GATA2的稳定和平衡在维持正常造血中十分重要,新近研究发现,在髓系细胞的分化过程中,存在GATA2的锌指结构域与维甲酸受体α(RARα)的DNA结构域之间的相互作用[10],在这个过程中,RARα会被束缚在已被GATA2识别并结合的位点上,从而使GATA2的转录活性变成维甲酸敏感的。无论是RARα的显性负形式还是GATA2发生突变均使其无法与RARα作用,导致这种维甲酸敏感的、GATA2依赖的转录丧失,进而对维甲酸耐药。(3)同时,RARα的过表达也会抑制RARα与GATA2-DNA复合物的结合,从而减弱RARα对GATA2的活性作用[11]。(4)GATA2通过蛋白-蛋白直接相互作用抑制STAT3活性,从而抑制细胞因子依赖的造血细胞生长和存活[12]。
本例患者粒细胞缺乏近3个月导致广泛的黏膜溃疡,包括口腔及肠道的溃疡,从而引发严重的多重耐药的病原微生物感染,包括细菌、真菌和病毒感染,同时也是患者死亡的主要原因。通过生存分析,目前对耐药的变异型APL最好的治疗方法是多药联合化疗达到CR后尽快接受造血干细胞移植。同时研究发现STAT3-RARa融合基因阳性的APL中癌基因Bcl2在融合基因阳性细胞中表达明显上调[1],故予以Bcl-2抑制剂维奈克拉进行治疗不失为一种创新选择,患者短期内获得缓解,与此前报道病例中标准化疗相比疗效明显,为未来治疗提供了依据。同时此病例的诊疗过程也提醒我们,骨髓细胞及流式细胞学均提示急性早幼粒细胞白血病的患者,在临床诊疗过程中如果对双诱导治疗完全无效,且症状未缓解,应及早改变思路,转换治疗方法,争取更早缓解,为后期的造血干细胞移植提供机会。
利益冲突声明:
所有作者均声明不存在利益冲突。
作者贡献:
黄艳:收集资料、论文撰写与修改
任宏波:论文修改
刘颖:收集资料
| [1] |
Yao L, Wen L, Wang N, et al. Identification of novel recurrent STAT3-RARA fusions in acute promyelocytic leukemia lacking t (15; 17)(q22;q12)/PML-RARA[J]. Blood, 2018, 131(8): 935-939. DOI:10.1182/blood-2017-09-807370 |
| [2] |
徐欣欣, 吕振慧, 刘凯奇, 等. 伴STAT3-RARα阳性急性早幼粒细胞白血病一例报告并文献复习[J]. 中华血液学杂志, 2019, 40(8): 688-690. [Xu X, Lyu Z, Liu K, et al. Acute promyelocytic leukemia with STAT3-RARαfusion gene: a case report and literature review[J]. Zhonghua Xue Ye Xue Za Zhi, 2019, 40(8): 688-690.] |
| [3] |
Verhoeven Y, Tilborghs S, Jacobs J. The potential and controversy of targeting STAT family members in cancer[J]. Semin Cancer Biol, 2020, 60: 41-56. DOI:10.1016/j.semcancer.2019.10.002 |
| [4] |
Jin W. Role of JAK/STAT3 Signaling in the Regulation of Metastasis, the Transition of Cancer Stem Cells, and Chemoresistance of Cancer by Epithelial-Mesenchymal Transition[J]. Cells, 2020, 9(1): 217. DOI:10.3390/cells9010217 |
| [5] |
Kim BH, Yi EH, Ye SK. Signal transducer and activator of transcription 3 as a therapeutic target for cancer and the tumor microenvironment[J]. Arch Pharm Res, 2016, 39(8): 1085-1099. DOI:10.1007/s12272-016-0795-8 |
| [6] |
Liquori A, Ibañez M, Sargas C, et al. Acute Promyelocytic Leukemia: A Constellation of Molecular Events around a Single PML-RARA Fusion Gene[J]. Cancers (Basel), 2020, 12(3): 624. DOI:10.3390/cancers12030624 |
| [7] |
Jimenez JJ, Chale RS, Abad AC, et al. Acute promyelocytic leukemia (APL): a review of the literature[J]. Oncotarget, 2020, 11(11): 992-1003. DOI:10.18632/oncotarget.27513 |
| [8] |
陈一瑞. 急性早幼粒细胞白血病中维甲酸受体α融合基因的研究进展[J]. 国际输血及血液学杂志, 2013, 36(4): 425-428. [Chen YR. Research progress of retinoic acid receptor alpha fusion gene in acute promyelocytic leukemia[J]. Guo Ji Su Xue Ji Xue Ye Xue Za Zhi, 2013, 36(4): 425-428. DOI:10.3760/cma.j.issn.1673-419X.2013.04.012] |
| [9] |
Katsumura KR, Mehta C, Hewitt KJ, et al. Human leukemia mutations corrupt but do not abrogate GATA-2 function[J]. Proc Natl Acad Sci U S A, 2018, 115(43): E10109-E10118. |
| [10] |
Leubolt G, Redondo Monte E, Greif PA. GATA2 mutations in myeloid malignancies: Two zinc fingers in many pies[J]. IUBMB Life, 2020, 72(1): 151-158. DOI:10.1002/iub.2204 |
| [11] |
Katerndahl CDS, Rogers ORS, Day RB, et al. Tumor suppressor function of Gata2 in acute promyelocytic leukemia[J]. Blood, 2021, 138(13): 1148-1161. DOI:10.1182/blood.2021011758 |
| [12] |
Lu W, Jia D, An S, et al. Calf Spleen Extractive Injection protects mice against cyclophosphamide-induced hematopoietic injury through G-CSF-mediated JAK2/STAT3signaling[J]. Sci Rep, 2017, 7(1): 8402. |
2023, Vol. 50
