文章信息
- 阿帕替尼治疗晚期肝癌中出现主动脉夹层1例报道
- Aortic Dissection in Apatinib Treatment of Advanced Hepatocellular Carcinoma: A Case Report
- 肿瘤防治研究, 2019, 46(7): 658-660
- Cancer Research on Prevention and Treatment, 2019, 46(7): 658-660
- http://www.zlfzyj.com/CN/10.3971/j.issn.1000-8578.2019.18.1957
- 收稿日期: 2018-12-11
- 修回日期: 2019-04-20
主动脉夹层(aortic dissection, AD)指主动脉腔内血液从主动脉内膜撕裂处进入主动脉中膜,使中膜分离,沿主动脉长轴方向扩展形成主动脉壁的真假两腔分离状态。该病少见,易误诊、漏诊,死亡率高,发病率每年每百万人口约5~10例。我科收治1例阿帕替尼治疗晚期肝癌过程中出现主动脉夹层,现报道如下。
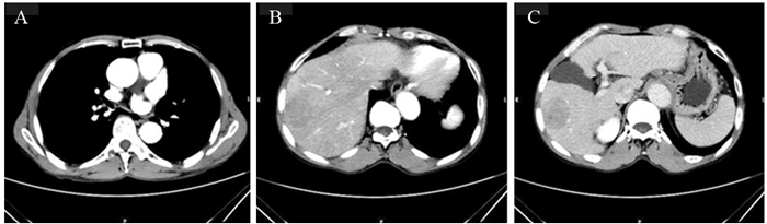
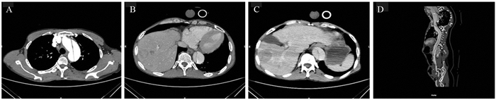
1 病例资料患者,男,63岁。2018年8月,因“上腹部疼痛4月,加重伴剑突下疼痛12 h以上”入院。家属诉患者入院前4月因右上腹疼痛,于当地医院检查,诊断“肝癌肝内转移”,并给予“阿帕替尼片、恩替卡韦片、肝苏颗粒、甘草酸二铵肠溶胶囊”口服。定期复查增强CT。1周前,因右上腹胀痛于门诊就诊,腹部增强CT示肿瘤稳定,见图 1。给予盐酸曲马多缓释胶囊100 mg每12 h口服一粒,疼痛控制可。12 h前,无明显诱因下出现剑突下疼痛,呈持续性撕裂样疼痛,先后口服2粒盐酸曲马多缓释胶囊不缓解,伴有头晕,无声嘶、胸痛、胸闷,无恶心、呕吐,无血尿等。否认高血压、冠心病、先天性心脏病、胸部外伤、梅毒等病史。查体:体温36.6℃,脉搏71次/分,呼吸20次/分,血压:169/110 mmHg。神志清楚,急性痛苦面容。言清语利,无口角歪斜、复视、视力减退等,四肢肌力感觉正常,颈部未闻及血管杂音,心肺(-)。无声嘶、声哑; 上腹部疼痛,剑突下压痛,未触及异常搏动性肿块; 肝脾肋下未触及,肠鸣音4次/分; 左上腹可闻及血管杂音,余中下腹部未闻及血管杂音。双上肢桡动脉、足背动脉、胫后动脉、胫前动脉搏动有力对称。疼痛评估数字分级(numberical rating scale, NRS)评分:8分。胸部CT平扫,见图 2。升主动脉-胸主动脉增粗呈双腔改变,可见内膜移位; 考虑主动脉夹层或壁内血肿,建议CT血管造影(CT angiography, CTA)检查。心电图:左室高电压; 完全性右束支阻滞; 左前分支阻滞; T波改变。血常规、肝肾功能、电解质、输血前检查未见异常。弥散性血管内凝血(disseminated intravascular coagulation, DIC):D-二聚体11.23 μg/ml; 纤维蛋白原降解产物20.80 μg/ml。心肌损伤标志物:高敏肌钙蛋白T 0.01 μg/L; 肌红蛋白47.1 μg/L; N-末端脑利钠肽前体(Nt-BNP)285.3 ng/L; 肌酸激酶同工酶2.55 μg/L。入院诊断:(1)主动脉夹层; (2)高血压; (3)肝癌肝内转移。给予止痛、控制血压,转往血管外科CTA明确诊断,见图 3,患者及家属拒绝手术,保守治疗后要求出院。
|   | 
| A: T8 level, no dissection in thoracic aorta was found; B, C: T12 level, no dissection was found in the thoracic-abdominal aorta; right lobe hepatocellular carcinoma was seen 图 1 入院前1周复查增强CT显示肝右叶肝癌,胸主动脉及腹主动脉未见夹层 Figure 1 One week before admission, the right lobe of liver cancer was reexamined by enhanced CT. No dissection was found in thoracic aorta or abdominal aorta | 
|   | 
| A: thoracic plain CT shows aortic arch level, visible arterial intimal displacement; B: T8 level, thoracic aorta coarsening shewed double lumen changes, visible intimal displacement 图 2 入院胸部平扫提示主动脉-胸主动脉增粗呈双腔改变,可见内膜移位 Figure 2 On plain chest scan, the coarsening of aorta and thoracic aorta showed double lumen changes, and the displacement of intima could be seen | 
|   | 
| A: intimal patches in the horizontal aortic arch; B, C: abdominal aortic horizontal artery intima patches, non-uniform enhancement patches in the right lobe of liver, multiple nodular mild enhancement patches in the liver parenchyma; D: intimal patches could be seen from the horizontal aortic arch to the right common iliac artery 图 3 患者主动脉CT血管造影 Figure 3 Aorta CT angiography of the patient | 
主动脉夹层致病因素较多,最常见的为高血压、动脉粥样硬化、马凡氏综合征、糖尿病、主动脉狭窄或主动脉畸形、内分泌紊乱、创伤等,可引起内膜撕裂,黏膜下层受到强烈血液冲击,从而导致内膜出现扩展、剥离现象,以致在动脉内形成真、假两腔,患者通常会伴有撕裂般剧烈疼痛,若未及时干预治疗,可威胁患者生命[1-3]。高血压为AD重要的易患因素,大约80%的AD患者伴有高血压[2]。该患者及家属否认既往高血压、冠心病、先天性心脏病及遗传病等及相关药物,因肝癌每晚口服1片甲磺酸阿帕替尼片(艾坦),治疗过程中出现血压增高((140~145)/(85~95)mmHg)(2018年6月),但未行药物控制(医生有告知可能出现高血压,需要监测及控制)。入院未用降压药(硝普钠)、镇痛药(地佐辛)前血压波动于(169~180)/(99~110)mmHg,考虑为继发性高血压。通过查阅阿帕替尼说明书:阿帕替尼治疗胃癌的Ⅲ期临床研究中,试验组共62例(35.23%)患者出现血压升高,其中8例为3级血压升高,未发生4级血压升高。宋琪等[5]在阿帕替尼联合肝动脉化疗栓塞术治疗晚期肝癌1例中,出现高血压反应。张玥[6]对39例用阿帕替尼治疗晚期恶性肿瘤的临床疗效及安全性观察中发现有13例(31.7%)发生高血压,未发生动脉夹层。其他文献报道[7-9]使用阿帕替尼治疗恶性肿瘤过程中有16.1%~37.5%的患者发生高血压,与说明书发生比例相当; 在治疗过程中,均未发生动脉夹层。本病例既往无高血压病,治疗过程中出现高血压,入院时动态血压监测提示患者有高血压。所以,考虑高血压是导致该例主动脉夹层的主要原因。
主动脉夹层最常见的症状为胸痛、胸背痛、腹痛、腰背痛等,本例患者由于原发病为肝癌,一直存在右上腹疼痛,而本次发病为剑突下疼痛,与右上腹邻近,并未引起家属注意。心电图及心肌损伤标志物并未提示心肌梗死征象,增加了诊断难度。考虑到患者为肝癌并肝内转移,常规给予胸部CT平扫评估有无肺转移。所幸入院30 min内做了胸部平扫发现升主动脉-胸主动脉增粗呈双腔改变,可见内膜移位,考虑主动脉夹层或壁内血肿。进一步CT血管造影明确诊断。有研究报道,胸片对AD检出率为16.13%,彩超为53.85%,而CT为94.45%[3]; 可见CT对其检测率高,对于诊断有较大帮助。该病例启示:对病情发生变化,尤其是疼痛部位、性质发生改变,需要及时检查; 需要跳出疾病“一元论”; 要强调检查后及时查看相应的结果。
AD起病急促、进展快,且病情凶险,如不及时进行诊治,病死率极高[4]; 通过复习文献并总结:(1)首诊医师应提高对AD的认识、正确分析病情,对于出现腹痛症状而既往又存在腹部疾病的患者,更应避免漏诊。(2)AD临床表现复杂,缺乏特异性,以胸痛、背痛常见,而以腹痛为症状时,给诊断带来困难,选择正确的辅助检查尤其重要,如CT。(3)对于可能引起血压升高的药物,应常规进行血压监测和控制。
作者贡献
李富波:病例收集、文章撰写
龚格格:文章审校
| [1] | 豆哲敏, 叶丹, 邓一鸣, 等. 主动脉夹层的临床分析[J]. 中国医学科学, 2018, 8(12): 228–230. [ Dou ZM, Ye D, Deng YM, et al. Clinical analysis of aortic dissection[J]. Zhongguo Yi Xue Ke Xue, 2018, 8(12): 228–230. ] | 
| [2] | 韦广粤, 富学林, 李作兴, 等. 主动脉夹层的早期诊断[J]. 中国医药指南, 2012, 10(26): 136–137. [ Wei GY, Fu XL, Li ZX, et al. Early diagnosis of aortic dissection[J]. Zhongguo Yi Yao Zhi Nan, 2012, 10(26): 136–137. ] | 
| [3] | 黄小洪, 黄秀碧, 陈建东. 主动脉夹层临床特点分析[J]. 实用心脑肺血管病杂志, 2012, 20(4): 607–608. [ Huang XH, Huang XB, Chen JD. The Clinical analysis of aortic dissection[J]. Shi Yong Xin Nao Fei Xue Guan Bing Za Zhi, 2012, 20(4): 607–608. DOI:10.3969/j.issn.1008-5971.2012.04.016 ] | 
| [4] | Mészáros I, Mórocz J, Szlávi J, et al. Epidemiology and clinicopathology of aortic dissection[J]. Chest, 2000, 117(5): 1271–1278. DOI:10.1378/chest.117.5.1271 | 
| [5] | 宋琪, 张海梅, 梁华, 等. 阿帕替尼联合肝动脉化疗栓塞术治疗晚期肝癌一例并文献复习[J]. 肿瘤研究与临床, 2018, 30(6): 417–418. [ Song Q, Zhang HM, Liang H, et al. Apatinib combined with transcatheter arterial chemoembolization for advanced liver carcinoma: report of one case and review of literature[J]. Zhong Liu Yan Jiu Yu Lin Chuang, 2018, 30(6): 417–418. DOI:10.3760/cma.j.issn.1006-9801.2018.06.015 ] | 
| [6] | 张玥, 俞静. 阿帕替尼治疗晚期恶性肿瘤的临床疗效及安全性观察[J]. 临床和实验医学杂志, 2018, 17(9): 897–900. [ Zhang Y, Yu J. Study on the efficacy and safety of Apatinib in treatment of advanced malignant tumor[J]. Lin Chuang He Shi Yan Yi Xue Za Zhi, 2018, 17(9): 897–900. DOI:10.3969/j.issn.1671-4695.2018.09.001 ] | 
| [7] | 焦娇, 李敏. 阿帕替尼治疗晚期非小细胞肺癌的临床疗效评价[J]. 临床医药文献电子杂志, 2017, 4(60): 11821–11822. [ Jiao J, Li M. Appatinib in the Treatment of Advanced Non-small Cell Lung Cancer[J]. Lin Chuang Yi Yao Wen Xian Dian Zi Za Zhi, 2017, 4(60): 11821–11822. DOI:10.3877/j.issn.2095-8242.2017.60.080 ] | 
| [8] | 朱志刚. 阿帕替尼治疗晚期胃癌疗效与血压的相关性研究[J]. 中国药物与临床, 2018, 18(6): 948–949. [ Zhu ZG. Study on the correlation between the efficacy of apatinib and blood pressure in the treatment of advanced gastric cancer[J]. Zhongguo Yao Wu Yu Lin Chuang, 2018, 18(6): 948–949. ] | 
| [9] | 田春艳, 尹进波, 许丰铭, 等. 阿帕替尼联合免疫调节剂治疗晚期胃癌的效果观察[J]. 浙江医学, 2018, 40(9): 996–997. [ Tian CY, Yin JB, Xu FM, et al. Observation on the efficacy of apatinib combined with immunomodulator in the treatment of advanced gastric cancer[J]. Zhejiang Yi Xue, 2018, 40(9): 996–997. ] | 
 2019, Vol. 46
 2019, Vol. 46
