文章信息
- 大气细颗粒物PM2.5致Wistar大鼠肺部病变的研究
- Pulmonary Lesions of Wistar Rats Induced by Atmospheric Particulate PM2.5
- 肿瘤防治研究, 2017, 44(10): 652-658
- Cancer Research on Prevention and Treatment, 2017, 44(10): 652-658
- http://www.zlfzyj.com/CN/10.3971/j.issn.1000-8578.2017.17.0272
- 收稿日期: 2017-03-14
- 修回日期: 2017-05-24
2. 050011 石家庄, 河北医科大学第四医院肿瘤研究所;
3. 050011 石家庄, 河北医科大学第四医院科研中心
2. Tumor Institute, The Fourth Hospital of Hebei Medical University, Shijiazhuang 050011, China;
3. Research Center, The Fourth Hospital of Hebei Medical University, Shijiazhuang 050011, China
随着我国近年来工农业、交通运输业等大力发展以及煤炭石油等能源的大规模开发利用,造成环境污染问题日益严峻。雾霾是空气污染和气象因素共同作用的结果,雾霾天气,大气能见度下降,大气中颗粒物(particulate matter, PM)特别是细颗粒物(PM2.5)是导致能见度降低的主要因素[1]。PM粒径≤2.5 μm的称为细颗粒物,即PM2.5。因PM2.5粒径细小,相对表面积较大,在大气中停留时间较长,可吸附大量对身体有害的物质,并直接深入细支气管和肺泡形成沉积,对身体造成多种病变,多引起心血管及肺部病变等[2-4]。大量PM2.5在肺部沉积造成肺部不同病变,PM2.5上携带的多环芳烃和重金属成分等具有致细胞突变和致癌性[5]。本实验对石家庄市空气中PM2.5致Wistar大鼠肺部病变进行研究,探讨石家庄市空气中PM2.5是否具有致肺部癌变作用。
1 材料与方法 1.1 实验动物及分组Wistar大鼠:购于河北省实验动物中心,生产许可证编号:SCXK(冀)2010-1-003;饲养于河北医科大学第四医院实验动物中心清洁环境,温度:22℃~24℃;湿度:30%~70%;换气次数:15次/小时。
动物分组:实验组:PM2.5采集器,按抽气量50 L/min,完全PM2.5富集量,理论PM2.5浓度为外部空气中PM2.5浓度的10倍;对照组:正常饲养,大鼠饲养于PM2.5 < 35 μg/m3的洁净环境中。染毒动物每日染毒4 h,一周染毒5次。每组Wistar大鼠20只,共染毒9月,其余时间与对照组饲养于同一环境中。每日观察大鼠饮食及饮水情况,每周测量大鼠体重。
1.2 主要试剂及仪器PM2.5采集器及全身暴露染毒系统(北京慧荣和科技有限公司);FC500型流式细胞仪(美国Beckman Coulter公司);DNA染液(美国BD公司);大鼠癌胚抗原(CEA)、卵巢癌抗原(CA125)及鳞状细胞癌相关抗原(SccAg)均用ELISA试剂盒检测(北京冬歌生物公司)。
1.3 动物全身PM2.5暴露系统设备连接及气体流向,见图 1。
|
| 图 1 动物全身PM2.5暴露系统 Figure 1 PM2.5 exposure system of animal's whole body |
将福尔马林固定的肺组织,常规石蜡包埋,4 μm切片后将组织切片置80℃烤箱1 h,冷却后入二甲苯Ⅰ及Ⅱ各10 min,过梯度酒精后苏木精对比染色3 min,取出后自来水冲洗,盐酸酒精分化,氨水返蓝,伊红染色,过梯度酒精及二甲苯后,中性树胶封片。显微镜下观察。
1.5 Wistar大鼠静脉血CD3、CD4、CD8表达水平实验结束后,取大鼠静脉血0.5 ml,抗凝,分别取0.1 ml抗凝静脉血加入两个流式样品管中,其中一管加入10 μl CD4-FITC及10 μl CD8-PE抗体,另一管中加入10 μl CD3-FITC抗体,同时设置同型对照组,室温避光放置30 min后裂解红细胞,流式细胞仪检测。
1.6 ELISA实验检测Wistar大鼠血清及肺灌洗液中CEA、CA125及SccAg表达水平Wistar大鼠血清收集:抽取Wistar大鼠静脉血,促凝后室温放置1 h,以3 000 r/min离心15 min,取上层血清至无菌EP管中,-20℃保存备用。
肺灌洗液收集:将肺完整剥离时带2~3 cm气管,置于冰上的无菌玻璃皿中,注射器抽取5 ml 0.9%氯化钠溶液,将针头插入气管中,用镊子夹闭后将0.9%氯化钠溶液灌入肺中,反复抽吸3次,将抽出灌洗液装入无菌EP管中,-20℃保存备用。
ELISA实验步骤:按试剂盒说明书操作,分别设空白孔、待测样品孔。在酶标包被板上待测样品孔中先加样品稀释液40 μl,然后再加待测样品10 μl。将样品加于酶标板孔底部,尽量不触及孔壁,轻轻晃动混匀;每孔加入酶标试剂100 μl,用封板膜封板后置37℃温育60 min。将20倍浓缩洗涤液用蒸馏水20倍稀释后备用;小心揭掉封板膜,弃去液体,甩干,每孔加满洗涤液,静置30 s后弃去,如此重复洗涤5次,拍干。每孔先加入显色剂A 50 μl,再加入显色剂B 50 μl,轻轻振荡混匀,37℃避光显色15 min。每孔加终止液50 μl,终止反应。以空白孔调零,450 nm波长依序测量各孔的吸光度(OD值)。测定应在加终止液后15 min内进行。用标准物的浓度与OD值计算出标准曲线的直线回归方程式,将样品的OD值代入方程式,计算出样品浓度,再乘以稀释倍数,即为样品的实际浓度。
1.7 网挫法制备肺组织单细胞悬液将70%乙醇固定的肺组织,用冷0.9%氯化钠溶液冲洗一次,利用网挫法制备单细胞悬液,调整细胞浓度为1×107个/毫升。
1.8 流式细胞术检测Wistar大鼠肺组织细胞凋亡、细胞周期及DNA指数取制备好的单细胞悬液100 μl,加入0.5 ml DNA染液,4℃冰箱内避光染色30 min,0.9%氯化钠溶液洗涤细胞一次后,加入1 ml 0.9%氯化钠溶液悬浮细胞,流式细胞仪检测。细胞增殖状态以增殖指数(proliferation index, PI)表示,PI=(S+G2/M)/(G0/G1+S+G2/M)。DNA含量以DNA指数(DNA index, DI)表示,DI=(实验组细胞G0/G1期均道值)/(正常细胞G0/G1期均道值)
1.9 统计学方法应用SPSS11.5软件对数据进行统计分析,计量资料以均数±标准差(x±s)表示,多组样本均数比较采用单因素方差分析,其中两两比较采用LSD检验,以P < 0.05为差异有统计学意义。
2 结果 2.1 实验过程中PM2.5质量浓度实验利用全身暴露系统进行Wistar大鼠PM2.5染毒实验,9月的实验,染毒仓内PM2.5浓度波动较大,但均高于250 μg/m3,见图 2。
|
| 图 2 全身暴露系统染毒仓内PM2.5质量浓度 Figure 2 PM2.5 mass concentration in systemic exposure system |
整个实验阶段,实验组与对照组Wistar大鼠体质量差异无统计学意义,随着实验时间的延长体重呈现稳定增高,见图 3。
|
| 图 3 Wistar大鼠体重变化 Figure 3 Changes of body weight of Wistar rats |
实验组正面观,以支气管向外周辐射状颜色发暗,偏黑,多处可见白色斑点和泡状凸起,边缘不规则白色隆起,反面观,有异常白色区,见图 4A~B;对照组正反面观,均呈现均匀粉红色,表面光滑,无明显异常,见图 4C~D。
|
| A, B: PM2.5 group; C, D: control group 图 4 Wistar大鼠肺组织大体观察 Figure 4 General observation of lung tissues of Wistar rats |
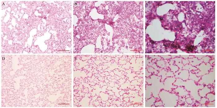
实验组,肺组织纤维化,肺实变严重,肺泡充血,见大量炎性增生,肺组织中可见大量颗粒性沉着及吞噬了颗粒性物质的巨噬细胞,支气管中的纤毛柱状细胞破坏、管壁纤维化增厚,见图 5A~C。对照组,肺泡完整,肺泡壁正常,未见纤维化、肺实变及肺泡内充血,未见异型增生细胞,见图 5D~F。
|
| A, B, C: PM2.5 group; D, E, F: control group; A, D: ×100; B, E: ×200; C, F: ×400 图 5 HE染色观察肺组织形态 Figure 5 Morphology of lung tissues observed by HE staining |
实验组与对照组相比,静脉血中CD3及CD4阳性细胞增高而CD8阳性细胞降低,但差异均无统计学意义(P值分别为0.792、0.103、0.087);实验组CD4/CD8比值显著高于对照组CD4/CD8比值(P=0.031),见图 6。
|
| A, C: PM2.5 group; B, D: control group; *: P > 0.05 compared with control group; **: P < 0.05 compared with control group 图 6 流式细胞术检测Wistar大鼠静脉血CD3、CD4、CD8表达水平 Figure 6 Expression of CD3, CD4 and CD8 in venous blood of Wistar rats detected by flow cytometry |
实验组大鼠静脉血及肺灌洗液中CEA及SccAg表达水平高于对照组中的表达,但差异无统计学意义(P值分别为0.495、0.750、0.930、0.667);实验组大鼠静脉血及肺灌洗液中CA125表达水平显著高于对照组中的表达(P值分别为0.023及0.043),见图 7。
|
| *: P > 0.05, compared with control group; **: P < 0.05, compared with control group 图 7 ELISA实验检测Wistar大鼠血清及肺灌洗液中CEA、CA125及SccAg表达水平 Figure 7 Expression levels of CEA, CA125 and SccAg in serum and lung lavage fluid of Wistar rats detected by ELISA assay |
实验组与对照组相比,肺组织细胞周期G0/G1期降低而S、G2/M期及增殖指数增高,但差异无统计学意义(P值分别为0.143、0.286、0.779及0.145),见图 8。
|
| *: P > 0.05, compared with control group 图 8 流式细胞术检测Wistar大鼠肺组织细胞周期 Figure 8 Cell cycle of Wistar rats lung tissues detected by flow cytometry |
结果显示,实验组肺组织细胞凋亡率显著低于对照组细胞凋亡率(P=0.002),见图 9。
|
| *: P < 0.05, compared with control group 图 9 流式细胞术检测Wistar大鼠肺组织细胞凋亡 Figure 9 Cell apoptosis of Wistar rats lung tissue detected by flow cytometry |
结果显示,实验组肺组织细胞DI值显著高于对照组细胞DI值(P=0.018),提示实验组肺组织细胞DNA含量显著高于对照组(P=0.018),见图 10。
|
| *: P < 0.05, compared with control group 图 10 流式细胞术检测肺组织细胞DNA含量 Figure 10 DNA contents of Wistar rats lung tissue cells detected by flow cytometry |
近年来随着我国工农业、交通运输业等大力发展以及煤炭石油等能源的大规模开发利用,造成环境污染问题日益严峻。PM2.5由于其粒径小,相对表面积大,易富集多环芳烃等有机物、各种重金属等无机物及病原微生物等,并可以随着人的呼吸进入体内导致心血管和呼吸等系统疾病[6-8]。肺癌因其患病率持续增高且病因复杂,和空气质量的变化密切相关而受到重视。PM2.5的污染所带来的环境健康效应问题愈来愈严重。虽然PM2.5与肺癌的关系在流行病学调查中显示有一定的关联,也有一些动物实验研究了PM2.5与肺部病变的研究[9-13],但这些动物实验的PM2.5染尘,多采用PM2.5肺部滴注进行染尘,动物自然呼吸空气进行PM2.5染毒实验少见报道。本研究利用全身暴露染毒系统,实时收集PM2.5进行Wistar大鼠染毒实验,试图寻找PM2.5引起肺癌的动物模型,为PM2.5与肺癌关系研究提供动物实验基础。
经过9月的染毒实验,Wistar大鼠体质量与对照组相比,并无显著变化,行动和饮食并没有受到染毒影响。考虑可能是染毒时间太短或染毒的PM2.5浓度低从而导致的对Wistar大鼠影响不显著。实验过程中观察到染毒至近8周时,Wistar大鼠出现异常呼吸音,此症状持续近3周左右,此后呼吸音逐渐正常,症状消失,观察PM2.5质量浓度曲线图对应的时间显示,出现异常呼吸音的时间正好对应了此时段PM2.5浓度较高,随后PM2.5浓度逐渐降低,同时也出现了大鼠异常呼吸音逐渐消失的现象。此现象反映了PM2.5质量浓度与致肺部病变有直接的关系。
历时9月的PM2.5染毒实验,实验组Wistar大鼠肺组织中出现不同程度的结节,经病理学检测呈现广泛的肺实变,炎性增生,肺泡内充血,大量颗粒性物质在肺组织内沉着,支气管壁纤维化增厚。而对照组大鼠肺组织,肺泡完整,肺泡壁正常,未见纤维化、肺实变及肺泡内充血,未见异型增生细胞。HE染色结果显示实验组肺组织呈现了广泛炎性增生,并未出现不典型增生,出现此结果的原因考虑是由于染毒过程中PM2.5采集是采用实时采集方式,PM2.5的收集受到了外界环境空气质量影响很大,而且PM2.5采集器随着采集时间的延长也会出现偶尔的堵塞现象导致了PM2.5浓度受到一定影响,达不到一定的PM2.5高浓度及浓度的稳定性。考虑到此原因,在以后的实验中会寻找一种能够稳定提供高浓度PM2.5浓度的实验装置。形态学上没有找到肺癌组织形态,实验中进一步进行了与癌变有关因子的检测。
流式细胞术检测了大鼠T细胞免疫功能,结果显示,实验组与对照组相比,静脉血中CD3、CD4、CD8阳性细胞无显著性差异,但实验组CD4/CD8比值显著高于正常对照组。提示了实验组大鼠T细胞的免疫功能高于对照组,此结果与大鼠肺组织的炎性反应有关,也可能与肺早期癌变过程中刺激免疫系统从而引起的免疫功能增强。这需要在后期的实验中进一步验证。
CEA、CA125及SccAg是肿瘤早期诊断常用指标,实验中使用ELISA方法检测了大鼠静脉血及肺灌洗液中CEA、CA125及SccAg表达水平,显示实验组大鼠静脉血及肺灌洗液中CEA及SccAg高于对照组但无统计学意义,而实验组大鼠静脉血及肺灌洗液中CA125表达水平显著高于对照组。同时检测了肺组织细胞周期、凋亡及DNA含量,结果显示,实验组大鼠肺组织细胞增殖高于对照组,但无统计学意义,实验组大鼠肺组织细胞凋亡率显著低于对照组,而细胞DNA含量显著高于对照组,这些结果提示实验组肺组织有癌变的趋势,持续高浓度的染毒可能会导致肺组织早期癌变,但这种假设需要进一步的实验研究进行证实。
以上结果显示,长期接触PM2.5会造成肺组织出现不同程度结节,呈现出广泛的炎性反应增生、肺实变及肺泡充血等变化,提示结节组织有向早期癌发生的趋势,但PM2.5是否能引起肺癌变需要进一步的实验研究。
| [1] | 曾其莉, 岳苗苗, 谢曙光, 等. 华中某市居民住宅室内外PM2.5与PM10日变化规律及防护建议[J]. 公共卫生与预防医学, 2015, 26(2): 40–2. [ Zeng QL, Yue MM, Xie SG, et al. Daily change patterns of indoor and outdoor PM2.5 and PM10 concentration in Central China city residences and protection suggestions[J]. Gong Gong Wei Sheng Yu Yu Fang Yi Xue, 2015, 26(2): 40–2. ] |
| [2] | Puett RC, Hart JE, Yanosky JD, et al. Particulate matter air pollution exposure, distance to road, and incident lung cancer in the nurses' health study cohort[J]. Environ Health Perspect, 2014, 122(9): 926–32. |
| [3] | Atkinson RW, Carey IM, Kent AJ, et al. Long-term exposure to outdoor air pollution and incidence of cardiovascular diseases[J]. Epidemiology, 2013, 24(1): 44–53. DOI:10.1097/EDE.0b013e318276ccb8 |
| [4] | 李玉洁, 陈颖, 王娅杰, 等. PM2.5暴露诱发动脉粥样硬化斑块失稳定发病机制及应对策略思考[J]. 中国中药杂志, 2014, 39(15): 2978–82. [ Li YJ, Chen Y, Wang YJ, et al. Pathogenesis of plaque destabilization induced by PM2.5 exposure and coping strategies[J]. Zhongguo Zhong Yao Za Zhi, 2014, 39(15): 2978–82. ] |
| [5] | 陶永进, 曾娅莉, 邓建军, 等. PM2.5沙尘矿物的6中主要成分致A549细胞遗传毒性研究[J]. 工业卫生与职业病, 2016, 42(5): 321–5. [ Tao YJ, Zeng YL, Deng JJ, et al. Study on genotoxicity of six main kinds of PM2.5 mineral particles in A549 cell[J]. Gong Ye Wei Sheng Yu Zhi Ye Bing, 2016, 42(5): 321–5. ] |
| [6] | Mahalingaiah S, Hart JE, Laden F, et al. Air pollution and risk of uterine leiomyomata[J]. Epidemiology, 2014, 25(5): 682–8. DOI:10.1097/EDE.0000000000000126 |
| [7] | Mahalingaiah S, Hart JE, Laden F, et al. Air pollution exposures during adulthood and risk of endometriosis in the Nurses' Health Study Ⅱ[J]. Environ Health Perspect, 2014, 122(1): 58–64. |
| [8] | Hart JE, Källberg H, Laden F, et al. Ambient air pollution exposures and risk of rheumatoid arthritis[J]. Arthritis Care Res (Hoboken), 2013, 65(7): 1190–6. DOI:10.1002/acr.21975 |
| [9] | 刘莎莎, 敖登其木格, 王红丽, 等. PM2.5通过活化NF-κB途径诱导支气管上皮细胞中血管内皮生长因子的表达[J]. 军事医学, 2015, 39(5): 352–8. [ Liu SS, Aodengqimuge, Wang HL, et al. PM2.5 induces VEGF expression via activation of NF-κB pathway in bronchial epithelial cells[J]. Jun Shi Yi Xue, 2015, 39(5): 352–8. ] |
| [10] | 肖纯凌, 李舒音, 尚德志, 等. PM2.5大气污染物致大鼠呼吸系统病理学变化[J]. 中国公共卫生, 2011, 27(12): 1579–81. [ XIAO Chun-ling, LI Shu-yin, SHANG De-zhi, et al. Pathologic changes in trachea of rats exposed to PM2.5 artificial air pollution[J]. Zhongguo Gong Gong Wei Sheng, 2011, 27(12): 1579–81. DOI:10.11847/zgggws2011-27-12-33 ] |
| [11] | 杨凌, 马琼锦, 李莉珊, 等. PM2.5亚慢性染毒对小鼠肺部炎症及Th17/Treg的影响[J]. 卫生研究, 2014, 43(3): 387–92. [ Yang L, Ma QG, Li LS, et al. Effects of airborne fine particulate matters on pulmonary inflammation injury and Th17/Treg balance of sub-chronic exposure mice[J]. Wei Sheng Yan Jiu, 2014, 43(3): 387–92. ] |
| [12] | 邓元荣, 李泳宁, 黄晓敏, 等. 大气细颗粒物吸入动物模型建立及适用性评价[J]. 中国比较医学杂志, 2016, 26(9): 42–9. [ Deng YR, Li YN, Huang XM, et al. Establishment and evaluation of animal model induced by inhalation injury of airborne fine particulate matter[J]. Zhongguo Bi Jiao Yi Xue Za Zhi, 2016, 26(9): 42–9. ] |
| [13] | 周莉婷, 杨果, 古桂雄, 等. 苏州市独墅湖高教区PM2.5对大鼠呼吸系统急性损伤的研[J]. 环境卫生学杂志, 2016, 6(2): 97–101. [ Zhou LT, Yang G, Gu GX, et al. Acute Injury of Respiratory System in Rats Induced by PM2.5 Collected from Dushu Lake Higher Education Town in Suzhou[J]. Huan Jing Wei Sheng Xue Za Zhi, 2016, 6(2): 97–101. ] |
2017, Vol. 44


