文章信息
- 以胸椎转移为首发症状的甲状腺透明细胞癌1例报道
- Thoracic Vertebrae Metastasis as First Symptom of Clear Cell Carcinoma of Thyroid Gland: A Case Report
- 肿瘤防治研究, 2017, 44(4): 311-312
- Cancer Research on Prevention and Treatment, 2017, 44(4): 311-312
- http://www.zlfzyj.com/CN/10.3971/j.issn.1000-8578.2017.04.016
- 收稿日期: 2016-09-14
- 修回日期: 2016-12-30
甲状腺透明细胞癌是一种非常罕见的甲状腺恶性肿瘤,中国人民解放军武汉总医院收治1例甲状腺透明细胞癌且以胸椎转移为首发症状,临床上较易误诊,现报告如下。
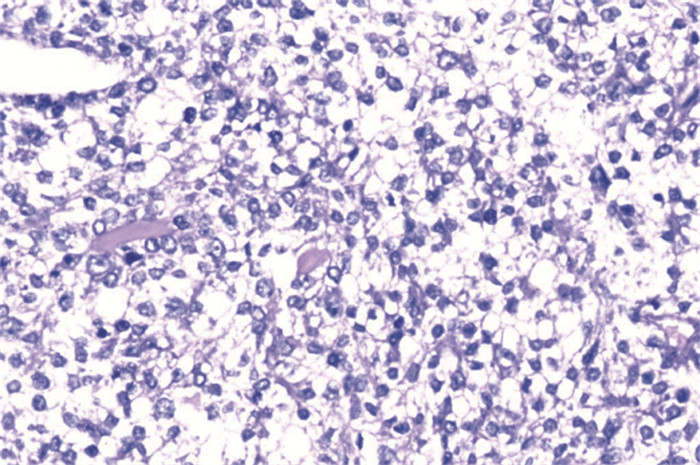
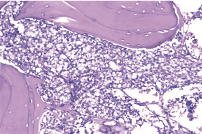
1 临床资料患者,女性,64岁,无明确外伤史。10余年前无明显诱因出现腰背部疼痛,间断性发作,劳累后发作,卧床休息后缓解,反复发作,未行特殊治疗;1月前加重。CT检查:胸12节段局部椎管狭窄,胸椎椎体及椎间盘退行性变,胸12椎体变扁,胸12椎体及右侧附件区骨质密度不均匀增高并夹杂斑片状骨质密度减低区,其骨皮质断裂,周围软组织未见明显肿胀,相应水平骨性椎管稍变窄,考虑恶性骨肿瘤并病理性骨折,见图 1。B型超声印象双侧肾脏未见明显占位。于2014年3月27日行胸12椎体全切占位病变清除钛笼植骨融合内固定术。病理学检查:含骨的碎组织一堆,大小共为6 cm×6 cm×4 cm,切面灰白,实性,质硬。镜下观察:成熟的板层骨中可见瘤细胞排列呈团片状,间质血管丰富,瘤细胞胞质透亮,核染色质细颗粒状,可见核仁,核分裂相不易见,见图 2。免疫组织化学染色:PCK(+),Vimentin(+),Tg(+),TTF-1(+),Ki67约10%阳性,Syn(-),CgA(-),S-100(-),CD34(-),RCC(-),CD10(-)。建议临床对患者甲状腺进行检查,彩超提示:甲状腺左侧叶多发实性结节,右侧叶可见散在小的钙化灶。病理诊断:(胸12椎体)转移癌,结合临床病史及免疫组织化学检查结果考虑:甲状腺癌(透明细胞性)转移。2014年4月10日行双侧甲状腺全切术。病理学检查:(左侧)甲状腺大小5 cm×4 cm×3 cm,切面可见两个直径分别为3 cm和1.2 cm灰红色结节,与周围组织境界清楚;(右侧)甲状腺大小2 cm×1 cm×0.3 cm,切面灰红,实性,质软,未见明显占位。镜下观察:瘤组织与周围正常甲状腺组织境界较清,瘤细胞弥散呈片状分布,无滤泡及乳头样结构形成,瘤细胞胞质透亮,可见核仁,见图 3。免疫组织化学染色:PCK(+), Vimentin(+), Tg(+),TTF-1(+),CD56(+),Ki67约20%阳性,Syn(-),CgA(-),降钙素(-),S-100(-),EMA(-),CK19(-),Galectin-3(-)。特殊染色:刚果红染色(-)。病理诊断:(左侧)甲状腺透明细胞癌。患者后期未作进一步治疗,目前随访2年半,患者身体状况良好。
|
| 图 1 甲状腺透明细胞癌患者胸椎病理性骨折CT图像 Figure 1 CT images of pathological fracture of thoracic vertebrae of patient with clear cell carcinoma of thyroid gland |
|
| 图 2 甲状腺透明细胞癌患者胸椎病变组织HE染色的镜下改变 (HE ×100) Figure 2 Lesion tissue in thoracic vertebrae of patient with clear cell carcinoma of thyroid gland observed under light microscope (HE ×100) |
|
| 图 3 甲状腺透明细胞癌患者甲状腺患者占位的镜下改变 (HE ×100) Figure 3 Thyroid gland mass in patient with clear cell carcinoma of thyroid gland observed under light microscope (HE ×100) |
甲状腺透明细胞癌非常少见,有学者认为应划归于未分化癌;另有观点认为它是甲状腺乳头状癌或滤泡型癌的一种亚型,目前大部分观点倾向于后者。肿瘤由具有胞质透亮的癌细胞构成,癌细胞界限清楚,胞质内富含线粒体及内质网,有文献报道[1]认为是由于促甲状腺素(TSH)的过度分泌导致甲状腺球蛋白的集聚、线粒体及高尔基复合体的增生、糖原合成增多,故瘤细胞的胞质透亮。而本例患者术前TSH、T3、T4和血电解质等各项指标均正常。
甲状腺透明细胞癌由于其临床缺乏特异性,绝大多数以无痛性包块出现,病程发展缓慢,不易引起患者的注意,故诊断非常困难。而本例中以胸椎转移作为首发症状,镜下见瘤细胞弥漫呈团片状分布,间质有丰富的毛细血管,瘤细胞胞质透亮,由于骨是肾透明细胞癌的较常见转移部位,约1/3的肾透明细胞癌会出现骨的转移[2-3],故我们首先考虑的是肾透明细胞癌转移,而影像学检查未发现肾脏明显占位,免疫组织化学染色RCC和CD10均阴性,都不支持肾透明细胞癌转移的诊断。其他少见的可能发生透明细胞癌的器官包括肺、乳腺、前列腺、卵巢、肝脏、甲状腺和甲状旁腺等,进一步免疫组织化学染色发现甲状腺来源的特异性标志物Tg和TTF-1均阳性,临床甲状腺彩超也提示左侧甲状腺占位,故诊断为甲状腺透明细胞癌的转移,随后甲状腺手术切除标本与胸椎占位两者镜下组织学形态及免疫组织化学染色结果均一致,降钙素和刚果红染色阴性也排除了甲状腺髓样癌的可能性,最后诊断(左侧)甲状腺透明细胞癌。甲状腺癌患者发生远处转移的最常见部位是肺,其次是骨骼;肿瘤转移的嗜器官性的机制包括“种子-土壤”学说和“趋化因子-受体”学说等。
综上所述,临床上在遇到以胸椎等骨转移为首发症状的透明细胞癌时,应主动询问病史、并结合影像学和免疫组织化学检查进一步证实转移性透明细胞癌的来源[4],切忌仅凭组织学形态典型和肾透明细胞癌较易发生骨转移得出错误结论而影响治疗。
| [1] | Sauer T, Olsholt R. Clear cell follicular adenoma of the thyroid: a case report[J]. Diagn Cytopathol, 1996, 15(2): 124–6. DOI:10.1002/(ISSN)1097-0339 |
| [2] | Bianchi M, Sun M, Jeldres C, et al. Distribution of metastatic sites in renal cell carcinoma: a population-based analysis[J]. Ann Oncol, 2012, 23(4): 973–80. DOI:10.1093/annonc/mdr362 |
| [3] | Woodward E, Jagdev S, McParland L, et al. Skeletal complications and survival in renal cancer patients with bone metastases[J]. Bone, 2011, 48(1): 160–6. DOI:10.1016/j.bone.2010.09.008 |
| [4] | Alzaraa A, Stone J, Williams G, et al. Direct spread of thyroid follicular carcinoma to the parotid gland and the internal jugular vein: a case report[J]. J Med Case Rep, 2008, 2: 297. DOI:10.1186/1752-1947-2-297 |
2017, Vol. 44
