文章信息
- ABVD方案成功解救难治性弥漫大B细胞淋巴瘤1例报道
- Successful Salage Therapy with ABVD on Refractory Diffuse Large B-cell Lymphoma: A Case Report
- 肿瘤防治研究, 2016, 43(11): 1008-1010
- Cancer Research on Prevention and Treatment, 2016, 43(11): 1008-1010
- http://www.zlfzyj.com/CN/10.3971/j.issn.1000-8578.2016.11.018
- 收稿日期: 2016-06-29
- 修回日期: 2016-08-11
2. 443200 枝江,枝江市人民医院内科
2. Department of Internal Medicine,The People's Hospital of Zhijiang City,Zhijiang 443200,China
ABVD为霍奇金淋巴瘤(Hodgkin’s lymphoma,HL)的一线标准治疗方案,但该方案用于治疗复发/难治非霍奇金淋巴瘤(non-Hodgkin’s lymphoma,NHL)鲜有报道。本研究收治1例难治性弥漫大B细胞淋巴瘤(diffuse large B-cell lymphoma,DLBCL)患者经ABVD成功解救并获持续缓解,现报告如下。
1 病例资料患者,女,56岁,于2011年9月因“触及左颈包块,伴左侧鼻塞、听力下降、头痛”就诊。无发热、盗汗、体重减轻。否认既往特殊病史。患者于2011年11月行鼻咽MRI检查,结果示鼻咽占位病变。鼻咽镜活检病理提示NHL;免疫组织化学结果示:CD20(+),PCK(-),CD3(-),CD56(-),端粒酶B(-)。体检示左上颈多枚肿大淋巴结,最大约2.0 cm×1.5 cm,质韧,无触痛,其余无明显异常。血常规及血生化检查基本正常。血清乳酸脱氢酶(LDH)水平正常。胸部、腹部及盆腔CT未发现其他异常病灶。骨髓细胞学正常。综上诊断:(鼻咽)NHL,Ⅱ期,aaIPI:0分。
患者于2011年11月6日—2012年9月8日按CHOP方案化疗8周期(环磷酰胺750 mg/m2,1 d;长春新碱1.4 mg/m2,1 d;吡柔比星50 mg/m2,1 d;强的松片100 mg/d,5 d),期间于2012年5月2日—6月5日补充鼻咽及颈部放疗,剂量为50 Gy/25 f。治疗结束疗效评估完全缓解(CR)。
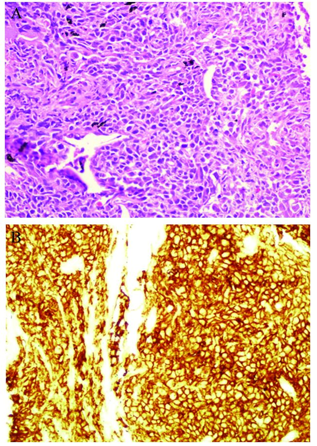
患者于2012年12月因“左腰部疼痛”再次就诊。完善PET-CT检查,结果示:左肾外缘及腹膜后分别见一枚结节状高代谢病灶,考虑淋巴瘤浸润(SUVmaxV别为:17.8,24.47;大小分别为3.1 cm×2.1 cm,2.5 cm×1.8 cm);两肺上叶炎性病变;鼻咽局部未见肿瘤残留征象。复查骨髓细胞学正常,血清LDH水平正常。临床诊断NHL复发,aaIPI:1分。于2012年12月19日—2013年1月15日给予R-CEOP(利妥昔单抗375 mg/m2,1 d;环磷酰胺750 mg/m2,1 d;依托泊苷100 mg/m2,3 d;长春新碱1.4 mg/m2,1 d;强的松片100 mg/d,5 d)方案化疗2周期,复查PET-CT:原左肾结节较前增大(SUVmaxV18,大小约3.7 cm×3.0 cm);腹膜后可见两枚结节病灶(较大一枚SUVmaxV21.62,大小约2.5 cm×2.0 cm);两肺上叶多发结节,代谢增高,考虑淋巴瘤肺浸润(SUVmaxV12.86,最大结节约1.4 cm×1.4 cm);鼻咽仍未见明显恶性肿瘤征象,见图 1。CT引导下肺部结节穿刺活检,提示DLBCL。免疫组织化学结果示:CD20(+),LCA(+),Bcl-2(+),Mum-1(+),Bcl-6(+),CD3(-),CD10(-),Ki-67约70%,见图 2。
|
| A1: chest; A2: abdomen; B1: chest; B2: abdomen 图 1 R-CEOP(A)和ABVD(B)方案化疗后的PET-CT结果 Figure 1 PET-CT result after R-CEOP(A) and ABVD(B) regimen chemotherapy |
|
| A: normal alveolar structure was effaced by a diffuse lymphomatous infiltration,alveolar walls was significantly broadened,there were diffuse distribution of various tumor cells,most of the cells were medium size,nuclear ovoid or fusiform,abundant cytoplasm,slighter eosinophilic,minority dust cells were visible (HE staining ×400) ; B:the tumor cells were strong positive of CD20 (Immunohistochemical staining ×400) 图 2 肺部肿块活检病理结果 Figure 2 Biopsy pathologic results of pulmonary mass |
结合两次病理活检结果,本例患者诊断:难治性DLBCL,Ⅳ期。患者病情继续进展。于2013年3月14日—4月18日给予GemOx方案(吉西他滨:800 mg/m2,d1,d8;奥沙利铂:85 mg/m2,d1)化疗2周期,复查CT示肺部结节缩小减少,腹膜后及左肾病灶无明显变化。继续GemOx方案化疗1周期,患者腰痛症状明显加重,复查腹部CT示腹膜后及左肾病灶明显进展。此时患者一般状况较差,ECOG评分2分,于2013年6月1日开始给予ABVD方案(吡柔比星:25 mg/m2,d1,d15;博来霉素,10 mg/m2,d1,d15;长春新碱,1.4 mg/m2,d1,d15;氮烯咪胺,375 mg/m2,d1,15)化疗4周期,1周期后腰痛症状缓解,2周期后评估疗效CR。于2015年1月8日复查PET-CT仍未见明显高代谢病灶。随访至2016年7月27日,该患者仍是缓解状态,缓解持续时间超过2年。该患者拒绝行造血干细胞移植,目前仍在随访中。
2 讨论高剂量化疗序贯自体干细胞移植虽然是对化疗敏感的复发/难治DLBCL患者的首选治疗手段,但是并非所有患者都适合并接受这种治疗方式。针对不行移植的复发/难治DLBCL患者,目前尚无标准治疗方案。单药方案,包括奥伐木单抗(Obinutuzumab)、来那度胺(Lenalidomide)、依维莫司(Everolimus)等,缓解率从19%~55%不等[1-4]。而对于联合化疗,DHAP(地塞米松、大剂量阿糖胞苷、顺铂)、ESHAP(依托泊苷、甲强龙、大剂量阿糖胞苷、顺铂)、ICE(异环磷酰胺、卡铂、依托泊苷)和本例患者使用的GemOx等都是常用方案,客观缓解率(ORR)约60%,CR率约35%[5-7]。根据既往临床研究结果,对于初始治疗不包含利妥昔单抗的复发/难治DLBCL患者,利妥昔单抗联合传统解救化疗,ORR可达60%~80%,CR率可高达73%[6]。但本例患者复发后使用利妥昔单抗及GemOx方案均无效,进一步提示预后不佳。
ABVD是HL的标准治疗方案,至今在HL中的地位仍不可替代,毒性低是其重要特点,但其在NHL中的作用鲜有文献提及。Yu等回顾性比较ABVD与CHOP方案初治高危NHL患者,疗效并没有明显差异[8]。杨瑞芬等对复发/难治NHL患者行ABVD方案化疗,CRR接近60%,ORR高达84.6%[9],提示ABVD不只对HL,对NHL也有一定疗效。由于ABVD方案与NHL的常用化疗方案,如CHOP、含铂方案等存在非交叉用药,且在长期临床应用中表现出毒性低、费用低的特点,所以也会用于复发/难治NHL的解救化疗。本例患者在经历多疗程化疗后病情进展,化疗耐受性明显减弱,同时因经济原因无法承担昂贵的靶向治疗。考虑ABVD方案与原方案具有无交叉耐药药物,不良反应相对较低,故选择ABVD方案解救化疗。结果在未行移植情况下,该患者仍然获得较长时间缓解。所以,除了不断研究开发新药和新的治疗方案之外,ABVD这种在临床应用多年,安全性已得到充分证实的经典方案,在NHL,尤其是不能耐受大剂量治疗的复发/难治NHL中的疗效值得进一步研究。
| [1] | Gabellier L, Cartron G. Obinutuzumab for relapsed or refractory indolent non-Hodgkin’s lymphomas[J]. Ther Adv Hematol, 2016, 7 (2) : 85–93. DOI:10.1177/2040620715622613 |
| [2] | Witzig TE, Nowakowski GS, Habermann TM, et al. A comprehensive reviewof lenalidomide therapy for B-cell non-Hodgkinlymphoma[J]. Ann Oncol, 2015, 26 (8) : 1667–77. DOI:10.1093/annonc/mdv102 |
| [3] | Mondello P, Steiner N, Willenbacher W, et al. Lenalidomide in Relapsed or Refractory Diffuse Large B-Cell Lymphoma: Is It a Valid Treatment Option?[J]. Oncologist, 2016, pii: theoncologist. 2016-0103. [Epub ahead of print] . |
| [4] | Merli M, Ferrario A, Maffioli M, et al. Everolimus in diffuse large B-cell lymphomas[J]. Future Oncol, 2015, 11 (3) : 373–83. DOI:10.2217/fon.14.264 |
| [5] | Wan J. DHAP regimen for relapsed and refractory non Hodgkin's lymphoma: an observation of the efficacy[J]. Yi Yao Qian Yan, 2013, 17 : 210. [ 万军. DHAP方案治疗复发难治性非霍奇金淋巴瘤的疗效观察[J]. 医药前沿, 2013, 17 : 210. ] |
| [6] | Lukenbill J, Hill B. Relapsed/refractory diffuse large B-cell lymphoma: review of the management of transplant-eligible patients[J]. Leuk Lymphoma, 2015, 56 (2) : 293–300. DOI:10.3109/10428194.2014.910660 |
| [7] | Jo JC, Baek JH, Lee JH, et al. Biweekly dose-dense and gemcitabine -oxaliplatin dexamethasone for relapsed/refractory aggressive non-Hodgkin lymphoma: A multicenter,single-arm,phase Ⅱ trial[J]. Asia Pac J Clin Oncol, 2016, 12 (2) : 159–66. DOI:10.1111/ajco.2016.12.issue-2 |
| [8] | Yu D, Deng H, Fan Y, et al. A randomized study of comparison of regimen ABVD vs. CHOP in patients with intermediate and high grade lymphoma[J]. Ann Oncol, 1999, 10 (Suppl 3) : 105. DOI:10.1093/annonc/10.suppl_3.105 |
| [9] | Yang RF, Zhou MX, Li F, et al. ABVD regimen for relapsed and refractory non Hodgkin's lymphoma[J]. Shi Yong Yi Xue Za Zhi, 2001, 17 (1) : 74. [ 杨瑞芬, 周明宣, 李烽, 等. 以ABVD方案治疗复发及难治性非霍奇金淋巴瘤[J]. 实用医学杂志, 2001, 17 (1) : 74. ] |
2016, Vol. 43


