引用本文 |
孟志英. 宫颈癌足骨转移1例报道并文献复习[J]. 肿瘤防治研究, 2015, 42(10): 1059-1060.

MENG Zhiying. One Case Report of Foot Bone Metastasis from Uterine Cervix Cancer and Literature. Cancer Research on Prevention and Treatment, 2015, 42(10): 1059-1060.

收稿日期: 2014-08-18; 修回日期: 2014-09-27
作者简介: 孟志英(1974-),女,硕士,副主任医师,主要从事妇科肿瘤方面的研究
One Case Report of Foot Bone Metastasis from Uterine Cervix Cancer and Literature
Department of No.1 Gynecology, Anyang Tumor Hospital Anyang 455000, China
0 引言
宫颈癌是妇科常见恶性肿瘤,晚期常发生远处转移,最常见于淋巴结转移,骨转移发生率较低,约为0.8%~2.3%[1],也常转移至腰椎、胸椎、髂骨、骶骨、髋骨、肋骨、股骨等部位,罕见于头骨,目前国内外尚未见发生于四肢末端骨转移的报道,安阳市肿瘤医院妇一科现发现1例报道如下。
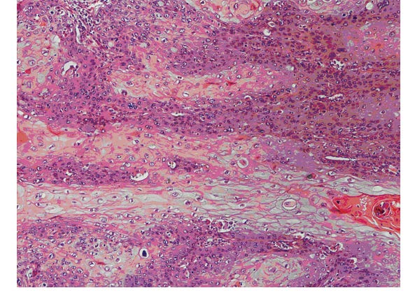
1 临床资料患者,女,49岁。主诉:月经紊乱1年,接触性阴道出血1年。妇科检查:外阴:阴毛呈女性分布,已婚已产式;阴道:通畅,黏膜光滑,穹隆消失;宫颈:结节状,直径5 cm,质糟脆,触血阳性;宫体:平位、大小正常、活动度好;附件:双侧附件区未触及异常肿物;宫旁:双侧宫旁组织结节与盆壁无间隙,弹性差。行宫颈活检辅助检查:鳞状细胞癌Ⅱ级,见图 1。彩超:右肾集合系统分离、宫颈占位、双肾积水、右侧输尿管扩张。盆腔MRI:宫颈处团块状等T1等T2信号肿物影,信号较均匀,境界不清,结合带消失。肿物侵及宫体,宫颈浆膜面模糊,肿物大小范围约4.3cm×9.0 cm。诊断:宫颈鳞癌Ⅲb期结节型。采用调强适形放疗,完成 PTV(planning target volume):DT 54 Gy/30 f,每次1.8 Gy,每周5次。放疗期间给以顺铂100 mg增敏(10 mg,静脉注射,1天1次,共10次)。行腔内后装放疗6次,A点剂量42Gy。放疗后采用PF[顺铂(50 mg/m2)+5-氟尿嘧啶(750 mg/m2)]方案全身化疗3周期。宫颈局部肿物消除满意,但治疗结束后14月出现阴道外口结节,直径2 cm。肿物活检:低分化癌。阴道转移诊断明确。行阴道结节插植放疗2次,剂量20Gy,并局部注射5-氟尿嘧啶3次,每次500 mg。采用吉西他滨+顺铂方案化疗2疗程治疗结束。15月后出现右脚肿胀、疼痛。ECT检查:全身骨骼显像清晰,结构完整,右侧足背骨可见异常放射性分布浓聚区,见图 2。核磁:右足部分跖骨、舟骨、距骨及部分根骨骨质破坏,呈长T1长T2信号改变,抑脂序列呈高信号,边界模糊,周围见软组织肿物,边界不清,关节间隙消失,见图 3。考虑右足骨转移。采用6 MV-X行右足部放疗,对穿照射,每野150 cGy/次,共10次。期间给予唑来膦酸4 mg每月1次静脉滴注,并给予恩度靶向治疗、口服药物镇痛等,疼痛较前减轻。17月后胸部CT提示:左肺下叶见数个结节影,最大者直径约0.9cm,边界清,轻度强化,考虑肺转移。采用紫杉醇+奥沙利铂方案化疗6次。从发病到死亡患者总生存期37月,骨转移后生存期22月。
2 讨论宫颈癌骨转移常见的临床症状是疼痛,由于骨质破坏,还可发生病理性骨折,严重影响患者的生活质量。骨转移的诊断标准如下:(1)出现局部间歇性骨痛或持续而固定的骨痛、邻近压迫症状;(2)骨显像病变部位无规律的放射性物质聚集浓度高于健侧或邻侧对照区;(3)X线、CT或MRI扫描发现局部骨组织有溶骨性或成骨性改变、骨质隆起、病理性骨折;(4)随访发现病灶持续存在或范围进一步扩大[2]。妇科恶性肿瘤骨转移的好发部位以椎骨为首,其次为骨盆,最后为全身各长骨[3, 4]。宫颈癌的骨转移方式多为直接蔓延、淋巴结转移的局部蔓延和远处的血行转移。国内有1例宫颈癌颅骨转移的报道[5],本例足骨转移实属罕见,因远处转移故考虑血行转移所致。宫颈癌多采用综合性姑息治疗以缓解疼痛、恢复功能、改善生活质量;预防或延缓病理性骨折;控制肿瘤进展,延长生存期,其中,缓解疼痛,改善生活质量是骨转移治疗的首要目标。放疗是治疗骨转移的最有利方法,可结合化疗、双膦酸盐及辅助性镇痛药等。另外还有射频消融、冷冻消融、骨水泥成形术等治疗手段,可有效缓解骨痛,减少病理性骨折的发生。宫颈癌发生骨转移时预后极差,平均生存时间仅为7月,发生骨转移的患者从宫颈癌的诊断到死亡的时间平均小于24月[6]。本文患者发生右足骨转移后生存期接近24月,总生存期超过36月,明显长于文献报道的平均生存时间,可能与患者的原发灶控制较好有关。