文章信息
- 况晶,张杨鸽龄,邓云特,毛永荣,常青. 2015.
- KUANG Jing, ZHANG Yanggeling, DENG Yunte, MAO Yongrong, CHANG Qing. 2015.
- 子宫性索样肿瘤2例报道并文献复习
- Uterine Tumors Resembling Ovarian Sex-cord Tumors:Two Cases Report and Literature Review
- 肿瘤防治研究, 2015, 42(09): 947-949
- Cancer Research on Prevention and Treatment, 2015, 42(09): 947-949
- http://www.zlfzyj.com/CN/10.3971/j.issn.1000-8578.2015.09.019
-
文章历史
- 收稿日期:2014-12-24
- 修回日期:2015-04-24
子宫性索样肿瘤(uterine tumors resembling ovarian sex-cord tumors,UTROSCT)非常罕见,国内外文献报道均较少,最先由Morehead和Bowman在1945年进行了报道[1]。本文报道2例并结合文献进一步分析其临床病理学特征、诊断、鉴别诊断、治疗及预后,以提高对该肿瘤的认识。
1 资料与方法 1.1 临床资料例1,2014年7月会诊病例:女,29岁,因月经不规则就诊,2014年6月在当地医院行子宫分段诊刮术。例2,2014年6月会诊病例:女,30岁,因月经不规则、继发性不孕及输卵管积水就诊,2014年6月在当地医院行子宫分段诊刮术。
1.2 方法诊刮组织经4%中性甲醛固定,石蜡包埋,4 μm厚连续切片,HE染色,光学显微镜观察。免疫组织化学(immunohistochemistry,IHC)采用EnVision 法染色,所用一抗PCK、CD10、SMA、α-inhibin、CD56、WT-1、Ki-67均购自基因生物技术有限公司,DAB显色,操作步骤严格按说明书进行。
2 结果 2.1 巨检例1:灰白灰红不整形组织一堆3 cm×2.5 cm×0.8 cm大小,质软。例2:灰白色不整形组织一堆,2 cm×1.5 cm×1 cm大小,质软。
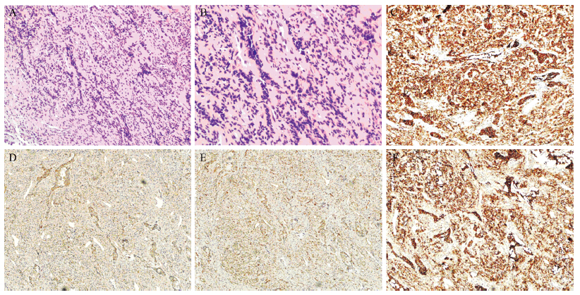
2.2 镜检例1:弥漫小圆形及短梭形细胞中见不规则小条索样排列的细胞巢:前者细胞核圆形、染色质细颗粒状,均匀分布,核仁不明显,胞质淡染嗜伊红,边界不清;后者细胞圆形为主,部分卵圆形,染色较前者深,未见核仁及核沟,胞质较少;细胞呈单层、复层条索样排列,部分呈腺样排列,见图 1A~1B。
|
| A:irregular nests of small line arrangement in diffused small circular and short spindle cells (HE ×40);B:round tumor cell nucleus and granular chromatin (HE ×100);C:CD10 positive expression (IHC ×100);D:CD99 positive expression (IHC ×100);E:WT-1 positive expression (IHC ×100); F:CD56 positive expression (IHC ×100) 图 1 低度恶性子宫内膜间质肉瘤伴性索样分化,组织HE和免疫组织化学结果 Figure 1 HE and immunohistochemical staining of low-grade endometrial stromal sarcoma with sex cord-like differentiation |
例2:肿瘤组织呈索状及腺样生长,瘤细胞中等大小,椭圆形或多角形,胞质嗜酸性,核类圆形、空亮,染色质分布均匀,偶见核沟、核仁不明显,未见核分裂,见图 2A~2B;另见数块子宫内膜组织,其腺体扩张、弯曲;间质见厚壁血管增生及少量淋巴细胞浸润,未见脉管内瘤栓及明显出血坏死。
|
| A:cord-and gland-like tumor cells (HE ×40);B:tumor cells in medium size (HE ×100);C:α-inhibin positive expression (IHC ×100);D:PCK positive expression (IHC ×100);E:WT-1 positive expression (IHC ×100);F:CD56 strongly positive expression (IHC ×100) 图 2 子宫性索样肿瘤组织HE及免疫组织化学结果 Figure 2 HE and immunohistochemical staining of uterine tumors resembling ovarian sex-cord tumors(UTROSCT) |
例1:CD10、CD56、WT-1和CD99阳性,见图 1C~1F;α-inhibin(性索样成分部分+); Calretinin、SMA和HHF35阴性;Ki-67(LI<10%)。
例2:PCK、α-inhibin、CD56和WT-1阳性,见图 2C~2F;CD10、SMA阴性;Ki-67(局灶20%)。
2.4 病理诊断例1:低度恶性子宫内膜间质肉瘤,伴性索样分化;例2:子宫性索样肿瘤。
2.5 治疗及随访例1行全子宫及双侧附件切除,例2行刮宫术治疗,随访至成稿日期,均未见复发等症状。
3 讨论子宫性索样肿瘤首先由Clement和Scully于1976年报道,该肿瘤由多能子宫间叶细胞分化而来[1],根据其性索样分化及子宫内膜间质肿瘤成分的不同比例将其分为两个亚型:Ⅰ型,子宫内膜间质结节或肉瘤,形态类似卵巢性索-间质肿瘤,称为子宫内膜间质肿瘤伴局灶性索结构(endometrial stromal tumors with sex cord-like elements,ESTSCLE),此型易复发,本组例1属Ⅰ型;Ⅱ型,主要或完全由性索样成分组成,称为类似卵巢性索肿瘤的子宫肿瘤(classic uterine tumor resembling ovarian sex-cord tumors,classic UTROSCT),肿瘤边界清楚,罕见复发[2, 3],本组例2属Ⅱ型。
Ⅰ型肿瘤通常只表达一种性索样肿瘤标志物,并且其细胞遗传学表型显示内膜间质肿瘤特有的位点突变t[7;17],[p15;q21],并导致特征性的JAZF1-JJAZ1基因融合,然而这些细胞遗传学在经典型UTROSCT中并不存在,故多数学者认为此两型肿瘤并不为同一类型来源肿瘤[4, 5],并且Ⅰ型肿瘤较Ⅱ型肿瘤侵袭性更强、生存期明显降低[1]。
本文复习国内2010—2014年报道的Ⅱ型肿瘤病例,经统计分析发现其发病年龄位于33~70岁之间,平均年龄约为45岁;大部分患者因阴道不规则出血就诊,少数患者因盆腔肿物就诊;通常肿瘤细胞表达两种性索标志物,如Calretinin、α-inhibin、CD99、WT-1或CD10[4, 5],也可表达上皮、平滑肌或间叶组织标志物;治疗方式:在没有ESTSCLE型(Ⅰ型)、远处转移、淋巴管及血管浸润这些危险因素时,肿瘤剔除、全子宫切除或全子宫+双附件切除+盆腔淋巴结清扫手术均为适合方案[6, 7, 8, 9, 10],见表 1。另有文献报道在统计的43例UTROSCT病例中ER阳性率71.4%,PR阳性率88.9%,那么在将来激素治疗也可能会是UTROSCT治疗的新选择[1]。然而,由于目前报道此类病例数量太少,尚不足以进行统计学方差分析。
![]() |
鉴别诊断:Ⅰ型肿瘤主要与类似卵巢性索肿瘤的子宫肿瘤相鉴别,前者经常复发,而后者行为是良性;Ⅱ型肿瘤则需与以下疾病相鉴别:(1)上皮样平滑肌瘤,该肿瘤可呈巢状或条索样排列,但是性索样成分的瘤细胞形态更为多样;(2)子宫内膜样腺癌伴性索样分化,该病例可出现局灶或广泛的性索样分化,但大多数病例可见典型的子宫内膜样腺癌成分或鳞状分化,不表达性索分化相关标记[4, 5]。
治疗及预后:Ⅰ型肿瘤边界清楚者为良性,具有浸润性边缘病例临床行为类似低级别子宫内膜间质肉瘤,少数病例复发,治疗以手术切除为主;Ⅱ型肿瘤常为良性,极少数复发,年轻女性考虑保留生育功能时可采用保守处理。
由于两者发病率均很低,更多相关临床及病理特征需要进一步研究。
| [1] | Blake EA, Sheridan TB, Wang KL, et al. Clinical characteristics and outcomes of uterine tumors resembling ovarian sex-cord tumors (UTROSCT): a systematic review of literature[J]. Eur J Obstet Gynecol Reprod Biol, 2014, 181: 163-70. |
| [2] | Mačák J, Dundr P, Dvořáčková J, et al. Uterine tumors resembling ovarian sex cord tumors (UTROSCT). Report of a case with lymph node metastasis[J]. Cesk Pathol, 2014, 50(1): 45-9. |
| [3] | Kalampokas T, Sofoudis C, Anastasopoulos C, et al. Effect of tamoxifen on postmenopausal endometrium[J]. Eur J Gynaecol Oncol, 2013, 34(4): 325-8. |
| [4] | Pradhan D, Mohanty SK. Uterine tumors resembling ovarian sex cord tumors[J]. Arch Pathol Lab Med, 2013, 137(12): 1832-6. |
| [5] | Staats PN, Garcia JJ, Dias-Santagata DC, et al. Uterine tumors resembling ovarian sex cord tumors (UTROSCT) lack the JAZF1–JJAZ1 translocation frequently seen in endometrial stromal tumors[J]. Am J Surg Pathol, 2009, 33(8): 1206-12. |
| [6] | Zhao H. Uterine sex cord-like tumors: clinical and pathological analysis of 5 cases[J]. Zhongguo Xue Ye Liu Bian Xue Za Zhi, 2010, 20(1): 146-8. [赵华. 子宫性索样肿瘤5例临床病理分析[J].中国血液流变学杂志, 2010, 20(1): 146-8.] |
| [7] | Li L, Zhu BH. Uterine sex cord-like tumors: clinical and pathological analysis of 5 cases[J]. Nantong Da Xue Xue Bao, 2010, 30(6): 492-3, Cover 2. [李莉, 朱宝华. 子宫性索样肿瘤1例临床病理分析[J]. 南通大学学报, 2010, 30(6): 492-3, 封2.] |
| [8] | Dong YH, Zhan ZL, Sun BC. Uterine sex cord-like tumors: a clinical and pathological analysis[J]. Zhen Duan Bing Li Xue Za Zhi, 2012, 19(4): 291-3. [董元焕, 战忠利, 孙保存. 子宫性索样肿瘤临床病理观察[J]. 诊断病理学杂志, 2012, 19(4): 291-3.] |
| [9] | Lv YT, Wu N, Yu B, et al. Uterine sex cord-like tumors: clinical and pathological analysis of 3 cases[J]. Lin Chuang Yu Shi Yan Bing Li Xue Za Zhi, 2014, 30(5): 494-7. [吕艳婷, 吴楠, 余波, 等.子宫性索样肿瘤3例临床病理分析[J]. 临床与实验病理学杂志, 2014, 30(5): 494-7.] |
| [10] | Du JY, Guo Y. Uterine tumors resembling ovarian sex-cord tumors: a clinical and pathologica study[J]. Zhen Duan Bing Li Xue Za Zhi, 2014, 21(9): 553-6.[都吉雅, 郭彦. 似于卵巢性索肿瘤的子宫肿瘤临床病理观察[J]. 诊断病理学杂志, 2014, 21(9): 553-6.] |
2015, Vol. 42



