文章信息
- 高云阁,翟树森,崔庆超,张瑞萍. 2015.
- GAO Yunge, ZHAI Shusen, CUI Qingchao, ZHANG Ruiping. 2015.
- 胃弥漫大B细胞淋巴瘤同时并发胃癌1例报道
- A Case Report of Synchronous Gastric Cancer and Gastric Diffuse Large B-Cell Lymphoma
- 肿瘤防治研究, 2015, 42(08): 859-860
- Cancer Research on Prevention and Treatment, 2015, 42(08): 859-860
- http://www.zlfzyj.com/CN/10.3971/j.issn.1000-8578.2015.08.024
-
文章历史
- 收稿日期:2014-10-31
- 修回日期:2015-03-10
胃癌是国内外常见的恶性肿瘤,原发胃淋巴瘤是原发胃、起源于胃黏膜下层淋巴组织的恶性肿瘤,居胃部恶性肿瘤第2位[1],但胃弥漫大B细胞淋巴瘤同时并发胃癌未见文献报道。解放军第306医院收集1例,现报道如下。
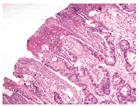
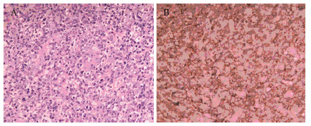
1 病例资料患者,男,69岁,主因呕血10 h入院。患者于2013年9月7日凌晨1:00时无明显诱因出现恶心,继之出现呕吐,呕吐物为鲜红色血样胃内容物,约300 ml,伴有头晕、心悸、一过性意识丧失,就诊解放军第306医院急诊科并入消化科,诊断上消化道出血。患者既往有2型糖尿病及高血压病史22年,血糖及血压控制良好,无肝炎病史,无吸烟饮酒史。入院时查体血压160/60 mmHg,贫血貌,浅表淋巴结无肿大,心率98次/分,律齐,无杂音,双肺无罗音,全腹无压痛,肝脾不大,肠鸣音活跃,双下肢无浮肿。血常规提示血红蛋白94 g/L,大便隐血阳性、生化检查无异常、肿瘤标志物无异常。9月8日行胃镜检查提示慢性萎缩性胃炎,十二指肠球部炎,镜下胃镜未见活动性出血,给予止血对症治疗,于9月9日再次出现恶心、心悸、大汗,胃管引流出鲜红色血性胃内容物100 ml,血压由160/60 mmHg降至120/70 mmHg,考虑存在失血性休克,急请普外科会诊,建议行急诊手术治疗。于9月9日22时行胃部分切除术,术中见小肠内大量血性液体,胃体胃大弯侧后壁触及大小约3 cm×2 cm的胃壁肿物,质地稍硬,肿物表面可见0.3 cm×0.3 cm大小溃疡,无活动性出血,行肿物切除术,未行淋巴结清扫。术后病理回报:胃黏膜内弥漫性大B细胞性淋巴瘤,生发中心B细胞样型,范围2.0 cm×1.5 cm,局部累及黏膜下层,切缘未见肿瘤组织。幽门螺杆菌检查(-)。免疫组织化学染色显示肿瘤细胞:Bcl-2(-)、CD3(反应细胞+)、CD5(反应细胞+)、CD20(+)、CD10(+)、CK (AE1)(-)、Ki-67(+,70%~80%)、CD30(-)、CD79α(+)、Bcl-6(+)、CD21(+)、Mum-1(少数细胞+),见图 1。患者于2013年10月7日转入血液肿瘤科。入科后完善检查,骨髓涂片及骨髓活检未见肿瘤细胞,PET-CT示胃部分切除术后,吻合口、腹部切口、胃壁大弯侧代谢活性增高灶,考虑术后改变可能性大,随访观察。诊断胃弥漫性大B细胞性淋巴瘤IE A期。于2013年10月12日、11月6日、11月27日,行R-CHOP方案化疗,患者体表面积1.9 m2,具体用药:利妥昔单抗700 mg,化疗前1天,静脉滴注;长春新碱2 mg,d1,静推;环磷酰胺1 200 mg,d1,静脉滴注;表阿霉素110 mg,d1,静脉滴注;地塞米松12 mg,d1~5,静推。化疗后出现3度骨髓抑制,对症治疗后好转。化疗后第2周期复查胃镜及腹部超声未见异常。化疗后第3周期于2013年12月18日复查胃镜见与胃窦交界处大弯侧可见2.5 cm×2.0 cm片状充血、糜烂,表覆少量白苔,病理诊断中-低分化腺癌,见图 2。于2014年1月行胃全切手术,术后病理胃示中-低分化腺癌,诊断胃腺癌Ⅰ期。患者及家属不同意继续完成淋巴瘤化疗,现随诊中且病情稳定。
|
| A:gastric mucosa diffuse large B-cell lymphoma (HE ×100);B:gastric mucosa diffuse large B-cell lymphoma CD20(+)(IHC ×100) 图 1 胃弥漫性大B细胞性淋巴瘤病理观察 Figure 1 Pathological observation of gastric diffuse large B-cell lymphoma |
|
| 图 2 胃腺癌病理观察(HE ×40) Figure 2 Pathological observation of gastric adenocarcinoma (HE ×40) |
近年来恶性淋巴瘤发病率明显上升,原发胃肠淋巴瘤是结外淋巴瘤最常见的发病部位,国内统计占所有结外淋巴瘤19.1%,最常见的病理类型是弥漫大B细胞淋巴瘤,在胃的原发淋巴瘤中侵袭性的弥漫大B细胞淋巴瘤约占55%[2]。偶见文献报道胃淋巴瘤和胃腺癌同时性及异时性发生,多为胃黏膜相关淋巴瘤与胃腺癌并发[3, 4, 5],未见胃弥漫大B细胞淋巴瘤与胃腺癌同时性并发的报道。胃淋巴瘤预后好于胃腺癌,预后依据各自的分期[6]。该例患者在发病时诊断明确为胃弥漫大B细胞淋巴瘤,仅在治疗后2月常规复查胃镜时发现胃腺癌,实属罕见。该患者胃癌病期较早,手术治疗后预后好。目前多原发癌的发病率也日益增高,发病机制未明,可能与遗传、个体敏感度、机体免疫状态、医源性因素、内分泌因素、环境和职业有关[7]。该病例提示临床工作中尤其是胃弥漫大B细胞淋巴瘤在治疗中复查胃镜的重要性,胃癌发生是否与化疗及靶向治疗有关未见文献报道,但需有待进一步探讨。
| [1] | Zinzani PL, Maganoli M, Pagliani G, et al. Primary intestinal lymphoma:clinical and therapeutic features of 32 patients[J]. Haematologica, 1977, 82(3):305-8. |
| [2] | Shi YK. Lymphoma[M]. Beijing, Beijing Medical University Press, 2007:308.[石远凯.淋巴瘤[M].北京, 北京大学医学出版社, 2007:308.] |
| [3] | Wotherspoon AC, Isaacson PG. Synchronous adenocarcinoma and low grade B-cell lymphoma of mucosa associated lymphoid tissue (MALT) of the stomach[J]. Histopathology, 1995, 27(4):325-31. |
| [4] | Zauber NP, Berman EL. Synchronous and metachronous primary gastric lymphoma and adenocarcinoma:a clinicopathologic study of 12 patients[J]. Cancer, 1998, 82(1):226-7. |
| [5] | Hamaloglu E, Topaloglu S, Ozdemir A, et al. Synchronous and metachronous occurrence of gastric adenocarcinoma and gastric lymphoma:a review of the literature[J]. World J Gastroenterol, 2006, 12(22):3564-74. |
| [6] | Namikawa T, Munekage E, Fukudome I, et al. Clinicopathological characteristics and therapeutic outcomes of synchronous gastric adenocarcinoma and gastric lymphoma[J]. Anticancer Res, 2014, 34(9):5067-74. |
| [7] | Kim HG, Ryu SY, Lee JH, et al. Clinicopathologic features and prognosis of synchronous multiple gastric carcinomas[J]. Acta Chir Belg, 2012, 112(2):148-53. |
2015, Vol. 42
