文章信息
- 王鹏飞,王涛,黄晓俊,王祥,张德奎,樊红,冯彦虎,王伟,吴静. 2015.
- WANG Pengfei, WANG Tao, HUANG Xiaojun, WANG Xiang, ZHANG Dekui, FAN Hong, FENG Yanhu, WANG Wei, WU Jin. 2015.
- 大肠癌中Pokemon的表达及与前哨淋巴结微转移的关系
- Relationship Between Pokemon Expression and Sentinel Lymph Node Micro-metastasis in Colorectal Cancer
- 肿瘤防治研究, 2015, 42(06): 587-590
- Cancer Research on Prevention and Treatment, 2015, 42 (06): 587-590
- http://www.zlfzyj.com/CN/10.3971/j.issn.1000-8578.2014.09.002
-
文章历史
- 收稿日期:2014-06-22/dd>
- 修回日期:2014-12-12
2. 730000 兰州,甘肃省人民医院普外科;
3. 100038 北京,北京大学第九临床医学院北京世纪坛医院消化内科
2. Department of General Surgery, People’s Hospital of Gansu Province, Lanzhou 730000, China;
3. Department of Gastroenterology, Beijing Shijitan Hospital,Beijing 100038, China
Pokemon原癌基因[1]即POK红系髓性致癌因子(POK erythroid myeloid ontogenic factor),位于多种癌基因的上游,可促使癌基因引起细胞恶变,被认为是肿瘤的总开关。前哨淋巴结(sentinel lymph node,SLN)是最先接受大肠癌引流的淋巴结,检测SLN可以准确反映区域淋巴结的状况,敏感度可达88%~100%[2, 3, 4]。Pokemon是否会促进大肠癌前哨淋巴结微转移(sentinel lymph node micro-metastasis,SLNMM)? 目前尚无此方面的研究。本研究采用反转录酶聚合酶链反应(reverse transcriptase polymerase chain reaction,RT-PCR)与免疫组织化学(Immunohistochemistry,IHC)的方法探索大肠癌组织中Pokemon的表达及其与前哨淋巴结微转移的关系,并结合临床资料探索联合检测Pokemon与前哨淋巴结CK20蛋白在大肠癌预后判断中的作用。 1 资料与方法
1.1 一般资料
58例Dukes A-B期大肠癌组织、癌以远组织(距癌组织>5 cm)取自2007—2008年武威市人民医院、武威市肿瘤医院和甘肃省人民医院经手术治疗的大肠癌患者,其中56例前哨淋巴结定位并取材成功。男32例、女24例;结肠癌22例,直肠癌34例;年龄24~83岁,平均年龄59.2岁。RT-PCR中使用的组织取材后迅速置于液氮后转于-80℃条件保存。IHC中使用的组织由中性甲醛立即固定后石蜡包埋。癌组织均经病理学确认,前哨淋巴结经常规病理HE染色无癌细胞转移。所有患者术前均未行放化疗,56例前哨淋巴结取材成功的患者术后随访满60月。存活患者生存期为手术之日起至随访终止的实际时间,死亡患者生存期为手术之日起至转移复发死亡时间。 1.2 主要试剂
TakaRa RNA PCR Kit(AMV)Ver.3.0购自宝生物(大连)有限公司;Pokemon兔抗人多克隆抗体(编号:bsh-0511R)购自北京博奥森生物技术有限公司,工作浓度1∶100; 鼠抗人细胞角蛋白(cytokeratin20,CK20)单克隆抗体购自北京中杉金桥生物技术有限公司,工作浓度1∶150;即用型ABC试剂盒(KIT-9706)、DAB(DAB-0031)试剂盒购自福州迈新生物技术开发公司;总RNA抽提试剂TRIzol与琼脂糖购自生工生物工程(上海)股份有限公司。 1.3 方法
1.3.1 Pokemon mRNA表达的检
测 (1)引物设计:根据Genbank提供的编号为NM_015898的Pokemon mRNA序列和编号为BC002409的β-actin mRNA序列(内参),使用Primer Premier5.0软件设计,Oligo6.0软件评价筛选得到两对引物。Pokemon上游引物:5’-CCTTTGCCCACAACTACGACC-3’,下游引物:5’-CCCTGCCATCACCAGACCCT-3’,其PCR产物长度为1 492 bp;β-actin上游引物:5’-AGCGAGCATCCCCCAAAGTT-3’,下游引物:5’-GGGCACGAAGGCTCATCATT-3’,其PCR产物长度为285 bp。(2)总RNA的提取:使用TRIzol从经液氮研磨的组织中提取。(3)反转录反应:使用两步法RNA PCR Kit(AMV)Ver.3.0进行操作,反转录反应体系为10 μl,参数如下:30℃ 10 min→42℃ 30 min→99℃ 5 min→5℃5 min,一次循环;PCR体系为50 μl,参数如下:94℃ 5 min→(94℃ 30 s→54℃ 30 s→72℃ 1 min)30次循环→72℃ 5 min→4℃备用。PCR产物通过1.8%琼脂糖凝胶电泳显示结果,150 V,50 min,通过GEL-PRO软件采集电泳图像,利用Quantity One 4.6.2(Bio-Rad,USA)软件进行背景排除和高斯建模分析图像,采集Pokemon目的条带和β-actin目的条带的灰度值,用前者除以后者得到Pokemon的相对值。 1.3.2 Pokemon蛋白表达的检测
以试剂盒自带的阳性免疫组织化学染色结果为阳性对照,以PBS替代第一抗体的大肠癌组织和前哨淋巴结免疫组织化学染色结果为阴性对照。染色阳性信号以细胞核和细胞质着色为准,呈棕黄色颗粒,细胞染色强度明显高于背景呈棕黄色者为阳性细胞。 1.3.3 前哨淋巴结的定位取材及检测
结肠癌及肿瘤位于腹膜返折线以上可行Dixon术式的直肠癌患者行体内染料定位法。手术开腹,充分暴露肿瘤所在肠段,于肿瘤周围的结直肠浆膜下分外上、外下、内上、内下四点用4.5号针头注射1%专利蓝2~3 ml,5 min内追寻最先被蓝染的淋巴结并做相应缝线标记,而后行根治性切除术(凡第一个被蓝染的淋巴结均应在切除范围之内);对于腹膜返折线以下以及行Miles术式的直肠癌患者行体外染料定位法:在标本离体15 min内用同上方法获取前哨淋巴结(SLN)。对常规HE染色为阴性的SLN行免疫组织化学SP法检测CK20的表达,一抗为鼠抗人细胞角蛋白20单克隆抗体。CK20为胞质着色,显微镜下呈棕黄或棕褐色颗粒为阳性,提示SLNMM。 1.4 统计学方法
Pokemon mRNA半定量数据通过t检验分析,数据以均数±标准差的形式表示。Pokemon(+)/Pokemon(-)两组患者CK20阳性率的对比采用四格表χ2检验,预后判断分析通过Cox回归分析和Kaplan-Meier生存曲线分析,并用Log rank检验分别对Pokemon(+)/Pokemon(-)两组患者和Pokemon(+)CK20(+)/Pokemon(+)CK20(-)两组患者的5年生存率进行比较,检验水准α= 0.05。所有数据采用SPSS19.0统计软件进行统计和分析。 2 结果
2.1 大肠癌及癌以远组织中Pokemon mRNA的表达
56例Dukes A-B期的患者中73.21%(41/56)的大肠癌癌巢Pokemon蛋白表达阳性。Pokemon mRNA在癌巢的表达(0.571±0.206)明显高于癌以远组织(0.049±0.024),P=0.000,见图 1。Pokemon蛋白主要分布于胞核和胞质,见图 2。
|
| M:Marker(DL2000); 1,3,5: colorectal carcinoma tissues; 2,4,6: surrounding tissues 图 1 大肠癌、癌以远组织中Pokemon mRNA的表达 Figure 1 Expression of Pokemon mRNA in colorectal carcinoma and surrounding tissues |
|
| Pokemon protein distributed in the nucleus and cytoplasm of colorectal carcinoma nest 图 2 Pokemon蛋白在大肠癌癌巢中的分布 (ABC ×400) Figure 2 Distribution of Pokemon protein in colorectal carcinoma nest(ABC ×400) |
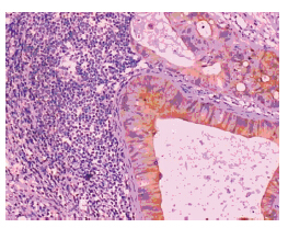
56例Dukes A-B期患者前哨淋巴结定位成功,成功率为96.5%(56/58),共获取116枚前哨淋巴结,平均每例1~3枚。19例前哨淋巴结CK20蛋白表达阳性,提示前哨淋巴结微转移,见图 3。
|
| Tumor cells distributed in marginal sinus of lymph nodes 图 3 大肠癌前哨淋巴结微转移 (SP ×100) Figure 3 Sentinel lymph node micro-metastasis(SLNMM) from colorectal cancer (SP ×100) |
Pokemon蛋白阳性组CK20阳性率为31.70%,Pokemon蛋白阴性组CK20阳性率为40.00%。卡方检验结果P=0.562,尚不能认为Dukes A-B期患者Pokemon阳性与阴性组之间SLNMM阳性率有显著差异,见表 1。
![]() |
本组随访56例,随访时间60月,随访终止时因失访和其他原因致死病例2人。结果显示,Pokemon蛋白与前哨淋巴结CK20蛋白同时阳性的13例患者中位生存期为26月,5年生存率为15.38%(2/13),Pokemon蛋白阳性未合并前哨淋巴结CK20阳性的27例患者中位生存期为37月,5年生存率为18.51%(5/27)。
Log rank检验Pokemon(+)CK20(+)/Pokemon(+)CK20(-)两组患者的生存时间差异存在统计学意义(P=0.039),生存分析显示Pokemon(+)CK20(+)患者的曲线低于Pokemon(+)CK20(-)的患者,见图 4。Cox回归分析则显示,Pokemon(+)CK20(+)阳性因素的偏回归系数β=0.914,标准误SE=0.427,相对危险度Exp为2.435(95%CI:1.124~4.213),证明Pokemon蛋白与CK20蛋白同时阳性表达可以作为大肠癌患者预后判断的一个独立因素。
|
| 图 4 Pokemon(+)CK20(+)与Pokemon(+)CK20(-)两组大肠癌患者生存曲线 Figure 4 Comparison of survival curves between colorectal carcinoma patients with Pokemon(+)CK20(+) and Pokemon(+)CK20(-) |
ZBTB7A基因是转录抑制因子POK(POZ and Kruppe1)家族的一员,它编码的Pokemon蛋白氨基末端有1个BTB/POZ结构域,羧基末端有4个C2H2 锌指结构域。Pokemon通过ARF→P53途径发挥致癌作用,Maeda等[5]用荧光素酶标记ARF激动剂,通过观察标志物的活性确定了POZ/BTB域和锌指结构是其发挥ARF抑制作用的关键结构。Pokemon在许多抑癌基因和原癌基因上游发挥着关键作用,是肿瘤发生过程中上游的“开关”基因,对于细胞信号转导和肿瘤发生及其恶性行为都有重要意义。另外,Pokemon可与固醇调节元件结合蛋白-1(SREBP-1)相互作用,进而调节脂肪酸合酶 (fatty acid synthase,FASN),从而合成足够的磷脂,使癌细胞恶性扩增成为可能[6]。但Pokemon是否会增加肿瘤侵袭与淋巴结转移能力?目前尚无这方面的研究。
微转移是用常规病理学方法不能检出的非血液系统恶性肿瘤的转移,是离开原发灶的镜检<2 mm癌细胞的沉积,逃避免疫监视,侵犯血管,发展成肉眼可见的病变。Dukes A-B期大肠癌患者经常规根治术后5年内约有10%~25%出现复发转移,提示Dukes A-B期大肠癌可能存在微转移。前哨淋巴结是荷载肿瘤转移机会最高的淋巴结,并且通常只能在该点发现转移[7]。检测SLN可以准确反映区域淋巴结的状况,敏感度可达88%~100%。Saha等[8]多中心临床试验证实,SLN检测可准确反映结直肠癌区域淋巴结转移状况,符合率达96%以上。CK20免疫组织化学法是检测大肠癌淋巴结微转移的经典方法,近年发现联合检测大肠癌SLN中CK20与端粒酶的表达能够提高Dukes B期大肠癌患者SLNMM的检出率,但却与单独检测CK20或单独检测端粒酶差异无统计学意义[9],故本研究暂未设计对端粒酶的检测,且通过对比Pokemon蛋白表达阳性和阴性的大肠癌患者前哨淋巴结中CK20的阳性率,以期发现Pokemon是否会对SLNMM发挥促进作用。但结果尚未提示两组之间的微转移率差别有统计学意义(P=0.562),考虑样本数量不足可能是造成此结果的原因之一。另外,因为低位直肠癌术中需横断直肠系膜游离肿瘤,改变淋巴引流途径,体内染料定位法对此类SLN的检出率较低,可能是造成SLNMM检出率偏低的重要原因。后期研究中如能在扩大样本量的基础上联合检测SLN中CK20与端粒酶的表达,并改进SLN定位方法,关于Pokemon对SLNMM的影响可能会得出不同的结论。
生存分析结果提示,联合检测Pokemon蛋白与前哨淋巴结CK20蛋白可以作为判断大肠癌患者生存时间的一个重要方法,Pokemon蛋白与前哨淋巴结CK20蛋白表达同时阳性则是预后不良的重要因素。由此,在术中可对Pokemon蛋白与前哨淋巴结CK20蛋白表达同时阳性的大肠癌患者在相应区域淋巴结及系膜、血管旁植入化疗药物缓释剂,并调整术后辅助治疗药物和治疗方案以期达到彻底的根治并减少手术并发症,改善患者生存质量。另外,术前下调Pokemon的表达亦有可能延长患者存活时间。2012年,赵心恺等[10]应用基因沉默的方法下调了肝癌细胞中Pokemon的表达,成功抑制了肿瘤细胞的生长,增加了肝癌细胞的凋亡。因此我们认为采用同样的策略,可以抑制Pokemon蛋白的表达,进而可能会有效阻止大肠癌的发展和转移。
(致谢:本实验中部分资料由武威市人民医院、武威市肿瘤医院提供,在此表示衷心感谢!)
| [1] | Maeda T, Hobbs RM, Pandolfi PP. The transcription factor Pokemon: a new key player in cancer pathogenesis[J]. Cancer Res, 2005, 65(19): 8575-8. |
| [2] | Mulsow J, Winter DC, O’Keane JC, et al. Sentinel lymph node mapping in colorectal cancer[J]. Br J Surg, 2003, 90(6): 659-67. |
| [3] | Wood TF, Tsioulias GJ, Morton DL, et al. Focused examination of sentinel lymph nodes upstages early colorectal carcinoma[J]. Am Surg, 2000, 66(11): 998-1003. |
| [4] | Bembenek A, Rau B, Moesta T, et al. Sentinel lymph node biopsy in rectal cancer-not yet ready for routine clinical use[J]. Surgery, 2004, 135(5): 498-505. |
| [5] | Maeda T, Hobbs RM, Merghoub T, et al. Role of the proto-oncogene Pokemon in cellular transformation and ARF repression[J]. Nature, 2005, 433(7023): 278-85. |
| [6] | Choi WI, Jeon BN, Park H, et al. Proto-oncogene FBI-1 (Pokemon) and SREBP-1 synergistically activate transcription of fatty acid synthase gene (FASN) [J]. J Biol Chem, 2008, 283(43): 29341-54. |
| [7] | Morton DL, Wen DR, Wong JH, et al. Technical details of intraoperative lymphatic mapping for early stage melanoma[J]. Arch Surg, 1992, 127(4): 392-9. |
| [8] | Saha S, Bilchik A, Wiese D, et al. Ultrastaging of colorectal cancer by sentinel lymph node mapping technique--a multicenter trial[J]. Ann Surg Oncol, 2001, 8(9 Suppl): 94S-98S. |
| [9] | Wang T, Yang XF, Zhang WS, et al. Expression of CK20 and telomerase in colorectal carcinoma micrometastasis and its significance[J]. Zhongguo Shi Yong Wai Ke Za Zhi, 2009, 29(3): 239-42. [王涛, 杨熊飞, 张维胜, 等.细胞角蛋白20及端粒酶的表达在大肠癌微转移中的意义[J]. 中国实用外科杂志, 2009, 29(3): 239-42.] |
| [10] | Zhao XK, Ning QM, Sun XN, et al. Pokemon Gene Expression in Hepatoma Cells and Its Significance[J]. Zhong Liu Fang Zhi Yan Jiu, 2012, 39(2): 137-9. [赵心恺, 宁巧明, 孙晓宁, 等. Pokemon基因在肝癌细胞中的表达及意义[J]. 肿瘤防治研究, 2012, 39(2): 137-9.] |
2015, Vol. 42



