文章信息
- 王乐,王秋香. 2015.
- 肝脏原发性脂肪肉瘤1例及介入治疗疗效观察
- 肿瘤防治研究, 2015, 42(05): 531-532
- http://www.zlfzyj.com/CN/10.3971/j.issn.1000-8578.2015.05.024
-
文章历史
- 收稿日期:2014-07-29
- 修回日期:2014-10-17
2. 050011 石家庄,河北医科大学第四医院放射科
肝脏原发性脂肪肉瘤临床比较罕见,笔者现将临床遇到的1例经术后病理证实且行肝动脉造影、肝动脉灌注化疗栓塞治疗的肝脏脂肪肉瘤患者的资料介绍如下。 1 临床资料
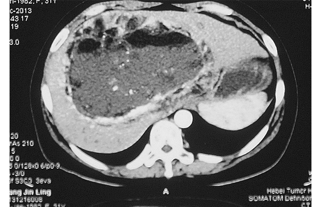
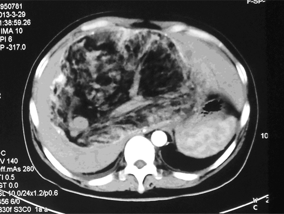
患者,女,31岁。于2013年3月4日查体发现肝脏肿物1月入院。无腹胀、腹痛、腹泻、发热等任何不适主诉。饮食正常,二便正常,体重无变化。查体:皮肤黏膜无黄染,无肝掌、蜘蛛痣。全身浅表淋巴结未触及。右肋部膨胀饱满,肝脏下缘位于右肋缘下约8 cm,剑突下5 cm,质地较软,边缘钝厚,表面无结节感,无压痛、触痛或叩痛。腹部移动性浊音(-);双下肢无水肿。辅助检查:上腹部CT示肝内巨大不均匀肿物,密度不均,内可见脂肪密度,不均匀强化,考虑肝脏巨大血管平滑肌脂肪瘤,见图 1。甲乙丙肝炎抗体均(-)。肝功能检查:正常;肿瘤标志物:AFP、CA199均在正常范围。2013年3月8日于我院行“剖腹探查术”:术中可见肝十二指肠韧带后方约20 cm×16 cm×16 cm巨大肿物,与肝门、肝左右叶、下腔静脉粘连,不能剥离,遂切除部分肿物送病理检查。术后病理结果:混合型脂肪肉瘤(上皮型与多形型之间过渡)。基于肿瘤巨大与周围组织粘连严重,无法手术切除,遂采取介入治疗,选择肝脏肿瘤供血动脉行灌注化疗及栓塞治疗。2013年4月9日第一次介入术中血管造影显示:肝动脉受压、移位、迂曲、增粗,实质期肝内可见巨块状肿瘤染色,由肝动脉及两侧膈动脉供血,肿瘤染色明显,肿瘤血管丰富交织呈网状,门静脉显影清晰,见图 2A、B。灌注化疗药物选择阿霉素、异环磷酰胺、达卡巴嗪;栓塞剂选择碘油、明胶海绵颗粒或海藻酸钠微球混合栓塞,术中患者均无不适。患者至2013年12月16日共行介入治疗6次,2014年1月20日复查CT示:肝脏肿瘤绝大部分液化、坏死,强化减轻,见图 3。血管造影示:肿瘤血管减少,血流量减少。随访:患者目前生存状态良好,无任何不适。
|
| With a large heterogeneous mass,uneven density,visible fat density,inhomogeneous enhancement 图1 肝脏原发性脂肪肉瘤患者上腹部CT Figure 1 The upper abdominal CT image of the patient with primary liver liposarcoma |
|
| Figure A and B showed hepatic artery was compressed,shifted,tortuous and thickened,Obvious intrahepatic massive tumor in parenchymal phase,blood supplied by the hepatic artery and bilateral phrenic artery 图2 肝脏原发性脂肪肉瘤患者第一次介入术中血管造影情况 Figure 2 The angiography in first interventional therapy on the patient with liver primary liposarcoma |
|
| Mass necrotic tumor tissue shown as soft tissue density 图3 肝脏原发性脂肪肉瘤患者介入治疗6次后的上腹部CT Figure 3 The upper abdominal CT image of the patient with primary liver liposarcoma after 6 times of interventional therapy |
脂肪肉瘤是一种常见的中等程度恶性软组织肿瘤,起源于脂肪母细胞向脂肪细胞分化的间叶细胞,并伴有不同分化程度的异型。有脂肪组织的部位皆有可能发生脂肪肉瘤,发生于肢体的占60%,特别是大腿、臀部,原发于肝脏的脂肪肉瘤较少见。
肝脏原发性脂肪肉瘤发病初期无明显症状,随着肿瘤的增大,患者会出现右上腹钝痛或隐痛,常向右肩部放射,常有食欲减退、消瘦、乏力、偶有顽固性呃逆。肝脏脂肪肉瘤在临床表现上需与肝癌鉴别[1]:患者一般无肝炎及肝硬化病史,肝功能受损害出现晚,酶学检查和AFP、CEA等肿瘤标志物一般在正常范围,极少伴有黄疸及腹水,可见肝掌、蜘蛛痣。本例患者的临床症状、体征、化验检查与上述相符。
影像学表现:CT多表现为混杂密度肿块,周边有不同程度的强化,MRI T1、T2加权图像呈高信号区[2]。需要与肝胆管囊腺瘤、血管平滑肌脂肪瘤相鉴别:(1)肝脏胆管囊腺瘤呈多房囊性占位,增强后仅有囊壁及分隔强化,多数患者出现CA199升高[3]。(2)肝脏血管平滑肌脂肪瘤又称肝脏错构瘤,是由不同含量的脂肪、异常血管,平滑肌组织构成,影像学表现多样化,通过影像学手段往往难以区分,术前诊断困难,误诊率极高,需通过术后病理及免疫组织化学来鉴别。手术治疗是该病首选。放射治疗多用于肿瘤边缘可疑阳性的患者,防止局部复发。高分化脂肪肉瘤恶性度低的,转移的可能性小,化疗意义一般不大;对于恶性度较高的,为防止术后转移,也可以考虑化疗。
笔者统计文献肝脏脂肪肉瘤仅1例行血管造影,显示肿瘤血管增粗、包绕、肿瘤染色等,提示为多血供恶性肿瘤,但无特征性,仅靠血管造影难以与其他肿瘤鉴别。
肝脏原发性脂肪肉瘤发病率极低,医师对其影像诊断及治疗往往经验不足,结合本例的治疗体会,笔者认为:(1)肝脏脂肪肉瘤为多血供的恶性肿瘤。(2)对于丧失手术、放疗机会的患者,介入治疗不失为一种近期效果较佳的治疗方法,其远期效果有待继续观察。
| [1] | Zhao XH, Hao YP, Xie Wei. 1 case of giant primary liver liposarcoma[J]. Lin Chuang Chao Sheng Yi Xue Za Zhi, 2006, 8(8): 462. [赵欣华, 郝玉萍, 谢伟. 原发性巨大肝脏脂肪肉瘤1例.临床超声医学杂志, 2006, 8(8): 462.] |
| [2] | Meng LP, Chen LY, Wang ZZ. The imaging diagnosis of primary liver liposarcoma(with 2 cases of report and literature review)[J]. Zhonghua Fang She Xue Za Zhi, 1996, 30(7): 484-5. [孟令平, 陈丽英, 王之章. 原发性肝脂肪肉瘤影像学诊断(附二例报告及文献复习) [J]. 中华放射学杂志, 1996, 30(7): 484-5.] |
| [3] | Fu SY, Zhou WP, Yao XP, et al. Diagnosis and treatment of hepatic lipoma(with 11 cases of report)[J]. Gan Dan Wai Ke Za Zhi, 2002, 10(2): 94-5. [傅思源, 周伟平, 姚晓平, 等. 肝脏脂肪瘤的诊断和治疗(附11例报告)[J]. 肝胆外科杂志, 2002, 10(2): 94-5.] |
2015, Vol. 42
