文章信息
- 郭秀英,张炜浩,李保国,刘方,邢文阁,于海鹏,司同国,郭志. 2015
- GUO Xiuying, ZHANG Weihao, LI Baoguo, LIU Fang, XING Wenge, YU Haipeng, SI Tongguo, GUO Zhi. 2015
- 栓塞治疗对改善高龄膀胱癌出血患者生活质量的临床意义
- Clinical Significance of Embolization on Quality of Life of Elderly Patients with Bladder Hemorrhage
- 肿瘤防治研究, 2015, 42(04): 378-381
- Cancer Research on Prevention and Treatment, 2015, 42(04): 378-381
- http://www.zlfzyj.com/CN/10.3971/j.issn.1000-8578.2015.04.013
-
文章历史
- 收稿日期:2014-07-30
- 修回日期:2014-11-03
膀胱癌是泌尿系统最常见的恶性肿瘤,全球发病率居男性恶性肿瘤第四位,死亡率居第七位[1],我国发病率虽低于西方国家,但近年来由于老龄化加重、生活饮食习惯的改变等因素,发病率已经呈现逐年增高的趋势。目前临床仍采取以外科手术为主的综合治疗,但膀胱癌术后易复发,血尿是最常见的合并症,严重降低患者生活质量,大出血时甚至危及患者生命。经导管动脉栓塞术是一种微创、安全的治疗手段,因其疗效确切已成为肿瘤(肝癌、肾癌、膀胱癌等)综合治疗领域的重要组成部分,同时也成为腹、盆腔出血性疾病的首选治疗方法[2, 3]。天津医科大学肿瘤医院介入治疗肿瘤科自2007年1月—2012年12月应用介入栓塞治疗高龄膀胱癌出血23例,取得了良好的治疗效果,现报道如下。1 资料与方法1.1 一般资料
本组23例,男17例、女6例,平均年龄81岁(72~87岁),均以“尿血伴尿痛”为主诉入院,全部患者均经B型超声及CT检查证实,并结合TNM分期提示T2期3例、T3期15例、T4期5例;根据病理诊断为膀胱移行细胞癌21例、腺癌2例、病灶位于膀胱右侧壁者6例、左侧壁者12例、越过中线者5例。患者均伴有不同程度的贫血,血红蛋白60~100 g/L,出血量200~700 ml/d。1.2 方法1.2.1 术前准备
全部患者术前常规行盆腔增强CT、胸片检查、心电图及实验室检查。对于一般状态较差、出血量较多、血红蛋白低于60 g/L的患者,术前均行输血、补液等对症支持治疗。1.2.2 术中操作
采用改良Seldinger法穿刺股动脉,置入5F动脉鞘,在导丝引导下引入5F Co-bra导管或RH导管至双侧髂内动脉,行数字减影血管造影,了解肿瘤的大小及血供情况,微导丝引导下引入微导管造影明确出血靶动脉(常见的为膀胱上、下动脉),确认无异常侧枝循环后,根据血供情况,采用不同大小的海藻酸钠微球颗粒(一般常用直径300~500 μm、500~700 μm)或者明胶海绵条栓塞责任血管,后再用微弹簧圈或弹簧圈栓塞。栓塞后复查造影,直至肿瘤血供完全闭塞和肿瘤染色消失为止。1.2.3 术后处理
术后3天内常规给予补液、营养支持等对症处理,并酌情给予抗炎治疗。术后1周复查血液学检查。1.3 评价标准
患者术后随访包括:住院期间病情监测和出院后电话随访。临床成功定义为:栓塞术后造影发现靶血管闭塞或术后出血停止。近期临床成功定义为:栓塞后1月内无再次出血。远期临床成功为:随访过程中未再出现血尿。生活质量(quality of life,QOL)的评估应用膀胱癌特异性量表(functional assessment of cancer therapybladder cancer,FACT-BL)。FACT-BL量表由癌症共性模块(functional assessment of cancer therapygeneral,FACT-G)和膀胱癌特异性模块(bladder cancer specific scale,BSS)两部分组成。包括躯体状况、社会家庭状况、情感状况、功能状况和膀胱癌特异状况。膀胱癌模块有12个问题,包括了排尿、控尿、性功能、躯体外观等与尿流改道术相关的方面。FACT-G每个问题得分为0~4分,在评分时正向条目直接计0~4分,逆向条目则反向计分。FACT-G总分为108分,FACT-BL总分为156分,分数越高代表健康相关生活质量(HRQOL)越高。1.4 统计学方法
采用SPSS 16.0统计软件包进行数据分析。所有计量资料以(x±s)表示,Kaplan-meier法计算临床成功率。采用配对t检验比较治疗前后差异,P<0.05为差异有统计学意义。2 结果2.1 临床疗效评价
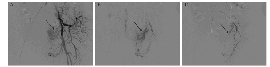
血管造影表现:23例患者,共行28次栓塞治疗,插管造影技术成功率为100%。其中,膀胱上动脉8例、膀胱下动脉13例、阴部内动脉主要参与供血2例。其中,18例患者行超选择性栓塞治疗,5例因超选择性栓塞困难而行髂内动脉栓塞。19例行双侧栓塞和4例行单侧栓塞,动脉期可见肿瘤的供血动脉增粗、迂曲不规则,11例患者实质期造影可见肿瘤染色征,其中19 例双侧髂内动脉分支参与供血,4例主要有一侧髂内动脉供血,2例直接可见对比剂外溢现象。其中1名78岁男性“肉眼血尿3天”就诊患者,栓塞术后造影显示肿瘤区的染色影消失,提示治疗有效,见图 1。
![]() |
| A: Pre-embolization: increased vascularity demonstrated by left internal iliac images; B: Microcatheter angiography showed increased vascularity in pelvic area; C: Post-embolization: obliteration of blood flow 图 1 高龄膀胱癌患者经导管动脉栓塞术前后微导管造影1例Figure 1 One case of microcatheter angiography on elderly patients with bladder carcinoma before and after transcatheter arterial embolization |
临床成功率:20例患者在栓塞术后1~5天(平均3天)内血尿消失,近期临床成功率为87.0%。3例术后血尿减少不明显患者再次行栓塞治疗后出血停止。4例患者分别在术后3、4、4、6月再次出现血尿症状,远期成功率为82.6%,其中2例患者再次行栓塞治疗后血尿消失,2例患者放弃治疗。2.2 生活质量评估
生活质量的评估:高龄膀胱癌出血患者栓塞治疗前的各模块及总体生活质量得分较低,而栓塞治疗后7天患者的生活质量与治疗前对比提示,除社会/家庭状况模块外,其他模块及总分均改善(P<0.05) 。其中情感状态和膀胱癌特异性模块最为明显,见表 1。
![]() |
13例患者(56.5%)术后出现了不同程度的栓塞反应综合征,表现为下腹部或臀部疼痛不适、发热、恶心、呕吐等,予对症治疗后完全恢复。未见动脉内膜损伤、误栓、膀胱坏死、肾功能损伤等严重并发症。3 讨论
膀胱癌是泌尿系统中最常见的恶性肿瘤,发病率男女比例(3~4):1,高龄为膀胱癌发病的危险因素,故膀胱癌的发病率随年龄增长而增加[4, 5]。无痛性肉眼血尿为膀胱癌的最常见症状,乳头状癌的乳头断裂、肿瘤坏死及并发膀胱炎等均可引起血尿。血尿可引起患者严重的心理恐慌,重者严重影响患者的生活质量和预后,甚至危及生命。而新生的肿瘤血管无平滑肌成分,不具有收缩功能,同时缺乏神经支配,对血管活性物质的作用反应轻微。这是膀胱癌出血行保守治疗无效的原因所在。因多为高龄患者,机体状态较差,外科手术机会渺茫。介入治疗(经导管动脉栓塞术)因能快速止血改善症状,同时具备微创性、术后恢复快等优势,在国内外越来越被临床医生所认可并广泛应用。
Hald等[6]在1974年首次报道了髂内动脉栓塞术控制难治性盆腔出血的临床应用,随后经导管动脉化疗栓塞术发展迅速,拓展应用于创伤性、肿瘤性、医源性盆腔出血性疾病的治疗上[7]。Delgal等[8]对20例难治性膀胱或前列腺癌出血患者行栓塞治疗,近期临床成功率为83.3%(15/18),再出血复发率为28.6%(4/14),无严重并发症发生。Liguori等[9]对44例膀胱原发肿瘤或其他肿瘤侵及膀胱导致出血的患者行髂内动脉栓塞治疗,早期出血控制率达82%(36/44),随访10.5月,43%的患者未再出血,也未发生严重不良反应。而国内王巍等[10]对71例膀胱癌合并出血的患者行膀胱动脉或髂内动脉化疗栓塞治疗,成功率100%,其中67例平均3天血尿停止或明显减少(98.6%),术后无严重不良反应。魏建筑等[11]对19例膀胱癌出血患者行化疗栓塞治疗,16例患者2天内出血停止(84.2%),无不良反应报道。而本研究是针对高龄膀胱癌患者的临床研究,23例患者行栓塞治疗后,20例患者术后平均3天血尿消失,近期临床成功率为87.0%,远期临床成功率为82.6%,充分体现了治疗的有效性。
本组患者均为高龄患者,预期寿命较短,如何提高患者生活质量就显得尤其重要。本组术前的FACT- BL量表各模块得分偏低体现了高龄膀胱癌出血患者严重低下的生活质量。原因一方面考虑由于癌症消耗,患者机体功能较差;另一方面由于尿液中出现的血块阻塞尿道,导致尿路梗阻、急性尿潴留。另外,血尿症状也影响患者的心理状态,引起患者恐慌、失落。
导管动脉栓塞术作为一种微创治疗手段,能短期内控制患者血尿,降低尿路梗阻的概率,从而明显改善患者生活质量。既往报道重点在术后出血控制方面,而在生活质量评价方面未见系统阐述。本研究提示:术后7天患者的总体生活质量较术前明显提高。其中,躯体功能模块及功能状态明显增高一方面考虑为患者血尿控制,贫血症状缓解,一般机体状态提高。另一方面可能因血尿消失而恢复部分自主活动能力所致。情感心理状态明显增高考虑为血尿消失,患者的心理恐惧感及焦虑感明显降低,心理状态改善。膀胱癌特异模块评分明显提高分析原因为血尿停止后,患者的排尿、控尿功能改善以及自我认知功能的提升所致,而社会/家庭状况变化差异无统计学意义,考虑患者在住院期间社会及工作地位的不稳定所致。而总体生活质量的明显改善进一步明确了该治疗手段在高龄伴膀胱癌出血患者中的应用价值。
本组患者未发生相关的严重并发症。文献报道的严重并发症包括:臀部皮肤、肌肉缺血坏死、膀胱坏死、异位动脉栓塞等,而主要原因是术中操作未超选择至靶血管所致,因此,我们建议根据术中造影结果行超选择栓塞治疗,避免对非靶动脉分支的误栓。同时由于盆腔脏器血供丰富,双侧髂内动脉栓塞后,侧支循环及交通支(主要是直肠下动脉与肠系膜下动脉的直肠上动脉、骶外侧动脉与骶正中动脉、闭孔动脉与髂外动脉的腹壁下动脉等)不同程度开放形成新的营养动脉,可防止脏器缺血坏死。以下腹部疼痛不适、恶心、呕吐为主要表现的栓塞后综合征是术后的常见并发症,本组13例患者术后均不同程度的出现了栓塞综合征,给予对症支持治疗后均恢复。
总之,经导管动脉栓塞术治疗高龄膀胱癌出血患者疗效确切、生活质量明显改善,且创伤小、并发症少,可作为一种优先选择的临床治疗手段。
| [1] | Siegel R, Naishadham D, Jemal A. Cancer statistics, 2013[J]. CA Cancer J Clin, 2013, 63(1): 11-30. |
| [2] | Farrelly C, Fidelman N, Durack JC, et al. Transcatheter arterial embolization of spontaneous life-threatening extraperitoneal hemorrhage[J]. J Vasc Interv Radiol, 2011, 22(10): 1396-402. |
| [3] | Soyer P, Morel O, Fargeaudou Y, et al. Value of pelvic embolization in the management of severe postpartum hemorrhage due to placenta accreta, increta or percreta[J]. Eur J Radiol, 2011, 80(3): 729-35. |
| [4] | Fajkovic H, Halpern JA, Cha EK, et al. Impact of gender on bladder cancer incidence, staging, and prognosis[J]. World J Urol, 2011, 29(4):457-63. |
| [5] | Taylor JA 3rd, Kuchel GA. Bladder cancer in the elderly: clinical outcomes, basic mechanisms, and future research direction[J]. Nat Clin Pract Urol, 2009, 6(3): 135-44. |
| [6] | Hald T, Mygind T. Control of life-threatening vesical hemorrhage by unilateral hypogastric artery muscle embolization[J]. J Urol, 1974, 112(1): 60-3. |
| [7] | Ayella RJ, Dupriest RJ Jr, Khaneja SC, et al. Transcatheter embolization of autologous clot in the management of bleeding associated with fractures of the pelvis[J]. Surg Gynecol Obstet, 1978, 147(6): 849-52. |
| [8] | Delgal A, Cercueil JP, Koutlidis N, et al. Outcome of transcatheter arterial embolization for bladder and prostate hemorrhage[J]. J Urol, 2010, 183(5): 1947-53. |
| [9] | Liguori G, Amodeo A, Mucelli FP, et al. Intractable haematuria: long-term results after selective embolization of the internal iliac arteries[J]. BJU Int, 2010, 106(4): 500-3. |
| [10] | Wang W, Xie CM, Yang ML, et al. Evaluation on efficacy and security of TAE in treatment of aged patients with Bladder Hemorrhage[J]. Dang Dai Yi Xue, 2012, 18(6): 60-2.[王巍, 谢春明, 杨敏玲, 等. 介入治疗在高龄膀胱癌合并持续性出血中的疗效及安全性评价[J]. 当代医学, 2012, 18(6): 60-2.] |
| [11] | Wei JZ, Tan YL. Clinical analysis of transcatheter arterial chemoembolization for tumor bleeding in19 bladder cancer patients[J]. Zhonghua Quan Ke Yi Xue, 2013, 11(4): 528-9.[魏建筑, 谭玉林. 动脉化疗栓塞术治疗19例膀胱癌出血的临床分析[J]. 中华全科医学, 2013, 11(4): 528-9.] |
2015, Vol. 42




