文章信息
- 刘晓平,邓伟,苏晋捷,曾祥福. 2015.
- LIU XiaoPing, DENG Wei, SU Jinjie, ZENG Xiangfu. 2015.
- 血管内皮生长因子C和Podoplanin对老年直肠癌淋巴结转移预后评价的价值
- Prognostic Value of VEGF-C and Podoplanin Expressions in Rectum Cancer Tissues with Lymph Node Metastasis in Elder Patients
- 肿瘤防治研究, 2015, 42(02): 164-167
- Cancer Research on Prevention and Treatment, 2015, 42(02): 164-167
- http://www.zlfzyj.com/CN/10.3971/j.issn.1000-8578.2015.02.014
-
文章历史
- 收稿日期:2014-04-15
- 修回日期:2014-07-26
血管内皮生长因子C(vascular endothelialgrowth factor C,VEGF-C)与VEGFR-3受体结合后,调节肿瘤血管新生及淋巴管生成。在肿瘤的淋巴转移中,VEGF-C是一个有特殊意义的因子[1]。Podoplanin是一种淋巴管特异性基因,可从胚胎脉管中诱导淋巴管祖细胞发育,无论在体内还是在体外都能介导集合细胞的侵袭和迁移[2]。两者在肿瘤的淋巴管形成及淋巴结转移中起重要作用,但各自发挥什么样的作用及其机制目前仍不清楚。直肠癌是我国常见的肿瘤之一,随着人民生活水平的提高,其发病率亦逐年增加,且在老年人中尤为明显。手术仍是治疗直肠癌的主要手段,但术后局部复发及转移仍是其导致死亡的重要因素。其中发现老年直肠癌患者的淋巴结转移是影响其预后的重要指标。如何对这些患者进行下一步治疗,以其发生淋巴结转移的分子机制能否为临床进行转化医学的研究提供重要的证据,是我们目前亟需解决的问题。本实验通过检测VEGF-C、Podoplanin在老年直肠癌及淋巴结转移癌组织中的表达,进一步分析判断其可否作为老年直肠癌淋巴结转移患者预后的检测指标。
1 资料与方法1.1 一般资料收集2002年3月—2007年6月间在赣南医学院第一附属医院胃肠外科手术的老年直肠癌石蜡包埋标本62例,均经病理诊断证实为腺癌,术前均未行放、化疗。其中男39例、女23例,年龄均≥60岁,平均年龄(73.3±4.8)岁。高分化14例、中分化35例、低分化13例;无淋巴结转移21例、有淋巴结转移41例。同时取距癌组织边缘5 cm以上的癌旁正常直肠组织20例作为对照;再从62例老年直肠癌标本中取25例直肠癌组织,及其相应的25例淋巴结转移癌组织进行对比研究。
1.2 标本处理及主要试剂石蜡包埋标本行4 μm厚切片,每例连续作4张切片。一张行HE染色,以观察细胞分化程度等病理特征,另2张分别行VEGF-C和Podoplanin免疫组织化学染色,一张作免疫组织化学阴性对照。病理特征和免疫组织化学的结果由两位病理科医师独立单盲阅片。羊抗人VEGF-C多克隆抗体购自Santa Cruz Biotechnology Inc公司,抗Podoplanin及PV-9000试剂盒均购自武汉博士德生物工程有限公司[3, 4]。
1.3 结果判断标准VEGF-C与Podoplanin阳性物质呈细颗粒状,位于细胞质,以胞质呈现棕黄色为阳性细胞,计算5个高倍视野中阳性细胞所占的比例: 阴性:阳性细胞<5%;阳性:阳性细胞≥5%。以Podoplanin阳性着色的单个内皮细胞或内皮细胞簇计数为1个微淋巴管。肿瘤组织首先在低倍镜下随机选择3个淋巴管着色最密集的区域,然后在400倍光学显微镜下分别计数淋巴管数,取4个视野的均值作为微淋巴管密度(LMVD)[4]。
1.4 随访术后1年内每3月门诊复查1次,以后每6月随访1次,未能按时复查者则予信访和(或)电话追踪,本组病例随访率100%。生存时间计算自手术之日至死亡或最后随访截止日,随访截止时间为2012年6月。
1.5 统计学方法采用SPSS 13.0统计软件对数据进行分析,计量资料以x±s表示,组间比较采用t检验,计数资料比较采用χ2检验,P<0.05为差异有统计学意义。
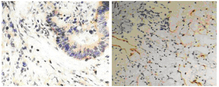
2 结果2.1 VEGF-C、Podoplanin在淋巴结转移癌组织中的表达本实验发现VEGF-C、Podopl anin在淋巴结转移癌组织中的表达均高于直肠癌组织,且Podoplanin在淋巴结转移癌组织中的表达与直肠癌组织比较,差异有统计学意义(P<0.05),见图 1、表 1。
|
| A:VEGF-C(SP ×400); B: Podoplanin(SP ×200); VEGF-C: vascular endothelial growth factor C 图 1 VEGF-C和Podoplanin在老年直肠癌淋巴结转移组织中的表达 Figure 1 Expressions of VEGF-C and Podoplanin in rectal cancer tissues with lymph node metastasis in elder patients |
![]() |
VEGF-C的表达与肿瘤的浸润深度、淋巴结转移有关,与肿瘤的分化程度及患者的性别无关。老年直肠癌组织VEGF-C蛋白的表达在淋巴结转移组阳性率为(61.0%),显著高于无淋巴结转移组(23.8%),差异有统计学意义(P<0.05)。Podoplanin的表达与老年直肠癌组织的浸润深度、肿瘤的淋巴结转移有关,而与分化程度无关。有淋巴结转移的老年直肠癌组织Podoplanin的表达(73.2%),显著高于无淋巴结转移的癌组织(42.3%),差异有统计学意义(P<0.05),见表 2。
![]() |
VEGF-C阳性表达中Podoplanin阳性表达率为73.3%(22/30),VEGF-C阴性表达中Podoplanin阳性表达率为34.3%(11/32),差异有统计学意义(p=0.02)。直肠癌组织中VEGF-C表达阴性者,LMVD是(13.2±2.4);而VEGF-C表达阳性者,LMVD是(29.1±2.6),两者差异有统计学意义(p=0.03)。
2.4 单因素及多因素分析结果本组病例的随访期为6~92月,中位随访期为51.8月。单因素分析显示VEGF-C、 Podoplanin、肿瘤浸润深度和淋巴结转移与老年直肠癌患者预后相关(P<0.05),而性别,年龄对直肠癌预后无显著性影响。多因素分析显示,VEGF-C、Podoplanin和淋巴结转移是影响老年直肠癌患者生存预后的独立因素(P<0.05),见表 3~4。
![]() |
直肠癌是我国最常见的恶性肿瘤之一,老年人是常见的发病人群。血液和淋巴结转移是癌细胞形成远处转移的主要途径,也是直肠癌高死亡率的重要原因。直肠癌有无淋巴结转移可被视为肿瘤转移的早期信号,是制定手术方案、术后辅助治疗方案的主要依据之一。目前对于老年人直肠癌伴有淋巴结转移的患者其预后尚无明确判断指标,本文就此问题进行初步探讨。
VEGF-C是VEGF家族成员之一,第一个被发现的淋巴管生成因子,可诱导淋巴管内皮细胞增殖、迁徙,并形成淋巴窦,可分别结合血管内皮细胞表面受体VEGFR-2及淋巴管内皮细胞表面受体VEGFR-3,能够明显促进某些内皮细胞的有丝分裂,具有强大的促血管生成作用,同时还具有促进肿瘤淋巴结转移的作用[5, 6, 7]。贾宗良等[8]研究提示VEGF-C的表达是Ⅱ期结直肠癌患者不良预后的一项指标,VEGF-C表达越强,发生复发或转移的危险性越高。本研究发现,老年直肠癌淋巴结转移阳性组VEGF-C的表达明显高于淋巴结转移阴性组,提示VEGF-C刺激肿瘤淋巴内皮细胞增殖、迁移,促进淋巴管生成,从而增加肿瘤淋巴结转移的发生率。Podoplanin是一种小分子黏液样跨膜糖蛋白,主要表达在淋巴管内皮上,而在血管内皮上不表达,广泛地用作淋巴内皮细胞和淋巴管生成的特异性标志物[9]。Podoplanin是肾小球足细胞膜上的黏蛋白,它仅表达于微淋巴管内皮,而在微血管内皮无表达。Podoplanin在癌组织中的表达可作为肿瘤诊断和判断预后的免疫组织化学标志[10]。本研究发现老年直肠癌组织中Podoplanin的表达与肿瘤的浸润深度,肿瘤的淋巴结转移有关,与分化程度、大小无关。这说明随着肿瘤的进展,直肠癌组织中淋巴管的数量随之增加。Podoplanin也在直肠癌的淋巴转移中有着重要的作用,这与Foschini等[11]研究结果类似。
为了解VEGF-C、Podoplanin在老年直肠癌淋巴结转移预后评价中的价值,本研究先检测了同一患者中原发癌与淋巴结转移癌中VEGF-C、Podoplanin的表达,发现它们在淋巴结转移癌组织中阳性表达率高于原发癌组织,但差异无统计学意义。在淋巴结转移患者中Podoplanin的表达明显比无淋巴结转移患者高,差异有统计学意义(P<0.05),说明Podoplanin的表达与直肠癌患者的淋巴结转移有关。我们之前的研究已经证实LMVD是反映直肠癌进展程度的重要指标[3]。本研究发现老年直肠癌组织中VEGF-C表达阴性者,LMVD是(13.2±2.4);而VEGF-C表达阳性者,LMVD是(29.1±2.6)。两者差异有统计学意义(P<0.05)。瘤周淋巴管增生可能与肿瘤淋巴结转移关系更为密切。由此,我们推测在引起老年直肠癌淋巴结转移过程中,Podoplanin可以通过激活VEGF-C,促进直肠癌血管和淋巴管的生成,进而促进直肠癌的淋巴结转移。
同时,我们对此次入组试验的老年患者进行随访,单因素分析显示:Podoplanin、VEGF-C、肿瘤浸润深度和淋巴结转移与老年直肠癌患者预后相关(P<0.05),而性别、年龄对老年直肠癌预后无显著性影响。多因素分析显示:肿瘤的浸润深度、Podoplanin、VEGF-C的表达水平和淋巴结转移是影响老年直肠癌并淋巴结转移患者生存预后的独立因素(P<0.05)。因此,Podoplanin、VEGF-C的表达水平和淋巴结转移癌也许可作为老年直肠癌预后判断的辅助指标,并且对制定直肠癌患者术后的随访计划有一定的参考意义,这为将来的临床应用提供了理论基础依据。
恶性肿瘤的转移机制本身就是个复杂的过程,它不仅取决于细胞的失控性增殖,而且取决于肿瘤细胞与宿主细胞及组织微环境之间的相互作用。本研究结果提示,VEGF-C及Podoplanin在老年直肠癌淋巴结转移中的高表达,与直肠癌的预后相关。它们可能是直肠癌侵袭转移众多步骤较为关键的环节,也与老年直肠癌的浸润转移有密切关系,联合检测两者对于判断老年直肠癌患者的预后有指导意义。术后对标本行VEGF-C及Podoplanin的检测,将为老年直肠癌患者争取综合治疗作出合理的选择,也可为抑制老年直肠癌的复发和转移开辟新的临床途径。
| [1] | Zeng ZM, Liu J, Xian XB. Expression and significance of VEGF-Cin rectal adenocarcinoma of human[J]. Chongqing Yi Xue, 2011,40(5): 425-6, 429, cover3. [曾昭明, 刘杰, 先雄斌, 等. 人直肠癌血管内皮生长因子-C的表达及其意义[J]. 重庆医学, 2011,40(5): 425-6, 429, 封3页.] |
| [2] | Pula B, Witkiewicz W, Dziegiel P, et al. Significance of podoplaninexpression in cancer-associated fibroblasts: a comprehensivereview[J]. Int J Oncol, 2013, 42(6): 1849-57. |
| [3] | Liu XP, Liao Q, Li Jian, et al. Significance of VEGF-C andLYVE-1 detection in lower rectal carcinoma[J]. Zhongguo PuTong Wai Ke Za Zhi, 2010,19(4):439-41. [刘晓平, 廖桥, 李剑, 等.低位直肠癌VEGF-C及LYVE-1检测的意义[J]. 中国普通外科杂志, 2010, 19(4): 439-41.] |
| [4] | Liu XP, Zhou XQ, Su JJ, et al. The relationship between lymphaticmicrovessel density and podoplanin expression in rectal cancer[J].Zhongguo Pu Tong Wai Ke Za Zhi, 2012, 21(6): 693-5.[刘晓平,周小青, 苏晋捷, 等.直肠癌微淋巴管密度与Podoplanin表达的关系[J]. 中国普通外科杂志, 2012, 21(6): 693-5.] |
| [5] | Singh A, Gautam KA, Dalela D, et al. Plasma vascular endothelialgrowth factors A and C in patients undergoing prostatic biopsyand TURP for suspected prostatic neoplasia[J]. Asian Pac J CancerPrev, 2013, 14(3): 2053-8. |
| [6] | Martins SF, Garcia EA, Luz MA, et a1. Clinicopathologicalcorrelation and prognostic significance of VEGF-A, VEGF-C,VEGFR-2 and VEGFR-3 expression in colorectal cancer[J].Cancer Genomics Proteomics, 2013, 10(2): 55-67. |
| [7] | Kigure W, Fujii T, Sutoh T, et al. The association of VEGFCexpression with tumor lymphatic vessel density and lymphnode metastasis in patients with gastric cancer and gastrointestinalstromal tumor[J]. Hepatogastroenterology, 2013, 60(122): 277-80. |
| [8] | Jia ZL, Chen X, Li EX. Clinical significance of VEGF-C expressionand LVD detection in predicting the prognosis of stage Ⅱpostoperative colorectal cancer[J]. Xi’an Jiao Tong Da Xue XueBao(Yi Xue Ban), 2011, 32(1): 119-23. [贾宗良, 陈旭, 李恩孝. 血管内皮生长因子C及淋巴管密度的表达对判定Ⅱ期结直肠癌预后的意义[J],西安交通大学学报(医学版), 2011, 32(1): 119-23.] |
| [9] | Pula B, Wojnar A, Werynska B, et al. Impact of different tumourstroma assessment methods regarding podoplanin expressionon clinical outcome in patients with invasive ductal breastcarcinoma[J]. Anticancer Res, 2013, 33(4): 1447-55. |
| [10] | Ordó?ez NG. Value of podoplanin as an immunohistochemicalmarker in tumor diagnosis: a review and update[J]. ApplImmunohistochem Mol Morphol, 2014, 22(5): 331-47. |
| [11] | Foschini MP, Leonardi E, Eusebi LH, et al. Podoplanin andE-cadherin expression in preoperative incisional biopsies of oralsquamous cell carcinoma is related to lymph node metastases[J].Int J Surg Pathol, 2013, 21(2): 133-41. |
2014, Vol. 42




