文章信息
- 纪岩磊1,韩真2,李云凌1,邵丽梅1,赵珑1,赵月环1. 2014.
- JI Yanlei1, HAN Zhen2, LI Yunling1, SHAO Limei1, ZHAO Long1,ZHAO Yuehuan1. 2014.
- 高强度聚焦超声与三维适形放疗治疗门静脉癌栓的对比研究
- High-intensity Focused Ultrasound Compared with Three-dimensional Conformal Radiotherapy in Treatment for Portal Vein Tumor Thrombosis
- 肿瘤防治研究, 2014, 41(10): 1120-1124
- Cancer Research on Prevention and Treatment, 2014, 41 (10): 1120-1124
- http://www.zlfzyj.com/CN/10.3971/j.issn.1000-8578.2014.10.014
-
文章历史
- 收稿日期:2013-12-24
- 修回日期:2014-02-26
原发性肝细胞肝癌(hepatocellular carcinoma, HCC)发病率呈逐年增高的趋势,易侵犯门静 脉,形成门静脉癌栓(portal vein tumor thrombosis, PVTT)。门静脉癌栓是肝癌肝内播散、复发及影响 原发性肝癌预后的重要因素。目前对PVTT尚缺乏确切有效的治疗方法,影响了该病的整体治疗效 果。本文在原发病灶行肝动脉栓塞化疗的基础上 采用高强度聚焦超声或三维适形放疗治疗门静脉 癌栓进行对比研究。 1 资料与方法 1.1 一般资料
收集2009年9月—2010年7月在山东省肿瘤 医院根据病史、肿瘤标志物、影像学检查或术后 病理明确诊断为原发性肝细胞肝癌患者65例,见 表 1。治疗前经彩色多普勒超声和增强CT检查证 实门静脉内有癌栓,原发病灶相对较稳定,无手 术指征,不能再耐受有创的治疗。所有病例均经 TACE治疗原发灶,其中高强度聚焦超声( high intensity focused ultrasound,HIFU)治疗34例(A 组)、三维适形放疗(three-dimensional conformal radiotherapy,3-DCRT)治疗31例(B组)。在治疗 前,参考相关文献[1, 2],按门静脉主干及其一级分 支受累情况,将PVTT分为Ⅲ级:Ⅰ级为门静脉一 级分支,即门静脉左或右支有癌栓;Ⅱ级为左支 或右支加门静脉主干被侵犯;Ⅲ级为左、右支及 主干均受累。
根据以上标准分级,A组病例癌栓Ⅰ级15例、 Ⅱ级11例、Ⅲ级8例,B组病例癌栓Ⅰ级13例、Ⅱ级 11例、Ⅲ级7例。 两组患者的门静脉癌栓分布情况 差异无统计学意义(χ2=0.071,P=0.965),见图 1。
|
| A: Grade Ⅰ PVTT,left branch of PVTT; B: Grade Ⅱ PVTT,main and right branch of PVTT; C: Grade Ⅲ PVTT,main and right branch of PVTT; D:Grade ⅢPVTT,left branch of PVTT; PVTT: portal vein tumor thrombosis 图 1 Ⅰ、Ⅱ、Ⅲ级癌栓声像图 Figure 1 Ultrasonogram of GradeⅠ,Ⅱand Ⅲ PVTT |
采用FEP-BY02型高强度聚焦 超声肿瘤治疗系统(北京德源生物医疗设备有限 公司生产)。根据癌栓位置、大小设计预定靶距 离、 层距、 点(步)距、行距,患者取俯卧位或 右侧卧位。采用点累积方式治疗,即由点到线, 由线到面,由面到体逐点扫描固化的方式,直至 覆盖整个预定的治疗靶区。治疗参数:输入电功 率l~2 kW,单元发射时间0.15~0.20 s,间歇时间 0.15~0.20 s,单元发射次数50次,点距5~7 mm,行 距5~7 mm。层距8 mm。每天治疗1次,每次治疗 30~50min。治疗次数根据PVTT分布范围、大小决 定,治疗次数5~10次,中位次数7次。 1.2.2 3-DCRT治疗
患者取仰卧位,双手上举 抱肘置于前额,采用热塑体模固定体位,于平静 呼吸状态下,采用5 mm薄层螺旋CT连续扫描, 扫描范围自膈顶上3~5 cm至肝脏下缘下3~5 cm, 然后将定位CT图像传输至计划系统,由经验丰富 的放射诊断科和放疗科医生共同勾画大体肿瘤体 (GTV)。由于癌栓和原发灶相隔较近,因此将 癌栓和原发灶勾画在一起作为 GTV。临床靶体积 (CTV)在GTV基础上外扩0.5~1.0 cm,计划靶 体积(PTV):当原发灶<12 cm时,在CTV基 础上向上下外扩1.5 cm、左右前后外扩0.8 cm形 成,在原发灶≥12 cm时,则在CTV基础上向外扩 0.5 cm形成。设3~5个共面野,通过剂量体积直方 图(DVH)进行治疗计划方案的评估与优化,使 90%的等剂量曲线覆盖PTV,控制危及器官(正常 肝组织、十二指肠、胃、胰腺、肾和脊髓等)的 受量在正常耐受范围内。分割剂量2~4 Gy/次,3~5次/周,照射总量40~60 Gy,治疗次数10~30次,中 位次数18 次。放疗期间给予保护肝脏、对症、支 持治疗,并予口服健脾活血化瘀中药。 1.3 疗效分析 1.3.1 近期疗效
根据1979年WHO实体瘤疗效评 价标准进行疗效判定:完全缓解(CR)、部分缓 解(PR)、稳定(SD)、进展(PD),有效为 CR+PR。治疗结束后4周行腹部B超、CT或MRI 检查,对近期疗效进行评价。疗效的判断标准: (1)完全缓解:癌栓完全消失,血流完全通畅; (2)部分缓解:部分癌栓缩小,部分血流通畅; (3)稳定:癌栓大小、范围无变化,血流无变 化;(4)进展:短期内癌栓增大、范围变大,血 流变少或无血流。 1.3.2 远期疗效
按生存率评价,随访时间为24 月以上,无失访,生存期自患者TACE治疗开始之 日起计算。 1.3.3 不良反应
参照美国国家癌症研究所常见毒 性反应标准3.0(NCI-CTCAE v3.0)进行评定。 1.4 统计学方法
采用SPSS13.0软件进行统计分析,对比资料 采用χ2检验或t检验,用Kaplan-Meier生存分析法分 析患者生存时间,两组间生存时间比较用Log rank 法检验,P<0.05为差异有统计学意义。 2 结果 2.1 近期疗效
所有患者均按治疗计划顺利完成治疗。通过 超声和增强CT,观察瘤栓的分布范围、大小和 门静脉血流的变化。A组的近期有效率70.59% (24/34),B组的近期有效率67.74%(21/31), 两组疗效比较差异没有统计学意义(χ2=0.062, P=0.804),见表 2、图 2~3。
|
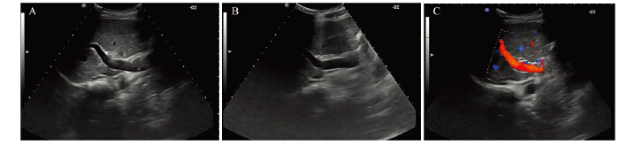
| A: main and right branch of PVTT before HIFU therapy;B:the tumor thrombosis disappeared after HIFU therapy;C: color Doppler rheography after HIFU therapy 图 2 Ⅱ级癌栓高强度聚焦超声治疗前后声像图 Figure 2 Contrast image of grade ⅡPVTT before and after HIFU therapy |
|
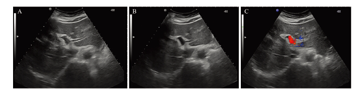
| A: left branch of PVTT before 3-DCRT; B: the tumor thrombosis disappeared after 3-DCRT; C: color Doppler rheography after 3-DCRT 图 3 Ⅰ级癌栓三维适形放疗前后声像图 Figure 3 Contrast image of grade Ⅰ PVTT before and after 3-DCRT 表 3 |
所有患者治疗结束后开始随访,随访24月以 上。按恶性肿瘤常规随访方法进行随访,行B型超 声、CT或MRI检查,检测AFP、肝功能。A组病 例的生存期为3.8~25.6月,中位生存期13.4月; B组病例生存期4.3~24.8月,中位生存期为12.6 月,两组比较,差异没有统计学意义(χ2=2.316, P=0.167),见表 3。
![]() |
A组2例出现上消化道出血,考虑为门静脉压 力增高导致食管胃底静脉破裂出血,经内科治疗 后恢复,未见其他不良反应。B组中18例出现不同 程度恶心、呕吐等胃肠道反应,1例出现上消化道 出血,经内科治疗后恢复;11例出现转氨酶、胆 红素升高,经保肝治疗后恢复;17例出现白细胞 降低,给予升白细胞药物后恢复;2例患者在放疗 结束后3~4月出现放射性肝病,CT检查未发现肿瘤 进展,虽经对症治疗仍有1例治疗无效而死亡。 3 讨论
原发性肝癌是我国最常见的恶性肿瘤之一,临床上大多数患者就诊时已属晚期,其中有 60%~90%合并有癌栓形成[3]。门静脉癌栓可引起 或加剧门静脉高压、顽固性腹水和肝功能衰竭[4], 癌细胞可随门静脉血流发生肝内播散,术后复发 往往也是由于癌栓没有得到充分、有效的治疗。 门静脉癌栓的治疗是肝癌治疗中的难点,目前临 床上对PVTT尚缺乏确切有效的控制手段,不治 疗的肝癌伴门静脉癌栓患者的中位生存时间仅为 2.7~4月[4]。寻找有效的治疗方法,对延长肝癌患 者的生存时间和提高生存质量具有重要的意义。 原发性肝癌主要由肝动脉供血,而门静脉癌栓血 供来自动脉性肿瘤血管及胆管周围的毛细血管 丛,肝动脉栓塞化疗术无论对原发肿瘤还是门静 脉癌栓都有较好的效果。
HIFU能将高强度超声波聚焦于靶组织,在非 常短的时间内靶区温度就能上升到70℃~100℃, 通过生物效应使靶区内肿瘤细胞发生凝固性坏 死。动物试验观察证明HIFU能从体外安全有效的 治疗肝肿瘤[5]。裴峰等[6]对52例门静脉癌栓患者进 行HIFU治疗,近期有效率为40.38%。李娜等[7]对 26例患者33支门静脉癌栓给予HIFU治疗后,认为 HIFU具有肯定的疗效(26例患者均有不同程度的 改善)。本研究A组近期有效率70.59%。
3-DCRT把放射高剂量区的立体分布与肿瘤立 体形态相结合,在对肿瘤进行高剂量照射的同时 显著减少正常肝脏和周边正常器官受照射剂量, 提高中晚期肝癌合并门静脉癌栓的疗效。陈大朝 等[8]对32例门静脉癌栓进行3-DCRT治疗,近期有 效率为81.3%。陈云萍等[9]对86例门静脉癌栓进行 3-DCRT治疗,近期有效率为69.8%。本研究B组的 近期有效率67.74%,略低于文献报道。
本研究中,A、B两组的近期有效率分别为70.59%、67.74%,差异无统计学意义,两组病例 的中位生存期分别为13.4月和12.6月,显著高于文 献报道在不对PVTT进行治疗的情况下仅2.7~4月中 位生存期[5],两组中位生存期比较差异无统计学 意义。HIFU和3-DCRT治疗门静脉癌栓具有较好的 临床效果,治疗后门静脉通畅性增加,门静脉压 力得到了有效地降低,减少了门静脉高压引起的 并发症,改善了肝功能,有利于进一步的综合治 疗。HIFU治疗组的不良反应明显低于3-DCRT治疗 组。HIFU治疗较3-DCRT适应证范围更广泛,对有 肝功能损害以及大量腹水的患者也可治疗。
影响门静脉癌栓治疗效果的因素有:(1)肝 硬化程度及肝内原发病灶是否稳定,临床综合治 疗对肝癌合并门静脉癌栓患者至关重要[10],原发 病灶发生进展会引起癌栓复发或范围增大,癌栓 的发展又会引起癌细胞的播散;(2)癌栓在门静 脉系统内的分布范围以及栓塞程度;(3)治疗剂 量:适当而有效的HIFU治疗热剂量和放射治疗剂 量是治疗癌栓的重要因素。
HIFU和3-DCRT治疗中存在的问题:(1)门 静脉内的癌栓治疗后消失或者范围缩小、消失或 者减小的栓子去向不明;(2)缺乏治疗前后的病 理对照,大多是通过影像学检查进行治疗效果的 观察;(3)治疗后1~3月,癌栓可能复发或者进 展,如果患者的一般状况较好,可以重复治疗。
总之,原发性肝癌合并门静脉癌栓是原发性 肝癌治疗的难点,其治疗方法仍有争议,总体疗 效尚不满意,目前总体预后水平仍较低,失去手 术机会的患者3年生存率几乎为0。本研究显示, 在TACE治疗肝癌原发病灶的基础上,HIFU和 3-DCRT治疗门静脉癌栓均具有较好的临床疗效, 能有效地缓解症状,延长生存期,提高患者的生存质量。
| [1] | Cheng SQ,Li N,Wu MC. Treatment choice on hepatocelluar carcinoma with different types of portal vein tumor thrombus[J]. Zhongguo Pu Wai Ke Xue Ji Chu Yu Lin Chuang Za Zhi,2012,19(3):240-2.[程树群,李楠,吴孟超.门静脉癌栓分型与 治疗选择[J].中国普外科学基础与临床杂志,2012,19(3):240-2.] |
| [2] | Shi J, Lai EC, Li N, et al. A new classification for hepatoce-llular carcinoma with portal vein tumor thrombus[J]. J Hepatobiliary Pancreat Sci,2011,18(1):74-80. |
| [3] | Zhang WJ,Yang JM. Current status of treatment of primary liver cancer with portal vein tumor thrombus[J].Gan Dan Wai Ke Za Zhi,2005,13(4):314-6.[张伟杰,杨甲梅.原发性肝癌合并门静脉 癌栓的治疗现状[J].肝胆外科杂志,2005,13(4):314-6.] |
| [4] | Minagawa M,Makuuchi M.Treatment of hepatocellular carcinoma accompanied by portal vein tumor thrombus[J].World J Gastroent erol,2006,12(47):7561-7. |
| [5] | Wang ZB, Wu F, Wang ZL, et al. The orientated injury effects of high intensity focused ultrasound upon miniswine liver tissues[J]. Zhongguo Chao Sheng Yi Xue Za Zhi, 1997,13(2):1-3.[王智彪,伍 锋,王芷龙,等.高强度聚集超声对香猪肝脏组织定位损伤的研 究[J].中国超声医学杂志,1997,13(2):1-3.] |
| [6] | Pei F, Xu ZM, Li N, et al. Comparison of high-intensity focused ultrasound with percutaneous anhydrous alcohol locally injection guided by ultrasound on curing portal vein tumor thrombosis[J]. Zhong Liu Fang Zhi Yan Jiu, 2011,38(4): 447-51.[裴峰,徐周敏, 李娜,等.高强度聚焦超声与超声引导穿刺无水酒精注射治疗门 静脉癌栓的比较[J].肿瘤防治研究,2011,38(4): 447-51.] |
| [7] | Li N, Fei XB, Zhou K, et al. High intensity focused ultrasound for the treatment of portal vein tumor thrombus of hepatocellular carcinoma[J]. Zhonghua Yi Xue Chao Sheng Za Zhi (Dian Zi Ban),2005,2(3):162-5.[李娜,费兴波,周坤,等.高强度聚焦超声治 疗门静脉癌栓[J].中华医学超声杂志(电子版),2005,2(3):162-5.] |
| [8] | Chen DC, Liu QC, Chen LH, et al. Transcatheter arterial chemoembilization combined with three-dimensional conformal radiotherapy for hepatocellular carcinoma with portal vein tumor thrombus[J]. Xian Dai Zhong Liu Yi Xue,2011,19(5):955-7.[陈大 朝,刘庆春,陈龙华,等.TACE联合3DCRT治疗肝癌并门静脉癌 栓的疗效评价[J].现代肿瘤医学,2011,19(5):955-7.] |
| [9] | Chen YP, Zhang JL, Luo DF. Observation of γ-ray threedimensional conformal radiotherapy combined with interventional therapy in the treatment for portal vein tumor thrombus in patients with hepatocellular carcinoma[J]. Sichuan Yi Xue, 2011,32(7):1066-8.[陈云萍,张江灵,罗丹凤.三维适形放疗联合 肝动脉栓塞化疗治疗原发性肝癌并门静脉癌栓的临床疗效分 析[J].四川医学,2011,32(7):1066-8.] |
| [10] | Cao J, Wang ZL, Fang J, et al. Clinical observation of transcatheter arterial chemoembolization(TACE) with hyperthermia in treatment of mid and advanced primary hepatic carcinoma[J]. Zhong Liu Fang Zhi Yan Jiu, 2009,36(6):520-2[曹军,汪志良,方 捷,等.热疗联合TACE治疗中晚期肝癌的临床观察[J]..肿瘤防治 研究,2009,36(6):520-2] |
2014, Vol. 41





