2.山东中医药大学第二临床医学院
转移瘤是肝脏最常见的肿瘤,大多为多发, 单发较少见,而单发的肝脏包膜下囊性转移瘤更 少见。本文就1例肝包膜下巨大囊性转移瘤进行报 道及分析。 1 病例资料
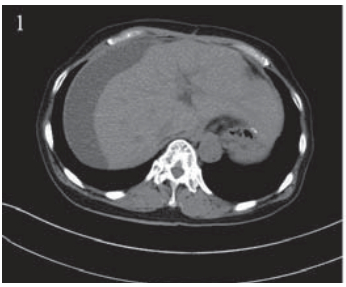
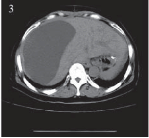
患者,女,66岁。2011年12月因“进食哽噎3 月余”就诊,查胃镜:贲门大弯后壁可见一大小约 3.5 cm×3.9 cm的不规则溃疡,周边堤样隆起。全 身CT等检查提示无其他部位转移,遂于2011年12 月22日在上海中山医院行贲门癌根治术,术中探 查见贲门部病灶,约3 cm×4 cm,质地中等,周围 脏器未见异常,遂行贲门癌根治术,食管胃机械 吻合。术后病理:“贲门”溃疡型腺癌,Ⅱ~Ⅲ级, 侵及胃壁全层及周围脂肪组织,淋巴结(3/20) 见癌转移。TNM分期为:ⅢB期(T4aN2M0), 术后复查CT:两肺少许间质性改变,后腹膜淋巴 结稍大,右肾上极局部形态异常,伴右肾囊肿。 2012年1月27日起予“奥沙利铂+替吉奥”化疗六周 期,期间复查CT无转移依据。2012年8月再次复 查CT:左肺叶间胸膜增厚,右肺上叶可疑小结 节,胃癌术后改变,肝脏小囊肿可能,肝右叶包 膜下包裹性积液,右肾上极梗死后遗改变可能, 右肾小囊肿、小结石,腹盆腔积液,见图 1。查 CA199:154.71 IU/ml,CEA:15.65 ng/ml,肿瘤 进展,遂予“紫杉醇+替吉奥”化疗一周期。2012 年11月初患者出现右上腹胀痛,进食后明显,伴 恶心、呕吐,呕吐物为胃内容物。遂入住我科。 入院查体:右上腹可触及包块,有压痛,中上腹 部可见陈旧性手术疤痕,肝区叩痛明显,余未 见异常。血常规、肝肾功能正常。CA199:143.3 IU/ml,CEA:16.56 ng/ml。腹腔B型超声:腹腔 积液,最大前后径约26 mm;肝包膜下巨大囊性 占位,大小约16.3 cm×9.5 cm,见图 2 。胸部CT未 见异常。腹盆部CT:胃癌术后改变,肝脏小囊肿 可能,肝右叶包膜下包裹性积液较前明显增加, 右肾上极梗死后遗改变可能,右肾小囊肿、小结 石,右肾轻度积水,腹盆腔积液,见图 3。
![]() |
图 1 肝包膜下巨大囊性转移瘤患者腹部CT Figure 1 Abdominal CT of huge cystic metastatic tumor of hepatic subcapsular The encapsulated fluid under the right lobe of the liver capsule |
![]() |
图 2 肝包膜下巨大囊性转移瘤患者腹部B型超声 Figure 2 Abdominal US of huge cystic metastatic tumor of hepatic subcapsular The huge cystic mass under the liver capsule,the maximum anteroposterior diameter is 16.3cm×9.5cm |
![]() |
图 3 肝包膜下巨大囊性转移瘤患者腹部CT Figure 3 Abdominal CT of huge cystic metastatic tumor of hepatic subcapsular The encapsulated fluid undethe right lobe of the liver capsule was increased significantly |
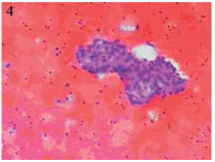
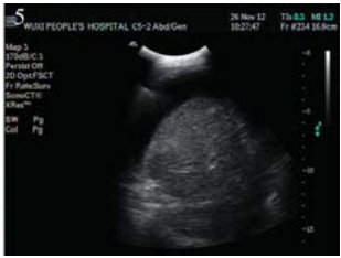
于2012年11月5日在B型超声定位下行肝包膜下 囊性包块穿刺引流,引流液暗红色不凝血,查穿刺 液常规:颜色:暗红色,红细胞计数:150×109/L, 白细胞计数:600×109/L,中性粒细胞70%,淋巴 细胞30%,李凡他试验+,透明度:浑浊。生化: 总蛋白:50.1 g/L,乳酸脱氢酶:1 042 IU/L。肿 瘤指标:CEA:958 ng/ml,CA125:788.2 IU/ml, CA199:>195 9 IU/ml,AFP:5.8ng/ml。脱落细胞 学检查找到癌细胞,见图 4。引流后于2012年11月9 日予顺铂40 mg囊腔内注射,治疗后复查肝脏B型 超声:肝包膜下囊性占位明显缩小,大小约0.8 cm ×0.8 cm,见图 5。
![]() |
图 4 肝包膜下巨大囊性转移瘤患者脱落细胞学检查 Figure 4 Cytology of huge cystic metastatic tumor of hepatic subcapsular Cancer cells were found |
![]() |
图 5 肝包膜下巨大囊性转移瘤患者B型超声 Figure 5 Abdominal US of huge cystic metastatic tumor of hepatic subcapsular The cystic mass was reduced significantly,the maximum anteroposterior diameter is 8mm×8mm |
肝脏囊肿型转移肿瘤比较少见,有数据显 示:肝脏转移瘤中约8.1%呈囊性[1],约10.6%的囊 性转移瘤为单发[2]。在我国文献报道中最多的为鼻 咽癌肝脏囊性转移,国外报道较多的为囊腺癌肝 脏囊性转移[3, 4]。一般肿瘤囊性变的原因考虑可能 有四个方面:一是肿瘤自身分泌黏液;二是肿瘤 内部广泛出血;三是肿瘤自发液化坏死或化疗后 液化坏死;四是肿瘤生长迅速、血供不足[5]。
由于肝脏囊性转移瘤早期缺乏特异性临床症 状,常因肿瘤逐渐增大,压迫正常肝脏组织及周 围器官而出现右上腹部隐痛不适,伴上腹部或右 上腹部包块。据统计[6],约57%的患者以“腹部不 适”就诊,其中30%患者可摸到腹部包块;其他的 临床表现如肝功能指标升高(26%)、黄疸(18%)、 发热(14%)、体重下降(11%)和腹水(6%)等。也有 报道因囊肿破裂或出血引起的剧烈腹痛而就诊[7]。 本例患者因“右上腹胀痛,伴恶心、呕吐”就诊, 符合大部分肝脏囊性转移患者首发症状。
根据患者既往恶性肿瘤病史、定期腹部B型超 声、CT复查以及肝穿刺活检、对囊液行细胞学、 酶学或肿瘤标志物的检测等手段的应用,肝脏囊 性转移性瘤可以明确诊断[8]。但是肝囊性转移性瘤 仍需与肝囊腺瘤、肝包虫病、肝脓肿、阿米巴肝脓 肿单纯性肝囊肿等鉴别。肝脏囊性转移性瘤在彩超 上往往表现为不规则厚壁、分隔及乳头样结节样突 起,且彩色多普勒多有较丰富的血流[9];增强CT囊 壁、分隔及乳头样突起均有不同程度的强化 [3]。
目前针对肝包膜下囊性转移癌瘤尚无标准的 治疗方案。Papis等[10]报道了一例结直肠癌肝脏 囊性转移的病例,通过肝右叶切除+术后六周期 FOLFIRI(伊立替康+亚叶酸钙+氟尿嘧啶)+贝伐珠 单抗化疗的方法,患者获得了18月的无病生存期。 Scuderi等[11]报道了一例腮腺癌肝囊性转移患者行两 次腹腔镜下部分肝切除术的病例,认为腹腔镜相比 开腹手术而言,可以减少粘连的发生,有利于再次 手术。孙万钟等[12]在用碘油-丝裂霉素乳剂行囊腔 内注射探索性治疗卵巢囊腺癌、胰腺囊腺癌的肝脏 囊性转移瘤后,认为碘油对肿瘤细胞有一定的亲和 性,且能通过丝裂霉素的缓慢释放对肿瘤细胞起一 定的杀伤作用,取得了一定的疗效。本例患者行囊 液引流后,考虑到经济、全身状况等原因,给予囊 内灌注顺铂在短期内取得了较好的治疗效果,但长 期效果有待进一步随访。
综上所述,肝包膜下囊性转移癌因其发病率 低,临床表现各异,无特异性诊断方法,临床医生 需提高对本病的认识,减少漏诊、误诊的发生。
| [1] | Li Y,Zhang R,Liang BL,et al. Types of liver metastases on MR imaging and characteristics of uncommon types[J].Ai Zheng,2006,25(2):212-6.[李勇,张嵘,梁碧玲,等. 肝转移瘤的MRI 类型及少见类型的特征[J].癌症,2006,25(2):212-6.] |
| [2] | Wu GP,Li JM. Analysis of 85 cases with liver cystic metastases of CT[J].Yi Yong Fang She Ji Shu Za Zhi, 2003,14(2):9-10.[吴桂 平,李建明. 85例肝脏囊性转移瘤的CT分析[J].医用放射技术杂 志,2003,14(2):9-10.] |
| [3] | Yu RS, Fu LP, Li RF. CT diagnosis of malignant tumors of the liver cystic[J]. Lin Chuang Fang She Xue Za Zhi, 1999,18(3):158-61.[余日胜,傅立平,李容芬.肝脏囊性恶性肿瘤 的CT诊断[J].临床放射学杂志,1999,18(3):158-61.] |
| [4] | Chen L,Cao BS,Yu DJ.Sonographic evaluation of hepatic metastases from nasopharyngeal carcinoma [J].Zhongguo Yi Xue Ying Xiang Xue Za Zhi, 2001,9(4):241-3.[陈雷,曹兵生,于 德江.鼻咽癌肝转移超声的诊断价值[J].中国医学影像学杂 志,2001,9(4):241-3.] |
| [5] | Federle MP,Filly RA, Moss AA.Cystic hepatic neoplasms complementary roles of CT and sonography[J].AJR Am J Roentg enol,1981,136(2):345-8. |
| [6] | Waldmann J,Zielke A, Moll R,et al.Cystadenocarcinoma of the gallbladde[J].J Hepatobiliary Pancreat Surg,2006,13(6):594-9. |
| [7] | Sirén J, K?rkk?inen P, Luukkonen P,et al.A case report of biliary cystadenoma and cystadenocarcinoma[J]. Hepatogastroenterology, 1998,45(19):83-9. |
| [8] | Lin CZ,Zhang M,Jia CK,et al.Four cases of misdiagnosis of liver cystadenocarcinoma[J].Zhonghua Pu Tong Wai Ke Za Zhi,2005,20(7):455-6.[林才照,张珉,贾长库,等.四例肝囊腺 癌的误诊原因分析[J]. 中华普通外科杂志,2005,20(7):455-6.] |
| [9] | Tanaka S,Kitamura T,Fujita M,et al.Color Doppler flow imaging of liver tumors[J].AJR Am J Roentgenol,1990,154(3):509-14. |
| [10] | Papis D, Barabino M,Petralia G,et al.Small colorectal cystic metastases to the liver: still a diagnosticdilemma? A report of a case and a review of the literature[J].Updates Surg,2012,64(4):297-300. |
| [11] | Scuderi V, Ceriello A, Romano M,et al. Recurrent adenoid cystic carcinoma in the liver:a repeated laparoscopic surgical approach[J]. Updates Surg,2011,63(4):301-6. |
| [12] | Sun WZ, Miao Y.Treatment of liver cystic metastases with lipiodol-mitomycin emulsion:report of 7 cases[J].You Jiang Min Zu Yi Xue Yuan Xue Bao,2001,23(2):215.[孙万钟,缪彦, 碘油— 丝裂霉素乳剂治疗肝脏囊性转移瘤7例报告[J].右江民族医学 院学报,2001,23(2):215.] |
2014, Vol.41






