椎管内硬膜外腔的海绵状血管瘤较少见,该病绝大多数源于椎体病变,而单纯位于硬脊膜外的海绵状血管瘤则罕见,且术前易与其他硬膜外病变相混淆。笔者报道本院收治一例患者。
1 病例摘要患者,男性,55岁,因“进行性双下肢酸麻、乏力7月余”于2012年3月5日入院。检查:右侧下肢肌力Ⅳ级,左侧下肢肌力Ⅳ+级,T5水平以下深浅感觉减退,肌张力正常,双侧巴宾斯基征阳性。胸椎MRI显示:T3-6水平椎管内背侧、硬脊膜外呈稍长T1稍长T2信号占位性病变,大小约73mm×11mm,增强后明显强化,伴有“鼠尾征”。在冠状位可见肿块向两侧椎间孔延伸,轴位可见肿块呈“钳状”包绕压迫脊髓(图1A~E)。诊断为T3-6水平椎管内硬脊膜外占位性病变,考虑为脊膜瘤。于全身麻醉下施行椎管内探查、病变切除术。打开椎板后可见紫红色肿瘤组织,有包膜,边界清,表面呈桑椹颗粒样。肿瘤包膜张力高,易出血,质地稍韧。肿瘤完全位于硬膜外腔,向两侧延伸至椎管侧方、向椎间孔生长。肿瘤下极背侧有一条较粗大的引流血管(图1F)。肿瘤与硬脊膜轻度粘连,椎体骨质无受累。显微镜下沿肿瘤边界逐步电凝分离并全切肿瘤。硬脊膜完整,受压明显。组织病理学检查结果:海绵状血管瘤(图2)。患者术后恢复顺利,症状完全消失。随访两年无异常。
2 讨 论椎管内硬膜外海绵状血管瘤是少见的良性病变,绝大多数由椎体的病变向硬膜外腔突入而成。该病约占所有脊髓硬膜外血管病变的12%、所有椎管内硬膜外病变的4%[1]。而与椎体无关,表现为单纯椎管内硬脊膜外的海绵状血管瘤则较罕见。该病多发生于30~60岁成人,女性略多见[2, 3]。有报道患者年龄低至23月龄[4]。病变可见于脊柱任何节段,以胸、腰段为主,大多位于硬膜外腔的背侧或背外侧[3]。
|
| A、B、C显示T3-6水平椎管后部硬脊膜外“长梭状”占位病变,其中A为胸椎矢状位(平扫),稍长T1信号; B为胸椎矢状位(平扫),稍长T2信号,可见肿瘤前方线状低信号的硬脊膜(白箭头所示); C为胸椎矢状位(增强),肿瘤注药后明显均匀强化,伴“鼠尾征”. D:胸椎冠状位(增强),肿块向两侧椎间孔延伸. E:胸椎轴位(增强),肿块呈“钳状”包绕压迫脊髓. F: 肿瘤标本大体观显示全切后的形态,尾部一条引流血管(黑箭头所示). 图1 单纯椎管内硬脊膜外海绵状血管瘤的MRI及大体表现 Fig.1 Pure spinal epidural cavernous hemangioma in a 55-year-old man |
|
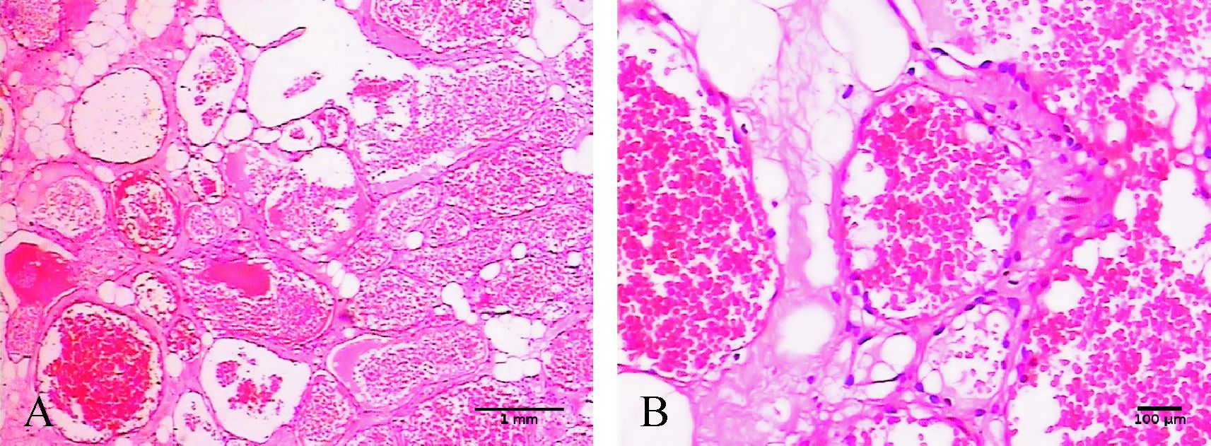
| 肿瘤组织由大小不等的扩张血管间隙构成,血管壁薄,内含大量红细胞. A:标尺=1mm ;B:标尺=100μm. 图2 切除的单纯椎管内硬脊膜外海绵状血管瘤组织显微镜下所见(HE染色) Fig.2 Photomicrograph of the surgical specimen (HE staining) |
单纯椎管内硬脊膜外海绵状血管瘤主要表现为脊髓或神经根压迫症状,可出现麻木、乏力、背痛、神经根痛等,甚至典型的急性椎间盘突出症状[5]。症状可缓慢进行性进展,或时轻时重,可能是由于瘤内反复轻微出血和(或)静脉微血栓引起瘤体体积变化所致。当伴有急剧出血加重压迫时则可表现为急性进展[5, 6],脊柱外伤、运动、怀孕可以是导致症状进展的诱因[7]。
MRI是椎管内占位病变的首选检查方式,可清晰地显示病变及与周围结构的关系。与脑内及髓内的海绵状血管瘤不同,单纯椎管内硬脊膜外海绵状血管瘤在MRI上少见含铁血黄素圈[1, 8];多表现为边界清楚的肿块,T1WI呈等信号,T2WI呈持续高信号(比脑脊液低),增强后明显均匀强化[3, 9]。肿块外形常表现为椭圆形或梭形,也可呈分叶状,沿椎管纵轴生长,常累及多个节段,可通过椎间孔向椎旁延伸。T2相矢状位可显示肿块与受压脊髓之间存在线状低信号的硬脊膜;轴位图像可见肿瘤呈“钳”形包绕并推挤脊髓。苗延巍[10]等认为这种“钳”状征象或有助于定性诊断。本例在MRI表现上与文献报道相似。由于单纯椎管内硬脊膜外海绵状血管瘤在临床及影像学上缺乏特异性表现,术前作出确切的诊断较为困难。
有压迫症状的单纯椎管内硬脊膜外海绵状血管瘤在治疗上首选手术切除。术中应尽可能完全暴露病变,显微镜下仔细探查肿瘤边界,逐步电凝供血血管,肿瘤体积皱缩后再分离,争取整体切除。分块切除可能导致严重的出血从而影响手术进程[11]。肿瘤向椎间孔外延伸生长或与神经根粘连明显或未能完全暴露致使出血较多均可使全切除手术难度增加,并可能导致神经根损伤。术后残留可导致肿瘤复发和再出血,二次手术的难度和风险也相应增大。Sohn等[1]尝试对一例术后残留的椎间孔外海绵状血管瘤行立体定向放射治疗,取得了较好结果。提示立体定向放射治疗不失为该病的一项治疗选择。除急性发作且症状严重者效果可能不佳外,本病多预后良好[3, 12]。
| [1] | SOHN M J, LEE D J, JEON S R, et al. Spinal radiosurgical treatment for thoracic epidural cavernous hemangioma presenting as radiculomyelopathy: technical case report [J]. Neurosurgery, 2009, 64(6): E1202-1203; discussion E1203. |
| [2] | D'ANDREA G, RAMUNDO O E, TRILLO G, et al. Dorsal foramenal extraosseous epidural cavernous hemangioma [J]. Neurosurg Rev, 2003, 26(4): 292-296. |
| [3] | HATIBOGLU M A, IPLIKCIOGLU A C, OZCAN D. Epidural spinal cavernous hemangioma [J]. Neurol Med Chir (Tokyo), 2006, 46(9): 455-458. |
| [4] | CHO J H, CHUNG Y N, WANG K C, et al. Spinal cavernous hemangioma causing sudden paraplegia in a 23-month-old kid [J]. J Korean Neurosurg Soc, 2006(40): 273-276. |
| [5] | FLOETH F, RIEMENSCHNEIDER M, HERDMANN J. Intralesional hemorrhage and thrombosis without rupture in a pure spinal epidural cavernous angioma: a rare cause of acute lumbal radiculopathy [J]. Eur Spine J, 2010, 19 Suppl 2: S193-196. |
| [6] | JO B J, LEE S H, CHUNG S E, et al. Pure epidural cavernous hemangioma of the cervical spine that presented with an acute sensory deficit caused by hemorrhage [J]. Yonsei Med J, 2006, 47(6): 877-880. |
| [7] | ZHONG W, HUANG S, CHEN H, et al. Pure spinal epidural cavernous hemangioma [J]. Acta Neurochir (Wien), 2012, 154(4): 739-745. |
| [8] | FENG J, XU Y K, LI L, et al. MRI diagnosis and preoperative evaluation for pure epidural cavernous hemangiomas [J]. Neuroradiology, 2009, 51(11): 741-747. |
| [9] | SHIN J H, LEE H K, RHIM S C, et al. Spinal epidural cavernous hemangioma: MR findings [J]. J Comput Assist Tomogr, 2001, 25(2): 257-261. |
| [10] | 苗延巍, 宋清伟, 康建蕴,等.椎管内硬膜外海绵状血管瘤的MR表现[J].中华放射学杂志, 2002,36(12):1101-1103. MIAO Yan-wei, SONG Qing-wei, KANG Jian-yun , et al. Spinal epidural cavernous hemangioma: MR findings. [J]. Chinese Journal of Radiology, 2002, 36(12):1101-1103. (in Chinese). |
| [11] | 钟 平, 周良辅, 高翔,等.椎管硬膜外海绵状血管瘤的诊断和治疗[J]. 中华现代外科学杂志. 2006, 3(19): 1547-1549. ZHONG Ping, ZHOU Liang-fu, GAO Xiang, et al. Diagnosis and treatment of the spinal epidural cavernous angiomas. [J]. Journal of Chinese Modern Surgery, 2006, 3(19): 1547-1549. (in Chinese). |
| [12] | AOYAGI N, KOJIMA K, KASAI H. Review of spinal epidural cavernous hemangioma [J]. Neurol Med Chir (Tokyo), 2003, 43(10): 471-475; discussion 476. |


