肝脏间叶性错构瘤1例[PDF全文]
胡芳1,2, 赵斌1,2, 孙琰1
1. 昆明医科大学第二附属医院超声科,云南 昆明 650101;
2. 昆明医科大学研究生院,云南 昆明 650101
关键词错构瘤    肝肿瘤    超声检查    

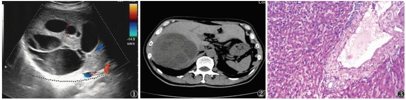
男,69岁,腹胀15 d余入院。查体:腹部平坦,未见胃肠型及蠕动波,无腹壁静脉曲张。腹肌软,无压痛,无反跳痛,Murphy征阴性,未触及肝、脾、肾及其他肿块。实验室检查:AFP < 1.80 ng/mL。影像学检查:①超声示肝右后叶探及一囊实混合回声结构,大小12.6 cm×12.6 cm×10.7 cm,边界尚清,形态尚规整;CDFI示其内及周边未见明显血流信号。超声示肝右叶囊实混合性结构,性质待查(1.复杂性囊肿,2.其他?),建议进一步检查(图 1)。②CT示肝脏右叶巨大囊实性肿块,大小10.6 cm×11.3 cm×11.2 cm,增强扫描实性成分及分隔强化。CT诊断:肝右叶囊实性肿块,恶性不除外(图 2)。手术及病理:行右半肝切除术,术后送检标本为囊实性肿块,病理结果:考虑肝脏间叶性错构瘤(mesenehymal hamartoma of the liver,MHL)(图 3)。

图 1 肝右后叶探及一囊实混合回声结构,边界尚清,形态尚规整,CDFI示其内及周边未见明显血流信号  图 2  CT示肝脏右叶巨大囊实性肿块,增强扫描实性成分及分隔强化  图 3  病理:以肝细胞为主要成分,含有胆管、血管,有丰富结缔组织增生(银染×40)

讨论:MHL是少见的良性病变,文献[1]报道MHL存在染色体异位点,是真性肿瘤,其病因不明,发病机制及组织学来源尚有争议。MHL发病年龄多在2岁以内,虽少见,但其发病率却居儿童肝脏良性肿瘤的第2位[2],发生于成人者罕见。国内少有MHL影像学表现的报道,影像医师对其认识不足。75%的MHL发生于肝右叶[3],最具特征性的超声表现是囊实性改变,与其病理示多房囊腔改变相符。其影像学表现与囊肿、未分化性胚胎性肉瘤、囊性畸胎瘤、肝母细胞瘤等存在一定程度的相似性,易误诊。鉴别诊断:①肝囊肿,一般囊肿壁厚度1~2 mm,而MHL囊腔周边实性区明显厚于肝囊肿。②未分化性胚胎性肉瘤,MHL多发于2岁以内的婴幼儿,而未分化性胚胎性肉瘤常发生于学龄期儿童,且其超声多表现为实性团块影,瘤内多有囊变、出血、坏死[4]。③囊性畸胎瘤,其声像图具有囊性特征,瘤体内常成分复杂,含毛发、皮脂及骨骼等特殊成分。④肝母细胞瘤,MHL患者血清AFP多在正常范围,而肝母细胞瘤患者多数升高,且绝大多数超声表现为瘤体规则的圆形球状实体。本病最终确诊需细针穿刺活检或术后病理检查。

总之,MHL具有较典型的超声声像图特征,超声是其首选检查,手术是其主要治疗手段,预后较好,复发率低。

参考文献
[1]
Rakheja D, Margraf LR, Tomlinson GE, et al. Hepatic mesenchy- mal hamartoma with translocation involving chromosome band 19q13.4:a recurrent abnormality[J]. Cancer Genet Cytogenet, 2004, 153: 60-63. DOI:10.1016/j.cancergencyto.2003.12.004
[2]
孙雪峰, 袁新宇, 杨梅, 等. 儿童肝脏间叶性错构瘤的CT表现与临床病理研究[J]. 中华放射学杂志, 2013, 47(10): 917-920. DOI:10.3760/cma.j.issn.1005-1201.2013.10.011
[3]
Makin E, Davenport M. Fetal and neonatal liver tumours[J]. Ea- rly Hum Dev, 2010, 86: 637-642. DOI:10.1016/j.earlhumdev.2010.08.023
[4]
Xie ZY, Li LP, Wu WJ, et al. Undifferentiated embryonal sarcoma of the liver mistaken for hepatic abscess in an adult[J]. Oncol Lett, 2014, 8: 1184-1186. DOI:10.3892/ol.2014.2235