子宫内膜癌的MRI诊断及鉴别诊断[PDF全文]
田宗武 , 邹亲玉 , 肖斌 , 张志斌 , 贺玉琴 , 李佩 , 谢雨晴 , 蒋良英
长沙医学院医学影像学院放射诊断教研室,湖南 长沙 410219
摘要目的: 探讨子宫内膜癌的MRI表现特点,提高该病的诊断及鉴别诊断水平。方法: 回顾性分析56例经手术病理证实的子宫内膜癌的临床资料及MRI表现。56例均行MRI平扫、增强扫描及DWI。结果: 56例MRI平扫多表现为T1WI呈等信号,T2WI呈略高信号;动态增强扫描肿瘤呈轻度渐进性强化,信号强度始终低于明显强化的外肌层;DWI呈高信号,ADC呈低信号,ADC值平均为(0.904±0.185)×10-3 mm/s。结论: MRI能准确预测子宫内膜癌浸润肌层深度、宫颈侵犯、淋巴结和远处转移。
关键词子宫内膜肿瘤    磁共振成像    表观扩散系数    
MRI diagnosis and differential diagnosis of endometrial carcinoma
Tian Zongwu , Zou Qinyu , Xiao Bin , Zhang Zhibin , He Yuqin , Li Pei , Xie Yuqing , Jiang Liangying
Radiation Diagnosis Teaching and Research Office, Medical Imaging College of Changsha Medical University, Changsha 410219, China
Abstract: Objective: To explore MR features of endometrial carcinoma and improve the level of diagnosis and differential diagnosis of the disease. Methods: Clinical data and MR findings of 56 cases with endometrial carcinoma confirmed by pathology were retrospectively analyzed, 56 cases were examed by MRI plain, enhanced MRI and DWI. Results: Of the 56 cases with endometrial carcinoma, the plain scan mostly showed an equal T1 and slightly longer T2 signal, while the dynamic enhancement tumors showed slight gradual enhancement, the signal intensity was always lower than that of the obviously enhanced outer muscle layer, DWI showed high signal, ADC showed low signal, and the ADC value averaged (0.904±0.185)×10-3 mm/s. Conclusion: MRI can accurately predict the depth of infiltrating myometrium, invasion of cervical matrix, lymph node involvement and distant metastasis.
Key words: Endometrial neoplasms    Magnetic resonance imaging    Apparent diffusion coefficient    

子宫内膜癌的诊断主要依靠刮宫和细胞学检查,影像学检查方法有经阴道超声、CT、MRI等,其中MRI是诊断子宫内膜癌的最佳无创检查方法,不仅能直接显示肿瘤形态,还能对子宫内膜癌进行分期。笔者收集2015年6月至2019年6月56例经手术病理证实的子宫内膜癌的临床资料及MRI表现,评价MRI对该病的诊断及鉴别诊断价值。

1 资料与方法 1.1 一般资料

56例年龄35~70岁,中位年龄53岁;绝经前20例,绝经后36例。临床主要表现为不规则阴道流血或血性分泌物43例,月经紊乱5例,经期延长6例,无症状2例。纳入标准:①经术前诊断性刮宫或宫腔镜病理确诊;②术前1~2周接受MRI检查且资料完整;③术后病理结果完整;④患者及家属知情同意。排除标准:①MRI检查禁忌证;②入院前行相关治疗。

1.2 仪器与方法

采用Siemens Avanto 1.5 T MRI超导扫描仪,相控阵体线圈。患者取仰卧位,先行常规MRI平扫。扫描序列与参数:矢状面T2WI抑脂序列,TR 4 000 ms,TE 83 ms;轴位T2WI抑脂序列,TR 8 000 ms,TE 83 ms;冠状面T2WI抑脂序列,TR 4 000 ms,TE 98 ms;轴位T1WI抑脂序列,TR 4.89 ms,TE 2.38 ms;矩阵256×256或320×320;层厚3.0~5.0 mm,层距1.2~1.5 mm;NEX 4。增强扫描为横轴面、矢状面、冠状面T1WI抑脂序列,对比剂采用Gd- DTPA,剂量0.2 mmol/kg体质量,注射流率2.5 mL/s,扫描参数同平扫。DWI采用单次激发平面回波成像序列行轴位扫描:TR 3 200 ms,TE 83 ms,b值取50、400和800 s/mm2,层厚3.0 mm,层距1.2 mm,矩阵320×256,FOV 238 mm×280 mm,NEX 4。

由2名放射科主治医师在肿瘤最大层面的ADC图像上测量ADC值,选择ROI尽量避开囊变坏死、出血及血管区域,测量3次取平均值。

2 结果 2.1 国际妇产科联盟(FIGO)分期[1]

依据FIGO分期,56例中,Ⅰ期23例,其中ⅠA期13例,7例结合带完整,6例结合带中断,< 1/2肌层浸润;ⅠB期10例,结合带连续性中断,≥ 1/2肌层浸润。Ⅱ期18例,肿瘤累及宫颈基质,未超出子宫体。Ⅲ期10例,阴道受累3例,卵巢受累2例,盆腔淋巴结转移5例。Ⅳ期5例,其中ⅣA期4例,膀胱受累2例,直肠受累2例;ⅣB期1例,出现腹腔内转移。

2.2 MRI表现

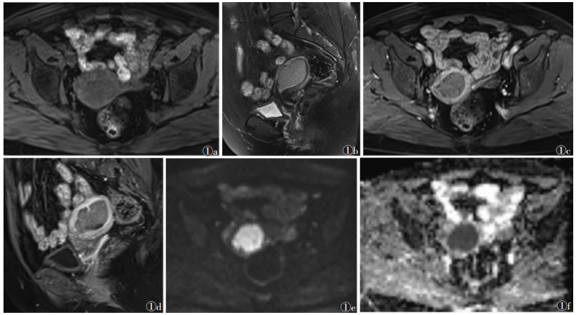
肿瘤平扫信号强度与子宫肌层信号相比,T1WI呈等或略低信号(图 1a),其中等信号40例,略低信号16例;T2WI呈略高信号51例(图 1b),高信号5例。56例增强扫描T1WI上子宫内膜癌组织均呈轻度渐进性强化,信号强度始终低于明显强化的外肌层(图 1c1d),肿瘤与子宫外肌层信号对比差在增强扫描后180 s达最大,与正常肌层对比非常明显。56例DWI均呈高信号(图 1e),ADC呈低信号(图 1f),ADC值平均为(0.904±0.185)×10-3 mm/s。

图 1 女,56岁,MRI示子宫腔内一大小3.6 cm×3.8 cm×4.4 cm肿块,手术病理证实为子宫内膜腺癌  1a  T1WI抑脂轴位,肿瘤呈稍低信号,边缘不清  1b  T2WI抑脂矢状位,肿瘤呈稍高信号  1c  T1WI抑脂增强轴位,正常子宫肌层明显强化,肿瘤轻度强化呈相对低信号  1d  T1WI抑脂增强扫描矢状位,肿瘤轻度强化呈相对低信号 1e DWI示肿瘤呈高信号  1f  ADC图肿瘤呈低信号,ADC值为0.889× 10-3 mm2/s

2.3 宫颈受侵

56例中43例(76.79%)侵犯宫颈,表现为T2WI上呈正常低信号的宫颈基质被肿瘤所取代,信号增高,有时可见宫颈管扩大。

3 讨论 3.1 概述

子宫内膜癌发病率逐年上升,居妇科恶性肿瘤第3位,仅次于卵巢癌和宫颈癌;其发病的高危因素主要有肥胖、糖尿病、高血压、口服避孕药、经产状态、不孕症、吸烟等[2-3]。子宫内膜癌大体病理分为弥漫型和局限型,组织学上分为子宫内膜样腺癌、子宫浆液性腺癌、透明细胞癌等[4]。子宫内膜癌发病峰值年龄是55~65岁,早期无特异性临床表现,> 90%的患者出现异常子宫出血(包括不规则的月经周期及经间期出血),绝经后阴道流血或流液是该病唯一的临床表现[2],本组43例(76.79%);< 5%的患者无明确的临床症状[5],本组仅2例(3.57%)。

3.2 病理分期

2014年FIGO分期[1]中依据子宫内膜癌侵犯范围分为4期:Ⅰ期,肿瘤限于子宫体,ⅠA期,无子宫肌层受累或 < 1/2肌层浸润;ⅠB期,≥ 1/2肌层浸润。Ⅱ期,肿瘤累及宫颈基质,未超出子宫体。Ⅲ期,肿瘤局部扩散/区域扩散,ⅢA期,肿瘤累及子宫浆膜层和(或)附件;ⅢB期,阴道和(或)宫旁受累;ⅢC期,盆腔和(或)腹主动脉旁淋巴结转移。Ⅳ期,肿瘤侵犯膀胱和(或)直肠粘连转移和(或)发生远处转移,ⅣA期,肿瘤侵犯膀胱和(或)直肠粘连转移,ⅣB期,远处转移,包括腹腔内转移和(或)腹股沟淋巴结转移。本组Ⅰ期23例,Ⅱ期18例,Ⅲ期10例,Ⅳ期5例。

3.3 MRI表现

MRI检查主要用于子宫内膜癌的诊断、分期、治疗和复发监测等,其中分期是其最主要的作用[6]。子宫内膜癌在T1WI上正常宫体、宫颈和阴道均呈低信号,无法区分子宫腔及肌层。其在T2WI上能清晰显示子宫各层解剖结构,宫体、宫颈和阴道呈分层表现:宫体自内向外分3层,中心高信号代表子宫内膜和宫腔分泌物,中间薄的低信号为子宫肌内层,称结合带或联合带,最外的中等信号为子宫肌外层;宫颈自内向外分为4层:呈高信号的宫颈管内黏液、中等信号的宫颈黏膜、低信号的宫颈纤维基质和中等信号的宫颈肌层;阴道分2层:中心为高信号的阴道上皮和内容物,周围为低信号的阴道壁。当肿瘤侵犯子宫肌内层和宫颈基质时,结合带和宫颈基质中断,被肿瘤组织取代,T2WI呈高信号[7]。当肿瘤累及宫颈时,在T2WI上呈低信号的宫颈基质内出现中等信号肿块影,并与子宫内膜肿瘤连为一体,且宫颈管扩张;本组宫颈侵犯76.79%(43/56)。增强扫描T1WI上肿瘤组织均呈轻度渐进性强化,信号强度始终低于明显强化的外肌层。DWI主要反映细胞外水分子扩散受限程度,一般来说,恶性肿瘤或高级别肿瘤由于细胞增殖速度快、核大且结构更致密、细胞外间隙减小而导致扩散受限及ADC值下降[7-10]。本组56例在DWI上均呈高信号,ADC呈低信号,ADC值平均为(0.904±0.185)×10-3 mm/s。

3.4 鉴别诊断

子宫内膜癌应与以下疾病鉴别:①子宫内膜息肉,为子宫腔内最常见的肿瘤,增强扫描比周围子宫肌层强化明显[11],T2WI瘤内呈低信号的纤维核及高信号的囊变为其特征表现[12]。②子宫黏膜下肌瘤,T1WI示肿瘤与正常子宫肌层相比呈等信号,T2WI呈均匀低信号,边缘清晰,继发变性时信号不均匀,DWI和ADC一般无弥散受限。③子宫平滑肌肉瘤,常见于50岁左右绝经期妇女,肿瘤主要位于子宫肌层,MRI示肿块与子宫分界模糊,T1WI呈低信号,T2WI呈不均匀高信号,易囊变、出血,DWI呈高信号,ADC呈低信号,增强扫描早期明显强化,于60 s达到峰值,之后维持高强化水平[13]

总之,子宫内膜癌的诊断主要依靠刮宫和细胞学检查,MRI能准确预测浸润肌层深度、宫颈侵犯、淋巴结和远处转移,有助于术前评价及术后随访。

参考文献
[1]
白人驹. 医学影像诊断学[M]. 4版. 北京: 人民卫生出版社, 2017: 520.
[2]
姚广, 雷敏, 吕晓, 等. 子宫内膜癌的早期诊断研究进展[J]. 中国妇幼保健, 2018, 33(1): 235-237.
[3]
Topuz S, Sozen H, Vatansever D, et al. Do obesity and age effect the clinicopathological features and survial outcomes in premenopausal women with endometrial cancer[J]. Eur J Gynaecol Oncol, 2016, 37: 320-326.
[4]
尹希, 吴慧, 高阳, 等. 不同扩散模型在子宫内膜癌诊断中的应用[J]. 磁共振成像, 2018, 9(7): 556-560.
[5]
Giannella L, Mfuta K, Setti T, et al. Diagnostic accuracy of endometrial thickness for the detection of intrauterine pathologies and appropriateness of performed hysteroscopies among asymptomatic postmenopausal women[J]. Eur J Obstet Gynecol Reprod Biol, 2014, 177: 29-33.
[6]
张敏, 钱麟, 黄俊, 等. DWI联合MRI动态增强扫描对子宫内膜癌术前分期的诊断价值[J]. 中国中西医结合影像学杂志, 2019, 17(5): 460-463.
[7]
黄恩善, 李瑞雄, 杨维珍, 等. 磁共振常规平扫联合扩散加权成像和动态增强检查诊断子宫内膜癌的应用[J]. 医学影像学杂志, 2018, 28(4): 666-669.
[8]
张梅芳, 黄家文, 鲍道亮, 等. DWI与MRI动态增强扫描在子宫内膜癌诊断中的应用[J]. 中国中西医结合影像学杂志, 2019, 17(6): 580-583.
[9]
陈粉合, 邓祎, 杨海霞, 等. 磁共振成像在子宫内膜癌术前诊断中的价值[J]. 中国CT和MRI杂志, 2018, 16(6): 108-110, 140.
[10]
陈苑, 程敬亮, 白洁, 等. DWI及动态增强MRI鉴别诊断Ⅰa期子宫内膜癌与子宫内膜息肉[J]. 中国医学影像技术, 2017, 33(1): 70-74.
[11]
Grasel RP, Outwater EK, Siegelman ES, et al. Endometrial poly ps:MR imaging features and distinction from endometrial carc inomal[J]. Radiology, 2000, 214: 47-52.
[12]
Ueda M, Otsuka M, Hatakenaka M, et al. MR imaging finding of uterine endometrial stromal sarcoma:differentiation from en dometrial carcinomal[J]. Eur Radio, 2001, 11: 28-33.
[13]
薛康康, 程敬亮, 白洁, 等. DWI及动态增强MRI鉴别诊断子宫肉瘤与变性子宫肌瘤的价值[J]. 中国医学影像技术, 2016, 32(2): 274-278.