| MSCT Dental技术在外伤后前牙区隐匿性根折法医学鉴定中的应用 |
2. 中国政法大学证据科学研究院,北京 100088;
3. 河南科技大学临床医学院 河南科技大学第一附属医院口腔颌面外科,河南 洛阳 471003
由于前牙暴露,故牙外伤常见于上前牙,包括牙震荡、牙脱位、牙折(冠折、根折和冠根折)等[1]。在法医学鉴定实践中,及时、准确诊断牙齿根折程度、数目是法医学鉴定的关键。由于前牙牙折大多位于牙根部,故多数牙折患者通过临床视诊、探诊无法发现,需通过影像学检查进行诊断。目前检查牙根折最常用的方法为普通X线牙片或曲面断层片,但对隐匿性根折,普通牙片及曲面断层片由于投照角度、投照位置图像重叠等原因难以作出有效、明确的诊断。MSCT Dental技术通过薄层CT扫描行全景和剖面重建,加以MPR、VR、MIP等后处理技术,能够清晰显示隐匿性根折的骨折线,以及邻牙、周围牙槽骨的情况,进而明确诊断,为法医临床鉴定提供依据。
1 资料与方法 1.1 一般资料选取2016年1月至2018年12月外伤后可疑而普通X线片和曲面断层片难以确诊的前牙区根折患者28例,其中男19例,女9例;年龄9~75岁,平均(36.0±1.5)岁;男女比例2.1:1。患者均有牙齿松动、叩痛、根部黏膜触痛等临床症状及体征。
1.2 仪器与方法采用Siemens Emotion 16螺旋CT,选择Head-Dental扫描方案行薄层容积扫描。扫描范围为上颌窦中部至下颌体下缘,28例均一次性完成扫描。扫描参数:130 kV,45 mAs,旋转时间1.0 s,准直0.6 mm,层厚0.75 mm,每圈移床量7.7 mm,螺距0.80,增量0.4 mm,容积CT剂量指数(CTDIvol)11.97 mGy,卷积核H70s锐利,增量0.4 mm,Dental窗(窗宽2 000 HU,窗位400 HU),FOV 125 mm×125 mm,矩阵512×512。
1.3 图像后处理与分析扫描结束后将原始图像传入WWMP(MultiModality Workplace)工作站,行Dental技术成像,获得专业全景图及剖面图,再行MPR、MIP、VR等。所有图像均由2名高年资放射科医师分析,从不同角度观察牙体断面,分析牙体及邻近组织损伤情况。
2 结果28例共49颗牙齿根折(图 1),其中单颗牙根折18例(64.3%),多颗牙根折10例(35.7%);中切牙根折39颗(79.6%),侧切牙根折10颗(20.4%);8例合并冠折;9例合并邻近牙槽突骨折;10例合并邻牙损伤,其中6例为牙齿缺如,4例为冠折(图 2,3)。49颗根折牙齿中,骨折线位于根颈1/3处12颗(24.5%),根中1/3处6颗(12.2%),根尖1/3处31颗(63.3%),以根尖1/3处最常见(图 4,5)。
![]() |
| 图 1 男,26岁,外伤后前牙不适,隐匿牙折,X线摄影难以确定牙根是否骨折,行MSCT检查 图1a MPR矢状位可见21牙线状透亮影(箭头) 图1b VR直观清晰显示牙折 |
![]() |
| 图 2 男,35岁,外伤后。MPR矢状位显示常规检查不易显示的门齿(11牙)不完全脱位 |
![]() |
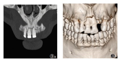
| 图 3 男,40岁 图3a,3b MIP及VR清晰显示11~12牙邻近牙槽突骨折情况(箭头) |
![]() |
| 图 4 男,23岁,21牙根颈1/3处根折 |
![]() |
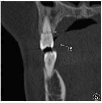
| 图 5 男,31岁,15牙根中1/3处根折(箭头) |
3 讨论
国际牙外伤协会[2]将牙折分为冠折、根折和冠根折。外伤性根折多见于牙根完全发育形成的成人牙齿,而未成年人牙根部支持组织不够牢固,受到外伤时常被撕脱或脱位,一般不易引起根折。根折特点是牙齿松动和有触压痛,越近牙颈部,疼痛及松动越明显。根折按其部位可分为根颈1/3处、根中1/3处和根尖1/3处,最常见为根尖1/3处,本组31颗,占63.3%。根折按骨折线走行可分为横行根折和纵行根折,横型根折在外伤性根折中最常见,其折裂线在近、远中向与牙齿长轴垂直,而唇、舌向常有一定损伤[3];而纵形根折在外伤中较少见。
X线检查是诊断根折的常规手段,如果根折断端有明显移位情况,则较易显示;如断端移位不明显,摄片时中心射线与折裂线一致或平行时,方能在X线片上显示折裂线;如中心射线与折裂线的角度大于15°~20°时,很难观察到折裂线;少数患者因根折断端的移位程度较轻微及未形成明显炎性反应,初诊时X线片无明显骨折线,易漏诊,特别是隐匿性牙折。因此,仅依靠根尖片或曲面断层片诊断根折,尤其是早期不完全隐匿性根折较困难。Bornstein等[4]报道,传统的X线片和CT图像上根折水平一致的仅31.8%。而运用MSCT Dental技术能够获得专业全景图及剖面图,再辅助MPR、VR、MIP等,可对患牙多层面、多角度观察,有效避免影像重叠,清晰显示骨折线位置及走行,可对根折及时明确诊断,以免漏诊或延误治疗。闫雪冰等[5]使用CT技术分析了23颗X线根尖片未发现明显牙裂的患牙,结果表明CT诊断牙根纵裂的敏感度达81%。Edlund等[6]对29例32颗临床诊断可疑根折的患牙行CT检查,得出CT的诊断准确率为84%。
MSCT Dental技术在外伤后隐匿性前牙区根折的诊断中能够显示骨折线位置、走行及断端移位情况;清晰显示邻近牙槽骨骨折情况及邻牙损伤或病变情况,从而及时、准确地诊断,为临床治疗和法医临床学鉴定提供依据[7]。部分较严重的牙齿根折可伴牙槽骨骨折,其分为线性、粉碎性,有时为单纯的外骨板或内骨板折断,甚至牙槽骨完全折断,MSCT Dental技术能够清晰显示,本组9例合并牙槽突骨折。由此可见,CT在对根折的发现与诊断中是重要的检查方法,在隐匿性牙折的确诊方面,更有着其他方法无法比拟的优势。
综上所述,单纯使用传统X线摄影判断骨折线是否累及髓腔非常困难或无法判断。MSCT Dental技术可多角度观察牙折线,准确显示骨折线是否通过牙髓腔,能够对伤情进行准确分级。因此,MSCT Dental技术在外伤后前牙区隐匿性根折法医学鉴定中具有重要意义。
| [1] |
史久成. 口腔内科学[M]. 北京: 人民卫生出版社, 2003: 56.
|
| [2] |
丁艳, 袁锋. 30例牙齿损伤的法医学鉴定分析[C]//中国法医学会.全国第十八届法医临床学学术研讨会论文集: 法医临床学专业理论与实践, 2015: 484-485.
|
| [3] |
高志荣, 史俊南. 恒牙外伤性根折[J]. 国际口腔医学杂志, 1987, 14(4): 211-213. |
| [4] |
Bornstein MM, Wolner-Hanssen AB, Sendi P, et al. Comparison of intraoral radiography and limited cone beam computed tomography for the assessment of root-fractured permanent teeth[J]. Dent Traumatol, 2009, 25: 571-577. |
| [5] |
闫雪冰, 彭红, 刘利, 等. 锥形束CT在早期诊断牙根纵裂中的应用[J]. 实用口腔医学杂志, 2011, 27(1): 46-49. DOI:10.3969/j.issn.1001-3733.2011.01.010 |
| [6] |
Edlund M, Nair MK, Nair UP. Detection of vertical root fractures by using cone-beam computed tomography:a clinical study[J]. J Endod, 2011, 37: 768-772. |
| [7] |
卫粉兰, 籍增平, 邵海荣, 等. 牙创伤的临床治疗及预后[J]. 基层医学论坛, 2016, 20(5): 581-583. |
2020, Vol. 18







