| 肝内胆管癌与甲胎蛋白阴性肝细胞肝癌的MRI影像特征对照分析 |
2. 厦门大学附属中山医院影像科,福建 厦门 361004
肝内胆管癌(intrahepatic cholangiocarcinoma,ICC)是指肿瘤起源于肝内胆道系统2级胆管以下的胆管上皮细胞的恶性肿瘤[1-2],是原发性肝癌(primary liver cancer,PLC)中继肝细胞肝癌(hepatocellular carcinoma,HCC)后第2常见的恶性肿瘤,具有早期临床表现缺乏特异性、恶性度高、进展快等特点。目前临床诊断PLC的主要指标是甲胎蛋白(AFP),已广泛用于高危人群的普查和筛查。在我国30%~40%的PLC患者AFP呈阴性[3],而ICC的AFP几乎均为阴性,这与AFP阴性的HCC鉴别诊断困难[4]。本研究比较ICC及AFP阴性HCC的术前MRI资料,并分析其影像特点,以期增加对ICC的认识,及早诊断治疗。
1 资料与方法 1.1 一般资料收集2016年1月至2019年7月于厦门大学附属中山医院实施肝脏切除术并经病理证实AFP阴性的PLC 117例,其中男95例,女22例,男女比例4.32:1,年龄35~91岁,平均(58.95±13.08)岁。ICC组22例,男15例,女7例,男:女比例2.14:1,年龄35~75岁,平均(57.32±11.73)岁;HCC组95例,男80例,女15例,男女比例5.33:1,年龄37~91岁,平均(59.33±13.4)岁。所有患者术前均行AFP、MRI等检查,均经手术病理诊断为ICC或HCC,临床诊断均符合PLC诊断标准[5]。
1.2 AFP测定标准血清AFP采用酶标定量法测定:AFP正常值为0~20 μg/L,≤20 μg/L为阴性,> 20 μg/L为阳性。
1.3 仪器与方法使用Siemens 3.0 T Verio MRI机、腹部线圈8通道。扫描范围自膈顶至肝下缘。扫描序列及参数:T2WI采用TSE-FS序列,TR 2 000 ms,TE 79 ms,1次信号采集;T1WI采用SE序列,TR 240 ms,TE 3.69 ms,1次信号采集;冠状位T2-HASTE序列,TR 1 400 ms,TE 93 ms,1次信号采集;DWI采用b值=50、400、1 000 s/mm2,TR 5 900 ms,TE 83 ms,5次信号采集;增强扫描采用横断面Vibe序列,TR 3.92 ms,TE 1.39 ms,1次信号采集。全部扫描序列矩阵为288×224、256×179,视野38 cm×30 cm,层厚3~8 mm,层距1~2 mm。增强扫描使用对比剂Gd-DTPA,经肘静脉高压注射,流率1.5~2.0 mL/s,剂量0.1 mmol/kg体质量,分别于注射后20~35 s、50~60 s及4~5 min行3期扫描。
1.4 图像分析由2名放射科副主任医师分别对图像进行分析,比较2组肿瘤部位、数量、大小、信号特点、强化模式、包膜、脉管瘤栓、肝内转移、淋巴结转移、肝硬化、门脉高压、腹水、肝内胆管扩张等情况。强化模式分为“快进快出”、“渐进性强化”,其中“快进快出”表现为动脉期病灶明显强化,门脉期或延迟期强化程度减低;“渐进性强化”表现为动脉期病灶边缘强化,门脉期或延迟期病灶向心性渐进性持续性强化。MRI增强扫描表现为门静脉充盈缺损时定义为脉管瘤栓。
1.5 统计学方法使用SPSS 25.0软件进行数据分析。计数资料用n(%)的形式表示,行χ2检验或Fisher精确检验比较分析。以P<0.05为差异有统计学意义。
2 结果2组术前MRI表现见表 1,2组发病部位、强化模式、包膜、肝内胆管扩张、淋巴结转移方面比较,差异均有统计学意义(均P<0.05);2组肿瘤数量、最大径、信号特点、脉管瘤栓、肝内转移、肝硬化、门脉高压、腹水例数比较,差异均无统计学意义(均P > 0.05)。见图 1,2。
| 表 1 2组术前MRI表现对照 |
![]() |
![]() |
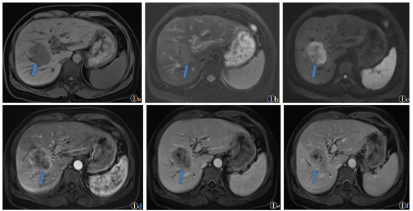
| 图 1 女,54岁,肝内胆管癌(ICC),AFP值为8.62 ng/mL 图1a 轴位T1WI示病灶位于肝右叶,呈类圆形,信号均匀,呈稍低信号 图1b 轴位T2WI脂肪抑制序列呈稍高信号,大小5.2cm×4.2cm,边缘模糊,形态欠规则 图1c DWI上病灶呈高信号 图1d 增强扫描动脉期病灶呈明显不均匀强化 图1e,1f 分别为门脉期、延迟期,病灶缓慢填充,表现为渐进性强化(箭头) |
![]() |
| 图 2 男,35岁,ICC,AFP值1.92 μg/L 图2a 轴位T1WI示病灶位于肝右叶,呈多发团块状,信号尚均匀,呈低信号 图2b 轴位T2WI脂肪抑制序列呈高信号,信号不均;较大者11.0cm×9.3 cm,边缘模糊,形态欠规则 图2c DWI上病灶呈稍高信号 图2d 增强扫描动脉期病灶呈明显不均匀强化 图2e,2f 分别为门脉期、延迟期,病灶呈相对低信号,周边见环形强化影,强化方式表现为快进快出(箭头) |
3 讨论
本研究117例PLC的AFP均为阴性,ICC病灶发生在肝右叶12例(54.5%),肝左叶8例(36.4%),肝左、右叶2例(9.1%),肝左叶发病率明显高于HCC组(15.8%,15/95),肝左、右叶同时发病比例明显低于HCC组(25.3%,24/95)(P<0.05);与文献[6]报道相符。ICC组T1WI呈稍低信号、T2WI呈稍高信号8例(36.4%),T1WI呈低信号、T2WI呈高信号14例(63.6%),DWI呈高信号19例(86.4%)或稍高信号3例(13.6%)信号,与HCC组比较,MRI信号特点差异无统计学意义,提示ICC患者MRI的信号特点无特异性;2组强化模式差异有统计学意义(P<0.05),提示2组血流动力学变化方面不同,由于ICC纤维间质组织丰富,血供相对较少,肿瘤组织在其内散在或集群分布,主要表现为渐进性强化。有学者[7-8]认为,对比剂在纤维间质和血管之间弥散、清除较慢,是ICC会出现特征性渐进性强化的病理基础,与王淑贤等[9]的研究一致。本研究ICC组中伴肝内胆管扩张比例显著高于HCC组(68.2% vs. 3.2%),这与ICC起源于胆管上皮细胞,癌细胞沿胆管侵犯,或原有胆管疾病导致胆管阻塞和/或破坏而引起胆管扩张有关。因此有学者[10]认为病灶内胆管扩张可作为ICC最重要的伴随征象。文献[11-12]报道,ICC约1/3发生淋巴结转移,本研究ICC组8例(36.4%),明显高于HCC组(9.5%,9/95)(P<0.05),提示ICC淋巴结转移率较高且较HCC常见,与报道相符。本研究ICC有包膜3例(13.6%),明显低于HCC组(30.5%,29/95),提示ICC呈浸润性生长且纤维包膜缺乏恶性生物学行为。
综上所述,AFP阴性ICC在血流动力学方面与AFP阴性HCC具有明显差异,且AFP阴性ICC多伴肝内胆管扩张、淋巴结转移率较高,侵袭性较强,较少有包膜。AFP阴性ICC的MRI表现具有一定的特征性,MRI多期增强扫描有助于AFP阴性肝内占位性病变的鉴别诊断。
| [1] |
FILIPPI L, PELLE G, CIANNI R, et al. Change in total lesion glycolysis and clinical outcome after (90)Y radioembolization in intrahepatic cholangiocarcinoma[J]. Nucl Med Biol, 2015, 42(1): 59-64. DOI:10.1016/j.nucmedbio.2014.08.011 |
| [2] |
谢玉海, 余永强, 钱银锋, 等. 扩散加权成像在鉴别肝细胞肝癌和周围型胆管细胞癌中的价值[J]. 临床放射学杂志, 2016, 35(6): 887-890. |
| [3] |
TANG Z Y, YE S L, LIU Y K, et al. A decade's studies on metastasis of hepatocellular carcinoma[J]. J Cancer Res Clin Oncol, 2004, 130(4): 187-196. DOI:10.1007/s00432-003-0511-1 |
| [4] |
SATO Y, OJIMA H, ONAYA H, et al. Histopathological charac-teristics of hypervascular cholangiocellular carcinoma as an early stage of cholangiocellular carcinoma[J]. Hepatol Res, 2014, 44(11): 1119-1129. DOI:10.1111/hepr.12236 |
| [5] |
中国抗癌协会HCC专业委员会. 原发性肝癌的临床诊断与分期标准[J]. 现代实用医学, 2002, 9(4): 213. |
| [6] |
华向东, 傅熙博, 郝志强, 等. 肝内胆管细胞癌的CT表现特征分析[J]. 中华医学杂志, 2014, 94(6): 449-451. |
| [7] |
揭育添, 黄裕存, 陆少范, 等. MRI对肝吸虫性肝内胆管细胞癌的诊断价值[J]. 中国中西医结合影像学杂志, 2019, 17(4): 360-362. |
| [8] |
赵丽, 赵心明. 磁共振成像在肝内胆管细胞癌的诊断及疗效评估中的研究进展[J]. 磁共振成像, 2017, 8(10): 791-794. |
| [9] |
王淑贤, 郭华, 髙剑波, 等. MSCT联合肿瘤标志物对肝内肿块型胆管细胞癌的诊断价值[J]. 放射学实践, 2017, 32(1): 43-47. |
| [10] |
单凯, 李职跃. 不同病理分级的肿块型肝内胆管细胞癌的影像学征象比较[J]. 放射学实践, 2018, 33(6): 582-586. |
| [11] |
黄元哲, 杨新伟, 杨家和. 肝内胆管细胞癌的治疗进展[J]. 肝胆外科杂志, 2014, 22(1): 73-76. |
| [12] |
WANG K, ZHANG H, XIA Y, et al. Surgical options for intra-hepatic cholangiocarcinoma[J]. Hepatobiliary Surg Nutr, 2017, 6(2): 79-90. DOI:10.21037/hbsn.2017.01.06 |
2020, Vol. 18





