| DSA引导下经颈内或锁骨下静脉穿刺植入静脉输液港的对比分析 |
2. 康复大学青岛医院/青岛市市立医院放射科, 山东 青岛 266011;
3. 康复大学青岛中心医院/青岛市中心医院放射介入科, 山东 青岛 266042;
4. 康复大学青岛中心医院/青岛市中心医院分子影像科, 山东 青岛 266042
2. Department of Radiology, Qingdao Hospital of Rehabilitation University, Qingdao Municipal Hospital, Qingdao 266011, China;
3. Department of Interventional Radiology, Qingdao Central Hospital of Rehabilitation University, Qingdao Central Hospital, Qingdao 266042, China;
4. Department of Molecular Imaging, Qingdao Central Hospital of Rehabilitation University, Qingdao Central Hospital, Qingdao 266042, China
完全植入式输液港(totally implantable access port,TIAP)已在临床中广泛开展,因其导管末端在中心静脉中,可避免高渗、高浓度刺激性药物对外周静脉的刺激和损伤,以及反复穿刺血管引起的血管炎;与传统经外周静脉穿刺中心静脉置管相比,TIAP感染率低、冲换管次数少[1-2]。近年来,越来越多的医院开展了输液港植入技术[3]。美国每年TIAP的使用量超过40万[4],约15%发生感染、气胸、血胸及动脉损伤等相关并发症,影响患者的生活质量[5]。TIAP植入路径不同有效性和安全性也存在差异。目前,最常见的植入路径有经颈内静脉和经锁骨下静脉2种,但尚无选择标准[6]。有学者提出经颈内静脉植入的常见并发症发生率更低[7],但其未对港体翻转、纤维蛋白鞘及留置时间等对比分析。因此,本研究比较2种入路并发症发生率及留置时间,分析静脉入路植入输液港的有效性和并发症发生情况,为临床选择提供科学依据。
1 资料与方法 1.1 一般资料收集青岛市中心医院2022年1月至2023年12月经颈内静脉植入输液港患者116例(颈内静脉组)和经锁骨下静脉植入输液港患者151例(锁骨下静脉组)的临床资料。
纳入标准:①经病理诊断为恶性肿瘤(主要为乳腺癌、肺癌、肝癌);②同意植入输液港;③年龄>18岁;④一般状况良好。排除标准:①既往有血栓形成史;②植入港区域有皮肤软组织感染;③血液高凝状态;④化疗期间因输液港并发症之外的原因死亡;⑤失访。最终纳入267例,根据穿刺路径分为经颈内静脉组116例和经锁骨下静脉组151例。本研究经医院伦理委员会审批(批号:KY202416801),符合《赫尔辛基宣言》的原则。
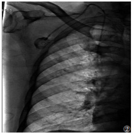
1.2 仪器与方法采用巴德5F植入式静脉输液港、穿刺套件、心电监护仪、蝶翼针。由2位具有5~10年植入经验的医师与1位护士在DSA引导下采用2种不同的穿刺入路植入输液港,术中行X线检查确保导管位置并判断有无血气胸等并发症。①锁骨下静脉入路:于锁骨下约1 cm、中外1/3交界处穿刺,在导丝引导下引入输液港,将导管末端置于上腔静脉和右心房交界处(约T6~T7椎体水平),经DSA确认后建立囊袋(锁骨下窝处)以放置港体、打通皮下隧道,连接固定港体与导管(图 1)。②颈内静脉入路:于颈内动脉偏外约0.5 cm、斜角肌三角顶点处穿刺,在导丝引导下引入导管(导管末端位置同上);建立囊袋、打通皮下隧道,连接导管与港体,注意翻转导管经皮下隧道下行至锁骨下窝处(港体埋植处)(图 2)。操作时若误入动脉,须立即停止并加压止血10 min;若出现气胸须暂停手术,并观察5~10 min,若大量气胸须行胸腔穿刺引流。
![]() |
| 图 1 经锁骨下静脉穿刺入路植入输液港 |
![]() |
| 图 2 经颈内静脉穿刺入路植入输液港 |
比较2组一次性置管成功率(盲穿成功进入颈内或锁骨下静脉且导管送入顺利);导管留置时间;并发症,如气胸、穿刺误入动脉、血栓、纤维蛋白鞘、港体翻转、囊袋感染、港周血肿、导管阻塞/异位/断裂、导管打折弯曲及夹闭综合征等。
1.3 统计学方法采用SPSS 25统计软件分析数据。正态分布的计量资料以x±s表示,组间比较行t检验,非正态分布的计量资料以M(P25,P75)表示;计数资料以例(%)表示,采用χ2检验或Fisher精确概率法。以P<0.05为差异有统计学意义。
2 结果 2.1 2组一般资料比较2组性别、年龄及原发病情况比较,差异均无统计学意义(均P>0.05)(表 1)。
| 表 1 2组一般资料比较 |
![]() |
2.2 2组术中情况比较
经颈内静脉组一次性置管成功率为99.14%(115/116),误入动脉、气胸发生率均为0.86%(1/116);经锁骨下静脉组一次性置管成功率为98.68%(149/151),误入动脉发生率1.32%(2/151)、气胸发生率5.96%(9/151)。2组一次性置管成功率、误入动脉率比较,差异均无统计学意义(均P>0.05);但气胸发生率比较,差异有统计学意义(P<0.05)。
2.3 2组术后情况比较2组在血栓、纤维蛋白鞘、港体翻转、囊袋感染、导管打折弯曲并发症方面,差异均无统计学意义(均P>0.05),但在港周血肿、导管阻塞、导管异位、夹闭综合征、导管断裂及留置时间方面差异均有统计学意义(均P<0.05)(表 2)。
| 表 2 2组术后情况比较 |
![]() |
3 讨论
近年来,国内恶性肿瘤发病率呈逐年上升趋势。化疗是重要手段之一,但化疗药对外周浅表血管有较大的刺激和损伤,长期使用可引起静脉炎、阻塞等不良反应[8]。与经外周静脉植入相比,经中心静脉植入输液港不良反应小,使用周期长,对日常生活影响小[9-10],可明显提高患者舒适度。了解经颈内或锁骨下静脉入路植入输液港并发症及其发生率,对临床应用具有重要意义。
本研究中2种入路的一次性置管成功率差异无统计学意义,与王啟瑶等[11]研究结果相似。
本研究中,经颈内静脉组在夹闭综合征、气胸方面均优于锁骨下静脉组,差异均有统计学意义(均P<0.05)。这可能与锁骨下静脉解剖位置有关:锁骨和第一肋骨间夹角较小,运动时对导管挤压摩擦[12],穿刺点更靠近肺尖,故发生夹闭综合征、气胸的概率更高。而颈内静脉位置较表浅,周围无成角度骨,头偏向一侧时,静脉位于胸锁乳突肌锁骨头深面,误穿概率较小,夹闭综合征也更少,穿刺更安全。
本研究发现经锁骨下静脉组导管断裂比例明显高于经颈内静脉组(7.3% vs. 1.7%),差异有统计学意义。若断裂后的导管进入心脏或肺动脉内,须立即在DSA引导下取出。导管断裂多由夹闭综合征、暴力钳夹等因素导致[13-14]。经颈内静脉组导管断裂推测与导管夹角过小张力增加、颈部反复转动牵拉有关,因此可通过减少颈部剧烈转动、向外侧延伸颈部切口等措施以降低导管张力来减少导管断裂的发生。
Carlo等[15]发现经颈内静脉入路的导管异位发生率低于经锁骨下静脉,差异有统计学意义(P<0.05),与本研究一致。有学者表示导管异位与术后护理宣教不足有关,应加强护理宣教,如减少胸壁活动及剧烈咳嗽等[16]。但目前,经锁骨下静脉入路易出现导管异位的原因尚无定论,需进一步研究。
本研究中经颈内静脉组导管留置时间较长,与刘赵琪等[17]研究一致。颈内静脉组导管阻塞、异位及断裂等不良反应小,可能是颈内静脉组导管留置时间较长的原因之一。
本研究中2组发生导管末端纤维蛋白鞘形成各2例,抗凝治疗2周后,纤维蛋白鞘仍存在,遂取出输液港。原因可能与导管留置期间维护时肝素浓度低有关;若出现此并发症立即取出输液港,有纤维蛋白脱落形成栓子的风险,建议用生理盐水20 mL加500 U肝素钠配比后冲管或使用那屈肝素钙或低分子肝素钠皮下注射,治疗2~3周后仍未消除者考虑取出。
本研究中2组血栓发生率差异无统计学意义(P>0.05)。血栓可能与高凝状态等有关,抗凝治疗可参考下肢深静脉血栓的治疗方法[18]。有研究发现由导管诱发的静脉血栓较非导管诱发的深静脉血栓后综合征的风险更低,且溶栓+抗凝效果与单独抗凝相似[19]。因此不建议溶栓,可术前通过超声查看有无血栓,以避免血栓事件的发生。若出现回抽无血、输液不畅情况,应积极寻找病因,并及时处理;高凝患者可通过增加冲管频次来预防血栓形成[20]。
本研究2组均有囊袋感染情况发生,表现为不明原因低热,予以头孢类药物抗感染后好转。肿瘤患者多伴营养不良、免疫力低下,穿刺次数过多也可增加感染风险[21]。因此,嘱患者加强营养、必要时给予提高免疫力的药物,同时采用在超声引导下穿刺静脉方法,以减少穿刺次数。
本研究2组港体翻转和误入动脉等并发症的差异均无统计学意义(均P>0.05);港体翻转的3例均为皮肤松弛消瘦的老年患者,1例为不慎挤压后出现翻转,调整后继续使用。推测囊袋体积大于港体时会增加翻转机会,建议术前检查皮肤弹性、术中囊袋与港体大小匹配。
综上所述,TIAP是一种较理想的静脉通路,经锁骨下静脉入路更舒适、美观,但并发症较多;而经颈内静脉入路导管在颈前区皮下走行,活动时有牵拉不适感,并发症减少,更有利于后续治疗。因此,经颈内静脉穿刺植入输液港是一种安全有效的途径,可作为输液港植入的首选方式。但本研究例数较少,可能存在不同程度偏倚,需行大样本随机对照试验来进一步验证本研究的结论,为临床选择最佳植入路径提供参考。
| [1] |
胡育斌, 林海澜, 郝明志, 等. DSA引导下植入式静脉输液港在恶性肿瘤患者中的应用[J]. 中国介入影像与治疗学, 2016, 13(8): 455-459. |
| [2] |
俞靖凡, 金泳海, 樊宝瑞, 等. 体位改变时经颈内静脉植入胸壁式输液港导管头端位置变化及影响因素[J]. 中国介入影像与治疗学, 2020, 17(7): 411-414. |
| [3] |
景婧. 完全植入式静脉输液港的评估与维护研究进展[J]. 护理学杂志, 2019, 34(24): 87-90. |
| [4] |
LEBEAUX D, FERNÁNDEZ-HIDALGO N, CHAUHAN A, et al. Management of infections related to totally implantable venous-access ports: challenges and perspectives[J]. Lancet Infect Dis, 2014, 14(2): 146-159. DOI:10.1016/S1473-3099(13)70266-4 |
| [5] |
VARDY J, ENGELHARDT K, COX K, et al. Long-term outcome of radiological-guided insertion of implanted central venous access port devices (CVAPD) for the delivery of chemotherapy in cancer patients: institutional experience and review of the literature[J]. Br J Cancer, 2004, 91(6): 1045-1049. DOI:10.1038/sj.bjc.6602082 |
| [6] |
PALECZNY J, BANYŚ-JAFERNIK B, GAZUREK K, et al. Long-term totally implantable venous access port systems-one center experience[J]. Anaesthesiol Intensive Ther, 2013, 45(4): 215-222. |
| [7] |
WU S, HUANG J, JIANG Z, et al. Internal jugular vein versus subclavian vein as the percutaneous insertion site for totally implantable venous access devices: a meta-analysis of comparative studies[J]. BMC Cancer, 2016, 16: 1-12. DOI:10.1186/s12885-015-2026-y |
| [8] |
ROBERTS R, BORLEY A, HANNA L, et al. Identifying risk factors for anthracycline chemotherapy-induced phlebitis in women with breast cancer: an observational study[J]. Clinical Oncology, 2020, 33(4): 230-240. |
| [9] |
TAXBRO K, HAMMARSKJÖLD F, THELIN B, et al. Clinical impact of peripherally inserted central catheters vs implanted port catheters in patients with cancer: an open-label, randomised, two-centre trial[J]. Br J Anaesth, 2019, 122(6): 734-741. DOI:10.1016/j.bja.2019.01.038 |
| [10] |
马力, 刘运江, 刘荫华. 中国乳腺癌中心静脉血管通路临床实践指南(2022版)[J]. 中国实用外科杂志, 2022, 42(2): 151-158. |
| [11] |
王啟瑶, 莫霖, 李霞, 等. 颈内静脉与锁骨下静脉植入静脉输液港的有效性和安全性的Meta分析[J]. 解放军护理杂志, 2018, 35(22): 34-39. |
| [12] |
张彦收, 刘磊, 耿翠芝, 等. 植入式静脉输液港导管断裂预防与处理[J]. 介入放射学杂志, 2017, 26(8): 702-704. |
| [13] |
MIRZA B, VANEK V W, KUPENSKY D T. Pinch-off syndrome: case report and collective review of the literature[J]. Am Surg, 2004, 70(7): 635-644. DOI:10.1177/000313480407000715 |
| [14] |
王东林, 杨艳, 邱纯, 等. 可视化超声用于输液港植入全流程医护一体化管理[J]. 中国介入影像与治疗学, 2022, 19(8): 472-475. |
| [15] |
CARLO I D, CORDIO S, GRECA G L, et al. Totally implantable venous access devices implanted surgically: a retrospective study on early and late complications[J]. Arch Surg, 2001, 136(9): 1050-1053. DOI:10.1001/archsurg.136.9.1050 |
| [16] |
郭新春, 徐新建, 任冬青, 等. DSA引导下颈内、锁骨下及腋静脉入路输液港的临床应用[J]. 介入放射学杂志, 2023, 32(12): 1211-1216. |
| [17] |
刘赵琪, 江勇, 陈文婷, 等. 颈内静脉入路和锁骨下静脉入路输液港植入术对比分析[J]. 中华临床营养杂志, 2014, 22(1): 53-57. |
| [18] |
FARGE D, BOUNAMEAUX H, BRENNER B, et al. International clinical practice guidelines including guidance for direct oral anticoagulants in the treatment and prophylaxis of venous thromboembolism in patients with cancer[J]. Lancet Oncol, 2016, 17(10): e452-e466. DOI:10.1016/S1470-2045(16)30369-2 |
| [19] |
FEINBERG J, NIELSEN E E, JAKOBSEN J C. Thrombolysis for acute upper extremity deep vein thrombosis[J]. Cochrane Database Syst Rev, 2017, 12(12): CD012175. |
| [20] |
王京. 超声引导下经颈内静脉置入植入式输液港的临床应用与研究[D]. 长春: 吉林大学, 2013.
|
| [21] |
程巧琳, 范义, 高天俊, 等. 超声引导下经锁骨下静脉植入输液港的可行性[J]. 中国介入影像与治疗学, 2022, 19(4): 206-209. |
2025, Vol. 23






