| 婴儿卡介苗腋窝反应性淋巴结炎超声声像图特征分析 |
近年来,结核病再度成为全球头号传染病,其主要表现为肺结核,肺外结核仅占25%~30%[1-2]。卡介苗是目前唯一有效的结核病疫苗,我国自1950年开始广泛接种卡介苗后,儿童粟粒性结核病及结核性脑膜炎的发病率和死亡率显著降低[3-5],但预防接种后引起的卡介苗反应性淋巴结炎(bacillus Calmette-Guérin vaccination reactive lymphadenitis,BCG-itis)时有发生[6]。本研究回顾性分析28例婴儿腋窝BCG-itis声像图表现,探讨超声的诊断价值。
1 资料与方法 1.1 一般资料收集2017年11月至2025年3月在我院就诊的BCG-itis患儿28例,男16例,女12例;平均年龄(80.50±60.53)d;病程4~220 d,平均(37.85±35.83)d。
纳入标准:①年龄≤ 12个月。②6个月内有卡介苗接种史,同时接种侧伴腋窝淋巴结病变。③无活动性结核病患者接触史。④结核菌素皮试阳性。⑤淋巴结、分泌物穿刺标本涂片发现抗酸杆菌和/或结核分枝杆菌复合群培养阳性,或淋巴结组织病理检查为干酪样坏死、肉芽肿形成。
本研究经医院医学伦理委员会批准[批号:伦快审(2025)-40号],由监护人签署知情同意书。
1.2 仪器与方法采用GE Logiq E11超声诊断仪,探头型号ML6-15,频率6~15 MHz;Siemens S3000超声诊断仪,探头型号9L4,频率4~9 MHz。设备均具备超微血流成像(superb microvascular imaging,SMI)技术。
患儿取仰卧位,抬高上肢,充分暴露患侧腋窝,涂抹适量无菌耦合剂,按腋窝淋巴结分区行多角度多切面滑行探查。灰阶二维模式检查时,优先选用设备内置的优化预设条件,图像深度为3 cm,调整增益至背景噪声消失,将聚焦置于目标淋巴结中心深度。观察并记录灰阶二维超声图像上腋窝肿大淋巴结分区、大小、数目、形状、皮质厚度及回声、淋巴结门是否存在、被膜或边界是否清楚。在淋巴结最大切面测量长径(L)与短径(S),按标准方法计算长短径比值(L/S)[7]。SMI检查时,将取样框大小调整至覆盖目标淋巴结及其邻近区域,调节速度标尺至3~5 cm/s,设置壁滤波为2~4 Hz。应用上述设置条件观察并记录病变淋巴结内的血流分布模式。检查皮肤瘢痕时,需均匀涂抹较多无菌耦合剂,探头轻置于耦合剂表面,避免加压并确保充分接触,联合长轴与短轴切面探查,将目标瘢痕局部放大至图像正中,观察其与表皮及皮下组织的关系,并测量记录瘢痕大小、与周边皮肤组织的界限及血流情况。图像测量均由1位具有10年浅表超声检查经验的医师完成。
1.3 观察内容根据美国癌症联合委员会Level分区法[8]确定病变分布,分为腋下组、腋中组和腋上组。
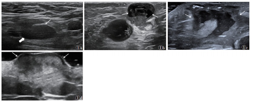
根据BCG-itis的超声表现及病理发展过程[9],将淋巴结分为4种类型:①淋巴结炎型,声像图表现为淋巴结呈长椭圆形或类圆形低回声,边缘清晰,包膜完整,皮质增厚且回声均匀,淋巴结门受挤压但存在(图 1a)。病理表现为淋巴组织增生,实质内见少许不典型结核性肉芽肿形成,肉芽肿中心可见微小的干酪样坏死灶。②干酪坏死型,声像图表现为淋巴结呈椭圆形或类圆形低回声,边缘清晰,包膜完整,内部正常结构大部分消失,回声不均匀,部分呈囊性变,周边组织回声增高(图 1b)。病理表现为正常淋巴结结构消失,存在较多典型结核肉芽肿结构,中央见片状干酪样坏死区,周围软组织水肿。③脓肿窦道型,声像图表现为软组织不规则混合回声包块,边界模糊,包膜不完整,无正常淋巴结结构,内部见斑点状强回声,探头加压内有涌动感,病灶与皮肤真皮层紧贴,部分穿透皮肤层形成窦道(图 1c)。病理表现为典型的结核结节形成,并出现纤维组织增生,脓液中含有大量干酪样物质和肉芽组织。④愈合瘢痕型,声像图表现为真皮层局限性增厚凸出于皮肤表面,呈均质性低回声,与表皮层分界清晰,瘢痕内见彩色多普勒血流信号(图 1d)。病理表现为瘢痕组织内胶原蛋白等基质成分大量沉积,成纤维细胞过度增殖。
![]() |
| 注:图 1a 为BCG-itis淋巴结炎型声像图,淋巴结皮质增厚(粗箭),淋巴结门受挤压(细箭);图 1b 为BCG-itis干酪坏死型声像图,淋巴结正常结构大部分消失,部分呈囊性变(箭头);图 1c 为BCG-itis脓肿窦道型声像图,无正常淋巴结结构,软组织不规则混合回声(箭头);图 1d 为BCG-itis愈合瘢痕型声像图,真皮层局限性增厚(箭头) 图 1 不同类型卡介苗反应性淋巴结炎(BCG-itis)的声像图 |
应用SMI技术,将病变淋巴结内血流分布分为4种类型:①中央型,淋巴结门处见血流信号;②周边型,淋巴结周边探及星点状、短棒状、团簇状血流信号;③混合型,淋巴结门处及周边均可见星点状、短棒状、条状血流信号;④无血供型,淋巴结门处及周边均未见血流信号[10]。
2 结果 2.1 病变淋巴结分布特征28例均为单侧病变,左侧18例,右侧10例;仅1例表现为愈合后皮肤瘢痕形成,其余27例根据病变分布分为腋下组24例(88.9%)和腋中组3例(11.1%)。
2.2 病变分型及超声特征(表 1)| 表 1 不同类型BCG-itis病变淋巴结超声表现 |
![]() |
28例分为淋巴结炎型20例(71.4%)、干酪坏死型5例(17.9%)、脓肿窦道型2例(7.1%)、愈合瘢痕型1例(3.6%)。除1例愈合瘢痕型外,其余27例病变淋巴结内血流分布分型:中央型15例,周边型4例,混合型8例。
3 讨论腋窝淋巴结是富脂肪淋巴结,评估时需注意周围低回声的皮质成分。正常情况下,腋窝淋巴结皮质呈薄片状、厚度均匀一致,L/S ≥ 2,淋巴结门居中或呈轻度偏心性;异常腋窝淋巴结L/S<2,边界模糊、皮质局部出现明显增厚且不规则,或淋巴结门明显被挤压移位、变形甚至消失,内部回声不均伴高回声团、出现坏死区或钙化灶。本研究采用SMI技术探查淋巴结血流,其不仅能显示低速血流,且具备极高的空间和时间分辨力,对淋巴结内血流显示也更清晰。
本研究28例BCG-itis患者均表现为单侧腋窝受累,左侧(18例)多于右侧(10例),这与接种部位的选择有关。病变主要集中于腋下组(88.9%),提示卡介苗接种后的淋巴引流途径以腋下组为先,少数位于腋中组(11.1%),腋上组未见受累,可能与患者早期进行有效治疗或与解剖学引流规律及生物学行为有关。血流模式上,中央型血流多见于早期,混合型或周边型血流则随坏死加重而增多,可反映局部血供破坏及炎性充血。病变早期可见淋巴结门,后期仅1例可见淋巴结门,提示淋巴结门消失可能为疾病进展的标志。
卡介苗是减毒的活疫苗,因此BCG-itis与淋巴结结核的病理改变基础相同。根据超声表现及病理发展过程,本研究将腋窝BCG-itis分为4种类型,其声像图特征与病理改变密切相关。淋巴结感染结核菌后,以炎性渗出为主,早期一般无特殊明显指向[11],内部结构未见破坏,因此声像图上淋巴结形态正常,边缘清晰,包膜完整,仅皮质增厚明显,淋巴结门存在且大部分居中,以门样血供为主[12]。随病情进展,15%~30%发展为以囊变为特征的干酪样坏死类型,此阶段形成大量典型的结核结节、片状干酪样坏死区[13];声像图表现为淋巴结正常结构基本消失,边缘欠清晰,包膜完整,内部回声不均部分呈囊性变,周边组织回声增高,以混合型血流为主。病情进一步进展,淋巴结正常结构完全消失,中央可见大片干酪样坏死物,部分内可见钙化灶,形成寒性脓肿;声像图表现为不规则混合回声,边界模糊,包膜不完整,提示病变从局限向周围浸润进展,探头加压内有涌动感,病灶与皮肤紧贴,继续进展可穿透皮肤层形成窦道。当患儿抵抗力提高或经护理、治疗后,病变纤维化,如继发细菌感染,皮肤成纤维细胞过度增殖,可形成瘢痕疙瘩;声像图表现为真皮层局限性增厚凸出于皮肤表面,呈均质性低回声,与表皮层分界清晰,瘢痕内见血流信号显示。本研究中1例愈合瘢痕型是BCG-itis炎症消退后的终末表现,分别于病程第7天、第220天行超声检查,第7天时表现为淋巴结炎型,无完整病史及就医过程,此类病变需从接种史、接触史、病理特征及实验室检查等方面与结核分枝杆菌自然感染鉴别。可见,超声声像图特征能提示BCG-itis各阶段的病理特征,对临床诊断及治疗具有重要价值。
BCG-itis需与以下疾病鉴别诊断:①淋巴结炎型BCG-itis需与淋巴结反应性增生鉴别,前者声像图仅表现为皮质增厚,淋巴结门结构清晰,门型血流,早期声像图上两者鉴别困难,但抗炎治疗对淋巴结反应性增生效果显著,两者鉴别时可结合卡介苗接种史、症状及实验室检查,必要时行超声引导下淋巴结活检确诊。②BCG-itis干酪坏死型、脓肿窦道型需与化脓性淋巴结炎相鉴别。化脓性淋巴结炎好发于小儿,起病急,以颈部最常见,病变部位红、肿、压痛,声像图上脓肿囊壁较均匀性增厚,内部回声较均匀;BCG-itis起病较慢,最常见于腋窝,病变部位通常无压痛,声像图上囊壁厚薄不均,脓肿内回声杂乱不均;两者在病程、发病部位及超声表现上均有区别,结合病史及实验室辅助检查不难鉴别。③淋巴瘤,多见于颈部,淋巴结呈椭圆形或类圆形串珠状近似无回声的极低回声,因肿瘤细胞与残存的正常组织交错排列内部呈筛网状,极少发生液化,门结构消失,以假性门型血流、紊乱无序血流为主;而BCG-itis因病理差异,内部回声不表现为筛网状,干酪样坏死型和脓肿窦道型均可见液化坏死区;早期BCG-itis与淋巴瘤鉴别困难时可通过超声引导下淋巴结活检确诊。
本研究存在的不足:样本量较小,尤其脓肿窦道型及愈合瘢痕型,未来需扩大例数以验证分型的可靠性。此外,超声分型错综复杂,可见多种回声类型共存,操作者经验可能影响分型的一致性,需结合穿刺病理以提高诊断准确性。
综上所述,BCG-itis的超声表现具有特征性分期规律,其分型可为临床诊治提供重要依据,有助于及时干预病情进展,改善患儿预后。
| [1] |
侯代伦, 柳澄. 结核病影像学[M]. 北京: 人民卫生出版社, 2019: 273.
|
| [2] |
舒薇, 刘宇红. 《2024年全球结核病报告》结核病科学研究章节解读[J]. 中国防痨杂志, 2025, 47(2): 137-141. |
| [3] |
MÉNDEZ-SAMPERIO P. Development of tuberculosis vaccines in clinical trials: current status[J]. Scand J Immunol, 2018, 88(4): e12710. DOI:10.1111/sji.12710 |
| [4] |
卢水华, 李亮. 卡介苗不良反应临床处理指南[J]. 中国防痨杂志, 2021, 43(6): 532-538. |
| [5] |
马超, 安志杰, 曾玫, 等. 《国家免疫规划疫苗儿童免疫程序及说明(2021年版)》要点解析[J]. 中国疫苗和免疫, 2021, 27(3): 235-241. |
| [6] |
OMURA S, NAKAYA M, MORI A, et al. A clinical review of 38 cases of cervical tuberculous lymphadenitis in Japan - the role of neck dissection[J]. Auris Nasus Larynx, 2016, 43(6): 672-676. DOI:10.1016/j.anl.2016.01.002 |
| [7] |
林僖, 罗葆明, 陈文, 等. 浅表淋巴结超声诊断若干临床常见问题专家共识(2025版)[J]. 中国超声医学杂志, 2025, 41(5): 481-484. |
| [8] |
GIULIANO A E, EDGE S B, HORTOBAGYI G N. Eighth edition of the AJCC cancer staging manual: breast cancer[J]. Ann Surg Oncol, 2018, 25(7): 1783-1785. DOI:10.1245/s10434-018-6486-6 |
| [9] |
王涛, 吴雪琼, 俞珊, 等. 浅表淋巴结结核的诊断与治疗专家共识[J]. 中国防痨杂志, 2023, 45(6): 531-542. |
| [10] |
沈梦君, 陈宏伟, 毕珂, 等. 超微血流成像技术在颈部淋巴结结核分型诊断中的应用价值[J]. 中国防痨杂志, 2019, 41(8): 816-821. |
| [11] |
陈菲. 彩超与CT对浅表淋巴结结核诊断价值的对比研究[J]. 中国超声医学杂志, 2020, 36(3): 283-285. |
| [12] |
刘万里, 黄子慧. 淋巴结结核中西医诊疗学[M]. 北京: 中国中医药出版社, 2018: 127-128.
|
| [13] |
VENKATARAMAN A, YUSUFF M, LIEBESCHUETZ S, et al. Management and outcome of Bacille Calmette-GuéRin vaccine adverse reactions[J]. Vaccine, 2015, 33(41): 5470-5474. DOI:10.1016/j.vaccine.2015.07.103 |
2025, Vol. 23




