
2. 陕西省中药饮片工程技术研究中心;
3. 陕西省中药炮制技术传承基地;
4. 陕西中医药大学第二附属医院药剂科,陕西 咸阳 712046
赵重博(1987-),男,博士,副教授,研究生导师,研究方向:中药炮制与饮片质量标准,通信作者,E-mail:zhao_chongbo@126.com
,
WANG Jing1,2,3,
ZOU Ting1,2,3,
WU Ya-nan1,2,3,
WEN Si-hua1,
CHEN Xi1,
HE Su-rong1,2,
QI Chun-yan1,2,
LIU Qian1,
LI Ya-juan1,
NIAN Jing4,
ZHANG Qiao1,2,3
,
ZHAO Chong-bo1,2,3
2. Engineering Technology Research Center of Shaanxi Administration of Chinese Herbal Pieces;
3. Shaanxi Traditional Chinese Medicine Processing Technology Heritage Base;
4. Dept of Pharmacy, the Second Affiliated Hospital of Shaanxi University of Chinese Medicine, Xian yang Shaanxi 712046, China
天南星具有燥湿化痰、祛风止痉和散结消肿的功效,临床多用于顽痰咳嗽、风痰眩晕、中风痰壅等证[1]。因其生品有毒,临床使用前多以生姜白矾炮制,达到减毒增效的目的。天南星的毒性物质报道较多的是毒针晶和毒蛋白,与生姜、白矾炮制后针晶结构破坏,蛋白变性,从而降低天南星的毒性;同时,生姜可温肺化痰止咳,白矾可燥湿化痰止咳,两者同用有降低毒性,增强治疗喘咳的作用[2]。但其发挥治疗作用的药效物质和作用机制目前尚不清楚,现有文献报道表明炮制可影响天南星化痰止咳的作用,如采用小鼠酚红排泄法比较天南星炮制前后“祛痰、平喘咳”的作用,结果显示,天南星炮制前后均有化痰作用且炮制品不及生品[3],小鼠氨水致咳模型比较止咳作用,炮制后止咳作用强于生品[2]。还有报道,生天南星长于祛风止痉,多用于破伤风、癫痫、中风;炮制后则多用于顽痰咳嗽。
“喘、痰”是慢性支气管炎发作期的主证,病变部位涉及肺、脾、肾。从中医角度来讲,肺易贮痰,脾易生痰。痰浊藏于肺中,从而影响肺部的宣降功能,肺失其司则易感外邪,外邪束肺则痰喘发作[4]。由于肺部的痰蕴导致气道阻塞和呼吸不良,痰是哮喘的直接病因和发病机制。过敏性哮喘模型最接近人类哮喘的病理生理机制[5]。卵清蛋白(ovalbumin,OVA)是使用最早和最广泛的过敏原,OVA致敏和雾化触发的过敏性哮喘动物模型在研究哮喘中使用频次较高[6]。因此,本文对天南星炮制前后的化学成分进行分析,探讨炮制对其成分的影响。选取“喘证”经典的OVA致敏的大鼠过敏性哮喘模型,初步探讨天南星炮制前后对过敏性哮喘的治疗作用;联合网络药理学对其治疗“痰、喘”疾病的靶点进行映射分析和作用机制分析,探讨天南星炮制前后祛痰平喘的作用。
1 材料与方法 1.1 仪器1290 UHPLC超高效液相色谱仪(Agilent),Q Exactive Focus高分辨质谱仪(Thermo Fisher Scientific),Heraeus Fresco17离心机(Thermo Fisher Scientific),BSA124S-CW天平(Sartorius),JXFSTPRP-24研磨仪(上海净信科技有限公司),明澈D24 UV纯水仪(Merck Millipore),YM-080S超声仪(深圳市方奥微电子有限公司),转轮式切片机(徕卡-2016,德国),JT-12S自动组织脱水机(武汉俊杰电子有限公司),BMJ-A型包埋机(常州郊区中威电子仪器厂),RS36型全自动染色机(常州派斯杰医疗设备有限公司),PHY-Ⅲ型病理组织漂烘仪(常州市中威电子仪器有限公司),数字切片扫描仪(Pannoramic 250,济南丹吉尔电子有限公司),雾化器(江苏鱼跃医疗设备有限公司)。
1.2 药物与试剂LC-MS级甲醇、乙腈、甲酸品牌均为CNW Technologies。组织标本固定液(10%中性甲醛固定液),OVA(源叶生物科技有限公司),铝镁佐剂(天津市天力化学试剂有限公司),天南星购自陕西恒瑞万寿路中药材专业市场,由陕西中医药大学药学院赵重博副教授鉴定为天南星科植物天南星的干燥块茎。制天南星按照2020年版《中国药典》实验室自制。
1.3 网络药理学网址及软件Pubmed(https://pubmed.ncbi.nlm.nih.gov),SwissTargetPrediction(http://new.swisstargetprediction.ch/),TCMSP(http://lsp.nwu.edu.cn/tcmspsearch.php),Uniprot(http://www.uniprot.org/),KEGG(http://www.genome.jp/kegg/),DAVID数据库(https://david.ncifcrf.gov/home.jsp)等数据库。chemdraw 19.0,Cytoscape 3.8.0等软件。
1.4 实验动物成年雄性SPF级SD大鼠,体质量(180±20) g,购自西安交通大学实验动物中心,合格证号SCXK(陕)2018-001。适应性饲养7 d后开始实验。本实验研究获陕西中医药大学动物伦理委员会批准。
1.5 基于UPLC-Q-TOF-MS/MS的天南星炮制前后成分分析 1.5.1 供试品的制备分别取生天南星和制天南星粉末各约3 g,置50 mL具塞锥形瓶中,精密加入60%乙醇30 mL,超声提取45 min,冷却至室温并补足减失重量,离心,精密量取上清液18 mL,减压浓缩至干,加60%乙醇使之溶解,转移至5 mL量瓶中并定容,滤过,即得生制南星醇提样[1]。
1.5.2 色谱条件色谱柱为ACQUITY UPLC BEH Waters C18(2.1 mm×100 mm,1.7 μm),流动相A为0.1%甲酸水溶液,B为0.1%甲酸乙腈溶液,洗脱梯度:0~3.5 min,95%~85% A;3.5~6 min,85%~70% A;6~6.5 min,70% A;6.5~12 min,70%~30% A;12~12.5 min,30% A;12.5~18 min,30%~0%;18~25 min,0% A;25~26 min,0%~95% A;26~30 min,95% A。柱温35 ℃,进样量10 μL,流速400 μL·min-1。
1.5.3 质谱条件Q Exactive Focus高分辨质谱仪进行正、负2种模式扫描测定,参数如下:气体流速:45 Arb,辅助气体流速:15 Arb,毛细管温度:400 ℃,全ms分辨率:70 000,ms/ms分辨率:17 500,碰撞能量:15/30/45,在NCE模式下,喷射电压:4.0 kV(正)或-3.6kV(负)。
1.5.4 成分鉴定使用XCMS软件将生天南星和制天南星质谱原始数据导入。进行保留时间矫正、峰识别、峰提取、峰积分、峰对齐等工作,利用自建二级质谱数据库对含有MS/MS数据的峰物质鉴定。
1.6 天南星炮制前后治疗“喘、痰”的网络药理学 1.6.1 成分筛选通过UPLC-Q-TOF-MS/MS对天南星进行化合物表征后的主要成分,结合TCMSP中药系统药理数据库、PubChem数据库(https://www.ncbi.nlm.nih.gov/pubmed/)中收录的化学成分,按以下方式进行筛选:(1)通过文献数据库可以搜索得到的已有明确药理活性的化合物;(2)含量相对较高的化合物[7]。
1.6.2 化合物的靶点预测整理目标化合物,导入Pubchem数据库种获取SMILES结构式,在Swiss Target prediction网站中预测靶点基因,最后将靶点去重,整合,即得。
1.6.3 “喘、痰”疾病靶点的获取在国内外权威数据库知网、维普、万方、Web of Science、pubmed等查阅文献,结果发现“痰”与“气道黏液分泌”有关,故选择“phlegm”,“hypersecretion of airway mucus”定为“痰”的关键词[8],同法选择“asthma”定位“喘”的关键词,在GeneCards数据库中搜索相关疾病靶标,筛选、整理、后得到疾病靶点。
1.6.4 目标化合物靶点预测将化合物导入Pubchem数据库中,检索SMILES号,然后在Swiss Target Prediction网站中预测靶点,设置“Probability”≥0.05,筛选整理目标化合物的靶点。
1.6.5 药物-疾病靶点预测将成分靶点与“喘、痰”靶点取交集并绘图。交集靶点则为目标成分直接作用于“喘、痰”的靶点。在Cytosecape 3.7.2软件构建“药物成分-疾病-靶点”网络图[9]。
1.6.6 PPI网络分析将“药物-疾病”交集靶点导入String数据库,进行蛋白相互作用(protein-protein interaction,PPI)网络分析,选择物种为“Homo sapiens”,隐藏没有互作关系的节点,后保存数据为“.tsv”格式,在Cytoscape 3.7.2软件中对网络进行节点度值分布(node degree distribution),介数中心性(betweenness centrality)及接近中心性(closeness centrality)等拓扑参数分析。并将PPI网络可视化,得到核心靶点的蛋白互作网络图。
1.6.7 GO富集分析和KEGG通路分析应用DAVID数据库,对“天南星-‘喘、痰’”的交集靶点,进行基因功能富集分析(gene ontology,GO),探讨药物生物学过程功能中的分子功能(molecular function,MF)、生物过程(biological process,BP)和细胞组成(cellular component,CC)等基因靶点的功能。同时,在该数据库中对交集基因进行京都基因与基因组百科全书(kyoto encyclopedia of genes and genomes,KEGG)通路富集分析,探讨药物作用的生物通路,分析潜在靶点所富集的信号通路。
1.7 天南星炮制前后治疗“痰、喘”的药效 1.7.1 试药的制备根据《中国药典》,天南星临床用量是(3~9) g,按照中间剂量6 g计算,人的平均体质量为60 kg,平均1 d的用药剂量为0.1 g·kg-1,大鼠以人剂量的6倍计算,即得给药剂量为0.6 g·kg-1·d-1。称取天南星和制天南星粉末(过4号筛)各300 g,加6倍量水浸提l h,滤过,减压浓缩至生药含量0.6 kg·L-1的提取液﹐-4 ℃冰箱保存[10]。
1.7.2 动物的给药与分组取50只10~14周龄雄性SD大鼠,随机分为空白组、造模组,空白组12只,造模组38只。适应性喂养后,造模组d 1、7和14用OVA 2 g·L-1与10 g·L-1氢氧化铝的混悬液1 mL腹腔注射导致过敏,d 14~21 5% OVA雾化吸入激发哮喘,制造动物模型。根据动物行为学和肺组织HE染色对模型进行评价,造模成功后,将造模组大鼠随机分为模型组、阳性药组、天南星组、制天南星组,每组8只。分别灌胃0.6 g·kg-1·d-1生天南星,制天南星水提液(参考临床剂量换算),共35 d。阳性药组给与孟鲁斯特纳5 mg·kg-1雾化,空白组给予等体积的生理盐水[11]。
1.7.3 观察指标各组大鼠于d 36用10%水合氯醛腹腔注射麻醉,收集肺泡灌洗液,立即置于冰上,1 000 r·min-1离心10 min,取上清,-80 ℃保存,备用,检测其炎性细胞分类百分比。取出肺组织,PBS冲洗,4%多聚甲醛固定,观察肺组织PAS染色。
1.8 数据处理将数在SPSS 25.0软件中进行分析,数据x±s表示,各组间差异比较应用单因素方差分析。
2 结果 2.1 基于UPLC-Q-TOF-MS/MS的天南星炮制前后成分分析在正、负2种不同扫描模式下,共从样品中鉴定出27个化学成分,见Tab 1。结果发现,天南星炮制前后成分大致相同,但也存在差异,差异成分有姜黄素、6-姜烯酚、樟脑、去甲基姜黄素等。制天南星增加的成分均来源于辅料生姜。
| No. | Compound | Molecular formula | T/min | M/Z | Source |
| 1 | Palmitic Acid | C16H32O2 | T985.529 | M255.232 | AR |
| 2 | linoleic acid | C18H32O2 | T795.777 | M279.232 | AR |
| 3 | Azelaic acid | C9H16O4 | T115.502 | M187.097 | AR |
| 4 | Heptadecanoic acid | C17H34O2 | T833.958 | M269.248 | AR |
| 5 | Schaftoside | C26H28O14 | T250.002 | M563.139 | AR |
| 6 | Asparagine | C4H8N2O3 | T36.5616 | M131.046 | AR |
| 7 | Arginine | C6H14N4O2 | T36.300 | M173.104 | AR /ZRR |
| 8 | Proline | C5H9NO2 | T109.117 | M114.056 | AR /ZRR |
| 9 | Valine | C5H11NO2 | T148.724 | M116.072 | AR /ZRR |
| 10 | Phenylalanine | C9H11NO2 | T295.522 | M164.072 | AR /ZRR |
| 11 | Tryptophan | C11H12N2O2 | T135.685 | M203.082 | AR /ZRR |
| 12 | L-Tyrosine | C9H11NO3 | T53.148 | M182.081 | AR /ZRR |
| 13 | Lysine | C6H14N2O2 | T34.861 | M147.113 | AR /ZRR |
| 14 | Ferulic acid | C10H10O4 | T290.658 | M193.050 | AR |
| 15 | Caffeic acid | C9H8O4 | T114.204 | M179.034 | AR |
| 16 | Sucrose | C12H22O11 | T67.06 | M341.108 | AR |
| 17 | Gallic acid | C7H6O5 | T61.596 | M169.014 | AR |
| 18 | Mannitol | C6H14O6 | T165.608 | M181.072 | AR |
| 19 | Adenine | C5H5N5 | T52.195 | M134.047 | AR |
| 20 | Uridine | C9H12N2O6 | T60.630 | M243.062 | AR |
| 21 | Guanosine | C10H13N5O5 | T53.447 | M284.097 | AR |
| 22 | Choline | C5H14NO | T193.181 | M104.107 | AR |
| 23 | Stachydrine | C7H13NO2 | T40.368 | M144.102 | AR |
| 24 | Curcumin | C21H20O6 | T597.447 | M369.132 | ZRR |
| 25 | 6-Shogaol | C17H24O3 | T759.593 | M277.179 | ZRR |
| 26 | Camphor | C10H16O | T324.096 | M153.127 | ZRR |
| 27 | Demethoxycurcumin | C20H18O5 | T590.533 | M337.108 | ZRR |
通过文献挖掘和数据库筛选等方法对天南星的化学成分进行预测,在TCMSP中设置OB≥30%,DL≥0.18,结合文献挖掘和TCMIP数据库得到天南星化合物见Tab 2。结合“2.1”项下的27种成分,共整合36个目标化合物,获取成分的靶点基因共1 369个。在Gene Cards数据库中将疾病的靶点进行整理,设置“Probability”≥0.4(中位数),最终获取3 825个与“喘、痰”有关的疾病相关靶点。
| No | Chemical compound | OB/% | DL | Source |
| 1 | 8,11,14-docosatrienoic acid,methyl ester | 42.23 | 0.30 | TCMSP |
| 2 | [(2R)-2-[[[(2R)-2-(benzoylamino)-3-phenylpropanoyl]amino]methyl]-3-phenylpropyl] acetate] | 38.88 | 0.56 | TCMSP |
| 3 | sitosterol | 36.91 | 0.75 | TCMSP/TCMIP |
| 4 | stigmasterol | 43.83 | 0.76 | TCMSP |
| 5 | D-mannitol | - | - | Pubmed/TCMIP |
| 6 | colchinine | - | - | Pubmed |
| 7 | isoschaftoside | - | - | Pubmed |
| 8 | pedatisectine F | - | - | Pubmed |
| 9 | 24-epicampesterol | 37.58 | 0.71 | TCMSP |
“成分-靶点-疾病”网络分析:将天南星化学成分作用靶点与疾病靶点基因取交集(Fig 1),共获得天南星-疾病交集基因共239个;制天南星-疾病交集基因299个,使用Cytosecape 3.7.2软件中构建天南星“药物-成分-疾病-靶点”网络图(Fig 2),网络中共有335个节点(化合物35个节点,靶点300个节点),1 042条边。结果显示,天南星、制天南星治疗“喘、痰”相关疾病多成分,多靶点的特征。其中“Degree”值较高的化合物有秋水仙碱、6-姜烯酚、亚油酸、去甲基姜黄素、阿魏酸、壬二酸、谷甾醇、豆甾醇、鸟苷、尿苷、异夏佛塔苷等,这些化合物可能为天南星治疗“喘、痰”疾病中的关键成分。
|
| Fig 1 TIC diagrams of Arisaematis rhizoma in positive ion (A) and negative ion (B) modes and Arisaematis rhizoma preparatum in positive ion (C) and negative ion (D) modes |
|
| Fig 2 Intersection of chemical composition target and disease target |
在Cytoscape2.7.2软件中,利用StringApp插件绘制PPI网络图,并进行拓扑参数分析。核心靶点详见Tab 3。MAPK3,MAPK/ERK级联通过调控转录、翻译、细胞骨架重排等多种生物学功能,调节细胞生长、黏附和分化等生物学功能。VEGFA生长因子在血管生成和内皮细胞生长中起着重要的作用,VEGF能够通过抑制炎症及CD133+祖细胞调节保护肺部免受炎症损伤。STAT3通过调节初生CD4的分化来调节炎症反应[12]。
| UniProt | Gene | Degree | Betweenness Centrality | Closeness Centrality | Source |
| P12931 | SRC | 61 | 0.081 0 | 0.466 6 | ARP |
| 45 | 0.095 4 | 0.462 1 | AR | ||
| P40763 | STAT3 | 55 | 0.098 0 | 0.467 5 | ARP |
| 47 | 0.122 2 | 0.470 4 | AR | ||
| Q16539 | MAPK1 | 49 | 0.046 9 | 0.451 1 | ARP |
| 40 | 0.056 0 | 0.448 5 | AR | ||
| P27361 | MAPK3 | 48 | 0.046 6 | 0.451 1 | ARP |
| 40 | 0.056 7 | 0.448 5 | AR | ||
| P42336 | PIK3CA | 46 | 0.022 8 | 0.425 3 | ARP |
| 35 | 0.019 7 | 0.411 2 | AR | ||
| P31749 | AKT1 | 42 | 0.042 1 | 0.447 0 | ARP |
| P35222 | CTNNB1 | 41 | 0.076 0 | 0.426 0 | ARP |
| 32 | 0.092 6 | 0.425 5 | AR | ||
| Q04206 | RELA | 39 | 0.041 2 | 0.439 8 | ARP |
| 32 | 0.063 9 | 0.440 9 | AR | ||
| P00533 | EGFR | 37 | 0.021 0 | 0.426 8 | ARP |
| 28 | 0.026 4 | 0.417 8 | AR | ||
| P03372 | ESR1 | 37 | 0.071 2 | 0.443 8 | ARP |
| 32 | 0.083 7 | 0.438 8 | AR | ||
| Q16539 | MAPK14 | 36 | 0.043 9 | 0.424 6 | ARP |
| 26 | 0.051 8 | 0.420 6 | AR |
在DAVID数据库中,对筛选的靶点进行GO富集分析和KEGG通路分析,设置P < 0.05,表示富集结果具有统计学意义,结果见Fig 4(TOP15)。在天南星治疗“喘、痰”相关疾病生物学过程中,分子功能主要涉及蛋白质结合、ATP结合、Zn离子结合和转录因子活性,序列特异性DNA结合等;细胞组成主要富集在质膜、细胞质、膜整体组件、线粒体和细胞外泌体等;生物过程主要富集在RNA聚合酶II启动子转录的正调控、细胞增殖的正调控、药物反应、转录的正调控、DNA模板化以及炎症反应、对脂多糖的反应等过程。结果显示,天南星通过多种生物途径治疗“喘、痰”相关疾病。
|
| Fig 3 Component-Target-Disease network Orange: chemical composition (yellow node refers to differential composition); Purple: disease; Green: disease target |
|
| Fig 4 GO enrichment analysis and KEGG pathway analysis (P < 0.05) A-D: AR; E-H: ARP, A, E: MF; B, F: CC; C, G: BP; D, H: KEGG |
KEGG通路分析结果中,天南星炮制前后均主要通过调控PI3K-Akt信号通路来实现治疗“喘、痰”等疾病,其中制天南星在通路中调控的靶点多于生品此外还涉及MAPK信号通路,癌症中的蛋白多糖,Rap1信号通路,HIF-1信号通路,结核病,FoxO信号通路,钙信号通路和cAMP信号通路等,表明天南星炮制前后在治疗“喘、痰”相关疾病过程中调控多条通路。
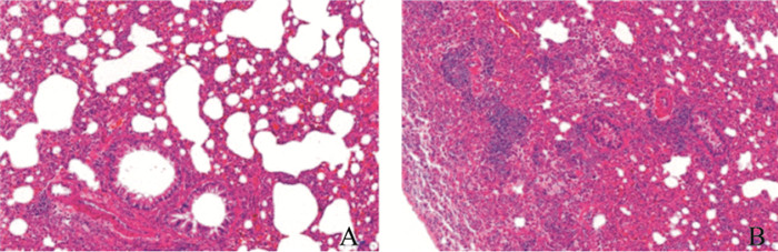
2.3 动物实验结果 2.3.1 模型评价观察造模组大鼠是否持续表现出口唇黏膜显紫红色、腹肌痉挛、喘息频次变多、打喷嚏、咳嗽、抓耳部和脸部等行为学的改变,去除行为学没有改变的大鼠。从空白组大鼠,造模组的大鼠中,随机选取3只进行肺组织病理切片,HE染色观察,进行模型评价。如Fig 5所示,空白组大鼠肺组织结构较为正常,壁薄,无结缔组织增生、增厚;各级支气管结构完整清晰,上皮细胞形态较为正常,排列较为整齐,未见明显水肿;未见其他明显病理变化。造模组大鼠肺泡上皮细胞变性坏死,坏死细胞胞核固缩或裂解,不规则,病变严重区域肺泡形态结构模糊,肺泡隔增厚。结果表明模型建立成功。
|
| Fig 5 Effect of allergic asthma model on lung tissues of rats (A: Control, B: Model building; 100×) |
各组大鼠BALF中炎性细胞分类计数百分比结果如Fig 6所示,与空白组相比较,模型组大鼠BALF中巨噬细胞、淋巴细胞、中性粒细胞、嗜酸性粒细胞百分比明显上升;与模型组大鼠相比较,阳性药组大鼠BALF中巨噬细胞、淋巴细胞、中性粒细胞、嗜酸性粒细胞百分比明显下降,天南星组大鼠BALF中淋巴细胞、中性粒细胞、嗜酸性粒细胞百分比明显下降,制天南星组大鼠BALF中巨噬细胞、淋巴细胞、嗜酸性粒细胞百分比明显下降。总体来看,制天南星作用略优于生天南星。
|
| Fig 6 Percentage count of inflammatory cells in BALF **P < 0.01 vs Control, #P < 0.05, ##P < 0.01 vs Model |
如Fig 7所示,空白组大鼠肺组织内小支气管、细支气管及终末细支气管结构完整清晰;上皮排列较为整齐、密集,未见明显病理变化。模型组大鼠肺组织内小支气管、细支气管及终末细支气管结构受损,局部上皮细胞排列不规则。与生理盐水组相比,模型组杯状细胞明显增加,病变程度相对较重;与模型组相比,阳性药组上皮内杯状细胞均未见明显增多,生天星组和制天星组杯状细胞增生程度有所减轻。
|
| Fig 7 PAS staining results of rat lung tissues (100×) A: Control; B: Model; C: Positive; D: AR; E: ARP |
天南星,味苦,性温,是我国传统的中药,已有2 000多年的药用历史,常常用于治疗“痰”证,中医认为“痰饮病”可以诱发“哮病”,现代临床以哮喘为多见。天南星作为有毒中药,炮制对其毒性和功效的影响尤为重要。
本文应用UPLC-Q-TOF-MS/MS技术快速检测了天南星和制天南星中的化学成分,发现制天南星较原料中夏佛塔苷、棕榈酸、亚油酸、精氨酸、没食子酸、甘露醇等基础物质略有下降,据报道夏佛塔苷是关键抗炎活性成分;棕榈酸与抗前列腺增生有较好的相关性;亚油酸对DPPH和ABTS+自由基具有一定的清除效果;精氨酸具有免疫调节、抗氧化、抗炎、促进细胞增殖、抗凋亡、调控脂质代谢等作用;没食子酸可抑制结肠癌HCT-116和Caco-2细胞活性;20%甘露醇加温至37 ℃静脉滴注可减轻患者疼痛,降低患者静脉炎的发生率等。同时制天南星中增加了姜黄素、6-姜烯酚、樟脑、去甲基姜黄素等成分,这些成分均来源于炮制辅料生姜,此外,精氨酸、脯氨酸、缬氨酸、苯丙氨酸、色氨酸等成分既存在于天南星中又存在于生姜中。结合网络药理学的方法预测目标化合物治疗疾病的作用靶点,通过“药物-靶点-疾病”网络分析,6-姜烯酚、秋水仙碱、亚油酸、去甲基姜黄素、阿魏酸、壬二酸、谷甾醇、豆甾醇、鸟苷、尿苷、异夏佛塔苷等成分在天南星炮制前后治疗疾病中起到关键作用。钟凌云等[3]通过对天南星中皂苷类成分的研究发现,皂苷类成分对胃黏膜有刺激作用,也可以增加气管、支气管分泌黏液,从而发挥去痰的作用。
比较天南星和制天南星抗“喘、痰”的KEGG通路分析可知,天南星炮制前后均主要通过调控PI3K-Akt信号通路治疗疾病。不同的是,制天南星在通路中是直接调控PI3K、AKT1等关键靶点,而天南星是间接调控。动物实验结果表明,天南星炮制前后均对过敏性哮喘模型大鼠肺组织有改善作用,可降低大鼠BALF中的中性粒细胞、嗜酸性粒细胞等炎性细胞,制天南星略优于生天南星,但组间并无显著性差异。由此可见,天南星“炮制-增效”的机制可能是因为有效成分的增加,进而调控更多通路和靶蛋白参与的生物过程来实现对“喘、痰”等疾病的治疗。GO富集分析可知,其涉及RNA聚合酶II启动子转录的正调控、细胞增殖的正调控、转录的正调控、脂多糖的反应等生物过程,体现出中药天南星在治疗“喘、痰”疾病中有多成分、多靶点的特点。
PPI分析筛选出11个核心靶点。分别为STAT3、SRC、MAPK3、PIK3CA、RELA、ESR1、VEGFA、EGFR、MAPK8、IL-6、JAK1。气道炎症是哮喘的典型特征之一,缓解炎症反应可有效控制哮喘症状。研究发现哮喘幼年大鼠体内,IL-21/STAT3通路被激活可能与炎症反应和免疫反应增强以及肺组织受损有关。IL-21在多种与免疫相关的疾病中可检测出IL-21的高表达水平,并随着疾病的控制而表达下降。STAT3蛋白是IL-21的主要信号传导因子,其磷酸化活化后可参与多种自身免疫性疾病产生和进展过程[13]。RELA (p65) 是NF-κB家族成员之一,作为关键的抗凋亡信号和二聚体状态下NF-κB最重要的功能亚基,RELA在中性粒细胞的凋亡中发挥着重要的作用,而KLF-2/RELA的比例失衡能够调控哮喘患者中性粒细胞的凋亡,并且随着病情的加重,KLF-2/RELA比值逐渐降低[14]。VEGFA在肺组织,尤其是肺泡上皮中表达丰富,参与肺泡发育和成熟,可通过促进前列环素产生、增加超氧化物歧化酶表达等维持肺的正常结构和生理功能,并对肺损伤起修复作用; VEGFA、Periostin过度合成和分泌可能加重气道和肺组织酸性粒细胞和中性粒细胞浸润,加重气道和肺组织损伤,引起肺功能降低,EGFR在哮喘的发生与发展中起着至关重要的作用,哮喘患者气道的支气管上皮、腺体、平滑肌等均可明显观察到EGF及EGFR的免疫反应[15]。哮喘的病理特征之一是气道平滑肌的增生与肥大,而SRC在气道平滑肌的增殖与迁移中具有重要作用[16]。多种细胞包括巨噬细胞均可产生IL-6和IL-8,研究表明,哮喘患者支气管肺泡灌洗液中肺泡巨噬细胞分泌的IL-6和IL-8较对照组明显增高,肺部受到过敏原刺激后,产生过多的IL-6和IL-8参与哮喘免疫炎性反应发生与进展[17]。由此可见,天南星可能通过这些核心靶点发挥治疗“喘、痰”等肺部疾病的作用。
本实验在比较研究天南星炮制前后成分变化的基础上,联合网络药理学初步探讨了天南星炮制增效的原理可能是由于炮制后化学成分的增加,在治疗“喘、痰”等疾病的药理机制中共涉及299个核心靶点,作用调控124条信号通路。通过OVA致敏的大鼠过敏性哮喘模型,比较天南星炮制前后的药效作用,结果发现,制天南星抗过敏性哮喘的作用优于生品,其治疗“喘、痰”等疾病的作用机制仍需深入研究。“药物-成分-靶点”关系网络中关键成分分析,发现原料药材与炮制辅料均在治疗疾病的过程中发挥重要作用,进而为临床规范化应用制天南星提供参考依据。此外,根据文献和数据库挖掘天南星有效成分的结果,天南星的化学成分还有待补充研究。
| [1] |
国家药典委员会. 《中国药典》一部[M]. 北京: 中国医药科技出版社, 2020. National pharmacopoeia committee. Chinese Pharmacopoeia, volume I[M]. Beijing: Chin Med Sci Tech Press, 2020. |
| [2] |
聂容珍, 陈文政, 林嘉娜, 等. 天南星科有毒中药及炮制品的药效比较研究[J]. 中药药理与临床, 2016, 32(4): 53-6. Nie R Z, Chen W Z, Lin J N, et al. Comparative study on the efficacy of toxic Traditional Chinese Medicine and processed products of Araceae[J]. Chin Med Pharmacol Clin, 2016, 32(4): 53-6. |
| [3] |
赵重博, 王晶, 祁春艳, 等. 制天南星炮制及其研究进展[J]. 中药药理与临床, 2021, 37(3): 225-30. Zhao C B, Wang J, Qi C Y, et al. Processing and research progress of Arisaematis rhizomz[J]. Chin Med Pharmacol Clin, 2021, 37(3): 225-30. |
| [4] |
张睦涵, 朱振刚. 哮喘动物模型建立的研究进展[J]. 实验动物科学, 2018, 35(4): 83-6. Zhang M H, Zhu Z G. Research progress on the establishment of animal model of asthma[J]. Lab Anim Sci, 2018, 35(4): 83-6. doi:10.3969/j.issn.1006-6179.2018.04.016 |
| [5] |
付晓, 覃骊兰, 钟海森, 等. 过敏性哮喘中医证候模型研究进展及评价[J]. 中国中医药信息杂志, 2019, 26(8): 133-6. Fu X, Qin L L, Zhong H S, et al. Research progress and evaluation about TCM syndrome models of allergic asthma[J]. Chin J Inf Tradit Chin Med, 2019, 26(8): 133-6. doi:10.3969/j.issn.1005-5304.2019.08.029 |
| [6] |
赵建美, 娄志杰, 林红伍. 哮喘动物模型及平喘药物的研究进展[J]. 现代中西医结合杂志, 2007(28): 4250-1. Zhao J M, Lou Z J, Lin H G. Research progress of animal models of asthma and antiasthmatic drugs[J]. Mod J Integrated Tradit Chin Western Med, 2007(28): 4250-1. doi:10.3969/j.issn.1008-8849.2007.28.142 |
| [7] |
张田义, 赖新星, 李婷婷, 等. 基于网络药理学和分子对接技术探讨功劳叶、仙鹤草药对治疗缺血性中风的作用机制[J]. 中国药理学通报, 2021, 37(11): 1607-13. Zhang T Y, Lai X X, Li T T, et al. A network pharmacology and molecule docking approach to investigating active compounds and mechanisms of gonglaoye-xianhecao herbal pair for ischemic stroke[J]. Chin Pharmacol Bull, 2021, 37(11): 1607-13. |
| [8] |
张雨恬, 伍振峰, 黄艺, 等. 基于网络药理学与分子对接技术的鲜竹沥治疗"咳、喘、痰"机制及其质量标志物预测分析[J]. 中草药, 2021, 52(24): 7538-49. Zhang Y T, Wu Z F, Huang Y, et al. Predictive analysis of mechanism and quality marker of fresh bamboo sapon "cough, asthma, sputum" based on network pharmacology and molecular docking technology[J]. Chin Tradit Herbal Drugs, 2021, 52(24): 7538-49. doi:10.7501/j.issn.0253-2670.2021.24.016 |
| [9] |
王妙然, 李月, 张芸绮, 等. 基于网络药理学牛磺石胆酸抗炎作用及机制[J]. 中国药理学通报, 2021, 37(11): 1614-9. Wang M R, Li Y, Zhang Y Q, et al. Study on anti-inflammatory effect of taurolithocholic acid based on network pharmacology and its mechanism pharmacology and its mechanism[J]. Chin Pharmacol Bull, 2021, 37(11): 1614-9. |
| [10] |
贺素容, 王晶, 吴博, 等. 天南星和虎掌南星对大鼠水液代谢和血液流变学的影响[J]. 中国实验方剂学杂志, 2020, 26(18): 64-9. He S R, Wang J, Wu B, et al. Effect of Arisaema rhizoma and pinelliae pedatisectae rhizoma on water metabolism and hemorheology in rats[J]. Chin J Exp Tradit Med Form, 2020, 26(18): 64-9. |
| [11] |
黄聪, 彭伟, 魏大能, 等. 清半夏多糖对过敏性哮喘模型大鼠肺组织MUC5AC mRNA的影响[J]. 中国实验方剂学杂志, 2019, 25(22): 15-21. Huang C, Peng W, Wei D N, et al. Effect of pinelliae rhizoma praeparatum cum alumine polysaccharides on MUC5AC mRNA in lung tissues of allergic asthma model rats[J]. Chin J Exp Tradit Med Form, 2019, 25(22): 15-21. |
| [12] |
Barratts L, Blythe T, Jarrett C, et al. Differential expression of VEGF-Axxx isoforms is critical for development of pulmonary fibrosis[J]. Am J Respir Crit Care Med, 2017, 196(4): 479-93. |
| [13] |
He Y, Lou X, Jin Z, et al. Mahuang decoction mitigates airway inflammation and regulates IL-21/STAT3 signaling pathway in rat asthma model[J]. J Ethnopharmacol, 2018, 224(1): 373-80. |
| [14] |
黄进, 朱黎明, 朱应群. KLF2/RelIA比例失衡与哮喘患者中性粒细胞凋亡的关系研究[J]. 中国呼吸与危重监护杂志, 2018, 17(1): 1-5. Huang J, Zhu L M, Zhu Y Q. The relationship between KLF2/RelA imbalance and neutrophil apoptosis in asthmatic patients[J]. Chin J Res Critical Care, 2018, 17(1): 1-5. |
| [15] |
Amishima M, Munakata M, Nasuhara Y, et al. Expression of epidermal growth factor and epidermal growth factor receptor immune are activity in the asthmatic human pathway[J]. Am J Respir Crit Care Med, 1998, 157(6): 1907-12. |
| [16] |
Krymskaya V P, Goncharova E A, Ammt A J, et al. Src is necessary and sufficient for human airway smooth muscle cell proliferation and migration[J]. FASEB J, 2005, 19(3): 428-30. |
| [17] |
Nocker R E, Schoonbrood D F, Vande Graaf E A, et al. Interleukin IL-8 in ainway inflammation in patients with asthma and chronic obstructive puldmonary disease[J]. Int Arch Allergy Immunol, 1996, 109(2): 183-91. |