
2. 南方医科大学药学院广东省新药筛选重点实验室,广东 广州 510515;
3. 南方医科大学中心实验室,广东 广州 510515
2. Guangdong Provincial Key Lab ofNew Drug Screening, School of Pharmaceutical Sciences, Guangzhou 510515, China;
3. Central Lab, Southern Medical University, Guangzhou 510515, China
难愈性溃疡(又称难愈创面)是糖尿病的主要并发症之一[1]。据报道,超过15%的糖尿病患者存在足部溃疡,严重者甚至导致截肢[2],给患者带来巨大的精神压力,严重影响患者生活质量,同时也给患者造成了繁重的经济负担[3-4]。因此,糖尿病难愈溃疡是亟待解决的重大问题之一。
据报道,神经分布异常和神经炎症是造成糖尿病难愈创面的原因之一,并伴随皮肤创面中神经数量减少,神经生长因子(nerve growth factor,NGF)减少[5]。NGF是最先被发掘的神经营养因子,其在调节交感神经和感觉神经细胞的发育和维持方面起着不可替代的作用, 对于创面愈合具有重要意义[6-8]。前期研究发现,鼠神经生长因子(mouse nerve growth factor,mNGF)对糖尿病大鼠皮肤损伤有促进愈合的作用[6, 9]。与mNGF相比,重组人神经生长因子(recombinant human nerve growth factor,rhNGF)与人神经生长因子(human nerve growth factor,hNGF)同源性更高,生产规模不受动物原料的限制,而且不存在动物源致病性病毒污染的威胁,具有较大的发展潜力。然而,rhNGF是否具有治疗糖尿病难愈创面的作用尚不清楚。皮肤损伤会导致皮肤表皮细胞及真皮层成纤维细胞的损伤, 而在组织修复阶段, 表皮细胞参与表皮重建, 其增殖与迁移有利于创面修复, 而成纤维细胞具有恢复皮肤正常形态与功能的作用[10]。本研究旨在建立糖尿病合并难愈创面动物模型,通过观察创面面积,苏木精-伊红(HE)染色和透射电镜(transmission electron microscope,TME)检查,初步探讨rhNGF对糖尿病难愈创面的治疗效果。
1 材料与方法 1.1 材料 1.1.1 药物与试剂rhNGF,北京华安科创生物科技有限公司; 重组牛碱性成纤维细胞生长因子(recombinant bovine basic fibroblast growth factor,rb-bFGF),珠海亿胜生物制药有限公司; 链脲佐菌素(streptozotocin,STZ),Sigma进口分装,由上海润捷化学试剂有限公司提供。
1.1.2 实验动物60只SPF级SD大鼠,♂,体质量180~200 g, 购自上海西普尔-必凯实验动物有限公司,许可证号:SCXK(沪)2013-0016。
1.1.3 仪器H-600透射电子显微镜(日本日立公司);ZH-YLS-5Q台式超级控温烫伤仪(华北正华生物仪器设备有限公司);安稳免调码血糖仪(三诺生物传感股份有限公司);860IS型Canon数码相机(日本Canon公司)。
1.2 方法 1.2.1 诱导糖尿病大鼠所有动物适应性饲养7 d后,禁食但不禁水12 h。大鼠称量体质量后,腹腔注射STZ(60 mg·kg-1),72 h后检查血糖,血糖≥16.7 mmol·L-1为合格糖尿病大鼠。
1.2.2 大鼠皮肤烫伤模型制备正常大鼠和糖尿病大鼠用戊巴比妥钠腹腔注射麻醉,背部用宠物剃毛刀剃毛,酒精消毒后,用台式超级控温烫伤仪在大鼠背部做一直径为2 cm圆形深II度烫伤创面(95 ℃, 10 s)。
1.2.3 分组与给药正常对照组为烫伤的非糖尿病大鼠,糖尿病合并烫伤的动物随机分为模型对照组、不同剂量的rhNGF给药组(3、6、12 μg·kg-1)及阳性对照rb-bFGF组(262.5 IU·cm-2),每组10只。rhNGF治疗组大鼠肌肉注射给药,正常对照组和模型对照组肌肉注射等量溶剂, rb-bFGF治疗组为吸取药液滴在创面上。皮肤创面形成2 h后给药治疗, 每日给药1次,连续给药21 d。所有大鼠单笼饲养。
1.2.4 血糖测量治疗前,治疗d 7、14、21测量各组大鼠血糖。
1.2.5 皮肤烫伤创面愈合观察治疗前,治疗d 3、7、10、14、17、21,在相同条件下用数码相机采集每只大鼠创面照片,扫描仪扫描照片后,用Photoshop软件计算大鼠创面面积(3487.5像素=1 cm2)。
1.2.6 HE染色与观察给药治疗结束后,取各组大鼠创面皮肤,置于10%甲醛中固定,进行常规脱水、包埋以及切片,HE染色后,置于光学显微镜下观察。
1.2.7 透射电镜检查给药治疗结束后,为观察各组大鼠烫伤部位皮肤组织的超微结构,取各组大鼠烫伤部位皮肤,切成1 mm3大小的组织,置于4%多聚甲醛中固定,置于透射电镜下观察。
1.2.8 统计学处理实验数据以x±s表示,实验数据的分析用ANOVA检验比较差异的显著性(SPSS 17.0软件)。
2 结果 2.1 血糖水平测量结果实验期间,糖尿病对照组及各给药组大鼠的血糖水平均高于正常对照组,差异具有统计学意义(P<0.01)。各组大鼠在创面形成21 d内与给药前比较,血糖均无明显变化(P>0.05)。对于各个药物治疗组动物的血糖与模型组比较,各组间大鼠血糖水平无明显差异(P>0.05)。见Tab 1。
| Group | Blood glucose level/mmol·L-1 | |||
| 0 d | 7 d | 14 d | 21 d | |
| NC | 5.27±0.53 | 5.03±0.46 | 5.12±0.61 | 5.18±0.48 |
| DC | 20.19±2.76## | 20.98±2.09## | 20.42±1.79## | 21.10±1.57## |
| rb-bFGF(262.5 IU·cm-2) | 20.22±2.76 | 20.93±2.09 | 20.15±2.10 | 21.04±1.58 |
| rhNGF(3 μg·kg-1) | 20.09±2.33 | 20.05±2.24 | 20.40±1.84 | 21.18±2.51 |
| rhNGF(6 μg·kg-1) | 20.03±2.17 | 20.57±2.03 | 20.84±2.02 | 21.54±1.51 |
| rhNGF(12 μg·kg-1) | 19.91±1.93 | 20.05±1.74 | 19.58±1.42 | 21.20±1.36 |
| NC:Normal scald control group; DC:Diabetic scald control group.##P<0.01 vs NC. | ||||
大鼠创面具有自愈能力,随着时间的延长,正常对照组大鼠和模型组大鼠创面面积均逐渐缩小,但两组大鼠创面愈合速度不同。从烫伤创面形成d 3~21,模型组大鼠创面面积明显大于正常对照组大鼠创面面积(P<0.01)。与模型组比较,从创面形成3 d后开始,rhNGF给药组大鼠的创面面积均小于模型对照组,差异具有显著性(P<0.05);阳性对照rb-bFGF组大鼠的创面面积明显小于模型组(P<0.05)。见Tab 2。
| Group | Wound area/cm2 | ||||||
| 0 d | 3 d | 7 d | 10 d | 14 d | 17 d | 21 d | |
| NC | 2.79±0.21 | 3.48±0.31 | 2.99±0.31 | 2.46±0.32 | 1.19±0.29 | 0.67±0.07 | 0.39±0.06 |
| DC | 2.84±0.26 | 3.98±0.46## | 3.51±0.40## | 3.33±0.30## | 2.72±0.24## | 2.07±0.37## | 1.42±0.21## |
| rb-bFGF(262.5 IU·cm2) | 2.87±0.15 | 3.66±0.40* | 3.05±0.25** | 2.30±0.33** | 1.66±0.34** | 0.83±0.26** | 0.42±0.19** |
| rhNGF(3 μg·kg-1) | 2.88±0.19 | 3.68±0.30* | 3.21±0.32* | 2.40±0.42** | 2.13±0.37** | 1.31±0.30** | 0.79±0.16** |
| rhNGF(6 μg·kg-1) | 2.84±0.23 | 3.64±0.28* | 3.11±0.26** | 2.24±0.24** | 1.78±0.32** | 1.00±0.23** | 0.58±0.17** |
| rhNGF(12 μg·kg-1) | 2.85±0.19 | 3.52±0.32** | 3.06±0.29** | 2.14±0.33** | 1.77±0.36** | 0.81±0.15** | 0.50±0.09** |
| ##P<0.01 vs NC; *P<0.05, **P<0.01 vs DC | |||||||
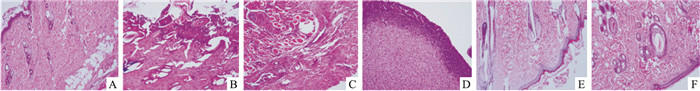
Fig 1的HE染色结果显示,正常对照组大鼠皮肤结构基本正常;模型组大鼠创面皮肤成纤维细胞和纤维细胞数量较少,胶原纤维数量较少且排列散乱。而给予rhNGF和rb-bFGF治疗后,创面皮肤基本愈合,新生表皮组织结构较完整,层数较多,与真皮层分界不明显。真皮内分布大量毛细血管,胶原纤维丰富,纤维排列较整齐,且rhNGF对创面愈合具有一定的剂量依赖性,表明rhNGF对促进糖尿病大鼠皮肤的愈合有较好作用。
|
| Fig 1 Effect of rhNGF on histopathological alterations of wound skin in diabetic rats(×100) Microscopic image of wound skin of normal scald control rat(A), diabetic scald control group(B), rb-bFGF(262.5 IU·cm-2) treated group(C), rhNGF(3 μg·kg-1) treated group(D), rhNGF(6 μg·kg-1) treated group(E) and rhNGF(12 μg·kg-1) treated group(F). |
Fig 2的TME结果显示,正常对照组大鼠创面皮肤超微结构基本正常,偶见空泡,上下皮成纤维细胞丰富且排列紧密;而模型组大鼠创面皮肤结构不完整,未见上皮,上皮下成纤维细胞内可见大量空泡、炎细胞,部分区域可见大量细胞碎片;rb-bFGF组大鼠创面皮肤超微结构接近正常,少数上皮细胞内可见少量空泡,上皮下胶原排列整齐。rhNGF治疗组中,糖尿病大鼠皮肤创面超微结构随rhNGF剂量的增加逐步改善。rhNGF(3、6 μg·kg-1)组大鼠创面皮肤可见上皮,细胞质内仍可见少量空泡,细胞间连接基本正常,上皮下胶原结构排列较整齐,rhNGF(12 μg·kg-1)组上皮细胞排列整齐,超微结构基本正常,上皮下胶原纤维丰富且排列整齐。
|
| Fig 2 Effect of rhNGF on ultrastructural changes of wound tissue in diabetic rats(×5 000) Ultrastructure of wound skin of normal scald control rat(A), diabetic scald control group(B), rb-bFGF(262.5 IU·cm-2) treated group(C), rhNGF(3 μg·kg-1) treated group(D), rhNGF(6 μg·kg-1) treated group(E) and rhNGF(12 μg·kg-1) treated group(F). |
糖尿病难愈性溃疡是糖尿病重要并发症之一,发病率高且治疗困难。本研究采用STZ诱导糖尿病[11],建立糖尿病合并难愈创面模型,模拟糖尿病患者难愈性溃疡,探讨rhNGF对糖尿病合并难愈创面是否有治疗作用。这种模型与临床糖尿病难愈性溃疡在愈合过程和组织病理学改变等方面,具有较高的相似性。本研究以能有效促进创面愈合的rb-bFGF作为对照[12]。高血糖是影响伤口愈合延迟的因素之一[13],在本研究中,糖尿病大鼠的血糖水平明显高于非糖尿病大鼠,而给予rhNGF或rb-bFGF治疗对大鼠血糖无影响,说明给予rhNGF治疗不影响大鼠血糖。从创面形成d 3起,正常对照组大鼠创面面积小于模型大鼠创面面积,表明糖尿病大鼠烫伤创面模型是一种难愈性的创面动物模型;而rhNGF和rb-bFGF对糖尿病大鼠创面愈合有促进作用,经治疗后的大鼠创面面积均小于模型组大鼠创面面积。创面愈合过程中,往往伴随着成纤维细胞和胶原纤维的增生、新生毛细血管数量的增多[14]。因此,本研究通过HE染色来评估rhNGF对糖尿病难愈创面愈合的影响。HE染色结果表明,rhNGF治疗促进了糖尿病大鼠创面皮肤成纤维细胞、胶原纤维的增生以及新生毛细血管的形成。另外,创面组织的超微结构变化也可以反映皮肤创面的愈合情况[15]。透射电镜下检查各组大鼠烫伤创面皮肤,发现rhNGF和rb-bFGF均改善了糖尿病大鼠创面皮肤的超微结构,使糖尿病大鼠创面超微结构基本恢复正常。
综上所述,rhNGF可以通过缩小创面面积,促进烫伤创面成纤维细胞、胶原纤维和新生毛细血管的形成,从而利于糖尿病大鼠烫伤创面愈合,但关于rhNGF对促进糖尿病难愈创面愈合过程中所涉及的有关分子机制和信号通路,有待进一步研究。
| [1] |
Edmonds M, Lázaro-Martínez J L, Alfayate-García J M, et al. Sucrose octasulfate dressing versus control dressing in patients with neuroischaemic diabetic foot ulcers(Explorer): an international, multicentre, double-blind, randomised, controlled trial[J]. Lancet Diabetes Endo, 2018, 6(3): 186-96. doi:10.1016/S2213-8587(17)30438-2 |
| [2] |
Seo D K, Lee H S, Park J, et al. Diabetic foot complications despite successful pancreas transplantation[J]. Foot Ankle Int, 2017, 38(6): 656-61. doi:10.1177/1071100717696246 |
| [3] |
杨选鑫, 惠琦, 曹高忠, 等. rh-aFGF卡波姆940凝胶对1型糖尿病大鼠皮肤创伤的修复作用[J]. 中国药理学通报, 2018, 34(4): 557-62. Yang X X, Hui Q, Cao G Z, et al. The therapeutic effect of rh-aFGF carbomer 940 gel on wound healing in type I diabetic SD rat models[J]. Chin Pharmacol Bull, 2018, 34(4): 557-62. doi:10.3969/j.issn.1001-1978.2018.04.023 |
| [4] |
Chammas N K, Hill R L, Edmonds M E. Increased mortality in diabetic foot ulcer patients: the significance of ulcer type[J]. J Diabetes Res, 2016, 2016: 2879809. |
| [5] |
Sun Q, Tang D D, Yin E G, et al. Diagnostic significance of serum levels of nerve growth factor and brain derived neurotrophic factor in diabetic peripheral neuropathy[J]. Med Sci Monit, 2018, 24: 5943-50. doi:10.12659/MSM.909449 |
| [6] |
Chen J C, Lin B B, Hu H W, et al. NGF accelerates cutaneous wound healing by promoting the migration of dermal fibroblasts via the PI3K/Akt-Rac1-JNK and ERK pathways[J]. BioMed Res Int, 2014, 2014: 547187. |
| [7] |
Fu H D, Wang S, Ge B, et al. Nerve growth factor and substance P may be involved in moist exposed burn ointment-mediated chronic refractory wound healing[J]. Exp Ther Med, 2018, 16(3): 1987-93. |
| [8] |
Schenck K, Schreurs O, Hayashi K, et al. The role of nerve growth factor (NGF) and its precursor forms in oral wound healing[J]. Int J Mol Sci, 2017, 18(2): 386-97. doi:10.3390/ijms18020386 |
| [9] |
徐江平, 郭海彪, 汪海涛, 等. 鼠神经生长因子对糖尿病大鼠皮肤损伤的促愈合作用[J]. 湖北理工学院学报, 2015, 31(3): 51-6. Xu J P, Guo H B, Wang H T, et al. Healing effect of mouse nerve growth factor on skin injury of diabetic rat[J]. J Hubei Polytechnic Univ, 2015, 31(3): 51-6. |
| [10] |
秦迪, 张慧杰, 杨希营, 等. 抗氧化肽AOP1对小鼠皮肤烫伤创面愈合修复的影响[J]. 中国药理学通报, 2018, 34(2): 225-31. Qin D, Zhang H J, Yang X Y, et al. Effect of antioxidant peptide AOP1 on healing repair of skin burns in mice[J]. Chin Pharmacol Bull, 2018, 34(2): 225-31. doi:10.3969/j.issn.1001-1978.2018.02.016 |
| [11] |
Goyal S N, Reddy N M, Patil K R, et al. Challenges and issues with streptozotocin-induced diabetes-A clinically relevant animal model to understand the diabetes pathogenesis and evaluate therapeutics[J]. Chem-Biol Interact, 2016, 244: 49-63. doi:10.1016/j.cbi.2015.11.032 |
| [12] |
Ji Y, Zhang A, Chen X, et al. Sodium humate accelerates cutaneous wound healing by activating TGF-beta/Smads signaling pathway in rats[J]. Acta Pharm Sin B, 2016, 6(2): 132-40. doi:10.1016/j.apsb.2016.01.009 |
| [13] |
Kruse C R, Singh M, Sorensen J A, et al. The effect of local hyperglycemia on skin cells in vitro and on wound healing in euglycemic rats[J]. J Surg Res, 2016, 206(2): 418-26. doi:10.1016/j.jss.2016.08.060 |
| [14] |
Nakamichi M, Akishima-Fukasawa Y, Fujisawa C, et al. Basic fibroblast growth factor induces angiogenic properties of fibrocytes to stimulate vascular formation during wound healing[J]. Am J Pathol, 2016, 186(12): 3203-16. doi:10.1016/j.ajpath.2016.08.015 |
| [15] |
Langoni Cassettari L, Colli Rocha Dias P, Natalia Lucchesi A, et al. Continuous electrical current and zinc sulphate administered by transdermal iontophoresis improves skin healing in diabetic rats induced by alloxan: morphological and ultrastructural analysis[J]. J Diabetes Res, 2014, 2014: 980232. |

