


2. 潍坊医学院 医学研究实验中心,山东 潍坊 261053;
3. 潍坊医学院护理学院,山东 潍坊 261053
2. Colloge of Nursing, Weifang Medical University, Medicine Research Center, Weifang Shandong 261053, China;
3. Colloge of Nursing, Weifang Medical University, Weifang Shandong 261053, China
乳腺癌在女性恶性肿瘤中最为常见,其发病率连年升高,尽管各种治疗乳腺癌的方法有实质性进展,但病人的临床疗效仍然达不到预期的效果。因此,提高患者的治愈率是非常重要的[1]。
Raptor是mTOR的一种没有酶活性的调控蛋白。Aylett等[2]通过冷冻电子显微镜结合技术对嗜热毛壳菌中Raptor的晶体进行研究,揭示Raptor是作为mTORC1重要的结构支持而发挥作用的。mTORC1-Raptor复合物在细胞中发挥重要的作用,控制蛋白质与核糖体的合成,影响细胞的生长与增殖[3]。多项研究发现,mTORC1-Raptor复合物与垂体腺瘤[4]、皮肤癌[5]的发展与转移密切相关。上皮-间质转化(epithelial-mesenchymal transition,EMT)在癌症的侵袭与转移中起重要作用。EMT涉及上皮细胞程序重排、失去极性,常发生在肿瘤的发生发展过程中[6]。目前,Raptor影响乳腺癌的分子机制并无定论。因此,本实验对乳腺癌细胞中Raptor的表达进行调控,通过检测EMT相关标志物E-cadherin、Vimentin的表达情况,探讨Raptor在乳腺癌EMT中的作用。
1 材料与方法 1.1 材料Raptor、Snail单抗购自Abcam;Vimentin和E-cadherin单抗购自Santa Cruz Biotechnology;Raptor过表达质粒与敲除质粒均购自吉凯基因;Matrigel购自比迪医疗器械有限公司;Lipofectamine 2000脂质体转染试剂购自Invitrogen公司。
1.2 方法 1.2.1 细胞培养MDA231于10% FBS的RPMI 1640培养基、空气、37 ℃培养。乳腺癌细胞MCF-7于10% FBS的MEM培养基、5% CO2、37 ℃培养。将转染小RNA干扰质粒的MDA-MB-231乳腺癌细胞作为siRaptor/MDA231组,转染空载质粒的Scr/MDA231细胞作为对照组,转染过表达质粒的MCF-7乳腺癌细胞作为MCF-7/Raptor组,转染空载质粒的MCF-7/Con细胞作为对照组。
1.2.2 MTT实验参照文献[7]进行实验。
1.2.3 Western blot检测细胞转染后培养并裂解,提取总蛋白,配制12% SDS-PAGE,然后电泳、转膜、封闭,加入一抗中4℃过夜,TBST洗膜,二抗孵育,显影,曝光。
1.2.4 细胞转染按照Lipofectamine 2000的说明书操作。
1.2.5 Transwell侵袭实验将各组悬浮细胞加入小室上室、培养、染色、计数。实验至少独立重复3次。
1.2.6 核质分离参照先前课题组发表的文献[8]进行实验。
1.3 统计学分析全部数据资料用SPSS17.0分析,计量资料采用独立样本t检验或单因素方差分析。
2 结果 2.1 Raptor对各组乳腺癌细胞增殖能力的影响MTT实验结果显示,转染后各组乳腺癌细胞的增殖变化无统计学意义(Fig 1)。
|
| Fig 1 Influence of Raptor on cell proliferation of each breast cancer cell MTT results showed that Raptor had no significant effect on cell proliferation of breast cancer cells. The MTT assay was repeated at least three times. |
Western blot结果显示,Raptor蛋白在MDA231细胞中表达量明显高于在MCF-7细胞中的表达量(Fig 2)。
|
| Fig 2 Expression of Raptor protein in MCF-7 and MDA231 Total protein was isolated from MCF-7 and MDA231.β-actin was used as a loading control. Western blot was repeated at least three times. |
β-actin作为内参,Raptor蛋白在siRaptor/MDA231组中的表达明显低于Scr/MDA231和MDA231组中的表达;Raptor蛋白在MCF-7/Raptor组中的表达明显高于MCF-7/Con和MCF-7组中的表达,表明转染成功(Fig 3)。
|
| Fig 3 Expression of Raptor protein in various breast cancer cells |
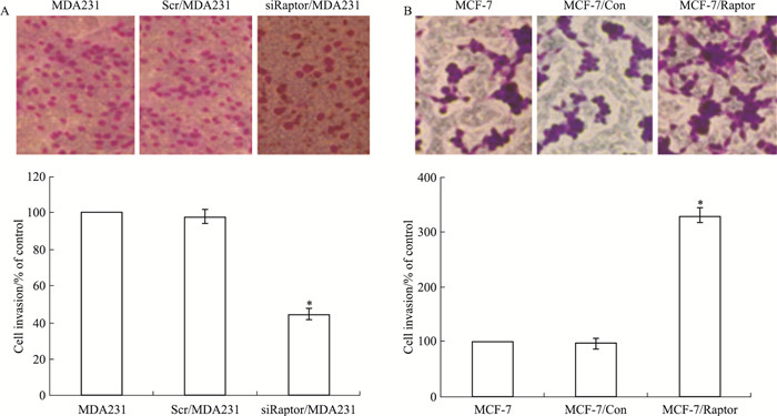
siRaptor/MDA231细胞组穿过Matrigel小室的细胞数量比Scr/MDA231组明显减少,差异有显著性(P<0.05);MCF-7/Raptor细胞组穿过Matrigel小室的细胞数量比MCF-7/Con组明显增多,差异有显著性(P<0.05),见Fig 4。
|
| Fig 4 Influence of Raptor on invasion capacity in various breast cancer cells The number of cells in siRaptor/MDA231 group was significantly reduced (A) and in MCF-7/Raptor group, the number of cells was significantly increased (B).*P < 0.05 vs Scr/MDA231 or MCF-7/Con |
如Fig 5所示,Vimentin在siRaptor/MDA231组的表达明显低于MDA231组和Scr/MDA231组,而E-cadherin在siRaptor/MDA231组的表达与MDA231组和Scr/MDA231组相比明显升高,差异有统计学意义;Vimentin在MCF-7/Raptor组的表达明显高于MCF-7组和MCF-7/Con组,而E-cadherin在MCF-7/Raptor组的表达与MCF-7和MCF-7/Con组相比明显降低,差异有统计学意义。
|
| Fig 5 The protein levels of Vimentin andE-cadherin in various breast cancer cells β-actin was used as a loading control.Western blot was repeated at least three times. |
siRaptor/MDA231组中细胞核中Snail的表达量比Scr/MDA231组明显降低,差异有统计学意义。MCF-7/Raptor组中细胞核中Snail表达量与MCF-7/Con组相比明显升高,差异有统计学意义(Fig 6)。
|
| Fig 6 The protein levels of Snail ingroups of various breast cancer cells Nucleolin was used as a loading control. Western blot was repeated at least three times. |
乳腺癌严重威胁女性健康,尽管乳腺癌的治疗已经取得很大进展,但是转移仍然是乳腺癌患者死亡的主要原因。
Raptor通过与mTORC1结合形成复合体来行使功能,是mTORC1的主要组成成分。Raptor作为桥梁分子,可以将mTOR与下游的靶分子连接起来,如S6K1(S6 kinase 1) 和4E-BP1(eukaryotic initiation factor 4E binding protein 1)。Misra等[9]发现,Raptor能影响mTORC1下游S6K和4EBP1两种蛋白,沉默Raptor也可引起细胞形态的改变,Raptor在前列腺癌中与Akt1关系密切。多项研究表明,mTOR与Raptor的高表达与恶性淋巴瘤[10]等的侵袭和转移有关。本实验结果显示,MDA231细胞株中Raptor蛋白高表达,而MCF-7细胞株中Raptor蛋白低表达,结果提示Raptor蛋白的表达与乳腺癌的侵袭和转移关系密切。
EMT正常情况下发生在胚胎发育时期,它可以使上皮细胞从某些部位迁移到其他部位,当细胞恶变后,上皮细胞层丧失极性,黏附性减弱,细胞骨架发生重构[11]。在恶性肿瘤中,EMT使肿瘤细胞转移浸润到其他部位。EMT与多种肿瘤的原位浸润和远处转移密切相关。已有研究发现EMT与胰腺癌、结肠癌等的侵袭与转移有关[12-13]。本实验中,Transwell结果显示,与Scr/MDA231组相比,siRaptor/MDA231细胞组穿过小室细胞数量明显减少;与MCF-7/Con组相比,MCF-7/Raptor细胞组穿过小室的细胞数量明显增多,结果提示Raptor促进了乳腺癌细胞的侵袭能力。
EMT的标志物有多种,如E-cadherin、Vimentin、N-cadherin等,当发生EMT时各种蛋白标志物的表达会发生改变。波形蛋白的异常增加常被作为细胞发生EMT的标志。本课题组先前研究发现,Vimentin作为EMT的重要标志物在浸润性导管癌中高表达[14]。E-cadherin是钙黏附蛋白家族中重要成员之一,与肿瘤组织的分化、侵袭和转移相关,是肿瘤进展及预后重要标志物之一。研究表明,mTORC1与Raptor可以降低E-cadherin的表达,并诱导乳腺癌细胞发生EMT[15]。本实验结果显示,用Western blot检测E-cadherin、Vimentin的表达,当下调乳腺癌细胞MDA231中Raptor的表达时,Vimentin的表达量明显降低,而E-cadherin蛋白的表达则明显升高;当上调乳腺癌细胞MCF-7中Raptor的表达时,Vimentin的表达量明显升高,而E-cadherin蛋白的表达量则明显降低,说明Raptor通过EMT促进乳腺癌的侵袭和转移。通过检测各组乳腺癌细胞中Snail蛋白的表达发现,siRaptor/MDA231组中细胞核中Snail蛋白的表达量与Scr/MDA231组相比明显降低,MCF-7/Raptor组中细胞核中Snail蛋白表达量与MCF-7/Con组相比明显升高,提示Raptor促进Snail蛋白的转核。
综上所述,本实验证实Raptor通过影响E-cadherin和Vimentin蛋白的表达,诱导EMT的发生,进而影响乳腺癌细胞的侵袭和转移。因此,通过对Raptor在乳腺癌中分子机制的研究,为进一步控制乳腺癌的侵袭与转移提供重要参考。
( 致谢: 感谢潍坊医学院医学研究实验中心为本实验提供平台。)
| [1] | Zhou Z, Wang S, Song C, et al. Paeoniflorin prevents hypoxia-induced epithelial-mesenchymal transition in human breast cancer cells[J]. Onco Targets Ther, 2016, 9(1): 2511-8. |
| [2] | Aylett C H, Sauer E, Imseng S, et al. Architecture of human mTOR complex 1[J]. Science, 2016, 351(6268): 48-52. doi:10.1126/science.aaa3870 |
| [3] | Foster K G, Acosta-jaquez H A, Romeo Y, et al. Regulation of mTOR complex 1 (mTORC1) by Raptor Ser863 and multisite phosphorylation[J]. J Bio Chem, 2010, 285(1): 80-94. doi:10.1074/jbc.M109.029637 |
| [4] | Jia W, Sanders A J, Jia G, et al. Expression of the mTOR pathway regulators in human pituitary adenomas indicates the clinical course[J]. Anticancer Res, 2013, 33(8): 3123-31. |
| [5] | Rho O, Srivastava J, Cho J, et al. Overexpression of PRAS40(T246A) in the proliferative compartment suppresses mTORC1 signaling, keratinocyte migration, and skin tumor development[J]. J Invest Dermatol, 2016, 136(10): 2070-9. doi:10.1016/j.jid.2016.06.013 |
| [6] | Chen R, Yang Q, Lee J D. BMK1 kinase suppresses epithelial-mesenchymal transition through the Akt/GSK3β signaling pathway[J]. Cancer Res, 2012, 72(6): 1579-87. doi:10.1158/0008-5472.CAN-11-2055 |
| [7] | Li H Y, Yang L, Fu H, et al. Association between Gαi2 and ELMO1/Dock180 connects chemokine signalling with Rac activation and metastasis[J]. Nat Commun, 2013, 4: 1706. doi:10.1038/ncomms2680 |
| [8] | 孙志亮, 张胜超, 李洪利, 等. EBP50通过Wnt3α/β-catenin信号通路抑制乳腺癌细胞的侵袭和转移[J]. 中国生物化学与分子生物学报, 2016, 32(9): 1027-32. Sun Z L, Zhang S C, Li H L, et al. EBP50 inhibits invasion and migration of breast cancer cells through Wnt3α/β-catenin signaling pathway[J]. Chin J Biochem Mol Biol, 2016, 32(9): 1027-32. |
| [9] | Misra U K, Pizzo S V. Activated α2-macroglobulin binding to cell surface GRP78 induces T-loop phosphorylation of Akt1 by PDK1in association with Raptor[J]. PLoS One, 2014, 9(2): e88373. doi:10.1371/journal.pone.0088373 |
| [10] | Gupta M, Hendrickson A E, Yun S S, et al. Dual mTORC1/mTORC2 inhibition diminishes Akt activation and induces Puma-dependent apoptosis in lymphoid malignancies[J]. Blood, 2012, 119(2): 476-87. doi:10.1182/blood-2011-04-346601 |
| [11] | Li T, Xie J, Shen C, et al. Upregulation of long noncoding RNA ZEB1-AS1 promotes tumor metastasis and predicts poor prognosis in hepatocellular carcinoma[J]. Oncogene, 2016, 35(12): 1578-84. |
| [12] | Mody H R, Hung S W, AlSaggar M, et al. Inhibition of S-adenosylmethionine-dependent methyltransferase attenuates TGFβ1-induced EMT and metastasis in pancreatic cancer: putative roles of miR-663a and miR-4787-5p[J]. Mol Cancer Res, 2016, 14(11): 1124-35. doi:10.1158/1541-7786.MCR-16-0083 |
| [13] | Kong J, Sun W, Li C, et al. Long non-coding RNA LINC01133 inhibits epithelial-mesenchymal transition and metastasis in colorectal cancer by interacting with SRSF6[J]. Cancer Lett, 2016, 380(2): 476-84. doi:10.1016/j.canlet.2016.07.015 |
| [14] | 刘菲, 孙磊, 张丽娜, 等. NUAK1能促进乳腺癌上皮-间质转化的发生引起侵袭转移[J]. 中国药理学通报, 2013, 29(12): 1680-4. Liu F, Sun L, Zhang L N, et al. NUAK1 induces migration and invasion of breast cancer by EMT[J]. Chin Pharmacol Bull, 2013, 29(12): 1680-4. doi:10.3969/j.issn.1001-1978.2013.12.013 |
| [15] | Kim E Y, Kim A, Kim S K, et al. Inhibition of mTORC1 induces loss of E-cadherin through AKT/GSK-3β signaling-mediated upregulation of E-cadherin repressor complexes in non-small cell lung cancer cells[J]. Respir Res, 2014, 15(1): 1-9. doi:10.1186/1465-9921-15-1 |

