


2. 河北以岭医药研究院, 国家中医药管理局重点研究室(心脑血管络病), 河北 石家庄 050035;
3. 河北医科大学附属以岭医院心血管科(国家中医药管理局中医络病学重点学科), 河北 石家庄 050091
2. Dept of Cardiology, Yiling Medical Institute of Hebei Province, Key Laboratory of State Administration Chinese Medicine (Cardio-cerebral Vascular Collateral Disease), Shijiazhuang 050035, China;
3. Dept of Cardiology, Yiling Hospital of Hebei Medical University(Collateral Disease Theory Key Disc-ipline of StateAdministration of Traditionnal Chinese Medicine), Shijiazhuang 050091, China
慢性心力衰竭(chronic heart failure,CHF)是心脏泵血功能障碍与代偿性激活的神经体液因子相互作用为特征的临床综合征。交感神经系统异常激活的中枢机制成为近期心衰研究的热点。肾素-血管紧张素系统(renin-angiotensinsystem,RAS)广泛分布于中枢各个神经核团,研究发现,侧脑室[1]、下丘脑室旁核(paraventricular nucleus of hypothalamus,PVN)[2]等部位微量注射血管紧张素Ⅱ(angiotensin Ⅱ,Ang Ⅱ)可以增加CHF大鼠的肾交感神经活性,这表明中枢RAS系统的激活是促进交感神经活性增强、加重心衰进展的一个重要因素。芪苈强心胶囊是运用中医络病学说研制的中药复方制剂,基础和临床研究发现,其具有抑制神经内分泌过度激活、抑制RAS系统、抑制心室重构功效,但其对中枢RAS系统及肾交感神经活性的影响尚不明确。本实验采用微量注射泵,经慢性心衰大鼠侧脑室给予醇化芪苈强心溶液4周,并采用氯沙坦作为阳性对照,观察慢性心衰大鼠PVN内RAS系统及肾交感神经活性的变化及中药芪苈强心对其的影响。
1 材料与方法 1.1 材料 1.1.1 实验动物成年♂ SD大鼠,90只,8周龄左右,体质量200~220 g,SPF级别,购自北京维通利华实验动物技术有限公司[编号SCXK(京)2012-0001]。饲以标准饲料,自由进食饮水,光照12 h·d-1,温度(20~23) ℃,相对湿度40%~60%。
1.1.2 药物和试剂中药复方芪苈强心胶囊(石家庄以岭药业股份有限公司),经药学方法醇化芪苈强心胶囊粉,溶于人工脑脊液,配制浓度为10 g·L-1和20 g·L-1的溶液[3];人工脑脊液(湖北英创生物科技有限公司,批号:2015041901);阳性药氯沙坦(TCI,批号:L0232);ACE小鼠抗大鼠单克隆抗体(Abcam,批号:ab11734);AT1R兔抗大鼠多克隆抗体(Abcam,批号:ab18801);大鼠Ang Ⅱ、NE、NT-proBNP酶联免疫吸附试剂盒(CUSABIO ,批号:E07301r;N10136373;M21136229)。
1.1.3 仪器MyLab Five VET(意大利百胜ESAOTE);HX-300动物呼吸机 (成都泰盟科技有限公司);脑立体定位仪(淮北正华生物仪器有限公司);BL-420E生物机能实验系统( 成都泰盟科技有限公司);ZH-RXZ型柔性颅骨钻(淮北正华生物仪器有限公司);微量注射泵(DURECT公司);PowerLab信号采集系统(Ad Instruments);DP301生物电放大器(Warner Instruments)。
1.2 方法 1.2.1 模型建立及侧脑室给药心衰模型的建立:大鼠腹腔注射麻醉(体积分数为0.1的水合氯醛3.5 mL·kg-1),经口气管插管连接小动物呼吸机(潮气量30~32 mL,呼吸比1 ∶2,呼吸频率90次·min-1)。开胸暴露心脏,待大鼠心电、呼吸平稳后,轻轻拨开左心耳,于左心耳下距主动脉根约1.5 mm处结扎左冠状动脉前降支(假手术组只穿线不结扎),术后分层缝合胸壁,留置插管排气,关闭胸腔。待大鼠恢复自主呼吸后,拔出气管插管,腹腔注射青霉素,放入笼中正常饲养。
植入微量注射泵经侧脑室给药:大鼠左冠状动脉前降支结扎4周后,将其麻醉,并以水平俯卧的姿势置于盒子的上方,固定在立体定位仪上,确定微量注射泵导管的安置位置(前骨缝的交点处,即沿着前囟中骨缝向前约1.5 mm,水平离中骨缝向右约1.5 mm位置),使用立体定位仪在微量注射泵导管安装位置上打孔。将导管安装在孔内,导管慢慢的伸入侧脑室[4],并用专用胶水固定。导管的另一端连接已装入药的微量注射泵,将微量注射泵埋在大鼠颈部皮下,缝合切口。
1.2.2 实验分组造模4周后,根据超声心动图和心电图,采用EF<42%作为评定心力衰竭的标准[5]筛选成模动物,并用随机数字法进行分组:模型组(CHF+VEH)、阳性药组(CHF+Losartan,10 mmol·L-1)、芪苈强心溶液低剂量组(CHF+QLQX-L)、芪苈强心溶液高剂量组(CHF+QLQX-H)。另设正常对照组(Normal)和假手术组(Sham+VEH)。每组15只。假手术组和模型组给予人工脑脊液,阳性药组给予氯沙坦(AT1R阻滞剂),芪苈强心溶液低、高剂量组给予经醇化芪苈强心溶液,分别经侧脑室连接注射泵连续给药,给药量0.25 μL·h-1,给药周期4周。
1.2.3 大鼠心功能的测定给药4周后,超声测定大鼠心功能,每组取9只大鼠腹腔麻醉注射后进行超声心动图检测,取胸骨旁左室长轴和乳头肌水平短轴切面。检测指标包括左室舒张末期内径(left ventricular end diastolic dimension,LVDd)、左室收缩末期内径(left ventricular end systolic dimension,LVDs)、左室舒张末期容积(left ventricular end diastolic volume,LVVd)、左室收缩末期容积(left ventricular end systolic volume,LVVs)、射血分数(ejection fractions,EF)和短轴缩短率(fractional shortening,FS);将大鼠取下心脏及肺脏称重,心重和肺重与大鼠体重的比值即为心重指数(heart weight/body weight,HW/BW)和肺重指数(lung weight/body weigh,LW/BW)。
1.2.4 心肌组织HE染色取出心脏,沿左室横径最大的部分切取约0.2 cm厚度组织,固定于4%多聚甲醛溶液中24 h,常规脱水、透明、浸蜡、包埋,沿心脏冠状面连续切片,厚4 μm,HE染色。
1.2.5 大鼠血浆NE、血清NT-proBNP及下丘脑室旁核Ang Ⅱ含量的测定采用腹主动脉采血,抗凝处理,4 ℃,3 000 r·min-1,离心15 min,分别取上清于EP管中,-80 ℃冷冻保存备用。大鼠断头、取脑后依据大鼠脑定位图谱于PVN区域打孔,提PVN,以一定的比例加PBS缓冲液研磨,-80 ℃冷冻保存备用。ELISA法测定NE、NT-proBNP及Ang Ⅱ水平,操作过程严格按照试剂盒说明书进行。
1.2.6 Western blot测定PVN内ACE、AT1R蛋白含量的表达取PVN组织,加入细胞裂解液,冰浴匀浆,充分裂解20 min,4 ℃,8 000 r·min-1离心10 min,收集上清进行蛋白定量。随后进行电泳、转膜、封闭,一抗、二抗孵育,抗体结合区带用化学发光法检测。
1.2.7 Real-time PCR测定PVN内ACE、AT1R mRNA含量的表达取PVN组织,加TRIzol于冰浴匀浆器中,提取组织总RNA,并对RNA纯度与完整性进行检测,完整性好及蛋白污染较少可准备后续反转录反应。逆转录-聚合酶链反应:逆转录cDNA的合成,取总RNA置于反转录反应液液中反转录50 min,95℃ 5 min灭活反转录酶;引物合成:ACE(76 bp):上游5′-CACCGTTACCAGACAACTATCC-3′,下游5′-TCCTCCACGAACCTGTTAGC-3′;AT1R(68 bp):上游5′-TCGGCAATCACCTATGTAAG-3′,下游5′-AAGGAACACACTGGCGTAG-3′;GAPDH(120 bp):上游5′-TGAACGGGAAGCTCACTGG-3′,下游5′-GCTTCACCACCTTCTTGATGTC-3′。PCR热循环参数:首次96℃ 4 min,然后经94℃ 30 s,58℃ 30 s,72℃ 30 s三步,共进行40个循环,于每个循环第3步72℃ 30 s时收集荧光信号。
实时荧光定量PCR结果分析:扩增完毕后进入到结果分析界面,以GAPDH作为内参照基因,与对照组相比较,获得目的基因表达相对定量值(RQ值)作为统计分析。
1.2.8 大鼠肾交感神经放电的变化每组实验大鼠随机抽取6只,腹腔麻醉后,将大鼠固定于手术台上,钝性分离组织,暴露左侧股静脉,顺血管走向钝性分离,行左侧股静脉插管以静脉给药。动物取右侧卧位,经腰部纵行切口沿腹膜后路径暴露左侧肾脏,在解剖显微镜下找到左侧肾动脉和肾神经,分离肾交感神经,挂于双极珀金丝银丝电极,滴加37℃石蜡油保存湿润,接生物电放大器,PowerLab生物信号系统采集信号。记录完后静脉注射硝普钠(100 μg·kg-1)[6],以诱导交感神经放电(renal sympathetic nerve activity,RSNA)的最高峰。将基础放电与硝普钠诱导的最高放电值之比作为统计学数据,对各组间RSNA活动情况进行比较。
1.2.9 数据分析采用SPSS19.0软件处理,所有数据用x ± s表示。符合正态分布的数据用单因素方差分析(One-Way ANOVA);符合正态分布和方差齐的数据两两比较,采用最小显著差法(LSD);符合正态分布但方差不齐的数据采用Dunnetts T3进行检验;不符合正态分布的数据,采用非参数K-W秩和检验。
2 结果 2.1 各组大鼠心功能的变化结果显示,与Nomal组相比,Sham+VEH组心功能各参数无统计学差异;与Sham+VEH组比较,CHF+VEH组LVDd、LVDs、LVVd、LVVs、HW/BW、LW/BW升高(P<0.01),EF、FS降低(P<0.01);与CHF+VEH组比较,CHF+ Losartan组、CHF+QLQX-H组LVDd、LVDs、LVVd、LVVs、HW/BW、LW/BW降低(P<0.01),EF、FS升高(P<0.01),CHF+QLQX-L组LVDs、LVVs、HW/BW、LW/BW降低(P<0.05),EF、FS升高(P<0.01),以CHF+ Losartan组、CHF+QLQX-H组最为明显(Tab 1)。
| Group | LVDd/mm | LVDs/mm | LVVd/ml | LVVs/ml | EF/% | FS/% | HW/BW/mg·g-1 | LW/BW/mg·g-1 |
| **P<0.01 vs Sham+VEH; #P<0.05, ##P<0.01 vs CHF+VEH | ||||||||
| Normal | 6.17±0.58 | 3.29±0.47 | 0.55±0.15 | 0.10±0.04 | 82.33±6.40 | 46.33±7.65 | 2.65±0.10 | 3.62±0.51 |
| Sham+VEH | 7.14±0.79 | 3.76±1.05 | 0.85±0.28 | 0.16±0.11 | 82.88±9.23 | 48.11±11.17 | 2.63±0.11 | 3.64±0.29 |
| CHF+VEH | 9.53±0.89** | 8.34±0.92** | 1.86±0.48** | 1.28±0.42** | 31.22±5.49** | 14.00±3.84** | 3.18±0.23** | 4.45±0.28** |
| CHF+ Losartan | 7.22±0.87## | 4.96±1.15## | 0.88±0.29## | 0.33±0.19## | 65.11±11.92## | 32.56±9.03## | 2.77±0.10## | 3.88±0.27## |
| CHF+QLQX-L | 8.01±1.64 | 5.86±1.54# | 1.22±0.65 | 0.55±0.36# | 58.44±9.23## | 27.11±5.58## | 2.87±0.14# | 3.84±0.25## |
| CHF+QLQX-H | 7.06±1.07## | 4.53±0.95## | 0.82±0.32## | 0.25±013## | 70.67±8.50## | 36.11±7.04## | 2.73±0.09## | 3.89±0.41## |
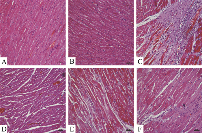
Nomal组、Sham+VEH组心肌组织细胞核成蓝色,心肌肌束饱满、细胞质成红色,未见心肌纤维化和炎性细胞浸润现象。CHF+VEH组梗死区心肌组织着色淡,心肌细胞数量减少,心肌纤维化严重,梗死灶及周围有大量炎性细胞浸润。各治疗组损伤程度减轻,心肌细胞数目增加,心肌组织纤维化程度减轻,炎性细胞数目减少(Fig 1)。
|
| Fig 1 Morphological observation of cardiacmuscle tissue in different groups(HE×200) A: Normal; B: Sham+VEH; C: CHF+VEH; D: CHF+Losartan; E: CHF+QLQX-L; F: CHF+QLQX-H |
结果显示,与Nomal组比较,Sham+VEH组血浆NE、血清NT-proBNP、PVN内Ang Ⅱ含量差异无统计学意义;与Sham+VEH组比较,CHF+VEH组NE、NT-proBNP、Ang Ⅱ含量均明显增加(P<0.01);与CHF+VEH组相比,CHF+Losartan组、CHF+QLQX-L组、CHF+QLQX-H组均可不同程度的降低血浆NE、血清NT-proBNP、室旁核Ang Ⅱ含量(Tab 2)。
| Group | NE/μg·L-1 | NT-proBNP/ng·L-1 | Ang Ⅱ/ng·L-1 |
| **P<0.01 vs Sham+VEH; #P<0.05, ##P<0.01 vs CHF+VEH | |||
| Normal | 2.16±0.29 | 233.49±34.58 | 244.99±27.24 |
| Sham+VEH | 2.13±0.28 | 209.87±33.64 | 255.53±21.87 |
| CHF+VEH | 3.74±0.39** | 291.21±27.56** | 698.01±60.35** |
| CHF+ Losartan | 2.70±0.51## | 239.80±43.79# | 422.59±30.98## |
| CHF+QLQX-L | 3.03±0.30## | 228.91±37.01## | 514.40±34.11## |
| CHF+QLQX-H | 2.72±0.37## | 226.27±29.61## | 393.99±54.48## |
结果显示,与Nomal组比较,Sham+VEH组PVN内ACE、AT1R mRNA和蛋白含量差异无统计学意义;与Sham+VEH组比较,CHF+VEH组ACE、AT1R mRNA和蛋白含量均明显增加(P<0.01);与CHF+VEH组相比,CHF+ Losartan组、CHF+QLQX-L组、CHF+QLQX-H组均可不同程度的降低PVN内ACE、AT1R mRNA和蛋白含量(P<0.01)(Fig 2)。
|
| Fig 2 The mRNA(A) and protein(B) expression of neuronalACE,AT1R in punched paraventricular nucleus tissuesmeasured by Real-time PCR and Western blot(x ± s, n=3) 1: Normal; 2: Sham+VEH; 3: CHF+VEH; 4: CHF+Losartan; 5: CHF+QLQX-L; 6: CHF+QLQX-H. **P<0.01 vs Sham+VEH; ##P<0.01 vs CHF+VEH group |
结果显示,与Nomal组比较,Sham+VEH组肾交感神经放电差异无统计学意义;与Sham+VEH组比较,CHF+VEH组肾交感神经放电强度明显增加(P<0.01);与CHF+VEH组相比,CHF+ Losartan组、CHF+QLQX-L组、CHF+QLQX-H组均可不同程度的降低肾交感神经放电(P<0.01),但仍高于Sham+VEH组(Fig 3)。
|
| Fig 3 Comparison of RSNA in all groups(x ± s, n=6) 1: Normal; 2: Sham+VEH; 3: CHF+VEH; 4: CHF+Losartan; 5: CHF+QLQX-L; 6: CHF+QLQX-H. **P<0.01 vs Sham group+VEH; #P<0.05, ##P<0.01 vs CHF+VEH group |
慢性心力衰竭是心脏泵血功能障碍与代偿性激活的神经体液因子相互作用为特征的临床综合征,是高血压、冠心病等许多心血管疾病的终末阶段。交感神经系统异常激活是慢性心力衰竭的重要病理特征,其中枢激活机制成为近期研究的热点。PVN是中枢内的整合区域,是直接调控交感神经传出活动最主要的中枢位点。CHF时PVN神经元激活,肾交感神经活性增高。RAS系统是人体重要的调节系统,RAS的所有成分在脑内已经被发现,广泛分布于中枢各个神经核团,其中以下丘脑、延髓等重要的心血管中枢含量最为丰富。近年来研究发现,中枢RAS系统的激活是促进交感神经活动,加重心衰进展的一个重要因素。脑内产生的Ang Ⅱ具有升高血压[7],降低压力感受性反射的敏感性,促进交感神经激活等功能。给正常大鼠PVN区域注入Ang Ⅱ,使PVN神经元细胞激活,明显增强交感神经传出活动[8]。AT1R被证明是介导中枢Ang Ⅱ作用的最重要的受体,脑内Ang Ⅱ主要通过与AT1R的结合发挥作用[9],当预先注射AT1R阻滞剂洛沙坦时AngII的作用被阻断[2]。ACE是RAS代谢途径的关键酶,ACE通过其水解产物Ang Ⅱ与AT1R结合来发挥其作用。长期侧脑室给予ACE抑制剂赖诺普利可降低中枢部位细胞因子和氧化应激水平,降低交感神经活性[10]。
本研究发现,与假手术组大鼠相比,经冠状动脉结扎术诱导的CHF大鼠PVN内RAS系统激活,Ang Ⅱ、ACE及AT1R的表达量上调,反映交感神经激活的指标血浆NE及肾交感神经放电增强,说明PVN局部RAS表达增多、功能上调与CHF时交感神经的过度激活有关。本研究还发现,CHF时大鼠心功能指标LVDd、LVDs、LVVd、LVVs、HW/BW、LW/BW、NT-proBNP升高,EF、FS降低,侧脑室给予AT1R阻滞剂氯沙坦后降低交感神经激活的同时改善了大鼠的心功能,更加明确提示中枢RAS系统的活化是交感神经激活和心功能恶化的重要因素。
芪苈强心胶囊是近年在国内首先运用络病理论指导CHF治疗的中药复方制剂,以益气温阳药为治络强心之本,辅以活血通络药,使气旺血行络通,兼利水消肿以治其标,具有多靶点、多环节、多途径的治疗特点。药理和临床研究表明,芪苈强心胶囊既能增强心肌收缩力,增加心排出量,具有传统的强心、利尿、扩血管的作用[11],又能明显抑制RAS系统的过度激活,抑制心室重构,延缓心衰的进展[12, 13]。这些关于中药芪苈强心胶囊对CHF治疗研究焦点主要集中于外周。随着心衰中枢机制研究的深入,我们也探索其治疗的新途径,前期的实验采用微量注射泵经侧脑室持续给药,本实验沿用此给药方式,4周后检测LVDd、LVDs、LVVd、LVVs、HW/BW、LW/BW的变化,各给药组与模型组比较均改善了大鼠的心功能;心肌组织HE染色发现各治疗组损伤程度减轻,从病理学角度进一步说明了侧脑室给予芪苈强心胶囊可以改善心衰大鼠的预后;血浆NE及肾交感神经放电是交感神经激活的敏感指标,本研究显示,与模型组比较,各给药组均不同程度的降低了血浆NE及肾交感神经的活性,说明芪苈强心胶囊可通过作用于中枢部位抑制交感神经的激活来延缓心衰的进展。
前期的研究[3, 14]发现通过侧脑室长期慢性注射芪苈强心胶囊可以降低下丘脑内CRH神经元的激活,降低中枢炎性因子,降低交感神经系统,改善心衰大鼠心功能和心肌组织形态的改变,改善心室重构,初步显示出芪苈强心可通过干预下丘脑CRH神经元的激活,降低炎性因子来降低交感神经的激活,延缓心衰的进展。本研究发现,与Sham+VEH组相比,CHF+VEH组大鼠下丘脑室旁核Ang Ⅱ、ACE、AT1R含量明显增加,血浆NE及肾交感神经活性明显增强,阳性药物组和CHF+QLQX-L组、CHF+QLQX-H组均可使PVN部位Ang Ⅱ、ACE、AT1R含量减少,NE及交感神经放电活性降低,结果提示,药物经侧脑室注入大鼠后可能通过干预PVN部位RAS系统的激活来降低了交感神经的兴奋性。
综上所述,中枢RAS系统的激活与交感神经的活化在心衰的发生发展过程中起关键作用,本实验中醇化芪苈强心胶囊抑制交感神经激活可能是调节PVN部位RAS系统的结果。但慢性心衰时中枢神经系统的激活机制以及中药芪苈强心胶囊对心衰的中枢影响仍有待于进一步的研究。
(本实验在河北以岭医药研究院药理室完成,得到王宏涛博士、张军芳博士、贾振华导师及刘焕、单星阁老师的悉心指导,谨此致谢!)
| [1] | Lu N, Helwig B G, Fels R J, et al.Central Tempol alters basal sympathetic nerve discharge and attenuates sympathetic excitation to central ANG Ⅱ[J]. Am J Physiol Heart Circ Physiol, 2004, 287(6):H2626-33. |
| [2] | Zheng H, Li Y F, Wang W, et al.enhanced angiotensin-mediated excitation of renal sympathetic nerveactivity within the paraventricular nucleus of anesthetized rats with heart failure[J].Am J Physiol Regul Integr Comp Physiol, 2009, 297(5):R1364-74. |
| [3] | 秘红英, 郎艳松, 唐思文, 等.经侧脑室注射芪苈强心胶囊对慢性心衰大鼠的影响[J].中药药理与临床, 2014, 30(5):128-31. Mi H Y, Lang Y S, Tang S W, et al. The influence of traditional Chinese medicine Qiliqiangxin given to the lateral ventricle on chronic heart failure rats[J].Pharmacol Clin Clin Mat Med, 2014, 30(5):128-31. |
| [4] | 陆 姚, 范礼斌, 张 野, 等.中枢吗啡预处理对心脏缺血后大鼠海马CaM、血浆CGRP以及下丘脑室旁核和心肌P物质表达的影响[J].中国药理学通报, 2009, 25(8):1072-7. Lu Y, Fan L B, Zhang Y, et al.Effects of intracerebroventricular morphine preconditioning on expression of calmodulin in hippocampus, calcitonin gene related peptide in plasma, substance P in hypothalamic paraventricular nucleus and myocardium in myocardial postischemia injury rats[J].Chin Pharmacol Bull, 2009, 25(8):1072-7. |
| [5] | 朱文晖, 张晓红, 肖渊茗.超声心动图评价心力衰竭大鼠模型心功能改变[J].中南大学学报, 2009, 34(5):453-6. Zhu W J, Zhang X H, Xiao Y M, et al.Evaluation of heart function in heart failure rat model by echocardiography[J].J Cent South Univ(Med Sci), 2009, 34(5):453-6. |
| [6] | Liu J L, Irvine S, Reid I A, et al.Chronic exercise reduces sympathetic nerve activity in rabbits with pacing-induced heart failure:a role for angiotensin Ⅱ[J].Circulation, 2000, 102(15):1854-62. |
| [7] | 余孝海, 李 艳, 丁 扬, 等.室旁核血管紧张素Ⅱ在慢性间歇性低氧诱发大鼠高血压中的作用及机制[J].中国药理学通报, 2015, 31(5):716-20. Yu X H, Li Y, Ding Y, et al.Ang Ⅱ in paraventricular nucleus contribute to chronic intermittent hypoxia induced-hypertension in rats[J].Chin Pharmacol Bull, 2015, 31(5):716-20. |
| [8] | Bardgett M E, Holbein W W, Herrera-Rosales M, et al.Ang Ⅱ-salt hypertension depends on neuronal activity in the hypothalamic paraventricular nucleus but not on local actions of tumor necrosis factor-alpha[J].Hypertension.2014, 63(3):527-34. |
| [9] | Zhu G Q, Patel K P, Zucker I H, et al.Microinjection of ang ii into paraventricular nucleus enhances cardiac sympathetic afferent reflex in rats[J].Am J Physiol Heart Cir Physio, 2002, 282:2039-45. |
| [10] | Li H B, Qin D N, Ma L, et al.Chronic infusion of lisinopril into hypothalamic paraventricular nucleus modulates cytokines and attenuates oxidative stress in rostral ventrolateral medulla in hypertension[J].Toxicol Appl Pharmacol, 2014, 279(2):141-9. |
| [11] | Li X, Zhang J, Huang J, et al.A multicenter, randomized, double-blind, parallel-group, placebo-controlled study of the effects of qili qiangxin capsules in patients with chronic heart failure[J].J Am Coll Cardiol, 2013, 62(12):1065-72. |
| [12] | Zou Y, Lin L, Ye Y, et al. Qiliqiangxin inhibits the development of cardiac hypertrophy, remodeling, and dysfunction during 4 weeks of pressure overload in mice[J].J Cardiovasc Pharmacol, 2012, 59(3):268-80. |
| [13] | Liu W, Chen J, Xu T, et al. Qiliqiangxin improves cardiac function in spontaneously hypertensive rats through theinhibition?of cardiac chymase[J].Am J Hypertens, 2012, 25(2):250-60. |
| [14] | 秘红英, 常丽萍, 郎艳松, 等.芪苈强心胶囊对慢性心衰大鼠下丘脑细胞炎性因子的影响[J].中国新药杂志, 2015, 24(8):924-9. Mi H Y, Chang L P, Lang Y S, et al. Effects of Qiliqiangxin on hypothalamic inflammatory factors in rats with heart failure[J].Chin J New Drugs, 2015, 24(8):924-9. |
