


丹参(Radix Salviae Miltiorrhizae)为唇型科植物丹参(Salviae Miltiorrhizae Bunge)的干燥根及根茎。始载于《神农本草经》,列为上品,我国传统医学中常用药物之一,主要用于祛瘀止痛、活血调经、养心除烦等。丹参临床上长期用于治疗心脑血管缺血性疾病,其活性成分也日益引起医药研究者的重视。丹参根主含脂溶性的二萜类成分和水溶性的酚酸成分。酚酸成分包括丹参素,丹酚酸A(salvianolic acid A,Sal A)、丹酚酸B(salvianolic acid B,Sal B)等[1]。
丹酚酸A是丹参主要的水溶性有效成分之一,是由中国医学科学院药物研究所黎莲娘教授首先分离得到的化合物[2]。心肌是高度依赖于有氧氧化供应能量的组织。心肌缺血是指供给心肌的血流量减少或心肌对氧的需求量增加超过其动脉最大供血量,从而引起心肌代谢、功能和结构改变。近年的研究表明,丹酚酸A在心脏保护方面有着明显活性[3, 4]。丹酚酸A具有明显的清除自由基、能够保护羟自由基引发的线粒体氧化损伤,具有抗氧化作用,并可调控凋亡基因表达等。
异丙肾上腺素(isopropranol,ISO)是儿茶酚胺类β肾上腺素受体激动药之一。大剂量ISO通过自身氧化而导致大量自由基的急剧生成和聚集,从而导致心肌缺血、缺氧,是常用的心肌缺血损伤模型之一[5]。本研究通过ISO致小鼠心肌缺血模型,研究丹酚酸A对心肌的保护作用,并与丹酚酸A另一种水溶性成分丹酚酸B进行比较,对其作用机制进行探索。
1 材料与方法 1.1 材料 1.1.1 实验动物♂ ICR小鼠84只,18~22 g,购自北京维通利华实验动物技术有限公司,许可证编号:SCXK(京2012-0001)。实验期间小鼠常规饲养,室温保持(23~25)℃,自由进食、进水。
1.1.2 药物和试剂丹酚酸A,由中国医学科学院药物研究所分离、提取、制备,注射用丹参多酚酸盐(主要成分为丹酚酸B,Sal B):上海绿谷制药有限公司生产(规格40 mg/瓶,批号Z20050249),临用时以生理盐水溶解。盐酸异丙肾上腺素注射液:由上海禾丰制药有限公司提供(规格2mL:1mg,生产批号:20130429);戊巴比妥钠:购自Sigma公司;乳酸脱氢酶(lactic dehydrogenase,LDH)试剂盒、天冬氨酸转氨酶(aspartate transaminase,AST)试剂盒,购自北京中生北控生物科技股份有限公司;小鼠心肌组织中超氧化物歧化酶(superoxide dismutase,SOD)、过氧化氢酶(malondialdehyde,CAT)试剂盒购于南京建成生物工程研究所;肌钙蛋白、cTn-T(cardiac Troponin-T)、白细胞介素6(interleukin-6,IL-6)、肿瘤坏死因子-α(tumornecrosis factor-α,TNF-α)检测试剂盒购自武汉华美生物工程有限公司。Akt抗体、Phospho-Akt(Thr308)(C31E5E)抗体、Bcl-2抗体、Bax抗体均购自Cell Signaling Technology公司;GAPDH,anti-rabbit IgG,anti-mouse IgG购自北京中衫金桥生物技术有限公司。其他试剂均为国产或进口分析纯试剂。
1.1.3 主要仪器SpectraMax M5酶标仪(Molecular Devices,USA);BeckMan Allegra X-22R低温离心机(Beckman,USA);BL-420S生物机能试验系统(成都泰盟科技有限公司);TBA-420 全自动血液分析生化仪(TOSHIBA,日本)。SDS-PAGE电泳装置(Bio-Rad USA),电转移装置(Bio-Rad USA);Molecular Imager ChemiDoc XRS系统(Bio-Rad)。
1.2 方法 1.2.1 实验动物分组♂ ICR小鼠84只,18~22 g,随机分为7组,正常对照组、模型对照组(ISO,8 mg·kg-1)、丹酚酸A低剂量组(Sal A 10 mg·kg-1)、中剂量组(Sal A 20 mg·kg-1)、高剂量组(Sal A 40 mg·kg-1),注射用丹参多酚酸盐组(Sal B 40 mg·kg-1),各给药组全部尾静脉注射相应剂量药物,每天1次,空白对照组和模型组尾静脉给予相同体积生理盐水,连续7 d。
1.2.2 异丙肾上腺素致小鼠心肌缺血模型制备除空白组外的所有各组于给药d 5开始皮下注射ISO(8 mg·kg-1),每天1次,连续3 d进行模型制备,空白组注射同体积生理盐水,实验期间动物自由取食和饮水。在d 7给药后,除空白对照组外各组小鼠继续皮下注射ISO,随后将小鼠用0.3%戊巴比妥钠〔0.1 mL·(10 g)-1〕腹腔注射麻醉,插上二导联心电图电极记录心电图20 min,在心电图终点后眼底静脉丛取血。
1.2.3 心脏指数测定实验完毕处死小鼠,迅速剪取心脏,生理盐水洗净余血,滤纸吸干多余水分,称重,以心脏重比小鼠体重,计算丹酚酸A对ISO诱导心肌缺血小鼠心脏指数的影响。
1.2.4 心电图统计记录小鼠Ⅱ导联心电图,分析30 s、1 min、5 min、10 min、20 min时ST段到T段的拐点J点电压。每只分别与空白对照组平均值比较,分别统计J点变化值。
1.2.5 血清心肌酶谱LDH、AST、cTn-T测定眼底静脉丛取血,室温凝聚1h后3 000 r·min-1离心10 min,取上清,稀释5倍后全自动生化仪测定LDH、AST的活性。ELISA法测定cTn-T。
1.2.6 病理组织形态学观察心室标本经固定,脱水,包埋,切片和HE染色,在光学显微镜观察心肌病理组织形态学的变化。
1.2.7 心肌组织TNF-α、IL-6的测定取左心室心肌组织,加入PBS缓冲液制备10%匀浆,5 000 r·min-1,4℃离心15min,取上清,ELISA试剂盒检测IL-6和TNF-α等炎性因子。
1.2.8 SOD、CAT含量测定取左心室心肌组织,加入PBS缓冲液制备10%匀浆,5 000 r·min-1,4℃离心15 min,取上清,试剂盒检测SOD、CAT含量。
1.2.9 心肌切片原位细胞凋亡检测(TUNEL法)4%多聚甲醛固定后,做TUNEL 检测。石蜡包埋的切片的预处理常规脱蜡脱水;用蛋白酶室温孵育15~30 min。滴加50μL的TUNEL反应混合溶液,在湿盒中孵育60 min,加入50 μL转化剂-POD,在湿盒中37 C孵育30 min。加入DAB底物溶液室温孵育10 min,封片,400×光镜下拍照。采用ImagePro Plus 5.1(Media Cybernetics,Bethesda,MD,USA)软件,计算每个视野中凋亡细胞在总细胞数所占百分比例。每个样本随机计数6个视野,取其平均值进行分析结果。
1.2.10 Western blot分析提取左心室心肌组织总蛋白,测定蛋白浓度,加入5×loading buffer,沸水浴10min。制备分离凝胶,每孔上样20 μg,经12% SDS-PAGE电泳后,蛋白条带采用半干法转移至PVDF膜上。膜用含5% BSA的TBS-T溶液室温封闭1h。根据目的蛋白可能存在的位置剪裁PVDF膜,分别加入Bcl-2抗体、Bax抗体、Akt抗体和Phospho-Akt(Thr308)(C31E5E)抗体,4℃过夜;辣根过氧化物酶标记的二抗37℃作用1h,经TBS-T洗膜后,采用ECL法检测蛋白条带。Quantity One凝胶分析软件(Bio-Rad USA)。
1.2.11 统计学分析动物死亡率是各组实验前后的数量百分比值进行统计。心电图以用药后不同时间点实测值与空白对照组进行比较,以用药后不同时间内与相同时间点空白对照组心电图电压值进行组间比较。心脏指数以给药组与空白对照进行组间比较。心肌酶谱各指标以及炎症因子以各组间与空白对照组进行组间比较。实验数据均以x±s表示,利用SPSS13.0软件中One-way ANOVA和t检验进行显著性检验统计分析。
2 结果 2.1 丹酚酸A对ISO诱导心肌缺血小鼠死亡率的影响丹酚酸A对ISO诱导心肌缺血小鼠死亡率的结果显示(Tab1),连续3 d注射ISO后,导致模型对照组(ISO)约33.3%小鼠死亡,而丹酚酸A各剂量组(10、20、40 mg·kg-1)、丹酚酸B(40 mg·kg-1)均能降低注射ISO导致的动物死亡率。
| Group | Total count | Death count | Mortality/% |
| Control | 12 | 0 | 0 |
| ISO | 12 | 4 | 33.3 |
| Sal A 10 mg·kg -1 + ISO | 12 | 2 | 16.6 |
| Sal A 20 mg·kg -1 + ISO | 12 | 1 | 8.3 |
| Sal A 40 mg·kg -1 + ISO | 12 | 1 | 8.3 |
| Sal B 40 mg·kg -1 + ISO | 12 | 1 | 8.3 |
将各个给药组相对于同一时间的正常组ST段改变的电压值进行定量统计分析,结果见Fig1。连续3 d注射ISO后,在给药1 min时模型组小鼠心电图ST段可降低达到0.4 mV以上,而丹酚酸A各剂量组和丹酚酸B可减小ST段的改变,丹酚酸A 40 mg·kg-1效果优于丹酚酸B。随着时间延长,模型组ST段的改变没有降低,给药组ST段变化减小,但是仍然明显低于模型组。可知丹酚酸A能够抑制ISO导致的小鼠心电图上ST段的降低,改善其心电图的病理变化,在相同剂量下效果优于丹酚酸B。
|
| Fig.1 Representative electrocardiogram tracings in each group (recorded from Ⅱ limb leads with recorder speed 25 ms/div)(x±s,n=12) Typical ECG of different groups and effect of Sal A on the change of segment ST (△ST, mV) of ECG in ischemia mice induced by ISO. *P < 0.05, **P < 0.01 vs ISO group |
丹酚酸A对ISO诱导心肌缺血小鼠心脏指数测定结果显示(Fig2),注射ISO以及给予丹酚酸A对小鼠的体重没有明显影响,但是心脏大体外观及心脏指数有明显差异。模型组小鼠心脏水肿膨大,心外膜可见部分灰白色区域,心脏与体重比值即心脏指数升高(0.57±0.02),明显高于空白对照组(0.41±0.01);中剂量组和高剂量组的丹酚酸A明显降低心脏指数,改善小鼠心脏水肿程度。
|
| Fig.2 Effects of Sal A on heart index in ischemia mice induced by ISO ##P < 0.01 vs control; **P < 0.01 vs ISO. |
丹酚酸A对ISO诱导的心肌缺血小鼠血清心肌酶谱的结果显示(Fig3),ISO处理小鼠引起血清中心肌损伤标志酶LDH、AST和cTn-T的明显升高,与空白对照组差异有显著性(P < 0.01)。各剂量组丹酚酸A均可明显降低LDH、AST和cTn-T的心肌损伤酶谱的漏出,保护缺血损伤的心肌组织。
|
| Fig.3 Effects of Sal A on serum levels of LDH (A),AST (B), cTn-T (C) in ischemia mice induced by ISO.LDH, lactic dehydrogenase, AST, aspartate transaminase; cTn-T, cardiac Troponin-T (x±s,n=8) ##P < 0.01 vs control group; **P < 0.01 vs ISO group. |
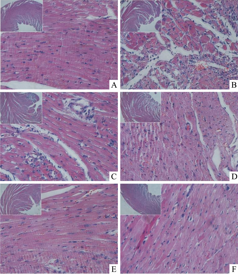
组织病理学HE染色检查发现,正常对照组小鼠心肌细胞纹理清晰,细胞形态和结构正常,无炎症细胞浸润;而ISO处理小鼠心肌细胞结构紊乱,细胞界限消失,广布局灶性坏死,有明显的空泡变性,细胞间隙明显水肿,大量炎性细胞浸润。丹酚酸能够明显降低ISO处理引起的心肌病理改变,保持更多心肌细胞结构正常,减少炎症细胞浸润,稳定膜结构,降低水肿程度(Fig4)。
|
| Fig.4 Histopathological changes in myocardium of ischemia mice induced by ISO (HE Staining). Small image are 40×, big image are 200×. A:Control;B:ISO 8 mg·kg-1;C:Sal A 10 mg·kg-1+ISO;D: Sal A 20 mg·kg-1+ISO;E: Sal A 40 mg·kg-1+ISO; F: Sal B 40 mg·kg-1+ISO |
丹酚酸A对ISO诱导的心肌缺血小鼠心肌组织中炎症因子TNF-α和IL-6的结果显示(Fig5),ISO诱导的模型组心肌缺血小鼠的心肌中炎症因子TNF-α和IL-6水平明显上升,丹酚酸A高剂量组能够明显降低TNF-α,丹酚酸A中剂量和高剂量组明显降低IL-6。说明丹酚酸A能够降低缺血心肌中的炎症因子(P < 0.05),发挥心肌保护作用,其效果优于或等同于丹酚酸B。
|
| Fig.5 Sal A suppresses TNF-α (A), IL-6 (B) expression level in heart tissue of ischemia mice induced by ISO. TNF-α, Tumor necrosis factor-α, IL-6, Interleukin-6(x±s,n=9) ##P < 0.01 vs control group; *P < 0.05,**P < 0.01 vs ISO group |
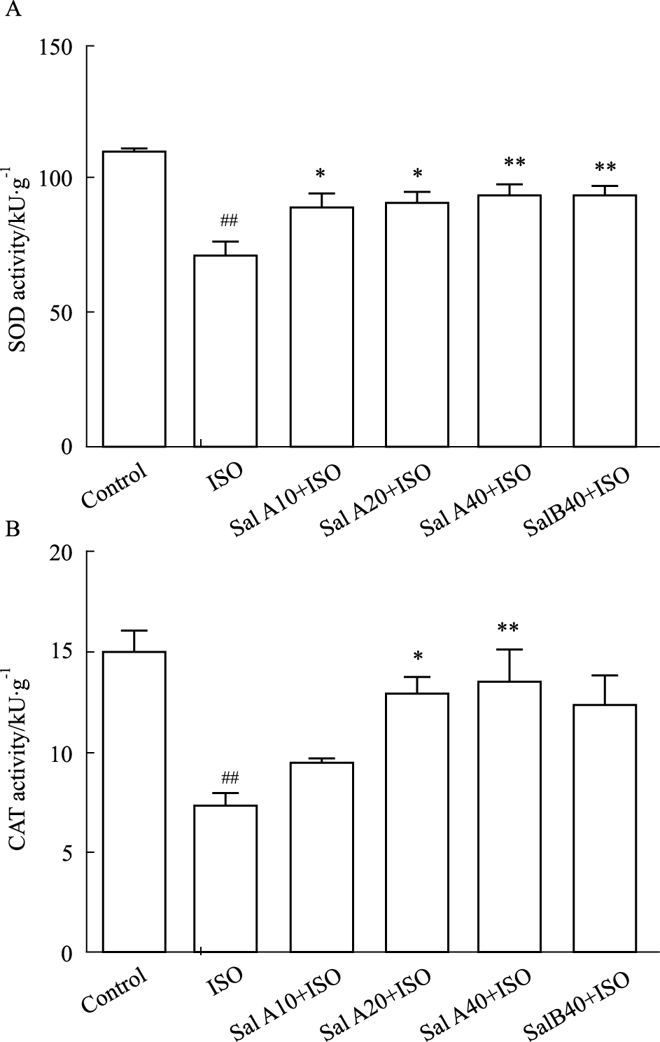
丹酚酸A对ISO诱导的心肌缺血小鼠抗氧化作用的结果显示(Fig6),模型组(ISO)小鼠心肌组织中超氧化物歧化酶(SOD)、过氧化氢酶(CAT)活性明显下降,与空白对照组差异有显著性(P < 0.01),丹酚酸A中剂量组和高剂量组均能够减弱ISO导致的抗氧化酶活性的降低,使体内氧化与抗氧化系统趋于平衡,接近生理状况下的稳态。
|
| Fig.6 Effects of SAA on levels of SOD and CAT in hearts of ischemia miceinducecd by ISO. SOD, superoxide dismutase, CAT, malondialdehyde(x±s,n=8) ##P < 0.01 vs control group; *P < 0.05,**P < 0.01 vs ISO group |
丹酚酸A对ISO诱导的心肌缺血小鼠心肌细胞凋亡的TUNEL检测结果显示(Fig7),TUNEL阳性细胞(凋亡细胞)细胞核染成棕褐色,可见核形态呈碎点状。图片中蓝色为正常细胞核,棕色为凋亡细胞,空白对照组凋亡细胞比16.67%±0.51%,ISO模型组中凋亡细胞明显增多,凋亡细胞可达87.33%±1.26%。而丹酚酸A各剂量组均能明显减少凋亡细胞的数量,表明丹酚酸A能够保护缺血心肌,抑制心肌细胞凋亡,其效果优于丹酚酸B。
|
| Fig.7 Effects of Sal A on cell apoptosis in myocardium of ischemia mice induced by ISO (200×) and Quantitative analysis of percentage of apoptotic cardiomyocytes(±s,n=6) A:Control;B:ISO 8 mg·kg-1;C:Sal A 10 mg·kg-1+ISO;D: Sal A 20 mg·kg-1+ISO;E: Sal A 40 mg·kg-1+ISO; F:Sal B 40 mg·kg-1+ISO. ##P < 0.01 vs control group; **P < 0.01 vs ISO group. |
丹酚酸A对心肌细胞凋亡蛋白及PI3K/Akt凋亡信号通路的影响结果显示(Fig8),模型组小鼠心肌组织抑制凋亡的Bcl-2表达减少,促进凋亡的Bax表达增多,丹酚酸A各剂量组可以剂量依赖性地增加抗凋亡蛋白Bcl-2表达,抑制促凋亡蛋白Bax的表达,这可能是丹酚酸A抑制心肌细胞凋亡的作用机制之一。对心肌组织中Akt效应分子即其磷酸化形式p-Akt水平检测结果显示,模型组小鼠心肌组织中p-Akt水平明显低于正常对照组(P < 0.01),提示ISO致心肌缺血损伤过程中PI3K/Akt通路出现异常变化。丹酚酸A给药组心肌组织中P-Akt水平明显升高(P < 0.05),说明丹酚酸A能够促进PI3K/Akt通路中关键信号分子Akt的活化,增加Akt的磷酸化水平,提示丹酚酸A对心肌缺血的保护作用可能与激活Akt通路相关。
|
| Fig.8 Effects of Sal A on Bax/Bcl-2 (A), P-Akt/Akt (B) in heart tissue of ischemia mice induced by ISO(±s,n=3) ##P < 0.01 vs control group; *P < 0.05,**P < 0.01 vs ISO group |
ISO导致心肌缺血、缺氧,是常用的心肌缺血损伤模型之一。导致心肌病变的主要原因是儿茶酚胺类物质的氧化产物。这些自由基引起脂质过氧化修饰,不可逆的破坏心肌细胞的膜结构,表现为膜通透性增加,进而心肌细胞膜功能和结构完整性丧失,还伴有脂质过氧化产物积聚、缺血性心电图改变以及心室功能严重障碍[5]。这种冠状动脉非相关性心肌梗死与人类心肌梗死具有很相似的病理生化和形态学改变。本研究采用这种非侵入性的操作制备急性心肌梗死模型,通过给予丹酚酸A研究了其对心肌缺血损伤心肌的预防和治疗作用,并与丹酚酸B比较。结果表明,皮下注射大剂量ISO可以导致模型组小鼠无法维持生命导致有一定的死亡率,各给药组均能降低注射ISO导致的死亡率,提高动物生存率,说明丹酚酸A具有保护ISO导致的小鼠心肌缺血的作用。
心电图异常包括ST段改变,是心肌细胞膜结构进行性损害的临床标志之一。心室肌全部除极完成,复极尚未开始的一段时间各部位的心室肌都处于除极状态,细胞之间并没有电位差。因此正常情况下ST段应处于等电位线上。当某部位的心肌出现缺血或坏死的表现,心室在除极完成后仍存在电位差,此时表现为心电图上ST段发生偏移。心肌本身损害可引起图中的ST段降低,如心肌疾病、心室肥大等。背离面向心外膜的导联发生ST段降低,例如心内膜下心肌梗死、慢性冠状动脉供血不足,心电图都可表现为ST段降低[6, 7, 8]。ST段压低超过0.05 mV并出现T波倒置,QRS波群电压升高且出现ST-T改变,均可为心肌缺血的体现。本实验结果小鼠经皮下注射ISO后,心电图出现明显的缺血样改变,ST段下降,高达0.4 mV。丹酚酸A干预能够明显抑制ISO注射导致的心电图缺血样改变。
心肌组织含有多种特异性较高的酶,心肌损伤或者坏死后心肌细胞膜通透性增加或者破裂,这些酶不同程度地释放到血清中,可用作心肌损伤的诊断标志物[9]。本研究发现皮下注射ISO后小鼠血清LDH、AST和cTn-T水平明显增高,丹酚酸A干预能改善这些心肌损伤标志酶的病理性升高。
组织病理学HE染色显示,ISO处理心肌组织大面积梗死区域,伴有细胞间隙明显水肿、大量炎性细胞渗出、凝集性坏死、肌纤维肿胀离散,有明显的空泡变性,此结果与文献报道一致[10],丹酚酸A能明显改善ISO引起的受损心肌组织病理形态学改变。
炎症反应是心肌缺血性损伤的重要因素。在缺血期各种炎症因子如TNF-α等释放能刺激血管内皮细胞和白细胞表达大量黏附分子,致使大量白细胞黏附、聚集,引起微循环障碍,导致心肌细胞损伤[11]。丹酚酸A可以降低心肌缺血小鼠心肌中炎症因子的水平,这可能是其发挥抗心肌缺血损伤的保护机制之一。
研究认为ISO引起的心肌缺血损伤与细胞内Ca2+超载和自由基大量产生有关。超氧化物歧化酶(SOD)、过氧化氢酶(CAT)以及谷胱甘肽过氧化酶(GSH-Px)等多种抗氧化酶组成了体内对抗自由基氧化损伤的防御系统,对体内氧化/抗氧化平衡稳态的维持具有重要的意义[12]。本研究结果显示,丹酚酸A能够通过升高抗氧化相关酶,如SOD、CAT等的活性水平,促使机体自身的氧化/抗氧化平衡系统恢复稳态,对抗缺血心肌的氧化应激。
Bcl-2家族是于在B细胞滤泡性淋巴瘤中发现的抗细胞凋亡基因,按其功能可分为抗凋亡的Bcl-2亚族和促凋亡的Bax亚族,心肌损伤会导致Bax蛋白表达增多[17]。在细胞凋亡信号转导途径中,Bcl-2家族成员的构成比例是凋亡调控的关键因素,Bcl-2/Bax在细胞凋亡过程中具有重要意义。本研究结果提示,丹酚酸A通过调节Bcl-2/Bax细胞凋亡蛋白,抑制细胞凋亡,保护缺血心肌。
PI3K/Akt信号通路被认为是细胞内重要的生存通路,其能够抑制细胞凋亡[15]。PI3K下游有诸多效应分子,Akt处于这一通路的中心环节,是其最主要的靶酶。Akt激活后,能够增加NOS的产生;同时磷酸化GSK-3β,使之失活,丧失其诱导细胞凋亡的作用,达到抑制凋亡的目的[13]。丹酚酸A能够促进PI3K/Akt通路中关键信号分子Akt的活化,升高Akt的磷酸化水平,提示丹酚酸A对心肌缺血的保护作用,可能是通过上调Akt通路而发挥的。
通过以上实验,丹酚酸A可以明显改善ISO诱导的心肌缺血小鼠心电图ST段变化,保持心肌纤维完整,减少血清中心肌损伤酶的含量,增加抗凋亡蛋白Bcl-2表达,降低促凋亡蛋白Bax表达,并上调Akt的磷酸化水平。证明丹酚酸A作为丹参水溶性家族中重要成分[14],具有明显的抗心肌缺血作用,其机制可能与稳定机体抗氧化系统,抑制炎症因子生成以及调节凋亡蛋白表达及PI3K/Akt细胞凋亡信号通路有关。
| [1] | 张莉, 张维库, 赵莹,等. 丹酚酸A的研究与进展[J].中国中药杂志, 2011,36(19):2603-9. Zhang L, Zhang W K, Zhao Y, et al. Research progress of salvianolic acid A[J]. Chin J Chin Mater Med, 2011,36(19):2603-9. |
| [2] | Lian N L, Rui T, Wei M C. Salvianolic acid A, a new depside from roots of Salvia miltiorrhiza[J]. Planta Med, 1984,50(3):227-8. |
| [3] | Du G H, Qiu Y, Zhang J T. Protective effect of salvianolic acid a on ischemia-reperfusion induced injury in isolated rat heart[J]. Acta Pharm Sin, 1995,30(10):731-5. |
| [4] | Wang S B, Tian S, Yang F, et al. Cardioprotective effect of salvianolic acid A on isoproterenol-induced myocardial infarction in rats[J]. Eur J Pharmacol, 2009,615(1):125-32. |
| [5] | Yates J C, Beamish R E, Dhalla N S. Ventricular dysfunction and necrosis produced by adrenochrome metabolite of epinephrine:relation to pathogenesis of catecholamine cardiomyopathy[J]. Am Heart J, 1981,102(2):210-21. |
| [6] | Cinca J, Noriega F J, Jorge E, et al. ST-segment deviation behavior during acute myocardial ischemia in opposite ventricular regions:observations in the intact and perfused heart[J]. Heart Rhythm, 2014,11(11):2084-91. |
| [7] | Tsigkas G, Kopsida G, Xanthopoulou I, et al. Diagnostic accuracy of electrocardiographic ST-segment depression in patients with rapid atrial fibrillation for the prediction of coronary artery disease[J]. Can J Cardiol, 2014,30(8):920-4. |
| [8] | Hodnesdal C, Prestgaard E, Erikssen G, et al. Rapidly upsloping ST-segment on exercise ECG:a marker of reduced coronary heart disease mortality risk[J]. Eur J Prev Cardiol, 2013,20(4):541-8. |
| [9] | Radhiga T, Rajamanickam C, Senthil S. Effect of ursolic acid on cardiac marker enzymes, lipid profile and macroscopic enzyme mapping assay in isoproterenol-induced myocardial ischemic rats[J]. Food Chem Toxicol, 2012,50(11):3971-7. |
| [10] | Cordwell S J, Edwards A V, Liddy K A, et al. Release of tissue-specific proteins into coronary perfusate as a model for biomarker discovery in myocardial ischemia/reperfusion injury[J]. J Proteome Res, 2012,11(4):2114-126. |
| [11] | Nagoor M F, Jagadeesh G S, Selvaraj P. Thymol attenuates inflammation in isoproterenol induced myocardial infarcted rats by inhibiting the release of lysosomal enzymes and downregulating the expressions of proinflammatory cytokines[J]. Eur J Pharmacol, 2015,754(5):153-61. |
| [12] | Khatua T N, Padiya R, Karnewar S, et al. Garlic provides protection to mice heart against isoproterenol induced oxidative damage:role of nitric oxide[J]. Nitric Oxide, 2012,3027(1):9-17. |
| [13] | Haubner B J, Neely G G, Voelkl J G, et al. PI3Kgamma protects from myocardial ischemia and reperfusion injury through a kinase-independent pathway[J]. PLoS One, 2010,5(2):e9350. |
| [14] | 陈俞材,方莲花,杜冠华. 丹参水溶性化合物抗心肌缺血作用的研究进展[J].中国药理学通报, 2015,31(2):162-5. Chen Y C, Fang L H, Du G H. Research advances in protective effects of water soluble compounds in against myocardial ischemia[J]. Chin Pharmacol Bull, 2015,31(2):162-5. |
