文章信息
- 富威, 张贺洋, 王萍萍, 魏鑫, 梁颖, 徐赢东
- FU Wei, ZHANG Heyang, WANG Pingping, WEI Xin, LIANG Ying, XU Yingdong
- 急性早幼粒细胞白血病伴骨髓纤维化2例报道并文献复习
- Acute promyelocytic leukemia with bone marrow fibrosis: a report of two cases and literature review
- 中国医科大学学报, 2026, 55(2): 181-183
- Journal of China Medical University, 2026, 55(2): 181-183
-
文章历史
- 收稿日期:2025-07-02
- 网络出版时间:2026-01-08 16:36:55
骨髓纤维化是一种由于骨髓中网状蛋白或胶原纤维沉积引起的骨髓增生性疾病。大多数骨髓纤维化为继发性,常继发于恶性肿瘤、炎症和自身免疫性疾病等。约1/3的初诊急性髓系白血病患者合并骨髓纤维化[1],在急性巨核细胞白血病中较为常见,而在急性早幼粒细胞白血病(acute promyelocytic leukemia,APL)中比较罕见。本文报道了我院收治的2例APL伴骨髓纤维化病例,分析其临床资料,并结合相关文献,总结其临床特点、诊治及预后,以期为APL伴骨髓纤维化的临床诊疗提供参考。
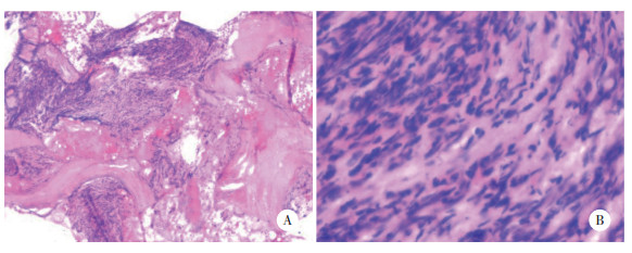
1 临床资料病例1,男,57岁,以“乏力10余天”为主诉于2020年4月入院。辅助检查:白细胞(white blood cell,WBC)2.28×109/L(参考值3.50×109/L~9.50×109/L),血红蛋白(hemoglobin,Hb)74 g/L(参考值130~175g/L),血小板(platelet,PLT)9×109/L(参考值125×109/L~350×109/L)。血浆凝血酶原时间(prothrombin time,PT)17.2 s(参考值11.0~13.7 s),血浆活化部分凝血活酶时间(activated partial thromboplastin time,APTT)37.6 s(参考值31.5~43.5 s),血浆纤维蛋白原1.73 g/L(参考值2.00~4.00 g/L)。血浆D-二聚体 > 20.0 μg/mL。外周血WBC分类计数:异常早幼粒细胞占37%。骨髓细胞形态学显示,异常早幼粒细胞占36%。流式细胞学检查:P3占63.5%,主要表达CD33、MPO、CD13、CD64、CD56,部分表达CD117、CD123、CD4,不表达CD34、CD19、cCD3、HLA-DR,为恶性髓系幼稚细胞。骨髓活检(图 1)提示,幼稚细胞弥漫增多伴骨髓纤维化,网状纤维染色(MF-2级)。染色体核型分析:46,XY,t(15;17)(q22;q12)[15] /46,XY [5]。分子生物学检查显示,PML::RARA(S)融合基因阳性,定量59.08%。患者诊断为“APL伴PML::RARA伴骨髓纤维化”。给予全反式维甲酸(all-trans retinoic acid,ATRA)口服(20 mg,2次/d)联合三氧化二砷(arsenic trioxide,ATO)静脉滴注(10 mg,1次/d)诱导分化治疗,治疗过程中出现分化综合征、肺内感染,对症给予地塞米松及抗感染治疗,病情平稳后出院。出院后继续口服ATRA(20 mg,2次/d)和复方黄黛片(8片,3次/d)。在诱导治疗后,患者于2020年6月第1次复查骨髓涂片及融合基因,结果提示达到了分子学缓解,此后分别于2020年7月、2020年11月及2021年3月复查骨髓,均为完全缓解状态,后随访1年血常规均正常。
|
| A,×40;B,×400 图 1 病例1骨髓活检HE染色结果 |
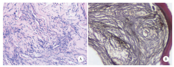
病例2,女,50岁,以“乏力3个月,加重1个月”为主诉于2022年8月入院。辅助检查:WBC 0.8×109/L,Hb 73 g/L,PLT 35×109/L。PT 11.7 s,APTT 29.1 s,血浆纤维蛋白原1.94 g/L。骨髓形态学检查显示,增生极度减低,异常早幼粒细胞占9.6%。分子生物学检查提示,PML::RARA(V)融合基因阳性,定量4.88%。荧光原位杂交检测:计数200个细胞,7%的细胞显示1红1绿2黄的信号方式,5%的细胞显示2红1绿1黄的信号方式,与本探针的异常阈值(12%)相等,不除外患者存在PML及RARA位点融合。骨髓活检(图 2)显示,纤维组织广泛增生,可识别细胞少;网状纤维染色(MF-3级)。患者诊断为“APL伴PML::RARA伴骨髓纤维化”。给予ATRA(20 mg,2次/d,口服)治疗,2022年9月联合使用ATO(10 mg,1次/d,静脉滴注)。2022年11月患者再次入院复查血常规:WBC 1.97×109/L,Hb 84 g/L,PLT 156×109/L;骨髓活检未见异常幼稚细胞明显增多,纤维组织增生,网状纤维染色(MF-2级);分子生物学检查显示,PML::RARA(V)阴性。出院后患者口服ATRA(10 mg,3次/d)和复方黄黛片(4片,3次/d),回当地医院继续治疗。2024年6月,患者因全血细胞减少再次来我院就诊。行骨髓穿刺检查,骨髓形态学检查显示,骨髓增生极度减低,异常早幼粒细胞占38%;外周血涂片提示异常早幼粒细胞22%。流式细胞学检查:P3占60.48%,主要表达CD33、CD117、CD38、CD13,不表达CD34、HLA-DR、CD19、CD56、CD14、CD15、CD11b,为恶性髓系幼稚细胞。骨髓活检显示,幼稚细胞增多,纤维组织增生,网状纤维染色(MF-2级)。荧光原位杂交检测:计数200个细胞,73%的细胞显示1红1绿2黄的信号方式,存在PML及RARA融合基因。患者病情复发,给予ATO联合ATRA诱导治疗,患者血常规持续三系减低,后家属放弃治疗,随访时已死亡。
|
| A,HE染色(×400);B,网状纤维染色(×200). 图 2 病例2骨髓活检染色结果 |
本研究获得我院医学科学研究伦理委员会批准([2025]116号),2例患者均知情同意。
2 讨论骨髓纤维化可分为原发性和继发性。原发性骨髓纤维化是BCR::ABL阴性的骨髓增殖性肿瘤,其临床特点为肝脾肿大,外周血可见幼稚粒细胞及有核红细胞。继发性骨髓纤维化可见于多种血液肿瘤,包括骨髓增生异常肿瘤、慢性粒细胞白血病、急性白血病、多发性骨髓瘤及淋巴瘤等[2]。骨髓纤维化的发生发展与多种细胞因子有关,如转化生长因子β(transforming growth factor-β,TGF-β)、血小板衍生生长因子(platelet-derived growth factor,PDGF)和碱性成纤维细胞生长因子(basic fibroblast growth factor,bFGF)等,这些因子可以促进胶原合成或刺激成纤维细胞的增殖[2],进而加速疾病的进展。由于巨核细胞本身可以产生TGF-β等细胞因子,因此骨髓纤维化在急性巨核细胞白血病中更为常见。除巨核细胞以外,白血病细胞也可以产生TGF-β。MORI等[3]发现,在初诊伴骨髓纤维化的APL患者中,TGF-β表达增高,提示异常早幼粒细胞可能分泌促进骨髓纤维化的细胞因子。
研究[4-6]发现,在多种疾病中,如急性髓系白血病、多发性骨髓瘤、骨髓增生异常肿瘤等,伴骨髓纤维化的患者预后均较差。APL伴骨髓纤维化较为罕见,XIAO等[7]报道,与APL不伴骨纤维化相比较,APL伴骨髓纤维化的患者常出现出血、贫血、感染、凝血功能异常等相似症状,但骨髓纤维化不影响APL患者的治疗效果和预后。本组2例患者中,1例患者诱导治疗后达到生物学缓解,此后复查骨髓一直为完全缓解;另外1例患者初诊时骨髓纤维化较为严重,诱导治疗后复查骨髓虽然达到分子学缓解,但骨髓活检仍可见骨髓纤维化,该患者1年余后复发,给予ATRA及ATO治疗未得到缓解,家属放弃治疗后死亡。第2例患者虽达到分子生物学缓解,但疾病再次复发后死亡,该情况与文献报道不同,不排除由患者初诊时纤维化较为严重引起。
ATRA及ATO是APL的主要治疗方案,但ATRA及ATO均可导致治疗相关的骨髓纤维化。VENKATESAN等[8]报道了1例APL患者在ATO治疗后第45天,复查骨髓活检结果提示严重的骨髓纤维化。HATAKE等[9]观察了13例初诊没有骨髓纤维化的APL患者,经ATRA治疗后,11例患者骨髓中存在胶原纤维沉积,ATRA停药或巩固化疗后,骨髓纤维化有不同程度缓解。INAGAWA等[10]报道了1例APL患者在巩固治疗过程中出现了感染性休克,随后死亡,对该患者骨髓活检标本进行回顾性检查发现进行性骨髓纤维化,可能由此导致了长期的骨髓抑制。因此,在APL患者各个治疗周期的诊疗过程中,骨髓活检极为重要,以及早发现并干预骨髓纤维化的发展。
APL伴骨髓纤维化的发病机制可能与白血病细胞分泌TGF-β进而促进骨髓纤维化有关。有文献[7]报道,骨髓纤维化不影响APL患者的治疗效果和预后,但本组第2例APL患者治疗效果欠佳,与文献报道不一致。目前,APL伴骨髓纤维化的病例报道较少,关于APL伴骨髓纤维化是否影响预后仍有待于未来进一步研究探讨。
| [1] |
ISLAM A, CATOVSKY D, GOLDMAN JM, et al. Bone marrow fibre content in acute myeloid leukaemia before and after treatment[J]. J Clin Pathol, 1984, 37(11): 1259-1263. DOI:10.1136/jcp.37.11.1259 |
| [2] |
GHOSH K, SHOME DK, KULKARNI B, et al. Fibrosis and bone marrow: understanding causation and pathobiology[J]. J Transl Med, 2023, 21(1): 703. DOI:10.1186/s12967-023-04393-z |
| [3] |
MORI A, WADA H, OKADA M, et al. Acute promyelocytic leukemia with marrow fibrosis at initial presentation: possible involvement of transforming growth factor-beta (1)[J]. Acta Haematol, 2000, 103(4): 220-223. DOI:10.1159/000041054 |
| [4] |
ZHANG X, WANG F, YU JF, et al. Significance of bone marrow fibrosis in acute myeloid leukemia for survival in the real-world[J]. Front Oncol, 2022, 12: 971082. DOI:10.3389/fonc.2022.971082 |
| [5] |
张磊, 李玉龙, 刘益民, 等. 初诊多发性骨髓瘤合并骨髓纤维化患者临床特征及预后分析[J]. 中华医学杂志, 2024, 104(1): 57-62. DOI:10.3760/cma.j.cn112137-20230713-00005 |
| [6] |
ZHAO YS, GUO J, ZHAO SD, et al. Incorporating mutations and bone marrow fibrosis into the revised international prognostic scoring system in myelodysplastic syndromes[J]. Leuk Lymphoma, 2024, 65(1): 100-108. DOI:10.1080/10428194.2023.2271593 |
| [7] |
XIAO MY, QIN L, NIU XN, et al. Acute promyelocytic leukemia with myelofibrosis: a case report and literature review[J]. Medicine, 2021, 100(13): e24567. DOI:10.1097/MD.0000000000024567 |
| [8] |
VENKATESAN S, PUROHIT A, AHUJA A, et al. Unusual massive bone marrow fibrosis in acute promyelocytic leukemia following arsenic trioxide therapy[J]. Leuk Res Rep, 2015, 4(2): 76-78. DOI:10.1016/j.lrr.2015.06.001 |
| [9] |
HATAKE K, OHTSUKI T, UWAI M, et al. Tretinoin induces bone marrow collagenous fibrosis in acute promyelocytic leukaemia: new adverse, but reversible effect[J]. Br J Haematol, 1996, 93(3): 646-649. DOI:10.1046/j.1365-2141.1996.d01-1708.x |
| [10] |
INAGAWA Y, KOMENO Y, SAITO S, et al. Prolonged myelosuppression due to progressive bone marrow fibrosis in a patient with acute promyelocytic leukemia[J]. Case Rep Hematol, 2019, 2019: 1616237. DOI:10.1155/2019/1616237 |
2026, Vol. 55



