文章信息
- 冉雪梦, 侯政瑶, 路瑶, 吕佳
- RAN Xuemeng, HOU Zhengyao, LU Yao, LÜ Jia
- 苦参碱通过HMGB1/RAGE信号通路抑制人乳头瘤病毒阳性宫颈癌的发生和发展
- Matrine inhibits the occurrence and development of human papilloma virus-positive cervical cancer by HMGB1/RAGE signaling pathway
- 中国医科大学学报, 2026, 55(2): 153-158, 163
- Journal of China Medical University, 2026, 55(2): 153-158, 163
-
文章历史
- 收稿日期:2024-10-24
- 网络出版时间:2026-01-08 16:32:24
2. 青岛大学附属青岛市海慈医院 (青岛市中医医院)产科, 山东 青岛 266033
2. Department of Obstetrics, Qingdao Hiser Hospital Affiliated of Qingdao University (Qingdao Traditional Chinese Medicine Hospital), Qingdao 266033, China
宫颈癌是女性常见的恶性肿瘤,发病率高且预后差。人乳头瘤病毒(human papilloma virus,HPV)感染是宫颈癌发病的主要原因,探寻可抑制HPV阳性宫颈癌进展的药物能够有效改善患者预后[1-2]。炎症是癌症发生发展的重要因素,而HMGB1/RAGE作为重要的炎症调控信号,在癌症治疗中发挥关键作用,抑制HMGB1/RAGE信号通路激活可发挥抗炎与抗癌双重作用[3],下调HMGB1/RAGE信号通路蛋白表达可导致宫颈癌细胞增殖、迁移和侵袭能力减弱[4],靶向HMGB1/RAGE信号通路并进行药物干预可能是宫颈癌的有效治疗手段。
苦参碱是中草药苦参的主要成分,有抗肿瘤、抗病毒的功效[5],可通过诱导铁死亡抑制宫颈癌荷瘤小鼠肿瘤生长[6]。FAN等[7]研究表明HMGB1是苦参碱的一个作用靶标,苦参碱可抑制HMGB1信号通路传导并对结直肠癌发挥治疗作用,因此推测苦参碱可能通过抑制HMGB1/RAGE信号通路激活治疗宫颈癌。本研究以苦参碱干预人HPV阳性宫颈癌细胞系HeLa细胞及其裸鼠,旨在探讨苦参碱调节HMGB1/RAGE信号通路对HPV阳性宫颈癌发生发展的影响。
1 材料与方法 1.1 材料 1.1.1 实验动物与细胞6周龄、体重15~18 g的SPF级BALB/c-nu雌性裸鼠购自山东艾茂达康生命科学有限公司,饲养在SPF级独立动物房内。饲养条件:温度23~26 ℃、噪声 < 60 dB、相对湿度50%~65%、昼夜(各12 h)节律。人HPV阳性宫颈癌HeLa细胞购自上海富衡生物科技有限公司,置于含10%胎牛血清、1%青链霉素双抗的RPMI-1640培养基中,于饱和湿度、37 ℃、5%CO2的条件下培养。本研究经青岛市中医医院实验动物伦理委员会批准[(2024)伦审第(25)号]。
1.1.2 主要试剂与材料苦参碱(中国食品药品检定研究院),pc-NC(空载质粒)、pc-HMGB1(HMGB1过表达质粒,上海汉恒生物科技有限公司),MTT检测试剂盒、驴抗兔HRP二抗、结晶紫染液、Annexin V-FITC/PI细胞凋亡检测试剂盒、兔抗人Anti-CD31、HMGB1、GAPDH、RAGE一抗(英国abcam公司),兔/小鼠一抗免疫组织化学试剂盒(上海纪宁实业有限公司)。
1.1.3 主要仪器全波长酶标仪(美国Molecular Devices公司);显微镜(新乡市维克科教仪器有限公司);流式细胞仪(德国Partec公司);全自动病理石蜡切片机(深圳市瑞沃德生命科技股份有限公司);双板夹芯式垂直电泳仪、半干式碳板转印电泳仪、双稳定时电泳仪电源(北京六一生物科技有限公司)。
1.2 方法 1.2.1 MTT实验筛选苦参碱浓度将HeLa细胞解冻、复苏后传代培养,取第3代细胞接种于96孔板,以0、1、2.5、5、10 mmol/L苦参碱干预24 h[8],以0.5 mg/mL MTT工作液孵育2 h,加入二甲基亚砜溶解结晶物,用酶标仪测量各组细胞光密度(optical density,OD)值。
1.2.2 细胞分组取第3代细胞接种于24孔板,随机分为对照组、苦参碱组、pc-HMGB1组、pc-NC组、苦参碱+pc-HMGB1组,对照组细胞正常培养不干预,苦参碱组细胞以5 mmol/L苦参碱干预,pc-HMGB1组、pc-NC组细胞分别转染pc-HMGB1、pc-NC质粒,苦参碱+pc-HMGB1组细胞以5 mmol/L苦参碱干预的同时转染pc-HMGB1质粒,各组均干预24 h。
1.2.3 细胞活力及凋亡检测 1.2.3.1 MTT实验取第3代细胞,以1×104/孔的密度接种于96孔板中,培养24 h,按照1.2.2中的细胞干预方法进行分组干预,24 h后用MTT法测定各组细胞活力。
1.2.3.2 流式细胞术将各组细胞用PBS洗涤后制成5×106/mL的单细胞悬液,取1 mL用FITC、PI染色后洗涤,用流式细胞仪测定各组细胞凋亡率。
1.2.4 细胞侵袭与迁移检测用PBS洗涤各组细胞,用无血清RPMI-1640培养基制成5×105/mL的单细胞悬液备用。
1.2.4.1 Transwell实验取24孔Transwell板用基质胶进行包被,洗涤后取上述各组细胞悬液各1 mL接种于上层小室,向下层小室加入含10%胎牛血清的RPMI-1640培养基,24 h取下层小室内细胞进行洗涤、固定、结晶紫染色处理后,在显微镜下观察、拍照、计数细胞。
1.2.4.2 细胞划痕实验取上述各组HeLa细胞悬液各1 mL接种于24孔培养板,在每个细胞孔中央划线,清除划痕内细胞后镜下拍照、定量划痕面积,培养24 h后再次显微镜下拍照、定量划痕面积,计算各组细胞迁移率。
1.2.5 体外三维培养检测细胞生成拟态(vascular mimicry,VM)取基质胶加入24孔培养板(200 μL/孔),37 ℃下固化后接种各组细胞,接种密度为5×105/mL,培养24 h后显微镜下拍照、定量VM管腔形成数。
1.2.6 Western blotting检测细胞HMGB1/RAGE信号通路蛋白表达提取各组HeLa细胞总蛋白,煮沸变性后每组取20 µg上样,电泳、半干转、封闭,4 ℃孵育兔抗人Anti-HMGB1、GAPDH、RAGE一抗过夜,室温孵育二抗2 h,显色、拍照、定量灰度值后计算各组蛋白相对表达量。
1.2.7 构建Hela移植瘤裸鼠及分组干预取第3代HeLa细胞,用PBS洗涤后制成单细胞悬液,于裸鼠右腋皮下接种1×106个HeLa细胞(0.2 mL细胞悬液)[8],7 d后裸鼠均成瘤,随机分为空白对照组、苦参碱干预组、过表达HMGB1组、阴性对照组、苦参碱+过表达HMGB1组,每组6只裸鼠,苦参碱干预组裸鼠以50 mg/kg苦参碱干预[8],过表达HMGB1组、阴性对照组裸鼠分别以pc-NC、pc-HMGB1质粒干预,苦参碱+过表达HMGB1组裸鼠以50 mg/kg苦参碱与pc-HMGB1质粒联合干预,苦参碱与质粒均溶于生理盐水,苦参碱进行腹膜内注射,质粒进行静脉注射,空白对照组裸鼠用等剂量生理盐水替代进行腹膜内与静脉注射,隔天注射1次,共注射7次。
1.2.8 检测各组裸鼠肿瘤生长情况并用免疫组织化学染色CD31检测裸鼠肿瘤血管生成测量裸鼠肿瘤长度和宽度,分别记为L和W,肿瘤体积=L×W2/2。首次干预记为0 d,于3、6、9、12、15、18、21 d分别测量1次。以颈椎脱位法处死裸鼠,切除肿瘤并取200 mg提取总蛋白,-80 ℃保存以备蛋白检测;剩余肿瘤组织进行洗涤、固定、透明、包埋、切片处理,取无破损切片脱蜡水化后清除其内源性过氧化氢酶,封闭后4 ℃孵育兔抗人Anti-CD31一抗过夜,按免疫组织化学试剂盒说明指导行免疫组织化学染色,洗片后镜下拍照、定量CD31阳性率。
1.2.9 Western blotting检测裸鼠肿瘤HMGB1/RAGE信号通路蛋白表达取1.2.8中的肿瘤蛋白样本,采用Western blotting检测肿瘤HMGB1/RAGE信号通路的蛋白表达。
1.3 统计学分析采用SPSS 26.0软件进行统计分析,数据以x±s表示,多组间比较采用单因素方差分析,事后两两进一步比较采用LSD-t检验,P < 0.05为差异有统计学意义。
2 结果 2.1 苦参碱作用浓度确定1、2.5、5、10 mmol/L苦参碱均能降低HeLa细胞活力,对其增殖起到抑制作用。本研究体外细胞实验选择接近半数抑制浓度(5.83 mmol/L)的5 mmol/L苦参碱处理HeLa细胞。见图 1。
|
| *P < 0.05 vs. 0 mmol/L matrine. 图 1 不同浓度苦参碱对细胞活力的影响 Fig.1 Effect of different matrine concentrations on cell viability |
2.2 苦参碱对细胞活力、凋亡、侵袭、迁移与血管形成的影响
与对照组相比,苦参碱组细胞活力、侵袭数、迁移率、管腔形成数、HMGB1与RAGE蛋白表达降低,凋亡率升高(P均 < 0.05);pc-HMGB1组细胞活力、侵袭数、迁移率、管腔形成数、HMGB1与RAGE蛋白表达升高,凋亡率降低(P均 < 0.05);pc-NC组各指标无明显变化(P > 0.05)。与苦参碱组相比,苦参碱+pc-HMGB1组细胞活力、侵袭数、迁移率、管腔形成数、HMGB1与RAGE蛋白表达升高,凋亡率降低(P均 < 0.05)。见图 2~6、表 1。
|
| A, control group; B, matrine group; C, pc-HMGB1 group; D, pc-NC group; E, matrine+pc-HMGB1 group. 图 2 流式细胞术检测各组细胞凋亡 Fig.2 Flow cytometry assay for detecting cell apoptosis in each group |
|
| A, control group; B, matrine group; C, pc-HMGB1 group; D, pc-NC group; E, matrine+pc-HMGB1 group. 图 3 体外三维培养检测各组细胞VM ×200 Fig.3 In vitro three-dimensional culture for detecting cell VM in each group ×200 |
|
| 图 4 细胞划痕实验检测各组细胞迁移×200 Fig.4 Cell scratch assay for detecting cell migration in each group ×200 |
|
| A, control group; B, matrine group; C, pc-HMGB1 group; D, pc-NC group; E, matrine+pc-HMGB1 group. 图 5 Transwell实验检测各组细胞侵袭×200 Fig.5 Transwell assay to detect cell invasion in each group ×200 |
|
| 1, control group; 2, matrine group; 3, pc-HMGB1 group; 4, pc-NC group; 5, matrine+pc-HMGB1 group. 图 6 Western blotting检测各组细胞HMGB1/RAGE信号通路蛋白表达 Fig.6 Western blotting of HMGB1/RAGE signaling pathway protein expression in each cell group |
| Group | OD value | Apoptosis rate(%) | Number of invasions | Migration rate(%) | Number of lumens formed | HMGB1 | RAGE |
| Control group | 0.63±0.07 | 2.06±0.63 | 291.50±27.67 | 62.15±4.83 | 24.50±2.32 | 0.52±0.05 | 0.46±0.04 |
| Matrine group | 0.34±0.041) | 48.35±1.741) | 87.50±15.831) | 27.30±2.721) | 8.33±0.961) | 0.11±0.021) | 0.09±0.011) |
| pc-HMGB1 group | 0.98±0.101) | 0.61±0.201) | 403.17±32.541) | 95.84±3.951) | 39.83±2.741) | 0.93±0.091) | 0.84±0.071) |
| pc-NC group | 0.64±0.08 | 47.69±1.52 | 296.00±25.42 | 63.01±4.64 | 8.50±1.07 | 0.53±0.06 | 0.47±0.05 |
| Matrine+pc-HMGB1 group | 0.60±0.092) | 2.70±0.812) | 272.50±20.982) | 57.96±4.342) | 22.50±3.012) | 0.50±0.072) | 0.45±0.062) |
| 1)P < 0.05 vs. control group;2)P < 0.05 vs. matrine group. n = 6. | |||||||
2.3 苦参碱对裸鼠肿瘤生长、血管生成及HMGB1/RAGE信号通路蛋白表达的影响
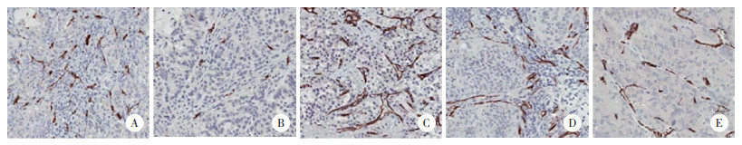
与空白对照组相比,苦参碱干预组21 d肿瘤体积、CD31阳性率、HMGB1与RAGE蛋白表达降低(P < 0.05),过表达HMGB1组21 d肿瘤体积、CD31阳性率、HMGB1与RAGE蛋白表达升高(P < 0.05),阴性对照组各指标无明显变化(P > 0.05);与苦参碱组相比,苦参碱+过表达HMGB1组21 d肿瘤体积、CD31阳性率、HMGB1与RAGE蛋白表达升高(P < 0.05)。见图 7~9、表 2。
|
| 图 7 各组裸鼠肿瘤生长情况 Fig.7 Tumor growth status of nude mice in each group |
|
| A, blank control group; B, matrine intervention group; C, overexpression of HMGB1 group; D, negative control group; E, matrine+HMGB1 overexpression group. 图 8 CD31免疫组织化学染色检测各组裸鼠肿瘤血管生成×200 Fig.8 Immunohistochemical staining of CD31 to detect tumor angiogenesis in nude mice of each group ×200 |
|
| 1, blank control group; 2, matrine intervention group; 3, HMGB1 overexpression group; 4, negative control group; 5, matrine+ HMGB1 overexpression group. 图 9 Western blotting检测各组裸鼠肿瘤HMGB1/RAGE信号通路蛋白表达 Fig.9 HMGB1/RAGE signaling pathway protein expression in tumors of nude mice in each group by Western blotting |
| Group | 21 d tumor volume(mm3) | CD31 positive rate(%) | HMGB1 | RAGE |
| Blank control | 983.72±33.16 | 46.12±2.32 | 0.58±0.10 | 0.63±0.11 |
| Matrine intervention | 225.03±16.581) | 12.43±1.851) | 0.17±0.041) | 0.21±0.061) |
| Overexpression of HMGB1 | 1 585.03±40.131) | 79.86±3.141) | 0.99±0.121) | 1.06±0.141) |
| Negative control | 1 013.70±35.12 | 47.30±2.71 | 0.59±0.09 | 0.64±0.10 |
| Matrine+HMGB1 overexpression | 960.72±35.102) | 43.59±2.932) | 0.56±0.082) | 0.61±0.132) |
| 1)P < 0.05 vs. blank control group;2)P < 0.05 vs. matrine intervention group. n = 6. | ||||
3 讨论
苦参碱具有广泛的抗癌活性,在癌症的治疗中受到越来越多的重视。苦参碱可通过抑制癌细胞生长、降低其侵袭力对乳腺癌发挥抗肿瘤作用[9-10],ZHANG等[8]研究显示苦参碱可通过诱导自噬抑制宫颈癌细胞的体内外增殖。本研究以人阳性宫颈癌HeLa细胞为研究对象,发现苦参碱可降低其细胞活力、侵袭数、迁移率、管腔形成数并升高其凋亡率,表明苦参碱可抑制HPV阳性宫颈癌细胞的体外增殖、侵袭、迁移与血管形成;以苦参碱干预HeLa裸鼠可减少肿瘤体积并降低CD31阳性率,表明苦参碱可抑制HPV阳性宫颈癌细胞的体内生长及血管形成,提示苦参碱可抑制HPV阳性宫颈癌的发生发展。
HMGB1/RAGE信号通路的激活可诱发炎症并导致多种肿瘤,是肿瘤发生发展的关键因素[11-12]。阻止HMGB1/RAGE信号通路传导可促进胰腺导管腺癌细胞凋亡[13],还可降低乳腺癌细胞的迁移和侵袭能力[14]。本研究结果显示,用苦参碱干预HeLa细胞及其裸鼠,可导致细胞与裸鼠肿瘤HMGB1和RAGE蛋白表达降低,提示HMGB1/RAGE信号通路参与介导苦参碱对HPV阳性宫颈癌发生发展的抑制作用;用苦参碱干预HeLa细胞与其移植瘤裸鼠的同时使用pc-HMGB1质粒上调HMGB1表达,可减弱苦参碱单独干预对HPV阳性宫颈癌细胞体内外增殖、血管生成的抑制作用,削弱其对HPV阳性宫颈癌细胞体外侵袭、迁移的抑制作用,最终逆转其对HPV阳性宫颈癌发生发展的抑制作用,提示苦参碱通过下调HMGB1抑制HPV阳性宫颈癌的发生发展。
综上所述,苦参碱可抑制HPV阳性宫颈癌细胞体内外生长与血管生成,降低其体外侵袭与迁移活力,最终抑制HPV阳性宫颈癌的发生发展,阻断HMGB1/RAGE信号途径激活可能是苦参碱发挥上述抗癌功效的药理机制。本研究进一步证实了苦参碱对宫颈癌的治疗潜力,并初步探寻了其药理机制,有助于其在宫颈癌临床治疗中的合理应用与推广。
| [1] |
INTURRISI F, DE SANJOSé S, DESAI KT, et al. A rapid HPV typing assay to support global cervical cancer screening and risk-based management: a cross-sectional study[J]. Int J Cancer, 2024, 154(2): 241-250. DOI:10.1002/ijc.34698 |
| [2] |
张华, 努尔比亚·依比布拉, 路鹏霏, 等. CXCL8在宫颈癌组织中的表达及临床意义[J]. 中国医科大学学报, 2025, 54(10): 914-918. DOI:10.12007/j.issn.0258-4646.2025.10.009 |
| [3] |
TANUMA SI, OYAMA T, OKAZAWA M, et al. A dual anti-inflammatory and anti-proliferative 3-styrylchromone derivative synergistically enhances the anti-cancer effects of DNA-damaging agents on colon cancer cells by targeting HMGB1-RAGE-ERK1/2 signaling[J]. Int J Mol Sci, 2022, 23(7): 3426. DOI:10.3390/ijms23073426 |
| [4] |
JIA ZY, JIANG L, WANG HH, et al. miR-218 restrains proliferation of cervical cancer cells via targeted regulation of HMGB1/RAGE pathway[J]. J BUON, 2020, 25(6): 2683-2689. |
| [5] |
ZHU YD, NING ZP, LI XM, et al. Machine learning algorithms identify target genes and the molecular mechanism of matrine against diffuse large B-cell lymphoma[J]. Curr Comput Aided Drug Des, 2024, 20(6): 847-859. DOI:10.2174/1573409920666230821102806 |
| [6] |
JIN JQ, FAN ZF, LONG YL, et al. Matrine induces ferroptosis in cervical cancer through activation of piezo1 channel[J]. Phytomedicine, 2024, 122: 155165. DOI:10.1016/j.phymed.2023.155165 |
| [7] |
FAN HZ, JIANG CY, ZHONG BY, et al. Matrine ameliorates colorectal cancer in rats via inhibition of HMGB1 signaling and downregulation of IL-6, TNF-α, and HMGB1[J]. J Immunol Res, 2018, 2018: 5408324. DOI:10.1155/2018/5408324 |
| [8] |
ZHANG F, ZHANG H, QIAN WJ, et al. Matrine exerts antitumor activity in cervical cancer by protective autophagy via the Akt/mTOR pathway in vitro and in vivo[J]. Oncol Lett, 2022, 23(4): 110. DOI:10.3892/ol.2022.13230 |
| [9] |
FENG ZJ, SUN N, NOOR F, et al. Matrine targets BTF3 to inhibit the growth of canine mammary tumor cells[J]. Int J Mol Sci, 2023, 25(1): 540. DOI:10.3390/ijms25010540 |
| [10] |
GUO QS, YU Y, TANG WF, et al. Matrine exerts an anti-tumor effect via regulating HN1 in triple breast cancer both in vitro and in vivo[J]. Chem Biol Drug Des, 2023, 102(6): 1469-1477. DOI:10.1111/cbdd.14338 |
| [11] |
SEKI H, KITABATAKE K, TANUMA SI, et al. Involvement of RAGE in radiation-induced acquisition of malignant phenotypes in human glioblastoma cells[J]. Biochim Biophys Acta Gen Subj, 2024, 1868(9): 130650. DOI:10.1016/j.bbagen.2024.130650 |
| [12] |
YOU LF, CUI HY, ZHAO F, et al. Inhibition of HMGB1/RAGE axis suppressed the lipopolysaccharide (LPS) -induced vicious transformation of cervical epithelial cells[J]. Bioengineered, 2021, 12(1): 4995-5003. DOI:10.1080/21655979.2021.1957750 |
| [13] |
CHEN SY, HSU YH, WANG SY, et al. Lucidone inhibits autophagy and MDR1 via HMGB1/RAGE/PI3K/Akt signaling pathway in pancreatic cancer cells[J]. Phytother Res, 2022, 36(4): 1664-1677. DOI:10.1002/ptr.7385 |
| [14] |
AMORNSUPAK K, THONGCHOT S, THINYAKUL C, et al. HMGB1 mediates invasion and PD-L1 expression through RAGE-PI3K/AKT signaling pathway in MDA-MB-231 breast cancer cells[J]. BMC Cancer, 2022, 22(1): 578. DOI:10.1186/s12885-022-09675-1 |
2026, Vol. 55



