文章信息
- 刘梦莹, 刘淑娟, 高鹏飞, 刘彩霞, 窦佳, 都兰, 王薇
- LIU Mengying, LIU Shujuan, GAO Pengfei, LIU Caixia, DOU Jia, DU Lan, WANG Wei
- 神经妥乐平通过TLR4/NF-κB信号通路减轻白蛋白结合型紫杉醇诱导的神经病理性疼痛
- Neurotropin alleviates neuropathic pain induced by albumin-bound paclitaxel through the TLR4/NF-κB signaling pathway
- 中国医科大学学报, 2026, 55(2): 133-138
- Journal of China Medical University, 2026, 55(2): 133-138
-
文章历史
- 收稿日期:2024-12-22
- 网络出版时间:2026-01-08 17:31:21
2. 牡丹江市肿瘤医院肿瘤内四科, 黑龙江 牡丹江 157000;
3. 阿荣旗人民医院肿瘤内科, 内蒙古 阿荣旗 162750;
4. 内蒙古医科大学附属肿瘤医院肿瘤内科, 呼和浩特 010050
2. The Fourth Department of Oncology, Mudanjiang Tumor Hospital, Mudanjiang 157000, China;
3. Department of Oncology, Arun Banner People's Hospital, Arun Banner 162750, China;
4. Department of Oncology, The Affiliated Tumor Hospital of Inner Mongolia Medical University, Hohhot 010050, China
白蛋白结合型紫杉醇(albumin-bound paclitaxel,Nab-PTX)是紫杉类抗肿瘤药物的新剂型,其过敏反应发生率低,骨髓抑制程度轻,已用于多种实体肿瘤的化疗[1]。然而,Nab-PTX极易引起程度不一的神经病理性疼痛[2],主要表现为感觉神经末梢受累的对称性“手套”“袜套”样神经病变[3]。目前,临床上这种神经痛的治疗效果并不理想。神经妥乐平(neurotropin,NTP)是一种从接种牛痘病毒的家兔炎症皮肤中提取的小分子生物活性物质,具有一定的镇痛作用。国内外多项研究[4-5]表明,NTP可缓解腰椎管狭窄引起的疼痛和糖尿病周围神经病变等。但其在紫杉类化疗药物导致的神经病理性疼痛中的作用及机制尚不明确。本课题组前期研究成功构建了Nab-PTX诱导的神经病理性疼痛模型,发现6 mg/kg的Nab-PTX给药后大鼠神经痛敏感。
Toll样受体4(Toll-like receptor 4,TLR4)/核因子κB(nuclear factor κB,NF-κB)信号通路介导炎症反应,参与神经痛的发生过程[6]。研究[7]发现,NTP抑制TLR4/MyD88/NF-κB通路,减弱炎症反应,改善痴呆小鼠的认知功能障碍。活化的NF-κB诱导细胞因子和黏附分子表达,加剧炎症损伤。选择性NF-κB抑制剂吡咯烷二硫代甲酸铵(pyrrolidine dithiocarbamate,PDTC)能够减轻坐骨神经慢性压迫损伤大鼠的神经痛[8]。NTP能否通过调节TLR4/NF-κB通路缓解Nab-PTX诱导的神经病理性疼痛尚不清楚。本研究通过构建大鼠疼痛模型,观察NTP对大鼠疼痛行为学的影响,观察PDTC抑制通路活性后神经痛的变化,并进一步分析其机制。
1 材料与方法 1.1 试剂和仪器注射用Nab-PTX(规格100 mg,产品批号B042210453)购自石药集团欧意药业有限公司;NTP(规格4.0 NU,注册证号S20140086)购自日本脏器制药株式会社;PDTC购自北京百奥莱博科技有限公司;肿瘤坏死因子α(tumor necrosis factor α,TNF-α)试剂盒、白细胞介素-6(interleukin-6,IL-6)试剂盒购自武汉伊莱瑞特生物科技股份有限公司;离子钙接头蛋白1(ionized calcium binding adaptor molecule-1,Iba-1)抗体购自江苏亲科生物研究中心有限公司;兔抗TLR4购自爱博泰克生物科技有限公司;兔抗p65购自北京博奥森生物技术有限公司;Marker购自美国ThermoFisher Scientific公司。
von Frey纤毛机械刺激针购自意大利UGO公司;KW-600热刺痛仪购自南京卡尔文生物科技有限公司;全自动酶标仪、蛋白垂直电泳仪购自北京六一生物科技有限公司;荧光PCR仪购自伯乐生命医学产品(上海)有限公司;全自动化学发光图像分析系统购自上海天能科技有限公司;荧光显微镜购自日本OLYMPUS公司。
1.2 实验动物SPF级成年雄性SD大鼠,体重300~350 g,购自北京华阜康生物科技股份有限公司,许可证号为SCXK(京)2019-0008。饲养室温度为20~26 ℃,湿度为40%~70%。小鼠每日自由摄食饮水,保证12 h昼夜节律。本研究已获得内蒙古医科大学附属肿瘤医院伦理委员会审核批准。
1.3 神经病理性疼痛大鼠模型制备SPF级成年雄性SD大鼠16只,适应性饲养1周,随机分为阴性对照组和模型组,每组8只。模型组大鼠腹腔注射Nab-PTX(6 mg/kg),1次/周,连续3周(第1、8、15天),制备Nab-PTX诱导的神经病理性疼痛大鼠模型。阴性对照组大鼠腹腔注射相同剂量的0.9%生理盐水。分别在给药前(第0天)和给药第7、14、21、28天检测2组大鼠的机械缩足反射阈值(mechanical withdrawal threshold,MWT)和热缩足潜伏期(thermal withdrawal latency,TWL)。
1.4 实验分组SPF级成年雄性SD大鼠40只,适应性饲养1周,随机分为对照组、Nab-PTX组、Nab-PTX+NTP组、Nab-PTX+PDTC组,每组10只。Nab-PTX组、Nab-PTX+NTP组、Nab-PTX+PDTC组建立神经病理性疼痛大鼠模型,方法同1.3。对照组大鼠腹腔注射相同剂量的0.9%生理盐水,方法同1.3。Nab-PTX+NTP组大鼠除腹腔注射Nab-PTX(6 mg/kg,第1、8、15天)外,给予NTP(150 NU/kg)灌胃,每周3次,连续3周(第2、3、4、9、10、11、16、17、18天)。Nab-PTX+PDTC组大鼠除腹腔注射Nab-PTX(6 mg/kg,第1、8、15天)外,给予PDTC(100 mg/kg)灌胃,每周1次,连续3周(第2、9、16天)。分别在给药前(第0天)和给药第7、14、21、28天检测2组大鼠的MWT和TWL。
1.5 疼痛行为学检测 1.5.1 MWT测定将大鼠置于底部为金属网的有机玻璃笼内,适应环境30 min。校准的von Frey纤维丝以逐渐增强的力度(1、2、4、6、8、10、15、26 g)刺激大鼠右后足底中央部位。纤维丝弯曲偏离轴线1 cm,维持6~8 s,观察大鼠缩足反应。重复刺激5次,每次间隔20 s。当5次刺激中大鼠至少出现3次缩足时,此时的纤维丝刺激强度为大鼠的MWT [9]。
1.5.2 TWL测定将大鼠置于透明薄玻璃板上,外罩有机可透光玻璃,适应环境30 min。KW-600热刺痛仪设置温度55 ℃,光束照射大鼠右后足底部中央部位,照射时长20 s。当大鼠出现舔足或提足等动作时标记为阳性反应。重复照射3次,每次间隔20 min。记录光束照射开始到出现阳性反应的时间间隔,取平均值为大鼠的TWL[10]。
1.6 实验方法第21天时,Nab-PTX组大鼠MWT出现最低值,故于第21天处死4组大鼠,取L4~6脊髓组织,用于后续实验。
1.6.1 酶联免疫吸附试验检测TNF-α和IL-6的表达水平用预冷PBS冲洗组织,称重后剪碎,研磨后离心,取上清液待检测。使用酶标仪,按酶联免疫吸附试验试剂盒说明书检测吸光度,通过测量所得的标准曲线,计算4组大鼠脊髓组织中TNF-α和IL-6水平。
1.6.2 免疫荧光染色检测小胶质细胞活化情况将固定好的组织包埋、切片、烤片、脱蜡水化后进行高压修复,自然冷却至室温。通透、封闭后加稀释的一抗Iba-1(1∶200),湿盒中4 ℃孵育过夜。次日,PBS漂洗3次,吸干后加稀释的荧光二抗cy3(1∶200),湿盒中37 ℃孵育45 min。加DAPI避光孵育3 min,核染后PBS洗涤、封片。荧光显微镜下观察,采集图像。
1.6.3 实时定量PCR检测TLR4和p65 mRNA表达水平采用TRIzol法提取大鼠脊髓组织总RNA并测定浓度和纯度,逆转录合成cDNA,按说明书进行扩增。引物序列由通用生物系统(安徽)股份有限公司合成。GAPDH,正向5’-GACAACTTTGGCATCGTGGA-3’,反向5’-ATGCAGGGATGATGTTCTGG-3’;TLR4,正向5’-CCAGAGCCGTTGGTGTATCT-3’,反向5’-GGCGATACAATTCGACCTGC-3’;p65,正向5’-CATACGCTGACCCTAGCCTG-3’,反向5’-GGGGTTCAGTTGGTCCATTG-3’。反应条件:95 ℃预变性10 min,95 ℃变性10 s,58 ℃退火30 s,72 ℃延伸30 s,共40个循环。采用2-△△Ct法分析mRNA相对表达量。
1.6.4 Western blotting检测TLR4和p65蛋白表达水平将大鼠脊髓组织称重剪碎后加入RIPA裂解液提取总蛋白,BCA法检测蛋白浓度。配置10%分离胶和5%浓缩胶。取30 μg样品上样至SDS-PAGE凝胶进行蛋白电泳,湿转法转至PVDF膜。封闭后加TLR4、p65(1∶1 000)和actin(1∶2 000)一抗,4 ℃孵育过夜。次日,TBST漂洗3次,加入辣根过氧化物酶标记二抗,37 ℃孵育1 h。洗膜后滴加增强化学发光荧光试剂显影成像。以actin为内参,使用ImageJ软件对曝光后的蛋白条带进行灰度测定和分析。
1.7 统计学分析应用SPSS 25.0和GraphPad Prism 9.0软件进行统计分析和绘图。正态分布的计量资料以 x±s表示。组内比较采用重复测量方差分析;同时间点2组比较采用独立样本t检验;多组间比较采用单因素方差分析,进一步两两比较采用LSD检验。P < 0.05为差异有统计学意义。
2 结果 2.1 成功构建神经病理性疼痛大鼠模型模型组大鼠腹腔注射Nab-PTX后MWT和TWL下降,于第21天下降至最低值,Nab-PTX停药后,第28天时升高。见表 1。
| Item | n | Day 0 | Day 7 | Day 14 | Day 21 | Day 28 |
| MWT(g) | ||||||
| Negative control | 8 | 21.88±5.69 | 21.25±6.73 | 20.50±5.88 | 19.88±6.75 | 21.25±6.73 |
| Model | 8 | 21.88±5.69 | 13.75±2.311),2) | 8.25±1.671),2) | 3.00±1.071),2) | 9.50±3.461),2) |
| TWL(s) | ||||||
| Negative control | 8 | 14.27±0.40 | 14.18±0.54 | 13.94±0.62 | 13.97±0.90 | 13.97±0.75 |
| Model | 8 | 14.28±0.71 | 11.17±0.871),2) | 9.34±1.311),2) | 7.74±0.711),2) | 9.67±1.171),2) |
| 1)P < 0.05 vs. day 0 within group;2)P < 0.05 vs. negative control group at the same time point. | ||||||
2.2 NTP和PDTC减轻Nab-PTX诱导的神经病理性疼痛
大鼠腹腔注射Nab-PTX后,MWT和TWL下降。与对照组相比,Nab-PTX组大鼠于第21天时MWT、TWL下降至最低值(P < 0.05),Nab-PTX停药后,第28天时MWT和TWL升高。与Nab-PTX组相比,Nab-PTX+NTP组、Nab-PTX+PDTC组大鼠同时间点MWT和TWL升高(P < 0.05)。Nab-PTX+NTP组与Nab-PTX+PDTC组比较,MWT和TWL无统计学差异(P > 0.05)。见表 2。
| Group | n | Day 0 | Day 7 | Day 14 | Day 21 | Day 28 |
| MWT(g) | ||||||
| Control | 10 | 18.40±5.68 | 17.80±5.87 | 18.70±6.63 | 18.20±7.11 | 18.80±7.89 |
| Nab-PTX | 10 | 18.30±5.31 | 8.20±1.481),2) | 5.20±1.031),2) | 2.40±1.901),2) | 8.30±2.831),2) |
| Nab-PTX+NTP | 10 | 18.30±5.31 | 15.10±4.361),2),3) | 12.30±2.911),2),3) | 11.30±2.631),2),3) | 16.60±6.961),2),3) |
| Nab-PTX+PDTC | 10 | 18.30±5.31 | 14.90±5.091),2),3) | 11.30±1.771),2),3) | 12.10±3.141),2),3) | 16.40±5.211),2),3) |
| TWL(s) | ||||||
| Control | 10 | 13.38±0.18 | 13.30±0.37 | 13.16±0.74 | 13.40±0.73 | 13.39±0.64 |
| Nab-PTX | 10 | 13.06±0.46 | 10.53±0.421),2) | 9.51±1.061),2) | 9.25±0.881),2) | 10.58±0.891),2) |
| Nab-PTX+NTP | 10 | 13.05±0.38 | 12.26±0.911),2),3) | 10.75±0.651),2),3) | 10.72±0.561),2),3) | 12.01±0.621),2),3) |
| Nab-PTX+PDTC | 10 | 13.13±0.56 | 12.65±0.691),2),3) | 10.47±0.661),2),3) | 10.74±0.631),2),3) | 11.94±1.0541),2),3) |
| 1)P < 0.05 vs. day 0 within group;2)P < 0.05 vs. control group at the same time point;3)P < 0.05 vs. Nab-PTX group at the same time point. | ||||||
2.3 NTP和PDTC降低神经病理性疼痛大鼠模型脊髓组织中促炎性细胞因子TNF-α和IL-6的表达水平
与对照组相比,Nab-PTX组、Nab-PTX+NTP组、Nab-PTX+PDTC组TNF-α和IL-6水平升高(P < 0.05)。与Nab-PTX组相比,Nab-PTX+NTP组和Nab-PTX+PDTC组TNF-α和IL-6水平降低(P < 0.05)。Nab-PTX+NTP组与Nab-PTX+PDTC组比较,TNF-α和IL-6水平无统计学差异(P > 0.05)。见表 3。
| Group | n | TNF-α(pg/mL) | IL-6(pg/mL) | Iba-1 | TLR4 | p65 | |||
| mRNA | Protein | mRNA | Protein | ||||||
| Control | 10 | 74.90±1.12 | 372.64±9.13 | 0.27±0.04 | 1.00±0.03 | 0.61±0.03 | 1.00±0.05 | 1.09±0.04 | |
| Nab-PTX | 10 | 93.92±0.861) | 765.56±16.031) | 0.68±0.091) | 1.16±0.091) | 0.98±0.071) | 1.84±0.221) | 1.55±0.111) | |
| Nab-PTX+NTP | 10 | 77.39±0.541),2) | 580.07±3.441),2) | 0.37±0.051),2) | 0.76±0.031),2) | 0.80±0.101),2) | 1.30±0.061),2) | 1.24±0.161),2) | |
| Nab-PTX+PDTC | 10 | 73.68±0.521),2) | 574.82±11.561),2) | 0.33±0.041),2) | 0.78±0.031),2) | 0.74±0.021),2) | 1.286±0.021),2) | 1.20±0.101),2) | |
| 1)P < 0.05 vs. control group;2)P < 0.05 vs. Nab-PTX group. | |||||||||
2.4 NTP和PDTC抑制神经病理性疼痛大鼠模型脊髓组织中小胶质细胞的活化程度
本研究采用免疫荧光法检测Iba-1(图 1),评估小胶质细胞的活化情况。与对照组相比,Nab-PTX组、Nab-PTX+NTP组、Nab-PTX+PDTC组Iba-1表达水平升高(P < 0.05);与Nab-PTX组相比,Nab-PTX+NTP组和Nab-PTX+PDTC组Iba-1表达水平降低(P < 0.05)。Nab-PTX+NTP组与Nab-PTX+PDTC组比较,Iba-1表达水平无统计学差异(P > 0.05)。见表 3。
|
| 图 1 4组大鼠脊髓小胶质细胞免疫荧光图×400 Fig.1 Immunofluorescence map of microglia in the spinal cord of rats in each group ×400 |
2.5 NTP和PDTC降低神经病理性疼痛大鼠模型脊髓组织中TLR4和p65 mRNA的表达水平
与对照组相比,Nab-PTX组、Nab-PTX+NTP组、Nab-PTX+PDTC组TLR4和p65 mRNA表达水平升高(P < 0.05);与Nab-PTX组相比,Nab-PTX+NTP组和Nab-PTX+PDTC组TLR4和p65 mRNA表达水平降低(P < 0.05)。Nab-PTX+NTP组与Nab-PTX+PDTC组比较,TLR4和p65 mRNA表达水平无统计学差异(P > 0.05)。见表 3。
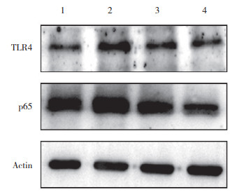
2.6 NTP和PDTC降低神经病理性疼痛大鼠脊髓组织中TLR4和p65蛋白的表达水平为进一步验证NTP是否通过抑制TLR4/NF-κB通路发挥镇痛作用,采用Western blotting检测各组大鼠脊髓组织中TLR4和p65蛋白的表达变化。与对照组相比,Nab-PTX组、Nab-PTX+NTP组、Nab-PTX+PDTC组TLR4和p65蛋白表达水平升高(P < 0.05);与Nab-PTX组相比,Nab-PTX+NTP组和Nab-PTX+PDTC组TLR4和p65蛋白表达水平降低(P < 0.05)。Nab-PTX+NTP组与Nab-PTX+PDTC组比较,TLR4和p65蛋白表达水平无统计学差异(P > 0.05)。见表 3、图 2。
|
| 1,control group;2,Nab-PTX group;3,Nab-PTX+NTP group;4,Nab-PTX+PDTC group. 图 2 Western blotting检测大鼠脊髓组织中TLR4和p65蛋白的表达 Fig.2 Expression of TLR4 and p65 proteins in the spinal cord tissue of rats detected by Western blotting |
3 讨论
当Nab-PTX化疗停止后,神经痛症状逐渐缓解。这种剂量时间依赖性神经毒性往往与逆行性轴突病变有关[11]。研究[12]发现,紫杉醇诱导大鼠出现机械性异常疼痛及冷、热痛觉过敏。本研究结果显示,Nab-PTX组大鼠较对照组机械痛和热刺痛敏感性增加,与上述研究结果相似,表明神经痛模型构建成功。经NTP治疗后,大鼠机械痛和热刺痛阈值升高,提示NTP可以改善机械刺激和热刺激敏感性。
炎症反应参与神经病理性疼痛的发生和发展过程。TLR4被激活,启动细胞内信号通路,激活下游信号NF-κB,磷酸化释放二聚体p65,使神经胶质细胞活化,释放促炎性细胞因子,诱发神经炎症,加重神经痛程度[13]。本研究中,Nab-PTX组TNF-α、IL-6和Iba-1水平,以及TLR4和p65 mRNA和蛋白表达水平均明显升高。NTP处理后,TNF-α、IL-6和Iba-1水平,以及TLR4和p65 mRNA和蛋白表达水平均明显降低。NTP减轻神经痛时抑制TLR4/NF-κB信号通路的表达,减轻炎症反应。PDTC可抑制TLR4/NF-κB通路,降低脂多糖刺激的大鼠心肌成纤维细胞的炎症反应,进而抑制纤维化发展[14]。为了进一步验证TLR4/NF-κB信号通路在神经病理性疼痛中的作用,本研究应用选择性NF-κB抑制剂PDTC处理大鼠。结果发现,与Nab-PTX组相比,PDTC抑制TLR4/NF-κB通路活性后,同样改善了大鼠的痛觉敏感状态,表明TLR4/NF-κB通路在Nab-PTX诱导的神经病理性疼痛中起关键作用。增强子、启动子诱导核小体重塑决定了TLR4信号的转录反应,在TLR4激活过程中,下游信号NF-κB起至关重要的作用。研究[15]发现,NF-κB与多种诱导因子协同作用,有助于TLR4刺激下诱导性核小体的选择性重塑,平衡增强子与启动子。
综上所述,NTP能减轻Nab-PTX诱导的神经病理性疼痛,其机制主要是抑制TLR4/NF-κB信号通路,减轻神经病理性疼痛的炎症反应。
| [1] |
ZHANG WW, WANG Y, HE JZ, et al. Efficacy comparisons of solvent-based paclitaxel, liposomal paclitaxel, nanoparticle albumin-bound paclitaxel, and docetaxel after neoadjuvant systemic treatment in breast cancer[J]. Nanomedicine, 2023, 54: 102707. DOI:10.1016/j.nano.2023.102707 |
| [2] |
LAO DH, CHEN Y, FAN J, et al. Assessing taxane-associated adverse events using the FDA adverse event reporting system database[J]. Chin Med J (Engl), 2021, 134(12): 1471-1476. DOI:10.1097/CM9.0000000000001562 |
| [3] |
RADKHAH H, ESFANDBOD M, KHADEMBASHIRI MA, et al. Comparative study of the effects of duloxetine and venlafaxine on acute symptomatic taxane-induced neuropathy in breast cancer patients: a randomized clinical trial[J]. J Community Hosp Intern Med Perspect, 2024, 14(1): 18-24. DOI:10.55729/2000-9666.1289 |
| [4] |
EGUCHI Y, AOKI Y, YAMASHITA M, et al. Clinical efficacy of neurotropin for lumbar spinal stenosis with low back pain[J]. Pain Ther, 2023, 12(2): 461-473. DOI:10.1007/s40122-022-00472-z |
| [5] |
LIU X, HE J, GAO J, et al. Fluorocitrate and neurotropin confer analgesic effects on neuropathic pain in diabetic rats via inhibition of astrocyte activation in the periaqueductal gray[J]. Neurosci Lett, 2022, 768: 136378. DOI:10.1016/j.neulet.2021.136378 |
| [6] |
陈秀兰, 刘淑娟, 苏乌云, 等. 白蛋白结合型紫杉醇诱导大鼠神经病理性疼痛的作用机制[J]. 中国医科大学学报, 2022, 51(12): 1102-1108. DOI:10.12007/j.issn.0258-4646.2022.12.009 |
| [7] |
ZOU H, CHEN X, LU J, et al. Neurotropin alleviates cognitive impairment by inhibiting TLR4/MyD88/NF-κB inflammation signaling pathway in mice with vascular dementia[J]. Neurochem Int, 2023, 171: 105625. DOI:10.1016/j.neuint.2023.105625 |
| [8] |
LI X, YE Z, GUO Q, et al. PDTC ameliorates neuropathic pain by inhibiting microglial activation via blockage of the TNFα-CX3CR1 pathway[J]. Eur J Histochem, 2021, 65(1): 3184. DOI:10.4081/ejh.2021.3184 |
| [9] |
BONIN RP, BORIES C, DE KONINCK Y. A simplified up-down method (SUDO) for measuring mechanical nociception in rodents using von Frey filaments[J]. Mol Pain, 2014, 10: 26. DOI:10.1186/1744-8069-10-26 |
| [10] |
DUAN M, JIA Y, HUO L, et al. Potentiation of PIEZO2 mechani-cally-activated currents in sensory neurons mediates vincristine-induced mechanical hypersensitivity[J]. Acta Pharm Sin B, 2023, 13(8): 3365-3381. DOI:10.1016/j.apsb.2023.05.010 |
| [11] |
LI T, MIZRAHI D, GOLDSTEIN D, et al. Chemotherapy and peripheral neuropathy[J]. Neurol Sci, 2021, 42(10): 4109-4121. DOI:10.1007/s10072-021-05576-6 |
| [12] |
JIA S, WEI G, BONO J, et al. TET1 overexpression attenuates paclitaxel-induced neuropathic pain through rescuing K2p1.1 expression in primary sensory neurons of male rats[J]. Life Sci, 2022, 297: 120486. DOI:10.1016/j.lfs.2022.120486 |
| [13] |
WANG SH, HUANG SH, HSIEH MC, et al. Hyperbaric oxygen therapy alleviates paclitaxel-induced peripheral neuropathy involving suppressing TLR4-MyD88-NF-κB signaling pathway[J]. Int J Mol Sci, 2023, 24(6): 5379. DOI:10.3390/ijms24065379 |
| [14] |
许哲敏, 杨凯, 杨梦, 等. 吡咯烷二硫代甲酸铵通过抑制Toll样受体4/核因子κB信号通路改善脂多糖诱导的脓毒症大鼠心肌纤维化[J]. 中国医药, 2023, 18(3): 405-409. DOI:10.3760/j.issn.1673-4777.2023.03.018 |
| [15] |
FENG AC, THOMAS BJ, PURBEY PK, et al. The transcription factor NF-κB orchestrates nucleosome remodeling during the primary response to Toll-like receptor 4 signaling[J]. Immunity, 2024, 57(3): 462-477.e9. DOI:10.1016/j.immuni.2024.02.004 |
2026, Vol. 55



