文章信息
- 彭志锋, 李加善, 张继红
- PENG Zhifeng, LI Jiashan, ZHANG Jihong
- 早期跑步通过HSPA5/PINK1/Parkin信号通路介导的线粒体自噬改善脑缺血小鼠的记忆功能
- Early running improves memory function in cerebral ischemic mice via mitochondrial autophagy mediated by the HSPA5/PINK1/Parkin signaling pathway
- 中国医科大学学报, 2026, 55(2): 122-126, 132
- Journal of China Medical University, 2026, 55(2): 122-126, 132
-
文章历史
- 收稿日期:2025-01-06
- 网络出版时间:2026-01-08 17:03:53
2. 山西大同大学医学院解剖教研室, 山西 大同 037009
2. Department of Anatomy, School of Medicine, Shanxi Datong University, Datong 037009, China
脑缺血会导致脑坏死、神经功能异常及死亡等严重后果。脑缺血损伤主要由兴奋性毒性、梗死周围去极化、炎症、氧化应激、钙超载和程序性细胞死亡等多种因素引起[1]。目前,临床上对脑缺血尚缺乏有效治疗措施。研究 [2]表明,缺血前、后进行体育运动可以减轻神经功能损伤并减少梗死体积,但其机制尚不明确。本课题组前期研究[3]证实,在脑缺血/再灌注(ischemia/reperfusion,I/R)的小鼠模型中,热休克蛋白A5(heat shock protein A5,HSPA5)表达增加对I/R小鼠具有神经保护作用;I/R前侧脑室注射HSPA5 siRNA会导致I/R小鼠缺血半影区内神经元缺失加重。脑缺血早期跑步可通过上调缺血半影区HSPA5的表达促进I/R小鼠运动功能的恢复[3],还可以通过调节细胞凋亡和自噬发挥神经保护作用[4]。在引起线粒体损伤的同时,I/R还能激活线粒体自噬机制,及时识别和清除受损线粒体和异常蛋白质,以调节线粒体功能并发挥神经保护作用[5]。
研究[6]发现PINK1和Parkin参与同一条基因通路,PINK1位于Parkin的上游,二者相互作用可触发线粒体自噬。PINK1和Parkin基因缺失可加重神经元损伤,提示PINK1/Parkin信号通路可能在I/R中发挥重要作用。本研究旨在探讨早期跑步对I/R小鼠记忆功能的影响,以及跑步是否可以通过HSPA5调节PINK1/Parkin介导的线粒体自噬发挥神经保护作用。
1 材料与方法 1.1 实验动物及分组SPF级雄性BALB-c小鼠(100~120 g)购自北京维通利华实验动物技术有限公司。小鼠在温度和湿度控制的无病原体动物设施中饲养,标准12 h光照/12 h黑暗周期。将小鼠随机分为Sham组、跑步组、I/R组、跑步+I/R组、跑步+I/R+3-MA(自噬抑制剂)组、跑步+I/R+scramble siRNA组和跑步+I/R+HSPA5 siRNA组,每组8只。本研究获得山西大同大学研究伦理委员会批准(2022M0506)。
1.2 实验器材及试剂PCR仪(美国ABI公司);电动跑步机、水迷宫(淮北正华生物仪器设备有限公司);ELISA试剂盒、RNA提取试剂盒(上海星酶生物技术有限公司);TTC染料、PINK1和Parkin抗体(美国Sigma公司);HSPA5 siRNA、scramble siRNA(广州锐博生物技术有限公司)。
1.3 I/R模型制备腹腔注射1%戊巴比妥钠(30 mg/kg)麻醉小鼠,在显微镜下解剖左侧颈总动脉并暴露颈总动脉分叉、颈外动脉和颈内动脉。随后,将直径为5 mm的线栓插入颈内动脉约18~20 mm,阻断大脑中动脉。除置入线栓外,Sham组的其余手术操作完全相同。脑缺血诱导1 h后,取出线栓并开始再灌注。在I/R后7 d处死小鼠,并提取缺血半影区用于后续实验。
1.4 跑步运动干预运动训练采用电动跑步机。参照文献[7],I/R后48 h,跑步组、跑步+I/R组、跑步+I/R+3-MA组、跑步+I/R+scramble siRNA组和跑步+I/R+HSPA5 siRNA组小鼠在跑步机上进行为期5 d的跑步(30 min/d,15 m/min)。而Sham组和I/R组不进行任何训练。
1.5 侧脑室注射在I/R诱导后2 d,跑步+I/R+3-MA组、跑步+I/R+scramble siRNA组和跑步+I/R+HSPA5 siRNA组小鼠侧脑室分别注射3-MA、scramble siRNA和HSPA5 siRNA(2 μg/mL)。将小鼠麻醉后,放置于立体定位仪上,通过切开头皮中线,在右侧颅骨钻孔(位于脑桥后0.5 mm,脑桥外1.0 mm)。使用微量注射器以0.2 μL/min的速率将3-MA、scramble siRNA和HSPA5 siRNA缓慢注入右脑室。注射完成后,保持针头在位5 min,以防止漏液。之后在4 min内缓慢拔出针头,用骨蜡密封钻孔。
1.6 神经功能评分根据Longa的5分评分法[8],在I/R后7 d对各组小鼠进行评分:0分,正常状态,无任何神经功能障碍;1分,站立时单侧前爪不能伸出;2分,向前爬行时小鼠表现出侧倾;3分,小鼠在爬行时侧卧;4分,小鼠失去意识或无法独立爬行。
1.7 TTC染色神经功能评分后,立即腹腔注射戊巴比妥钠处死小鼠,4 ℃预冷生理盐水灌注心脏,快速取出缺血半影区脑组织进行冠状切片。在37 ℃、避光的情况下,用1% TTC染色15 min。染色后红色区域代表活细胞,苍白区域代表梗死。梗死体积(mm3)=染色区域面积(mm2)×厚度(mm)。计算每个标本脑梗死体积占全脑体积的百分比。
1.8 水迷宫实验术后7 d采用水迷宫检测小鼠的空间记忆能力,水迷宫直径120 cm,高度45 cm。逃生平台淹没在水面下1 cm。在进行水迷宫实验前,各组小鼠连续适应3 d,每天3 min。实验开始后,从目标象限相反的象限释放小鼠,并允许其进行60 s的平台搜索。记录每只小鼠在每个象限的停留时间和穿越平台的次数。
1.9 ELISA术后7 d,采用ELISA试剂盒检测各组小鼠血清中的炎性细胞因子水平,包括肿瘤坏死因子α(tumor necrosis factor α,TNF-α)、白细胞介素(interleukin,IL)-1β和IL-10。
1.10 实时定量PCR术后7 d,收集各组小鼠缺血半影区。使用RNA提取试剂盒提取各组小鼠脑组织总RNA。使用分光光度计评估RNA水平以确定其纯度。随后,提取的RNA进行逆转录,并以GAPDH为内参,使用PCR仪测定HSPA5 mRNA表达水平。引物序列:GAPDH,正向5’-TGACGTGGACATCCGAAAG-3’,反向5’-CTGGAAGGTGGACAGCGAGG-3’;HSPA5,正向5’-GAGCAGGAGGAATTCCAGT-3’,反向5’-CTCCACGGCTTCCGATAACA-3’。使用2-ΔΔCt方法计算目标基因的相对表达量。
1.11 Western blotting术后7 d,从缺血半影区采集脑组织样本,用适当的裂解液进行细胞裂解,得到的匀浆进一步通过超声波破碎处理,获得细胞质蛋白,使用BCA方法进行蛋白定量,添加Loading Buffer准备电泳样本。取30 μg样品进行SDS-PAGE电泳,然后转移至PVDF膜,5% 牛奶孵育1 h,加入PINK1和Parkin抗体(1∶500)孵育过夜,然后使用二抗(1∶4 000)在室温下孵育1 h,以β-actin为内参,使用ImageJ软件分析目的条带。
1.12 统计学分析采用SPSS 21.0软件进行统计分析,数据以x±s表示。多组间比较采用单因素方差分析,组间两两比较采用Tukey’s检验。P < 0.05为差异有统计学意义。
2 结果 2.1 早期跑步对I/R小鼠神经功能的影响与Sham组(0.0±0.0,0.0%±0.0%)相比,I/R组小鼠神经功能缺损评分(1.9±0.2)和脑梗死体积百分比(33.5%±3.7%)增加(P均 < 0.05),表明I/R模型成功建立。与I/R组相比,跑步+I/R组小鼠神经功能缺损评分(1.0±0.1)和脑梗死体积百分比(14.6%±1.8%)均降低(P均 < 0.05)。见图 1。
|
| A, Sham group; B, running group; C, I/R group; D, running+I/R group. 图 1 各组小鼠缺血半影区TTC染色 Fig.1 TTC staining of the ischemic penumbra in each group of mice |
2.2 早期跑步对I/R小鼠记忆功能的影响
与Sham组相比,I/R组小鼠目标象限停留时间和穿越平台次数减少(P均 < 0.05)。与I/R组相比,跑步+I/R组小鼠目标象限停留时间和穿越平台次数增加(P均 < 0.05)。与跑步+I/R组相比,跑步+I/R+HSPA5 siRNA组小鼠目标象限停留时间和穿越平台次数减少(P均 < 0.05),跑步+I/R+3-MA组与跑步+I/R+HSPA5 siRNA组相比,无统计学差异。见表 1。
| Group | Target quadrant dwell time(s) | Platform crossing times |
| Sham | 12.5±1.3 | 3.0±0.3 |
| Running | 12.1±1.5 | 2.7±0.4 |
| I/R | 8.3±0.91) | 2.1±0.31) |
| Running+I/R | 11.9±1.52) | 2.8±0.32) |
| Running+I/R+3-MA | 9.1±1.11),3) | 2.2±0.21),3) |
| Running+I/R+scramble siRNA | 11.7±1.72) | 2.7±0.32) |
| Running+I/R+HSPA5 siRNA | 8.8±0.91),3) | 2.3±0.31),3) |
| 1)P < 0.05 vs. Sham group;2)P < 0.05 vs. I/R group;3)P < 0.05 vs. running+I/R group. | ||
2.3 早期跑步对I/R小鼠血清炎性细胞因子的影响
与Sham组相比,I/R组小鼠血清TNF-α和IL-1β水平升高,而IL-10水平降低(P均 < 0.05)。与I/R组相比,跑步+I/R组小鼠血清TNF-α和IL-1β水平下降,同时IL-10水平上升(P均 < 0.05)。与跑步+I/R组相比,跑步+I/R+HSPA5 siRNA组小鼠血清TNF-α和IL-1β水平升高,而IL-10水平降低(P均 < 0.05)。见表 2。
| Group | TNF-α | IL-1β | IL-10 |
| Sham | 25.0±2.9 | 61.3±6.3 | 58.0±6.4 |
| Running | 26.4±3.1 | 62.1±6.8 | 59.2±6.2 |
| I/R | 225.3±24.61) | 132.5±14.21) | 28.5±3.31) |
| Running+I/R | 90.7±9.51),2) | 83.6±9.31),2) | 42.7±4.81),2) |
| Running+I/R+3-MA | 91.2±9.41),2) | 82.9±9.11),2) | 43.2±4.51),2) |
| Running+I/R+scramble siRNA | 92.3±9.61),2) | 83.5±9.01),2) | 44.1±4.31),2) |
| Running+I/R+HSPA5 siRNA | 145.7±15.51),2),3) | 113.2±12.31),2),3) | 31.6±3.41),3) |
| 1)P < 0.05 vs. Sham group;2)P < 0.05 vs. I/R group;3)P < 0.05 vs. running+I/R group. | |||
2.4 早期跑步对I/R小鼠HSPA5 mRNA表达影响
与Sham组(1.0±0.1)相比,I/R组小鼠HSPA5 mRNA表达(1.6±0.2)增加;与I/R组相比,跑步+I/R组小鼠HSPA5 mRNA表达(2.2±0.3)进一步增加(P均 < 0.05)。与跑步+I/R组相比,跑步+I/R+HSPA5 siRNA组小鼠HSPA5 mNRA表达(1.3±0.2)显著降低,(P < 0.05)。
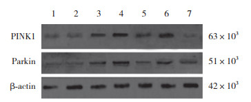
2.5 早期跑步通过HSPA5调节PINK1/Parkin信号通路介导的线粒体自噬与Sham组相比,I/R组小鼠PINK1和Parkin表达上调(P均 < 0.05);与I/R组相比,跑步+I/R组小鼠PINK1和Parkin表达进一步增加(P均 < 0.05);与跑步+I/R组相比,跑步+I/R+3-MA组和跑步+I/R+HSPA5 siRNA组小鼠PINK1和Parkin表达降低(P均 < 0.05)。见图 2、表 3。
|
| 1, Sham group; 2, running group; 3, I/R group; 4, running+I/R group; 5, running+I/R+3-MA group; 6, running+I/R+scramble siRNA group; 7, running+I/R+HSPA5 siRNA group. 图 2 各组小鼠缺血半影区PINK1和Parkin蛋白表达 Fig.2 Expression of PINK1 and Parkin proteins in the ischemic penumbra of mice in each group |
| Group | PINK1 | Parkin |
| Sham | 1.0±0.1 | 1.0±0.1 |
| Running | 1.0±0.1 | 1.1±0.1 |
| I/R | 1.8±0.21) | 1.7±0.21) |
| Running+I/R | 2.5±0.31),2) | 2.4±0.31),2) |
| Running+I/R+3-MA | 1.4±0.2 3) | 1.3±0.3 3) |
| Running+I/R+scramble siRNA | 2.4±0.31),2) | 2.3±0.31),2) |
| Running+I/R+HSPA5 siRNA | 1.2±0.22),3) | 1.2±0.32),3) |
| 1)P < 0.05 vs. Sham group;2)P < 0.05 vs. I/R group;3)P < 0.05 vs. running+I/R group. | ||
3 讨论
脑缺血为神经退行性疾病(如阿尔茨海默病、帕金森病和癫痫)功能障碍的促成因素之一[9]。研究[10]表明,运动是改善脑缺血患者运动功能障碍的重要途径,跑步机运动被证实为有效促进脑缺血后运动功能恢复的训练方案。
本研究结果显示,早期跑步可显著降低I/R小鼠神经功能缺损评分并减少脑梗死体积。此外,早期跑步可显著降低I/R小鼠血清TNF-α和IL-1β水平,同时升高IL-10水平。炎症反应在脑缺血后的继发性脑损伤中发挥至关重要的作用[11]。研究[12]发现运动预处理导致脑损伤大鼠血清TNF-α和IL-1β水平降低,IL-10水平升高,这与本研究的结果一致。
本研究结果显示,早期跑步可以改善I/R后的记忆功能。在缺血半影区,HSPA5增加可能是促进神经功能恢复的机制之一。作为热休克蛋白70家族的关键成员,HSPA5在细胞代谢和内质网功能中扮演重要角色,参与蛋白质折叠、修饰、细胞内外钙平衡调节并维持内环境稳定性[13]。在I/R小鼠模型中,HSPA5蛋白表达增加可能作为一种应激保护机制发挥神经保护作用;向I/R小鼠侧脑室注射HSPA5 siRNA可显著降低LC3-Ⅱ表达,导致缺血皮质神经元缺失,神经行为损伤加重,与自噬抑制剂3-MA的作用一致[14]。本研究结果显示,与跑步+I/R组相比,跑步+I/R+3-MA组和跑步+I/R+HSPA5 siRNA组小鼠记忆衰减均加重,同时提高了血清TNF-α和IL-1β的水平,降低了IL-10水平,提示早期跑步通过上调HPSA5改善I/R小鼠记忆功能及炎症反应。
I/R的病理生理学过程十分复杂,研究[15]发现线粒体自噬在其中发挥重要作用。PINK1和Parkin的协同作用可启动线粒体自噬,特异性清除受损线粒体,避免组织损伤[16]。因此,研究线粒体自噬相关蛋白PINK1/Parkin在I/R期间的表达和调控对研究缺血性脑卒中具有重要意义。本研究结果显示,与I/R组相比,跑步+I/R组小鼠PINK1和Parkin表达进一步增加;与跑步+I/R组相比,跑步+I/R+3-MA组和跑步+I/R+HSPA5 siRNA组小鼠PINK1和Parkin表达降低。这些结果表明,早期跑步通过上调HSPA5表达激活PINK1/Parkin介导的线粒体自噬,从而改善I/R小鼠的记忆功能。
综上所述,早期跑步可以通过激活HSPA5介导的PINK1/Parkin信号通路改善I/R小鼠的记忆功能。然而,I/R过程中的线粒体自噬系统较为复杂,需要进一步的研究来阐明其他分子生物学机制。
| [1] |
马丰源, 刁赫, 古岳, 等. β-1, 3-半乳糖基转移酶2对脑缺血损伤模型小鼠脑损伤的作用及其机制[J]. 中国医科大学学报, 2024, 53(8): 736-740. DOI:10.12007/j.issn.0258-4646.2024.08.011 |
| [2] |
SAKAKIMA H, KHAN M, DHAMMU TS, et al. Stimulation of functional recovery via the mechanisms of neurorepair by S-nitrosoglutathione and motor exercise in a rat model of transient cerebral ischemia and reperfusion[J]. Restor Neurol Neurosci, 2012, 30(5): 383-396. DOI:10.3233/RNN-2012-110209 |
| [3] |
PENG ZF, ZHANG NB, MENG J, et al. Early aerobic exercise promotes neurological function recovery of rats after cerebral ischemia/reperfusion by upregulating the expression of heat shock protein A5[J]. Curr Med Sci, 2022, 42(2): 267-273. DOI:10.1007/s11596-022-2537-0 |
| [4] |
彭志锋, 张继红, 杨德兵. 早期跑步运动对大鼠脑缺血/再灌注损伤后神经行为与神经元凋亡的影响[J]. 中国应用生理学杂志, 2020, 36(1): 39-42. DOI:10.12047/j.cjap.5857.2020.008 |
| [5] |
杨鑫勇, 王凯华, 刘丹宁. 小鼠脑缺血再灌注损伤与线粒体自噬的关系研究[J]. 中国比较医学杂志, 2023, 33(2): 48-55. DOI:10.3969/j.issn.1671-7856.2023.02.007 |
| [6] |
LI J, YANG DM, LI ZP, et al. PINK1/Parkin-mediated mitophagy in neurodegenerative diseases[J]. Ageing Res Rev, 2023, 84: 101817. DOI:10.1016/j.arr.2022.101817 |
| [7] |
CHANG MC, PARK CR, RHIE SH, et al. Early treadmill exercise increases macrophage migration inhibitory factor expression after cerebral ischemia/reperfusion[J]. Neural Regen Res, 2019, 14(7): 1230-1236. DOI:10.4103/1673-5374.251330 |
| [8] |
MORRIS GP, WRIGHT AL, TAN RP, et al. A comparative study of variables influencing ischemic injury in the longa and Koizumi methods of intraluminal filament middle cerebral artery occlusion in mice[J]. PLoS One, 2016, 11(2): e0148503. DOI:10.1371/journal.pone.0148503 |
| [9] |
廖伶艺, 高长越, 高强. 阿尔茨海默病的功能障碍病理机制及康复治疗研究进展[J]. 中国康复医学杂志, 2022, 37(6): 834-839. DOI:10.3969/j.issn.1001-1242.2022.06.022 |
| [10] |
范荣国, 廖恒, 穆敬平, 等. 跑轮训练对大鼠脑缺血再灌注损伤的康复作用及机制研究[J]. 心脑血管病防治, 2023, 23(2): 12-16. DOI:10.3969/j.issn.1009-816x.2023.02.004 |
| [11] |
LAN R, WU JT, WU T, et al. Mitophagy is activated in brain damage induced by cerebral ischemia and reperfusion via the PINK1/Parkin/p62 signalling pathway[J]. Brain Res Bull, 2018, 142: 63-77. DOI:10.1016/j.brainresbull.2018.06.018 |
| [12] |
高兴, 卢燕婉. 炎症反应在卒中后认知功能障碍患者中的研究进展[J]. 中风与神经疾病杂志, 2023, 40(7): 617-621. DOI:10.19845/j.cnki.zfysjjbzz.2023.0143 |
| [13] |
DEHQANIZADEH B, MOHAMMADI ZF, KALANI AHT, et al. Effect of early exercise on inflammatory parameters and apoptosis in CA1 area of the hippocampus following cerebral ischemia-reperfusion in rats[J]. Brain Res Bull, 2022, 182: 102-110. DOI:10.1016/j.brainresbull.2022.02.011 |
| [14] |
LIU XJ, ZHANG C, ZHANG C, et al. Heat shock protein 70 inhibits cardiomyocyte necroptosis through repressing autophagy in myocardial ischemia/reperfusion injury[J]. In Vitro Cell Dev Biol Anim, 2016, 52(6): 690-698. DOI:10.1007/s11626-016-0039-8 |
| [15] |
ZHANG Y, TIAN ZM, WAN HY, et al. Deltonin ameliorates cerebral ischemia/reperfusion injury in correlation with modulation of autophagy and inflammation[J]. Neuropsychiatr Dis Treat, 2020, 16: 871-879. DOI:10.2147/NDT.S227988 |
| [16] |
ZHU WJ, LIU F, WANG L, et al. pPolyHb protects myocardial H9C2 cells against ischemia-reperfusion injury by regulating the Pink1-Parkin-mediated mitochondrial autophagy pathway[J]. Artif Cells Nanomed Biotechnol, 2019, 47(1): 1248-1255. DOI:10.1080/21691401.2019.1594243 |
2026, Vol. 55



