文章信息
- 范磊, 王亚巍, 章双艳, 周松阳, 崔诗允
- FAN Lei, WANG Yawei, ZHANG Shuangyan, ZHOU Songyang, CUI Shiyun
- 参苓白术散介导巨噬细胞极化影响肝细胞癌进展的分子机制
- Molecular mechanism of the effect of Shenling Baizhu San on the progression of hepatocellular carcinoma by modulating macrophage polarization
- 中国医科大学学报, 2026, 55(2): 103-108
- Journal of China Medical University, 2026, 55(2): 103-108
-
文章历史
- 收稿日期:2025-06-16
- 网络出版时间:2026-01-08 16:41:05
2. 江苏省中医药研究院普外科, 南京 210000;
3. 南京医科大学第一附属医院肿瘤科, 南京 210083
2. Department of General Surgery, Jiangsu Province Academy of Traditional Chinese Medicine, Nanjing 210000, China;
3. Department of Oncology, The First Affiliated Hospital of Nanjing Medical University, Nanjing 210083, China
肝细胞癌(hepatocellular carcinoma,HCC)是常见的恶性肿瘤,在HCC微环境中,M2型巨噬细胞的比例增加,促进肿瘤生长、侵袭、转移,抑制抗肿瘤免疫反应[1-2]。E1A结合蛋白p300为多功能转录共激活因子。研究[3]表明,p300能够增强组蛋白乳酸化、促进糖酵解相关基因的表达,进而促进HCC进展。核因子E2相关因子2(nuclear factor erythroid 2-related factor 2,Nrf2)主要参与抗氧化和稳态维持,亦可驱动M2型巨噬细胞极化[4]。已有研究[5]表明,p300通过其乙酰化活性,增加Nrf2蛋白的稳定性和丰度。但其在HCC中的具体机制仍有待深入研究。
参苓白术散是一种传统的中药方剂,主要用于健脾益气、化湿止泻[6]。研究[7]显示,参苓白术散能够促进肝癌移植瘤小鼠化疗后凋亡相关因子的表达,协同抑制肿瘤进展。然而,参苓白术散能否通过调节巨噬细胞极化影响HCC的进展及其具体的分子机制,目前仍不完全清楚。本研究揭示了参苓白术散通过抑制p300介导的Nrf2乙酰化来调节巨噬细胞极化,进而影响HCC进展的分子机制,以期为HCC的治疗提供新的理论基础和潜在靶点。
1 材料与方法 1.1 主要试剂和仪器参苓白术散(货号:20140704),购自山西华康药业股份有限公司;lipofectamine 3000转染试剂,购自美国ThermoFisher Scientific公司;人HCC细胞系HepG2,购自武汉尚恩生物技术有限公司;抗程序性死亡受体1(anti-programmed cell death protein 1,α-PD-1)抗体,购自美国MedChemExpress公司;转染质粒,购自上海吉凯基因科技有限公司;CCK-8试剂盒,购自美国Sigma-Aldrich公司;一抗p300、Nrf2抗体和二抗HRP-IgG抗体,购自英国abcam公司;Nrf2乙酰化抗体,购自美国G-BIOSCIENCES公司;TUNEL细胞凋亡试剂盒、人诱导型一氧化氮合酶(inducible nitric oxide synthase,iNOS)和人精氨酸酶1(arginase 1,Arg1)酶联免疫吸附试验(enzyme-linked immunosorbent assay,ELISA)试剂盒,购自武汉伊莱瑞特生物科技股份有限公司;酶标仪,购自瑞士TECAN公司。
1.2 动物实验 1.2.1 实验动物和分组24只5周龄雄性BALB/c小鼠,购自维通达(苏州)生物技术有限公司,生产许可证号为SCXK(苏)2024-0010。小鼠在标准SPF环境中饲养,自由摄食饮水。本研究获得南京中医药大学附属中西医结合医院伦理委员会审核批准(2024-LWKYS-019)。
将HepG2细胞的密度调整为2×107/mL。取0.1 mL细胞悬液接种到小鼠皮下血供丰富的位置,建立体内荷瘤模型。接种HepG2细胞10 d后,将造模成功的小鼠随机分为模型组、参苓白术散组(SLBZS组)、α-PD-1组和联合给药组。模型组小鼠不做干预;SLBZS组小鼠每天参苓白术散(3 g/mL)灌胃,采用体表面积换算公式计算灌胃剂量[7];α-PD-1组小鼠静脉注射α-PD-1(5 mg/kg),每3 d 1次[8];联合给药组每天参苓白术散(3 g/mL)灌胃,并且静脉注射α-PD-1(5 mg/kg),每3天1次。连续给药14 d。在小鼠皮下移植瘤形成后,用游标卡尺每2天测量1次瘤体体积,V(mm3)= a × b2/2,其中a为游标卡尺测量的肿瘤最长径,b为与a垂直的最短径。14 d后,过量注射戊巴比妥钠(200 mg/kg)处死小鼠,收集肿瘤组织,测量最终肿瘤重量。
1.2.2 HE染色肿瘤组织用多聚甲醛固定后石蜡包埋,制成4 μm切片。水化后进行HE染色,脱水风干后中性树胶封片。光学显微镜下观察,记录组织病理变化。
1.2.3 免疫组织化学法检测移植瘤组织中巨噬细胞极化标志物iNOS和Arg1和表达石蜡切片经脱蜡、修复后,3%过氧化氢封闭内源酶;依次孵育iNOS和Arg1一抗、二抗,DAB显色、苏木素复染并封片,采用ImageJ软件计算平均光密度值。
1.2.4 含药血清制备按参苓白术散处方(人参、白术、茯苓、山药各15 g,薏苡仁、莲子肉、陈皮各9 g,白扁豆12 g,砂仁、桔梗各6 g,甘草9 g)熬成2 g/mL浓缩液。20只SD大鼠购自维通达(苏州)生物技术有限公司,适应性喂养1周后,10只大鼠按体表面积换算给予等效剂量5倍(5.4 g/kg)的参苓白术散浓缩液每天灌胃,10只大鼠给予等容量灭菌超纯水灌胃,连续7 d。末次给药1 h后,腹腔注射戊巴比妥钠(50 mg/kg)麻醉大鼠,腹主动脉采血,离心后制备参苓白术散含药血清和空白血清,保存备用[9]。
1.3 细胞实验 1.3.1 细胞培养和分组用含10%胎牛血清、100 U/mL青霉素、100 μg/mL链霉素的RPMI-1640培养基,于37 ℃、5%CO2条件下培养HepG2细胞。将HepG2细胞分为对照组(用20%空白血清处理细胞)、参苓白术散低剂量组(SLBZS-L组,用5%参苓白术散含药血清处理细胞,用空白血清补足至总血清浓度20%)、参苓白术散中剂量组(SLBZS-M组,用10%参苓白术散含药血清处理细胞,用空白血清补足至总血清浓度20%)、参苓白术散高剂量组(SLBZS-H组,用20%参苓白术散含药血清处理细胞,用空白血清补足至总血清浓度20%)、参苓白术散高剂量+vector组(SLBZS-H+vector组,lipofectamine 3000转染vector后,按照SLBZS-H组处理方式处理细胞)、参苓白术散高剂量+oe-p300组(SLBZS-H+oe-p300组,lipofectamine 3000转染oe-p300后,按照SLBZS-H组处理方式处理细胞)。各组细胞均处理24 h,再用孔径0.4 μm的Transwell小室进行共培养,下室接种HepG2细胞,上室接种THP-1细胞。
1.3.2 CCK-8检测细胞活力将各组对数生长期的HepG2细胞以1×105/mL的密度接种至96孔板。加入10 μL CCK-8溶液,37 ℃孵育2 h。用酶标仪测定450 nm波长的吸光度值。
1.3.3 Transwell实验检测细胞侵袭各组取1×105个细胞接种于Transwell上室,下室加入含血清DMEM。培养24 h后,去除上室细胞和基质胶,95%甲醇固定20 min,0.2%结晶紫染色30 min。倒置显微镜下观察,记录细胞侵袭数量。
1.3.4 TUNEL法检测细胞凋亡收集各组细胞,按照TUNEL试剂盒说明书检测细胞凋亡情况。凋亡率为TUNEL阳性细胞数与总细胞数的比率。
1.3.5 ELISA检测各组THP-1细胞上清液中iNOS和Arg1浓度收集各组细胞,按照ELISA试剂盒说明书进行检测。根据标准曲线,计算样品中iNOS和Arg1浓度。
1.3.6 Western blotting对数期HepG2细胞(2×105/mL),经RIPA裂解、BCA定量后,取20 μg蛋白加5×上样缓冲液,100 ℃加热5 min。SDS-PAGE、转膜、5%脱脂奶粉封闭1 h,4 ℃一抗(p300、Nrf2、Ac-Nrf2)孵育过夜;TBST洗膜后,HRP二抗37 ℃ 1 h,化学发光增强剂显影,ImageJ软件定量。
1.4 统计学分析采用SPSS 26.0软件进行数据分析,采用GraphPad Prism 9.0软件绘制图表。计量资料用x±s表示,多组间比较采用单因素方差分析,进一步两两比较采用LSD-t检验。P < 0.05为差异有统计学意义。
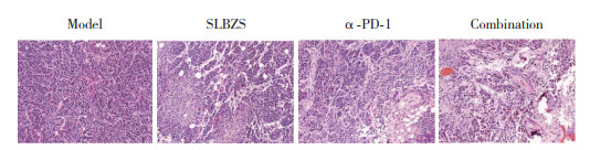
2 结果 2.1 参苓白术散联合α-PD-1抑制荷瘤小鼠肿瘤生长与模型组相比,SLBZS组和α-PD-1组小鼠的肿瘤体积、重量均减少,且SLBZS组和α-PD-1组小鼠的肿瘤体积、重量均高于联合给药组(P < 0.05)。HE染色结果显示,模型组小鼠移植瘤组织细胞大小不等,排列紊乱、细胞核深染,呈现分叶、多核等病理性核分裂。SLBZS组、α-PD-1组和联合给药组小鼠移植瘤组织细胞数量减少、核膜和核仁不清晰,细胞核固缩、碎裂等凋亡特征明显,坏死区域增加,且联合给药组肿瘤组织坏死特征更显著。见表 1、图 1。
| Group | n | Tumor weight(g) | Tumor volume(mm3) | Expression level of iNOS | Expression level of Arg1 | ||||
| Day 6 | Day 8 | Day 10 | Day 12 | Day 14 | |||||
| Model | 6 | 0.61±0.08 | 101.26±10.25 | 182.46±19.56 | 271.15±28.54 | 395.26±38.49 | 427.15±43.91 | 0.15±0.03 | 0.58±0.07 |
| SLBZS | 6 | 0.50±0.061),2) | 84.15±7.851),2) | 153.16±16.481),2) | 230.13±23.451),2) | 278.32±28.511),2) | 302.15±31.841),2) | 0.25±0.021),2) | 0.43±0.051),2) |
| α-PD-1 | 6 | 0.41±0.041),2) | 79.33±8.121),2) | 143.48±17.611),2) | 213.25±23.671),2) | 255.48±26.591),2) | 286.59±36.481),2) | 0.37±0.051),2) | 0.31±0.041),2) |
| Combination | 6 | 0.36±0.041) | 54.26±5.871) | 120.02±13.171) | 181.26±21.351) | 220.34±23.761) | 243.56±25.651) | 0.46±0.051) | 0.22±0.041) |
| 1)P < 0.05 vs. model group;2)P < 0.05 vs. combination group. | |||||||||
|
| 图 1 各组小鼠肿瘤组织HE染色 ×200 Fig.1 Hematoxylin and eosin staining of tumor tissues of mice in each group ×200 |
2.2 参苓白术散促进M1型巨噬细胞极化标志物表达并抑制M2型巨噬细胞极化标志物表达
与模型组相比,SLBZS组、α-PD-1组、联合给药组小鼠移植瘤组织中iNOS表达水平升高(P < 0.05),而Arg1表达水平降低(P < 0.05),且SLBZS组和α-PD-1组小鼠移植瘤组织中iNOS表达水平低于联合给药组,Arg1表达水平高于联合给药组(P < 0.05)。提示参苓白术散与α-PD-1在调节巨噬细胞极化方面具有协同作用,联合给药能够更有效地促进M1型巨噬细胞极化并抑制M2型巨噬细胞极化。见表 1、图 2。
|
| 图 2 各组小鼠肿瘤组织中iNOS和Arg1表达 ×200 Fig.2 Expression of iNOS and Arg1 in tumor tissues of mice in each group ×200 |
2.3 参苓白术散含药血清诱导HCC细胞凋亡并抑制M2型巨噬细胞极化
与对照组比较,SLBZS-L组、SLBZS-M组、SLBZS-H组HepG2细胞的活力和侵袭数量显著降低(P < 0.05),且随参苓白术散浓度的升高,抑制作用越显著(P < 0.05)。细胞凋亡检测结果表明,SLBZS-L组、SLBZS-M组、SLBZS-H组HepG2细胞凋亡率显著高于对照组(P < 0.05)。
检测各组THP-1细胞中iNOS和Arg1水平,结果显示,参苓白术散呈剂量依赖性降低M2型巨噬细胞极化标志物Arg1水平并升高M1型巨噬细胞标志物iNOS水平。见表 2。
| Group | n | Cell viability(%) | Number of invading cells | Apoptosis rate(%) | iNOS(pg/mL) | Arg1(pg/mL) |
| Control | 3 | 100.00±0.00 | 148.25±17.59 | 7.26±0.98 | 482.54±50.29 | 56.96±5.86 |
| SLBZS-L | 3 | 71.31±7.461) | 102.13±13.451) | 14.26±1.561) | 738.21±79.551) | 35.05±3.831) |
| SLBZS-M | 3 | 63.54±7.371),2) | 69.33±9.261),2) | 16.88±1.791),2) | 921.84±98.431),2) | 24.98±2.681),2) |
| SLBZS-H | 3 | 51.09±5.421),2),3) | 45.23±6.481),2),3) | 20.15±2.321),2),3) | 1 269.66±132.311),2),3) | 17.36±1.931),2),3) |
| 1)P < 0.05 vs. control group;2)P < 0.05 vs. SLBZS-L group;3)P < 0.05 vs. SLBZS-M group. | ||||||
2.4 参苓白术散能够抑制p300-Nrf2以及Nrf2乙酰化水平
与对照组相比,SLBZS-H组p300和Nrf2蛋白表达水平以及Nrf2乙酰化水平显著降低(P < 0.05)。与SLBZS-H+vector组相比,SLBZS-H+oe-p300组p300和Nrf2蛋白表达水平以及Nrf2乙酰化水平显著升高(P < 0.05)。见表 3、图 3。
| Group | n | p300 | Nrf2 | Acetylated Nrf2 |
| Control | 3 | 0.72±0.09 | 1.13±0.12 | 0.98±0.11 |
| SLBZS-H | 3 | 0.21±0.031) | 0.74±0.051) | 0.38±0.041) |
| SLBZS-H+vector | 3 | 0.18±0.02 | 0.71±0.05 | 0.39±0.04 |
| SLBZS-H+oe-p300 | 3 | 0.42±0.062) | 0.91±0.082) | 0.76±0.082) |
| 1)P < 0.05 vs. control group;2)P < 0.05 vs. SLBZS-H+vector group. | ||||
|
| 1, control group; 2, SLBZS-H group; 3, SLBZS-H+vector group; 4, SLBZS-H+oe-p300 group. 图 3 Western blotting检测HepG2细胞中p300、Nrf2、Nrf2乙酰化水平 Fig.3 Expression levels of p300, Nrf2, and acetylated Nrf2 in HepG2 cells determined by Western blotting |
2.5 p300逆转参苓白术散对HCC细胞增殖、侵袭、凋亡的影响
与对照组比较,SLBZS-H组细胞增殖活力和侵袭减弱,细胞凋亡率升高(P < 0.05)。与SLBZS-H+vector组比较,SLBZS-H+oe-p300组细胞活力和侵袭增加,细胞凋亡率降低(P < 0.05)。进一步检测THP-1细胞中iNOS和Arg1水平,结果显示,与对照组比较,SLBZS-H组Arg1水平降低而iNOS水平升高;与SLBZS-H+vector组比较,SLBZS-H+oe-p300组Arg1水平升高而iNOS水平降低。见表 4。
| Group | n | Cell viability(%) | Number of invading cells | Apoptosis rate(%) | iNOS(pg/mL) | Arg1(pg/mL) |
| Control | 3 | 100.00±0.00 | 138.46±16.35 | 7.15±0.83 | 503.83±54.21 | 65.98±7.06 |
| SLBZS-H | 3 | 48.24±5.071) | 60.12±8.321) | 20.01±2.131) | 991.49±102.031) | 26.75±2.861) |
| SLBZS-H+vector | 3 | 47.17±5.18 | 55.33±7.68 | 19.56±2.09 | 953.82±109.79 | 24.39±2.66 |
| SLBZS-H+oe-p300 | 3 | 79.65±8.512) | 113.25±14.562) | 13.25±1.422) | 676.12±71.572) | 48.63±4.962) |
| 1)P < 0.05 vs. control group;2)P < 0.05 vs. SLBZS-H+vector group. | ||||||
3 讨论
本研究通过构建HCC小鼠模型,证实了参苓白术散协同PD-1抑制剂,通过驱动M1型巨噬细胞极化进而抑制肿瘤进展,为参苓白术散联合免疫治疗HCC提供了新思路。
在HCC小鼠模型中,参苓白术散或PD-1抑制剂单药均可抑制肿瘤生长,二者联合治疗进一步缩小肿瘤体积,坏死区扩大且炎症浸润减少,证实二者协同改善微环境[10]。巨噬细胞极化在HCC中具有重要的生物学意义,M1型巨噬细胞主要发挥抗肿瘤作用,而M2型巨噬细胞促进肿瘤进展和免疫逃逸。近年来已有研究[11]显示,中药在调节巨噬细胞极化进而改善HCC中发挥重要作用。本研究中,参苓白术散上调iNOS、下调Arg1,促进M1型巨噬细胞极化标志物表达且抑制M2型巨噬细胞标志物表达,联合α-PD-1后效果更显著,提示二者协同重编程巨噬细胞并优化免疫微环境,为HCC联合免疫治疗提供新思路。
在细胞水平上,参苓白术散含药血清显著抑制了HepG2细胞的活力和侵袭能力,并诱导细胞凋亡。这一结果表明,参苓白术散不仅通过调节肿瘤免疫微环境发挥作用,还可能直接抑制HCC细胞的增殖和侵袭。进一步检测Transwell共培养系统中THP-1细胞中巨噬细胞极化标志物,结果发现,参苓白术散呈剂量依赖性降低M2型巨噬细胞极化标志物Arg1水平,并提高M1型巨噬细胞极化标志物iNOS水平。
p300在HCC的发生、发展中扮演着关键角色。鉴于p300在HCC中的促癌作用,靶向p300的抑制剂已成为HCC治疗策略的重要研究方向[12]。本研究进一步探讨了参苓白术散能否调节p300的水平,并作为p300的天然抑制剂发挥抗HCC作用。本研究结果表明,参苓白术散能够显著降低HCC细胞中p300的水平。Nrf2是抗氧化反应的关键调节因子,在不同的细胞类型中表达。近年来研究[4,13]显示,其在调节巨噬细胞极化中发挥作用。而p300作为一种组蛋白乙酰转移酶,能够通过乙酰化修饰影响Nrf2的转录活性,进而参与调控细胞增殖和凋亡[5]。本研究结果显示,p300与Nrf2相互作用,并促进Nrf2乙酰化,而参苓白术散显著降低了p300、Nrf2及其乙酰化水平。此外,功能性实验表明,过表达p300显著上调了HepG2细胞的活力和侵袭能力,抑制了细胞凋亡,并逆转了参苓白术散对巨噬细胞极化的影响。这些结果进一步证实了p300在参苓白术散作用中的关键调节作用,揭示了p300/Nrf2信号通路在HCC进展中的重要性。
综上所述,本研究揭示了参苓白术散通过抑制p300介导的Nrf2乙酰化修饰,调节巨噬细胞极化,抑制HCC细胞生长和侵袭的分子机制。
| [1] |
韩帅, 李晓航, 张城硕, 等. 肝细胞癌自发性破裂危险因素分析及术前临床预测模型建立[J]. 中国医科大学学报, 2023, 52(11): 1025-1030. DOI:10.12007/j.issn.0258-4646.2023.11.012 |
| [2] |
杨静, 付裕刚, 刁海彦, 等. 人参皂苷通过抑制肿瘤相关巨噬细胞M2极化对HepG2细胞增殖凋亡的影响[J]. 中华中医药学刊, 2025, 43(6): 230-234. DOI:10.13193/j.issn.1673-7717.2025.06.048 |
| [3] |
JI Y, XU Z, TANG L, et al. O-GlcNAcylation of YBX1 drives a glycolysis-histone lactylation feedback loop in hepatocellular carcinoma[J]. Cancer Lett, 2025, 631: 217957. DOI:10.1016/j.canlet.2025.217957 |
| [4] |
ZHAO J, LIU L, ZHAO W, et al. miR-141-3p accelerates ovarian cancer progression and promotes M2-like macrophage polarization by targeting the Keap1-Nrf2 pathway[J]. Open Med (Wars), 2023, 18(1): 20230729. DOI:10.1515/med-2023-0729 |
| [5] |
GANNER A, PFEIFFER ZC, WINGENDORF L, et al. The acetyltransferase p300 regulates NRF2 stability and localization[J]. Biochem Biophys Res Commun, 2020, 524(4): 895-902. DOI:10.1016/j.bbrc.2020.02.006 |
| [6] |
郭梅芳, 肖嫩群, 谭周进, 等. 参苓白术散对脾气亏虚证泄泻小鼠肠道微生物、酶活性及肺肠结构的影响[J]. 中国微生态学杂志, 2025, 37(4): 421-427. DOI:10.13381/j.cnki.cjm.202504006 |
| [7] |
彭樱, 奚胜艳, 王彦晖, 等. 参苓白术散对H22肝癌移植瘤小鼠化疗后肿瘤凋亡相关因子的影响[J]. 中华中医药杂志, 2017, 32(7): 2909-2913. |
| [8] |
WANG H, JI Y, DENG S, et al. SQYC formula improves the efficacy of PD-1 monoclonal antibodies in MSS colorectal cancer by regulating dendritic cell mitophagy via the PINK1-Parkin pathway[J]. Phytomedicine, 2025, 138: 156388. DOI:10.1016/j.phymed.2025.156388 |
| [9] |
黄娟, 王一阳, 肖凡, 等. 参苓白术散调控TLR4/NF-κB通路抑制LPS诱导心肌细胞炎性损伤的机制[J]. 湖南中医药大学学报, 2023, 43(10): 1815-1821. DOI:10.3969/j.issn.1674-070X.2023.10.010 |
| [10] |
JIANG ZB, WANG WJ, XU C, et al. Luteolin and its derivative apigenin suppress the inducible PD-L1 expression to improve antitumor immunity in KRAS-mutant lung cancer[J]. Cancer Lett, 2021, 515: 36-48. DOI:10.1016/j.canlet.2021.05.019 |
| [11] |
刘新迎, 曹敏蝶, 蓝燕, 等. 青藤碱对α7nAChR参与的巨噬细胞M2极化和小鼠肝癌TAM极化的干预作用[J]. 中药新药与临床药理, 2022, 33(12): 1645-1653. DOI:10.19378/j.issn.1003-9783.2022.12.008 |
| [12] |
CHANG Q, LI J, DENG Y, et al. Discovery of novel PROTAC degraders of p300/CBP as potential therapeutics for hepatocellular carcinoma[J]. J Med Chem, 2024, 67(4): 2466-2486. DOI:10.1021/acs.jmedchem.3c01468 |
| [13] |
黄华, 王永通, 丁旭枫, 等. 基于Nrf2/HO-1和NF-κB信号通路探讨清化止泻方对腹泻型肠易激综合征大鼠巨噬细胞极化的影响[J]. 中成药, 2025, 47(2): 438-445. DOI:10.3969/j.issn.1001-1528.2025.02.012 |
2026, Vol. 55



