文章信息
- 高天, 曹宇萌, 张瑞昕, 李倩倩, 刘立新
- GAO Tian, CAO Yumeng, ZHANG Ruixin, LI Qianqian, LIU Lixin
- 自噬通过核受体共激活因子4调控代谢相关脂肪性肝病中肝细胞铁死亡的分子机制
- Molecular mechanism of autophagy in modulating ferroptosis in metabolic associated fatty liver disease via nuclear receptor coactivator factor 4
- 中国医科大学学报, 2026, 55(1): 9-14
- Journal of China Medical University, 2026, 55(1): 9-14
-
文章历史
- 收稿日期:2025-05-28
- 网络出版时间:2026-01-06 09:32:26
2. 山西医科大学第一临床医学院内科学教研室,太原 030001;
3. 山西医科大学基础医学院病理学与病理生理学教研室,太原 030001;
4. 山西医科大学第一医院肝损伤与消化道肿瘤防治委级重点实验室,太原 030001
2. Department of Internal Medicine, The First Clinical Medical College, Shanxi Medical University, Taiyuan 030001, China;
3. Department of Pathology and Pathophysiology, School of Basic Medicine, Shanxi Medical University, Taiyuan 030001, China;
4. Committee-level Key Laboratory of Liver Injury and Gastrointestinal Tumor Prevention and Treatment, First Hospital of Shanxi Medical University, Taiyuan 030001, China
代谢相关脂肪性肝病(metabolic associated fatty liver disease,MAFLD) 最终可导致肝硬化和肝癌,严重影响人类的生命和健康。因此,阐明MAFLD的病理机制至关重要。铁死亡是一种铁依赖的程序性细胞死亡,可通过脂质和铁的异常代谢促进MAFLD进展[1]。铁死亡的关键抑制因子有溶质载体家族7成员11 (solute carrier family 7 member 11,SLC7A11)、谷胱甘肽过氧化物酶4 (glutathione peroxidase 4,GPX4) 和铁重链蛋白1 (ferritin heavy chain 1,FTH1)。核受体共激活因子4 (nuclear receptor coactivator 4,NCOA4) 能够识别FTH1,并将其传递至自噬体溶解,从而释放铁[2]。在生理条件下,细胞中铁吸收主要由转铁蛋白受体1 (transferrin receptor 1,TFR1) 控制,TFR1被认为是铁死亡发生的标志蛋白[3]。自噬是一种进化上保守的溶酶体介导的细胞内降解过程。自噬相关蛋白7 (autophagy-related protein 7,ATG7) 参与了自噬小泡的形成,在自噬过程中扮演着核心角色。微管相关蛋白1轻链3 (microtubule-associated protein 1 light chain 3,LC3),对自噬囊泡的形成起关键作用,是评价自噬水平的关键指标[4]。铁蛋白自噬是指铁蛋白选择性自噬降解,导致胞质铁以Fe2+形式积累,最终导致细胞铁死亡[5]。本研究探讨了自噬能否通过NCOA4调控MAFLD中肝细胞铁死亡,延缓MAFLD进展。
1 材料与方法 1.1 材料L02肝细胞,购自中国科学院典型培养物保藏委员会细胞库;C57BL/6野生型小鼠,购自山西省人民医院实验动物中心。RPMI-1640培养基、SYBR Green qPCR Master Mix Ⅱ,购自赛文创新(北京) 生物科技有限公司;胎牛血清,购自以色列Biological Industries公司;丙氨酸氨基转移酶(alanine aminotransferase,ALT)、天冬氨酸氨基转移酶(aspartate aminotransferase,AST)、甘油三酯(triglyceride,TG)、总胆固醇(total cholesterol,TC) 试剂盒,购自南京建成生物工程研究所;FTH1抗体,购自英国abcam公司;NCOA4抗体,购自美国Sigma-Aldrich公司。
1.2 细胞模型构建与分组采用游离脂肪酸(free fatty acids,FFA) 干预L02肝细胞,分别干预24、48和72 h,构建MAFLD体外肝细胞模型。通过测定肝细胞内ALT、AST、TG、TC含量以及油红O染色,评价造模效果。
将L02肝细胞分为对照组、模型组和氯喹组。对照组,细胞用正常培养液培养;模型组,细胞用1 mmol/L FFA培养24 h;氯喹组,细胞用1 mmol/L FFA培养24 h后,添加50 μmol/L氯喹干预4 h。
1.3 小鼠模型构建与分组将12只6~8周龄雄性C57BL/6小鼠随机分为对照组(WT组) 和模型组(HFCFD组),每组6只。WT组小鼠正常饮食,持续14周;HFCFD组小鼠高脂肪/胆固醇/果糖饲料(35%脂肪,47%碳水化合物,2%胆固醇,34%果糖,南通特洛菲饲料科技有限公司) 喂养,持续14周。本研究的动物实验均经山西医科大学第一医院实验动物福利伦理委员会批准(DWLL-2024-031)。
1.4 方法 1.4.1 油红O染色固定液固定细胞40 min,60%异丙醇漂洗20 s,油红O染料浸染40 min,再用60%异丙醇漂洗20 s,苏木素复染3 s,加油红O缓冲液维持1 min,蒸馏水包裹细胞,显微镜下观察。
1.4.2 肝细胞中TG和TC含量的测定收集、消化6孔板中的细胞,按照试剂盒说明书处理,37 ℃孵育10 min,采用酶标仪测定波长510 nm处的光密度值。
1.4.3 肝细胞中AST和ALT含量的测定收集、消化6孔板中的细胞,按照试剂盒说明书处理,室温放置15 min,采用酶标仪测定波长510 nm处的光密度值。
1.4.4 实时定量PCR采用TRIzol法提取各组细胞总RNA,按照逆转录试剂盒说明书合成cDNA。设计GAPDH、GPX4、SLC7A11、FTH1、TFR1、ATG7、LC3B-Ⅱ、NCOA4引物,建立10 μL的反应体系,体外扩增。引物序列:GAPDH,正向5’-GCGGGGCTCTCCAGAACATC-3’,反向5’-TCCACCACTGACACGTTGGC-3’;GPX4,正向5’-TCCCAGTGAGGCAAGACCGA-3’,反向5’-GGTTACACGGGAAGGCCAGG-3’;SLC7A11,正向5’-TGCCTTCCCTGGGCAACAAG-3’,反向5’-CCCCACACACCGTCCAGATG-3’;FTH1,正向5’-TGCCTCCTACGTCTATCTGTC-3’,反向5’-GTCATCACGGTCTGGTTTCTTT-3’;TFR1,正向5’-ACCCATTCGTGGTGATCAAT-3’,反向5’-CGTTTCCAACTGCCCTATGA-3’;ATG7,正向5’-GAAAATAATGGCGGCAGCTACGG-3’,反向5’-TCGGGCCATCTCAGATGGTCTCATC-3’;LC3B-Ⅱ,正向5’-GCGCCGAACCTTCGAACAGA-3’,反向5’-TTGAGCTGCAAGCGCCTTCT-3’;NCOA4,正向5’-GAGGTGTAGTGATGCACGGA-3’,反向5’-GACGGCTTATGCAACTGTGAA-3’。
1.4.5 Western blotting提取各组细胞总蛋白,BCA法测定蛋白浓度。总蛋白经电泳分离,冰浴转膜,5%脱脂奶粉室温封闭2 h,一抗4 ℃孵育过夜,二抗室温孵育2 h,ECL发光液曝光,检测相应蛋白。
1.4.6 免疫组织化学染色小鼠肝组织石蜡标本连续切片,厚度4 μm,切片依次经二甲苯脱蜡和梯度乙醇水化处理,采用柠檬酸盐修复液进行抗原修复。应用内源性过氧化物酶阻断剂室温孵育10 min,滴加LC3B、NCOA4、FTH1、SLC7A11一抗,4 ℃孵育过夜,二抗37 ℃孵育20 min,DAB显色,苏木素复染,自来水冲洗反蓝,1%盐酸乙醇分化,梯度乙醇脱水,二甲苯透明及封片,显微镜下观察。
1.5 统计学分析采用SPSS 25.0软件进行统计学分析。计量资料用x±s表示,多组间比较采用单因素方差分析,进一步两两比较采用LSD检验。采用GraphPad Prism 8.0软件作图。P < 0.05为差异有统计学意义。
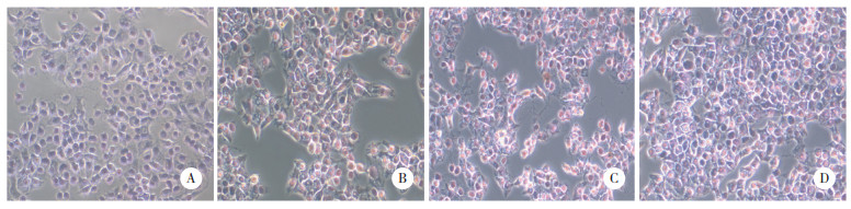
2 结果 2.1 MAFLD体外肝细胞模型效果评价油红O染色结果显示,随着FFA处理时间延长,肝细胞内脂滴大量聚集且呈逐渐增多的趋势,见图 1。在FFA处理肝细胞24 h、48 h、72 h时,与FFA处理0 h相比,肝细胞内TG、TC含量及AST、ALT活性均呈时间依赖性增加(均P < 0.001),见表 1。因此,后续实验采用FFA干预细胞24 h。
|
| A, 0 h; B, 24 h; C, 48 h; D, 72 h. 图 1 光学显微镜下观察油红O染色后肝细胞中脂滴变化×200 Fig.1 Changes in lipid droplets in hepatocytes after oil red O staining observed under an optical microscope ×200 |
| Time point | TG (mmol/g prot) | TC (mmol/g prot) | AST (U/g prot) | ALT (U/g prot) |
| 0 h | 0.088±0.025 | 0.093±0.004 | 5.982±0.729 | 4.016±0.011 |
| 24 h | 0.297±0.0071) | 0.209±0.0091) | 10.350±0.8281) | 10.090±0.3851) |
| 48 h | 0.414±0.0081),2) | 0.326±0.0071),2) | 15.040±0.9521),2) | 16.470±0.0001),2) |
| 72 h | 0.485±0.0101),2),3) | 0.429±0.0121),2),3) | 19.360±0.7591),2),3) | 28.550±0.6581),2),3) |
| 1) P < 0.001 vs. 0 h;2) P < 0.001 vs. 24 h;3) P < 0.01 vs. 48 h. | ||||
2.2 L02肝细胞中铁死亡和自噬相关基因表达水平的变化
实时定量PCR结果显示,模型组、氯喹组与对照组比较,氯喹组与模型组比较,L02肝细胞中铁死亡相关基因GPX4、SLC7A11、FTH1的表达水平降低,TFR1的表达水平升高,自噬相关基因LC3B、ATG7、NCOA4的表达水平升高(均P < 0.05)。见表 2。
| Item | Control group | Model group | Chloroquine group |
| SLC7A11 | |||
| ??mRNA | 1.011±0.041 | 0.852±0.0121) | 0.647±0.0111),2) |
| ??Protein | 0.323±0.007 | 0.221±0.0021) | 0.089±0.0031),2) |
| FTH1 | |||
| ??mRNA | 1.005±0.046 | 0.902±0.0161) | 0.614±0.0171),2) |
| ??Protein | 0.561±0.002 | 0.421±0.0031) | 0.319±0.0031),2) |
| NCOA4 | |||
| ??mRNA | 0.998±0.028 | 1.130±0.0161) | 1.494±0.0221),2) |
| ??Protein | 0.422±0.004 | 0.621±0.0021) | 0.927±0.0061),2) |
| GPX4 mRNA | 1.006±0.038 | 0.751±0.0121) | 0.688±0.0281),2) |
| TFR1 mRNA | 1.002±0.033 | 1.201±0.0151) | 4.297±0.0201),2) |
| ATG7 mRNA | 1.009±0.042 | 4.187±0.0791) | 15.105±0.0701),2) |
| LC3B mRNA | 1.017±0.035 | 5.052±0.0831) | 20.081±0.0561),2) |
| LC3Ⅱ/LC3Ⅰ | 0.222±0.005 | 0.327±0.0061) | 0.525±0.0061),2) |
| 1) P < 0.05 vs. control group;2) P < 0.05 vs. model group. | |||
Western blotting结果显示,模型组、氯喹组与对照组比较,氯喹组与模型组比较,肝细胞中NCOA4蛋白表达水平、LC3Ⅱ/LC3Ⅰ水平升高,而FTH1、SLC7A11蛋白表达水平降低(均P < 0.05)。见表 2、图 2。
|
| 1, control group; 2, model group; 3, chloroquine group. 图 2 Western blotting检测铁死亡和自噬相关蛋白表达 Fig.2 Expression of ferroptosis- and autophagy-related proteins detected by Western blotting |
2.3 HFCFD组小鼠肝组织内铁死亡及自噬相关蛋白表达水平的变化
免疫组织化学染色结果显示,与WT组小鼠肝组织相比,HFCFD组小鼠肝组织中铁死亡相关蛋白FTH1、SLC7A11的表达水平降低(均P < 0.05);自噬相关蛋白NCOA4、LC3B的表达水平升高(均P < 0.05)。见图 3、表 3。
|
| 图 3 小鼠肝组织中铁死亡和自噬相关蛋白的表达 Fig.3 Expression of ferroptosis- and autophagy-related proteins in mouse liver tissue |
| Group | n | FTH1 | SLC7A11 | NCOA4 | LC3B |
| WT | 6 | 0.212±0.006 | 0.217±0.008 | 0.123±0.024 | 0.095±0.018 |
| HFCFD | 6 | 0.162±0.0101) | 0.174±0.0071) | 0.166±0.0151) | 0.168±0.0251) |
| 1) P < 0.01 vs. WT group. | |||||
3 讨论
MAFLD肝脏中存在大量的脂质沉积,脂质在肝脏异常堆积是疾病发生、发展的基础。在肝细胞中,FFA可以通过β氧化在线粒体内生成ATP或合成酮体,也可以通过酯化形成TG,存储为肝细胞脂滴。研究[6]发现,与健康受试者相比,单纯肝脂肪变性和脂肪性肝炎患者的肝脏总脂质中油酸和棕榈酸的含量增加,提示油酸和棕榈酸参与了MAFLD的发生。因此,本研究使用1 mmol/L的混合FFA溶液(油酸∶棕榈酸=2∶1) 处理L02肝细胞,构建肝细胞脂肪变性模型。本研究发现,随着FFA处理时间延长,肝细胞内红色脂滴数量增多、体积增大,且肝细胞内TG、TC含量和AST、ALT活性显著升高,提示肝细胞内脂质积聚和肝细胞损伤加剧,说明肝细胞脂肪变性模型成功构建。
细胞内脂质的异常堆积会改变自噬体和溶酶体的膜脂质组成,降低自噬体与溶酶体融合的能力,导致自噬通量降低。自噬通量的阻断可能进一步增加细胞内脂质堆积。这种因过量摄入引起脂质堆积与自噬通量受损间的恶性循环,加速了肝细胞脂肪变性的发展。与龙康等[7]的研究结论一致,本研究发现,L02肝细胞中LC3B与ATG7 mRNA表达水平随FFA作用时间延长而增加,提示FFA可使肝细胞自噬通量减少,加速MAFLD肝细胞脂质堆积。氯喹是一种常见的自噬抑制剂,主要通过阻断溶酶体的酸化,抑制自噬细胞与溶酶体结合形成自噬性溶酶体的过程,从而抑制自噬[8]。此外,氯喹可以抑制ATG7和LC3B的降解,使ATG7和LC3B在细胞中累积,从而阻碍晚期自噬[9]。本研究结果显示,加入氯喹后,L02肝细胞中LC3B、ATG7 mRNA和蛋白表达水平显著高于对照组和模型组,提示肝细胞内自噬被进一步抑制。
肝细胞中异常脂质积累引起的慢性肝细胞死亡,可能在MAFLD进展过程中起重要作用。在低蛋氨酸/胆碱饮食诱导的代谢相关脂肪性肝炎小鼠模型中加入铁死亡激活剂RSL-3,加剧了肝脏脂肪变性、炎症和细胞凋亡[10],而铁死亡抑制剂Fer-1则减轻代谢相关脂肪性肝炎小鼠的肝损伤[11]。在棕榈酸诱导的代谢相关脂肪性肝炎体外模型中,GPX4对铁死亡的调节可以影响肝脏病变程度[12]。这表明肝细胞铁死亡在代谢相关脂肪性肝炎进展过程中起促进作用。与上述研究结果一致,本研究结果显示,L02肝细胞中SLC7A11、GPX4、FTH1 mRNA表达水平随FFA处理时间的延长逐渐降低,TFR1 mRNA表达水平逐渐升高,提示FFA干预可以导致肝细胞发生铁死亡,加速MAFLD进展。
铁蛋白自噬是由NCOA4介导的铁蛋白自噬降解,与铁蛋白结合的铁以Fe2+的形式释放,最终导致铁死亡。2014年,MANCIAS等[13]利用定量蛋白质组学揭示了NCOA4是介导铁自噬的特定受体,并提出了铁自噬的概念,将自噬与铁死亡联系起来。研究[14]表明,敲除NCOA4可抑制铁蛋白降解而阻止铁死亡;相反,过表达NCOA4促进了铁蛋白的降解和铁死亡。本研究中,HFCFD组小鼠肝组织中自噬相关蛋白NCOA4、LC3B表达水平升高,而铁死亡相关蛋白SLC7A11、FTH1表达水平降低;FFA与氯喹共同干预的L02肝细胞中,同样发现NCOA4、LC3B mRNA和蛋白表达水平升高,SLC7A11、FTH1 mRNA和蛋白表达水平降低。提示肝组织中自噬水平的降低,可以通过提高肝细胞内铁死亡水平进一步加速MAFLD进展。本研究存在一定的局限性,仅进行了细胞实验和动物实验,未来研究应通过肝穿刺活检进行人体组织的验证。
综上所述,本研究揭示了自噬和铁死亡在肝细胞和小鼠MAFLD模型中的重要作用,提示可通过激活自噬抑制MAFLD铁死亡,为MAFLD的治疗提供了新思路。
| [1] |
JIANG X, STOCKWELL BR, CONRAD M. Ferroptosis: mechanisms, biology and role in disease[J]. Nat Rev Mol Cell Biol, 2021, 22(4): 266-282. DOI:10.1038/s41580-020-00324-8 |
| [2] |
FANG Y, CHEN X, TAN Q, et al. Inhibiting ferroptosis through disrupting the NCOA4-FTH1 interaction: a new mechanism of action[J]. ACS Cent Sci, 2021, 7(6): 980-989. DOI:10.1021/acscentsci.0c01592 |
| [3] |
CHEN L, MA Y, MA X, et al. TFEB regulates cellular labile iron and prevents ferroptosis in a TfR1-dependent manner[J]. Free Radic Biol Med, 2023, 208: 445-457. DOI:10.1016/j.freeradbiomed.2023.09.004 |
| [4] |
袁琦, 简禄勇, 郭华慧, 等. 自噬抑制急性肾损伤诱导急性肺损伤的分子机制[J]. 中国医科大学学报, 2024, 53(6): 501-508. DOI:10.12007/j.issn.0258-4646.2024.06.004 |
| [5] |
AJOOLABADY A, ASLKHODAPASANDHOKMABAD H, LIBBY P, et al. Ferritinophagy and ferroptosis in the management of metabolic diseases[J]. Trends Endocrinol Metab, 2021, 32(7): 444-462. DOI:10.1016/j.tem.2021.04.010 |
| [6] |
GóMEZ-LECHóN MJ, DONATO MT, MARTíNEZ-ROMERO A, et al. A human hepatocellular in vitro model to investigate steatosis[J]. Chem Biol Interact, 2007, 165(2): 106-116. DOI:10.1016/j.cbi.2006.11.004 |
| [7] |
龙康, 江克清, 袁观斗, 等. 二甲双胍减轻小鼠非酒精性脂肪肝炎的作用机制[J]. 中华实验外科杂志, 2024, 41(4): 710-715. DOI:10.3760/cma.j.cn421213-20230828-01308 |
| [8] |
PASQUIER B. Autophagy inhibitors[J]. Cell Mol Life Sci, 2016, 73(5): 985-1001. DOI:10.1007/s00018-015-2104-y |
| [9] |
GALLUZZI L, BRAVO-SAN PEDRO JM, LEVINE B, et al. Pharmacological modulation of autophagy: therapeutic potential and persisting obstacles[J]. Nat Rev Drug Discov, 2017, 16(7): 487-511. DOI:10.1038/nrd.2017.22 |
| [10] |
QI J, KIM JW, ZHOU ZX, et al. Ferroptosis affects the progression of nonalcoholic steatohepatitis via the modulation of lipid peroxidation-mediated cell death in mice[J]. Am J Pathol, 2020, 190(1): 68-81. DOI:10.1016/j.ajpath.2019.09.011 |
| [11] |
LIU B, YI W, MAO X, et al. Enoyl coenzyme A hydratase 1 alleviates nonalcoholic steatohepatitis in mice by suppressing hepatic ferroptosis[J]. Am J Physiol Endocrinol Metab, 2021, 320(5): E925-E937. DOI:10.1152/ajpendo.00614.2020 |
| [12] |
ZHANG J, XIE H, YAO J, et al. TRIM59 promotes steatosis and ferroptosis in non-alcoholic fatty liver disease via enhancing GPX4 ubiquitination[J]. Hum Cell, 2023, 36(1): 209-222. DOI:10.1007/s13577-022-00820-3 |
| [13] |
MANCIAS JD, WANG X, GYGI SP, et al. Quantitative proteomics identifies NCOA4 as the cargo receptor mediating ferritinophagy[J]. Nature, 2014, 509(7498): 105-109. DOI:10.1038/nature13148 |
| [14] |
SANTANA-CODINA N, GIKANDI A, MANCIAS JD. The role of NCOA4-mediated ferritinophagy in ferroptosis[J]. Adv Exp Med Biol, 2021, 1301: 41-57. DOI:10.1007/978-3-030-62026-4_4 |
2026, Vol. 55



