文章信息
- 卢健明, 杨冠琦, 吕静
- LU Jianming, YANG Guanqi, LÜ Jing
- 通络兰白饮通过激活Nrf2/HO-1/NQO1信号通路减轻肾病综合征大鼠肾纤维化
- Tongluo Lanbai Yin alleviates renal fibrosis in rats with nephrotic syndrome by activating the Nrf2/HO-1/NQO1 signaling pathway
- 中国医科大学学报, 2026, 55(1): 20-26
- Journal of China Medical University, 2026, 55(1): 20-26
-
文章历史
- 收稿日期:2025-02-21
- 网络出版时间:2026-01-06 09:42:10
2. 辽宁中医药大学附属医院科研处,沈阳 110033;
3. 辽宁中医药大学附属医院肾内科,沈阳 110033
2. Research Office, The Affiliated Hospital of Liaoning University of Traditional Chinese Medicine, Shenyang 110033, China;
3. Department of Nephrology, The Affiliated Hospital of Liaoning University of Traditional Chinese Medicine, Shenyang 110033, China
肾病综合征(nephrotic syndrome,NS) 是一种常见的肾脏疾病,以大量蛋白尿、低蛋白血症、全身水肿和高脂血症为特征[1]。NS始于肾小球滤过屏障改变,血浆蛋白的通透性增加,进而肾脏纤维化,最终导致终末期肾病,严重影响患者的预后[2]。目前,NS相关病理生理机制仍不清楚[3]。核因子E2相关因子(nuclear factor E2 related factor,Nrf) 2作为抗氧化反应的主要调节因子,维持细胞内的氧化还原平衡[4]。当受到氧化应激刺激时,Nrf2被激活,上调血红素加氧酶-1 (heme oxygenase-1,HO-1)、醌氧化还原酶1 (quinone oxidoreductase 1,NQO1) 的表达,抑制氧化应激和凋亡的发生,进而发挥保护作用[5]。有研究[6]表明,在多种肾脏疾病的动物模型中激活Nrf2具有肾脏保护作用。因此,针对Nrf2相关通路的药物对NS具有一定的治疗作用。
通络兰白饮方剂由多种中药材组成,其中黄芪、白术和太子参三药合用,旨在补脾肾之气,利水消肿,并健脾祛湿[7];而菟丝子和枸杞子能够深入肾络,滋养肾脏,从而改善肾脏功能,恢复肾络的正常运行[8]。通过多味药材的协同作用,共同发挥补肾、益气、健脾、祛湿、化瘀等功效。本研究通过阿霉素(doxorubicin,Dox) 诱导建立大鼠NS模型,探讨通络兰白饮对NS大鼠肾脏的保护作用及其机制,旨在为通络兰白饮方剂的进一步开发提供理论依据。
1 材料与方法 1.1 实验动物成年雄性SD大鼠,体质量180~220 g,购自沈阳茂华生物科技有限公司。生产许可证号为SCXK (辽) 2022-0001。本研究已获得辽宁中医药大学实验动物福利伦理委员会批准(21000062124079)。
1.2 主要试剂通络兰白饮由黄芪30 g,白术12 g,太子参20 g,菟丝子10 g,山萸肉12 g,枸杞子10 g,金樱子12 g,丹参10 g,泽兰12 g,老头草20 g,丹皮9 g,芡实15 g,桑螵蛸10 g,青风藤12 g组成,所有成分均购自辽宁中医药大学附属医院中药房,并煎煮蒸发浓缩为3.88 g/mL。Nrf抑制剂ML385 (货号HY-100523)、Dox (货号HY-15142) 购自美国MedChemExpress生物科技公司;尿蛋白(货号C035-2-1)、肌酐(货号C011-2-1)、尿素氮(货号C013-2-1)、白蛋白(货号A028-2-1)、胆固醇(货号A111-1-1)、甘油三酯(货号A110-1-1)、超氧化物歧化酶(superoxide dismutase,SOD,货号A001-3) 检测试验盒购自南京建成生物工程研究所有限公司;脂质过氧化丙二醛(malondialdehyde,MDA) 检测试剂盒(S0131)、抗GAPDH抗体(货号AG019)、HRP标记的山羊抗兔或山羊抗小鼠二抗(货号A0208、A0216) 购自江苏贝奥泰克生物科技有限公司;抗Nrf2、HO-1抗体(货号sc-365949、sc-136960) 购自美国Santa Cruz Biotechnology公司;抗NQO-1 (货号ab28947)、纤连蛋白(货号ab268020) 抗体购自英国abcam公司;抗胶原蛋白(货号PA1-28534)、层粘连蛋白(货号PA1-16730) 抗体购自美国Invitrogen公司。
1.3 方法 1.3.1 NS模型建立及分组SD大鼠适应性喂养3周,体重增长至280~320 g后进行NS模型诱导[9]。于造模开始的第1天和第8天在SD大鼠的尾静脉注射Dox (3 mg/kg),造模14 d后24 h尿蛋白≥100 mg/24 h的大鼠为NS模型建立成功。将NS大鼠随机分为模型组(NS组,无其他处理),低剂量通络兰白饮组(L-TL组,3.29 g/kg的通络兰白饮溶液灌胃),高剂量通络兰白饮组(H-TL组,13.14 g/kg的通络兰白饮溶液灌胃),高剂量通络兰白饮+Nrf抑制剂ML385组(H-TL+ML385组,13.14 g/kg的通络兰白饮溶液灌胃,30 mg/kg ML385溶液腹腔注射[10]),正常大鼠(Control组) 对应进行尾静脉注射、灌胃、腹腔注射等量生理盐水。每组各取5只大鼠,均1次/d给药,连续28 d。
1.3.2 标本采集末次给药结束后利用代谢笼收集各组大鼠24 h尿液标本。尿液收集完成后腹腔注射戊巴比妥钠麻醉大鼠,腹主动脉取血,离心后低温储存血清。随后处死大鼠,分离两侧肾组织,部分置于多聚甲醛中固定,部分置于-80 ℃储存。
1.3.3 尿蛋白检测将尿液标本离心去除残渣,采用试剂盒检测尿蛋白水平。
1.3.4 白蛋白、胆固醇、甘油三酯、肌酐、尿素氮水平检测取低温储存的血清,迅速解冻,检测血清中肌酐、尿素氮、白蛋白、胆固醇、甘油三酯水平,按照相应试剂盒说明书进行操作。
1.3.5 SOD活性和MDA水平检测取低温冻存的肾组织,于冰上研磨,离心,取上清液,检测上清液中MDA水平和SOD活性,按照试剂盒说明书进行操作。
1.3.6 肾组织病理损伤及纤维化检测取经固定的大鼠肾组织,经脱水、石蜡包埋、切片(厚5 μm) 等一系列操作后,按照HE染色试剂盒说明书进行染色处理。结束后采用中性树脂封片,并于显微镜下观察大鼠肾组织病理变化及纤维化情况。
1.3.7 肾组织中细胞凋亡的检测取经固定的大鼠肾组织,经脱水、石蜡包埋、切片(厚5 μm) 等一系列操作后进行PBS缓慢冲洗,依据TUNEL检测试剂盒说明书进行染色,于荧光显微镜下观察TUNEL阳性细胞(绿色斑点表示),并以阳性细胞相对荧光强度表示肾组织中细胞凋亡情况。相对荧光强度=实验组荧光值/空白对照组荧光值。相对荧光强度越高表明细胞凋亡数量越多。
1.3.8 Nrf2/HO-1/NQO1信号通路和细胞外基质沉积相关蛋白表达的检测:低温冻存的肾组织于冰上研磨,以预冷RIPA裂解液提取肾组织中蛋白,按照BCA法对蛋白进行定量。并于蛋白变性后,行SDS-PAGE、转膜、封闭。结束后添加对应一抗GAPDH (1∶5 000)、Nrf2 (1∶1 000)、HO-1 (1∶1 000)、NQO-1(1∶1 000)、胶原蛋白(1∶3 000)、纤连蛋白(1∶2 000)、层粘连蛋白(1∶2 000) 于4 ℃孵育过夜。次日洗去一抗,将已制备好的二抗稀释液(1∶4 000) 添加至膜表面,于抗体孵育盒中室温孵育2 h。孵育结束后洗去膜表面二抗,添加ECL发光液行曝光检测,并以ImageJ软件分析蛋白相对表达量。
1.4 统计学分析利用SPSS 26.0软件进行统计分析,计量资料采用x±s表示,多组比较采用单因素方差分析,进一步两两比较采用Tukey检验。P < 0.05为差异有统计学意义。
2 结果 2.1 通络兰白饮对大鼠尿蛋白以及血清中白蛋白、胆固醇、甘油三酯、肌酐、尿素氮水平的影响结果显示,与Control组比较,NS组尿蛋白,血清中肌酐、尿素氮、胆固醇、甘油三酯水平升高,而白蛋白水平降低(P < 0.05)。与NS组比较,L-TL组、H-TL组尿蛋白,血清中肌酐、尿素氮、胆固醇、甘油三酯水平降低,而白蛋白水平升高(P < 0.05)。与H-TL组比较,H-TL+ML385组尿蛋白,血清中肌酐、尿素氮、胆固醇、甘油三酯水平升高,而白蛋白水平降低(P < 0.05)。见表 1。
| Group | n | Urine protein (mg) | Serum creatinine (μmol/L) | Blood urea nitrogen (mmol/L) | Albumin (g/L) | Triglyceride (mmol/L) | Cholesterol (mmol/L) |
| Control | 5 | 10.12±1.11 | 21.34±2.10 | 21.34±2.10 | 33.42±3.62 | 1.12±0.12 | 3.61±0.36 |
| NS | 5 | 249.89±15.671) | 48.67±4.591) | 48.67±4.591) | 18.68±1.901) | 12.53±1.231) | 9.79±0.981) |
| L-TL | 5 | 210.32±14.202) | 41.01±4.112) | 41.01±4.112) | 22.54±2.412) | 9.39±0.842) | 7.34±0.732) |
| H-TL | 5 | 121.03±9.312),3) | 23.99±2.402),3) | 23.99±2.402),3) | 30.79±3.082),3) | 4.97±0.502),3) | 4.02±0.402),3) |
| H-TL+ML385 | 5 | 228.79±12.404) | 45.22±4.324) | 45.22±4.324) | 16.67±1.574) | 10.04±1.004) | 8.05±0.814) |
| 1) P < 0.05 vs. Control group;2) P < 0.05 vs. NS group;3) P < 0.05 vs. L-TL group;4) P < 0.05 vs. H-TL group. | |||||||
2.2 通络兰白饮对大鼠肾组织中氧化应激的影响
结果显示,与Control组比较,NS组肾组织中MDA水平增高,SOD水平降低(P < 0.05);与NS组比较,L-TL组、H-TL组肾组织中MDA水平降低,SOD水平升高(P < 0.05);与H-TL组比较,H-TL+ML385组肾组织中MDA水平升高,SOD水平降低(P < 0.05),见表 2。
| Group | n | MDA (nmol/mg) | SOD (U/mg) |
| Control | 5 | 0.75±0.18 | 189.06±12.31 |
| NS | 5 | 1.59±0.161) | 94.35±9.521) |
| L-TL | 5 | 1.31±0.112) | 120.99±10.602) |
| H-TL | 5 | 0.80±0.102),3) | 176.84±13.372),3) |
| H-TL+ML385 | 5 | 1.42±0.154) | 116.12±9.164) |
| 1) P < 0.05 vs. Control group;2) P < 0.05 vs. NS group;3) P < 0.05 vs. L-TL group;4) P < 0.05 vs. H-TL group. | |||
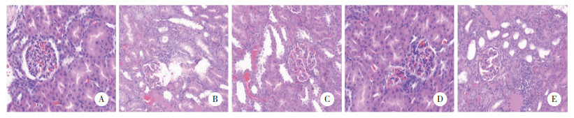
2.3 通络兰白饮对大鼠肾组织病理损伤及纤维化的影响
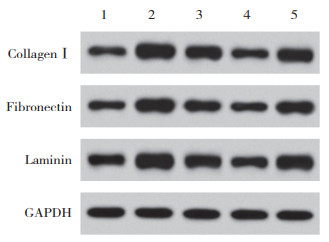
结果显示,与Control组比较,NS组肾组织中胶原蛋白Ⅰ、纤连蛋白、层粘连蛋白水平升高,肾组织损伤严重,肾小管空泡化、大量炎症细胞浸润(P < 0.05);与NS组比较,L-TL组、H-TL组肾组织中胶原蛋白Ⅰ、纤连蛋白、层粘连蛋白水平降低,肾小管空泡化等组织病理损伤减轻,炎症细胞浸润减少(P < 0.05);与H-TL组比较,H-TL+ML385组肾组织中胶原蛋白Ⅰ、纤连蛋白、层粘连蛋白水平升高,肾小管空泡化加重,炎症细胞浸润明显(P < 0.05)。见图 1、2,表 3。
|
| A, Control group; B, NS group; C, L-TL group; D, H-TL group; E, H-TL+ML385 group. 图 1 HE染色检测5组大鼠肾组织病理损伤变化×200 Fig.1 Pathological changes in renal tissue of rats among five groups detected by HE staining ×200 |
|
| 1, Control group; 2, NS group; 3, L-TL group; 4, H-TL group; 5, H-TL+ML385 group. 图 2 Western blotting检测5组大鼠肾组织中细胞外基质沉积相关蛋白表达 Fig.2 Expression of extracellular matrix deposition-related proteins in renal tissue of rats among five groups by Western blotting |
| Group | n | CollagenⅠ | Fibronectin | Laminin |
| Control | 5 | 1.00±0.10 | 0.86±0.09 | 1.20±0.14 |
| NS | 5 | 2.13±0.221) | 1.75±0.181) | 2.27±0.231) |
| L-TL | 5 | 1.82±0.182) | 1.46±0.152) | 1.95±0.212) |
| H-TL | 5 | 1.18±0.132),3) | 0.95±0.112),3) | 1.14±0.132),3) |
| H-TL+ML385 | 5 | 1.98±0.204) | 1.61±0.164) | 2.10±0.204) |
| 1) P < 0.05 vs. Control group;2) P < 0.05 vs. NS group;3) P < 0.05 vs. L-TL group;4) P < 0.05 vs. H-TL group. | ||||
2.4 通络兰白饮对大鼠肾组织中细胞凋亡的影响
结果显示,与Control组(1.01±0.11) 比较,NS组(2.16±0.22) 肾组织细胞凋亡荧光强度增加(P < 0.05);与NS组比较,L-TL组(1.88±0.19)、H-TL组(1.19±0.12) 肾组织细胞凋亡荧光强度减弱(P < 0.05);与H-TL组比较,H-TL+ML385组(1.97±0.20) 肾组织细胞凋亡荧光强度增加(P < 0.05)。见图 3。
|
| 图 3 TUNEL染色检测5组大鼠肾组织中细胞凋亡情况×400 Fig.3 Apoptosis in renal tissue of rats among five groups by TUNEL staining ×400 |
2.5 通络兰白饮对大鼠肾组织中Nrf2/HO-1/NQO1信号通路相关蛋白表达的影响
与Control组比较,NS组肾组织中Nrf2、HO-1、NQO1蛋白表达降低(P < 0.05);与NS组比较,L-TL组、H-TL组肾组织中Nrf2、HO-1、NQO1蛋白表达增高(P < 0.05);与H-TL组比较,H-TL+ML385组肾组织中Nrf2、HO-1、NQO1蛋白表达降低(P < 0.05)。见表 4、图 4。
| Group | n | Nrf2 | HO-1 | NQO1 |
| Control | 5 | 1.23±0.13 | 1.01±0.11 | 1.12±0.13 |
| NS | 5 | 0.45±0.041) | 0.49±0.051) | 0.52±0.061) |
| L-TL | 5 | 0.78±0.062) | 0.68±0.072) | 0.73±0.082) |
| H-TL | 5 | 1.20±0.122),3) | 0.98±0.102),3) | 1.07±0.112),3) |
| H-TL+ML385 | 5 | 0.62±0.064) | 0.58±0.064) | 0.60±0.054) |
| 1) P < 0.05 vs. Control group;2) P < 0.05 vs. NS group;3) P < 0.05 vs. L-TL group;4) P < 0.05 vs. H-TL group. | ||||
|
| 1, Control group; 2, NS group; 3, L-TL group; 4, H-TL group; 5, H-TL+ML385 group. 图 4 Western blotting检测5组大鼠肾组织中Nrf2、HO-1、NQO1蛋白表达 Fig.4 Expression of Nrf2, HO-1, and NQO1 proteins in renal tissue of rats among five groups by Western blotting |
3 讨论
肾纤维化是肾脏组织受到损伤后,通过纤维组织增生的方式修复损伤的结果;但细胞外基质成分的过度积累可能导致肾脏功能逐渐丧失[11]。从NS到肾纤维化进展通常是由肾组织的持续炎症和损伤驱动的,而且NS患者由于肾脏滤过膜受损,也可能增加肾脏组织损伤的风险,从而引发或加速肾纤维化的发生[12-14]。因此,NS与肾脏纤维化的发生密切相关,其机制涉及氧化应激、炎症等信号通路以及合并症的存在。
通络兰白饮是一种精心配伍的中药方剂,由黄芪、白术、太子参、菟丝子、山萸肉、枸杞子、金樱子、丹参、泽兰、老头草、丹皮、芡实、桑螵蛸、青风藤多种珍贵药材组成,每种药材都发挥着独特的作用。其中,黄芪是一种具有悠久临床应用历史的中药,作为药食用于改善和治疗各种疾病,以健脾益气。其主要成分有黄芪多糖、黄酮类化合物、皂苷类化合物、生物碱等,具有抗氧化、抗炎、免疫调节等多种药理活性[15]。代谢组学和分子对接的研究[16]表明,黄芪可以治疗Dox诱导的NS。菟丝子、枸杞子、芡实等具有补肾益精的功效[8]。此外,在各种慢性肾脏损伤中,细胞外基质的过度沉积是肾纤维化的核心病理改变[17]。本研究结果显示,通络兰白饮可以抑制氧化应激反应,减少细胞凋亡,降低细胞外基质过度沉积的相关蛋白表达,减轻肾纤维化,改善肾脏的病理损伤。因此,通络兰白饮能够增强抗氧化能力,减轻NS大鼠的肾纤维化,最终改善肾脏的病理损伤及肾功能。
当细胞或机体暴露于活性氧等有害刺激时,会触发Nrf2/HO-1/NQO1信号通路的激活。这一通路的激活有助于增加抗氧化蛋白的表达,提高细胞的抗氧化能力,从而减轻氧化应激对细胞的损伤。这一信号通路在肝/肾疾病、肿瘤、关节炎等多种疾病的发生和发展中发挥着重要作用[18-21]。众多研究[22-23]表明,通过激活Nrf2/HO-1/NQO1信号通路,能够抑制大鼠肾脏的氧化应激、炎症反应和细胞凋亡,从而减缓肾损伤。本研究结果显示,通络兰白饮能够上调Nrf2、HO-1、NQO1的表达水平,发挥抗氧化作用,减少细胞凋亡,减轻NS大鼠的肾纤维化,改善肾脏的病理损伤。进一步使用Nrf2抑制剂ML385后,Nrf2、HO-1、NQO1的表达减少,削弱了通络兰白饮的抗氧化作用,并增加了肾脏细胞的凋亡、肾纤维化及病理损伤。LU等[24]研究显示,通过增加Nrf2、HO-1、NQO1的表达,可以抑制光气诱导的大鼠肺组织中的氧化应激和炎症反应,从而改善肺泡结构及肺功能;而Nrf2抑制剂ML385可减弱上述的肺保护作用。本研究结果与以上研究类似,揭示通络兰白饮可能通过激活Nrf2/HO-1/NQO1信号通路,增强抗氧化能力,减轻NS大鼠的肾纤维化。
综上所述,通络兰白饮可能通过激活Nrf2/HO-1/NQO1信号通路,增强抗氧化能力,减轻NS大鼠的肾纤维化,最终改善肾脏的病理损伤及肾功能。本研究为通络兰白饮在肾相关疾病中的应用提供了理论依据。然而,通络兰白饮方剂是由多种中药成分组成,其相互作用及相关机制尚未明确,仍需进行深入和全面的研究论证。
| [1] |
POLITANO SA, COLBERT GB, HAMIDUZZAMAN N. Nephrotic syndrome[J]. Prim Care, 2020, 47(4): 597-613. DOI:10.1016/j.pop.2020.08.002 |
| [2] |
SOARES LR, PANTOJA JUNIOR JS, JORGE LB, et al. Nephrotic syndrome in the elderly: epidemiological aspects, clinical data, and renal biopsy findings[J]. Braz J Med Biol Res, 2022, 55: e11861. DOI:10.1590/1414-431X2022e11861 |
| [3] |
TAN N, SUN CX, ZHU HJ, et al. Baicalin attenuates adriamycin-induced nephrotic syndrome by regulating fibrosis procession and inflammatory reaction[J]. Genes Genomics, 2021, 43(9): 1011-1021. DOI:10.1007/s13258-021-01107-x |
| [4] |
HE F, RU XL, WEN T. NRF2, a transcription factor for stress response and beyond[J]. Int J Mol Sci, 2020, 21(13): 4777. DOI:10.3390/ijms21134777 |
| [5] |
WANG Y, WEI J, DENG HM, et al. The role of Nrf2 in pulmonary fibrosis: molecular mechanisms and treatment approaches[J]. Antioxidants, 2022, 11(9): 1685. DOI:10.3390/antiox11091685 |
| [6] |
WANG ZY, WANG LL, LUO JC, et al. Protection against acute renal injury by naturally occurring medicines which act through Nrf2 signaling pathway[J]. J Food Biochem, 2021, 45(1): e13556. DOI:10.1111/jfbc.13556 |
| [7] |
王柳丁, 樊雪鸣, 申伟, 等. 张允岭从"脾肾并重" 论治肌萎缩侧索硬化症经验[J]. 中医杂志, 2023, 64(20): 2067-2070. DOI:10.13288/j.11-2166/r.2023.20.004 |
| [8] |
俞成诚, 王念, 关双, 等. 已上市中成药治疗肾阳虚证的"病-症-药" 超网络分析及核心处方发现[J]. 中草药, 2023, 54(24): 8153-8164. DOI:10.7501/j.issn.0253-2670.2023.24.020 |
| [9] |
何丹, 李强, 陈少丽, 等. 五苓散调控RAS对阿霉素肾病综合征大鼠肾损伤的保护作用[J]. 中成药, 2024, 46(2): 640-643. DOI:10.3969/j.issn.1001-1528.2024.02.049 |
| [10] |
谢琼, 杜念龙, 易宏锋. 鹿茸多肽调节Nrf-2/HO-1/NF-κB信号通路减轻非酒精性脂肪肝大鼠小肠黏膜屏障损伤[J]. 中药材, 2023, 46(3): 741-746. DOI:10.13863/j.issn1001-4454.2023.03.035 |
| [11] |
HUANG RS, FU P, MA L. Kidney fibrosis: from mechanisms to therapeutic medicines[J]. Signal Transduct Target Ther, 2023, 8(1): 129. DOI:10.1038/s41392-023-01379-7 |
| [12] |
PONTICELLI C, MORONI G. Nephrotic syndrome: pathophysiology and consequences[J]. J Nephrol, 2023, 36(8): 2179-2190. DOI:10.1007/s40620-023-01697-7 |
| [13] |
YAMASHITA N, KRAMANN R. Mechanisms of kidney fibrosis and routes towards therapy[J]. Trends Endocrinol Metab, 2024, 35(1): 31-48. DOI:10.1016/j.tem.2023.09.001 |
| [14] |
王丽妍, 关毅鸣, 刁宗礼, 等. 多肽apelin通过调节去乙酰化酶Sirt3表达抑制急性肾损伤向慢性肾脏转化[J]. 中国医科大学学报, 2025, 54(4): 312-317. DOI:10.12007/j.issn.0258-4646.2025.04.005 |
| [15] |
ZHENG YJ, REN WY, ZHANG LN, et al. A review of the pharmacological action of Astragalus polysaccharide[J]. Front Pharmacol, 2020, 11: 349. DOI:10.3389/fphar.2020.00349 |
| [16] |
LI AP, CUI WB, ZHAO YR, et al. Exploration of the main effective constituent and the mechanism in Astragali Radix in the treatment for doxorubicin-induced nephropathy by integrating metabolomics and molecular docking[J]. J Ethnopharmacol, 2023, 305: 116074. DOI:10.1016/j.jep.2022.116074 |
| [17] |
TAN ZJ, SI YC, YU Y, et al. Yi-Shen-Hua-Shi granule alleviates adriamycin-induced glomerular fibrosis by suppressing the BMP2/smad signaling pathway[J]. Front Pharmacol, 2022, 13: 917428. DOI:10.3389/fphar.2022.917428 |
| [18] |
YOUNIS NS, ABDELNABY RM, MOHAMED ME. Hepatoprotective effects of linalool against liver ischemia-reperfusion: the role of Nrf2/HO-1/NQO1 and TLR4/RAGE/NFκB pathways[J]. Eur Rev Med Pharmacol Sci, 2023, 27(20): 10094-10111. DOI:10.26355/eurrev_202310_34190 |
| [19] |
LI SJ, ZHANG YY, ZHANG J, et al. Neferine exerts ferroptosis-inducing effect and antitumor effect on thyroid cancer through Nrf2/HO-1/NQO1 inhibition[J]. J Oncol, 2022, 2022: 7933775. DOI:10.1155/2022/7933775 |
| [20] |
SHEN P, HUANG Y, BA X, et al. Si Miao San attenuates inflammation and oxidative stress in rats with CIA via the modulation of the Nrf2/ARE/PTEN pathway[J]. Evid Based Complement Alternat Med, 2021, 2021: 2843623. DOI:10.1155/2021/2843623 |
| [21] |
穆盛田, 唐洁, 仲宇, 等. 乌司他丁对脂多糖诱导小鼠急性肾损伤的保护作用及其机制[J]. 中国医科大学学报, 2021, 50(4): 336-340. DOI:10.12007/j.issn.0258-4646.2021.04.010 |
| [22] |
HAO Y, MIAO J, LIU WJ, et al. Formononetin protects against cisplatin-induced acute kidney injury through activation of the PPARα/Nrf2/HO-1/NQO1 pathway[J]. Int J Mol Med, 2021, 47(2): 511-522. DOI:10.3892/ijmm.2020.4805 |
| [23] |
HU YJ, YAN ZP, HE Y, et al. Ameliorative effects of different doses of selenium against fluoride-triggered apoptosis and oxidative stress-mediated renal injury in rats through the activation of Nrf2/HO-1/NQO1 signaling pathway[J]. Food Chem Toxicol, 2023, 174: 113647. DOI:10.1016/j.fct.2023.113647 |
| [24] |
LU QY, HUANG SY, ZHAO YM, et al. Sulforaphane attenuates phosgene-induced acute lung injury via the Nrf2-HO-1/NQO1 pathway[J]. J Thorac Dis, 2024, 16(10): 6604-6615. DOI:10.21037/jtd-24-819 |
2026, Vol. 55



