文章信息
- 冯浩, 牛莹超, 于小晶, 任伊宁, 兴伟
- FENG Hao, NIU Yingchao, YU Xiaojing, REN Yining, XING Wei
- 疏肝清热方增强微波消融术对浆细胞性乳腺炎Th1/Th2细胞平衡的改善作用
- Shugan qingre decoction enhances the effect of microwave ablation on Th1/Th2 cell balance in plasma cell mastitis
- 中国医科大学学报, 2025, 54(12): 1114-1119
- Journal of China Medical University, 2025, 54(12): 1114-1119
-
文章历史
- 收稿日期:2025-01-06
- 网络出版时间:2025-12-15 12:07:03
浆细胞性乳腺炎(plasma cell mastitis,PCM)是常见的慢性非细菌性乳腺炎症,以乳腺导管扩张、导管周围炎症及浆细胞浸润为主要特征,好发于非哺乳期中年女性群体,且逐渐趋向年轻化[1-2]。目前认为PCM发病与炎性细胞因子异常升高及自身免疫功能受损相关[3-4]。研究[5]发现,辅助型T细胞(helper T cell,Th)1/Th2细胞失衡在乳腺炎发病中起关键作用。二者均由CD4+ Th0细胞分化而来,Th1细胞主要分泌γ干扰素(interferon-γ,IFN-γ)、白细胞介素(interleukin,IL)-2和肿瘤坏死因子α(tumor necrosis factor α,TNF-α)等细胞因子,Th2细胞主要分泌IL-4、IL-5和IL-13等细胞因子,Th1/Th2细胞动态平衡是维持机体正常免疫功能的重要基础[6]。
微波消融术通过热消融使病变细胞凝固坏死并被机体吸收,无需切除组织,具有安全、微创、无瘢痕等优势,已在实体肿瘤及乳腺疾病治疗中取得良好效果[7-8]。疏肝清热方由柴胡、茯苓、夏枯草等20味中药组成[9],临床研究[10]已证实其能显著改善PCM患者乳房疼痛,降低炎性细胞因子水平,且无明显不良反应。但该方剂对PCM中Th1/Th2细胞平衡的影响,以及与微波消融术联合应用是否产生增益效果,目前尚不明确。因此,本研究拟探究疏肝清热方对微波消融术改善PCM中Th1/Th2细胞平衡的影响,以期为中西医结合治疗PCM提供理论依据和实验基础。
1 材料与方法 1.1 材料 1.1.1 研究对象选取2020年1月至2023年1月河北中医药大学第一附属医院收治的100例PCM患者。纳入标准:符合PCM诊断标准;辨病辨证属肝经蕴热证型PCM;未接受中药内服治疗;近半年内未使用激素类制剂;自愿参与本研究并接受出院后随访。排除标准:心脏、肝脏、肾脏和造血系统等疾病;免疫性疾病;其他部位感染;临床病例资料缺失。,将患者随机分为对照组和试验组,每组50例。对照组平均年龄(39.87±5.27)岁,病程9~81 d,左乳28例,右乳22例。试验组平均年龄(38.87±6.22)岁,病程11~77 d,左乳26例,右乳24例。2组患者一般资料比较差异无统计学意义,具有可比性。另收集2例PCM患者手术切除的病灶组织,经超声匀浆后,取上清液,加入等体积完全弗氏佐剂混匀,制成油包乳混悬液备用。本研究已获得河北中医药大学第一附属医院伦理委员会批准(HBZY2022-KY-058-01)。所有患者知情同意。
1.1.2 实验动物50只SPF级8周龄雌性BALB/c小鼠、体重20~22 g,购自北京唯尚立德生物科技有限公司[SCXK(京)2021-0010]。小鼠饲养于室温22~25 ℃、湿度50%~55%、昼夜交替环境中,并可自由摄食饮水,适应性喂养1周后进行实验。本研究已获得河北中医药大学第一附属医院动物实验伦理委员会批准(20220827)。
1.1.3 药物疏肝清热方(柴胡、茯苓各15 g;夏枯草、八月札、白花蛇舌草、浙贝、当归、陈皮各12 g;玄参、黄药子、昆布、土茯苓、厚朴各10 g;蚤休、连翘、川芎、海藻、独活各9 g;清半夏、甘草各6 g)由河北中医药大学第一附属医院制剂室提供。
1.1.4 主要试剂HE染色试剂盒、ELISA试剂盒购自上海碧云天生物技术股份有限公司;IFN-γ、IL-2、TNF-α、IL-4、IL-5、IL-13抗体购自北京博奥森生物技术有限公司。
1.2 方法 1.2.1 PCM治疗对照组患者给予微波消融术治疗(消融功率35 W,消融范围距离病灶边缘0.5 cm);试验组患者给予疏肝清热方(每日口服1剂疏肝清热方煎剂,持续4周)联合微波消融术治疗。
1.2.2 观察指标(1)通过视觉模拟评分法(visual analogue scale,VAS)评估患者治疗前后乳房疼痛情况。VAS评分为0~10分,无痛为0分,剧痛难忍为10分,分数越高提示疼痛越严重。(2)抽取患者清晨静脉血,离心分离血清,通过全自动蛋白分析仪检测患者血清免疫球蛋白(immunoglobulin,Ig)A、IgG、IgM、补体C3、C4水平。使用ELISA试剂盒检测患者血清IFN-γ、IL-2、TNF-α、IL-4、IL-5、IL-13水平。(3)记录随访6个月内2组患者PCM复发情况。
1.2.3 临床疗效评估参照《中医病症诊断疗效标准》 [11]评估患者的临床疗效,并计算总有效率。总有效率(%)=(治愈+显效+有效)例数/总例数×100。
1.2.4 动物分组及模型制备将50只小鼠随机分为对照组、PCM组、微波消融术(MWA)组、疏肝清热方(SGQRD)组和疏肝清热方联合微波消融术(SGQRD+MWA)组,每组10只。小鼠腹腔注射戊巴比妥钠麻醉后,在第4对双侧乳腺腺叶处皮下注射PCM病灶组织混匀液50 μL,对照组小鼠注射等量生理盐水。造模1周后,MWA组、SGQRD+MWA组小鼠进行微波消融术(消融功率10 W,消融范围距离病灶边缘0.5 cm);SGQRD组、SGQRD+MWA组小鼠每日灌服0.5 mL疏肝清热方煎剂(43.5 g/kg);对照组、PCM组小鼠灌服等量生理盐水。连续灌胃4周后,留取小鼠腹主动脉血,随后断颈处死,收集双侧乳腺组织备用。
1.2.5 指标检测取小鼠腹主动脉血,离心分离血清,通过全自动蛋白分析仪检测血清IgA、IgG、IgM、C3、C4水平。用ELISA试剂盒检测血清IFN-γ、IL-2、TNF-α、IL-4、IL-5、IL-13水平。通过HE染色检测乳腺组织病理损伤。通过Western blotting检测乳腺组织IFN-γ、IL-2、TNF-α、IL-4、IL-5、IL-13蛋白表达。
1.3 统计学分析采用GraphPad Prism 5.0软件进行统计学分析。计数资料用率(%)表示,多组间比较采用χ2检验。计量资料用x±s表示,多组间比较采用单因素方差分析,组间两两比较采用LSD-t检验。P < 0.05为差异有统计学意义。
2 结果 2.1 各组患者乳房疼痛VAS评分和临床疗效的比较与治疗前相比,治疗后2组患者乳房疼痛VAS评分降低[对照组治疗前(7.42±1.05)分,治疗后(4.22±0.46)分,P < 0.001;试验组治疗前(7.30±0.93)分,治疗后(2.10±0.36)分,P < 0.001],且治疗组VAS评分明显低于对照组(P < 0.001)。
治疗后,对照组和试验组中,分别治愈22例(44%)和25例(50%),显效10例(20%)和12例(24%),有效9例(18%)和11例(22%),无效9例(18%)和2例(4%)。试验组总有效率高于对照组(96% vs. 82%,P < 0.05)。
2.2 各组患者Ig及补体水平的比较检测结果显示,与治疗前相比,治疗后2组患者血清IgA、IgG、IgM、C3、C4水平降低(P < 0.05);且治疗后试验组血清IgA、IgG、IgM、C3、C4水平低于对照组(P < 0.05)。见表 1。
| Group | IgA | IgG | IgM | C3 | C4 |
| Control | |||||
| Before treatment | 4.23±0.61 | 18.24±1.27 | 6.35±1.10 | 1.82±0.08 | 0.78±0.08 |
| After treatment | 2.74±0.421) | 10.34±1.151) | 4.22±0.741) | 1.25±0.071) | 0.51±0.061) |
| Test | |||||
| Before treatment | 4.16±0.55 | 18.53±1.39 | 6.47±1.18 | 1.86±0.09 | 0.83±0.07 |
| After treatment | 2.01±0.431),2) | 7.32±1.001),2) | 3.10±0.621),2) | 0.88±0.071),2) | 0.33±0.051),2) |
| 1)P < 0.05 vs. before treatment;2)P < 0.05 vs. control group. | |||||
2.3 各组患者Th1/Th2型细胞因子水平的比较
ELISA检测结果显示,与治疗前相比,治疗后2组患者血清IFN-γ、IL-2、TNF-α水平降低,IL-4、IL-5、IL-13水平升高(P < 0.05);且试验组血清IFN-γ、IL-2、TNF-α水平低于对照组,IL-4、IL-5、IL-13水平高于对照组(P < 0.05)。见表 2。
| Group | IFN-γ | IL-2 | TNF-α | IL-4 | IL-5 | IL-13 |
| Control | ||||||
| Before treatment | 123.13±11.34 | 70.32±7.51 | 85.36±6.68 | 36.25±6.48 | 53.13±7.72 | 23.14±6.08 |
| After treatment | 76.25±10.191) | 47.14±5.321) | 53.25±5.511) | 83.15±11.681) | 143.14±18.411) | 52.32±9.511) |
| Test | ||||||
| Before treatment | 126.25±16.49 | 72.24±6.61 | 91.25±8.51 | 40.26±7.50 | 45.36±7.39 | 26.14±5.41 |
| After treatment | 40.24±7.241),2) | 28.14±4.411),2) | 22.13±5.611),2) | 126.24±16.741),2) | 172.31±22.281),2) | 70.25±8.611),2) |
| 1)P < 0.05 vs. before treatment;2)P < 0.05 vs. control group. | ||||||
2.4 各组小鼠乳腺病理损伤情况的比较
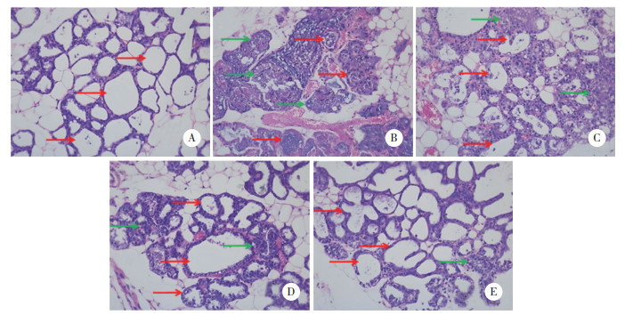
HE染色结果显示,对照组小鼠乳腺小叶结构完整,未见明显炎症细胞浸润。PCM组小鼠乳腺小叶结构紊乱,乳腺腺泡数量减少,存在大量炎症细胞浸润。MWA组、SGQRD组、SGQRD+MWA组小鼠乳腺损伤减轻,乳腺腺泡数量增多,存在少量炎症细胞浸润;且SGQRD+MWA组乳腺损伤程度低于MWA组、SGQRD组。见图 1。
|
| A, control group; B, PCM group; C, MWA group; D, SGQRD group; E, SGQRD+MWA group. The red arrows indicate mammary gland acini, and the green arrows indicate inflammatory cells. 图 1 各组小鼠乳腺损伤情况 HE×400 Fig.1 The mammary gland injury of mice in each group HE×400 |
2.5 各组小鼠Ig及补体水平的比较
检测结果显示,与对照组相比,PCM组小鼠血清IgA、IgG、IgM、C3、C4水平升高(P < 0.05);与PCM组相比,MWA组、SGQRD组、SGQRD+MWA组小鼠血清IgA、IgG、IgM、C3、C4水平降低;且SGQRD+MWA组血清IgA、IgG、IgM、C3、C4水平低于MWA组、SGQRD组(P < 0.05)。见图 2。
|
| A, immunoglobulin; B, complements. *P < 0.05 vs. control group; #P < 0.05 vs. PCM group; & P < 0.05 vs. MWA group; ΔP < 0.05 vs. SGQRD group. 图 2 各组小鼠免疫球蛋白及补体水平比较 Fig.2 Comparison of the immunoglobulin and complement levels of mice in each group |
2.6 各组小鼠Th1/Th2型细胞因子水平的比较
ELISA、Western blotting检测结果显示,与对照组相比,PCM组小鼠血清和乳腺组织IFN-γ、IL-2、TNF-α水平升高,IL-4、IL-5、IL-13水平降低(P < 0.05);与PCM组相比,MWA组、SGQRD组、SGQRD+MWA组小鼠血清和乳腺组织IFN-γ、IL-2、TNF-α水平降低,IL-4、IL-5、IL-13水平升高(P < 0.05);且SGQRD+MWA组血清和乳腺组织IFN-γ、IL-2、TNF-α水平低于MWA组、SGQRD组,IL-4、IL-5、IL-13水平高于MWA组、SGQRD组(P < 0.05)。见图 3。
|
| A, serum; B, breast tissue. *P < 0.05 vs. control group; #P < 0.05 vs. PCM group; & P < 0.05 vs. MWA group; ΔP < 0.05 vs. SGQRD group. 图 3 各组小鼠血清和乳腺组织Th1/Th2型细胞因子水平比较 Fig.3 Comparison of Th1/Th2 cytokine levels in serum and breast tissue of mice in each group |
3 讨论
PCM病因尚未完全明确,细菌感染、乳腺导管排泄障碍、自身免疫功能异常等因素可能共同诱导PCM发生[12]。微波消融术在消融病变组织的同时,能够最大程度地保留乳房,并降低术后复发率,在PCM治疗中已取得了良好的效果[13]。但其治疗PCM的相关机制尚不明确。
疏肝清热方不仅能够有效缓解PCM患者乳房疼痛,还能降低患者炎症水平和复发率[14]。但疏肝清热方对PCM中Th1/Th2细胞平衡的影响尚不清楚,能否增强微波消融术对PCM的疗效尚待明确。研究[15]证实,PCM患者持续炎症状态可刺激机体IgA、IgG和IgM水平升高,IgM又能引起C3、C4水平上升;而降低IgA、IgG、IgM、C3、C4水平能够有效缓解免疫损伤。本研究也发现治疗后2组PCM患者乳房疼痛减轻,血清IgA、IgG、IgM及补体(C3、C4)水平降低,且微波消融术联合疏肝清热方治疗的效果优于单独微波消融术治疗,说明在微波消融术基础上应用疏肝清热方能有效缓解乳房疼痛,改善机体免疫功能。此外,本研究在PCM小鼠中也证实了联合治疗能有效改善乳腺损伤。
Th1/Th2细胞能够介导局部炎症相关的免疫反应[16]。Th1/Th2细胞通过分泌相应细胞因子参与免疫应答。IFN-γ、IL-2、TNF-α是由Th1细胞分泌的促炎性细胞因子,其活性可直接影响局部组织免疫平衡;IL-4、IL-5、IL-13是由Th2细胞分泌的具有抗炎及免疫抑制功能的细胞因子,能够促进Th0细胞向Th2细胞分化,并抑制Th1细胞活化及其分泌的细胞因子水平[17]。已有研究发现,PCM组织中Th1/Th2细胞平衡向Th1方向偏移,且随着PCM进展,IL-2表达水平升高,IL-4表达水平降低[18];而调节Th1/Th2细胞平衡能够减轻PCM大鼠乳腺损伤[19]。上述研究表明,Th1/Th2细胞平衡及其细胞因子表达在PCM中发挥重要作用。本研究同样发现治疗后2组患者血清Th1型细胞因子IFN-γ、IL-2、TNF-α水平降低,Th2型细胞因子IL-4、IL-5、IL-13水平升高,且联合治疗的效果优于单独微波消融术治疗,提示疏肝清热方能够增强微波消融术对Th1/Th2细胞平衡的调节作用。此外,在PCM小鼠中的研究结果也显示联合治疗能够促进Th1/Th2细胞平衡恢复。
综上所述,疏肝清热方能够增强微波消融术对PCM中Th1/Th2细胞平衡的改善作用,这不仅为优化PCM临床治疗方案、提高疗效与减少复发提供了依据,也为中西医协同干预免疫相关性乳腺疾病的转化研究开辟了新方向。
| [1] |
KANG W, ZHANG XJ. Inflammatory breast cancer was misdiagnosed as plasma cell mastitis: a case report[J]. Asian J Surg, 2023, 46(2): 1153-1154. DOI:10.1016/j.asjsur.2022.08.020 |
| [2] |
ZHENG Y, WANG L, HAN X, et al. Combining contrast-enhanced ultrasound and blood cell analysis to improve diagnostic accuracy of plasma cell mastitis[J]. Exp Biol Med, 2022, 247(2): 97-105. DOI:10.1177/15353702211049361 |
| [3] |
赵赟, 武海明, 谷志海, 等. 温阳活血法治疗早期浆细胞性乳腺炎疗效及对免疫功能的影响[J]. 中国中西医结合外科杂志, 2023, 29(6): 777-782. DOI:10.3969/j.issn.1007-6948.2023.06.010 |
| [4] |
LIU CG, YU H, CHEN GL, et al. An herbal drug combination identified by knowledge graph alleviates the clinical symptoms of plasma cell mastitis patients: a nonrandomized controlled trial[J]. eLife, 2023, 12: e84414. DOI:10.7554/eLife.84414 |
| [5] |
ZHAO J, JI HY, WANG XH, et al. Association of nonpuerperal mastitis with cytokines related to helper T Cells TH1/TH2 and TH17/Treg[J]. Altern Ther Health Med, 2023, 29(8): 150-155. |
| [6] |
黄立敬, 陈子聪, 杨春春, 等. CXCR3抑制剂对小鼠类风湿关节炎的治疗作用及机制[J]. 中国医科大学学报, 2025, 54(9): 796-801. DOI:10.12007/j.issn.0258-4646.2025.09.006 |
| [7] |
PFANNENSTIEL A, IANNUCCILLI J, CORNELIS FH, et al. Shaping the future of microwave tumor ablation: a new direction in precision and control of device performance[J]. Int J Hyperthermia, 2022, 39(1): 664-674. DOI:10.1080/02656736.2021.1991012 |
| [8] |
ZHANG JF, LI H, LIN LS, et al. Ultrasound-guided microwave ablation for multiple benign breast lesions: a prospective study[J]. J Obstet Gynaecol Res, 2021, 47(9): 3362-3369. DOI:10.1111/jog.14823 |
| [9] |
吴雷娟, 严务倩, 刘菲, 等. 疏肝清热化瘀方联合盾构切开术治疗浆细胞性乳腺炎54例[J]. 浙江中医杂志, 2022, 57(4): 293. DOI:10.13633/j.cnki.zjtcm.2022.04.033 |
| [10] |
丁嫦英, 冯辉珍, 余秋燕. 疏肝清热化瘀方联合地塞米松对浆细胞性乳腺炎患者炎症细胞因子和乳房疼痛的影响[J]. 中国妇幼保健, 2024, 39(5): 781-785. DOI:10.19829/j.zgfybj.issn.1001-4411.2024.05.002 |
| [11] |
国家中医药管理局. 中医病证诊断疗效标准[M]. 南京: 南京大学出版社, 1994: 132-133.
|
| [12] |
HU J, HUANG XL. Combining ultrasonography and mammography to improve diagnostic accuracy of plasma cell mastitis[J]. J Xray Sci Technol, 2020, 28(3): 555-561. DOI:10.3233/XST-190607 |
| [13] |
ZHOU Y, XU ZF, XING W, et al. Comparative study of ultrasound-guided microwave ablation and traditional surgery in the treatment of plasma cell mastitis: a multicenter study[J]. Quant Imaging Med Surg, 2023, 13(3): 1838-1848. DOI:10.21037/qims-21-1132 |
| [14] |
牛莹超, 任伊宁, 兴伟. 疏肝清热方联合微创清创法治疗浆细胞性乳腺炎肝经郁热证临床研究[J]. 陕西中医, 2024, 45(3): 349-353. DOI:10.3969/j.issn.1000-7369.2024.03.013 |
| [15] |
张允申, 刘海红, 方勇, 等. 疏肝解毒汤治疗浆细胞乳腺炎疗效及对炎症因子和免疫功能的影响[J]. 中华中医药杂志, 2021, 36(6): 3732-3735. |
| [16] |
WANG K, CAO XM, YANG L, et al. Modulating Th1/Th2 drift in asthma-related immune inflammation by enhancing bone mesenchymal stem cell homing through targeted inhibition of the Notch1/Jagged1 signaling pathway[J]. Int Immunopharmacol, 2024, 130: 111713. DOI:10.1016/j.intimp.2024.111713 |
| [17] |
PETER J, SABU V, ASWATHY IS, et al. Dietary amaranths modulate the immune response via balancing Th1/Th2 and Th17/Treg response in collagen-induced arthritis[J]. Mol Cell Biochem, 2020, 472(1/2): 57-66. DOI:10.1007/s11010-020-03783-x |
| [18] |
孙厚启. IL-2、IL-4在浆细胞性乳腺炎组织中的表达及意义[D]. 石河子: 石河子大学, 2015.
|
| [19] |
郑丽, 杨斌, 张晓军, 等. 消痈散结汤对浆细胞性乳腺炎模型大鼠Th1/Th2细胞因子平衡及上皮连接蛋白表达的影响[J]. 世界中西医结合杂志, 2023, 18(2): 277-281, 288. DOI:10.13935/j.cnki.sjzx.230211 |
2025, Vol. 54



