文章信息
- 刘艳艳, 孙颖川
- LIU Yanyan, SUN Yingchuan
- TIPE2通过调控MHCⅠ类分子增强CD8+ T细胞对肺癌细胞的杀伤作用
- TIPE2 enhances the killing function of CD8+ T cells against lung cancer cells by regulating MHC class Ⅰ molecules
- 中国医科大学学报, 2025, 54(12): 1088-1093
- Journal of China Medical University, 2025, 54(12): 1088-1093
-
文章历史
- 收稿日期:2024-11-01
- 网络出版时间:2025-12-15 13:48:07
2. 许昌市中心医院肿瘤内科,河南 许昌 461000
2. Department of Medical Oncology, Xuchang Central Hospital, Xuchang 461000, China
肺癌是全球发病率和死亡率最高的癌症,占所有癌症总发病率的11.4%和死亡病例的18.0%[1]。终末期肺癌临床疗效有限,且容易出现耐药[2]。目前,肿瘤免疫疗法已成为研究热点。肿瘤可通过免疫检查点抑制免疫细胞的杀伤功能,实现免疫逃逸[3]。而免疫检查点抑制剂则通过阻断其与免疫细胞的相互作用,恢复T细胞功能并维持抗肿瘤免疫应答,实现抗肿瘤免疫治疗的目的[4]。主要组织相容性复合体(major histocompatibility complex,MHC)Ⅰ类分子是细胞免疫应答的重要分子,能将细胞内源性抗原肽呈递给CD8+ T细胞,激活其细胞毒作用,清除感染或恶变细胞[5]。但许多恶性肿瘤细胞中MHC Ⅰ表达下调或缺失,成为免疫逃逸的方式之一 [6]。因此,恢复MHC Ⅰ表达可能有助于提高免疫治疗的效果。
肿瘤坏死因子α诱导蛋白8样因子2(tumor necrosis factor α-induced protein-8-like factor 2,TIPE2)为TIPE家族成员,参与细胞凋亡、炎症和免疫稳态的调控,在包括肺癌在内的多种肿瘤中表达下调[7]。研究[8]发现,TIPE2过表达可促进T细胞和NK细胞介导的抗肿瘤免疫反应,抑制肿瘤的发展和转移。但其在肺癌中的免疫调控机制尚未明确。本研究通过构建TIPE2过表达的人肺癌细胞系A549并与CD8+ T细胞共培养,探讨TIPE2对MHC Ⅰ表达及CD8+ T细胞介导杀伤作用的影响及其分子机制。
1 材料与方法 1.1 主要材料与试剂人肺癌细胞系A549购自武汉益普生物科技有限公司,胎牛血清购于浙江天杭生物科技公司,DMEM培养基购自美国Corning公司,LV-TIPE2及阴性对照LV-NC慢病毒由江苏金斯瑞生物科技有限公司构建,TRIzol试剂盒购自南京诺唯赞生物科技公司,Quant cDNA第一链合成试剂盒和Talent荧光定量检测试剂盒购自天根生化科技(北京)有限公司,RIPA裂解液购自上海吉至生化科技有限公司,BCA蛋白浓度定量试剂盒购自北京百奥莱博科技有限公司,PVDF膜购自美国Millipore公司,ECL购自广州博鹭腾生物科技有限公司,TritonX-100和γ干扰素(interferon-γ,INF-γ)、肿瘤坏死因子α(tumor necrosis factor α,TNF‐α)ELISA试剂盒购自上海酶联生物科技有限公司,DAPI和MTT试剂盒购自北京索莱宝科技有限公司,外周血单核细胞分离试剂盒购自上海吉至生化科技有限公司,CD8磁珠抗体购自美国Proteintech公司,Annexin V-FITC/PI检测试剂盒购自沈阳万类生物科技有限公司。TIPE2抗体、MHC Ⅰ抗体及山羊抗兔IgG抗体购自英国abcam公司,CD8抗体购自美国eBioscience公司。
1.2 方法 1.2.1 肺癌细胞培养与转染在A549细胞中添加含10%胎牛血清的DMEM培养基,于37 ℃、5%CO2培养箱中常规培养。待其生长到80%左右,以2×105/孔接种至24孔板,第2天,在每孔中加入LV-NC、LV-TIPE2慢病毒液(感染复数=20),分别记为LV-NC组、LV-TIPE2组,以未转染的A549细胞作为对照组。12 h后更换为新鲜培养基,继续培养72 h后用嘌呤霉素进行筛选。通过实时定量PCR和Western blotting验证细胞是否过表达TIPE2。
1.2.2 实时定量PCR检测肺癌细胞中TIPE2 mRNA表达取未感染和感染LV-NC、LV-TIPE2后的A549细胞,采用TRIzol法从细胞中分离总RNA,测定其浓度和纯度。按照反转录试剂盒说明书操作合成cDNA。Oligo 7.60软件设计引物序列如下:TIPE2,正向5’-ACTGAGTAAGATGGCGGGTCG-3’,反向5’-TTCTGGCGAAAGCGGGTAG-3’;β-actin,正向5’-CATGTACGTTGCTATCCAGGC-3’,反向5’-CTCCTTAATGTCACGCACGAT-3’。采用Talent荧光定量检测试剂盒进行实时定量PCR,配制反应体系:2×Talent qPCR PreMix12.5 μL、上下游引物各0.75 μL、cDNA模板1 μL、50×ROX Reference Dye 0.5 μL、无酶水补足25 μL,在ABI 7500 FAST系统上设置两步法反应程序:95 ℃ 3 min;95 ℃ 5 s,60 ℃ 15 s(40个循环)。以β-actin为内参,采用2-ΔΔCt法计算TIPE2 mRNA的相对表达量。
1.2.3 Western blotting检测肺癌细胞中TIPE2、MHC Ⅰ蛋白表达在未转染及转染LV-NC、LV-TIPE2的A549细胞中加入RIPA,分离总蛋白,BCA法测定浓度。蛋白加热变性,取40 μg经电泳分离蛋白,转PVDF膜,用5%脱脂奶粉封闭2 h,加入兔抗TIPE2多克隆抗体(1∶1 000)、兔抗MHC Ⅰ多克隆抗体(1∶1 000),4 ℃摇床孵育过夜。加入抗生素标记的山羊抗兔IgG抗体(1∶5 000),室温摇床孵育1 h,ECL显色,观察蛋白条带,ImageJ软件分析条带灰度值,以GAPDH为内参对目的蛋白灰度值进行量化。
1.2.4 细胞免疫荧光染色观察肺癌细胞中MHC Ⅰ表达未转染及转染LV-NC、LV-TIPE2后的A549细胞进行爬片,4%多聚甲醛覆盖固定后,0.5%TritonX-100渗透10 min,浸入10%山羊血清中封闭1 h。配置一抗,滴加兔抗MHC Ⅰ多克隆抗体(1∶200)覆盖细胞,锡纸包裹后于4℃孵育过夜。配置荧光二抗,滴加Alexa Fluor标记山羊抗兔IgG抗体(1∶500),室温孵育1 h,DAPI染核,抗荧光淬灭剂封片,晾干,荧光共聚焦显微镜观察着色情况并拍照。
1.2.5 CD8+ T细胞分离与鉴定经患者知情同意,且经许昌市中心医院伦理委员会审核批准,抽取在许昌市中心医院进行体检的健康志愿者外周血15 mL,放入含肝素的离心管内,加入Ficoll分离液提取外周血单核细胞。调整细胞密度至1×107/mL,吸取80 μL悬液,并加20 μL CD8磁珠抗体,混匀后4℃孵育15 min,PBS洗去未结合的磁珠抗体,流式缓冲液重悬细胞。将分选柱置于磁铁上,PBS洗润分选柱,将细胞悬液过柱,重复3遍,取下分选柱,加PBS后立即推出分选柱内液体并收集。取1×105个细胞置于流式管内,分别加入5 µL FITC标记的CD8抗体及同型对照抗体,室温孵育15 min,PBS清洗后重悬,流式细胞仪检测CD8+ T细胞表达情况。
1.2.6 肺癌细胞与CD8+ T细胞共培养及肿瘤杀伤效果测定将未转染及转染LV-NC、LV-TIPE2慢病毒的A549细胞分别与CD8+ T细胞进行共培养,记为CD8+ T+A549组、CD8+ T+LV-NC-A549组、CD8+ T+LV-TIPE2-A549组。以CD8+ T细胞分别作为效应细胞,A549细胞作为靶细胞,依次按照效靶细胞10∶1、20∶1、30∶1的比例加入到96孔培养板内,共培养18 h后,按照MTT试剂盒说明书,测定各孔吸光度值,确定CD8+ T细胞对肺癌细胞的杀伤效果。
1.2.7 Annexin V-FITC/PI双染法检测肺癌细胞凋亡收集CD8+ T+A549组、CD8+ T+LV-NC-A549组及CD8+ T+LV-TIPE2-A549组的A549细胞,用PBS洗涤,胰蛋白酶消化,吸取100 μL细胞悬液置于流式管,依次加入5 μL Annexin V-FITC与PI,混匀,避光孵育15 min,用流式细胞仪检测细胞凋亡水平。
1.2.8 ELISA检测共培养后上清液中IFN-γ和TNF‐α的分泌水平收集CD8+ T+A549组、CD8+ T+LV-NC-A549组及CD8+ T+LV-TIPE2-A549组的细胞培养上清液,ELISA法测定上清液中INF‐γ、TNF‐α含量,按照试剂盒说明书操作,并测定吸光度值,根据标准曲线计算INF‐γ和TNF‐α含量。
1.3 统计学分析采用SPSS 23.0软件对数据进行统计分析,计量资料以x±s表示。多组间数据比较用单因素方差分析,组间两两比较用LSD-t检验。采用GraphPad 8.0软件制图。P<0.05为差异有统计学意义。
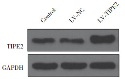
2 结果 2.1 3组肺癌细胞中TIPE2表达比较实时定量PCR结果显示,与对照组(1.00±0.04)和LV-NC组(0.97±0.08)比较,LV-TIPE2组TIPE2 mRNA相对表达量(3.52±0.36)显著上调(P<0.05);Western blotting结果显示,与对照组(0.43±0.03)和LV-NC组(0.40±0.04)比较,LV-TIPE2组TIPE2蛋白相对表达量(1.15±0.13)显著上调(P<0.05)。见图 1。
|
| 图 1 3组A549细胞中TIPE2蛋白表达 Fig.1 TIPE2 protein expression in A549 cells among three groups |
2.2 3组肺癌细胞中MHC Ⅰ表达比较
Western blotting检测结果显示,与对照组(0.39±0.04)、LV-NC组(0.40±0.03)比较,LV-TIPE2组MHC Ⅰ蛋白相对表达量(1.18±0.12)显著上调(P<0.05)。见图 2。
|
| 图 2 3组A549细胞中MHC Ⅰ蛋白表达 Fig.2 MHC Ⅰ protein expression in A549 cells among three groups |
细胞免疫荧光染色显示,与对照组和LV-NC组比较,LV-TIPE2组A549细胞表面MHC Ⅰ荧光强度明显增强。见图 3。
|
| 图 3 细胞免疫荧光染色观察3组A549细胞中MHC Ⅰ表达 ×100 Fig.3 Immunofluorescence staining of MHC Ⅰ in A549 cells among three groups ×100 |
2.3 CD8+ T细胞鉴定结果
流式细胞术检测结果显示,磁珠分选的CD8+ T细胞阳性率 > 90.0%。见图 4。
|
| 图 4 CD8+ T细胞鉴定结果 Fig.4 Identification of CD8+ T cells |
2.4 TIPE2对CD8+ T细胞杀伤肺癌细胞的影响
CD8+ T细胞对A549细胞杀伤能力检测结果显示,在同一效靶比(10∶1、20∶1、30∶1)下,CD8+ T+LV-TIPE2-A549组CD8+ T细胞对A549细胞的杀伤率显著高于CD8+ T+A549组和CD8+ T+LV-NC-A549组(P<0.05)。见图 5。
|
| *P < 0.05 vs. CD8+ T+A549 group; #P < 0.05 vs. CD8+ T+LV-NC-A549 group. 图 5 CD8+ T细胞对A549细胞的杀伤率 Fig.5 Killing rate of A549 cells by CD8+ T cells |
流式细胞术检测结果显示,与CD8+ T+A549组(10.81%±1.07%)和CD8+ T+LV-NC-A549组(12.64%±1.21%)比较,CD8+ T+LV-TIPE2-A549组A549细胞凋亡率(33.63%±3.48%)显著增加(P<0.05)。见图 6。
|
| 图 6 各组共培养体系A549细胞凋亡率 Fig.6 Apoptosis rate of A549 cells in each co-culture system |
ELISA检测结果显示,与CD8+ T+A549组(115.67pg/mL±12.03 pg/mL、142.72 pg/mL±14.66 pg/mL)和CD8+ T+LV-NC-A549组(117.30 pg/mL±12.34 pg/mL、144.09 pg/mL±15.16 pg/mL)比较,CD8+ T+LV-TIPE2-A549组上清液中IFN-γ(175.54 pg/mL±18.02 pg/mL)和TNF‐α(198.78 pg/mL±20.46 pg/mL)含量显著增加(均P<0.05)。
3 讨论在癌症进展过程中,肿瘤细胞可通过多种机制逃避免疫监视,其中免疫检查点抑制信号通路是关键途径之一。阻断免疫检查点可增强免疫系统识别和攻击肿瘤细胞的能力,目前程序性细胞死亡蛋白1(programmed cell death protein 1,PD-1)/程序性细胞死亡配体1(programmed cell death ligand 1,PD-L1)和细胞毒性T淋巴细胞相关抗原4(cytotoxic T lymphocyte-associated antigen 4,CTLA-4)抑制剂已被批准用于晚期肺癌治疗[9]。然而,受益患者有限且伴有免疫相关不良反应。研究[10]表明,肿瘤微环境中免疫细胞与肿瘤细胞之间的动态串扰决定了免疫状态,从而影响免疫检查点抑制剂的疗效。CD8+ T细胞通过识别MHC Ⅰ类分子呈递的肿瘤抗原,在抗肿瘤免疫中发挥关键作用,其杀伤功能的维持或增强是当前研究的重点。
TIPE2在多种肿瘤中表现异常,并具有重要的免疫调控作用。下咽鳞状细胞癌中TIPE2低表达与患者不良预后相关,过表达其可抑制细胞增殖和迁移并促进凋亡[11]。胰腺癌相关研究[12]显示,TIPE2在早期表达升高但随肿瘤进展而下降,其过表达能下调Survivin表达、激活半胱氨酸蛋白酶3/7,抑制细胞增殖并促进凋亡。TIPE2作为免疫稳态的调节因子,在免疫细胞中同样发挥重要作用。研究[13]表明NK细胞中TIPE2缺失不仅能增强NK细胞自身的抗肿瘤活性,还可以间接提升CD8+ T细胞活性及功能。ZHANG等 [8]研究发现,在乳腺癌细胞中过表达TIPE2不仅抑制乳腺癌的生长和转移,还能增加CD8+ T细胞和NK细胞数量,并增强其毒性功能。FENG等[14]报道,TIPE2通过抑制转化生长因子β1(transforming growth factor β1,TGF-β1)相关通路抑制胰腺癌增殖和转移,并通过促进T细胞活化来发挥抗肿瘤作用。本研究同样发现,在A549细胞中过表达TIPE2后再与CD8+ T细胞共培养,CD8+ T细胞对A549细胞的杀伤作用增强,A549细胞凋亡率增加,促进CD8+ T细胞分泌IFN-γ和TNF-α,提示在肺癌微环境中提高TIPE2表达能够增强CD8+ T细胞的杀伤作用。
CD8+ T细胞的有效激活依赖于肿瘤抗原的呈递,抗原缺失或呈递障碍是导致免疫应答失败的重要原因。肿瘤发生早期,MHC Ⅰ类分子可将抗原递呈至细胞表面,介导CD8+ T细胞识别并发挥细胞毒作用;但在肿瘤进展过程中,MHC Ⅰ类分子表达减少,抗原呈递功能受损,从而削弱CD8+ T细胞的识别与杀伤能力,促进肿瘤免疫逃逸。已有研究[15]表明,干预特定信号通路可恢复MHC Ⅰ类分子表达并增强免疫效应,如抑制PIKfyve脂质激酶可通过阻断自噬通量上调MHC Ⅰ表达,增强CD8+ T细胞杀伤力;组蛋白乙酰转移酶p300/CBP和核因子κB(nuclear factor κB,NF-κB)的激活也可促进MHC Ⅰ表达和抗原呈递,激活CD8+ T细胞并增强化疗药物对肿瘤细胞的毒性作用[16]。本研究结果显示,在A549细胞中过表达TIPE2可增加MHC Ⅰ蛋白表达和细胞表面荧光强度,结合其对CD8+ T细胞杀伤A549细胞的促进作用,提示TIPE2可能通过促进MHC Ⅰ表达增强CD8+ T细胞的抗肿瘤功能。
综上所述,在肺癌细胞中过表达TIPE2能够上调MHC Ⅰ表达,增强CD8+ T细胞介导的杀伤作用,从而抑制肺癌的发生与进展,提示TIPE2可能成为肺癌免疫治疗的新靶点。然而,本研究结果仍需在动物模型中进一步验证,并深入探索TIPE2调控MHC Ⅰ表达的具体分子机制,为肺癌免疫治疗提供理论依据和新思路。
| [1] |
SUNG H, FERLAY J, SIEGEL RL, et al. Global cancer statistics 2020:globocan estimates of incidence and mortality worldwide for 36 cancers in 185 countries[J]. CA Cancer J Clin, 2021, 71(3): 209-249. DOI:10.3322/caac.21660 |
| [2] |
FERRARI V, HELISSEY C. Revolutionizing localized lung cancer treatment: neoadjuvant chemotherapy plus immunotherapy for all?[J]. J Clin Med, 2024, 13(9): 2715. DOI:10.3390/jcm13092715 |
| [3] |
CARUSO B, MORAN AE. Thymic expression of immune checkpoint molecules and their implication for response to immunotherapies[J]. Trends Cancer, 2023, 9(8): 666-678. DOI:10.1016/j.trecan.2023.04.007 |
| [4] |
LIANG Y, WANG LL, MA PJ, et al. Enhancing anti-tumor immune responses through combination therapies: epigenetic drugs and immune checkpoint inhibitors[J]. Front Immunol, 2023, 14: 1308264. DOI:10.3389/fimmu.2023.1308264 |
| [5] |
JONGSMA MLM, GUARDA G, SPAAPEN RM. The regulatory network behind MHC class Ⅰ expression[J]. Mol Immunol, 2019, 113: 16-21. DOI:10.1016/j.molimm.2017.12.005 |
| [6] |
SARI G, ROCK KL. Tumor immune evasion through loss of MHC class-Ⅰ antigen presentation[J]. Curr Opin Immunol, 2023, 83: 102329. DOI:10.1016/j.coi.2023.102329 |
| [7] |
齐宏峰, 刘金香, 庞大斌, 等. TIPE2、TGF-β1在非小细胞肺癌中的表达和意义[J]. 医学信息, 2023, 36(20): 109-112. DOI:10.3969/j.issn.1006-1959.2023.20.020 |
| [8] |
ZHANG ZH, LIU L, CAO SS, et al. Gene delivery of TIPE2 inhibits breast cancer development and metastasis via CD8+ T and NK cell-mediated antitumor responses[J]. Mol Immunol, 2017, 85: 230-237. DOI:10.1016/j.molimm.2017.03.007 |
| [9] |
孙彦顺, 王陵, 姜诗瑶, 等. 基于真实世界的肿瘤免疫治疗药物PD-1/PD-L1抑制剂使用情况分析[J]. 中国医科大学学报, 2023, 52(9): 769-774. DOI:10.12007/j.issn.0258-4646.2023.09.001 |
| [10] |
MAO XQ, XU J, WANG W, et al. Crosstalk between cancer-associated fibroblasts and immune cells in the tumor microenvironment: new findings and future perspectives[J]. Mol Cancer, 2021, 20(1): 131. DOI:10.1186/s12943-021-01428-1 |
| [11] |
YANG XQ, ZHANG MF, SU TD, et al. TIPE2 inhibits migration and promotes apoptosis as a tumor suppressor in hypopharyngeal carcinoma[J]. Curr Protein Pept Sci, 2022, 23(6): 424-436. DOI:10.2174/1389203723666220727090317 |
| [12] |
SUN YQ, CAO SG, LI ZQ, et al. A novel prognostic factor TIPE2 inhibits cell proliferation and promotes apoptosis in pancreatic ductal adenocarcinoma (PDAC)[J]. Int J Med Sci, 2021, 18(9): 2051-2062. DOI:10.7150/ijms.51497 |
| [13] |
BI JC, JIN XM, ZHENG CY, et al. Checkpoint TIPE2 limits the helper functions of NK cells in supporting antitumor CD8+ T cells[J]. Adv Sci (Weinh), 2023, 10(12): e2207499. DOI:10.1002/advs.202207499 |
| [14] |
FENG F, LIU CL, BIAN HH, et al. TIPE2 suppresses malignancy of pancreatic cancer through inhibiting TGFβ1 mediated signaling pathway[J]. Front Oncol, 2021, 11: 680985. DOI:10.3389/fonc.2021.680985 |
| [15] |
BAO Y, QIAO YY, CHOI JE, et al. Targeting the lipid kinase PIK-fyve upregulates surface expression of MHC class Ⅰ to augment cancer immunotherapy[J]. Proc Natl Acad Sci USA, 2023, 120(49): e2314416120. DOI:10.1073/pnas.2314416120 |
| [16] |
ZHOU YX, BASTIAN IN, LONG MD, et al. Activation of NF-κB and p300/CBP potentiates cancer chemoimmunotherapy through induction of MHC-Ⅰ antigen presentation[J]. Proc Natl Acad Sci USA, 2021, 118(8): e2025840118. DOI:10.1073/pnas.2025840118 |
2025, Vol. 54



