文章信息
- 樊萌萌, 熊丽丽, 杜若琪, 许豆豆, 付改玲
- FAN Mengmeng, XIONG Lili, DU Ruoqi, XU Doudou, FU Gailing
- TTK和MDM2在宫颈病变组织中的表达及临床意义
- Expression and clinical significance of TTK and MDM2 in cervical lesion tissue
- 中国医科大学学报, 2025, 54(11): 1005-1010
- Journal of China Medical University, 2025, 54(11): 1005-1010
-
文章历史
- 收稿日期:2024-09-29
- 网络出版时间:2025-11-21 13:20:33
2. 河南科技大学第一附属医院妇科,河南 洛阳 471000
2. Gynecology Department of The First Affiliated Hospital, Henan University of Science and Technology, Luoyang 471000, China
宫颈病变是慢性持续的过程,低级别病变可消退,高级别病变被认为是癌前病变。因此,对宫颈病变的筛查和阻断具有重要意义[1]。近年来,宫颈癌的发病呈低龄化趋势,严重威胁女性的生命安全[2]。人乳头瘤病毒(human papillomavirus,HPV)持续感染是引发宫颈病变及宫颈癌的重要机制。研究[3-4]发现,恶性病变可能与患者自身抑癌、原癌基因的表观遗传学异常有关。丝氨酸/苏氨酸和酪氨酸激酶(serinel threonine and tyrosine kinases,TTK)基因主要在宫颈、心脏、骨髓、胎盘组织、睾丸及多种恶性肿瘤中表达,在细胞分裂中发挥重要作用[5]。鼠双微体2(mouse dual microbody 2,MDM2)过表达会促进癌症进展,研究[6]认为MDM2是潜在新型抗肿瘤药物的靶点。目前,TTK和MDM2在宫颈病变组织中的表达情况尚不清楚,本研究拟通过探讨TTK和MDM2在宫颈病变组织、宫颈癌组织中的表达情况,为宫颈癌的临床诊断提供新的依据。
1 材料与方法 1.1 一般资料选取2022年6月至2024年1月于河南科技大学第一附属医院行妇科手术的患者180例,并根据病理检查结果进行分组。其中宫颈癌组50例、高级别病变组50例、低级别病变组40例,无宫颈病变(对照)组40例。宫颈癌组患者年龄30~58岁,平均(45.23±8.62)岁;高级别病变组患者年龄30~59岁,平均(45.64±8.57)岁;低级别病变组患者年龄29~58岁,平均(45.37±8.55)岁;对照组患者年龄30~59岁,平均(45.54±8.28)岁。纳入标准:(1)病理检查确诊为宫颈癌、高级别病变、低级别病变[7];(2)对照组通过宫颈薄层液基细胞学检查未见癌细胞或非典型鳞状细胞;(3)均签署知情同意书。排除标准:(1)合并其他恶性肿瘤;(2)宫颈既往接受过物理治疗或手术治疗;(3)术前曾接受过化疗或放疗;(4)合并其他脏器衰竭或功能不全。本研究获得河南科技大学第一附属医院伦理委员会批准。
1.2 方法 1.2.1 标本采集与保存各组患者手术过程中取宫颈癌组织、高级别病变、低级别病变、正常宫颈组织标本,一部分标本使用生理盐水冲洗后,立刻放置-80 ℃冰箱冻存,另一部分进行石蜡包埋,用于免疫组织化学检测。
1.2.2 免疫组织化学检测将标本组织于10%甲醛溶液中固定,完成后常规包埋、切片(组织切片机购自上海玉研科学仪器有限公司),脱蜡、水化后用柠檬酸抗原修复溶液进行抗原修复,切片加过氧化氢后血清封闭,每个切片滴加TTK和MDM2一抗(购自武汉菲恩生物科技有限公司),4 ℃孵育过夜,PBS冲洗后加入生物素标记二抗(购自上海信帆生物科技有限公司),37 ℃ 30 min,PBS冲洗。加入链霉亲和素-过氧化物酶复合物于37 ℃孵育30 min,DAB染色(DAB试剂盒购自上海阿拉丁生化科技股份有限公司),自来水冲洗、复染、封片,显微镜下观察。根据着色程度进行评分:0分,无着色;1分,淡黄色;2分,棕黄色;3分,棕褐色。根据阳性细胞数进行评分:0分,无阳性细胞;1分,阳性细胞数 < 10%;2分,阳性细胞数10%~50%;3分,阳性细胞数 > 50%~75%;4分,阳性细胞数 > 75%。着色与阳性细胞数2项评分相乘即为总分,总分≥3分判定为阳性,总分0~2分判定为阴性。
1.2.3 TTK和MDM2 mRNA表达水平检测采用实时定量PCR检测各组织中的TTK和MDM2 mRNA表达水平。以GAPDH为内参,采用2-ΔΔCt法计算TTK、MDM2 mRNA表达水平,引物序列见表 1。
| Gene | Primer sequences(5’-3’) |
| TTK | Forward:TCATGCCCATTTGGAAGAGTC |
| Reverse:CCACTTGGTTTAGATCCAGGC | |
| MDM2 | Forward:ACCTTCCAAGTGCTGGTGCT |
| Reverse:GTCTACCATGTAGCCAGCTTTCA | |
| GAPDH | Forward:TTGGTATCGTGGAAGGACTCA |
| Reverse:TGTCATATTTGGCAGGTTT |
1.2.4 宫颈癌组织TTK、MDM2 mRNA表达与患者病理参数的相关性
以宫颈癌组织TTK、MDM2 mRNA表达水平的平均值为界,将宫颈癌患者分为TTK mRNA高表达组(26例)和TTK mRNA低表达组(24例);MDM2 mRNA高表达组(27例)和MDM2 mRNA低表达组(23例)。比较各组肿瘤直径、病理类型、分化程度、肿瘤分期、淋巴结转移等情况,分析TTK和MDM2 mRNA表达水平与病理参数的相关性。
1.3 统计学分析采用SPSS 25.0软件进行统计分析,计数资料以率(%)表示,采用χ2检验,多重比较采用Bonferroni法;符合正态分布的计量资料以x±s表示,多组间比较采用单因素方差分析,组间两两比较用LSD-t检验,2组比较用独立样本t检验。不符合正态分布的计量资料用M(P25~P75)表示,多组间比较采用Kruskal-Wallis H检验。采用受试者操作特征曲线(receiver operating characteristic,ROC)分析TTK和MDM2 mRNA水平对宫颈癌的诊断价值。P < 0.05为差异有统计学意义。
2 结果 2.1 4组患者一般资料比较4组患者年龄、体重指数、怀孕次数、生产次数比较,差异无统计学意义(P > 0.05),见表 1。
| Item | Control group(n = 40) | Low-grade lesion group(n = 40) | High-grade lesion group(n = 50) | Cervical cancer group(n = 50) | F/H | P |
| Age(year) | 45.54±8.28 | 45.37±8.55 | 45.64±8.57 | 45.23±8.62 | 0.022 | 0.996 |
| Body mass index(kg/m2) | 22.37±2.52 | 22.13±2.25 | 22.65±2.34 | 23.04±2.45 | 1.205 | 0.310 |
| Number of pregnancy | 2.00(1.00-2.75) | 2.00(1.00-3.00) | 2.00(1.00-2.25) | 2.00(1.00-3.00) | 0.607 | 0.895 |
| Number of production | 2.00(2.00-2.75) | 2.00(2.00-2.75) | 2.00(2.00-3.00) | 2.00(1.00-3.00) | 0.084 | 0.994 |
2.2 4组TTK和MDM2 mRNA表达水平比较
4组TTK和MDM2 mRNA表达水平比较差异有统计学意义(P < 0.05);随着病变级别的升高,TTK和MDM2 mRNA表达水平逐渐升高,差异有统计学意义(P < 0.05),见表 2。
| Item | Control group(n = 40) | Low-grade lesion group(n = 40) | High-grade lesion group(n = 50) | Cervical cancer group(n = 50) | F | P |
| TTK mRNA | 0.85±0.19 | 1.16±0.251) | 1.47±0.321),2) | 1.73±0.441),2),3) | 61.854 | < 0.001 |
| MDM2 mRNA | 1.04±0.21 | 1.35±0.271) | 1.69±0.331),2) | 1.92±0.411),2),3) | 63.992 | < 0.001 |
| 1)P < 0.05 vs. control group;2)P < 0.05 vs. low-grade lesion group;3)P < 0.05 vs. high-grade lesion group. | ||||||
2.3 TTK蛋白在4组宫颈组织中的表达比较
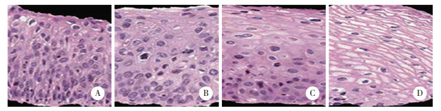
HE染色及免疫组织化学检测结果显示,TTK主要定位于细胞质,在宫颈癌组织、高级别病变组织、低级别病变组织、对照组中的阳性表达率分别为84.00%(42/50)、60.00%(30/50)、55.00%(22/40)、7.50%(3/40),TTK在宫颈癌组织中的阳性率高于其他3组,差异有统计学意义(χ2=7.071,P < 0.05)。见图 1、2。
|
| A, cervical cancer tissue (positive expression); B, high-grade lesion tissue (positive expression); C, low-grade lesion tissue (positive expression); D, control group (negative expression). 图 1 4组宫颈组织中TTK蛋白的HE染色结果×300 Fig.1 Results of TTK protein in cervical tissues of four groups by HE staining ×300 |
|
| 图 2 4组宫颈组织中TTK蛋白表达 Fig.2 Expression of TTK protein in cervical tissue of four groups |
2.4 MDM2蛋白在4组宫颈组织中的表达比较
HE染色及免疫组织化学检测结果显示,MDM2主要定位于细胞核,在宫颈癌组织、高级别病变组织、低级别病变组织、对照组中的阳性表达率分别为90.00%(45/50)、64.00%(32/50)、57.50%(23/40),5.00%(2/40),MDM2在宫颈癌组织中的阳性率高于其他3组,差异有统计学意义(χ2=9.447,P < 0.05)。见图 3、4。
|
| A, cervical cancer tissue (positive expression); B, high-grade lesion tissue (positive expression); C, low-grade lesion tissue (positive expression); D, control group (negative expression). 图 3 4组宫颈组织中MDM2蛋白的HE染色结果×300 Fig.3 Results of MDM2 protein by HE staining in cervical tissue of four groups ×300 |
|
| 图 4 4组宫颈组织中MDM2蛋白表达 Fig.4 Expression of MDM2 protein in cervical tissue of four groups Cervical cancer tissue |
2.5 TTK和MDM2 mRNA表达水平与宫颈癌临床病理特征的相关性
TTK和MDM2 mRNA表达水平与病理特征的相关性结果显示,宫颈癌患者TTK和MDM2 mRNA表达水平与病理类型、肿瘤直径、肿瘤分期无关(P > 0.05);与分化程度、淋巴结转移相关,差异有统计学意义(P < 0.05),见表 3。
| Clinicopathological features | n | TTK mRNA | MDM2 mRNA | |||||||
| High level(n = 26) | Low level(n = 24) | χ2 | P | High level(n = 27) | Low level(n = 23) | χ2 | P | |||
| Pathological type | 0.675 | 0.411 | 1.020 | 0.313 | ||||||
| Squamous cell carcinoma | 38 | 21(55.26) | 17(44.74) | 19(50.00) | 19(50.00) | |||||
| Adenocarcinoma | 12 | 5(41.67) | 7(58.33) | 8(66.67) | 4(33.33) | |||||
| Tumor diameter | 2.991 | 0.084 | 0.464 | 0.496 | ||||||
| ≥4 cm | 35 | 21(60.00) | 14(40.00) | 20(57.14) | 15(42.86) | |||||
| < 4 cm | 15 | 5(33.33) | 10(66.67) | 7(46.67) | 8(53.33) | |||||
| Neoplasm staging | 2.090 | 0.148 | 0.402 | 0.520 | ||||||
| Ⅰ-Ⅱ | 37 | 17(45.95) | 20(54.05) | 19(51.35) | 18(48.65) | |||||
| Ⅲ-Ⅳ | 13 | 9(69.23) | 4(30.77) | 8(61.54) | 5(38.46) | |||||
| Differentiation | 3.926 | 0.048 | 9.522 | 0.002 | ||||||
| Poor | 32 | 20(62.50) | 12(37.50) | 23(71.88) | 9(28.13) | |||||
| Moderate to well | 18 | 6(33.33) | 12(66.67) | 4(22.22) | 14(77.78) | |||||
| Lymph node metastasis | 10.182 | 0.001 | 11.576 | 0.001 | ||||||
| Yes | 33 | 23(69.70) | 10(30.30) | 24(72.73) | 9(27.27) | |||||
| No | 17 | 3(17.65) | 14(82.35) | 3(17.65) | 14(82.35) | |||||
2.6 TTK和MDM2 mRNA对宫颈癌的诊断价值
以TTK、MDM2 mRNA水平为自变量,以是否发生宫颈癌为因变量,绘制ROC曲线。结果显示,TTK mRNA可诊断宫颈癌发生的曲线下面积(area under the curve,AUC)为0.803(95%CI:0.722~0.885),截断值为1.48,灵敏度为76.00%,特异度为70.00%;MDM2 mRNA诊断宫颈癌发生的AUC为0.798(95%CI:0.725~0.871),截断值为1.66,灵敏度为66.00%,特异度为72.20%;二者联合诊断的AUC为0.912(95%CI:0.864~0.960),均优于各自单独检测(Z = 2.230、2.553,P < 0.05),灵敏度为86.00%,特异度为85.60%,见图 5。
|
| 图 5 TTK和MDM2 mRNA对宫颈癌的诊断价值 Fig.5 Diagnostic value of mRNA levels of TTK and MDM2 in cervical cancer |
3 讨论
宫颈病变为多重原因造成的宫颈部位发生病理性变化,包括感染、病原体入侵等引起的宫颈炎、宫颈肿瘤等,影响宫颈病变的因素较多,若不能及时治疗可能发展为宫颈癌[8]。宫颈病变早期筛查与诊断十分重要,是改善患者预后的重要途径[9]。宫颈癌诊断的金标准为宫颈组织病理学诊断,生物学检测指标受检测方法及肿瘤特异性等因素限制未广泛应用于临床,因此,需要探索特异、便捷、可靠的标志物从而改善宫颈癌的筛查、诊断和预后评估[10]。
TTK是纺锤体组件检查点的组成部分,是一种双重特异性蛋白激酶,高表达TTK可导致肿瘤的发展。研究[11-12]发现,TTK是肺癌、乳腺癌等预后不良的预测指标,同时TTK在卵巢癌以及较高肿瘤等级的癌症中过表达,可作为卵巢癌、子宫内膜癌的潜在治疗靶点。TTK蛋白的表达失调已被证明参与多种癌症的细胞增殖,其表达上调与宫颈癌的病情恶化和癌症药物敏感性有关[13-14]。本研究中,TTK mRNA水平随着病变级别的升高逐渐升高,说明TTK mRNA水平与患者宫颈病变程度有关。免疫组织化学检测结果显示,TTK在宫颈癌组织中的阳性表达率高于其他病变组织,提示TTK可以作为宫颈癌的预测指标。TTK mRNA与分化程度、淋巴结转移相关,提示TTK mRNA高表达可能与肿瘤的发生发展相关。ROC曲线分析结果显示,TTK mRNA对宫颈癌发生有一定的诊断价值。
MDM2是位于12q13-14号染色体上的原癌基因,有多个保守的功能结构域,为MDM2的致癌性提供了结构基础。研究[15]表明,MDM2在多种人类肿瘤中过表达,包括白血病、乳腺癌、黑色素瘤和成胶质细胞瘤,并且与癌症转移密切相关,导致患者预后较差。MDM2对宫颈癌进展至关重要,靶向MDM2可抑制宫颈癌细胞侵袭、迁移能力[16]。本研究中,随着宫颈组织病变级别的升高,MDM2 mRNA水平逐渐升高,与以往研究结果一致,提示MDM2可能作为促癌基因参与宫颈病变。本研究发现MDM2在宫颈癌组织中的阳性表达率较高,提示MDM2阳性表达与宫颈病变密切相关。MDM2 mRNA与分化程度、淋巴结转移相关,说明MDM2可能与肿瘤的分化程度、侵袭与转移有关,可能对宫颈癌的预后预测有重要意义。ROC曲线结果显示,TTK和MDM2 mRNA联合诊断的效能较好,可作为宫颈癌的临床诊断的生物学指标。
综上所述,TTK和MDM2 mRNA随着宫颈病变级别的升高表达上调,二者联合对宫颈癌有较好的诊断价值。本研究样本量较小,后续应扩大样本量并开展多中心研究进一步论证。
| [1] |
王海颖, 张艳敏, 苏佳, 等. 宫颈癌患者HPV感染与阴道内环境和血清miRNA表达的相关性分析[J]. 中国医科大学学报, 2024, 53(12): 1088-1093. DOI:10.12007/j.issn.0258-4646.2024.12.005 |
| [2] |
杜晓琴, 马瑛, 谢刚, 等. B淋巴细胞瘤-2关联永生基因3蛋白、多重肿瘤抑制基因1在宫颈癌癌前病变中表达及联合液基细胞学检查的临床意义[J]. 安徽医药, 2023, 27(8): 1633-1636. DOI:10.3969/j.issn.1009-6469.2023.08.031 |
| [3] |
李巧莉, 马金枝, 祝莉. 宫颈组织PAX1甲基化定量检测诊断高级别宫颈癌前病变价值[J]. 中国计划生育学杂志, 2023, 31(2): 466-469. DOI:10.3969/j.issn.1004-8189.2023.02.048 |
| [4] |
柳欢歌, 施秀, 陈友国, 等. HPV分型与整合检测在子宫颈病变中的诊断价值研究[J]. 实用妇产科杂志, 2023, 39(3): 205-209. |
| [5] |
张婷. 人单极纺锤体1 (MPS1/TTK) 在卵巢癌中的临床意义及生物学功能的研究[D]. 济南: 山东大学, 2021. DOI: 10.27272/d.cnki.gshdu.2021.005159.
|
| [6] |
玉苏普瓦吉木·阿力木江, 艾孜提艾力·艾海提, 木合布力·阿布力孜, 等. 新型三氟甲基查耳酮类衍生物的设计、合成及体外抗宫颈癌活性[J]. 中国药科大学学报, 2022, 53(6): 674-684. DOI:10.11665/j.issn.1000-5048.20220605 |
| [7] |
徐红, 张静. 美国国立综合癌症网络《2020年宫颈癌临床实践指南》病理内容更新解读[J]. 中华病理学杂志, 2021, 50(1): 9-13. DOI:10.3760/cma.j.cn112151-20200712-00548 |
| [8] |
杨红, 张亚磊, 丁怡馨, 等. HPV L1壳蛋白、CDC7、Spindlin1在不同程度宫颈病变中的表达及意义[J]. 实验与检验医学, 2023, 41(2): 215-218. DOI:10.3969/j.issn.1674-1129.2023.02.025 |
| [9] |
于军琴, 卢丹, 范兰玲, 等. 抑制SCD1活性对调节脂肪酸代谢途径和抑制宫颈癌细胞肿瘤生物学行为的作用[J]. 中国医科大学学报, 2025, 54(2): 115-120. DOI:10.12007/j.issn.0258-4646.2025.02.004 |
| [10] |
阮俊霞, 王成群, 杨柏柳. 宫颈癌组织中MiR-1287-5p、HOXA7表达及临床意义[J]. 中国计划生育学杂志, 2023, 31(2): 424-428, 433. DOI:10.3969/j.issn.1004-8189.2023.02.039 |
| [11] |
LIU YX, ZHU KY, GUAN XL, et al. TTK is a potential therapeutic target for cisplatin-resistant ovarian cancer[J]. J Ovarian Res, 2021, 14(1): 128. DOI:10.1186/s13048-021-00884-z |
| [12] |
YANG QN, YU BJ, SUN J. TTK, CDC25A, and ESPL1 as prognostic biomarkers for endometrial cancer[J]. Biomed Res Int, 2020, 2020: 4625123. DOI:10.1155/2020/4625123 |
| [13] |
ANNAPURNA SD, PASUMARTHI D, PASHA A, et al. Identification of differentially expressed genes in cervical cancer patients by comparative transcriptome analysis[J]. Biomed Res Int, 2021, 2021: 8810074. DOI:10.1155/2021/8810074 |
| [14] |
TANG Q, XU AL, YANG Y, et al. FOXM1 contributes to chemotherapy sensitivity in cervical cancer by regulating TTK[J]. Discov Med, 2023, 35(176): 208-220. DOI:10.24976/Discov.Med.202335176.22 |
| [15] |
周淑敏, 赵二趁, 苏晴, 等. miR-610通过下调双微体基因2的表达抑制卵巢癌细胞的侵袭和迁移[J]. 解剖学杂志, 2021, 44(2): 129-135. DOI:10.3969/j.issn.1001-1633.2021.02.008 |
| [16] |
XU L, WANG J, YUAN XN, et al. IU1 suppresses proliferation of cervical cancer cells through MDM2 degradation[J]. Int J Biol Sci, 2020, 16(15): 2951-2963. DOI:10.7150/ijbs.47999 |
2025, Vol. 54



