文章信息
- 赵昆, 冯钰瑾, 杨晓云, 刘芬, 宗美男, 王一
- ZHAO Kun, FENG Yujin, YANG Xiaoyun, LIU Fen, ZONG Meinan, WANG Yi
- 超声微泡爆破辅助骨髓间充质干细胞移植改善糖尿病肾病的机制研究
- Study on the mechanism of ultrasound microbubble blasting assisted bone marrow mesenchymal stem cell transplantation in improving diabetic nephropathy
- 中国医科大学学报, 2025, 54(10): 937-941
- Journal of China Medical University, 2025, 54(10): 937-941
-
文章历史
- 收稿日期:2024-11-07
- 网络出版时间:2025-10-15 13:43:54
2. 河北医科大学第二医院 腹部超声科, 石家庄 050061
2. Department of Abdominal Ultrasound, The Second Hospital of Hebei Medical University, Shijiazhuang 050061, China
糖尿病肾病(diabetic nephropathy,DN)是糖尿病的常见并发症,具体表现为肾功能衰退及蛋白尿等[1]。研究[2]发现,DN的主要发病机制为自噬、炎症反应以及氧化应激。目前,DN的治疗手段为控制饮食、血糖及服用药物,这些治疗方法并不能阻止肾功能的继续恶化[3]。骨髓间充质干细胞(bone marrow mesenchymal stem cell,BMSC)移植在肾病的治疗中应用广泛,BMSC可通过分化作用促进受损肾脏组织再生,进而改善肾脏功能[4]。尽管该治疗方法应用广泛且具有一定效果,但仍存在细胞存活率低等问题。超声造影剂是一种液体,内部含有很小的微气泡,微气泡爆破后会产生一定的生物学效应,有助于药物靶向[5]。已有研究[6]发现,超声微泡爆破辅助BMSC移植可以治疗大鼠慢性肾病。Toll样受体4(Toll-like receptor 4,TLR-4)/核因子κB(nuclear factor kappa B,NF-κB)通路与炎症反应密切相关。在超声引导下的间充质干细胞移植可以通过调控TLR-4/NF-κB信号通路,抑制肾坏死、炎症和纤维化,改善阿霉素诱导的大鼠肾损伤[7]。但超声微泡爆破辅助BMSC移植对DN大鼠改善的机制未见报道,因此,本研究探讨了在BMSC移植基础上联合超声微泡爆破是否可通过调控TLR-4/NF-κB通路改善DN大鼠的炎症反应及肾功能。
1 材料与方法 1.1 材料SPF级SD雄性大鼠60只,体重180~220 g,许可证号SCXK(豫)2019-0002,购自南京东极生物科技有限公司; BMSC购自南京赛泓瑞生物科技有限公司; 脂多糖(lipopolysaccharides,LPS)购自北京康瑞纳生物科技有限公司; 肿瘤坏死因子α(tumor necrosis factor α,TNF-α)、白细胞介素-1β(interleukin-1β,IL-1β)酶联免疫吸附试验(enzyme linked immunosorbent assay,ELISA)试剂盒购自滁州仕诺达生物科技有限公司; TLR-4、NF-κB、GAPDH、IgG二抗购自英国abcam公司; 显微镜购自日本OLYMPUS公司; 生化分析仪购自深圳迈瑞医疗电子股份有限公司; 高速离心机购自美国Sony Biotechnology Inc公司; 声诺维造影剂购自意大利Braco公司。
1.2 方法 1.2.1 DN大鼠模型建立及分组将60只大鼠随机分为对照(CK)组(12只)和造模组(48只)。其中,CK组大鼠饲喂普通饲料,造模组参考文献[8]构建DN大鼠模型。高糖高脂饲料饲喂大鼠,1周后,腹腔注射50 mg/kg链脲佐菌素,注射结束72 h后,尾静脉采血,并测定其随机血糖,当出现2次随机血糖值≥16.7 mmol/L时,认定为DN大鼠模型构建成功。将造模成功的大鼠随机分为模型(Model)组、BMSC组、BMSC+微泡组、BMSC+微泡+TLR-4/NF-κB信号通路激活剂LPS(BMSC+微泡+LPS)组,每组12只。其中,BMSC组经肾动脉注射2×106/mL的BMSC 0.5 mL[6]; BMSC+微泡组经肾动脉注射2×106/mL的BMSC+2×108/mL造影剂微泡0.5 mL,并立即采用超声诊断仪对肾脏进行爆破,10 s/次,间隔1 min,共爆破3次[9]; BMSC+微泡+LPS组在进行BMSC+微泡组相同操作的同时,尾静脉注射0.1 mg/kg LPS [9]。为保证实验操作的一致性和对照的严谨性,CK组、Model组经肾动脉及尾静脉注射等量生理盐水,BMSC组、BMSC+微泡组经尾静脉注射等量生理盐水。本研究获得我院科研伦理委员会审核批准(2022-AE182)。
1.2.2 大鼠生物化学及尿液指标检测对禁食12 h的大鼠进行麻醉,腹主动脉采血,一部分置于4 ℃冰箱冷藏保存,用于后续实验。采用生物化学分析仪检测甘油三酯(triglyceride,TG)、总胆固醇(total cholesterol,TC)、空腹血糖(fasting blood glucose,FBG)、尿素氮(blood urea nitrogen,BUN)以及血肌酐(serum creatinine,sCr)水平,并收集各组大鼠24 h尿液,采用双缩脲法测量24 h尿蛋白总量(24-hour urinary total protein,24 h-UTP)。
1.2.3 大鼠肾脏组织损伤观察从每组大鼠中随机选取6只,经腹腔注射进行麻醉,处死后取出肾脏,并纵向切开,甲醛固定,经石蜡包埋后制成切片,行HE和Masson染色,利用显微镜观察肾组织病理及纤维化情况。
1.2.4 大鼠炎性细胞因子水平检测取1.2.2中冰箱保存的腹主动脉血,采用ELISA法检测血清IL-1β、TNF-α水平。
1.2.5 Western blotting麻醉每组余下的6只大鼠,处死后取出肾脏,加入裂解液提取总蛋白,蛋白浓度测定后,使用凝胶电泳分离等量的蛋白样品,之后进行转膜,封闭2 h,将膜与一抗TLR-4、NF-κB和GAPDH过夜孵育; 洗膜,将膜与二抗孵育2 h,洗膜,将膜置于化学发光试剂孵育,对条带进行观察,使用Image LabTM软件对目标蛋白进行定量分析。
1.3 统计学分析采用SPSS 25.0软件进行统计分析。数据以x±s表示,多组间比较用单因素方差分析,两两比较用SNK-q检验。P < 0.05为差异有统计学意义。
2 结果 2.1 各组FBG、TC、TG和sCr、BUN、24 h-UTP指标比较与CK组相比,Model组FBG、TC、TG、sCr、BUN、24 h-UTP水平升高(P < 0.05); 与Model组相比,BMSC组FBG、TC、TG、sCr、BUN、24 h-UTP水平降低(P < 0.05); 与BMSC组相比,BMSC+微泡组FBG、TC、TG、sCr、BUN、24 h-UTP水平降低(P < 0.05); 与BMSC+微泡组相比,BMSC+微泡+LPS组FBG、TC、TG、sCr、BUN、24 h-UTP水平升高(P < 0.05)。见表 1。
| Group | FBG(mmol/L) | TC(mmol/L) | TG(mmol/L) | sCr(μmol/L) | BUN(mmol/L) | 24 h-UT(mg/24 h) |
| CK | 11.23±1.23 | 1.18±0.12 | 0.49±0.05 | 27.15±2.81 | 8.35±0.85 | 18.26±1.92 |
| Model | 39.65±4.011) | 2.96±0.331) | 2.51±0.271) | 41.23±4.231) | 25.73±2.671) | 35.02±3.621) |
| BMSC | 31.02±3.252) | 2.03±0.212) | 1.72±0.192) | 37.82±3.842) | 19.52±2.032) | 29.67±3.072) |
| BMSC+microbubble | 18.52±1.962),3) | 1.55±0.162),3) | 0.86±0.092),3) | 31.27±3.262),3) | 11.33±1.272),3) | 21.23±2.242),3) |
| BMSC+microbubble+LPS | 33.61±3.514) | 2.61±0.284) | 2.36±0.244) | 39.82±4.014) | 23.61±2.434) | 33.67±3.534) |
| 1)P < 0.05 vs. CK group; 2)P < 0.05 vs. Model group; 3)P < 0.05 vs. BMSC group; 4)P < 0.05 vs. BMSC+microbubble group. | ||||||
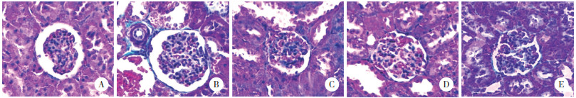
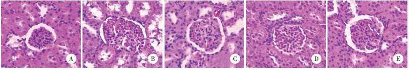
2.2 各组肾脏组织病理及纤维化情况比较
CK组肾小管以及肾小球排列整齐且结构清晰,胶原纤维少且分布比较均匀; Model组肾小球出现基底膜变厚、肾小管发生扩张且管壁排列紊乱,胶原纤维沉积严重; BMSC组、BMSC+微泡组较Model组肾脏组织病变情况均得到减轻,且BMSC+微泡组减轻更明显; BMSC+微泡+LPS组较BMSC+微泡组肾脏组织病变情况有所加重。见图 1、2。
|
| A, CK group; B, Model group; C, BMSC group; D, BMSC+microbubble group; E, BMSC+microbubble+LPS group. 图 1 HE染色检测肾脏组织病理结果×400 Fig.1 Pathological results of renal tissue detected by HE staining ×400 |
|
| A, CK group; B, Model group; C, BMSC group; D, BMSC+microbubble group; E, BMSC+microbubble+LPS group. 图 2 Masson染色检测肾脏纤维化结果×400 Fig.2 Results of renal fibrosis detected by Masson staining ×400 |
2.3 各组炎性细胞因子水平比较
与CK组相比,Model组IL-1β、TNF-α水平升高(P <
0.05); 与Model组相比,BMSC组IL-1β、TNF-α水平降
低(P < 0.05); 与BMSC组相比,BMSC+微泡组IL-1β、
TNF-α水平降低(P < 0.05); 与BMSC+微泡组相比,
BMSC+微泡+LPS组IL-1β、TNF-α水平升高(P < 0.05)。
见表 2。
| Item | CK | Model | BMSC | BMSC+microbubble | BMSC+microbubble+LPS |
| IL-1β(ng/L) | 15.69±1.65 | 91.37±9.231) | 75.26±7.682) | 46.32±4.912),3) | 81.07±8.204) |
| TNF-α(ng/L) | 50.12±5.14 | 286.33±29.381) | 165.82±16.812) | 75.39±7.652),3) | 217.63±21.954) |
| 1)P < 0.05 vs. CK group; 2)P < 0.05 vs. Model group; 3)P < 0.05 vs. BMSC group; 4)P < 0.05 vs. BMSC+microbubble group. | |||||
2.4 各组TLR-4/NF-κB信号通路相关蛋白比较
与CK组相比,Model组TLR-4、NF-κB蛋白表达升高(P < 0.05); 与Model组相比,BMSC组TLR-4、NF-κB蛋白表达降低(P < 0.05); 与BMSC组相比,BMSC+微泡组TLR-4、NF-κB蛋白表达降低(P < 0.05); 与BMSC+微泡组相比,BMSC+微泡+LPS组TLR-4、NF-κB蛋白表达升高(P < 0.05)。见图 3、表 3。
|
| 1, CK group; 2, Model group; 3, BMSC group; 4, BMSC+microbubble group; 5, BMSC+microbubble+LPS group. 图 3 Western blotting检测各组TLR-4、NF-κB蛋白水平 Fig.3 Western blotting was used to detect the protein levels of TLR-4 and NF-κB in each group |
| Group | CK | Model | BMSC | BMSC+microbubble | BMSC+microbubble+LPS |
| TLR-4 | 0.68±0.07 | 1.79±0.181) | 1.15±0.122) | 0.73±0.082),3) | 1.56±0.164) |
| NF-κB | 0.85±0.09 | 2.36±0.241) | 1.83±0.192) | 1.27±0.132),3) | 2.11±0.224) |
| 1)P < 0.05 vs. CK group; 2)P < 0.05 vs. Model group; 3)P < 0.05 vs. BMSC group; 4)P < 0.05 vs. BMSC+microbubble group. | |||||
3 讨论
研究[10]显示,肾小球为DN主要病变部位,早期患者表现出肾小球细胞增多以及基底膜细胞增厚,严重影响患者预后。DN的发病机制与环境、糖脂代谢紊乱、炎症反应以及氧化应激水平有关,其中炎症反应被认为是主要机制之一[2]。
研究[11]证实,BMSC作为一类具备定向分化潜能的细胞,能够通过分泌细胞生长因子等活性物质抑制炎症反应,进而加速血管的生成。李嘉琦等[12]研究发现,BMSC可用于多种肾病的治疗,且取得相对较好的效果。研究[13]显示,BMSC对于DN的治疗会受到多种因素的影响。由于超声微泡爆破时间极短,BMSC的存活及增殖不受影响,因此,本研究在BMSC的基础上辅助超声微泡爆破观察其效果。本研究结果发现,与CK组相比,Model组肾小球出现基底膜变厚、肾小管发生扩张且管壁排列紊乱,胶原纤维沉积严重、FBG、TC、TG、sCr、BUN、24 h-UTP、IL-1β、TNF-α水平升高,表明DN大鼠肾脏功能指标、炎性细胞因子水平均升高,提示DN大鼠存在炎症反应增强以及肾脏损伤。给予DN模型大鼠BMSC治疗后,FBG、TC、TG、sCr、BUN、24 h-UTP、IL-1β、TNF-α水平降低,肾脏组织病变情况均得到减轻,且BMSC+微泡组肾脏功能指标、炎性细胞因子因子水平降低较多、肾脏组织病变情况减轻明显,表明BMSC移植以及超声微泡爆破辅助BMSC移植均可治疗DN大鼠,但超声微泡爆破辅助BMSC移植治疗效果更好。
TLR-4/NF-κB通路与炎症反应密切相关[14]。磺胺可以通过调控蛋白激酶C(protein kinase C,PKC)/TLR-4/NF-kB信号通路改善大鼠的DN。已有研究[15]证实TLR-4/NF-kB信号通路参与到糖尿病以及糖尿病并发症的发生发展过程,且通路的激活对肾脏疾病具有加重的作用。本研究发现,Model组较CK组TLR-4、NF-κB表达升高,表明DN大鼠TLR-4/NF-kB信号通路被激活。与Model组比较,BMSC组、BMSC+微泡组TLR-4、NF-κB表达均降低,且BMSC+微泡组降低明显,表明BMSC以及超声微泡爆破辅助BMSC移植治疗均可以抑制TLR-4/NF-κB信号通路,但二者辅助治疗效果更好。与BMSC+微泡组比较,BMSC+微泡+LPS组FBG、TC、TG、sCr、BUN、24 h-UTP、IL-1β、TNF-α、TLR-4、NF-κB蛋白表达升高、肾脏组织病变情况加重,提示超声微泡爆破辅助BMSC移植治疗可能通过抑制TLR-4/NF-kB信号通路改善DN大鼠的炎症反应及肾功能。
综上所述,超声微泡爆破辅助BMSC移植可以改善DN大鼠肾功能,其作用机制可能与抑制TLR-4/NF-κB信号通路有关。本研究为超声微泡爆破辅助BMSC移植在临床治疗上的应用提供了理论依据。
| [1] |
BAKRIS GL, MIKAMI H, HIRATA M, et al. A non-purine xanthine oxidoreductase inhibitor reduces albuminuria in patients with DKD: a randomized controlled trial[J]. Kidney360, 2021, 2(8): 1240-1250. DOI:10.34067/KID.0001672021 |
| [2] |
李佳佳, 黄皓, 陶立坚, 等. 糖尿病肾病主要发病机制的研究进展[J]. 生命科学, 2023, 35(3): 396-404. DOI:10.13376/j.cbls/2023048 |
| [3] |
WADA T, INAGAKI M, YOSHINARI T, et al. Apararenone in patients with diabetic nephropathy: results of a randomized, double-blind, placebo-controlled phase 2 dose-response study and open-label extension study[J]. Clin Exp Nephrol, 2021, 25(2): 120-130. DOI:10.1007/s10157-020-01963-z |
| [4] |
XING L, SONG EL, YU CY, et al. Bone marrow-derived mesenchymal stem cells attenuate tubulointerstitial injury through multiple mechanisms in UUO model[J]. J Cell Biochem, 2019, 120(6): 9737-9746. DOI:10.1002/jcb.28254 |
| [5] |
WANG G, ZHUO ZX, YANG B, et al. Enhanced homing ability and retention of bone marrow stromal cells to diabetic nephropathy by microbubble-mediated diagnostic ultrasound irradiation[J]. Ultrasound Med Biol, 2015, 41(11): 2977-2989. DOI:10.1016/j.ultrasmedbio.2015.07.002 |
| [6] |
夏春娟, 王家平, 杨杨, 等. 超声微泡爆破辅助骨髓间充质干细胞移植治疗大鼠慢性肾病[J]. 山东医药, 2021, 61(12): 37-41. DOI:10.3969/j.issn.1002-266X.2021.12.009 |
| [7] |
XIA CJ, SHAO LS, MA YQ, et al. Ultrasound-guided transplantation of mesenchymal stem cells improves adriamycin nephropathy in rats through the RIPK3/MLKL and TLR-4/NF-κB signaling[J]. Stem Cells Dev, 2021, 30(20): 1003-1016. DOI:10.1089/scd.2021.0087 |
| [8] |
罗影, 左中夫, 程雪, 等. 葛花总黄酮通过Nrf2/HO-1信号通路对1型糖尿病大鼠肾脏的保护作用[J]. 中成药, 2021, 43(11): 3178-3182. DOI:10.3969/j.issn.1001-1528.2021.11.047 |
| [9] |
刘英杰, 姜茜, 张胜娜. 天麻素对毛果芸香碱诱发的癫痫大鼠TLR4/NF-κB信号通路影响的研究[J]. 新中医, 2020, 52(4): 1-6. DOI:10.13457/j.cnki.jncm.2020.04.001 |
| [10] |
张强, 宗晓龙, 刘坤, 等. 床旁检验半定量尿液清蛋白/肌酐比值在糖尿病肾病早期筛查中的临床价值评价[J]. 临床检验杂志, 2022, 40(1): 29-32. DOI:10.13602/j.cnki.jcls.2022.01.07 |
| [11] |
卫林东, 霍建忠, 季兴华, 等. 骨髓间充质干细胞移植治疗脊髓损伤的研究进展[J]. 中国脊柱脊髓杂志, 2023, 33(6): 559-563. DOI:10.3969/j.issn.1004-406X.2023.06.10 |
| [12] |
李嘉琦, 杨素萍, 杨扬, 等. 干细胞治疗肾脏疾病的基础研究进展[J]. 山东医药, 2020, 60(14): 100-103. DOI:10.3969/j.issn.1002-266X.2020.14.030 |
| [13] |
CHEN LX, LI YH, CHEN WC, et al. Enhanced recruitment and hematopoietic reconstitution of bone marrow-derived mesenchymal stem cells in bone marrow failure by the SDF-1/CXCR4[J]. J Tissue Eng Regen Med, 2020, 14(9): 1250-1260. DOI:10.1002/term.3096 |
| [14] |
乌恩岳苏, 杨晓燕. 蒙药苏格木勒-7通过抑制TLR4/NF-κB通路减轻子宫内膜炎大鼠炎症反应[J]. 中国医科大学学报, 2024, 53(9): 845-852. DOI:10.12007/j.issn.0258-4646.2024.09.013 |
| [15] |
ZHOU Y, MA XY, HAN JY, et al. Metformin regulates inflammation and fibrosis in diabetic kidney disease through TNC/TLR4/NF-κB/miR-155-5p inflammatory loop[J]. World J Diabetes, 2021, 12(1): 19-46. DOI:10.4239/wjd.v12.i1.19 |
2025, Vol. 54



