文章信息
- 田江雨, 郭凌娟, 杨丹丹, 高靳, 赵正凯, 梁勇
- TIAN Jiangyu, GUO Lingjuan, YANG Dandan, GAO Jin, ZHAO Zhengkai, LIANG Yong
- 心脏磁共振评价肥厚型心肌病并发心房颤动的危险因素
- Risk factor analysis of hypertrophic cardiomyopathy with atrial fibrillation based on cardiac magnetic resonance
- 中国医科大学学报, 2025, 54(1): 44-50
- Journal of China Medical University, 2025, 54(1): 44-50
-
文章历史
- 收稿日期:2024-01-18
- 网络出版时间:2025-01-09 16:13:14
2. 成都市第三人民医院超声科, 成都 610000
2. Department of Ultrasonography, The Third People's Hospital of Chengdu, Chengdu 610000, China
肥厚型心肌病(hypertrophic cardiomyopathy,HCM) 是最常见的遗传性心肌病,具有复杂的遗传学病因[1]。心房颤动(atrial fibrillation,AF) 是HCM患者最常见的心律失常,约25%的HCM并发AF,该类患者常存在进行性心脏功能下降、心力衰竭恶化及全身性血栓栓塞增加的风险。AF是HCM死亡事件的独立危险因素,因此早期发现与控制AF有利于HCM患者的近期与远期生存[2-4]。目前国内针对HCM并发AF的磁共振相关研究较少,已有研究[5-7]发现心脏磁共振(cardiac magnetic resonance,CMR) 钆对比剂左心室心肌延迟强化(late gadolinium enhancement,LGE) 与HCM并发AF相关。本研究对HCM左心室LGE分布模式等征象进行分层分析,并联合初始T1 mapping等CMR影像及临床参数,通过二元logistic回归分析,对并发AF的HCM患者行进一步评估,旨在为临床管理HCM提供影像学证据。
1 材料与方法 1.1 临床资料回顾性分析2022年1月至2023年12月期间我院HCM患者的病历资料。纳入标准:符合HCM诊断,即左心室壁厚度≥15 mm,或有HCM家族史且左心室壁厚度≥13 mm。排除标准:入院时或既往存在心肌梗死证据;冠状动脉数字减影血管造影(digital subtraction angiography,DSA) 或CT冠状动脉成像显示冠状动脉狭窄≥50%,或冠状动脉狭窄程度 < 50%,但伴有符合冠状动脉供血区的左心室心内膜下LGE;图像质量差,影响诊断评估。最终共纳入80例,其中,男47例,女33例,年龄22~83岁,平均(56.2±14.4) 岁。根据是否并发AF,将80例患者分为AF组(n = 18) 和无AF组(n = 62)。本研究获得我院医学伦理审查委员会批准。所有患者知情同意。
1.2 扫描方法及技术参数所有患者在住院期间行超声心动图、CMR、12导联或24 h动态心电图评估。使用3.0T磁共振扫描仪[Skyra,西门子(深圳) 磁共振有限公司],18通道体线圈及32通道椎体线圈,胸前导联心电门控屏气扫描。分别扫描左心室长轴、四腔心、左心室短轴层面的电影序列,电影成像使用基于梯度回波的多时相电影序列,扫描参数为TR 39 ms,TE 1 ms,FOV 340 mm×324 mm,层厚6 mm。初始T1 mapping序列采用改良运动校正Look-Locker反转恢复(modified motion-correction Look-Locker inversion-recovery,MOLLI) 技术,一次屏气完成扫描,单层采集时间为10~14 s,于增强扫描前完成,采集与电影序列相对应的左心室短轴位基底段、中间段及心尖段图像。首过灌注,高压注射器经肘静脉团注入钆布醇0.15 mmol/kg,流速4 mL/s。首过灌注后追加钆对比剂0.15 mmol/kg,流速4 mL/s,延迟图像为首过扫描10 min后使用相位敏感反转恢复序列扫描,扫描参数为TR 430 ms,TE 2 ms,FOV 284 mm×340 mm,层厚8 mm,获得9层左心室短轴层面,1层左心室长轴层面,1层四腔心层面的LGE图像。
1.3 观测指标及图像分析使用Argus Siemens Medical Solutions后处理工作站[西门子(深圳) 磁共振有限公司],于舒张末期和收缩末期在短轴曲线(不包括乳头肌) 上测定左心室心肌的心内膜和心外膜轮廓,以生成功能参数,记录包括左室射血分数(left ventricular ejection fraction,LVEF)、左心室舒张末期容积指数(left ventricular end-diastolic volume index,LVEDVI)、左心室收缩末期容积指数(left ventricular end-systolic volume index,LVESVI)、左心室心脏指数(left ventricular cardiac index,LVCI)、左心室重量指数(left ventricular mass index,LVMI)。
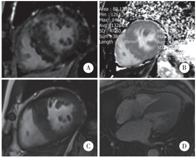
由放射科1名主治医师及1名副主任医师共同测量并评估。(1) 累及心内膜下的LGE:无心肌梗死证据的患者累及心内膜下的LGE与冠状动脉血管分布不相对应,可同时累及其他层面心肌,表现为心内膜下斑片状强化、边界模糊。(2) 右心室插入部LGE:室间隔和右心室游离壁连接处的LGE。(3) 左心室LGE心肌及计数:根据16分段法对左心室心肌进行分段,记录LGE左心室节段,并对每位患者左心室LGE心肌节段计数求和。(4) 伴LGE左心室心肌初始T1 mapping值:对比LGE图像,在对应T1 mapping图像心肌节段(心内外膜间) 画取感兴趣区(region of interest,ROI) 测量3次,结果取平均值。(5) 无LGE左心室心肌初始T1 mapping值:对比LGE图像,在无LGE对应T1 mapping图像心肌节段(心内外膜间) 画取感兴趣区,测量3次,结果取平均值。(6) 左心室最大厚度、左心室最大横径:于短轴舒张末期测量。(7) 左心房前后径:于四腔心层面测量。(8) 左心室流出道梗阻:超声心动图瞬时峰压差值≥30 mmHg。见图 1。
|
| A,the short-axis view of LGE image;B,the short-axis view of native T1 mapping image;C,short-axis diastole cines;D,4-chamber view of first-pass perfusion,no perfusion defect signal was found in the left ventricle subendocardial. 图 1 HCM并发AF患者CMR图像分析 Fig.1 CMR image analysis of HCM with AF |
1.4 统计学分析
采用SPSS 22.0软件进行统计学分析。计量资料经Kolmogorov-Smirnov检验符合正态分布,采用 x±s表示,组间比较使用t检验;计数资料采用率(%)表示,使用χ2检验或Fisher’s精确概率法进行组间比较。通过绘制受试者操作特征(receiver operator characteristic,ROC) 曲线获得HCM并发AF的最佳截断值。对单因素分析中有统计学意义的相关自变量行二元logistic回归分析,获得HCM并发AF的独立危险因素。P < 0.05为差异有统计学意义。
2 结果 2.1 HCM患者的临床特征本研究共纳入HCM患者80例,其中,男47例(58.8%),女33例(41.2%);并发AF18例(22.5%),冠状动脉粥样硬化性心脏病33例(41.2%),高血压28例(35.0%),糖尿病12例(15.0%),高血脂23例(28.8%),慢性阻塞性肺疾病(chronic obstructive pulmonary di-sease,COPD) 6例(7.5%);左心室流出道梗阻非对称型54例(67.5%),对称型2例(2.5%),心尖型24例(30.0%)。
2.2 HCM并发AF的单因素分析结果AF组与无AF组年龄、性别、高血压、糖尿病、高血脂、COPD、吸烟、饮酒、左心室流出道梗阻及HCM分型比较差异均无统计学意义(P < 0.05)。见表 1。
| Item | AF group (n = 18) | Non-AF group (n = 62) | t/χ2 | P |
| Age (year) | 57.4±13.4 | 55.8±14.8 | 0.438 | 0.663 |
| Male [n (%)] | 13 (72.2) | 34 (54.8) | 1.739 | 0.187 |
| Coronary heart disease [n (%)] | 4 (22.2) | 29 (46.8) | 3.470 | 0.062 |
| Hypertension [n (%)] | 7 (35.0) | 21 (33.9) | 0.154 | 0.694 |
| Diabetes [n (%)] | 4 (22.2) | 8 (12.9) | 0.950 | 0.330 |
| Hyperlipidemia [n (%)] | 4 (22.2) | 19 (30.6) | 0.483 | 0.487 |
| COPD [n (%)] | 0 (0) | 6 (9.7) | 0.328* | |
| Smoking [n (%)] | 6 (33.3) | 19 (30.6) | 0.047 | 0.829 |
| Alcohol consumption [n (%)] | 4 (22.2) | 5 (8.1) | 2.801 | 0.094 |
| LVOT obstruction [n (%)] | 4 (22.2) | 16 (25.8) | 0.356 | 0.757 |
| Phenotype [n (%)] | 0.277* | |||
| Asymmetric HCM | 15 (83.3) | 39 (62.9) | ||
| Symmetric HCM | 0 (0) | 2 (3.2) | ||
| Apical HCM | 3 (16.7) | 21 (33.9) | ||
| COPD,chronic obstructive pulmonary disease;LVOT,left ventricular outflow tract. * Fisher’s exact probability test. | ||||
LGE相关结果中,AF组与无AF组左心室LGE分布、心肌节段数、前间隔基底段、前间隔中段、下间隔中段比较差异有统计学意义(P < 0.05)。见表 2。
| LGE sign | AF group (n = 18) | Non-AF group (n = 62) | χ2/t | P |
| LV LGE distribution [n (%)] | 7.161 | 0.028 | ||
| Without involvement | 1 (1.3) | 18 (22.5) | ||
| Subendocardial involvement | 7 (8.8) | 28 (35.0) | ||
| Without subendocardial involvement | 10 (10.0) | 16 (20.0) | ||
| Right ventricle insertion points [n (%)] | 10 (55.6) | 39 (62.9) | 0.317 | 0.573 |
| LV segments with LGE | 4.8±2.8 | 3.0±2.4 | 7.548 | 0.007 |
| Basal anterior IVS [n (%)] | 12 (66.7) | 25 (40.3) | 3.894 | 0.048 |
| Mid anterior IVS [n (%)] | 15 (83.3) | 30 (48.4) | 6.923 | 0.009 |
| Basal inferior IVS [n (%)] | 9 (50.0) | 18 (29.0) | 2.743 | 0.098 |
| Mid inferior IVS [n (%)] | 8 (44.4) | 10 (16.1) | 6.414 | 0.011 |
| Apical IVS [n (%)] | 5 (27.8) | 18 (29.0) | 0.011 | 0.918 |
| Basal anterior [n (%)] | 4 (22.2) | 6 (22.2) | 2.007 | 0.157 |
| Mid anterior [n (%)] | 7 (38.9) | 20 (32.3) | 0.274 | 0.600 |
| Apical anterior [n (%)] | 5 (27.8) | 24 (38.7) | 0.721 | 0.396 |
| Basal anterolateral [n (%)] | 2 (11.1) | 1 (1.6) | 0.125* | |
| Mid anterolateral [n (%)] | 2 (11.1) | 4 (6.5) | 0.511* | |
| Basal inferolateral [n (%)] | 0 (0) | 2 (3.2) | 1.000* | |
| Mid inferolateral [n (%)] | 1 (5.6) | 0 (0) | 0.225* | |
| Apical lateral [n (%)] | 8 (44.4) | 13 (21.0) | 2.851 | 0.091 |
| Basal inferior [n (%)] | 2 (11.1) | 1 (1.6) | 0.125* | |
| Mid inferior [n (%)] | 2 (11.1) | 2 (3.2) | 0.217* | |
| Apical inferior [n (%)] | 5 (27.8) | 7 (11.3) | 1.822 | 0.177 |
| LGE,late gadolinium enhancement;LV,left ventricular;IVS,interventricular septum. * Fisher’s exact probability test. | ||||
T1 mapping相关结果中,AF组与无AF组伴LGE左心室心肌初始T1 mapping值及左心房前后径比较差异有统计学意义(P < 0.05)。见表 3。
| CMR parameter | AF group (n = 18) | Non-AF group (n = 62) | t | P |
| LA anteroposterior diameter (mm) | 52.1±6.8 | 47.4±5.5 | 3.264 | 0.002 |
| LVED diameter (mm) | 45.2±5.8 | 45.7±5.2 | 0.230 | 0.819 |
| Maximum LVWT (mm) | 20.0±3.0 | 18.9±2.7 | 1.512 | 0.135 |
| LVEF (%) | 64.9±9.0 | 68.2±6.7 | 1.709 | 0.092 |
| LVEDVI (mL·m-2) | 59.3±12.4 | 62.1±10.2 | 1.328 | 0.188 |
| LVESVI (mL·m-2) | 22.7±5.2 | 21.7±6.3 | 0.630 | 0.531 |
| LVCI (L·min-1·m-1) | 2.6±0.7 | 2.8±0.5 | 1.546 | 0.126 |
| LVMI (g·m-2) | 118.7±36.1 | 129.5±35.7 | 1.165 | 0.135 |
| Native T1 mapping value of left ventricular myocardium with LGE (ms) | 1 313.8±79.9 | 1 296.6±50.7 | 1.121 | 0.266 |
| Native T1 mapping value of left ventricular myocardium without LGE (ms) | 1 254.2±60.8 | 1 224.6±54.0 | 2.055 | 0.043 |
| LA,left atrium;LV,left ventricular;ED,end diastolic;WT,wall thickness;EF,ejection fraction;EDVI,end-diastolic volume index;ESVI,end-systolic volume index;CI,cardiac index;MI,mass index;LGE,late gadolinium enhancement. | ||||
2.3 HCM并发AF的二元logistic回归分析结果
ROC曲线如图 2所示,LGE心肌节段数≥ 7时,约登指数最大0.371,曲线下面积0.675 (标准误0.071,P = 0.02),灵敏度40.0%,特异度91.7%;无LGE左心室心肌初始T1 mapping值≥1 247 ms时,约登指数最大0.300,曲线下面积0.670 (标准误0.076,P = 0.024),灵敏度75.0%,特异度45.0%;左心房前后径≥50 mm时,约登指数最大0.383,曲线下面积0.717 (标准误0.070,P = 0.004),灵敏度70.0%,特异度63.0%。
|
| 图 2 HCM并发AF患者LGE心肌节段数、无LGE左心室心肌初始T1 mapping值、左心房前后径的ROC曲线结果 Fig.2 The ROC curve results for the number of myocardial segments with LGE, native T1 mapping values of the left ventricular myocardium without LGE, and left atrial anteroposterior diameter in HCM patients with AF |
左心室心内膜下LGE (P = 0.048,OR = 5.3,95%CI:0.642~43.311)、无LGE左心室心肌初始T1 mapping值≥1 247 ms (P = 0.030,OR = 5.7,95%CI:0.734~27.410)、左心房前后径≥50 mm (P = 0.013,OR = 6.9,95%CI:1.489~31.538) 在AF组和无AF组HCM患者中差异有统计学意义。
左心室非心内膜下LGE (P = 0.122,OR = 3.3,95%CI:0.444~23.980)、LGE心肌节段数≥7 (P = 0.295,OR = 4.2,95%CI:0.287~30.408)、前间隔基底段LGE(P = 0.126,OR = 3.0,95%CI:0.734~27.409)、前间隔中间段LGE (P = 0.622,OR = 1.5,95%CI:0.277~8.543)、下间隔中段LGE (P = 0.772,OR = 1.4,95%CI:0.122~16.923) 在AF组与无AF组HCM患者中差异无统计学意义(P < 0.05)。见表 4。
| CMR parameter | P | OR | 95%CI |
| LGE with subendocardial involvement | 0.048 | 5.3 | 0.642-43.311 |
| Native T1 mapping value of left ventricular myocardium without LGE≥1 247 ms | 0.030 | 5.7 | 0.734-27.410 |
| LA anteroposterior diameter≥50 mm | 0.013 | 6.9 | 1.489-31.538 |
| LGE without subendocardial involvement | 0.122 | 3.3 | 0.444-23.980 |
| Segments with LGE≥7 | 0.295 | 4.2 | 0.287-30.408 |
| Basal anterior IVS LGE | 0.126 | 3.0 | 0.734-27.409 |
| Mid anterior IVS LGE | 0.622 | 1.5 | 0.277-8.543 |
| Mid inferior IVS LGE | 0.772 | 1.4 | 0.122-16.923 |
| LGE,late gadolinium enhancement;LA,left atrium;IVS,interventricular septum. | |||
Hosmer-Lemeshow检验(χ2 = 6.144,P = 0.631) 提示结果与观测值拟合性好。
3 讨论心肌纤维化在预测HCM并发AF中具有重要价值。病理组织学研究[8]证明,并发AF的HCM患者左心室心肌较无AF的HCM患者心肌纤维化改变更广泛。基于CMR的LGE可直观显示心肌纤维化,既往研究[9]已证明左心室心肌LGE是HCM并发AF的独立危险因素,且左心室心肌LGE越广泛,即LGE占左心室心肌百分比越高,HCM并发AF风险也会升高[6, 10]。其机制可能是由于左心室心肌纤维化与左心室舒张受损,导致左心室充盈压力升高,继而左心室压力过载与左心房压力后负荷加重,最终导致心房扩张与重塑而发生AF [11-12]。
与既往研究不同,本研究在排除了心肌梗死因素后对左心室LGE分布模式进一步分层分析发现,左心室LGE不同分布模式在并发或不并发AF的HCM患者中差异有统计学意义,累及左心室心内膜下的LGE是HCM并发AF的独立危险因素,其风险是无LGE的5.3倍。文献[13]报道,左心室心内膜下LGE是HCM中较为常见的征象,约占33%,本研究中,左心室心内膜下LGE占比32.5% (26/80),与既往研究结果相似。HCM中累及左心室心内膜下LGE的机制尚未阐明,可能是由于HCM的心内膜下微血管功能障碍更加显著,与随着时间的推移导致反复性缺血和纤维化相关,YANG等[14]认为,在非广泛LGE (LGE < 15%) 的HCM患者中,存在左心室心内膜下LGE患者的预后更差。此外,GALATI等[15]认为终末期HCM常伴有透壁和心内膜下纤维化。而本研究发现伴有左心室心内膜下LGE的患者多伴有更为广泛的LGE表现,可能提示较为进展的HCM,也从侧面说明了伴左心室心内膜下LGE的HCM发生AF风险较高的原因。
T1 mapping是一种无创、定量检测心肌纤维化的技术,比LGE能够评估更早的HCM心肌纤维化[16],XU等[17]发现无LGE的HCM患者心肌初始T1 mapping值高于正常人。本研究结果显示,并发与不并发AF的HCM患者伴LGE左心室心肌初始T1 mapping值比较差异无统计学意义,并发与不并发AF的HCM患者无LGE左心室心肌初始T1 mapping值比较差异有统计学意义,也说明了T1 mapping可评价被LGE低估了的心肌纤维化情况,从而提示更为广泛的LGE的可能。通过ROC曲线及多因素分析进一步发现,无LGE左心室心肌初始T1 mapping值≥1 247 ms是HCM并发AF的独立危险因素,风险为 < 1 247 ms的5.7倍。
本研究基于左心室心肌16分段法,通过对每例患者左心室心肌LGE节段计数发现,并发与不并发AF的HCM患者LGE心肌节段数比较差异有统计学意义,通过ROC曲线得出左心室LGE心肌节段数≥7时,约登指数最大,曲线下面积为0.675。然而在多因素分析中该差异并不显著。究其原因,虽然基于心肌分段可对左心室LGE心肌进行半定量分析,但此种定量方法较为粗略。因此,左心室LGE心肌节段越多只能提示LGE更加散在,不能完全体现左心室LGE的真实情况。此外,本研究在对左心室LGE心肌节段单独分析时发现,前间隔基底段、前间隔中段、下间隔中段LGE的患者在并发与不并发AF的HCM患者中差异有统计学意义,然而在多因素分析中该差异并不显著。CASTELO等[18]的研究提示,前间隔中间段、下间隔中间段、下间隔基底段在单因素分析时预测HCM并发AF具有一定价值,但仅下间隔中间段在多因素分析中有意义。而GALATI等[15]基于组织学检查对30例晚期HCM标本的研究发现,心肌纤维化倾向累及左心室心肌中段及心尖部,而室间隔、前壁、下壁多见受累,侧壁少见受累。本研究发现,有预测价值的左心室LGE心肌节段集中在室间隔,为非对称分布,然而在不同类型HCM有无AF之间比较差异无统计学意义,可能需要扩大样本量进一步明确其潜在联系。
较大的左心房前后径是公认的HCM并发AF的预测因子[19-20]。本研究结果显示,左心房前后径≥50 mm是HCM并发AF的独立危险因素,其AF风险为左心房前后径 < 50 mm患者的6.9倍。
本研究通过对既往CMR基本征象进一步分层分析,获得了征象与HCM并发AF的关系,有助于临床医师快速做出决策,具有一定的临床应用价值。但本研究存在一定的不足之处:(1) 我院CMR检查并非常规检查,因此本研究可能存在一定的选择偏倚,如目前部分临床研究[21-22]认为年龄较大与AF发生相关,本研究中,AF组患者年龄虽然大于无AF组,但差异无统计学意义(P = 0.664);(2) 本研究为回顾性研究,可能存在一定选择偏倚;(3) 本研究样本量可能导致对部分征象评估不充分。
综上所述,当HCM患者存在左心室心内膜下LGE、无LGE左心室心肌初始T1 mapping值≥1 247 ms、左心房前后径≥50 mm时需要明确是否存在AF,以便及时给予患者干预治疗,为患者远期生存获益提供支持。
| [1] |
王潇, 杨智勇. 基于GEO数据库的肥厚型心肌病差异表达基因分析[J]. 中国医科大学学报, 2023, 52(4): 313-317. DOI:10.12007/j.issn.0258-4646.2023.04.005 |
| [2] |
MARON BJ, DESAI MY, NISHIMURA RA, et al. Management of hypertrophic cardiomyopathy: jacc state-of-the-art review[J]. J Am Coll Cardiol, 2022, 79(4): 390-414. DOI:10.1016/j.jacc.2021.11.021 |
| [3] |
刘圆圆, 杜昕, 何柳, 等. 心房颤动合并肥厚型心肌病患者服用NOAC的有效性和安全性评价[J]. 中华心血管病杂志, 2022, 50(1): 62-67. DOI:10.3760/cma.j.cn112148-20210311-00216 |
| [4] |
ROWIN EJ, LINK MS, MARON MS, et al. Evolving contemporary management of atrial fibrillation in hypertrophic cardiomyopathy[J]. Circulation, 2023, 148(22): 1797-1811. DOI:10.1161/CIRCULATIONAHA.123.065037 |
| [5] |
徐敏, 孙兆男, 王旭超, 等. 伴或不伴房颤的肥厚型心肌病患者左心结构与功能差异的MRI研究[J]. 磁共振成像, 2019, 10(11): 821-825. DOI:10.12015/issn.1674-8034.2019.11.005 |
| [6] |
PAPAVASSILIU T, GERMANS T, FLÜCHTER S, et al. CMR findings in patients with hypertrophic cardiomyopathy and atrial fibrillation[J]. J Cardiovasc Magn Reson, 2009, 11(1): 34. DOI:10.1186/1532-429x-11-34 |
| [7] |
武佳磊, 杨斌. 肥厚型心肌病合并心房颤动的磁共振成像研究进展[J]. 磁共振成像, 2023, 14(5): 181-185. DOI:10.12015/issn.1674-8034.2023.05.032 |
| [8] |
YAMAJI K, FUJIMOTO S, YUTANI C, et al. Does the progression of myocardial fibrosis lead to atrial fibrillation in patients with hypertrophic cardiomyopathy?[J]. Cardiovasc Pathol, 2001, 10(6): 297-303. DOI:10.1016/s1054-8807(01)00086-2 |
| [9] |
吕传剑, 赵世华, 陆敏杰, 等. MRI延迟强化在肥厚型心肌病中的临床意义[J]. 中华放射学杂志, 2013, 47(5): 396-400. DOI:10.3760/cma.j.issn.1005-1201.2013.05.003 |
| [10] |
RAPHAEL CE, LIEW AC, MITCHELL F, et al. Predictors and mechanisms of atrial fibrillation in patients with hypertrophic cardiomyopathy[J]. Am J Cardiol, 2020, 136: 140-148. DOI:10.1016/j.amjcard.2020.09.006 |
| [11] |
DZESHKA MS, LIP GYH, SNEZHITSKIY V, et al. Cardiac fibrosis in patients with atrial fibrillation: mechanisms and clinical implications[J]. J Am Coll Cardiol, 2015, 66(8): 943-959. DOI:10.1016/j.jacc.2015.06.1313 |
| [12] |
PUJADAS S, VIDAL-PEREZ R, HIDALGO A, et al. Correlation between myocardial fibrosis and the occurrence of atrial fibrillation in hypertrophic cardiomyopathy: a cardiac magnetic resonance ima-ging study[J]. Eur J Radiol, 2010, 75(2): e88-e91. DOI:10.1016/j.ejrad.2009.12.012 |
| [13] |
MARON MS, APPELBAUM E, HARRIGAN CJ, et al. Clinical profile and significance of delayed enhancement in hypertrophic cardiomyopathy[J]. Circ Heart Fail, 2008, 1(3): 184-191. DOI:10.1161/CIRCHEARTFAILURE.108.768119 |
| [14] |
YANG SJ, ZHAO KK, YANG K, et al. Subendocardial involvement as an underrecognized LGE subtype related to adverse outcomes in hypertrophic cardiomyopathy[J]. JACC Cardiovasc Imaging, 2023, 16(9): 1163-1177. DOI:10.1016/j.jcmg.2023.03.011 |
| [15] |
GALATI G, LEONE O, PASQUALE F, et al. Histological and histometric characterization of myocardial fibrosis in end-stage hypertrophic cardiomyopathy: a clinical-pathological study of 30 explanted hearts[J]. Circ Heart Fail, 2016, 9(9): e003090. DOI:10.1161/CIRCHEARTFAILURE.116.003090 |
| [16] |
林青, 王佳佳, 葛英辉. 磁共振T1-mapping及细胞外容积在肥厚型心肌病中的应用价值[J]. 放射学实践, 2021, 36(9): 1095-1100. DOI:10.13609/j.cnki.1000-0313.2021.09.004 |
| [17] |
XU J, ZHUANG BY, SIRAJUDDIN A, et al. MRI T1 mapping in hypertrophic cardiomyopathy: evaluation in patients without late gado- linium enhancement and hemodynamic obstruction[J]. Radiology, 2020, 294(2): 275-286. DOI:10.1148/radiol.2019190651 |
| [18] |
CASTELO A, ROSA SA, FIARRESGA A, et al. Late gadolinium enhancement in the left ventricular wall is associated with atrial fibrillation in patients with hypertrophic cardiomyopathy[J]. Int J Cardiovasc Imaging, 2022, 38(12): 2733-2741. DOI:10.1007/s10554-022-02642-8 |
| [19] |
CHUNG H, CHOI EY. Multimodality imaging in patients with hypertrophic cardiomyopathy and atrial fibrillation[J]. Diagnostics, 2023, 13(19): 3049. DOI:10.3390/diagnostics13193049 |
| [20] |
PHILIPSON DJ, RADER F, SIEGEL RJ. Risk factors for atrial fibrillation in hypertrophic cardiomyopathy[J]. Eur J Prev Cardiol, 2021, 28(6): 658-665. DOI:10.1177/2047487319828474 |
| [21] |
TIAN HW, CUI JG, YANG CZ, et al. Left ventricular remodeling in hypertrophic cardiomyopathy patients with atrial fibrillation[J]. BMC Cardiovasc Disord, 2018, 18(1): 207. DOI:10.1186/s12872-018-0945-7 |
| [22] |
GARG L, GUPTA M, SABZWARI SRA, et al. Atrial fibrillation in hypertrophic cardiomyopathy: prevalence, clinical impact, and mana- gement[J]. Heart Fail Rev, 2019, 24(2): 189-197. DOI:10.1007/s10741-018-9752-6 |
2025, Vol. 54



