文章信息
- 乌恩岳苏, 杨晓燕
- Wuenyuesu, YANG Xiaoyan
- 蒙药苏格木勒-7通过抑制TLR4/NF-κB通路减轻子宫内膜炎大鼠炎症反应
- Mongolian medicine Sugemule-7 alleviates inflammatory response in rats with endometritis by inhibiting TLR4/NF-κB pathway
- 中国医科大学学报, 2024, 53(9): 845-852
- Journal of China Medical University, 2024, 53(9): 845-852
-
文章历史
- 收稿日期:2023-10-10
- 网络出版时间:2024-09-10 15:27:43
2. 内蒙古民族大学临床 (蒙医) 学院, 内蒙古民族大学附属医院 生殖医学中心, 内蒙古 通辽 028000
2. Reproductive Medicine Center, Affiliated Hospital of Inner Mongolia Minzu University, Clinical Medical (Mongolian Medical) College of Inner Mongolia Minzu University, Tongliao 028000, China
子宫内膜炎是妇科常见病,占妇科疾病的50%,可导致宫腔水肿、炎性渗出、下腹部疼痛、白带异常、性交痛等,还可引起月经不调、不孕和流产,严重影响女性的生殖健康[1]。目前,子宫内膜炎治疗通常使用抗生素,但效果不显著且容易复发[2]。蒙药苏格木勒-7又称为暖宫七味丸,由天冬、白豆蔻、手掌参、肉豆蔻、沉香、黄精与丁香精制而成,可温煦子宫、调经养血、祛寒止痛,还有助孕作用[3]。有研究[4]显示,暖宫七味丸对慢性盆腔炎效果显著,可减轻局部炎症反应,促进宫腔修复;但是该药物是否可抑制子宫内膜炎的炎症反应以增强疗效尚未可知。Toll样受体4(Toll-like receptor 4,TLR4)/核因子κB(nuclear factor κB,NF-κB)是经典的炎症反应调控通路。有研究[5-6]显示子宫内膜炎发生后TLR4/NF-κB通路被激活,TLR4、NF-κB p65表达升高,而NF-κB活化后可与磷酸化核因子κB抑制因子α(phosphorylated nuclear factor κB inhibitory factor α,p-IκBα)分离使得p-IκBα水平升高,诱发炎症反应。
蒙药苏格木勒-7通过抑制TLR4/NF-κB通路减轻子宫内膜炎炎症反应的研究未见报道。本研究探讨蒙药苏格木勒-7对子宫内膜炎大鼠炎症反应的作用及其机制,旨在为该药在临床中的推广应用提供依据。
1 材料与方法 1.1 材料 1.1.1 实验动物71只SD雌性大鼠,7~9周龄,清洁级,体重180~220 g,购自辽宁长生生物技术股份有限公司[许可证号:SCXK(辽)2020-0001]。饲养条件:光照充足、12 h光照/12h黑暗、18~25 ℃室温、50%~70%相对湿度、通风、定期消毒。本研究获得内蒙古民族大学附属医院医学伦理委员会批准(批号:NM-LL-2021-12-07-06)。
1.1.2 主要药品与试剂蒙药苏格木勒-7(内蒙古民族大学附属医院蒙药制剂室,规格0.2 g,批号20220501),妇科千金胶囊(株洲千金药业股份有限公司,规格0.4 g,批号210114),TLR4抑制剂(TAK-242;北京百奥莱博科技有限公司,货号M04333,规格1 mL,批号22025021),苯酚(广东恒健制药有限公司,规格500 g,批号H20210712),鼠血清TLR4、肿瘤坏死因子-α(tumor necrosis factor- α,TNF-α)、白细胞介素-6(interleukin-6,IL-6)、白细胞介素-1β(interleu-kin-1β,IL-1β)、单核细胞趋化蛋白-1(monocyte che-motactic protein-1,MCP-1)酶联免疫法检测试剂盒(深圳博士德生物工程有限公司,批号20210112、20210681、20210527、20210413、20210326),苏木素-伊红(HE)染色试剂盒(深圳博士德生物工程有限公司,批号R202108175);TRIzol试剂(美国Invitrogen公司,货号1918256)。TLR4、NF-κB p65、IκBα和内参β-actin正向反向引物序列委托宝生物大连科技有限公司合成。逆转录试剂盒(美国Invitrogen公司,货号M2023189),二喹啉甲酸(BCA)法试剂盒(深圳博士德生物工程有限公司,批号202108123),兔抗鼠TLR4、NF-κB p65、IκBα、p-IκBα、β-actin单克隆抗体(工作浓度:1∶600、1∶500、1∶500、1∶500、1∶500,英国Abcam公司,批号R2118825、R2114136、R2115182、R2119176、R2120189),山羊抗兔TLR4、NF-κB p65、IκBα、p-IκBα、β-actin多克隆抗体(工作浓度:均1∶5 000,英国Abcam公司,批号R2120289、R2120253、R2118177、R2120162、R2121024),电化学发光法试剂盒(深圳博士德生物工程有限公司,批号202107022),聚丙烯酰胺(SDS-PAGE)凝胶(深圳博士德生物工程有限公司,批号202105173)。
1.1.3 主要设备SW-CJ-1B型超净工作台、ME5型微量电子天平(上海精密仪器仪表公司),LA500型台式离心机、H1850型高速离心机(湖南湘仪离心机有限公司),SpectraMax Plus384型酶标仪(美国MD公司),EG1150 HC型石蜡包埋机(德国Leica公司),HS-3345型组织切片机(北京莱博瑞杰科技有限公司),DSZ-44PF型光学显微镜(日本Carton公司),T100型PCR仪、PowerPac Basic型电泳仪(美国Bio-Rad公司),FluorChem HD2型凝胶成像分析系统(美国Protein Simple公司)。
1.2 方法 1.2.1 模型建立与分组精确称取3.0 g苯酚,溶于少量无菌生理盐水,逐渐加入浆糊混匀至20 mL。大鼠2.5%戊巴比妥钠(0.15 mL/100 g)腹腔给药麻醉,打开腹腔,确定子宫位置,向右侧子宫内注入15%苯酚胶浆(0.15 mL),逐层缝合。若注药前发现大鼠子宫有炎症或注药有阻力则剔除。10 d后随机取1只大鼠处死观察子宫内膜,若有大量淋巴细胞与浆细胞浸润、纤维组织增生则证明建模成功[7]。将建模成功大鼠按照随机数字表分为蒙药低剂量组、蒙药中剂量组、蒙药高剂量组、妇科千金胶囊组、TAK-242组、模型组,每组各10只。另取10只大鼠记作对照组,仅常规腹腔麻醉、打开腹腔、向右侧子宫内注入等量生理盐水后逐层缝合。根据成人蒙药苏格木勒-7临床用药剂量(7.62 g/d),按照60 kg体重计算,剂量为0.127 g/kg,大鼠等效剂量为成人的6.3倍,即0.127×6.3≈0.8 g/kg,将蒙药低剂量组设为临床等效剂量、蒙药中剂量组=临床等效剂量×2、蒙药高剂量组=临床等效剂量×4。蒙药低剂量组、中剂量组、高剂量组分别给予蒙药苏格木勒-7(0.8 g/kg、1.6 g/kg、3.2 g/kg)溶于蒸馏水(1 mL/100 g)灌胃,1次/d。妇科千金胶囊组给予妇科千金胶囊(1.6 g/kg)灌胃,1次/d;TAK-242组给予TAK-242(0.3 mg/kg)腹腔注射,隔日1次。模型组和对照组均给予蒸馏水(1 mL/100 g)灌胃,1次/d。各组均给药3周。
1.2.2 大鼠处理方法各组大鼠均于末次给药后禁食12 h,取腹主动脉血(5 mL)保存于-4 ℃冰箱中,用来检测血清炎性细胞因子水平。然后采用脊髓脱臼法处死大鼠,迅速打开腹腔,剥离右侧子宫取内膜组织置于甲醛溶液中固定,用来进行病理、基因和蛋白表达检测。
1.2.3 血清炎性细胞因子水平检测采用酶联免疫法检测血清TLR4、TNF-α、IL-6、IL-1β、MCP-1水平。腹主动脉血3 000 r/min离心10 min,离心半径为10 cm。取上清液按照试剂盒说明书检测,酶标仪测定450 nm波长处的光密度值,利用标准曲线计算出待检测样品中细胞因子的水平。
1.2.4 子宫内膜组织病理改变取子宫内膜组织,固定后透明、包埋、连续切片,厚度4 μm。脱蜡水化,依照HE染色试剂盒操作。中性树脂封片,高倍镜下观察病理改变情况。将子宫粘连或扩张、炎症浸润、上皮变性坏死、充血水肿、上皮细胞增生赋分。赋分标准:无,0分;轻度,1分;中度,2分;重度,3分;极重度,4分[8]。
1.2.5 实时定量PCR(real-time quantitative PCR,RT-qPCR)检测TLR4、NF-κB p65、IκBα mRNA表达取子宫内膜组织,液氮研磨匀浆,提取总RNA,逆转录。按照Primer5.0设计引物序列,见表 1。配置反应体系,共20 μL。反应流程:94 ℃预变性(2 min)、94 ℃变性(1 min)、36℃退火(2 min)、72 ℃延伸(2 min),共40个循环,最后72 ℃延伸(10 min)。采集Ct值,按照2-ΔΔCt计算相对表达量。
| Gene | Primer sequences | Product length(bp) |
| TLR4 | Forward 5’-ATGCTGAGAGCTTGGCTTTG-3’ | 220 |
| Reverse 5’-TTGAGCTTAGAGCGCGACA-3’ | ||
| NF-κB p65 | Forward 5’-TTGAGATCTGAGAGAGGAGCTA-3’ | 248 |
| Reverse 5’-TGCGAGATGCGGAGGAGATCGA-3’ | ||
| IκBα | Forward 5’-TGGCGCGATAGCGAGAGCGAACA-3’ | 272 |
| Reverse 5’-AAGAGAGAGTTTAGAGAGATATAGC-3’ | ||
| β-actin | Forward 5’-ATGGGAGACTAGAGCTAG-3’ | 196 |
| Reverse 5’-TGGCGCGCGATAGCGAGAT-3’ |
1.2.6 Western blotting检测TLR4、NF-κB p65、IκBα、p-IκBα蛋白表达
取子宫内膜组织,BCA法提取总蛋白,SDS-PAGE凝胶电泳,转膜仪转膜。5%脱脂奶粉封闭、室温孵育2 h。加入一抗,4 ℃孵育过夜;洗涤后加入二抗,室温孵育2 h。ECL显色,暗室曝光。目的蛋白与β-actin条带灰度值比值为蛋白的相对表达量。
1.3 统计学分析采用SPSS 21.0软件进行统计分析。符合正态分布计量资料采用x±s表示,组间比较采用单因素方差分析和SNK-q检验;不符合正态分布计量资料采用M(P25~P75)表示,组间比较采用Kruskal-Wallis H和Mann-Whitney U检验。P < 0.05为差异有统计学意义。
2 结果 2.1 各组血清炎性细胞因子水平比较干预期间模型组有1只大鼠灌胃不慎致死,其余均存活。
与对照组比较,模型组血清TLR4、TNF-α、IL-6、IL-1β、MCP-1水平均增高(均P < 0.05);与模型组比较,妇科千金胶囊组、TAK-242组、蒙药各剂量组血清TLR4、TNF-α、IL-6、IL-1β、MCP-1水平均降低(均P < 0.05);与蒙药低剂量组比较,妇科千金胶囊组、TAK-242组、蒙药中剂量组和蒙药高剂量组血清TLR4、TNF-α、IL-6、IL-1β、MCP-1水平均降低(均P < 0.05);与蒙药中剂量组和妇科千金胶囊组比较,TAK-242组和蒙药高剂量组血清TLR4、TNF-α、IL-6、IL-1β、MCP-1水平均降低(均P < 0.05);与TAK-242组比较,蒙药高剂量组血清TLR4、TNF-α、IL-6、IL-1β、MCP-1水平均降低(均P < 0.05);蒙药中剂量组与妇科千金胶囊组血清TLR4、TNF-α、IL-6、IL-1β、MCP-1水平比较差异均无统计学意义(均P > 0.05)。见表 2。
| Group | n | TLR4(pg/mL) | TNF-α(ng/mL) | IL-6(ng/mL) | IL-1β(ng/mL) | MCP-1(pg/mL) |
| Control group | 10 | 151.02±20.14 | 7.15±1.28 | 2.04±0.41 | 4.11±0.70 | 2.25±0.42 |
| Model group | 9 | 485.69±73.101) | 33.67±6.041) | 9.18±1.721) | 20.25±3.971) | 11.88±1.251) |
| Metronidazole group | 10 | 310.25±47.202) | 20.85±4.032) | 5.16±1.032) | 13.11±2.682) | 6.12±1.022) |
| TAK-242 group | 10 | 258.69±40.122),3) | 13.15±2.122),3) | 4.71±0.782),3) | 10.25±1.942),3) | 4.65±0.822),3) |
| Mongolian medicine low dose group | 10 | 401.24±50.552) | 27.15±5.122) | 7.20±1.222) | 16.12±3.202) | 8.70±1.062) |
| Mongolian medicine medium dose group | 10 | 312.38±46.732) | 20.11±4.372) | 5.14±0.962) | 13.05±2.772) | 6.15±1.012) |
| Mongolian medicine high dose group | 10 | 184.25±33.072),3),4) | 11.06±2.042),3),4) | 3.89±0.752),3),4) | 8.96±1.832),3),4) | 3.84±0.712),3),4) |
| 1)P < 0.05 vs. control group;2)P < 0.05 vs. model group;3)P < 0.05 vs. metronidazole group;4)P < 0.05 vs. TAK-242 group. | ||||||
2.2 各组子宫内膜组织病理改变比较
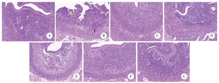
对照组子宫各层次结构清晰、子宫内膜上皮细胞完整,间质无炎症反应,未见增生或萎缩。模型组子宫结构严重紊乱、层次不清、有大量炎性细胞浸润,上皮细胞严重脱落,黏膜层、固有层与浆膜层均较薄。蒙药低剂量组子宫结构紊乱、层次不清、有较多炎症细胞浸润,上皮细胞脱落,黏膜层、固有层与浆膜层均变薄;妇科千金胶囊组和蒙药中剂量组子宫结构和层次基本清晰、有部分炎症细胞浸润,上皮细胞部分脱落,黏膜层、固有层与浆膜层稍薄;TAK-242组子宫结构和层次基本清晰、有少量炎症细胞浸润,上皮细胞少量脱落,黏膜层、固有层与浆膜层厚度无明显改变;蒙药高剂量组子宫结构和层次清晰、有极少炎症细胞浸润,上皮细胞极少脱落,黏膜层、固有层与浆膜层厚度基本无改变。见图 1。
|
| A, control group; B, model group; C, metronidazole group; D, TAK-242 group; E, Mongolian medicine low dose group; F, Mongolian medicine medium dose group; G, Mongolian medicine high dose group. Black arrow, glandular expansion; red arrow, inflammatory cell infiltration; yellow arrow, papillary proliferation of epithelial cells; blue arrow, cellular edema; green arrow, collagen deposition (fibroblast proliferation); orange arrow, deposition of hemosiderin. 图 1 各组大鼠子宫内膜组织HE染色结果×200 Fig.1 HE staining results of endometrial tissue in each group of rats ×200 |
2.3 各组子宫内膜组织病理改变评分比较
与对照组比较,模型组子宫粘连或扩张、炎症浸润、上皮变性坏死、充血水肿、上皮细胞增生评分均较高(P < 0.05);与模型组比较,妇科千金胶囊组、TAK-242组、蒙药低中高剂量组病理改变评分指标均降低(P < 0.05)。与蒙药低剂量组比较,妇科千金胶囊组、TAK-242组、蒙药中剂量组和蒙药高剂量组子宫粘连或扩张、炎症浸润、上皮变性坏死、充血水肿、上皮细胞增生评分均降低(均P < 0.05);与蒙药中剂量组和妇科千金胶囊组比较,TAK-242组和蒙药高剂量组子宫粘连或扩张、炎症浸润、上皮变性坏死、充血水肿、上皮细胞增生评分均降低(均P < 0.05);与TAK-242组比较,蒙药高剂量组子宫粘连或扩张、炎症浸润、上皮变性坏死、充血水肿、上皮细胞增生评分均降低(均P < 0.05);蒙药中剂量组与妇科千金胶囊组子宫粘连或扩张、炎症浸润、上皮变性坏死、充血水肿、上皮细胞增生评分比较差异均无统计学意义(均P > 0.05)。见表 3。
| Group | n | Uterine adhesion or dilation | Inflammatory infiltration | Epithelial degeneration and necrosis | Congestive edema | Epithelial cell proliferation |
| Control group | 10 | 0(0-0) | 0(0-0) | 0(0-0) | 0(0-0) | 0(0-0) |
| Model group | 9 | 4(3-4)1) | 4(3-4)1) | 3(3-4)1) | 4(3-4)1) | 4(4-4)1) |
| Metronidazole group | 10 | 2(2-2)2) | 2(2-2)2) | 2(2-3)2) | 2(2-2)2) | 2(2-2)2) |
| TAK-242 group | 10 | 2(1-2)2),3) | 2(2-2)2),3) | 2(1-2)2),3) | 2(2-2)2),3) | 2(2-2)2),3) |
| Mongolian medicine low dose group | 10 | 3(2-3)2) | 3(3-4)2) | 3(3-3)2) | 3(2-4)2) | 3(3-3)2) |
| Mongolian medicine medium dose group | 10 | 2(2-2)2) | 2(2-3)2) | 2(1-3)2) | 2(2-3)2) | 2(2-3)2) |
| Mongolian medicine high dose group | 10 | 1(1-1)2),3),4) | 1(1-1)2),3),4) | 1(1-1)2),3),4) | 1(1-1)2),3),4) | 1(1-2)2),3),4) |
| 1)P < 0.05 vs. control group;2)P < 0.05 vs. model group;3)P < 0.05 vs. metronidazole group;4)P < 0.05 vs. TAK-242 group. | ||||||
2.4 各组子宫内膜组织TLR4、NF-κB p65、IκBα mRNA表达比较
与对照组比较,模型组TLR4、NF-κB p65、IκBα mRNA表达均增高(均P < 0.05);与模型组比较,妇科千金胶囊组、TAK-242组、蒙药各剂量组TLR4、NF-κB p65、IκBα mRNA表达均降低(P < 0.05)。与蒙药低剂量组比较,妇科千金胶囊组、TAK-242组、蒙药中剂量组和蒙药高剂量组TLR4、NF-κB p65、IκBα mRNA表达均降低(均P < 0.05);与蒙药中剂量组和妇科千金胶囊组比较,TAK-242组和蒙药高剂量组TLR4、NF-κB p65、IκBα mRNA表达均降低(均P < 0.05);与TAK-242组比较,蒙药高剂量组TLR4、NF-κB p65、IκBα mRNA表达均降低(均P < 0.05);蒙药中剂量组与妇科千金胶囊组TLR4、NF-κB p65、IκBα mRNA表达比较差异均无统计学意义(均P > 0.05)。见表 4。
| Group | n | TLR4 | NF-κB p65 | IκBα |
| Control group | 10 | 0.75±0.11 | 1.02±0.18 | 0.46±0.07 |
| Model group | 9 | 2.10±0.321) | 2.25±0.351) | 1.79±0.221) |
| Metronidazole group | 10 | 1.56±0.232) | 1.60±0.242) | 1.07±0.192) |
| TAK-242 group | 10 | 1.06±0.132),3) | 0.95±0.142),3) | 0.71±0.132),3) |
| Mongolian medicine low dose group | 10 | 1.78±0.292) | 1.89±0.302) | 1.44±0.202) |
| Mongolian medicine medium dose group | 10 | 1.52±0.212) | 1.64±0.252) | 1.05±0.182) |
| Mongolian medicine high dose group | 10 | 1.04±0.122),3),4) | 0.96±0.152),3),4) | 0.73±0.122),3),4) |
| 1)P < 0.05 vs. control group;2)P < 0.05 vs. model group;3)P < 0.05 vs. metronidazole group;4)P < 0.05 vs. TAK-242 group. | ||||
2.5 各组子宫内膜组织TLR4、NF-κB p65、IκBα、p-IκBα蛋白表达比较
与对照组比较,模型组TLR4、NF-κB p65、IκBα、p-IκBα蛋白表达与p-IκBα/IκBα均增高(均P < 0.05);与模型组比较,妇科千金胶囊组、TAK-242组、蒙药各剂量组上述指标均降低(均P < 0.05)。与蒙药低剂量组比较,妇科千金胶囊组、TAK-242组、蒙药中剂量组和蒙药高剂量组TLR4、NF-κB p65、IκBα、p-IκBα蛋白表达与p-IκBα/IκBα均降低(均P < 0.05);与蒙药中剂量组和妇科千金胶囊组比较,TAK-242组和蒙药高剂量组TLR4、NF-κB p65、IκBα、p-IκBα蛋白表达与p-IκBα/IκBα均降低(均P < 0.05);蒙药高剂量组与TAK-242组比较TLR4、NF-κB p65、IκBα、p-IκBα蛋白表达与p-IκBα/IκBα均无统计学差异(均P > 0.05);蒙药中剂量组与妇科千金胶囊组TLR4、NF-κB p65、IκBα、p-IκBα蛋白表达与p-IκBα/IκBα比较差异均无统计学意义(均P > 0.05)。见图 2、表 5。
|
| 1, control group; 2, model group; 3, metronidazole group; 4, TAK-242 group; 5, Mongolian medicine low dose group; 6, Mongolian medicine medium dose group; 7, Mongolian medicine high dose group. 图 2 各组子宫内膜组织TLR4、NF-κB p65、IκBα、p-IκBα蛋白表达 Fig.2 Expressions of TLR4, NF-κB p65, I κBα, and p-I κBα proteins in endometrial tissues in different groups |
| Group | n | TLR4 | NF-κB p65 | IκBα | p-IκBα | p-IκBα/IκBα |
| Control group | 10 | 0.95±0.17 | 0.34±0.09 | 0.58±0.12 | 0.16±0.03 | 0.28±0.04 |
| Model group | 9 | 2.62±0.421) | 2.58±0.561) | 2.69±0.431) | 2.28±0.391) | 0.85±0.131) |
| Metronidazole group | 10 | 1.68±0.312) | 1.37±0.222) | 1.60±0.272) | 0.71±0.152) | 0.44±0.052) |
| TAK-242 group | 10 | 1.24±0.252),3) | 0.96±0.152),3) | 1.19±0.212),3) | 0.43±0.072),3) | 0.36±0.062),3) |
| Mongolian medicine | ||||||
| Low dose group | 10 | 2.37±0.362) | 1.65±0.252) | 2.08±0.352) | 1.22±0.182) | 0.59±0.072) |
| Medium dose group | 10 | 1.65±0.322) | 1.34±0.272) | 1.63±0.242) | 0.75±0.162) | 0.46±0.062) |
| High dose group | 10 | 1.28±0.272),3) | 0.98±0.172),3) | 1.22±0.212),3) | 0.41±0.052),3) | 0.34±0.052),3) |
| 1) P < 0.05 vs. control group;2) P < 0.05 vs. model group;3) P < 0.05 vs. metronidazole group. | ||||||
3 讨论
子宫内膜炎通常由妊娠和分娩、宫腔手术、宫颈炎与阴道炎上行感染等引发,若炎症控制不彻底或感染源持续存在,则可导致炎症反复。妇科千金胶囊具有抗炎作用,在子宫内膜炎、盆腔炎等妇科炎症疾病患者中疗效确切,但仍有部分患者病情反复、不易根治[9-10]。因此,探索新的有效治疗药物十分必要。
子宫内膜炎可归属于“带下病”“漏下”“腹痛”等范畴,是湿热毒邪共同作用的病理产物。现代中医学者[11-12]认为,产后余血浊液滞留,胞宫胞脉空虚,加之体虚身弱,卫外不固,若产褥不洁,湿热毒邪乘虚而入;或经期同房、恶露未尽、阴部污血未清、手术消毒不严,致毒邪内侵。湿热毒邪客于脉络,与血相搏,加之身弱体虚、气血亏损,使胞宫阻滞、气血凝滞、运行受阻,损伤任脉。蒙医学者[13]认为,过度劳累、情绪不畅、饮食不当、恶露经血瘀滞,可致使三元(赫依、巴达干、希拉)失衡,赫依、希拉旺盛,与巴达干相搏,伤于子宫,加之毒邪入侵,可引发子宫、卵巢、盆腔等炎症。蒙药苏格木勒-7出自《观者之喜》,融合了中医、藏医和蒙医的理论知识和研究基础,是女子下腹冷痛、炎症、不孕不育的经典治疗药物。蒙药苏格木勒-7以豆蔻为主药,可抑制赫依、希拉,调节三元平衡;配以手参养精补肾、强健中元,黄精固阳卫外;佐以丁香、肉豆蔻、沉香、天门冬强精补肾、抑毒祛邪,增强抑制赫依之效。诸药合用,调理经气血行、抗炎止痛、祛寒暖宫,对妇人带下病疗效确切。临床试验研究[14]发现,蒙药苏格木勒-7对妇科炎症有效,可减轻炎症反应。本研究发现,蒙药低、中、高剂量组大鼠子宫HE染色病理改变较模型组显著减轻,蒙药中剂量组与妇科千金胶囊组作用相当,而蒙药高剂量组作用最佳,提示蒙药苏格木勒-7可用于治疗子宫内膜炎。
此外,本研究还显示,蒙药低、中、高剂量组均可降低血清TLR4、TNF-α、IL-6、IL-1β、MCP-1水平,且其作用呈剂量依赖性,而蒙药高剂量组的作用也优于TAK-242组,提示蒙药苏格木勒-7治疗子宫内膜炎大鼠可抑制炎症反应,应用高剂量药物可达到优于TLR4抑制剂的效果。TLR4/NF-κB是经典的炎症反应调控通路。致病菌入侵机体后产生大量毒素,损伤子宫内膜上皮细胞,此过程中TLR4激活,上调NF-κB p65为代表的NF-κB家族成员的表达,诱导TNF-α、IL-6、IL-1β、MCP-1等促炎性细胞因子的产生与释放,使血液中TLR4、TNF-α、IL-6、IL-1β、MCP-1水平升高,而局部组织中TLR4、NF-κB p65表达上调[15-16]。另一方面,NF-κB p65激活后可增加p-IκBα水平,共同参与炎症反应。已有研究[17]指出,TLR4抑制剂可抑制TLR4/NF-κB通路的活性,进而降低促炎性细胞因子水平、减轻炎症反应;也有研究[18]显示在子宫内膜炎发病过程中血清TNF-α、IL-6、IL-1β水平升高且与病情有关。另有研究[19]表明下调TLR4表达,可降低NF-κB p65表达与p-IκBα水平,减轻子宫内膜炎症反应。本研究中蒙药低、中、高剂量组子宫内膜组织TLR4、NF-κB p65、IκBα mRNA与蛋白表达、p-IκBα水平均低于模型组,且蒙药中剂量组与TAK-242组上述指标基本相当,提示中剂量蒙药苏格木勒-7对子宫内膜炎的作用相当于TLR4抑制剂,推测蒙药苏格木勒-7可能通过抑制TLR4/NF-κB通路减轻子宫内膜炎大鼠的炎症反应。有研究证实,豆蔻的有效成分可抑制TLR4通路的活性[20];黄精多糖也可抑制TLR4通路控制胃癌生长,调节免疫功能[21]。因此推测蒙药苏格木勒-7可能是豆蔻与黄精中的有效成分发挥TLR4抑制作用的。另外,本研究结果还显示蒙药高剂量组抗炎、减轻子宫内膜损伤的作用均优于TAK-242组,推测蒙药苏格木勒-7还可能通过其他途径产生抗炎、减轻子宫内膜损伤作用的。
综上所述,蒙药苏格木勒-7可通过抑制TLR4/NF-κB信号通路降低子宫内膜炎大鼠血清炎性细胞因子水平,减轻子宫内膜组织病理改变。蒙药苏格木勒-7的作用呈剂量依赖性,且高剂量效果优于妇科千金胶囊和TAK-242。本研究的不足之处:蒙药苏格木勒-7治疗子宫内膜炎是否有其他分子作用机制并未明确,而且在子宫内膜炎临床中的疗效及安全性也需进一步观察。
| [1] |
郑丹蕾, 李蓉. 慢性子宫内膜炎的诊断方法及争议[J]. 中国实用妇科与产科杂志, 2021, 37(12): 1265-1268. DOI:10.19538/j.fk2021120121 |
| [2] |
MARKWEI MT, BABATUNDE I, RATHI N, et al. Preincision adjunctive prophylaxis for cesarean deliveries a systematic review and meta-analysis[J]. Am J Obstet Gynecol, 2021, 225(4): 382.e1-382382.e13. DOI:10.1016/j.ajog.2021.04.259 |
| [3] |
春莲, 吴伟乐斯, 其勒木格, 等. 苏格木勒-7对CTX致卵巢功能低下大鼠的卵巢功能保护作用研究[J]. 中国实验诊断学, 2021, 25(9): 1390-1394. DOI:10.3969/j.issn.1007-4287.2021.09.041 |
| [4] |
赵中华, 王玉莹, 包桂兰, 等. 暖宫七味丸的药效学研究[J]. 现代中西医结合杂志, 2008, 17(8): 1150-1151. DOI:10.3969/j.issn.1008-8849.2008.08.009 |
| [5] |
JIANG KF, YANG J, SONG CL, et al. Enforced expression of miR-92b blunts E. coli lipopolysaccharide-mediated inflammatory injury by activating the PI3K/AKT/β-catenin pathway via targeting PTEN[J]. Int J Biol Sci, 2021, 17(5): 1289-1301. DOI:10.7150/ijbs.56933 |
| [6] |
GHANAVATINEJAD A, RASHIDI N, MIRAHMADIAN M, et al. Vitamin D3 controls TLR4-and TLR2-mediated inflammatory responses of endometrial cells[J]. Gynecol Obstet Invest, 2021, 86(1/2): 139-148. DOI:10.1159/000513590 |
| [7] |
和翀翼, 武瑞, 李利, 等. 大鼠子宫内膜炎模型复制及其中西药复方乳剂治疗[J]. 中国实验动物学报, 2008, 16(3): 214-216, 249. DOI:10.3969/j.issn.1005-4847.2008.03.013 |
| [8] |
马德星. 动物病理解剖学实验[M]. 北京: 中国农业大学出版社, 2015.
|
| [9] |
邓静, 林丽美, 张鹏, 等. 基于GC-MS的妇科千金胶囊挥发油治疗盆腔炎大鼠的血清代谢组学研究[J]. 中药新药与临床药理, 2020, 31(12): 1462-1469. DOI:10.19378/j.issn.1003-9783.2020.12.011 |
| [10] |
胡樱凡, 符佳, 张艳, 等. 妇科千金胶囊对LPS诱导RAW 264.7细胞炎症及氧化应激的影响[J]. 中成药, 2021, 43(11): 3152-3158. DOI:10.3969/j.issn.1001-1528.2021.11.042 |
| [11] |
季晓黎. 魏绍斌教授内外合治慢性子宫内膜炎性不孕[J]. 成都中医药大学学报, 2022, 45(2): 30-33. DOI:10.13593/j.cnki.51-1501/r.2022.02.030 |
| [12] |
孙光娟, 甘琴霞, 毛洁, 等. 清热复膜汤治疗慢性子宫内膜炎疗效及作用机制探讨[J]. 中国计划生育学杂志, 2021, 29(1): 49-54. DOI:10.3969/j.issn.1004-8189.2021.01.012 |
| [13] |
赵玉玲. 五味甘露治疗妇科赫依瘀症时的护理[J]. 中国蒙医药(蒙), 2022, 17(10): 159-161. |
| [14] |
张东旭, 李偲, 刘羽康, 等. 基于网络药理学的蒙药暖宫七味丸治疗原发性痛经作用机制及实验验证研究[J]. 药物评价研究, 2022, 45(8): 1531-1539. DOI:10.7501/j.issn.1674-6376.2022.08.010 |
| [15] |
SCHJENKEN JE, SHARKEY DJ, GREEN ES, et al. Sperm modulate uterine immune parameters relevant to embryo implantation and reproductive success in mice[J]. Commun Biol, 2021, 4(1): 572. DOI:10.1038/s42003-021-02038-9 |
| [16] |
RADNAA E, RICHARDSON LS, SHELLER-MILLER S, et al. Extracellular vesicle mediated feto-maternal HMGB1 signaling induces preterm birth[J]. Lab Chip, 2021, 21(10): 1956-1973. DOI:10.1039/d0lc01323d |
| [17] |
CARBONNEL M, CORNET N, REVAUX A, et al. Analysis of blood parameters and molecular endometrial markers during early reperfusion in two ovine models of uterus transplantation[J]. PLoS One, 2021, 16(5): e0251474. DOI:10.1371/journal.pone.0251474 |
| [18] |
邵永斌, 郑一闯, 张竞怡, 等. 益母草碱对LPS诱导小鼠子宫内膜炎的抗炎作用研究[J]. 中国畜牧兽医, 2023, 50(5): 2149-2155. DOI:10.16431/j.cnki.1671-7236.2023.05.041 |
| [19] |
RAVEL J, MORENO I, SIMÓN C. Bacterial vaginosis and its association with infertility, endometritis, and pelvic inflammatory disease[J]. Am J Obstet Gynecol, 2021, 224(3): 251-257. DOI:10.1016/j.ajog.2020.10.019 |
| [20] |
邓超, 任改艳, 孙阿宁, 等. 豆蔻明对TLR4/MyD88/NF-κB/iNOS信号通路的调节作用[J]. 中国药理学通报, 2016, 32(6): 779-782, 783. DOI:10.3969/j.issn.1001-1978.2016.06.009 |
| [21] |
吕品田, 段昕波. 黄精多糖对MFC胃癌荷瘤小鼠抑瘤及免疫调节作用[J]. 中成药, 2020, 42(8): 2169-2172. DOI:10.3969/j.issn.1001-1528.2020.08.041 |
2024, Vol. 53



