文章信息
- 严妍, 张颐
- YAN Yan, ZHANG Yi
- 疑似系统性红斑狼疮误诊为卵巢癌1例报道
- A suspected case of systemic lupus erythematosus misdiagnosed as ovarian cancer
- 中国医科大学学报, 2022, 51(4): 379-381
- Journal of China Medical University, 2022, 51(4): 379-381
-
文章历史
- 收稿日期:2021-09-03
- 网络出版时间:2022-04-29 10:35
系统性红斑狼疮(systemic lupus erythematosus,SLE)是一种病因和机制不明的自身免疫性疾病,临床上常表现为多个器官和系统受累,缺乏特异性症状。本文报道了1例被误诊为卵巢癌的疑似SLE病例,探讨了其误诊原因。
1 临床资料患者,女,36岁,已婚育,以“腹胀2个月,加重半个月”为主诉入院。询问病史,自诉2个月前进食油腻后出现腹胀,半个月前进食海鲜后持续腹泻,3~4次/d,于当地医院住院行对症支持治疗,症状有所缓解。1周前腹胀加重,伴有乏力。当地医院胃镜检查提示浅表性胃炎,全腹增强CT提示右侧卵巢囊实混合性占位性病变,大量腹腔积液,双肺胸腔积液伴下肺炎症、含气不良。于当地医院行腹腔穿刺放水,共放出800 mL腹水,症状略缓解。3 d前再次出现腹胀,难以忍受,伴有呼吸困难、难以平卧,于2020年10月21日来我院就诊。因全腹增强CT提示附件区存在占位性病变,血清糖类抗原125(carbohydrate antigen 125,CA125)和人附睾蛋白4(human epididymis protein 4,HE4)均升高且合并腹水,首诊考虑卵巢癌可能性大,收入我科进一步诊治。
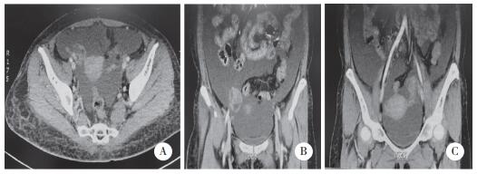
患者入院时一般状态欠佳,心率达120次/min,血压84/62 mmHg,体温36.6 ℃,呼吸16次/min。妇科查体:双附件区厚,子宫直肠窝空虚。完善实验室检查。血清肿瘤标志物:CA125 789 U/mL,HE4 156.3 pmol/L,其余肿瘤标志物未见异常。盆腔超声提示:右侧卵巢大小约4.2 cm×2.4 cm,形态欠规整,回声不均匀(图 1A),内见数个囊泡样回声,大者直径约0.92 cm,其内清晰(图 1B);右侧卵巢内还可见低回声,大小约1.8 cm×1.6 cm,未见血流(图 1C);左侧卵巢大小约2.5 cm×1.6 cm(图 1D)。全腹增强CT提示:双侧附件区生理性囊肿可能大(图 2)。炎症相关指标:C反应蛋白12.6 mg/L。其余检查发现,患者合并肺栓塞、下腔静脉和左肾静脉血栓不除外,胸腔积液,心包少量积液,低氧血症,低蛋白血症,离子紊乱(低钾、低钠、低钙),肾功能不全。给予患者吸氧、纠正离子紊乱、消炎、抗凝等一系列对症支持治疗。患者入院第2天腹泻加重,呈水样便,每日高达10余次,给予止泻治疗。患者因呼吸困难、腹胀难忍,遂行腹腔穿刺放腹水,标本送检未发现瘤细胞(图 3)。因患者目前存在多脏器损害和多浆膜腔积液等症状和体征,且我院的影像学检查和腹水化验均无法得到卵巢恶性肿瘤的诊断,故请风湿免疫科医生会诊,建议行风湿免疫相关生化检查。结果回报:抗核抗(+),1∶320,核颗粒型;抗SSA抗体(3+),抗SSB抗体(3+);抗Ro-52抗体(2+);单项补体C3 0.23 g/L,单项补体C4 0.01 g/L,红细胞沉降率66 mm/h。风湿免疫科会诊结果:除外妇科肿瘤和感染后,考虑SLE可能性大,建议转入风湿免疫科进一步诊治。患者和家属拒绝进一步诊治,患者于2020年11月5日因急性肺栓塞、呼吸衰竭死亡。
|
| A,右侧卵巢形态欠规整,回声不均匀;B,右侧卵巢内见数个囊泡样回声,其内清晰;C,右侧卵巢内低回声,未见血流;D,左侧卵巢. 图 1 盆腔超声图像 |
|
| A,水平面;B,C,冠状面. 图 2 全腹增强CT图像 |
|
| 图 3 腹水穿刺液未见瘤细胞×400 |
2 讨论
据文献报道,SLE 90%以上发生于女性,育龄期妇女为最常见的患病人群,目前发病率为20/10万~150/10万。SLE可累及全身结缔系统,大多发病较为隐匿,开始仅累及1~2个系统,随着疾病的进展,逐渐表现为多器官多系统受累,如皮肤、关节、心脏、肾脏、浆膜、神经和血管,临床症状较为多样[1-2]。
出现消化系统表现的SLE患者比例高达50%,腹痛、呕吐、腹泻为常见的消化道症状[3]。研究[4]报道,以消化道症状为首发症状的病例并不少见,临床上也存在将SLE误诊为结核性腹膜炎、急性胃肠炎和肠梗阻的病例。本例患者是典型的以消化道症状为首发症状的SLE病例,询问病史后发现,初诊时忽略了该患者的首发症状为一系列消化道症状。
本例患者最初因外院CT提示附件区存在一囊实混合性包块、合并腹水、血清卵巢癌相关肿瘤标志物CA125和HE4升高,被高度怀疑为卵巢癌。患者于我院复查盆腔超声和全腹增强CT,结果均未提示附件区存在可疑包块。虽然医学中也存在正常大小卵巢癌综合征,其特征是卵巢大小正常,但腹腔内癌灶呈弥漫性转移[5]。这在我院的影像学检查中未得到证实。
腹水是卵巢癌常见的并发症之一[6],也是较为常见的一个临床症状[7]。在导致恶性腹水的原因中,最常见的恶性肿瘤即为卵巢癌,其中常见的类型为以浆液性或黏液性囊腺癌为代表的卵巢上皮性肿瘤[5]。腹水因易获得,也常用于疾病诊断及恶性肿瘤分期[8],临床上卵巢癌的诊断需以包块穿刺取病理和(或)腹水中找到癌细胞为依据。值得关注的是,本例患者存在多浆膜腔积液,即在盆腹腔大量积液的同时合并胸腔积液和心包积液。多浆膜腔积液是指同时存在2个或以上的浆膜腔(胸、腹、心包、盆腔)积液,可发生于多种疾病中,如恶性肿瘤、心肝肾系统功能不全、甲状腺功能减退等疾病[9]。近年也有研究[10]报道SLE患者出现多浆膜腔积液的临床表现。研究[11-12]显示,SLE患者中多达2.28%合并多浆膜腔积液,在给疾病诊治带来困难的同时,也常提示患者预后不良。
血清CA125对卵巢癌的特异性不强。查阅文献发现,多浆膜腔积液患者的CA125阳性率较无浆膜腔积液患者显著升高(P < 0.05)。由此可以推断,CA125升高很可能与浆膜腔积液的存在有关,SLE患者也可出现由浆膜腔积液继发的血清CA125水平升高[13]。研究[14]表明,SLE患者的血清HE4水平升高与狼疮性肾炎或慢性肾脏病的发生密切相关,它可能作为诊断狼疮性肾炎或慢性肾脏病的新兴生物标志物。本例患者存在低蛋白血症、肾功能不全和离子紊乱,均可能与SLE导致的肾脏功能损害相关。
SLE的临床表现复杂多样又缺乏特异性,且风湿相关抗体并非常规实验室检查指标,若合并其他系统疾病时常容易误诊或漏诊。本例患者的诊疗过程提示,当患者出现多浆膜腔积液、低蛋白血症或多器官受累的临床表现时,若不能用单一系统疾病解释相关症状和体征,应与SLE进行鉴别诊断,继而精准治疗,改善患者预后。
| [1] |
TSOKOS GC. Autoimmunity and organ damage in systemic lupus erythematosus[J]. Nat Immunol, 2020, 21(6): 605-614. DOI:10.1038/s41590-020-0677-6 |
| [2] |
TANAKA Y. State-of-the-art treatment of systemic lupus erythematosus[J]. Int J Rheum Dis, 2020, 23(4): 465-471. DOI:10.1111/1756-185x.13817 |
| [3] |
牛美智, 周然, 冷冰杰. 以消化系统症状为首发表现的系统性红斑狼疮10例临床分析[J]. 现代诊断与治疗, 2013, 24(8): 1789-1790. DOI:10.3969/j.issn.1001-8174.2013.08.074 |
| [4] |
郭璐, 殷学礼. 以消化道症状为首发的系统性红斑狼疮3例误诊分析[J]. 河北医药, 2008, 30(7): 1078. DOI:10.3969/j.issn.1002-7386.2008.07.124 |
| [5] |
徐大洲. 不明原因腹水67例诊断分析[J]. 交通医学, 2013, 27(4): 355-356, 358. DOI:10.3969/j.issn.1006-2440.2013.04.014 |
| [6] |
MATTE I, GARDE-GRANGER P, BESSETTE P, et al. Ascites from ovarian cancer patients stimulates MUC16 mucin expression and secretion in human peritoneal mesothelial cells through an Akt- dependent pathway[J]. BMC Cancer, 2019, 19(1): 406. DOI:10.1186/s12885-019-5611-7 |
| [7] |
KOTRBOVÁ A, OVESNÁ P, GYBEL' T, et al. WNT signaling inducing activity in ascites predicts poor outcome in ovarian cancer[J]. Theranostics, 2020, 10(2): 537-552. DOI:10.7150/thno.37423 |
| [8] |
李洁, 张昀, 南鹏飞, 等. 腹水液基细胞学特征结合血清CA-125、HE4及影像学表现对诊断卵巢癌的意义[J]. 诊断病理学杂志, 2021, 28(7): 532-535. DOI:10.3969/j.issn.1007-8096.2021.07.005 |
| [9] |
程霞. 老年多浆膜腔积液156例临床分析[J]. 内科急危重症杂志, 2012, 18(3): 177-178. DOI:10.3969/j.issn.1007-1024.2012.03.019 |
| [10] |
林岚, 陈丽敏, 林挺岩, 等. 以多浆膜腔积液和IgE升高为特点的老年系统性红斑狼疮误诊分析[J]. 临床误诊误治, 2018, 31(6): 31-33. DOI:10.3969/j.issn.1002-3429.2018.06.011 |
| [11] |
ARINGER M, COSTENBADER K, DAIKH D, et al. 2019 European league against rheumatism/American college of rheumatology classification criteria for systemic lupus erythematosus[J]. Arthritis Rheumatol, 2019, 71(9): 1400-1412. DOI:10.1002/art.40930 |
| [12] |
刘盛国, 何正强, 胡秋, 等. 系统性红斑狼疮合并多浆膜腔积液的临床特点及预后情况分析[J]. 临床医学研究与实践, 2021, 6(8): 26-28. DOI:10.19347/j.cnki.2096-1413.202108007 |
| [13] |
张胜桃, 周逸婵, 朱琳, 等. 系统性红斑狼疮患者血清CA125的测定及其临床意义[J]. 华中科技大学学报(医学版), 2009, 38: 844-846. |
| [14] |
YANG Z, ZHANG Z, QIN B, et al. Human epididymis protein 4:a novel biomarker for lupus nephritis and chronic kidney disease in systemic lupus erythematosus[J]. J Clin Lab Anal, 2016, 30(6): 897-904. DOI:10.1002/jcla.21954 |
2022, Vol. 51



